Pickeln auf der Stirn

article.title

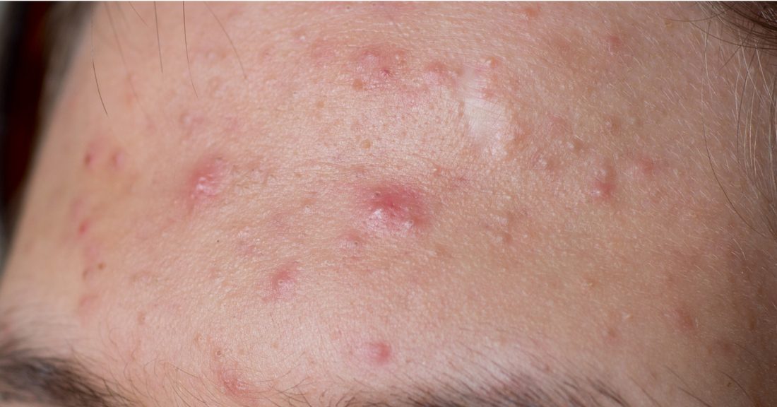
Pickel auf der Stirn

Ursachen, Behandlung und Prävention

Autorin: Maren Kemper

Zuletzt bearbeitet: 11.12.2024

Pickel auf der Stirn: Ursachen, Behandlung und Prävention

Inhaltsverzeichnis

    Pickeln auf der Stirn

    Ursachen von Pickeln auf der Stirn

    Pickel auf der Stirn können durch eine Vielzahl von Faktoren verursacht werden. Hier sind einige der häufigsten Gründe:

    1. Hormonelle Schwankungen: Veränderungen im Hormonspiegel, insbesondere während der Pubertät, der Menstruation oder der Schwangerschaft, können zu vermehrter Talgproduktion und somit zu Pickeln führen.
    2. Stress: Stress kann die Haut negativ beeinflussen und die Entstehung von Pickeln begünstigen.
    3. Ernährung: Eine unausgewogene Ernährung mit hohem Zucker- und Fettgehalt kann Hautprobleme verstärken.
    4. Schweiß und Schmutz: Häufiges Schwitzen und Schmutzablagerungen auf der Haut können die Poren verstopfen und Pickel verursachen.
    5. Ungeeignete Hautpflege: Die Verwendung von komedogenen Hautpflegeprodukten kann die Poren verstopfen und Pickel verursachen.

    Deine neue Routine image
    Deine neue Routine

    Zur Unterstützung Deiner Darmflora

    Unterstütze Deine Darmgesundheit von innen heraus und starte jeden Tag mit einem guten Bauchgefühl. Jetzt ausprobieren und den Unterschied spüren!

    ENTDECKE UNSERE PRODUKTE

    Behandlung von Pickeln auf der Stirn

    Die Behandlung von Pickeln auf der Stirn erfordert eine konsequente Pflegeroutine und möglicherweise den Einsatz spezieller Produkte. Hier sind einige bewährte Methoden:

    Topische Behandlungen:

    Produktkategorie

    Wirkstoff

    Wirkung

    Anwendungstipps

    Reinigungsgels

    Salicylsäure

    Exfoliert die Haut, reduziert Verstopfungen

    Morgens und abends auftragen

    Cremes

    Benzoylperoxid

    Bekämpft Bakterien, reduziert Pickelbildung

    Punktuell auf die betroffenen Stellen auftragen

    Seren

    Teebaumöl

    Antibakteriell, beruhigt die Haut

    Vor der Feuchtigkeitscreme anwenden

    Masken

    Tonerde

    Absorbiert überschüssigen Talg, klärt die Haut

    1-2 Mal pro Woche anwenden

    Allgemeine Tipps:

        1. Regelmäßige Reinigung: Reinige deine Stirn zweimal täglich mit einem milden Reinigungsgel, um Schmutz und überschüssigen Talg zu entfernen.
        2. Nicht drücken: Vermeide es, an den Pickeln zu drücken, da dies zu Entzündungen und Narbenbildung führen kann.
        3. Geeignete Produkte: Verwende nicht-komedogene Hautpflegeprodukte, die speziell für deine Hautbedürfnisse entwickelt wurden.
        4. Gesunde Ernährung: Achte auf eine ausgewogene Ernährung, die abwechslungsreich ist und viele Pro- und Präbiotika enthält. Vergiß nicht ausreichend zu trinken.
        5. Stressmanagement: Reduziere Stress durch regelmäßige Bewegung und Entspannungstechniken wie Yoga oder Meditation.

    Prävention von Pickeln auf der Stirn

    Die Prävention von Pickeln auf der Stirn erfordert eine Kombination aus guter Hygiene, geeigneten Hautpflegeprodukten und einer gesunden Lebensweise. Hier sind einige Tipps zur Vorbeugung:

        1. Hygiene: Halte deine Stirn sauber und trocken, indem du sie regelmäßig wäschst und darauf achtest, dass keine Rückstände von Pflegeprodukten zurückbleiben.
        2. Gesicht nicht berühren: Vermeide es, dein Gesicht mit ungewaschenen Händen zu berühren, um die Übertragung von Bakterien zu verhindern.
        3. Sonnenschutz: Schütze deine Haut vor übermäßiger Sonneneinstrahlung, indem du Sonnencreme aufträgst oder schützende Kleidung trägst.
        4. Wechsel der Bettwäsche: Wechsel deine Bettwäsche regelmäßig, um die Ansammlung von Bakterien und Schmutz zu vermeiden.
        5. Haare aus dem Gesicht: Halte deine Haare aus dem Gesicht, insbesondere wenn sie fettig sind, um Hautkontakt zu vermeiden.

    Produkte zur Unterstützung der Hautgesundheit auf der Stirn

    Probiotische Hautpflegekapseln wie die Skin Glow Produkte von Within Supplements können eine wertvolle Unterstützung bieten. Diese Kapseln können das natürliche Gleichgewicht der Hautflora unterstützen und helfen, Entzündungen zu reduzieren. Durch die regelmäßige Einnahme dieser Kapseln kann die Haut von innen heraus gestärkt werden, was dazu beiträgt, Hautprobleme wie Pickel auf der Stirn zu minimieren. 

    Zusammenfassung

    Pickel auf der Stirn können lästig sein, aber mit den richtigen Behandlungen und Präventionsmaßnahmen kannst du deine Haut gesund halten und zukünftige Probleme vermeiden. Eine konsequente Pflegeroutine, die Verwendung geeigneter Produkte und eine gesunde Lebensweise sind entscheidend. Probiotische Hautpflegekapseln wie die Dailys von Within Supplements bieten eine zusätzliche Unterstützung, um das Gleichgewicht deiner Hautflora zu fördern und deine Haut von innen heraus zu stärken. Probiere sie aus und erfahre den Unterschied.

    Hintergrund & Wissen

    Wie viele Ballaststoffe pro Tag?

    Wie viele Ballaststoffe pro Tag? Empfehlungen, gesundheitliche Vorteile und Beispiele

    Was sind Ballaststoffen? Ballaststoffe sind pflanzliche Faser- und Quellstoffe, die weitgehend unverdaulich sind und praktisch keine Kalorien enthalten. Sie sind für die Gesundheit unverzichtbar und haben zahlreiche positive Effekte auf den Körper. Ballaststoffe sorgen für ein lang anhaltendes Sättigungsgefühl, stimulieren die Darmtätigkeit und stärken die körpereigenen Abwehrkräfte, da der Darm das wichtigste Immunorgan ist. Wieviel Ballaststoffe solltest Du täglich zu Dir nehmen? Die Deutsche Gesellschaft für Ernährung (DGE) empfiehlt Erwachsenen eine tägliche Ballaststoffzufuhr von mindestens 30 Gramm. Diese Menge ist für viele eine Herausforderung, da die westliche Ernährung oft arm an Ballaststoffen ist. Dabei liefern 30 Gramm Ballaststoffe täglich eine Vielzahl an Vorteilen: Sie unterstützen die Darmgesundheit, helfen bei der Gewichtskontrolle und senken das Risiko für Herz-Kreislauf-Erkrankungen. Beispiele für ballaststoffreiche Lebensmittel: Vollkornprodukte wie Vollkornbrot, Haferflocken oder brauner Reis Hülsenfrüchte wie Linsen, Kichererbsen und schwarze Bohnen Obst und Gemüse, darunter Himbeeren, Äpfel, Karotten und Brokkoli Nüsse und Samen, wie Chiasamen und Mandeln Falls Du Schwierigkeiten hast, die empfohlene Menge allein durch die Nahrung zu erreichen, könnte die Einnahme von hochwertigen Nahrungsergänzungsmitteln eine sinnvolle Unterstützung sein. Unser Within Premium Probiotika bietet Dir eine einzigartige Mischung, die Deine Darmgesundheit fördert und das allgemeine Wohlbefinden unterstützt. Probier es aus und spüre den Unterschied! Warum sind Ballaststoffe so wichtig für Deinen Körper? Ballaststoffe haben zahlreiche gesundheitliche Vorteile, die weit über die Verdauung hinausgehen. Sie binden Wasser im Darm, was den Stuhl weicher macht und Verstopfung vorbeugt. Außerdem fördern sie das Wachstum nützlicher Bakterien im Darm, die sogenannten Präbiotika, welche eine wichtige Rolle in der Darmflora spielen. Ein gesundes Mikrobiom trägt dazu bei, Entzündungen zu reduzieren und die allgemeine Immunfunktion zu verbessern. Falls Du nach Inspiration suchst, um die empfohlene Menge zu erreichen, haben wir ein paar praktische Tipps für Dich: Frühstück: Starte mit Haferflocken, Chiasamen und frischen Himbeeren. Mittagessen: Eine Gemüse-Bowl mit Linsen oder Kichererbsen liefert viele Ballaststoffe. Snack: Eine Handvoll Mandeln und eine Birne sind perfekt für zwischendurch. Abendessen: Brauner Reis oder Vollkornnudeln mit Brokkoli und Bohnen runden den Tag ab. Wenn Du erfahren möchtest, wie Probiotika wie unser Within Premium Deine Darmflora unterstützen und zum Wohlbefinden des gesamten Körpers beitragen können, schau Dir unser Produktangebot an! Was passiert bei zu wenig Ballaststoffen? Wenn Du regelmäßig weniger als 30 Gramm Ballaststoffe zu Dir nimmst, kann es zu verschiedenen gesundheitlichen Problemen kommen. Verstopfung, ein träger Stoffwechsel und ein erhöhtes Risiko für Blutzucker- und Cholesterinprobleme sind nur einige der möglichen Folgen. Ballaststoffe sorgen dafür, dass Deine Verdauung funktioniert und Dein Darm gesund bleibt. Dosisabhängige Effekte Positive Effekte Herz-Kreislauf-Erkrankungen: Eine erhöhte Ballaststoffzufuhr zeigt schützende Effekte auf Herz-Kreislauf-Erkrankungen, da Ballaststoffe den Blutdruck senken können. Dies geschieht durch die Produktion von Propionsäure im Darm, die beruhigend auf Immunzellen wirkt, welche Entzündungen verstärken und den Blutdruck erhöhen können. Diabetes und Adipositas: Ballaststoffe tragen zur Prävention von Typ-2-Diabetes und Adipositas bei, indem sie die Sättigung fördern und die Nährstoffabsorption verändern. Krebsprävention: Ballaststoffe können das Risiko für Dickdarm- und Brustkrebs senken. Verdauungsgesundheit: Ballaststoffe verbessern die Darmmotilität, erhöhen die Masse und Konsistenz des Stuhls und reduzieren Verstopfungen. Sie haben auch eine präbiotische Wirkung, die die Darmflora unterstützt. Telomerlänge und biologisches Altern: Eine Studie mit einer NHANES-Stichprobe von 5674 US-Erwachsenen zeigte, dass eine höhere Ballaststoffaufnahme mit längeren Telomeren und weniger biologischem Altern verbunden ist. Für jede Erhöhung der Ballaststoffaufnahme um 10 g pro 1000 kcal waren die Telomere um 67 bis 83 Basenpaare länger, was einer biologischen Verjüngung von etwa 4,3 bis 5,4 Jahren entspricht [(King et al., 2019)]. Negative Effekte bei Überdosierung Eine übermäßige Ballaststoffzufuhr kann jedoch auch negative Effekte haben. Zu hohe Mengen können zu Blähungen, Schmerzen im Magen-Darm-Trakt oder unerwünschten Veränderungen des Stuhls führen. Besonders wenn Du nicht an eine hohe Ballaststoffzufuhr gewöhnt bist, ist es wichtig, die Menge langsam zu steigern. Durch eine schrittweise Erhöhung kann sich Dein Körper und Verdauungssystem anpassen, sodass Du die zahlreichen gesundheitlichen Vorteile einer ballaststoffreichen Ernährung voll ausschöpfen kannst. Unterschiede zwischen löslichen und unlöslichen Ballaststoffen Ballaststoffe lassen sich in zwei Haupttypen unterteilen: lösliche und unlösliche Ballaststoffe. Beide Arten haben spezifische Funktionen und Vorteile für Deine Gesundheit, und eine ausgewogene Ernährung sollte eine Mischung aus beiden enthalten. Lösliche Ballaststoffe binden Wasser im Verdauungstrakt und verwandeln sich in eine gelartige Substanz, die die Verdauung verlangsamt. Diese Art von Ballaststoff hilft, den Blutzuckerspiegel zu stabilisieren und den Cholesterinspiegel zu senken. Lösliche Ballaststoffe kommen häufig in Lebensmitteln wie Hafer, Äpfeln, Orangen, Karotten und Hülsenfrüchten vor. Unlösliche Ballaststoffe hingegen binden kein Wasser und bleiben größtenteils unverändert im Verdauungssystem. Sie fördern die Darmbewegung und tragen zur regelmäßigen Verdauung bei, indem sie den Stuhl vergrößern und damit Verstopfung vorbeugen. Unlösliche Ballaststoffe findest Du vor allem in Vollkornprodukten, Nüssen, Kartoffeln (mit Schale) und grünem Blattgemüse wie Spinat und Kohl. Für eine optimale Darmgesundheit und eine regelmäßige Verdauung ist es ideal, beide Arten von Ballaststoffen in Deine Ernährung einzubauen. So stellst Du sicher, dass Du von den vielfältigen Vorteilen der Ballaststoffe profitierst und eine gesunde Balance im Verdauungstrakt bewahrst. Können zu viele Ballaststoffe schädlich sein? Auch wenn Ballaststoffe für eine gesunde Ernährung wichtig sind, kann eine zu hohe Aufnahme ebenfalls Symptome verursachen. Typische Beschwerden sind Blähungen, Bauchschmerzen und manchmal auch Durchfall. Der Körper braucht Zeit, um sich an eine ballaststoffreiche Ernährung zu gewöhnen. Falls Du die Ballaststoffzufuhr erhöhst, trinke ausreichend Wasser und steigere die Menge schrittweise, um Deinem Darm die Anpassung zu erleichtern. Die Vorteile von Nahrungsergänzungsmitteln für Deine Ballaststoffaufnahme Falls Du Schwierigkeiten hast, die empfohlene Ballaststoffzufuhr nur durch die Ernährung zu erreichen, könnten Nahrungsergänzungsmittel eine gute Option sein. Hochwertige Probiotika wie Within Premium Probiotika kombinieren Ballaststoffe mit speziellen Bakterienstämmen, die den Darm und die Verdauung unterstützen. Dies fördert nicht nur die Darmflora, sondern kann auch den Körper bei der Entgiftung unterstützen.   FAQs Wo stecken die meisten Ballaststoffe drin? Die meisten Ballaststoffe finden sich in Vollkornprodukten, Hülsenfrüchten, Nüssen, Samen, sowie in frischem Obst und Gemüse. Lebensmittel wie Vollkornbrot, Haferflocken, Linsen, Chiasamen, Himbeeren und Brokkoli sind besonders ballaststoffreich und lassen sich einfach in die tägliche Ernährung einbauen. Was sind die besten Ballaststoffe für den Darm? Für eine gesunde Verdauung ist eine Mischung aus löslichen und unlöslichen Ballaststoffen ideal. Lösliche Ballaststoffe, wie sie in Hafer, Äpfeln und Karotten vorkommen, binden Wasser und helfen, den Blutzuckerspiegel zu stabilisieren. Unlösliche Ballaststoffe, wie in Vollkornprodukten und grünem Blattgemüse, fördern die Darmtätigkeit und unterstützen eine regelmäßige Verdauung. Beide Arten spielen eine wichtige Rolle für die Darmgesundheit und sollten täglich kombiniert werden. Wie komme ich auf 30 g Ballaststoffe am Tag? Um auf die empfohlenen 30 Gramm Ballaststoffe zu kommen, kannst Du folgende Lebensmittel kombinieren: Frühstück: Eine Portion Haferflocken mit Beeren und Chiasamen (ca. 10 g Ballaststoffe). Mittagessen: Eine Schüssel Linsensuppe oder eine Gemüse-Bowl mit Kichererbsen (ca. 10 g). Snack: Eine Handvoll Mandeln und ein Apfel (ca. 5 g). Abendessen: Vollkornnudeln oder brauner Reis mit Brokkoli und Bohnen (ca. 5 g).Mit diesen Kombinationen erreichst Du die 30 Gramm Ballaststoffe leicht und unterstützt Deine Verdauung optimal. Wie macht sich Ballaststoffmangel bemerkbar? Ein Mangel an Ballaststoffen kann sich in verschiedenen Verdauungsproblemen äußern. Häufige Symptome sind Verstopfung, ein träger Stoffwechsel und Blähungen. Außerdem kann ein zu niedriger Ballaststoffkonsum das Risiko für Blutzucker- und Cholesterinschwankungen erhöhen und langfristig die Darmgesundheit beeinträchtigen. Eine ausreichende Ballaststoffzufuhr ist daher essenziell für ein gutes Wohlbefinden und eine stabile Verdauung. Fazit Durch eine tägliche Aufnahme von 30 Gramm Ballaststoffen unterstützt Du nicht nur Deine Darmgesundheit, sondern auch Dein allgemeines Wohlbefinden. Teste unser Produkt und erfahre, wie unser Within Premium Probiotika dabei helfen kann, Dein Verdauungssystem gesund zu halten und Dein Leben zu verbessern!

    Reiseverstopfung vorbeugen und behandeln:

    Reiseverstopfung vorbeugen und behandeln: Tipps für eine gesunde Verdauung im Urlaub

    Warum kommt es zu Reiseverstopfung? 5 Gründe Reiseverstopfung ist ein häufiges Problem, das viele Menschen auf Reisen erleben. Verschiedene Faktoren wie eine plötzliche Ernährungsumstellung, weniger Bewegung und Änderungen im Trinkverhalten können dazu führen, dass der Darm aus dem Gleichgewicht gerät. Hier sind fünf Hauptgründe, warum es auf Reisen oft zu Verstopfung kommt. Ernährungsumstellung Auf Reisen greifst Du vielleicht eher zu schnellen Snacks, die wenig Ballaststoffe enthalten, oder probierst fremde Gerichte, die ungewohnt sind. Eine abrupte Ernährungsumstellung kann den Darm belasten und Reiseverstopfung verursachen. Bewegungsmangel Lange Autofahrten oder Flugreisen bedeuten häufig, dass Du stundenlang sitzt und wenig Bewegung hast, was dazu beiträgt, dass die Verdauung langsamer wird und die Wahrscheinlichkeit einer Reiseverstopfung steigt. Flüssigkeitsmangel Auf Reisen wird oft das Trinken vernachlässigt, was leicht zu Dehydration führt, besonders auf Flügen oder in heißen Klimazonen. Der Mangel an Flüssigkeit kann den Stuhl hart machen und das Risiko für Reiseverstopfung erhöhen. Veränderter Tagesrhythmus Unregelmäßige Mahlzeiten und neue Zeitzonen stören die gewohnte Verdauungsroutine, was zu einer vorübergehenden Reiseverstopfung führen kann. Stress und psychische Faktoren Die Aufregung der Reiseplanung, ungewohnte Schlafplätze oder das ungewohnte Toilettenumfeld können Stress und Unbehagen auslösen, was die Verdauung beeinträchtigen und Reiseverstopfung begünstigen kann.     Tipps zur Vorbeugung von Reiseverstopfung Hier sind einige erprobte Methoden, um Reiseverstopfung vorzubeugen und eine gesunde Verdauung zu fördern: 1. Bleib in Bewegung Regelmäßige Bewegung hilft, die Verdauung aktiv zu halten. Wenn Du lange im Flugzeug oder Auto sitzt, mache kleine Dehnübungen oder nutze Pausen für kurze Spaziergänge. Einfache Beinübungen oder das Anheben der Knie im Sitzen sind hilfreiche Tricks, um Reiseverstopfung vorzubeugen. 2. Genügend Wasser trinken Achte darauf, mindestens 1,5–2 Liter Wasser pro Tag zu trinken, insbesondere bei langen Flügen oder Aufenthalten in warmen Regionen. Trinke ein Glas Wasser gleich nach dem Aufwachen und ein weiteres vor dem Frühstück – das kann Deine Verdauung anregen und der Reiseverstopfung vorbeugen. Ungesüßte Tees oder frisch gepresste Säfte sind eine gute Ergänzung. 3. Ballaststoffreiche Ernährung beibehalten Plane ballaststoffreiche Mahlzeiten mit Lebensmitteln wie Vollkornprodukten, Obst, Gemüse und Hülsenfrüchten. Meide Weißmehlprodukte, Schokolade und Bananen, da diese stopfend wirken und Reiseverstopfung fördern können. Praktische Snacks für unterwegs sind Nüsse und getrocknete Pflaumen, die Du einfach in der Tasche mitführen kannst, um eine ballaststoffarme Ernährung und damit Reiseverstopfung zu vermeiden. 4. Entspannung und Stressabbau Stress kann die Darmgesundheit beeinflussen und die Entstehung einer Reiseverstopfung fördern. Entspannungsübungen wie Atemtechniken, Meditation oder leichte Yoga-Übungen können helfen, die Verdauung zu beruhigen. Schaffe auch unterwegs eine angenehme Atmosphäre für den Toilettengang, um Stress zu vermeiden. Was tun, wenn Reiseverstopfung auftritt? Falls Du dennoch Reiseverstopfung bekommst, probiere diese schnellen Lösungsansätze: Tipp Beschreibung ☕ Trinke warme Flüssigkeiten Ein warmes Getränk am Morgen kann den Verdauungstrakt anregen und die Reiseverstopfung lösen. Besonders gut eignen sich Kräutertees wie Pfefferminz- oder Ingwertee, die beruhigend wirken. 🚶 Leichte Bewegung und Dehnung Versuche, Dich sanft zu dehnen oder ein paar Schritte zu gehen. Auch eine kurze Runde Spazierengehen im Hotel oder nahegelegenen Park kann Wunder wirken, um die Reiseverstopfung zu lindern. 💊 Sanfte Abführmittel Falls die Reiseverstopfung hartnäckig ist, kann ein leichtes Abführmittel hilfreich sein. Achte darauf, es nur im Notfall zu verwenden und in Maßen, um den Körper nicht zu sehr zu belasten. Unterstützung durch Probiotika gegen Reiseverstopfung Probiotika können das Darmmikrobiom unterstützen und dabei helfen, Reiseverstopfung vorzubeugen. Spezielle probiotische Nahrungsergänzungsmittel, die im Flugzeug problemlos mitgeführt werden können, fördern eine gesunde Darmflora und wirken unterstützend gegen Reiseverstopfung. Unser Tipp: Beginne die Einnahme von Probiotika wie Inner Strength ein paar Tage vor Deiner Reise. Diese gefriergetrockneten Bakterienstämme bleiben stabil bei wechselnden Temperaturen und unterstützen die Darmflora, selbst in heißen Klimazonen. Sie helfen dabei, das Verdauungssystem im Gleichgewicht zu halten und beugen Verdauungsproblemen und Reiseverstopfung vor. FAQ zur Reiseverstopfung Warum bekomme ich eine Reiseverstopfung? Die Ursachen für Reiseverstopfung liegen oft in der Ernährungsumstellung, Bewegungsmangel, Dehydration und Stress. Diese Faktoren belasten den Darm und führen zu Verdauungsproblemen, die speziell auf Reisen verstärkt auftreten können. Wie lange dauert eine Reiseverstopfung? Eine Reiseverstopfung kann je nach Person und Umständen zwischen ein paar Tagen und einer Woche anhalten. Sie klingt oft von selbst ab, sobald der Körper sich an die neue Umgebung und den veränderten Tagesablauf angepasst hat. Wenn die Reiseverstopfung länger als eine Woche anhält, könnte es hilfreich sein, einen Arzt aufzusuchen. Was kann man gegen Reiseverstopfung im Urlaub machen? Bewegung, eine ballaststoffreiche Ernährung und ausreichendes Trinken sind die besten Mittel gegen Reiseverstopfung im Urlaub. Ein warmes Getränk am Morgen oder sanfte Dehnübungen können ebenfalls helfen. Wenn Du zusätzliche Unterstützung suchst, könnten Probiotika hilfreich sein, um Deine Darmflora im Gleichgewicht zu halten und Reiseverstopfung vorzubeugen. Was tun, wenn seit 4 Tagen kein Stuhlgang aufgrund von Reiseverstopfung war? Wenn Du seit 4 Tagen wegen einer Reiseverstopfung keinen Stuhlgang hattest, kannst Du sanfte Abführmittel verwenden, falls natürliche Methoden wie Bewegung, Ballaststoffe und warme Flüssigkeiten nicht helfen. Achte darauf, Abführmittel sparsam zu verwenden und zusätzlich viel Wasser zu trinken. Sollten die Beschwerden länger anhalten, ist es ratsam, ärztlichen Rat einzuholen. Fazit Reiseverstopfung kann unangenehm sein, lässt sich jedoch mit der richtigen Vorbereitung vermeiden. Durch ausreichend Bewegung, eine ballaststoffreiche Ernährung und probiotische Unterstützung sorgst Du für eine stabile Verdauung und kannst Deinen Urlaub unbeschwert genießen. 

    Longevity Ernährung

    Longevity: Der Schlüssel zu einem langen und gesunden Leben durch eine starke Darmgesundheit

      Die vier Säulen der Langlebigkeit Ein langes, gesundes Leben basiert auf vier Hauptsäulen. Jede dieser Säulen trägt auf unterschiedliche Weise dazu bei, die Longevity zu fördern und Deine Gesundheit nachhaltig zu stärken: 1. Ernährung Eine ausgewogene Ernährung, reich an Vitaminen, Mineralstoffen und Antioxidantien, ist essenziell für ein langes Leben. Ballaststoffreiche Lebensmittel wie Vollkornprodukte, Hülsenfrüchte und Gemüse liefern wertvolle Nährstoffe und unterstützen die Darmgesundheit. Insbesondere Präbiotika und Probiotika sind dabei entscheidend: Präbiotische Fasern bieten Nahrung für gesunde Darmbakterien, während probiotische Lebensmittel das Gleichgewicht der Darmflora unterstützen. 2. Bewegung Regelmäßige körperliche Aktivität stärkt das Herz-Kreislauf-System, fördert die Durchblutung und verbessert die Stimmung. Studien zeigen, dass Bewegung auch die Vielfalt der Darmmikrobiota positiv beeinflusst, was wiederum entzündungshemmend wirkt und das Immunsystem stärkt. 3. Regeneration Erholung und Stressmanagement sind Schlüsselkomponenten der Longevity. Durch ausreichend Schlaf und mentale Stimulation wird das Gehirn regeneriert, und ein geringerer Stresspegel unterstützt die allgemeine Darmgesundheit. Chronischer Stress kann die Darmflora negativ beeinflussen und zu Dysbiose führen – einem Ungleichgewicht der Darmbakterien. 4. Emotionale Gesundheit Soziale Bindungen und emotionale Stabilität spielen eine wichtige Rolle für das Wohlbefinden. Studien zeigen, dass starke Beziehungen nicht nur das Leben verlängern, sondern auch das Risiko für altersbedingte Krankheiten reduzieren. Emotionale Gesundheit und ein positives Umfeld können den Darm ebenfalls positiv beeinflussen und somit die allgemeine Gesundheit fördern. Wie Ernährung Deine Longevity beeinflusst Wusstest Du, dass das, was Du isst, maßgeblich darüber entscheidet, wie gesund Du alterst? Deine Ernährung spielt eine Schlüsselrolle bei der Prävention von Krankheiten und der Förderung Deiner körperlichen und mentalen Vitalität. Hier sind einige der wichtigsten Lebensmittelgruppen: 1. Antioxidantien: Diese schützen Deine Zellen vor Schäden durch freie Radikale. Beeren, grünes Blattgemüse und Nüsse sind reich an diesen Wundermitteln. 2. Gesunde Fette: Avocados, Olivenöl und fettreicher Fisch fördern Deine Herzgesundheit und sorgen für ein strahlendes Hautbild.3. Probiotika: Eine gesunde Darmflora ist entscheidend für Dein Immunsystem und Dein Wohlbefinden. Fermentierte Lebensmittel wie Joghurt oder hochwertige Probiotika wie die von Within Supplements helfen, Deinen Darm zu stärken. Die Rolle der Darmgesundheit für ein langes Leben Die Darmgesundheit beeinflusst nicht nur die Verdauung, sondern auch wichtige Bereiche wie das Immunsystem, den Stoffwechsel und die Entzündungsregulation. Ein gesunder Darm ist der Schlüssel zur Langlebigkeit, da er: Nährstoffaufnahme optimiert: Eine gesunde Darmflora sorgt dafür, dass der Körper Nährstoffe besser aufnehmen kann, was die Zellregeneration und das Immunsystem unterstützt. Entzündungen reguliert: Eine ausgeglichene Darmflora reduziert entzündliche Prozesse im Körper, die oft zu chronischen Krankheiten und Altersbeschwerden führen. Das Immunsystem stärkt: Da ein großer Teil des Immunsystems im Darm angesiedelt ist, unterstützt eine gesunde Darmflora die Abwehr von Krankheitserregern und fördert das allgemeine Wohlbefinden. Den Stoffwechsel anregt: Ein funktionierender Stoffwechsel ist wichtig für die Energieversorgung und den Erhalt eines gesunden Körpergewichts. Wichtige Bakterien für die Gesundheit im Alter Die Zusammensetzung der Darmflora verändert sich mit zunehmendem Alter. Studien haben gezeigt, dass bestimmte Bakteriengruppen, wie Akkermansia und Bifidobacterium, häufiger bei besonders alten und gesunden Menschen vorkommen (Biagi et al., 2016). Diese gesundheitsfördernden Bakterien tragen zur Stärkung der Darmbarriere bei, verhindern das Eindringen schädlicher Substanzen in den Körper und wirken entzündungshemmend. Ein ausgewogenes Mikrobiom hilft, altersbedingte Entzündungen zu kontrollieren und schützt vor degenerativen Prozessen. Es wird empfohlen, die Vielfalt der Darmflora durch eine ausgewogene Ernährung und gezielte Präbiotika und Probiotika zu fördern. Praktische Tipps für ein langes, gesundes Leben Bewegung in Deinen Alltag integrieren: Schon 30 Minuten Spaziergang täglich können Wunder bewirken. Finde eine Aktivität, die Dir Spaß macht – sei es Tanzen, Radfahren oder Yoga. Stress reduzieren: Chronischer Stress schädigt Deine Zellen und beschleunigt den Alterungsprozess. Meditation, Atemübungen oder einfach ein entspannter Nachmittag in der Natur können helfen. Schlaf priorisieren: Gesunder Schlaf ist entscheidend für Deine Regeneration. Versuche, jede Nacht mindestens sieben Stunden zu schlafen. Lernen von den Blue Zones In den sogenannten „Blue Zones“ – Regionen wie Okinawa oder Sardinien, wo Menschen außergewöhnlich alt werden – gibt es einige Schlüsselgewohnheiten, die uns inspirieren können: Pflanzenbasierte Ernährung: Die Ernährung besteht überwiegend aus Gemüse, Vollkorn und Hülsenfrüchten. Natürliche Bewegung: Alltagstätigkeiten wie Gartenarbeit oder Spazierengehen halten den Körper fit. Starke soziale Bindungen: Familie und Gemeinschaft spielen eine zentrale Rolle für das Wohlbefinden. Probiotika und Präbiotika für eine verbesserte Longevity Präbiotika und Probiotika sind wichtige Helfer für eine gesunde Darmflora, insbesondere im Alter. Präbiotika dienen als Nahrung für die guten Bakterien im Darm und fördern deren Wachstum. Probiotika hingegen sind lebende Mikroorganismen, die das Gleichgewicht der Darmflora unterstützen und helfen können, eine Dysbiose zu verhindern. Praktische Tipps zur Aufnahme von Prä- und Probiotika: Präbiotische Lebensmittel: Zu den besten Quellen gehören Knoblauch, Zwiebeln, Haferflocken und Bananen. Diese Lebensmittel fördern das Wachstum gesunder Bakterien und sind leicht in die tägliche Ernährung integrierbar. Probiotische Lebensmittel: Joghurt, Kefir, Sauerkraut und fermentiertes Gemüse liefern lebende Kulturen, die die Darmgesundheit fördern. Falls Du Prä- und Probiotika nicht ausreichend durch die Nahrung aufnimmst, könnten hochwertige Nahrungsergänzungsmittel eine sinnvolle Unterstützung sein, um die Mikrobiota im Gleichgewicht zu halten und Deine Longevity zu fördern.  Fazit Die Pflege Deiner Darmgesundheit ist ein wesentlicher Schritt, um Deine Longevity zu unterstützen. Eine ausgewogene Ernährung, regelmäßige Bewegung und der gezielte Einsatz von Prä- und Probiotika fördern die Vielfalt der Darmmikrobiota und tragen zu einer gesunden Alterung bei. Durch die Umsetzung der vier Säulen der Langlebigkeit – Ernährung, Bewegung, Regeneration und emotionale Gesundheit – kannst Du ein starkes Fundament für Deine Darmgesundheit schaffen und die Voraussetzungen für ein langes, vitales Leben schaffen. Setze diese Tipps um, um Dein Wohlbefinden und Deine Gesundheit bis ins hohe Alter zu stärken!  

    Warum altern wir? Mechanismen des Alterns und die Rolle der Darmflora

    Warum altern wir? Mechanismen des Alterns und die Rolle der Darmflora

    Warum altern wir eigentlich? Der Alterungsprozess ist ein faszinierendes und komplexes Phänomen, das durch eine Vielzahl von zellulären und molekularen Mechanismen gekennzeichnet ist. In der Forschung wird intensiv untersucht, welche Faktoren zum Altern beitragen und wie diese Prozesse gesteuert werden können. In diesem Blogartikel werfen wir einen detaillierten Blick auf die Hauptmechanismen des Alterns und betonen dabei besonders die Rolle der Darmflora, da sie für unsere Gesundheit von großer Bedeutung ist und durch hochwertige Probiotika positiv beeinflusst werden kann. 1. Genomische Instabilität Unser genetisches Material, die DNA, wird ständig durch äußere und innere Faktoren geschädigt. Diese Schäden können durch UV-Strahlung, reaktive Sauerstoffspezies oder chemische Substanzen verursacht werden. Obwohl unsere Zellen über effiziente Reparaturmechanismen verfügen, sind diese nicht perfekt, und ein kleiner Prozentsatz der Schäden bleibt unrepariert. Mit der Zeit häufen sich diese DNA-Schäden an, was zu Mutationen führen kann, die das Krebsrisiko erhöhen oder die Zellfunktion beeinträchtigen. 2. Verschleiß der Telomere Telomere sind die Schutzkappen an den Enden unserer Chromosomen, die dafür sorgen, dass unsere genetische Information bei jeder Zellteilung intakt bleibt. Mit jeder Zellteilung verkürzen sich die Telomere, bis sie eine kritische Länge erreichen, die dazu führt, dass sich die Zellen nicht mehr teilen können. Dies führt zur Zellalterung und -seneszenz, was wiederum Entzündungen und Krankheiten begünstigen kann. 3. Epigenetische Veränderungen Das Epigenom umfasst chemische Veränderungen an der DNA und den sie verpackenden Histonproteinen, die die Genexpression regulieren. Diese epigenetischen Marker sind dynamisch und verändern sich im Laufe des Lebens als Reaktion auf Umweltfaktoren wie Ernährung, Stress oder Medikamente. Mit zunehmendem Alter kommt es zu epigenetischen Veränderungen, die die Genexpression stören können. Die DNA-Methylierung ist dabei ein wichtiger Marker, der das biologische Alter eines Menschen vorhersagen kann. 4. Gestörte Darmflora (Dysbiose) Die menschliche Darmflora, das Mikrobiom, spielt eine zentrale Rolle für unsere Gesundheit. Es hilft bei der Verdauung, produziert lebenswichtige Vitamine und beeinflusst unser Immunsystem. Mit dem Alter nimmt die Vielfalt des Mikrobioms ab, und es kommt zu einer Zunahme pathogener Bakterien. Studien zeigen, dass eine gesunde Darmflora die Lebensspanne verlängern und altersbedingte Krankheiten verhindern kann. Die Übertragung des Mikrobioms von jungen auf ältere Organismen hat gezeigt, dass dies deren Lebensdauer verlängern kann. Hier kommt die Bedeutung von hochwertigen Probiotika ins Spiel. Durch die Unterstützung und Pflege einer gesunden Darmflora können wir möglicherweise den Alterungsprozess verlangsamen und unsere Lebensqualität im Alter verbessern. Probiotika können eine gesunde Mikrobiom-Zusammensetzung fördern, das Immunsystem stärken und die allgemeine Gesundheit verbessern.   5. Chronische Entzündung Mit dem Alter nehmen chronische Entzündungen zu, ein Zustand, der als Inflammaging bezeichnet wird. Diese anhaltenden, niedrigen Entzündungen tragen zu Gewebeschäden und zur Entwicklung altersbedingter Krankheiten bei. Durch die Modulation der Entzündungswege könnte es möglich sein, das Gewebe zu verjüngen und die Gesundheit zu verbessern. 6. Mitochondriale Fehlfunktion Mitochondrien sind die Energieproduzenten unserer Zellen und spielen eine zentrale Rolle im Zellstoffwechsel. Sie enthalten ihre eigene DNA und produzieren reaktive Sauerstoffspezies (ROS) als Nebenprodukt der Energieerzeugung. Diese ROS können zelluläre Schäden verursachen, haben aber auch wichtige Signalfunktionen. Mitochondriale Dysfunktionen sind eng mit dem Alterungsprozess verbunden und können zu einer Vielzahl von Krankheiten führen. 7. Zelluläre Seneszenz Zellen können aufgrund von Schäden oder Stress in einen Zustand der Seneszenz eintreten, in dem sie aufhören, sich zu teilen und schädliche Moleküle freisetzen. Diese seneszenten Zellen beeinflussen ihre Umgebung negativ und tragen zur Gewebealterung und zu altersbedingten Krankheiten bei. Die Entfernung seneszenter Zellen hat in Tiermodellen gezeigt, dass sie die Gesundheit verbessern und die Lebensspanne verlängern kann. 8. Erschöpfung der Stammzellen Stammzellen sind für die Reparatur und Erneuerung unserer Gewebe verantwortlich. Mit zunehmendem Alter verlieren Stammzellen ihre Fähigkeit, sich zu teilen und sich in verschiedene Zelltypen zu differenzieren. Dies führt zu einer verminderten Gewebeerneuerung und -reparatur, was zur Organalterung beiträgt. Neuere Forschungen deuten darauf hin, dass es möglich sein könnte, alte Stammzellen zu verjüngen und ihre Funktion wiederherzustellen. 9. Veränderung der interzellulären Kommunikation Zellen und Organe kommunizieren über Hormone, Zytokine und Stoffwechselprodukte miteinander. Mit zunehmendem Alter wird diese Kommunikation gestört, was den Alterungsprozess beschleunigen kann. Experimente mit der Parabiose, bei der der Blutkreislauf von jungen und alten Mäusen verbunden wird, zeigen, dass Faktoren im Blut den Alterungsprozess beeinflussen können. 10. Beeinträchtigte Autophagie Autophagie ist der Prozess, durch den Zellen beschädigte Zellbestandteile abbauen und recyceln. Mit zunehmendem Alter nimmt die Aktivität der Autophagie ab, was zu einer Ansammlung von Zellmüll führt und die Zellen anfälliger für Schäden macht. Die Stimulierung der Autophagie hat in Modellorganismen gezeigt, dass sie die Lebensspanne verlängern kann. 11. Gestörte Wahrnehmung von Nährstoffen Die Art und Menge unserer Nahrungsaufnahme haben erhebliche Auswirkungen auf unsere Gesundheit und Langlebigkeit. Eine reduzierte Kalorienzufuhr ohne Unterernährung, auch als Ernährungsrestriktion bekannt, kann die Lebensspanne verlängern und altersbedingte Krankheiten reduzieren. Neuere Studien zeigen, dass insbesondere die Reduzierung bestimmter Nahrungsbestandteile, wie Proteine, und Fastenzeiten wichtig sind. Nährstoffsensorwege wie der Insulin- und mTOR-Signalweg spielen eine zentrale Rolle in diesen Prozessen. 12. Verlust der Proteostase Proteine sind essentielle Moleküle in unseren Zellen, die für biochemische Reaktionen und die zelluläre Struktur verantwortlich sind. Die Aufrechterhaltung der Proteinhomöostase ist entscheidend für die Zellfunktion. Proteinhomöostase, auch Proteostase genannt, ist der Prozess, durch den Zellen die richtige Faltung, Funktion und den Abbau von Proteinen aufrechterhalten, um die zelluläre Gesundheit und Funktion zu gewährleisten. Mit zunehmendem Alter nimmt die Fähigkeit der Zellen ab, Proteine richtig zu falten und beschädigte Proteine abzubauen, was zur Ansammlung von Proteinaggregaten und zur Entwicklung neurodegenerativer Erkrankungen wie Alzheimer und Parkinson führen kann. Was passiert beim Alterungsprozess? Der Körper beginnt schon in relativ jungen Jahren, Funktionen langsam abzubauen. Bereits ab Mitte 20 nimmt die Stoffwechselrate ab, und ab dem 30. Lebensjahr bemerken viele Menschen erste sichtbare Veränderungen. Stoffwechsel: Dein Stoffwechsel wird langsamer, was dazu führen kann, dass es schwerer wird, Gewicht zu halten. Muskeln und Knochen: Muskelmasse und Knochendichte nehmen ab, wenn sie nicht durch Bewegung und Ernährung aktiv unterstützt werden. Haut und Haare: Deine Haut verliert an Spannkraft, und Haare können dünner oder grauer werden – sichtbare Zeichen des Alterns. Die Frage ist nicht, ob diese Veränderungen passieren, sondern wie Du sie verlangsamen kannst. Kann man den Alterungsprozess verzögern? Ja, durch die richtigen Maßnahmen kannst Du den Alterungsprozess positiv beeinflussen. Hier sind einige Tipps: 1.Gesunde Ernährung:  Lebensmittel, die reich an Antioxidantien sind, wie Beeren, Nüsse und grünes Blattgemüse, schützen Deine Zellen vor Schäden. 2.Bewegung:  Regelmäßige Bewegung stärkt Muskeln, Knochen und die Durchblutung. Schon ein täglicher Spaziergang von 30 Minuten macht einen Unterschied. 3. Pflege der Darmgesundheit:  Ein gesunder Darm beeinflusst Dein Immunsystem und die allgemeine Vitalität. Probiotika wie die von Within Supplements können hier unterstützen. Ab wann baut der Körper ab? Es gibt keinen festen Zeitpunkt, ab dem der Körper „altert“. Doch ab 30 beginnen Prozesse, die langsam voranschreiten. Wichtige Faktoren wie Ernährung, Bewegung und Schlaf beeinflussen, wie stark und wie schnell diese Veränderungen spürbar werden. Die gute Nachricht: Du hast mehr Kontrolle über den Alterungsprozess, als Du vielleicht denkst. Mit den richtigen Entscheidungen kannst Du lange gesund und aktiv bleiben. Inspiration aus den Blue Zones In den sogenannten „Blue Zones“, wo Menschen oft über 100 Jahre alt werden, zeigt sich, wie ein gesunder Lebensstil das Altern beeinflusst. Hier die wichtigsten Gewohnheiten: Pflanzenbasierte Ernährung -Viel Gemüse, wenig Fleisch und frische Zutaten sind die Basis ihrer Ernährung. Natürliche Bewegung - Alltagstätigkeiten wie Gehen, Gartenarbeit oder Tanzen halten die Menschen fit. Soziale Bindungen - Freundschaften und Familie fördern die mentale Gesundheit und geben Lebensfreude. Fazit Das Altern mag unvermeidbar sein, aber wie Du alterst, liegt zu einem großen Teil in Deinen Händen. Mit einer gesunden Ernährung, regelmäßiger Bewegung und der Pflege Deiner Darmgesundheit kannst Du den Alterungsprozess verlangsamen und Deine Lebensqualität steigern. Ergänze Deine Routine mit hochwertigen Probiotika von Within Supplements, um Deinen Körper von innen heraus zu stärken. Studien - Aubert G, Lansdorp PM (2008) Telomeres and aging. Physiol Rev 88(2):557-579. - Booth LN, Brunet A (2016) The Aging Epigenome. Mol Cell 62(5):728-744. - Carrasco E, Gomez de Las Heras MM, Gabande-Rodriguez E, Desdin-Mico G, Aranda JF, Mittelbrunn M (2022) The role of T cells in age-related diseases. Nat Rev Immunol 22(2):97-111. - Castillo-Quan JI, Tain LS, Kinghorn KJ, Li L, Gronke S, Hinze Y, Blackwell TK, Bjedov I, Partridge L (2019) A triple drug combination targeting components of the nutrient-sensing network maximizes longevity. Proc Natl Acad Sci U S A 116(42):20817-20819. - Childs BG, Gluscevic M, Baker DJ, Laberge RM, Marquess D, Dananberg J, van Deursen JM (2017) Senescent cells: an emerging target for diseases of ageing. Nat Rev Drug Discov 16(10):718-735. - Denzel MS, Storm NJ, Gutschmidt A, Baddi R, Hinze Y, Jarosch E, Sommer T, Hoppe T, Antebi A (2014) Hexosamine pathway metabolites enhance protein quality control and prolong life. Cell 156(6):1167-1178. - Desdin-Mico G, Soto-Heredero G, Aranda JF, Oller J, Carrasco E, Gabande-Rodriguez E, Blanco EM, Alfranca A, Cusso L, Desco M, Ibanez B, Gortazar AR, Fernandez-Marcos P, Navarro MN, Hernaez B, Alcami A, Baixauli F, Mittelbrunn M (2020) T cells with dysfunctional mitochondria induce multimorbidity and premature senescence. Science 368(6497):1371-1376. - Fafian-Labora JA, O'Loghlen A (2020) Classical and Nonclassical Intercellular Communication in Senescence and Ageing. Trends Cell Biol 30(8):628-639. - Franceschi C, Garagnani P, Parini P, Giuliani C, Santoro A (2018) Inflammaging: a new immune-metabolic viewpoint for age-related diseases. Nat Rev Endocrinol 14(10):576-590. - Ghosh TS, Shanahan F, O'Toole PW (2022) The gut microbiome as a modulator of healthy ageing. Nat Rev Gastroenterol Hepatol 19(9):565-584. - Goodell MA, Rando TA (2015) Stem cells and healthy aging. Science 350(6265):1199-1204. - Harrison DE, Strong R, Sharp ZD, Nelson JF, Astle CM, Flurkey K, Nadon NL, Wilkinson JE, Frenkel K, Carter CS, Pahor M, Javors MA, Fernandez E, Miller RA (2009) Rapamycin fed late in life extends lifespan in genetically heterogeneous mice. Nature 460(7253):392-395. - Hartl FU (2016) Cellular Homeostasis and Aging. Annu Rev Biochem 85(1-4). - Hartl FU (2017) Protein Misfolding Diseases. Annu Rev Biochem 86(21-26). - Hartl FU, Bracher A, Hayer-Hartl M (2011) Molecular chaperones in protein folding and proteostasis. Nature 475(7356):324-332. - Heilbronn LK, Ravussin E (2003) Calorie restriction and aging: review of the literature and implications for studies in humans. Am J Clin Nutr 78(3):361-369. - Hipp MS, Kasturi P, Hartl FU (2019) The proteostasis network and its decline in ageing. Nat Rev Mol Cell Biol 20(7):421-435. - Horvath S (2013) DNA methylation age of human tissues and cell types. Genome Biol 14(10):R115. - Jaskelioff M, Muller FL, Paik JH, Thomas E, Jiang S, Adams AC, Sahin E, Kost-Alimova M, Protopopov A, Cadinanos J, Horner JW, Maratos-Flier E, Depinho RA (2011) Telomerase reactivation reverses tissue degeneration in aged telomerase-deficient mice. Nature 469(7328):102-106. - Ke Z, Firsanov D, Spencer B, Seluanov A, Gorbunova V (2020) Short-term calorie restriction enhances DNA repair by non-homologous end joining in mice. NPJ Aging Mech Dis 6(9). - Kennedy BK, Berger SL, Brunet A, Campisi J, Cuervo AM, Epel ES, Franceschi C , Lithgow GJ, Morimoto RI, Pessin JE, Rando TA, Richardson A, Schadt EE, Wyss-Coray T, Sierra F (2014) Geroscience: linking aging to chronic disease. Cell 159(4):709-713. - Lipinski MM, Zheng B, Lu T, Yan Z, Py BF, Ng A, Xavier RJ, Li C, Yankner BA, Scherzer CR, Yuan J (2010) Genome-wide analysis reveals mechanisms modulating autophagy in normal brain aging and in Alzheimer's disease. Proc Natl Acad Sci U S A 107(32):14164-14169. - Lopez-Otin C, Blasco MA, Partridge L, Serrano M, Kroemer G (2013) The hallmarks of aging. Cell 153(6):1194-1217. - Lopez-Otin C, Blasco MA, Partridge L, Serrano M, Kroemer G (2023) Hallmarks of aging: An expanding universe. Cell 186(2):243-278. - Lu YX, Regan JC, Esser J, Drews LF, Weinseis T, Stinn J, Hahn O, Miller RA, Gronke S, Partridge L (2021) A TORC1-histone axis regulates chromatin organisation and non-canonical induction of autophagy to ameliorate ageing. Elife 10. - Miller HA, Dean ES, Pletcher SD, Leiser SF (2020) Cell non-autonomous regulation of health and longevity. Elife 9. - Nicolai S, Rossi A, Di Daniele N, Melino G, Annicchiarico-Petruzzelli M, Raschella G (2015) DNA repair and aging: the impact of the p53 family. Aging (Albany NY) 7(12):1050-1065. - Nunnari J, Suomalainen A (2012) Mitochondria: in sickness and in health. Cell 148(6):1145-1159. - Piper MD, Partridge L, Raubenheimer D, Simpson SJ (2011) Dietary restriction and aging: a unifying perspective. Cell Metab 14(2):154-160. - Pyo JO, Yoo SM, Ahn HH, Nah J, Hong SH, Kam TI, Jung S, Jung YK (2013) Overexpression of Atg5 in mice activates autophagy and extends lifespan. Nat Commun 4(2300). - Rando TA, Jones DL (2021) Regeneration, Rejuvenation, and Replacement: Turning Back the Clock on Tissue Aging. Cold Spring Harb Perspect Biol 13(9). - Rizza W, Veronese N, Fontana L (2014) What are the roles of calorie restriction and diet quality in promoting healthy longevity? Ageing Res Rev 13(38-45). - Roos WP, Thomas AD, Kaina B (2016) DNA damage and the balance between survival and death in cancer biology. Nat Rev Cancer 16(1):20-33. - Sies H, Jones DP (2020) Reactive oxygen species (ROS) as pleiotropic physiological signalling agents. Nat Rev Mol Cell Biol 21(7):363-383. - Smith P, Willemsen D, Popkes M, Metge F, Gandiwa E, Reichard M, Valenzano DR (2017) Regulation of life span by the gut microbiota in the short-lived African turquoise killifish. Elife 6. - Sohal RS, Agarwal S, Candas M, Forster MJ, Lal H (1994) Effect of age and caloric restriction on DNA oxidative damage in different tissues of C57BL/6 mice. Mech Ageing Dev 76(2-3):215-224. - Soultoukis GA, Partridge L (2016) Dietary Protein, Metabolism, and Aging. Annu Rev Biochem 85(5-34). - Swovick K, Welle KA, Hryhorenko JR, Seluanov A, Gorbunova V, Ghaemmaghami S (2018) Cross-species Comparison of Proteome Turnover Kinetics. Mol Cell Proteomics 17(4):580-591. - Vermulst M, Wanagat J, Kujoth GC, Bielas JH, Rabinovitch PS, Prolla TA, Loeb LA (2008) DNA deletions and clonal mutations drive premature aging in mitochondrial mutator mice. Nat Genet 40(4):392-394. - Villeda SA, Plambeck KE, Middeldorp J, Castellano JM, Mosher KI, Luo J, Smith LK, Bieri G, Lin K, Berdnik D, Udeochu J, Wheatley EG, Zou B, Simmons DA, Xie XS, Longo FM, Wyss-Coray T (2014) Young blood reverses age-related impairments in cognitive function and synaptic plasticity in mice. Nat Med 20(6):659-663. - Wilmanski T, Diener C, Rappaport N, Patwardhan S, Wiedrick J, Lapidus J, Earls JC, Zimmer A, Glusman G, Robinson M, Yurkovich JT, Kado DM, Cauley JA, Zmuda J, Lane NE, Magis AT, Lovejoy JC, Hood L, Gibbons SM, Orwoll ES, Price ND (2021) Gut microbiome pattern reflects healthy ageing and predicts survival in humans. Nat Metab 3(2):274-286. - Xu M, Pirtskhalava T, Farr JN, Weigand BM, Palmer AK, Weivoda MM, Ogrodnik MB, Hachfeld CM, Fraser DG, Onken JL, Johnson KO, Verzosa GC, Langhi LGP, Weigl M, Giorgadze N, LeBrasseur NK, Miller JD, Jurk D, Singh RJ, . . . Kirkland JL (2018) Senolytics improve physical function and increase lifespan in old age. Nat Med 24(8):1246-1256. - Zhang W, Qu J, Liu GH, Belmonte JCI (2020) The ageing epigenome and its rejuvenation. Nat Rev Mol Cell Biol 21(3):137-150. Der Artikel dient lediglich der Informationsvermittlung in Bezug auf Probiotika und soll nicht als medizinische Empfehlung oder als Ersatz für professionelle medizinische Beratung oder Behandlung interpretiert werden.

    Kaffee und Deine Darmgesundheit: Alles, was Du wissen musst

    Kaffee und Deine Darmgesundheit: Alles, was Du wissen musst

    Warum ist Kaffee gesund? Kaffee hat nicht nur positive Auswirkungen auf die Darmflora, sondern bietet auch noch andere gesundheitliche Vorteile: Schutz der Leber Regelmäßiger Kaffeegenuss fördert die Gesundheit des gesamten Verdauungstrakes, also Darm und Leber. Es kann das Risiko von Leberverfettung reduzieren und die Leberwerte senken. Dies ist besonders wichtig, da die Leber eine lebenswichtige Funktion im Körper hat. Unterstützung der Gewichtsreduktion Studien haben gezeigt, dass Koffein im Kaffee das braune Fettgewebe aktivieren kann, das Kalorien verbrennt und somit bei der Gewichtsreduktion helfen kann. Ein moderater Konsum von Kaffee kann daher ein nützliches Werkzeug sein, um dein Gewicht zu kontrollieren. Wichtig ist hierbei der moderate Konsum von koffein-haltigen Kaffee, denn zu viel Koffein, kann auch Herzrasen, wie auch schlaflose Nächte zur Folge haben! Schutz des Gehirns Kaffee kann das Risiko von neurodegenerativen Erkrankungen wie Alzheimer und Parkinson reduzieren. Dieser Schutz wird nicht nur dem Koffein, sondern besonders den im Kaffee enthaltenen sekundären Pflanzenstoffen zugeschrieben. Einfluß auf den Blutzuckerspiegel und Blutdruck Neuste Studien zeigen, dass sich ein regelmäßiger Kaffee-Konsum positiv auf den Blutzuckerspiegel und den Blutdruck auswirken kann. Allerdings sollte man bei zu hohem Blutdruck unbedingt auf das Koffein achten und vielleicht auch zu der entkoffeinierten Variante greifen. [[blog_ad]] Wie beeinflusst Kaffee den Darm? Kaffee ist mehr als nur ein Wachmacher – er kann auch Deiner Verdauung zugutekommen. Studien zeigen, dass Kaffee die Darmbewegung anregt und bei vielen Menschen eine positive Wirkung auf die Verdauung hat. Zudem enthält Kaffee Antioxidantien, die dabei helfen, die Zellen vor Schäden durch freie Radikale zu schützen. Interessanterweise gibt es Hinweise darauf, dass Kaffee die Vielfalt bestimmter Darmbakterien, wie Lawsonibacter, fördern kann. Herausforderungen für empfindliche Menschen Auf der anderen Seite kann Kaffee, besonders in hohen Mengen oder auf nüchternen Magen, den Magen-Darm-Trakt reizen. Die enthaltene Säure kann bei empfindlichen Personen Sodbrennen auslösen oder das Mikrobiom aus dem Gleichgewicht bringen. Hier ist es wichtig, auf die eigenen Bedürfnisse zu achten und den Konsum anzupassen. Kaffee und Probiotika: Eine perfekte Kombination Kaffee kann kurzfristig die Zusammensetzung Deiner Darmflora beeinflussen. Um diese in Balance zu halten, eignet sich Inner Strength von Within Supplements besonders gut. Es stärkt das Mikrobiom, unterstützt die Verdauung und schützt Deinen Darm vor möglichen negativen Effekten durch Säure und Koffein. Welche Effekte hat Kaffee auf die Darmflora? Dein Darm ist ein erstaunliches Organ, das eine wichtige Rolle für Deine Gesundheit spielt. Besonders eine gesunde Darmflora, auch Mikrobiom genannt, also die Milliarden Mikroben in Deinem Dickdarm, spielen eine entscheidende Rolle für Dein Wohlbefinden. Steigerung der Darmtätigkeit Morgens nach dem Kaffee erst einmal das stille Örtchen aufsuchen, was hat das mit Kaffee-Genuss zu tun? Enthält Dein Kaffee Koffein, so kann dieses die Darmtätigkeit anregen und damit die Bewegung des Stuhls im Darm fördern. Das ist auf jeden Fall positiv zu bewerten, ja, wir reden nicht gerne darüber, aber ein regelmäßiger Stuhlgang ist für unsere Gesundheit unerlässlich. Förderung einer gesunden Darmflora In der westlichen Welt leiden viele von uns unter einem Ballaststoffmangel. Daher trägt der Ballaststoffgehalt im Kaffee zu einigen seiner Vorteile bei. Pro Tasse nehmen wir bis zu 1,5 g lösliche Ballaststoffe zu uns, das ist bei den von der DGE (Deutsche Gesellschaft für Ernährung) empfohlenen 30 g Ballaststoffen pro Tag gar nicht wenig! Außerdem enthält Kaffee eine Vielzahl von Polyphenolen, das sind sekundäre Pflanzenstoffe. Pflanzen produzieren diese Verbindungen, um sich gegen Umweltstressoren zu wehren. Wenn wir sie aufnehmen, unterstützen sie unser Darmmikrobiom, indem sie nützliche Darmbakterienwie Bifidobakterien fördern, daher gelten sie als präbiotisch. Eine gesunde Darmflora ist nicht nur wichtig für eine gesunde Verdauung, sondern hat auch unzählige positive Effekte auf unsere körperliche wie auch mentale Gesundheit und kann verschiedene Krankheiten verhindern. Vielfalt der Darmbakterien steigern Von einer gesunden Darmflora spricht man, wenn sich hier eine Vielfalt an guten Darmbakterien tummeln. Niederländische Wissenschaftler haben festgestellt, dass Kaffee die Vielfalt der Darmbakterien erhöhen kann! Funfact Kaffee-Liebhaber bleiben nicht unentdeckt! Interessanterweise könnte die Zusammensetzung Deiner Darmflora auf Deine Kaffeegewohnheiten hinweisen. So haben Kaffetrinker das Bakterium Lawsonibacter in ihrem Mikrobiom. Diesem Bakterium werden viele gesundheitsfördernde Eigenschaften zugesprochen. Studien haben gezeigt, dass Kaffeetrinker tendenziell eine vielfältigere Darmflora haben. Dies könnte darauf hindeuten, dass Kaffee tatsächlich einen positiven Einfluss auf die Mikrobiom-Zusammensetzung hat. Kaffee mit oder ohne Koffein? Ein übermäßiger Konsum von koffeinhaltigem Kaffee kann zu Herzrasen, Nervosität und erhöhtem Blutdruck führen. Es ist wichtig, deinen Koffeinkonsum in einem moderaten Bereich zu halten, vor allem, wenn du bereits Blutdruckprobleme hast oder schwanger bist. Die meisten der gesundheitlichen Vorteile, die mit Kaffee in Verbindung gebracht werden, gelten sowohl für koffeinhaltigen als auch für koffeinfreien Kaffee. Das bedeutet, dass du die positiven Effekte von Kaffee auch ohne Koffein genießen kannst und dir so auch am Nachmittag eine Tasse Kaffee gönnen kannst ohne nachts wachzuliegen! Kaffee mit oder ohne Milch? Es wird empfohlen, Kaffee ohne Milch zu trinken, da Milchproteine die Aufnahme bestimmter gesundheitsfördernder Pflanzenstoffe im Darm behindern können. Wenn Du dennoch Milch in deinem Kaffee möchtest, könntest du Pflanzenmilchalternativen wie Mandel-, Hafer- oder Kokosmilch in Betracht ziehen, da diese weniger störende Proteine enthalten. Kaffee, Schlaf und Darmgesundheit Ein später Kaffeegenuss kann deinen Schlaf negativ beeinflussen, und schlechter Schlaf wirkt sich wiederum auf deine Darmgesundheit aus. Ein gestörter Schlaf-Wach-Rhythmus kann das Gleichgewicht deiner Darmflora beeinträchtigen und so deine gesamte Gesundheit belasten. Fazit Insgesamt zeigt sich, dass Kaffee mehr ist als nur ein Genussmittel. Er kann positive Auswirkungen auf deine darmflora, deine Leber, dein Gewicht und dein Gehirn haben. Allerdings ist es wichtig, koffeinhaltigen Kaffee in Maßen zu genießen oder besonders ab nachmittags auf die koffeinfreie Alternative umzuschwenken. Quellen Eskelinen MH, Kivipelto M. Caffeine as a protective factor in dementia and Alzheimer’s disease. J Alzheimers Dis. 2010;20 Suppl 1:S167-74. https://pubmed.ncbi.nlm.nih.gov/20182054/ Gardener SL, Rainey-Smith SR, Villemagne VL, Fripp J, Doré V, Bourgeat P, Taddei K, Fowler C, Masters CL, Maruff P, Rowe CC, Ames D, Martins RN and the AIBL Investigators (2021) Higher Coffee Consumption Is Associated With Slower Cognitive Decline and Less Cerebral Aβ-Amyloid Accumulation Over 126 Months: Data From the Australian Imaging, Biomarkers, and Lifestyle Study. Front. Aging Neurosci. 13:744872 https://www.frontiersin.org/articles/10.3389/fnagi.2021.744872/full González S, Salazar N, Ruiz-Saavedra S, Gómez-Martín M, de Los Reyes-Gavilán CG, Gueimonde M. Long-Term Coffee Consumption is Associated with Fecal Microbial Composition in Humans. Nutrients. 2020 May 1;12(5):1287 https://www.ncbi.nlm.nih.gov/pmc/articles/PMC7282261/ Kennedy, O.J., Fallowfield, J.A., Poole, R. et al. All coffee types decrease the risk of adverse clinical outcomes in chronic liver disease: a UK Biobank study. BMC Public Health 21, 970 (2021). https://bmcpublichealth.biomedcentral.com/articles/10.1186/s12889-021-10991-7 Roshan H, Nikpayam O, Sedaghat M, Sohrab G. (2018) Effects of green coffee extract supplementation on anthropometric indices, glycaemic control, blood pressure, lipid profile, insulin resistance and appetite in patients with the metabolic syndrome: a randomised clinical trial. Br J Nutr. 119(3):250-258. https://pubmed.ncbi.nlm.nih.gov/29307310/ Velickovic, K., Wayne, D., Leija, H.A.L. et al. Caffeine exposure induces browning features in adipose tissue in vitro and in vivo. Sci Rep 9, 9104 (2019). https://www.nature.com/articles/s41598-019-45540-1 Zhernakova A et al (2016) Population-based metagenomics analysis reveals markers for gut microbiome composition and diversity. Science 352 (6285): 565-569 https://www.science.org/doi/10.1126/science.aad3369 Der Artikel dient lediglich der Informationsvermittlung in Bezug auf Probiotika und soll nicht als medizinische Empfehlung oder als Ersatz für professionelle medizinische Beratung oder Behandlung interpretiert werden.

    Leaky Gut heilen: So stärkst Du Deine Darmgesundheit

    Leaky Gut heilen: So stärkst Du Deine Darmgesundheit

    Was ist Leaky Gut und warum ist er so wichtig? Leaky Gut, auch als „undichter Darm“ bekannt, ist eine Erkrankung, bei der die Darmwand durchlässig wird. Dies kann dazu führen, dass schädliche Stoffe wie Toxine und unverdaute Nahrungsmittelpartikel in den Blutkreislauf gelangen. Für viele Betroffene äußert sich das in Beschwerden wie Müdigkeit, Verdauungsproblemen oder sogar chronischen Entzündungen. Die gute Nachricht: Mit der richtigen Anleitung kannst Du Leaky Gut heilen und die Barrierefunktion Deines Darms wiederherstellen. Hier erfährst Du, wie das funktioniert, wie lange es dauert und warum Probiotika eine Schlüsselrolle spielen. Symptome eines Leaky Gut Syndroms Die Symptome eines Leaky Gut Syndroms sind vielfältig und oft diffus, was die Diagnose erschweren kann. Zu den häufigsten Symptomen gehören: Chronische Gelenkschmerzen Chronische Muskelschmerzen Konzentrationsstörungen und kognitive Beeinträchtigungen Blähungen und andere Verdauungsbeschwerden Migräne und Kopfschmerzen Stimmungsschwankungen, Depressionen Nervosität, Angstzustände und Phobien Hautprobleme wie Akne, Ekzeme und spezifische Hauterkrankungen (z.B. Neurodermitis) Ein geschwächtes Immunsystem, häufige Infektionen Chronische Müdigkeit und Erschöpfung  Nahrungsmittelunverträglichkeiten und -intoleranzen Reizdarmbeschwerden Diese Symptome stehen oft nicht offensichtlich in Verbindung mit dem Verdauungstrakt, was Betroffene davon abhalten kann, die notwendigen Schritte zur Verbesserung ihrer Darmgesundheit zu unternehmen. Ursachen des Leaky-Gut-Syndroms Das Leaky-Gut-Syndrom wird durch eine Vielzahl von Faktoren verursacht, die eng mit unserem modernen Lebensstil verbunden sind. Über die sogenannte Darm-Hirn-Achse beeinflussen sich Darm und Gehirn gegenseitig – psychische Belastungen können sich also direkt auf die Gesundheit des Darms auswirken. Zu den häufigsten Auslösern gehören chronischer Stress, stark verarbeitete Lebensmittel und schädliche äußere Einflüsse, die die empfindliche Darmbarriere schwächen. Hauptursachen des Leaky-Gut-Syndroms: Entzündungen im Darm: Chronische Entzündungen schwächen die Darmwand und fördern deren Durchlässigkeit. Medikamenteneinnahme: Vor allem Antibiotika und Schmerzmittel können die Darmflora schädigen. Nahrungsmittelunverträglichkeiten: Unverträglichkeiten wie Gluten oder Laktose belasten den Darm und fördern Entzündungen. Umweltgifte: Schadstoffe wie Schwermetalle oder Pestizide können die Darmbarriere angreifen. Chemische Zusätze in Lebensmitteln: Konservierungsstoffe, künstliche Aromen und andere Zusatzstoffe irritieren die Darmschleimhaut. Gestörte Darmflora: Ein Ungleichgewicht der Darmbakterien schwächt die Schutzfunktion der Darmwand. Chronischer Stress: Langfristige psychische Belastungen beeinträchtigen die Regenerationsfähigkeit des Darms und verschlechtern die Barrierefunktion. Die Kombination aus diesen Faktoren kann den Darm stark belasten und die Entstehung des Leaky-Gut-Syndroms fördern. Diagnose Leaky gut Wenn der Verdacht auf ein Leaky Gut Syndrom besteht, ist eine gründliche Untersuchung der Krankengeschichte wichtig. Zur weiteren Abklärung stehen verschiedene Testverfahren bereit. Zu diesen zählen Laboranalysen von Stuhl- und Blutproben, die anhand bestimmter Biomarker Hinweise auf die Durchlässigkeit der Darmwand liefern können. Stuhluntersuchung α1-AT (Alpha-1-Antitrypsin) Die Analyse von Alpha-1-Antitrypsin (α-1-AT) im Stuhl bietet einen Einblick in den Zustand der Darmbarriere. Dieses Protein, produziert in der Leber, tritt nur bei einer Beeinträchtigung der Darmbarriere im Stuhl auf. Ein Nachweis von α-1-Antitrypsin in der Stuhlprobe kann daher auf eine signifikante Schädigung der Darmbarriere hindeuten. Jedoch ist diese Methode bei der Identifizierung leichter Barrieredefekte weniger aussagekräftig, möglicherweise aufgrund des Abbaus des Proteins durch Enzyme im Stuhl. Ein Wert unter 27,5 U/ml wird als Normbereich angesehen. sIgA und Calprotectin Andere häufig verwendete Stuhlmarker sind sIgA und Calprotectin, die jedoch hauptsächlich Entzündungen anzeigen und daher bei bestimmten Ursachen eines durchlässigen Darms, wie Ischämie, Stress oder toxischen Einflüssen, nicht zwingend erhöht sind. Zonulin im Stuhl Die Bestimmung von Zonulin im Stuhl, ein weiterer Marker für die Durchlässigkeit des Darms, wird aufgrund seiner starken Schwankungen, die von der Stuhlpassagezeit und der Aktivität der Proteasen im Stuhl abhängen, als weniger zuverlässig betrachtet. Eine Blutuntersuchung gilt als zuverlässigere Methode zur Bestimmung von Zonulin-Werten. Für die Auswertung im Stuhl wird ein Normwert von unter 78,0 ng/ml als Richtlinie herangezogen. I-FABP, ein Marker für die Integrität des Darms, lässt sich im Stuhl nicht nachweisen. Blutuntersuchung Zonulin im Blut Die Zonulin-Wert Messung im Blut bietet eine weitere Möglichkeit, ein Leaky Gut-Syndrom zu diagnostizieren. Zonulin ist eine Substanz, deren Ausschüttung im Darm durch Bakterien angeregt wird und die die Durchlässigkeit der Darmwand beeinflusst. Ein erhöhter Zonulin-Wert im Blut kann ein Anzeichen für Entzündungsprozesse sein, die durch einen durchlässigen Darm verursacht werden. Allerdings ist zu beachten, dass bei einer fortgeschrittenen Entzündung, bei der das Darmepithel bereits stark beschädigt ist, der Zonulin-Wert möglicherweise nicht in dem Maße ansteigt, wie es bei einer typischen Entzündung der Fall wäre. Der normale Wertebereich für Zonulin liegt unter 48,0 ng/ml. Intestinalen Fettsäure-bindenden Proteins (I-FABP) Die Messung des intestinalen Fettsäure-bindenden Proteins (I-FABP) bietet eine wichtige diagnostische Option bei Verdacht auf Schädigungen der Darmbarriere. I-FABP, lokalisiert im Zytoplasma der Epithelzellen des Darms, spielt eine wichtige Rolle bei der Regulierung der Aufnahme von Fettsäuren. Eine Beschädigung der Darmepithelzellen kann dazu führen, dass I-FABP aus den Zellen austritt und in den Blutkreislauf gelangt, wo es dann nachweisbar wird. Ein erhöhter I-FABP-Wert im Blut deutet auf eine Funktionsstörung der Darmbarriere hin. Der normale Wertebereich für I-FABP in der Diagnostik liegt zwischen 389 und 2129 pg/ml. Urin Test Laktulose-Mannitol-Test Der Laktulose-Mannitol-Test gilt als eine Methode zur Identifizierung eines Leaky Gut-Syndroms, findet jedoch aufgrund seines Aufwands für die Patienten selten Anwendung in der Praxis. Dieser Test involviert die Einnahme einer speziellen Lösung, die aus Laktulose und Mannitol besteht. Nach einer bestimmten Wartezeit wird eine Urinprobe gesammelt und auf die Konzentration dieser Biomarker analysiert. Ein erhöhter Wert dieser Marker im Urin weist auf eine Beeinträchtigung der Darmbarriere hin. Für die Beurteilung der Darmdurchlässigkeit wird ein Normwert von weniger als 0,07 verwendet. Nicht zuletzt bietet die Analyse der Darmflora, also der Zusammensetzung der im Darm lebenden Bakterien, wichtige Erkenntnisse über den Zustand und die Gesundheit des Darms. Leaky Gut heilen: Schritt-für-Schritt-Anleitung Das Leaky Gut Syndrom erfordert einen ganzheitlichen Ansatz zur Heilung und Stärkung der Darmbarriere. Hier sind einige effektive Maßnahmen, die sich auf den Schutz der Schleimschicht, den Aufbau der Darmflora, die Regeneration der Darmschleimhaut und die Hemmung von Entzündungen konzentrieren, idealerweise lässt Du Dich von einem Heilpraktiker Deines Vertrauens begleiten. 1. Schützen der Schleimschicht Versuche Lebensmittel und besonders Genussmittel zu meiden, die die Schleimschicht angreifen können. Stattdessen sollten schleimbildende Nahrungsmittel wie Leinsamen, Flohsamenschalen oder Chiasamen in die Ernährung integriert werden. Auch Eibischwurzeltee und Süßholzwurzeltee können helfen, die Schleimschicht zu stärken und zu schützen. 2. Aufbauen der Darmflora Die Darmflora lässt sich durch die Einnahme von Probiotika und die Zufuhr von präbiotischen Lebensmitteln wie Inulin oder FOS optimieren. Probiotische Lebensmittel wie rohes Sauerkraut und andere fermentierte Nahrungsmittel sind ebenfalls förderlich. Probiotika regen die Bildung von Tight Junctions an, was die Darmdurchlässigkeit verringern kann. 3. Regenerieren der Darmschleimhaut L-Glutamin spielt eine Schlüsselrolle bei der Heilung der Darmschleimhaut. Diese Aminosäure ist die Hauptenergiequelle für die Zellen der Darmschleimhaut und unterstützt die Reparatur und Regeneration. Eine tägliche Supplementierung mit L-Glutamin kann dazu beitragen, die Integrität der Darmbarriere zu stärken und Entzündungsprozesse zu reduzieren. Zink ist ebenfalls entscheidend für die Gesundheit der Darmschleimhaut. Es unterstützt die Heilung von Schleimhautschäden und fördert die Funktion der Immunabwehr. Die Einnahme von Zink in Verbindung mit L-Glutamin kann synergistisch wirken und die Heilung des Leaky Gut Syndroms effektiv unterstützen. 4. Hemmen von Entzündungen Antioxidantien sind wichtig, um die entzündlichen Prozesse im Darm zu kontrollieren und die Bildung freier Radikale zu reduzieren.Neben einer nährstoffreichen Ernährung können ergänzende Antioxidantien wie Vitamin C, Vitamin E und Selen hilfreich sein, um den Körper bei der Bekämpfung von Entzündungen zu unterstützen. Aufbau der Darmbarriere Die Darmbarriere spielt eine entscheidende Rolle für unsere Gesundheit, indem sie verhindert, dass schädliche Substanzen aus dem Darm in unseren Körper gelangen. Ein intakter Darm ist wie eine sorgfältig bewachte Grenze, die nur nützliche Nährstoffe durchlässt und Schadstoffe abwehrt. Doch durch moderne Lebensgewohnheiten kann diese Barriere  Schaden nehmen, was zum sogenannten Leaky Gut Syndrom führt. So funktioniert die Darmbarriere: 1. Die Schleimschicht: Die äußerste Schutzschicht des Darms besteht aus einem speziellen Schleim, der die Darmwand bedeckt. Dieser Schleim fängt viele Schadstoffe ab, bevor sie tiefer in den Darm eindringen können. Zusätzlich enthält dieser Schleim wichtige Antikörper, bekannt als sekretorisches Immunglobulin A (sIgA), die schädliche Eindringlinge wie Viren oder Toxine binden und sicher aus dem Körper transportieren. 2. Die Darmflora: Direkt auf der Schleimschicht leben Billionen von nützlichen Bakterien, die unser Mikrobiom bilden. Diese probiotischen Bakterien sind nicht nur für die Verdauung wichtig, sondern schützen auch die Darmwand, indem sie schädliche Bakterien verdrängen und Substanzen produzieren, die die Darmzellen ernähren und stärken. 3. Die Darmschleimhaut: Unter der Schleimschicht befindet sich die eigentliche Darmwand, die aus spezialisierten Zellen besteht. Diese Zellen sind durch Strukturen verbunden, die als Tight Junctions bekannt sind. Diese Verbindungen halten die Zellen eng zusammen, um zu verhindern, dass Schadstoffe zwischen ihnen hindurch in den Körper gelangen. Was passiert beim Leaky Gut Syndrom? Beim Leaky Gut Syndrom sind diese Schutzmechanismen gestört. Die Schleimschicht wird dünner, was die Produktion von sIgA verringert und die Darmwand anfälliger für Schäden macht. Gleichzeitig kann eine gestörte Darmflora ihre schützende Funktion nicht mehr voll erfüllen und die Tight Junctions zwischen den Darmzellen lockern sich. Dadurch entstehen Lücken in der Darmwand, durch die nun Schadstoffe und unverdaute Nahrungspartikel in den Blutkreislauf gelangen können. Dies führt zu Entzündungsreaktionen im Körper, die eine Vielzahl von Gesundheitsproblemen nach sich ziehen können. Die Rolle der Ernährung und Lebensweise Eine Schlüsselrolle bei der Entwicklung und Heilung des Leaky Gut Syndroms spielt die Ernährung. Eine Diät, die reich an verarbeiteten Lebensmitteln, Zucker und schädlichen Fetten ist, kann die Darmwand schädigen und die Dysbiose, ein Ungleichgewicht der Darmflora, fördern. Umgekehrt kann eine nährstoffreiche, entzündungshemmende Ernährung, die reich an Gemüse, Obst, hochwertigen Proteinen und gesunden Fetten ist, die Heilung des Darms unterstützen. Hausmittel zur Unterstützung Neben einer ausgewogenen Ernährung können Hausmittel wie Knochenbrühe, Aloe Vera oder Kamillentee entzündungshemmend wirken und die Regeneration der Darmwand unterstützen. Auch der Verzehr von fermentierten Lebensmitteln wie Sauerkraut oder Kefir kann helfen, die Darmflora wieder ins Gleichgewicht zu bringen. Welche Probiotika bei Leaky Gut? Für die Unterstützung bei einem Leaky Gut-Syndrom werden gezielt probiotische Bakterienstämme empfohlen, die dazu beitragen können, die Integrität der Darmschleimhaut zu stärken und übermäßige Durchlässigkeit zu mindern. Zu den effektiven Probiotika, die bei der Behandlung von Leaky Gut hilfreich sein können, zählen unter anderem Bifidobacterium longum, Lactobacillus acidophilus und Lactobacillus plantarum. Diese Stämme sind dafür bekannt, die Darmgesundheit zu fördern und können eine wichtige Rolle bei der Wiederherstellung einer gesunden Darmbarriere spielen. Selbstverständlich enthält Inner Strength diese Probiotika hochdosiert, um Dich optimal beim Leaky Gut unterstützen zu können. Neben der Ernährungsumstellung und der Einnahme von Probiotika sind auch andere Faktoren für die Heilung des Leaky Gut Syndroms wichtig: Stressmanagement: Chronischer Stress kann die Darmdurchlässigkeit erhöhen. Techniken zur Stressreduktion wie Meditation, Yoga oder tiefes Atmen können hilfreich sein. Vermeidung von Schadstoffen: Reduzieren Sie die Exposition gegenüber Toxinen und Schadstoffen in Lebensmitteln, Wasser und Umwelt. Ausreichend Schlaf: Ein gesunder Schlafzyklus unterstützt die Regeneration des Körpers und damit auch die Heilung des Darms. Bewegung: Regelmäßige körperliche Aktivität fördert die Durchblutung und unterstützt die Darmgesundheit. Fazit Das Leaky Gut Syndrom ist ein kompliziertes Gesundheitsproblem, das einen umfassenden Ansatz braucht. Die Behandlung besteht aus einer Mischung aus gesunder Ernährung, der Einnahme von bestimmten Nahrungsergänzungsmitteln und einem gesunden Lebensstil. Indem man diese Schritte befolgt, kann man nicht nur die Beschwerden, die mit einem undichten Darm verbunden sind, lindern, sondern auch die allgemeine Gesundheit verbessern und das Risiko für ernsthafte Krankheiten senken. Wenn Du vermutest, unter einem Leaky Gut Syndrom zu leiden, suche den Rat eines Gesundheitsexperten, um einen individuell abgestimmten Heilungsplan zu entwickeln.

    erkältete Familie

    Probiotika während Erkältung: So stärkt eine gesunde Darmflora Dein Immunsystem

    Probiotika während einer Erkältung Probiotika unterstützen den Aufbau einer vielfältigen Darmflora, was die Aktivität der Immunzellen verbessert. Studien zeigen, dass bestimmte probiotische Stämme, wie Lactobacillus und Bifidobacterium, die Häufigkeit und Schwere von Erkältungen reduzieren können. Während einer Erkältung helfen Probiotika, Entzündungen zu lindern und die Genesung zu beschleunigen. Sie fördern die Balance der Darmflora, die durch Stress oder eine ungesunde Ernährung während der Krankheitsphase beeinträchtigt sein kann. Probiotika bei Antibiotikabehandlungen Wenn eine Erkältung zu einer bakteriellen Infektion führt und Antibiotika notwendig werden, können Probiotika helfen, die Darmflora wiederherzustellen. Antibiotika zerstören nicht nur schädliche, sondern auch nützliche Bakterien, was die Immunabwehr schwächen kann. Probiotika wirken hier als Ausgleich. Experten empfehlen zunehmend, Probiotika während und nach einer Antibiotikabehandlung einzunehmen, um die Darmflora zu unterstützen und das Immunsystem zu stärken. Dies kann helfen, die Nebenwirkungen der Antibiotika zu minimieren und die allgemeine Gesundheit zu verbessern. Hier erfährst du, wie du am besten Probiotika während einer Antibiotika-Therapie einnehmen solltest. [[blog_ad]] Die Kraft der guten Bakterien Probiotika sind lebende Mikroorganismen, die, wenn sie in ausreichender Menge aufgenommen werden, gesundheitliche Vorteile bieten, insbesondere für das Verdauungssystem und das Immunsystem. Der Begriff setzt sich aus dem lateinischen "pro", was "für" bedeutet, und dem griechischen "bios", "Leben", zusammen – also "für das Leben". Diese guten Bakterien spielen eine entscheidende Rolle bei der Aufrechterhaltung einer gesunden Darmflora und stärken die Immunfunktion. Probiotika in der Praxis Eine Studie der University of Otago zeigte, dass Probiotika die Häufigkeit und Dauer von Erkältungen reduzieren können. Teilnehmer, die Probiotika einnahmen, erlitten seltener Erkältungssymptome und wenn, dann für eine kürzere Zeit im Vergleich zu einer Placebo-Gruppe. Die richtige Dosierung Um einen gesundheitsfördernden Effekt zu erzielen, ist es wichtig, Probiotika in ausreichender Menge zu konsumieren. Experten empfehlen 1 bis 5 Milliarden lebende Kulturen pro Tag, entweder durch Nahrungsergänzungsmittel oder fermentierte Lebensmittel. Darmflora als Basis der Immunabwehr Ein gesunder Darm ist das Zuhause von etwa 10 bis 100 Billionen Mikroorganismen, was die Gesamtzahl der menschlichen Körperzellen sogar übersteigt. Diese beeindruckende Vielfalt an Mikroben leistet einen entscheidenden Beitrag nicht nur zur Verdauung, sondern hat auch einen erheblichen Einfluss auf das Immunsystem. Sie spielen eine zentrale Rolle bei der Reduktion von Entzündungen, der Senkung des Cholesterinspiegels und des Blutdrucks und unterstützen die Prävention sowie die Behandlung von Hauterkrankungen und Depressionen. Darmflora und Immunzellen Die immense Bedeutung der Darmflora für die Gesundheit des Immunsystems lässt sich kaum überschätzen. Als komplexe Gemeinschaft spezifischer Bakterien dient die Darmflora als erste Verteidigungslinie gegen Krankheitserreger, indem sie deren Ansiedlung im Darm aktiv verhindert. Zusätzlich bildet der Darm eine Art Ausbildungszentrum für das Immunsystem, in dem Darmbakterien und Immunzellen in ständigem Austausch stehen und voneinander lernen. Diese Interaktion ermöglicht es den Immunzellen, zwischen potenziell schädlichen und harmlosen Eindringlingen zu unterscheiden und adäquat zu reagieren. Entwicklung des Immunsystems Von der Geburt an entwickeln sich Darmflora und Immunsystem parallel zueinander durch die Auseinandersetzung mit den Mikroorganismen aus der Umgebung. Die frühen Lebensjahre sind für die Entwicklung einer vielfältigen und robusten Darmflora entscheidend, die wiederum das Immunsystem in seiner Fähigkeit stärkt, effektiv auf externe Herausforderungen zu reagieren. Eine ausgewogene Darmflora ist daher unerlässlich für die Entwicklung und Aufrechterhaltung einer starken Immunabwehr. Ungleichgewichte in der Darmflora können allerdings negative Auswirkungen auf das Immunsystem haben und zu einer Reihe von Gesundheitsproblemen führen. Daher ist es von größter Wichtigkeit, die Darmgesundheit zu fördern, um das Immunsystem zu unterstützen und das allgemeine Wohlbefinden zu verbessern. Durch die Pflege einer gesunden Darmflora können wir eine starke Basis für die Immunabwehr und eine effektive Vorbeugung gegen Krankheiten schaffen. Fermentierte Lebensmittel als natürliche Probiotika-Quellen Joghurt und Kefir Diese fermentierten Milchprodukte sind natürliche Quellen für Probiotika. Naturjoghurt und Kefir, insbesondere selbst hergestellt, enthalten hohe Mengen an guten Bakterien. Sauerkraut und Kimchi Sauerkraut und Kimchi sind reich an probiotischen Bakterien sowie Vitaminen und Ballaststoffen. Wichtig ist, dass diese Lebensmittel nicht pasteurisiert sind, da der Erhitzungsprozess die nützlichen Mikroorganismen zerstören kann. Fazit Probiotika bieten eine natürliche Möglichkeit, das Immunsystem zu stärken und die Gesundheit des gesamten Körpers zu fördern. Ob durch Nahrungsergänzungsmittel oder den regelmäßigen Verzehr von fermentierten Lebensmitteln – die Integration von Probiotika in den täglichen Speiseplan kann eine effektive Vorsorge gegen Erkältungen und Grippe darstellen. Ein gesunder Darm ist der Schlüssel zu einem starken Immunsystem und einem gesunden Leben.

    Multiple Sklerose und Darmgesundheit: Die Rolle der Darmflora und Probiotika bei MS

    Multiple Sklerose und Darmgesundheit: Die Rolle der Darmflora und Probiotika bei MS

    Das Darm-Mikrobiom in der Pathogenese von MS Zur Verdeutlichung einiger Schlüsselbegriffe: Das Darm-Mikrobiom bezeichnet die Gesamtheit aller genetischen Informationen der Mikroorganismen im Darm. Dieses komplexe System aus Bakterien, Pilzen und Viren spielt eine entscheidende Rolle für lebenswichtige Körperfunktionen, darunter Verdauung und Immunabwehr. Die intestinale Mikrobiota, oft auch als Darmflora bezeichnet, umfasst die umfangreiche und vielseitige Population dieser Mikroorganismen im menschlichen Darm. Diese Mikrobiota ist ein wesentlicher Faktor in der Entwicklung und im Verlauf von Multipler Sklerose (MS). Studien haben gezeigt, dass das Mikrobiom von MS-Patienten deutliche Unterschiede im Vergleich zu gesunden Personen aufweist (1), was auf einen direkten Zusammenhang zwischen der Zusammensetzung der Darmflora und der Erkrankung hindeutet. Forschungen der University of Iowa weisen darauf hin, dass insbesondere ein Mangel an bestimmten "guten" Darmbakterien mit MS in Verbindung gebracht wird (2). Wie kannst Du Deine Darmgesundheit bei MS stärken? Eine Darmsanierung ist besonders bei MS sinnvoll, um die Balance der Darmflora wiederherzustellen. Dies umfasst eine Ernährung reich an Ballaststoffen, die Integration fermentierter Lebensmittel und die Einnahme hochwertiger Probiotika. Probiotika wie Inner Strength können gezielt helfen, das Mikrobiom zu regenerieren und Entzündungen zu reduzieren. Welche Probiotika sind bei MS hilfreich? Nicht alle Probiotika sind gleich wirksam. Für Menschen mit MS sind Stämme wie Lactobacillus rhamnosus und Bifidobacterium longum besonders wertvoll, da sie das Immunsystem beruhigen und die Darmflora stabilisieren können. Unsere Supplements enthalten diese spezifischen Stämme und wurden entwickelt, um das Mikrobiom effektiv zu unterstützen. Probiotika während einer Antibiotika-Therapie Antibiotika können die Darmflora stark beeinträchtigen und das Gleichgewicht der Bakterien stören, was bei MS besonders problematisch sein kann. Probiotika können helfen, diese Effekte abzumildern und die Regeneration des Mikrobioms zu fördern. Ernährung und ihre Wirkung auf MS Die Ernährung hat direkten Einfluss auf die Zusammensetzung des Mikrobioms und damit auch auf den Verlauf von MS. Studien zeigen, dass eine ballaststoffreiche Ernährung das Wachstum schützender Bakterien fördert und so die Entwicklung von MS-ähnlichen Krankheiten reduzieren kann. Allerdings ist dieser Effekt nur präventiv, eine Umstellung der Ernährung nach Krankheitsbeginn zeigt kaum Wirkung. Interessant ist auch, dass bei MS-Patienten Bakterien, die kurzkettige Fettsäuren wie Propionsäure produzieren, weniger verbreitet sind. Die Zugabe von Propionsäure konnte in Studien die Häufigkeit von MS-Schüben verringern (3), was das Potenzial des Mikrobioms für präventive und therapeutische Ansätze unterstreich. Probiotika und das Mikrobiom Probiotika, bekannt für ihre positive Wirkung auf das Darm-Mikrobiom, können einen wertvollen Beitrag zur allgemeinen Darmgesundheit leisten. Obwohl sie natürlich bisher keine Heilung für Multiple Sklerose (MS) bieten, ist ihr Potenzial, die Darmgesundheit zu verbessern und möglicherweise das Risiko für Autoimmunreaktionen zu reduzieren, besonders bemerkenswert. Die Einnahme probiotischer Nahrungsergänzungsmittel könnte somit eine unterstützende Rolle in der Gesundheitsvorsorge spielen, insbesondere bei Erkrankungen, bei denen das Darm-Mikrobiom eine Schlüsselrolle einnimmt. Propionsäure und ihre Anwendung bei MS Propionsäure hat entzündungshemmende Eigenschaften und kann die Funktion von T-Zellen, einer wichtigen Komponente des Immunsystems, stärken. Forschungen zeigen, dass eine regelmäßige Zufuhr von Propionsäure MS-Symptome lindern und das Fortschreiten der Erkrankung verlangsamen kann. Inner Strength enthält Bakterienstämme, die die natürliche Produktion von Propionsäure im Darm fördern, was einen positiven Effekt auf das Immunsystem haben kann. Woher bekommt man Propionsäure? Propionsäure kommt natürlicherweise in fermentierten Lebensmitteln wie Käse oder Sauerkraut vor. Zudem gibt es Nahrungsergänzungsmittel, die eine gezielte Zufuhr ermöglichen. Darmprobleme und Gewichtsverlust bei MS Menschen mit MS leiden häufig unter Darmproblemen wie Verstopfung, Durchfall oder Blähungen. Diese Beschwerden können durch ein Ungleichgewicht der Darmflora oder durch die Nebenwirkungen von Medikamenten verursacht werden. Blähungen und Reizdarm bei MS Ein Reizdarmsyndrom ist bei MS keine Seltenheit. Die Einnahme probiotischer Produkte wie Inner Strength kann helfen, die Symptome zu lindern, indem die Darmflora stabilisiert und Entzündungen reduziert werden. Gewichtsverlust und MS Unbeabsichtigter Gewichtsverlust ist ein weiteres Problem, das bei MS auftreten kann. Eine ausgewogene Ernährung, kombiniert mit Probiotika, kann helfen, den Nährstoffbedarf zu decken und den Gewichtsverlust zu kontrollieren. Die Darm-Gehirn-Verbindung Neueste Forschungen enthüllen, wie das Darm-Mikrobiom nicht nur lokale, sondern auch weitreichende Effekte im Körper hat, insbesondere auf das Gehirn. Man spricht auch von der Darm-Hirn-Achse. Diese Entdeckungen verstärken die Idee, dass das Darm-Mikrobiom als ein eigenständiges, kommunikatives Organ agiert, welches essenzielle Signale an das Immunsystem sendet. Eine bemerkenswerte Studie an der Ruhr-Universität Bochum unter der Leitung von Prof. Dr. Aiden Haghikia beleuchtet speziell die Rolle von kurzkettigen Fettsäuren wie Propionsäure. Diese von Darmbakterien produzierten Substanzen spielen eine entscheidende Rolle in der Immunregulation, insbesondere bei Patienten mit Multipler Sklerose, und eröffnen neue Perspektiven in der Erforschung dieser komplexen Erkrankung. Zukunftsperspektiven und Therapieansätze Die jüngsten Durchbrüche in der Erforschung des Mikrobioms eröffnen aufregende neue Möglichkeiten in der Behandlung von Krankheiten, einschließlich Multipler Sklerose (MS). Ein vertieftes Verständnis des Mikrobioms hat das Potenzial, die Entwicklung neuer Biomarker zur Diagnose sowie revolutionärer Therapien zu ermöglichen, insbesondere in der Ernährungsmedizin. Diese neuen Einblicke könnten den Weg für maßgeschneiderte Ernährungs- und Behandlungskonzepte ebnen, die das Wohlbefinden und die Lebensqualität von MS-Patienten signifikant verbessern könnten. Studien: (1) Gut microbiome of multiple sclerosis patients and paired household healthy controls reveal associations with disease risk and course (2) Role of the gut microbiome in multiple sclerosis: From etiology to therapeutics (3) Propionic Acid Shapes the Multiple Sclerosis Disease Course by an Immunomodulatory Mechanism (4) Gut Microbiome in Progressive Multiple Sclerosis (5) Gut microbiota from multiple sclerosis patients enables spontaneous autoimmune encephalomyelitis in mice Der Artikel dient lediglich der Informationsvermittlung in Bezug auf Probiotika und soll nicht als medizinische Empfehlung oder als Ersatz für professionelle medizinische Beratung oder Behandlung interpretiert werden.

    Brainfog

    Brain Fog: Der Schlüssel zur Lösung liegt im Darm

    Brain Fog, zu Deutsch "Gehirnnebel", beschreibt einen Zustand geistiger Verwirrung oder mangelnder Klarheit. Menschen, die unter Brain Fog leiden, fühlen sich oft vergesslich, unkonzentriert und geistig erschöpft. Obwohl Brain Fog keine eigenständige medizinische Diagnose ist, ist er ein häufig beschriebenes Symptom bei verschiedenen Gesundheitsproblemen. Überraschenderweise könnte die Lösung in unserem Darm liegen. Symptome von Brain Fog Das limbische System, das für die Verarbeitung von Emotionen und Erinnerungen verantwortlich ist, ist oft bei Brain Fog betroffen. Ein Ungleichgewicht, etwa durch oxidativen Stress oder Nährstoffmangel, kann zu folgenden mentalen Symptomen führen: Konzentrationsprobleme: Schwierigkeiten, sich zu fokussieren oder bei einer Aufgabe zu bleiben. Vergesslichkeit: Häufiges Vergessen von kleinen Details oder Aufgaben. Verwirrung: Schwierigkeiten, klare Gedanken zu fassen. Mangelnder Fokus: Unfähigkeit, sich auf eine Aufgabe zu konzentrieren. Müdigkeit: Ein Gefühl der Erschöpfung, das über normale Müdigkeit hinausgeht. Stimmungsschwankungen: Unvorhersehbare emotionale Reaktionen. Kopfschmerzen: Häufiges Auftreten von leichten bis starken Kopfschmerzen. Antriebslosigkeit: Mangel an Energie oder Motivation, Dinge zu tun. Orientierungsprobleme: Schwierigkeiten, sich räumlich oder zeitlich zu orientieren. Diese Symptome können kurzzeitig auftreten oder sich über längere Zeiträume erstrecken, je nachdem, wie lange die zugrundeliegenden Ursachen bestehen bleiben. [[blog_ad]] Verbindung zwischen Darm und Gehirn Die Darm-Hirn-Achse, ein komplexes Netzwerk biochemischer und nervaler Verbindungen, ermöglicht die Kommunikation zwischen Darm und Gehirn. Diese Achse beeinflusst nicht nur unsere Verdauung, sondern auch unsere Stimmung, Emotionen und kognitive Funktionen. Störungen in diesem System können zu Brain Fog führen. Wie Probiotika bei Brain Fog helfen können Aktuelle Studien zeigen, dass Probiotika, insbesondere Multistrain-Produkte, signifikant positive Effekte auf verschiedene Gehirnfunktionen haben können. Sie unterstützen die Kommunikation entlang der Darm-Hirn-Achse und können so Brain Fog entgegenwirken. Praktische Anwendung In einer Studie mit gesunden Probanden, die ein spezielles Probiotikum einnahmen, verbesserten sich sowohl emotionale Reaktionen als auch die kognitive Leistung signifikant. Diese Ergebnisse legen nahe, dass Probiotika einen direkten Einfluss auf die Gehirnfunktion und damit auf die Symptome von Brain Fog haben können. Brain Fog: Ursachen und Lösungsansätze Brain Fog, auch bekannt als mentaler Nebel, ist ein verbreitetes Phänomen und keinesfalls als normal zu betrachten. Es handelt sich um ein Signal des Gehirns, dass ein Ungleichgewicht vorliegt, welches Aufmerksamkeit erfordert. Die Gründe hierfür können vielfältig sein, und das Verstehen dieser Ursachen ist der erste Schritt zur Besserung. Ernährungsbedingte Ursachen: Eine unausgewogene Ernährung zählt zu den Hauptgründen für Brain Fog. Ein ständiger Wechsel zwischen hohen und niedrigen Insulinspiegeln, verursacht durch den Verzehr von Zucker und leeren Kohlenhydraten, kann zu plötzlichen Leistungsabfällen im Gehirn führen. Eine nährstoffreiche, zuckerarme Ernährung, reich an Omega-3-Fettsäuren, ist daher essenziell für die mentale Gesundheit. Gute Fettquellen wie Nüsse, Seefisch und Avocados sind unverzichtbar, da das Gehirn zu einem großen Teil aus Fett besteht. Nahrungsmittelunverträglichkeiten und Allergien: Unverträglichkeiten gegenüber bestimmten Lebensmitteln, wie Gluten oder Laktose, können ebenfalls Brain Fog auslösen. Es lohnt sich, auf die Reaktion des Körpers nach dem Verzehr bestimmter Nahrungsmittel zu achten und gegebenenfalls die Ernährung anzupassen. Flüssigkeitsmangel: Auch Dehydrierung kann zu Konzentrationsschwierigkeiten führen. Eine ausreichende Wasserzufuhr ist daher unerlässlich für die Gehirnfunktion. Nährstoffdefizite: Ein Mangel an wichtigen Vitaminen und Mineralstoffen, wie Vitamin B12, Vitamin D, Omega-3-Fettsäuren, Biotin und Magnesium, kann ebenfalls zu Brain Fog führen. Diese Nährstoffe sind entscheidend für die kognitive Funktion und sollten regelmäßig aufgenommen werden. Schlafmangel: Unzureichender oder gestörter Schlaf beeinträchtigt die Gehirnfunktion und kann zu Brain Fog führen. Ein gesunder Schlafzyklus ist für die geistige Klarheit unerlässlich. Stressfaktoren: Chronischer Stress wirkt sich negativ auf das Gehirn aus und kann zu Brain Fog führen. Stressmanagement-Techniken können dabei helfen, diesen Zustand zu verbessern. Kaffee-Entzug: Der Verzicht auf Koffein kann vorübergehend zu Brain Fog führen, wobei sich der Körper normalerweise nach einer Anpassungsphase erholt. Bewegungsmangel: Regelmäßige körperliche Aktivität verbessert die Durchblutung des Gehirns und kann Brain Fog entgegenwirken. Umwelttoxine: Schädliche Umweltstoffe können auch Brain Fog verursachen. Es ist wichtig, auf eine gesunde und saubere Umgebung zu achten. Dysbiose als Ursache: Ein Ungleichgewicht in der Darmflora, bekannt als Dysbiose, kann ebenfalls zu Brain Fog führen. Die Darmgesundheit spielt eine entscheidende Rolle für die kognitive Funktion. Um die Darmgesundheit zu fördern und Brain Fog zu bekämpfen, können Probiotika, wie die von within angebotenen, eine wichtige Rolle spielen. Diese enthalten hochwertige Bakterienkulturen, die helfen können, das Gleichgewicht der Darmflora wiederherzustellen und so die mentale Klarheit zu verbessern. Koffein und Brain Fog: Freund oder Feind? Ein übermäßiger Konsum von Kaffee kann dazu führen, dass du dich nervös oder geistig erschöpft fühlst. Besonders nachmittags oder abends kann Kaffee die Schlafqualität beeinträchtigen und so Brain Fog verstärken. Entkoffeinierte Alternativen Wenn Kaffee Brain Fog bei dir auslöst, kannst du auf Alternativen wie Kräutertees oder Matcha umsteigen. Diese bieten eine sanftere Anregung, ohne den Blutzuckerspiegel stark zu beeinflussen. Brain Fog nach dem Essen: Was tun? Wenn du dich nach dem Essen müde und geistig träge fühlst, kann dies an einer Überempfindlichkeit gegen bestimmte Lebensmittel wie Gluten oder Milchprodukte liegen. Auch eine unausgeglichene Mahlzeit, die den Blutzuckerspiegel schnell ansteigen und wieder abfallen lässt, kann Brain Fog auslösen. Versuche, Mahlzeiten mit komplexen Kohlenhydraten, gesunden Fetten und Proteinen zu kombinieren, um den Blutzuckerspiegel stabil zu halten. Ergänze deine Ernährung mit probiotischen Lebensmitteln wie Joghurt oder Sauerkraut, um die Darmgesundheit zu fördern Vorteile für die mentale Klarheit Durch die regelmäßige und längerfristige Einnahme vonPro- und Präbiotika kannst du nicht nur deine Darmgesundheit fördern, sondern auch aktiv gegen Brain Fog Unterstützen. Die hochwertigen Inhaltsstoffe unserer Probiotika tragen dazu bei, die mentale Klarheit zu verbessern und die kognitiven Funktionen zu stärken. Fazit: within Probiotika als Wegbereiter für geistige Klarheit Brain Fog muss nicht dein ständiger Begleiter sein! Mit den verschiedenen Lösungsansättzen und der zusätzlichen Unterstützung durch Probiotika wie die Dailys kannst Du aktiv an der Verbesserung Deiner Darmgesundheit und damit an der Linderung von Brain Fog arbeiten. Erlebe, wie eine gesunde Darmflora zu mehr mentaler Klarheit und verbesserten kognitiven Funktionen beitragen kann.  Der Artikel dient lediglich der Informationsvermittlung in Bezug auf Probiotika und soll nicht als medizinische Empfehlung oder als Ersatz für professionelle medizinische Beratung oder Behandlung interpretiert werden.

    Die Verbindung zwischen Darmgesundheit und Langlebigkeit - Lehren aus den Blue Zones

    Die Verbindung zwischen Darmgesundheit und Langlebigkeit - Lehren aus den Blue Zones

     Bedeutung des Darmmikrobioms Das Darmmikrobiom spielt eine entscheidende Rolle für unsere Gesundheit und Langlebigkeit. Diese komplexe Gemeinschaft aus Mikroorganismen beeinflusst nicht nur unsere Verdauung, sondern auch unser Immunsystem, unsere Hautgesundheit, unseren Schlaf, unseren Stoffwechsel und auch unsere Gehirnfunktionen verbunden mit unserer mentalen Gesundheit. Lebensstil- und Ernährungsgeheimnisse der Blue Zones In den Blue Zones, Gebieten mit einer überdurchschnittlich hohen Anzahl von Hundertjährigen, haben die Bewohner einzigartige Ansätze zur Lebensführung und Ernährung, die wesentlich zu ihrer Langlebigkeit beitragen. Ernährung und Bewegung in den Blue Zones Okinawa, Japan: Die Ernährung basiert auf Gemüse, magerem Fisch und Tofu. Weniger Kalorienaufnahme und regelmäßiger Verzehr von grünem Tee sind typisch. Sardinien, Italien: Starke soziale Bindungen und eine aktive Lebensweise, oft durch Landwirtschaft und tägliche Spaziergänge. Loma Linda, Kalifornien: Eine hauptsächlich pflanzliche Ernährung, verbunden mit spirituellen Praktiken. Ikaria, Griechenland: Mittelmeerdiät mit Schwerpunkt auf Gemüse, Olivenöl und Fisch sowie das Praktizieren der Siesta. Nicoya-Halbinsel, Costa Rica: Frisches Obst und Gemüse sowie regelmäßige körperliche Betätigung. Schlüsselfaktoren für ein langes Leben in den Blue Zones Soziale Bindungen: Die Bedeutung von starken Familienbanden und Gemeinschaftsgefühl. Natürliche Bewegung: Integration von körperlicher Aktivität in den Alltag. Stressmanagement: Techniken zur Stressreduktion, wie Meditation und Yoga. Lebenssinn: Ein starkes Gefühl von Zweck und Engagement in der Gemeinschaft. [[blog_ad]] Das Mikrobiom und sein Einfluss auf Langlebigkeit Das Darmmikrobiom ist ein zentraler Faktor nicht nur für unsere momentane Gesundheit sondern für unsere Langlebigkeit. Wissenschaftliche Studien, wie jene der Keio Universität in Japan, zeigen deutlich, dass das Mikrobiom eine wichtige Rolle im Alterungsprozess spielt. Unser Mikrobiom verändert sich im Laufe unseres Alters, es wird weniger divers, d.h die Bakterienvielfalt lässt nach. Menschen, die über 100 Jahre alt werden, zeigen oftmals eine einzigartige Zusammensetzung ihrer Darmflora, die sie vor bestimmten Krankheiten schützt. Laut de Studie zeigt sich besonders bei gesunden älteren Menschen ab 77 Jahren eine Zunahme der Darmbakterienvielfalt und eine vermehrte Produktion entzündungshemmender Stoffwechselprodukte. Spezifische Bakterienarten im Darm von Hundertjährigen, die an der Bildung sekundärer Gallensäuren beteiligt sind, spielen eine wichtige Rolle im Stoffwechsel und in der Immunabwehr. Diese Gallensäuren haben eine starke antimikrobielle Wirkung und könnten mit genetischen Faktoren, Lebensstil und Ernährung zusammenhängen. Dieses Wissen eröffnet neue Perspektiven für die Zukunft, auch für therapeutische Anwendungen, um die positiven Effekte dieser Mikroben zu nutzen. Die neuesten Erkenntnisse über das Darmmikrobiom und die Langlebigkeit bieten spannende Einblicke in das Altern und revolutionieren unser Verständnis von Gesundheit. Sie zeigen, wie wichtig ein ausgeglichenes und vielfältiges Darmmikrobiom für ein langes und gesundes Leben ist. Neue Einblicke in das Darmmikrobiom und das Altern Altersbedingte Veränderungen: Wie das Mikrobiom sich mit dem Alter verändert und die Gesundheit beeinflusst. Schutzfunktionen bei Hundertjährigen: Die Anwesenheit spezifischer Bakterienarten, die zur Prävention bestimmter Krankheiten beitragen. Antimikrobielle Eigenschaften: Die Bedeutung sekundärer Gallensäuren und ihre Wirkung auf die Immunabwehr. Förderung eines gesunden Darmmikrobioms Ernährungsumstellung: Eine ballaststoffreiche, präbiotische Ernährung zur Unterstützung eines vielfältigen Mikrobioms. Fermentierte Lebensmittel: Die Rolle von Probiotika in fermentierten Lebensmitteln wie Joghurt und Kimchi. Entzündungshemmung: Der Zusammenhang zwischen Darmgesundheit und Entzündungsreaktionen im Körper. Psychische Gesundheit: Die Bedeutung des Darm-Hirn-Dialogs für emotionales und mentales Wohlbefinden. Historische Perspektive und wissenschaftliche Erkenntnisse Die Bedeutung der Darmgesundheit ist in verschiedenen Kulturen seit Jahrhunderten bekannt. Moderne Forschungen bestätigen diese Weisheiten, indem sie zeigen, wie Darmbakterien unsere Gesundheit und Langlebigkeit beeinflussen.  Gesunde Ernährung für ein robustes Mikrobiom Eine Schlüsselkomponente zur Förderung eines gesunden Darmmikrobioms ist die Ernährung. Eine abwechslungsreiche und ballaststoffreiche Kost, die reich an präbiotischen Lebensmitteln wie Vollkornprodukten, Obst und Gemüse ist, bildet die Grundlage für ein gesundes Mikrobiom. Präbiotika sind Nahrungsbestandteile, die von unserem Körper nicht verdaut werden können, aber den "guten" Darmbakterien als Nährstoff dienen. Fermentierte Lebensmittel, wie Joghurt und Kimchi, spielen ebenfalls eine wichtige Rolle. Sie enthalten Probiotika – lebende Mikroorganismen, die zur Diversität und Gesundheit des Mikrobioms beitragen. Durch diese natürlichen Probiotika wird das Gleichgewicht der Darmflora unterstützt und gestärkt. Probiotika in hochwertigen Nahrungsergänzungen können sogar noch effektiver sein, da sie höher konzentriert sein kölnnen und definierte Bakterienkulturen enthalten. Eine solche Ernährung, die auf natürliche und unverarbeitete Lebensmittel setzt und dabei künstliche Zusatzstoffe und übermäßigen Zucker meidet, hat sich nicht nur als gesundheitsfördernd erwiesen, sondern trägt auch zu einem längeren und gesünderen Leben bei. Dies lässt sich an den Menschen in den sogenannten Blue Zones erkennen – Regionen, in denen ein überdurchschnittlich hoher Anteil der Bevölkerung ein hohes Alter bei guter Gesundheit erreicht. Ihre Ernährungsgewohnheiten spiegeln genau diese Prinzipien wider: natürliche Vielfalt, reich an Ballaststoffen und präbiotischen sowie probiotischen Elementen, was zu einem robusten und gesunden Mikrobiom führt. Auswirkungen bestimmter Lebensmittelgruppen Polyphenolreiche Lebensmittel wie Beeren und Nüsse fördern die Darmgesundheit. Polyphenole zählen wie bestimmte Ballaststoffe und resistente Stärke zu den Präbiotika. Auf der anderen Seite können verarbeitete und zuckerreiche Lebensmittel Dysbiose und Entzündungen im Darm verursachen. Langlebigkeit durch Darmgesundheit: Probiotika und Präbiotika Probiotika und Präbiotika sind wesentliche Elemente für ein gesundes Darmmikrobiom. Sie unterstützen nicht nur die Darmgesundheit, sondern können auch zur Reduzierung von Entzündungen und zur Unterstützung der psychischen Gesundheit beitragen. Die Rolle des Darms bei der Nährstoffaufnahme Ein funktionstüchtiger Verdauungstrakt ist entscheidend für ein langes und gesundes Leben, da er u.a. für eine optimale Aufnahme essentieller Nährstoffe, Vitamine und Mineralien verantwortlich ist. Diese Nährstoffe sind die Bausteine des Wohlbefindens, die den Körper vor altersbedingten Herausforderungen schützen. Ein gesunder Darm stellt somit die Basis für körperliche Vitalität dar und unterstützt die Langlebigkeit der Körpersysteme. Entzündung: Der Feind des Alterns Chronische Entzündungen werden oft mit dem Alterungsprozess und altersbedingten Krankheiten in Verbindung gebracht.Die Forschung zeigt einen klaren Zusammenhang zwischen Darmgesundheit und Entzündungsreaktionen im Körper: Darmbakterien: Studien (Al Bander et al., 2020) belegen, dass gewisse Darmbakterien mit Entzündungsmolekülen assoziiert sind, die zu Krankheiten wie Fettleibigkeit oder Arteriosklerose führen können. Hauterkrankungen: Das Darmmikrobiom, insbesondere Bifidobacterium, beeinflusst Hauterkrankungen wie Akne oder Psoriasis (Widhiati et al., 2021). Ernährungsbedingte Mikrobiom-Veränderungen: Veränderungen im Darmmikrobiom durch die Ernährung können Entzündungen und Stoffwechselstörungen, einschließlich Diabetes, fördern (Ganesan et al., 2018). Mikrobiom und Atherosklerose: Ein proinflammatorisches Mikrobiom kann Atherosklerose verstärken (Brandsma et al., 2018). Mikrobiota und Immunsystem: Die Wechselwirkungen zwischen Darmmikrobiota und Immunsystem sind entscheidend für die Darmgesundheit und Entzündungsreaktionen (Saini, Dalal & Sharma, 2022). Mikrobiom und Depression: Veränderungen im Darmmikrobiom können Depressionen beeinflussen (Simkin, 2019). Diese Studien verdeutlichen, wie wichtig das Darmmikrobiom für die Regulierung von Entzündungen und den allgemeinen Gesundheitszustand ist. Darm-Hirn-Verbindung: geistige Frische Ein gesunder Geist wohnt in einem gesunden Körper. Die enge Beziehung zwischen Darm und Gehirn spielt eine zentrale Rolle für mentale Gesundheit und Klarheit. Ein unausgeglichener Darm kann zu kognitivem Abbau beitragen, während eine gesunde Darmflora deine geistigen Fähigkeiten im Laufe der Zeit unterstützen kann. Durch die Pflege Deines Darms investierst Du aktiv in die Langlebigkeit Deiner kognitiven Funktionen. Mehr über die Darm-Hirn-Achse erfährst Du hier. Praktische Tipps für eine optimale Verdauung und ein jugendliches Altern Faserreiche Ernährung Setze auf ballaststoffreiche Lebensmittel wie Vollkornprodukte, Nüsse, Samen, Obst, Gemüse und Hülsenfrüchte. Ballaststoffe dienen als Nahrung für wertvolle Darmbakterien und fördern so ein ausgeglichenes Darmmilieu. Probiotische Lebensmittel: Integriere in Deine Ernährung bio-zertifizierten Joghurt, Kefir, Sauerkraut, Kimchi und andere fermentierte Produkte. Diese Nahrungsmittel sind reich an Probiotika, den positiven Bakterien, die die Vielfalt und Balance im Darm unterstützen. Höherdosiert und mit definierten Bakterienstämmen findest Du Probiotika in Nahrungsergänzungen, achte hier auf Qualität, denn sonst können Nahrungsergänzungen auch mehr schaden, als unterstützend guttun! Ausreichende Flüssigkeitszufuhr Trinke ausreichend Wasser über den Tag verteilt. Eine ausreichende Flüssigkeitszufuhr fördert eine gesunde Verdauung und hilft, die Darmwand intakt zu halten. Etwa 60% deines Körpers bestehen aus Wasser. Bewusstes Essen: Nimm Dir Zeit für Mahlzeiten, kaue gründlich und genieße bewusst jeden Bissen. Diese Achtsamkeit unterstützt eine optimale Verdauung und Aufnahme von Nährstoffen. Vielfältige Ernährung Ergänze Deine Mahlzeiten mit einer Vielzahl von pflanzlichen Lebensmitteln, um die Vielfalt deiner Darmbakterien zu fördern. Strebe eine bunte Auswahl an Farben auf deinem Teller an, um eine breite Palette von Nährstoffen aufzunehmen. Fordere Dich heraus, jede Woche über 30 verschiedene Pflanzen zu essen! Stressmanagement: Nutze Techniken wie Meditation, Yoga und tiefe Atmung zur Stressreduktion. Chronischer Stress kann das Gleichgewicht der Darmflora beeinträchtigen. Regelmäßige körperliche Aktivität Bewege Dich regelmäßig, um die Darmbewegung und die allgemeine Verdauung zu unterstützen. Ein Spaziergang in der Morgensonne oder Achtsamkeitsübungen während des Yoga oder Pilates können bereits helfen. Fazit Die Kombination der Erkenntnisse aus den Blue Zones mit den neuesten Forschungen über das Darmmikrobiom bietet einen umfassenden Ansatz für ein gesundes und langes Leben. Die Umsetzung dieser Ernährungs- und Lebensstilgewohnheiten, ergänzt durch die Pflege des Darmmikrobioms, ermöglicht uns, die Fundamente für ein erfülltes, langes Leben zu legen und eine ganzheitliche Gesundheit zu fördern. Der Artikel dient lediglich der Informationsvermittlung in Bezug auf Probiotika und soll nicht als medizinische Empfehlung oder als Ersatz für professionelle medizinische Beratung oder Behandlung interpretiert werden.

    Reizdarmsyndrom

    Probiotika und Reizdarm

    Was ist ein Reizdarm? Reizdarm, auch als funktioneller Darmbeschwerden bekannt, ist eine häufige Erkrankung, bei der die Betroffenen unter Symptomen wie Bauchschmerzen, Verstopfung, Durchfall und Blähungen leiden. Es gibt bislang keine eindeutige Ursache für Reizdarm und die Behandlung kann schwierig sein.  Das Reizdarm-Syndrom (RDS) oder im Englischen Irritable bowel syndrome (IBS) ist eine Herausforderung für die Betroffenen. Die unklare Pathogenese mit vielen zu erforschenden Wegen, störende Symptome, die die Lebensqualität beeinträchtigen, und viele Untertypen der Erkrankung sind nur einige Gründe, die es schwierig machen, den Reizdarm zu kontrollieren und zufriedenstellende Ergebnisse zu erzielen. Ursachen von Reizdarm Die genauen Ursachen von Reizdarm sind noch nicht vollständig verstanden. Mögliche Faktoren, die dazu beitragen können, sind Stress, eine unausgewogene Ernährung, hormonelle Veränderungen und bestimmte Medikamente. Was bedeutet Reizdarm-Syndrom (RDS) Das Reizdarmsyndrom (RDS) ist immer eine s.g. Ausschlussdiagnose, d.h. es wird diagnostiziert, nachdem andere Magen-Darm-Erkrankungen wie Morbus Crohn oder Zöliakie (Glutenunverträglichkeit) ausgeschlossen wurden. Es handelt sich um eine Diagnose per Ausschluss, da Routineuntersuchungen beim Arzt das Reizdarm-Syndrom nicht direkt nachweisen können. Das Reizdarmsyndrom im englischen als Irritable Bowel Syndrome kurz IBS bezeichnet, zeigt sich durch eine Vielzahl von Symptomen wie Durchfall, Verstopfung, Schmerzen und Blähungen, die oft zu dauerhaftem Unwohlsein und einer verminderten Lebensqualität führen. Leider ist die Erkrankung meist chronisch und durch wiederkehrende Veränderungen des Stuhlgangs charakterisiert. Ein auffallendes Merkmal des RDS ist das Fehlen pathologischer Veränderungen wie geschädigter Schleimhaut oder Entzündungen. Dies macht die individuelle Behandlung komplex und erfordert oftmals eine Kombination verschiedener Ansätze. Welche Probiotika sind zu empfehlen bei Reizdarm? Forscher haben bei Patienten mit Reizdarm festgestellt, dass die Zusammensetzung der Darmbakterien verändert ist. Im Vergleich zu gesunden Personen wurden bei ihnen weniger nützliche Bakterien wie Laktobazillen und Bifidobakterien gefunden, dafür jedoch mehr potenziell schädliche Mikroorganismen wie E.coli-Bakterien. Studien haben gezeigt, dass Probiotika die Symptome von Reizdarm bei einigen Patienten verbessern können. Beispielsweise nahmen in einer Studie die Probanden entweder ein Placebo oder ein Probiotikum ein und es wurde festgestellt, dass diejenigen, die das Probiotikum einnahmen, weniger Beschwerden hatten als diejenigen, die das Placebo einnahmen. Als besonders wirksam, die Symptome von Reizdarm zu verbessern, stellte sich eine Kombination von Probiotika heraus, die sowohl Lactobacillus als auch Bifidobacterium enthielt. Diagnose des Reizdarmsyndroms Die Diagnose des Reizdarmsyndroms basiert in der Regel auf der Erfassung der typischen Symptome sowie dem Ausschluss anderer möglicher Erkrankungen. Leider gibt es keine spezifischen Tests, um das Reizdarmsyndrom zu diagnostizieren.In der Regel führt der Arzt eine gründliche Anamnese durch, um andere Erkrankungen auszuschließen. Beim Reizdarmsymptom handelt es sich um eine Ausschlußdiagnose. Eine genaue Diagnose ermöglicht eine gezielte Behandlung und Symptomlinderung. Probiotika: Eine vielversprechende Therapieoption auf das RDS Die aktuelle s.g. S3-Leitlinie zum Reizdarmsyndrom hebt die Bedeutung von Probiotika als Therapieoption hervor. Unter einer S3-Leitlinie wird ein medizinischer Leitfaden verstanden, der auf wissenschaftlichen Belegen und einem strukturierten Konsens von Experten basiert. Dieser Leitfaden bietet evidenzbasierte Empfehlungen für die Behandlung und Diagnose verschiedener Erkrankungen, um Ärzten und Fachpersonal eine fundierte Orientierungshilfe zu geben. Mehrere Studien zeigen, dass verschiedene probiotische Stämme positive Effekte auf das RDS haben, insbesondere bei chronischer Verstopfung, Schmerzen, Blähungen sowie Stuhlfrequenz und -konsistenz. Signifikante Verbesserungen wurden für Bakterienstämme wie Bifidobakterien (z.B. Bifidobacterium infantis 35624, Bifidobacterium longum NCC3001), Lactobazillen (z.B. Lactobacillus plantarum 299v, Lactobacillus acidophilus NCFM) und weitere (z.B. Escherichia coli DSM 17252, Saccharomyces cerevisiae) festgestellt. Unsere within Produkte enthalten verschiedene Bakterienstämme, für die eine Verbesserung des RDS in Studien gezeigt werden konnte! Ernährungsumstellungen und FODMAP-Diät Die S3-Leitlinie betont auch den Zusammenhang zwischen Ernährung und RDS. Lösliche Ballaststoffe (Präbiotika) wie Inulin oder Apfelpektin werden bei Verstopfung und Durchfall empfohlen. In all unserer within Produkten sind neben den hochdosierten Bakterienkulturen und weiteren hochwertigen Inhaltsstoffen auch Inulin enthalten. Die Low-FODMAP-Diät ist eine spezielle Ernährungsweise, die entwickelt wurde, um Symptome bei Personen mit Reizdarmsyndrom (RDS) und ähnlichen Verdauungsstörungen zu lindern. "FODMAP" steht für "Fermentierbare Oligo-, Di-, Monosaccharide und Polyole", eine Gruppe von Kohlenhydraten, die bei manchen Menschen Verdauungsprobleme verursachen können. Bei der Low-FODMAP-Diät werden Lebensmittel, die reich an diesen Kohlenhydraten sind, vermieden oder reduziert. Dazu gehören bestimmte Obst- und Gemüsesorten, Getreide, Milchprodukte und Süßungsmittel. Die FODMAP-Diät besteht aus drei Phasen: Eliminierungsphase: in der FODMAP-reiche Lebensmittel vermieden werden; einer Reintroduktionsphase: in der diese Lebensmittel schrittweise wieder eingeführt werden, um die individuelle Toleranz zu testen Anpassungsphase: in der eine langfristige Ernährungsweise entwickelt wird, die die Symptome minimiert. Es ist wichtig zu beachten, dass diese Diät nicht für jeden geeignet ist und man viele nährstoffreiche Lebensmittel ausschließt. Deshalb ist die Anpassungsphase besonders wichtig. Die Anleitung eines qualifizierten Ernährungsberaters oder Arztes sollte idealerweise in Anspruch genommen werden. Reizdarm Stressreduktion Ein wichtiger weiterer Punkt bei der Behandlung von Reizdarm kann eine Stressreduktion sein, hierbei können Dir verschiedene Entspannungstechniken oder auch Yoga helfen. Wichtig ist, Deinem Darm Zeit zu geben, sich an den neuen Lebensstil anzupassen und auch bei der Einnahme von Probiotika dauert es etwas bis sie ihre gesundheitlichen Effekte entfalten können und es zu einer Linderung kommen kann. Falls Du Fragen hast rund um das Thema Darm und Probiotika, komme gern unter hier auf uns zu. Was tun bei Reizdarm Durchfall oder Reizdarm Verstopfung Eine ausreichende Flüssigkeitszufuhr ist für die Behandlung von Reizdarm unabdingbar, unabhängig davon, ob die Symptome Verstopfung oder Durchfall sind. Mindestens 1,5 bis 2 Liter Wasser sollten es täglich sein, um den Stoffwechsel in Schwung zu halten und den Körper optimal zu unterstützen. Bei ausgeprägten Reizdarm Durchfällen kann Leinsamen helfen, den Stuhl zu binden. Es ist jedoch wichtig, dass man nicht mehr als zwei Esslöffel Leinsamen pro Tag zu sich nimmt und auf eine ausreichende Flüssigkeitszufuhr achtet (2).  Treten aufgrund des Reizdarmes Verstopfungen auf, so sollte schrittweise auf eine ballaststoffreiche Ernährung umgestiegen werden. Sanfte Ausdauersportarten wie zum Beispiel Wandern, Walken, Radfahren aber auch Schwimmen können bei Reizdarm Verstopfungen helfen, denn sie regen die Darmperistaltik von außen an, wodurch träge Magen-Darm-Muskeln wieder zur Bewegung angeregt werden können. Wenn all diese Maßnahmen nicht helfen konnten, können auch, in Absprache mit dem behandelnden Arzt, kurzfristig Abführmittel eingenommen werden. Stressreduktion ist sowohl bei Reizdarm Durchfall wie auch bei Reizdarm Verstopfungen ein wichtiger Faktor. Es gibt verschiedene Verfahren wie Yoga, Akupunktur und Osteopathie, die zur Behandlung von Reizdarm eingesetzt werden können und die in Kombination mit anderen Therapien die Symptome lindern können. Weitere Therapieoptionen und Selbstmedikation Neben der Anpassung der Ernährung und der Einnahme von Probiotika gibt es weitere Therapieoptionen und Möglichkeiten zur Selbstmedikation, die sich bei der Behandlung des Reizdarmsyndroms (RDS) als hilfreich erwiesen haben. Eine beliebte und natürliche Methode ist die Verwendung von Pfefferminzöl.Es wird oft zur Linderung von Darmkrämpfen eingesetzt, da es entspannende Eigenschaften auf die glatte Muskulatur des Darms hat. Ebenso können verschiedene Phytopharmaka wie Berberin, Carmint und Padma Lax nützlich sein. Diese pflanzlichen Arzneimittel können helfen, verschiedene Symptome des RDS zu lindern. Bei spezifischen Beschwerden wie abdominalen Krämpfen (Unterleibskrämpfen) wird häufig Butylscopolaminiumbromid eingesetzt. Dieses Medikament kann helfen, die Muskelspasmen des Darms zu reduzieren. Für die Behandlung von Diarrhoe (Durchfall) ist der Wirkstoff Loperamid ein gängiges Mittel. Es verlangsamt die Darmbewegungen und erhöht die Aufnahme von Flüssigkeit und Salzen aus dem Darminhalt. Für Menschen, die unter Verstopfung leiden, werden oft Laxanzien vom Macrogol-Typ empfohlen. Diese wirken, indem sie Wasser im Darm binden und somit den Stuhl weicher machen, was die Darmpassage erleichtert. Es ist wichtig zu betonen, dass diese Behandlungsmethoden individuell unterschiedlich wirksam sein können und auch rezeptfreie Medikamente viele Nebenwirkungen haben können! Medikamentöse Therapieoption für das Reizdarmsyndrom Für das Reizdarmsyndrom stehen verschiedene medikamentöse Therapieoptionen zur Verfügung. Dazu gehören Antispasmodika, die Krämpfe und Schmerzen im Darm lindern können. Bei Durchfall können loperamidhaltige Präparate helfen, um den Stuhlgang zu regulieren. Bei starken Schmerzen haben niedrig dosierte Antidepressiva, die auch die Darmbewegungen beeinflussen, einen Erfolg gezeigt. Die Einnahme von Probiotika werden ebenfalls häufig zur Verbesserung der Darmflora eingesetzt. Der Vorteil von Probiotika ist, dass sie im Gegensatz zu vielen verschreibungspflichtigen Medikamenten nebenwirkungsarm sind. Die Wahl der Medikamente hängt von der individuellen Situation und den Symptomen ab und sollte in Absprache mit einem Arzt erfolgen. Fazit Die Behandlung des Reizdarmsyndroms erfordert oft einen integrativen Ansatz, der Probiotika, Ernährungsumstellungen, medikamentöse Behandlungen und bei Bedarf auch Verhaltensänderungen oder Psychotherapie einschließen kann. Jeder Betroffene reagiert unterschiedlich, daher ist es wichtig, individuelle Behandlungspläne zu entwickeln, die auf die spezifischen Symptome und Bedürfnisse des Einzelnen abgestimmt sind. Die Wirksamkeit von Probiotika bei der Behandlung des Reizdarmsyndroms (IBS) wurde in verschiedenen Studien gezeigt. Diese Studien deuten darauf hin, dass Probiotika eine vielversprechende Behandlungsoption für IBS darstellen können, insbesondere bei der Verbesserung von Symptomen wie Bauchschmerzen, Blähungen und Verdauungsbeschwerden. FAQs  Welche Darmbakterien fehlen bei Reizdarm? Wird die Zusammensetzung der Darmbakterien von Patienten mit Reizdarm mit der gesunder Personen verglichen, so  wurden bei Patienten mit Reizdarm weniger nützliche Bakterien wie Laktobazillen und Bifidobakterien gefunden, dafür jedoch mehr potenziell schädliche Mikroorganismen wie E.coli-Bakterien. Welches ist das beste Mittel bei Reizdarm? Es gibt kein bestimmtes Medikament, das bei allen Menschen mit Reizdarm wirksam ist. Eine Behandlung kann je nach Ursache des Reizdarms und dem individuellen Symptomprofil des Patienten unterschiedlich sein. Einige Medikamente, die bei Reizdarm eingesetzt werden können, sind Antispasmodika (zur Linderung von Krämpfen im Darm), Antidepressiva (zur Linderung von Angst- und Stresssymptomen) und Probiotika (zur Verbesserung der Darmflora). Wobei Probiotika zu den nicht-pharmazeutischen Behandlungen zählt und kaum Nebenwirkungen zu erwarten sind. Allerdings ist Probiotikum nicht gleich Probiotikum und die Wirksamkeit ist abhängig von der Dosierung, den eingesetzten Mikroorganismen und auch der Darreichungsform. Welche Behandlungsmöglichkeiten gibt es bei Reizdarm? Es gibt keine spezifische Therapie für Reizdarm, sondern in erster Linie eine Symptombehandlung. Dazu gehören z.B. Medikamente gegen Schmerzen und Blähungen, eine ausgewogene Ernährung, Entspannungstechniken oder Sport. Auch spezielle Probiotika können laut verschiedener Studien Linderung der Symptome bringen und gegebenenfalls auch das “Chaos” im Darm reduzieren. Kann man Reizdarm verhindern? Es gibt keine Garantie dafür, dass man Reizdarm vollständig verhindern kann, aber es gibt einige Maßnahmen, die man ergreifen kann, um das Risiko zu verringern. Dazu gehören z.B. ausreichend Bewegung, Stressreduktion, eine ausgewogene, ballaststoffreiche Ernährung und genug Schlaf. Welche Darmkur bei Reizdarm? Es gibt verschiedene Methoden, die helfen können, die Symptome des Reizdarmsyndroms zu lindern. Eine Darmkur kann eine davon sein. Eine Darmkur kann aus einer Diät bestehen, die bestimmte Lebensmittelgruppen meidet und andere bevorzugt. Eine solche Diät kann beispielsweise eine low-FODMAP-Diät sein. FODMAPs sind bestimmte Zuckerarten, die in vielen Lebensmitteln vorkommen und bei manchen Menschen mit Reizdarm Beschwerden auslösen können. Eine weitere Möglichkeit kann eine Ernährungsumstellung sein, bei der man auf glutenhaltige Produkte oder Milchprodukte verzichtet. Eine andere Methode kann die Einnahme von probiotischen Nahrungsergänzungsmitteln sein, die dazu beitragen können, die Darmflora zu regulieren und dadurch die Symptome zu lindern. Welche Probiotika lindern das Reizdarmsyndrom? Bestimmte  Probiotika können laut einige Studien Symptome des Reizdarms lindern. Einige der am häufigsten untersuchten Probiotika-Stämme bei Reizdarm sind: Lactobacillus acidophilus Bifidobacterium bifidum Bifidobacterium lactis Lactobacillus plantarum Achte bitte beim Kauf von Probiotika auf seriöse Hersteller und neben den gewünschten Probiotika auch auf die weiteren Inhaltsstoffe, um eine weitere Reizung des Darms zu verhindern. Analyse Zertifikat Studien RDS / IBS Meta-analysis of probiotics for the treatment of irritable bowel syndrome Probiotics — even inactive ones — may relieve IBS symptoms Effect of Probiotics on Symptoms in Korean Adults with Irritable Bowel Syndrome Effectiveness of probiotics in irritable bowel syndrome: Updated systematic review with meta-analysis Diet in irritable bowel syndrome: What to recommend, not what to forbid to patients!. World J Gastroenterol. Der Artikel dient lediglich der Informationsvermittlung in Bezug auf Probiotika und soll nicht als medizinische Empfehlung oder als Ersatz für professionelle medizinische Beratung oder Behandlung interpretiert werden.

    Probiotika

    Probiotika – Wundermittel oder überschätzter Hype?

    Funktionsweise und Bedeutung von Probiotika Probiotika sind in aller Munde, doch was genau sind das und vor allem wirken sie wirklich oder ist das nur wieder ein neuer Gesundheits-Hype? Probiotika bestehen aus lebenden Mikroorganismen und sie zielen darauf ab, das Gleichgewicht im Darmmikrobiom wiederherzustellen, ein Prozess, der oft als "Darmsanierung" bezeichnet wird. [[blog_ad]] Die Rolle des Darms und das Mikrobiom Unser Darm, ein komplexes und faszinierendes Organ, ist entscheidend für die Nährstoffaufnahme und für etwa 80 % unserer Immunreaktionen verantwortlich. Außerdem steht er in Verbindung mit anderen Körpersystemen, einschließlich des Gehirns, was sich in der Forschung zur Darm-Hirn-Achse widerspiegelt. Der Darm beeinflusst diverse Gehirnfunktionen und ist somit zentral für unser Wohlbefinden. Eine ausgewogene Darmflora, das Mikrobiom, ist für die effektive Funktion des Darms unerlässlich. Dieses Mikrobiom, vergleichbar mit einem Ökosystem eines Regenwaldes, benötigt ein harmonisches Zusammenleben der verschiedenen Mikroorganismen. Es besteht aus bis zu 100 Billionen Bakterien, die in vielfältigen Stämmen vorkommen, ähnlich den unterschiedlichen Pflanzenarten eines Waldes. Ursachen und Folgen einer gestörten Darmflora Ungünstige Faktoren wie ungesunde Ernährung, Stress oder Medikamente können ein Ungleichgewicht in der Darmflora, bekannt als Dysbiose, verursachen. Diese Dysbiose wird mit verschiedenen Gesundheitsproblemen in Verbindung gebracht, darunter Erschöpfung, Übergewicht, ein geschwächtes Immunsystem sowie Allergien, Autoimmunerkrankungen und noch vieles mehr. Die Rolle von Probiotika Probiotika spielen eine entscheidende Rolle, indem sie speziell ausgewählte, vorteilhafte Darmbakterien liefern, um das Gleichgewicht im Darmmikrobiom wiederherzustellen und die Funktionalität des Darms zu unterstützen. Doch ihr Nutzen geht weit über die Verbesserung der Verdauung hinaus. Aktuelle Forschungen belegen, dass bestimmte Probiotika weitreichende positive Auswirkungen haben können, von der mentalen Gesundheit über die Hautbeschaffenheit bis hin zur Stärkung des Immunsystems, Verbesserung der Schlafqualität und sogar zur Beeinflussung des Körpergewichts. Diese vielfältigen Vorteile unterstreichen, wie tiefgreifend Probiotika unsere Gesundheit und unser Wohlbefinden beeinflussen können. Das Darmmikrobiom – Ein komplexes Ökosystem in unserem Körper Das menschliche Darmmikrobiom ist ein komplexes System, das bis zu 100 Billionen Bakterien umfasst. Diese Mikroorganismen sind für verschiedene Körperfunktionen unerlässlich, darunter die Nährstoffaufnahme, die Immunabwehr und sogar die psychische Gesundheit. Eine ausgewogene Darmflora ist daher entscheidend für das allgemeine Wohlbefinden. Mythen und Wahrheiten über Probiotika – Trennung von Fakt und Fiktion Rund um Probiotika entstanden, wie es oft bei populären Themen der Fall ist, schnell viele Mythen und Annahmen, die die Wahl des richtigen Produkts verkomplizieren. Hier betrachten wir einige der gängigsten Mythen genauer: Mythos 1: Alle Probiotika sind identisch Fakt: Diese Annahme ist eindeutig falsch. Die Analysen verschiedener Probiotika zeigen deutliche Unterschiede, vor allem in Bezug auf die Anzahl der enthaltenen Bakterienstämme, die Dosierung und die Verpackung. Diese Faktoren sind ausschlaggebend für die Produktqualität. Ein wichtiger Tipp: Skeptisch sein bei extrem günstigen Produkten! Qualitativ hochwertige Forschung, die gezielte Auswahl der Bakterienstämme, eine hohe Dosierung und eine angemessene Verpackung rechtfertigen einen gewissen Preis. Eine nützliche Regel: Selbst exzellente Probiotika kosten maximal ein Euro pro Tag. Mythos 2: Probiotika werden durch Magensäure zerstört. Fakt: Das hängt von den verwendeten Probiotika ab und kann durchaus der Fall sein! Within schützt seine hochwertigen Bakterienkulturem in veganen Magensäure-resistente Kapseln. Mythos 3: Probiotika sind nicht effektiver als herkömmliche Ernährung. Fakt: Es stimmt nicht! Es gibt viele Lebensmittel, die natürlich probiotische Eigenschaften aufweisen. Produkte wie Joghurt, Sauerkraut und das beliebte Kimchi enthalten z.B. Milchsäurebakterien. Allerdings bieten diese meist nur eine begrenzte Auswahl an Bakterienstämmen. Ein weiterer wichtiger Punkt ist, dass viele Produkte nach der Fermentation oftmals pasteurisiert werden. Der Prozess der Pasteurisierung, der bei vielen Lebensmitteln angewandt wird, sowohl schädliche als auch nützliche Bakterien abtötet. Oftmals sind Produkte wie eingelegte Gurken gar nicht fermentiert sondern in Essig eingelegt. Interessanterweise ist auch die Konzentration der Bakterien in Probiotika in Nahrungsergänzungen signifikant höher. Qualitativ hochwertige Mikrokulturen-Präparate enthalten mindestens 10 Milliarden koloniebildende Einheiten pro Dosis. Um diese Bakterienmenge durch Joghurt zu erreichen, müsste man riesige Mengen davon verzehren – eine so große Menge, die weit über den normalen Konsum weit hinausgeht. Mythos 4: Das Darmmikrobiom ist unbedeutend für unsere Gesundheit. Fakt: Zahlreiche Studien belegen den Zusammenhang zwischen dem Darmmikrobiom und vielen verschiedenen Aspekten unserer Gesundheit. So zeigte ein Forscherteam aus Chicago, dass Mäuse mit einem geschwächten Immunsystem nach dem Kontakt mit Krankheitserregern eine vielfach höhere Überlebenschance hatten, nachdem ihnen das Mikrobiom, also die Mikroorganismen, von gesunden Mäusen zugeführt wurde . Ähnliche Studien gibt es zum Beispiel auch zu den Themen Allergien und Abgeschlagenheit. Auch konnte ein Zusammenhang zweischen einer Dysbiose und Übergewicht, wie auch verschiedenen mentalen Problemen wissenschaftlich festgestellt werden. Mythos 5: Sofortige Wirkung von Probiotika Fakt: unwahrscheinlich. Probiotika sind darauf ausgelegt, das Darmmikrobiom über einen längeren Zeitraum hinweg zu fördern und zu stabilisieren. Angesichts der enormen Anzahl an Bakterien im menschlichen Darm ist es unrealistisch, unmittelbare Effekte zu erwarten. Es ist zwar möglich, dass einige Nutzer bereits in der ersten Woche leichte Verbesserungen, insbesondere bei der Verdauung, feststellen können, doch für sichtbare und anhaltende Ergebnisse raten Experten zu einer regelmäßigen Einnahme von Probiotika über mindestens zwei bis drei Monate. Kriterien für die Auswahl hochwertiger Mikrokulturen-Präparate Die Auswahl des richtigen Mikrokulturen-Präparats ist entscheidend. Achte auf folgende Merkmale: Vielfalt der Bakterienstämme: Ein breites Spektrum an Bakterienstämmen sorgt für eine umfassendere Unterstützung des Mikrobioms. Koloniebildende Einheiten (kbE): Hochdosierte Präparate mit mindestens 10 Mrd. kbE sind zu bevorzugen. Unterstützung der Darmschleimhaut: Zusätze wie Biotin helfen bei der Erhaltung einer gesunden Darmschleimhaut, was für die Wirksamkeit der Probiotika entscheidend ist. Verpackungsqualität: Je nach Probiotikum bietet ein dunkles Glas einen optimalen Schutz vor Licht und Feuchtigkeit und garantieren die Lebensfähigkeit der Bakterien. Zertifizierungen und Standards: GMP-Zertifizierung steht für hohe Herstellungsstandards und garantiert die Qualität der Präparate.   Der Artikel dient lediglich der Informationsvermittlung in Bezug auf Probiotika und soll nicht als medizinische Empfehlung oder als Ersatz für professionelle medizinische Beratung oder Behandlung interpretiert werden.

    Probiotika und Schokolade: Ein charmantes Duo für die Darmgesundheit

    Probiotika und Schokolade: Ein charmantes Duo für die Darmgesundheit

    Die verborgenen Gesundheitsvorteile dunkler Schokolade Schokolade, ein universeller Seelentröster, birgt überraschende gesundheitliche Vorteile, besonders wenn sie reich an Kakao ist. Dunkle Schokolade, bekannt für ihren hohen Kakaoanteil, übertrifft nicht nur ihre milch- und weißschokoladenen Pendants im Geschmack, sondern auch in ihren gesundheitlichen Auswirkungen. Die in dunkler Schokolade enthaltenen Flavonoide und Polyphenole können sich positiv auf Herz-Kreislauf-Erkrankungen auswirken, die Haut vor UV-Schäden schützen und den Cholesterinspiegel, die Darmgesundheit sowie die Herz- und Lungenfunktion verbessern. Neben diesen Vorteilen enthält dunkle Schokolade auch wertvolle Mineralien und Spurenelemente wie Eisen, Magnesium, Kalium, Phosphor und Zink. Dunkle Schokolade und das Darm-Mikrobiom Neue Studien haben gezeigt, dass dunkle Schokolade nicht nur die Stimmung verbessern, sondern auch das Darm-Mikrobiom positiv beeinflussen kann. Eine randomisierte, kontrollierte Studie mit erwachsenen Teilnehmern, die über einen Zeitraum von drei Wochen täglich dunkle Schokolade mit einem Kakaoanteil von 85 % konsumierten, zeigte signifikante Auswirkungen auf die Zusammensetzung des Darmmikrobioms. Die Studie ergab, dass die Vielfalt der Darmbakterien zunahm und insbesondere das Wachstum vorteilhafter Bakterien wie Blautia obeum gefördert wurde. Diese Veränderungen im Darmmikrobiom korrelierten mit einer verbesserten Stimmung, gemessen anhand des PANAS-Fragebogens. Diese Ergebnisse deuten darauf hin, dass dunkle Schokolade präbiotische Eigenschaften besitzt, die nicht nur das Darmmikrobiom stärken, sondern auch zur psychischen Gesundheit beitragen können. Die in der Schokolade enthaltenen sekundären Pflanzenstoffe spielen dabei eine wesentliche Rolle. Sie interagieren mit den Darmbakterien und tragen so zu einer gesünderen Darmflora und damit zu einem verbesserten allgemeinen Wohlbefinden bei. [[blog_ad]] Probiotika und Schokolade: Ein charmantes Duo für die Darmgesundheit Probiotika können eine entscheidende Rolle für die Gesundheit des Darmmikrobioms spielen, indem sie das Wachstum günstiger Bakterien unterstützen.Diese nützlichen Bakterien freuen sich sehr, wenn sie ab und zu ein Stückchen dunkler Schokolade bekommen. Man könnte behaupten, dass die in der Schokolade enthaltenen Inhaltsstoffe für die Darmbakterien wie ein kleines Festmahl wirken, was wiederum ihre positive Wirkung verstärken könnte. Kurz gesagt: Eine Kombination aus Probiotika und gelegentlichem Schokoladengenuss kann ein kleiner, aber feiner Beitrag zu mehr Wohlbefinden sein. Moderation und Qualität Trotz ihrer gesundheitlichen Vorteile sollte der Konsum von Schokolade moderat erfolgen. Dunkle Schokolade ist zwar reich an gesunden Inhaltsstoffen, enthält aber auch Kalorien und sollte nicht als Ersatz für eine ausgewogene Ernährung angesehen werden. Fachleute empfehlen, hochprozentige dunkle Schokolade als Genussmittel zu betrachten und sie in Maßen zu genießen. Es ist auch wichtig, auf die Qualität der Schokolade zu achten. Produkte mit hohem Kakaoanteil und geringerem Zuckerzusatz sind vorzuziehen, da sie die höchsten Konzentrationen gesundheitsfördernder Inhaltsstoffe enthalten. Fazit Dunkle Schokolade, einst als einfache Süßigkeit angesehen, erweist sich als ein komplexes und nützliches Nahrungsmittel, das sowohl die körperliche als auch die psychische Gesundheit fördern kann. Durch ihren hohen Anteil an sekundären Pflanzenstoffen kann sie das Darm-Mikrobiom positiv beeinflussen und so zur Verbesserung der Stimmung beitragen. In Maßen genossen, kann dunkle Schokolade also ein wertvoller Bestandteil einer gesunden Ernährung sein. Studien Consumption of 85% cocoa dark chocolate improves mood in association with gut microbial changes in healthy adults: a randomized controlled trial Der Artikel dient lediglich der Informationsvermittlung in Bezug auf Probiotika und soll nicht als medizinische Empfehlung oder als Ersatz für professionelle medizinische Beratung oder Behandlung interpretiert werden.

    reistente Stärke in Kartoffen

    Resistente Stärke: Vorteile für die Darmflora, Gesundheit und Gewichtsabnahme

    Was ist resistente Stärke und wie fördert sie die Darmgesundheit? Resistente Stärke ist eine Form von Kohlenhydraten,die im Dünndarm nicht verdaut wird. Stattdessen gelangt sie in den Dickdarm, wo sie als Nahrung für die guten Darmbakterien dient. Diese Bakterien, auch bekannt als Probiotika, fermentieren die resistente Stärke und produzieren dabei wichtige kurzkettige Fettsäuren wie Butyrat. Diese Fettsäuren, die zu den s.g. Postbiotika zählen, sind entscheidend für eine gesunde Darmflora, unterstützen die Verdauung und stärken das Immunsystem. Die Vorteile resistenter Stärke für die Gesundheit 1.Unterstützung der Darmflora Resistente Stärke dient als Nahrung für nützliche Bakterien wie Lactobacillus und Bifidobacterium. Sie fördert das Wachstum dieser Bakterien und unterstützt damit eine gesunde Darmflora. Eine ausgewogene Darmflora kann Blähungen, Verstopfung und andere Verdauungsprobleme reduzieren. 2. Gewichtsabnahme Resistente Stärke hat weniger Kalorien als normale Kohlenhydrate und sorgt für ein längeres Sättigungsgefühl. Sie stabilisiert den Blutzuckerspiegel, was Heißhungerattacken verhindert und den Fettstoffwechsel unterstützt. 3. Prävention und Unterstützung bei Diabetes Studien zeigen, dass resistente Stärke dazu beitragen kann, den Insulinspiegel zu regulieren. Dies ist besonders für Menschen mit Diabetes oder einer Insulinresistenz von Vorteil. 4. Allgemeine Gesundheit Resistente Stärke wirkt entzündungshemmend und kann das Risiko für chronische Erkrankungen wie Herz-Kreislauf-Erkrankungen oder Darmkrebs reduzieren. Retrogradierte Stärke: Weniger Kalorien, Mehr Gesundheit Die Umwandlung, die stärkehaltige Lebensmittel wie Kartoffeln und Reis beim Abkühlen erfahren, ist faszinierend. Durch den Kochprozess aufgebrochene Stärkemoleküle ordnen sich neu an und verwandeln sich in das, was wir als "retrogradierte Stärke" oder resistente Stärke kennen. Diese besondere Stärkeform entzieht sich dem Zugriff des Verdauungsenzyms Amylase, bleibt also selbst bei erneutem Erhitzen der Lebensmittel unverdaut. Das bedeutet, dass sie fast vollständig in den Dickdarm gelangt, wo sie von den Darmbakterien begeistert als Nahrungsquelle genutzt wird. Ein zusätzlicher Pluspunkt: Retrogradierte Stärke liefert weniger Kalorien als die in frisch gekochten Produkten enthaltene Stärke. Diese Eigenschaft macht sie nicht nur zu einem wertvollen Verbündeten für die Darmgesundheit, sondern unterstützt auch effektiv die Kontrolle der täglichen Energieaufnahme. [[blog_ad]] Welche Lebensmittel enthalten resistente Stärke? Kartoffeln und Reis Kartoffeln und Reis sind natürliche Quellen resistenter Stärke, besonders wenn sie nach dem Kochen abgekühlt werden. Dieser Prozess, bekannt als Retrogradation, erhöht den Gehalt an resistenter Stärke erheblich. 💡 Tipp: Bereite Kartoffeln oder Reis vor, lasse sie abkühlen und verwende sie für Salate oder als Beilage. So kannst Du den Gehalt an resistenter Stärke maximieren. Grüne Bananen Unreife, grüne Bananen sind eine hervorragende Quelle resistenter Stärke. Sie eignen sich besonders als Zutat für Smoothies. Hülsenfrüchte Linsen, Kichererbsen und Bohnen enthalten ebenfalls resistente Stärke und liefern zusätzlich wertvolle Proteine und Ballaststoffe. Haferflocken Auch Haferflocken enthalten resistente Stärke, vor allem, wenn sie über Nacht eingeweicht werden. Der Nutzen von resistenter Stärke für das Darmmikrobiom Resistente Stärke ist ein wahrer Segen für das Darmmikrobiom und wird von unseren Darmbakterien geradezu geliebt. Als hochwertiges Präbiotikum dient sie den guten Bakterien im Darm als Nahrung und unterstützt dadurch eine gesunde Verdauung. Die regelmäßige Aufnahme von resistenter Stärke trägt nicht nur zu einem gesünderen Stuhlgang bei, sondern hat auch entzündungshemmende Effekte. Zusätzlich wird die Insulinsensitivität verbessert, was besonders für Personen mit Diabetes von Bedeutung ist. Interessanterweise deuten aktuelle Forschungsergebnisse darauf hin, dass resistente Stärke möglicherweise auch präventive Wirkung gegen Darmkrebs entfalten könnte. Diese vielfältigen gesundheitlichen Vorteile machen resistente Stärke zu einem wertvollen Bestandteil einer ausgewogenen Ernährung. Maniokmehl als natürliche Quelle resistenter Stärke Neben gekochten und abgekühlten stärkehaltigen Lebensmitteln ist auch Maniokmehl eine reiche Quelle an resistenter Stärke. Dieses Mehl, gewonnen aus der Maniokwurzel, enthält von Natur aus hohe Mengen an resistenter Stärke und kann somit direkt zur Verbesserung der Darmgesundheit beitragen. Die Synergie von resistenter Stärke und Probiotika Die Kombination von resistenter Stärke mit probiotischen Nahrungsergänzungen kann deine Darmgesundheit noch weiter verbessern. Während resistente Stärke das Wachstum von guten Bakterien im Darm fördert, können Probiotika in Nahrungsergänzungen zusätzliche Mikroorganismen bereitstellen, die das Darmmikrobiom bereichern und die Verdauungsgesundheit fördern. Fazit Resistente Stärke ist ein wertvoller Verbündeter für ein gesundes Darmmikrobiom. Durch ihre Aufnahme in Form von alltäglichen Lebensmitteln oder natürlichen Quellen wie Maniokmehl kannst du deine Darmgesundheit effektiv unterstützen. In Kombination mit Probiotika bietet sie einen ganzheitlichen Ansatz, um nicht nur ein gesundes Gewicht zu fördern, sondern auch das allgemeine Wohlbefinden zu steigern. Studien Resistant Starch Regulates Gut Microbiota: Structure, Biochemistry and Cell Signalling Resistant starch decreases intrahepatic triglycerides in patients with NAFLD via gut microbiome alterations Der Artikel dient lediglich der Informationsvermittlung in Bezug auf Probiotika und soll nicht als medizinische Empfehlung oder als Ersatz für professionelle medizinische Beratung oder Behandlung interpretiert werden.

    Ist Ketchup gesund? Zucker, Inhaltsstoffe und Auswirkungen auf die Verdauung

    Ist Ketchup gesund? Zucker, Inhaltsstoffe und Auswirkungen auf die Verdauung

    Wie gesund ist Ketchup? Ketchup besteht in der Regel aus Tomatenmark, Zucker, Essig und Gewürzen. Während Tomaten gesund sind und Antioxidantien wie Lycopin enthalten, wird dieser gesundheitliche Vorteil oft durch die hohen Mengen an Zucker und Salz in Ketchup überschattet. Ein Esslöffel herkömmlicher Ketchup enthält etwa 4-5 Gramm Zucker – das entspricht ungefähr einem Teelöffel. Der übermäßige Konsum kann langfristig das Risiko für Übergewicht, Karies und andere Gesundheitsprobleme erhöhen. [[blog_ad]] Ketchup und das Darmmikrobiom: Eine Wunderquelle für gute Bakterien? Ketchup kann tatsächlich positiv auf unsere Darmflora wirken. Studien zeigen, dass der Konsum von Tomatenprodukten, wie Ketchup, die Anzahl guter Darmbakterien erhöhen kann. Dies ist besonders interessant, da ein gesundes Darmmikrobiom essentiell für unser allgemeines Wohlbefinden ist. Aber Vorsicht: Nicht jedes Ketchup ist gleich! [[blog_ad]] Vorsicht vor Schadstoffen: Das Beispiel Heinz Ketchup Bei der Untersuchung verschiedener Ketchup Sorten vom Öko-Test fiel besonders der beliebte Heinz Ketchup negativ auf! Bei keinem anderem Ketchup wurde eine so hohe Menge an Schimmelpilzgiften und auch Zucker wie im Heinz Ketchup festgestellt. Schimmelpilzgiften können das Erbgut schädigen und stammen oft von der Verwendung überreifer oder schimmeliger Tomaten. Um solche Risiken zu vermeiden, sollte man bei der Auswahl von Ketchup auf Qualität achten. Ketchup: Ein natürlicher Gesundheitsförderer Ketchup enthält Lycopin, einen starken Antioxidans, der in gekochten Tomaten in höherer Konzentration vorkommt. Lycopin stärkt das Immunsystem, schützt vor Herz-Kreislauf-Erkrankungen und kann sogar den Sonnenschutz der Haut verbessern. Außerdem hat Lycopin einen positiven Effekt auf unsere Darmflora, da es als Präbiotikum gilt, also als Futter unserer guten Darmbakterien. Allerdings können zu viel Zucker und Zusatzstoffe die positiven Effekte zunichtemachen. Zucker im Ketchup: Ein verstecktes Problem Ketchup enthält oft erschreckend hohe Mengen an Zucker, was zu Zahnschäden, Übergewicht und auch zur negativen Beeinflussung unserer Darmflora führen kann. Daher ist es wichtig, auf die Zutatenliste zu achten und gegebenenfalls auf Bio-Ketchup umzusteigen, der meist weniger Zucker und keine künstlichen Zusatzstoffe enthält. Ketchup selbst gemacht: Eine gesunde Alternative Eine gute Möglichkeit, die Vorteile von Ketchup zu genießen, ohne die Nachteile in Kauf nehmen zu müssen, ist die Herstellung zu Hause. So hat man die volle Kontrolle über die Zutaten und kann Zucker und Zusatzstoffe vermeiden. Rezept für gesunden Ketchup: Zutaten: 500 g frische Tomaten 30 ml Apfelessig 2 mittelgroße Zwiebeln 1 TL Currypulver (optional) Tomatenmark nach Bedarf Eine Prise Salz Frisch gemahlener Pfeffer Zubereitung: Beginne damit, die Tomaten zu waschen und zu vierteln. Die Zwiebeln schälen und in dünne Ringe oder Streifen schneiden. In einem Topf die Tomaten und Zwiebeln mit dem Apfelessig zum Kochen bringen. Füge eine Prise Salz, Pfeffer und, wenn gewünscht, Currypulver hinzu. Lasse die Mischung für etwa 20 Minuten bei mittlerer Hitze köcheln, bis alles weich ist. Anschließend kannst du, falls gewünscht, den Geschmack mit weiteren Gewürzen wie zusätzlichem Pfeffer, Ingwer oder Paprikapulver anpassen. Nutze einen Pürierstab, um die Zutaten zu einem glatten Ketchup zu verarbeiten. Falls notwendig, füge Tomatenmark hinzu, um die gewünschte Konsistenz und Intensität zu erreichen. Zum Schluss noch einmal abschmecken und bei Bedarf nachwürzen. Tipps zur Anpassung: Du kannst auch dosierte Tomatenstücke verwenden, wenn frische Tomaten nicht verfügbar sind. Für eine zusätzliche Süße kannst du ein paar weiche Datteln mitkochen und pürieren. Gib für mehr Schärfe etwas Knoblauch, Chili oder Ingwer hinzu. Experimentiere mit verschiedenen Gewürzen wie Senfkörnern, Chiliflocken, Basilikum und Oregano, um deinen Ketchup individuell anzupassen. Dieses Rezept ist eine einfache und gesunde Variante, um selbstgemachten Ketchup ohne Zucker zuzubereiten. Genieße es frisch und bewahre übrig gebliebenen Ketchup im Kühlschrank auf, da er keine Konservierungsstoffe enthält. Kann Ketchup Durchfall auslösen? Für manche Menschen kann der Verzehr von Ketchup zu Verdauungsproblemen wie Durchfall führen. Dies liegt oft an den enthaltenen Konservierungsstoffen oder am hohen Säuregehalt, der empfindliche Mägen reizen kann. Besonders bei bestehendem Durchfall oder Magen-Darm-Beschwerden sollte Ketchup gemieden werden, da die Säure den Magen zusätzlich belasten kann. Fazit Ketchup kann durchaus ein gesundes Lebensmittel sein, wenn man auf Qualität und Inhaltsstoffe achtet. Für eine optimale Darmgesundheit kann die Kombination mit Probiotika sinnvoll sein. Diese unterstützen das Darmmikrobiom effektiv und ergänzen die positiven Eigenschaften von Ketchup. Wirf einen Blick auf unser Probiotika-Sortiment und entdecke, wie sie Dein Wohlbefinden verbessern können! Der Artikel dient lediglich der Informationsvermittlung in Bezug auf Probiotika und soll nicht als medizinische Empfehlung oder als Ersatz für professionelle medizinische Beratung oder Behandlung interpretiert werden.

    Die Bedeutung von Darmflora und Probiotika im Zusammenhang mit schweren Covid-19-Verläufen

    Die Bedeutung von Darmflora und Probiotika im Zusammenhang mit schweren Covid-19-Verläufen

    Mikroorganismen im Darm: Eine fragiles Gleichgewicht In der Spiegel-Ausgabe 44/23 erschien ein spannender Artikel über den Zusammenhang eines gesunden Darmmikrobioms und der Schwere des Verlaufs von Covid-19. Dein Darm ist ein komplexes Ökosystem, das von einer Vielzahl von Mikroorganismen bevölkert wird, bestehend aus Darmbakterien, Viren und Pilzen, darunter auch der Hefepilz Candida albicans. In der Regel stellt Dein Immunsystem und eine gesunde Darmflora sicher, dass dieser Pilz keine Probleme verursacht. Doch wenn das Gleichgewicht in Deinem Darm gestört ist, kann Candida albicans gefährlich werden, indem er in die Blutbahn gelangt und schwerwiegende Infektionen verursacht, insbesondere bei immungeschwächten Patienten, wie sie auf Intensivstationen zu finden sind. [[blog_ad]] Wie Probiotika Candida-Infektionen in Deinem Darm eindämmen können Forschende des Leibniz-Instituts für Naturstoff-Forschung und Infektionsbiologie – Hans-Knöll-Institut (Leibniz-HKI) haben herausgefunden, dass Probiotika, insbesondere Milchsäurebakterien, eine entscheidende Rolle bei der Verhinderung von Pilzinfektionen in Deinem Darm spielen können. Probiotika können die Darmumgebung verändern und Candida albicans dazu zwingen, seinen Stoffwechsel anzupassen, wodurch er weniger infektiös wird. Dies kann dazu beitragen, die Verbreitung von Pilzinfektionen in Deinem Darm zu kontrollieren oder zu verhindern. Probiotika können in Deinem Darm für ein Gleichgewicht zwischen Hefepilz, Milchsäurebakterien und anderen Mikroorganismen sorgen, was den gesunden Zustand Deiner Darmflora wiederherstellen kann. Candida und sein Einfluss auf die Darmflora Candida ist ein Hefepilz, der normalerweise in geringen Mengen im Darm vorkommt. In einer gesunden Darmflora gibt es eine ausgewogene Population von Bakterien, Pilzen und anderen Mikroorganismen, die bei der Verdauung helfen. Wenn jedoch das Gleichgewicht gestört ist, kann sich Candida übermäßig ausbreiten und eine Darmpilzinfektion verursachen. Dies geschieht häufig unter folgenden Bedingungen: Einnahme von Antibiotika, die die nützlichen Darmbakterien abtöten. Stark zuckerreiche Ernährung, da Candida Zucker bevorzugt. Ein geschwächtes Immunsystem, das das Wachstum von Pilzen begünstigen kann. Grunderkrankungen wie Diabetes. Eine Darmpilzinfektion kann verschiedene Symptome hervorrufen, darunter Blähungen, Bauchschmerzen, Durchfall und sogar Hautprobleme. Es gibt auch Hinweise auf einen Zusammenhang zwischen Darmpilzen und emotionalen Beschwerden wie Depressionen, obwohl dies noch weiter erforscht werden muss.Die Diagnose einer Darmpilzinfektion erfordert eine Stuhluntersuchung, um Candida zu identifizieren. Die Behandlung umfasst die Verwendung von Antimykotika zur Bekämpfung des Pilzes, die Linderung von begleitenden Symptomen und eine zuckerarme Diät, um dem Pilz keine zusätzliche Nahrung zu bieten. Nach der Behandlung ist es wichtig, die Darmflora mit Probiotika und Präbiotika wieder aufzubauen. Um eine erneute Infektion zu verhindern, wird eine Ernährungsempfehlung mit wenig Zucker und einer ausgewogenen Ernährung mit Gemüse und Vollkornprodukten empfohlen. Dies unterstreicht die Bedeutung einer gesunden Darmflora für das allgemeine Wohlbefinden und könnte auch bei der Bewältigung von Gesundheitsproblemen wie COVID-19 eine Rolle spielen. Die Bedeutung der Bekämpfung von Darmpilzen in Zeiten von Covid-19 für Deine Darmflora Die Forschungsergebnisse gewinnen in Zeiten von Covid-19 besondere Relevanz. Es wurde festgestellt, dass eine übermäßige Vermehrung von Candida albicans nach einer viralen Infektion das Immunsystem reizen und zu schweren Covid-19-Verläufen führen kann. Daher ist es entscheidend, das Gleichgewicht Deiner Darmflora aufrechtzuerhalten und Darmpilzinfektionen zu bekämpfen, um das Risiko von schweren Krankheitsverläufen zu reduzieren. Ausblick: Potenzielle Maßnahmen zur Verhinderung von Pilzinfektionen und Probiotika für Deine Darmflora Die Forschungsbemühungen konzentrieren sich nun darauf, wie Probiotika gezielt eingesetzt werden können, um die Infektion mit Candida albicans in Deinem Darm zu bekämpfen. Entdecke unsere hochwertigen Probiotika für Deine Darmflora Insgesamt unterstreicht diese Forschung die Bedeutung eines gesunden Darmmikrobioms und die potenzielle Rolle von Probiotika bei der Vorbeugung und Bekämpfung von Pilzinfektionen, die in Verbindung mit schweren Covid-19-Verläufen stehen können. Es verdeutlicht auch, wie fragil das Gleichgewicht deiner Darmflora sein kann und wie wichtig es ist, dieses Gleichgewicht zu schützen. Wenn du nach hochwertigen Probiotika suchst, um deine Darmflora zu fördern und das Gleichgewicht in deinem Mikrobiom aufrechtzuerhalten, besuche gerne unseren Online-Shop. Unsere Probiotika wurden sorgfältig ausgewählt und sind darauf ausgerichtet, deine Darmflora zu unterstützen. Schenke deinem Darm die Aufmerksamkeit, die er verdient und stärke damit deine Abwehrkräfte gegenüber Darmpilzen und anderen potenziellen Gesundheitsrisiken. Studien Fragiles Gleichgewicht im Darm Fungal microbiota sustains lasting immune activation of neutrophils and their progenitors in severe COVID-19 Der Artikel dient lediglich der Informationsvermittlung in Bezug auf Probiotika und soll nicht als medizinische Empfehlung oder als Ersatz für professionelle medizinische Beratung oder Behandlung interpretiert werden.

    wohltuender Kakao

    Kakao – Superfood für Wohlbefinden und Darmgesundheit

    Ist Kakao gesund für den Darm? Ja, aber auf die Qualität kommt es an. Nicht jeder Kakao ist gleich gut für Deinen Darm. Während Rohkakao reich an Nährstoffen und Flavonoiden ist, enthält industriell verarbeiteter Kakao oft Zucker und Zusatzstoffe, die den positiven Effekt neutralisieren können. Kakao und Verstopfung Rohkakao enthält natürliche Ballaststoffe, die die Darmbewegung fördern und so gegen Verstopfung helfen können. Zudem regt Kakao die Produktion von Butyrat an, einer kurzkettigen Fettsäure, die die Darmgesundheit unterstützt.  Das erkläre ich Dir im Folgenden ganz genau. [[blog_ad]] Kakao und das Darm-Mikrobiom: Eine süße Symbiose Forscher haben herausgefunden, dass Kakao einen positiven Einfluss auf unser Darm-Mikrobiom haben kann (1). Eine kürzlich durchgeführte Studie ergab, dass der Verzehr von Kakao mit hohem Flavonoidgehalt nicht nur unsere Stimmung hebt, sondern auch die Vielfalt im Darm-Mikrobiom erhöht. Insbesondere wurde eine Zunahme des Bakteriums Blautia obeum festgestellt und eine Abnahme von Faecalibacterium prausnitzii, was auf potenzielle gesundheitliche Vorteile hinweist (2). Warum ist das von Bedeutung? Eine vielfältige Darmflora ist mit einem stärkeren Immunsystem, einer verbesserten Gehirnfunktion und einem verringerten Risiko für bestimmte Krankheiten assoziiert. Kakao scheint einen präbiotischen Effekt zu haben (3), was bedeutet, dass er das Wachstum vorteilhafter Mikroorganismen, also von Probiotika im Darm, fördert. Dies unterstützt nicht nur die vorhandenen Darmbakterien, sondern auch diejenigen, die durch die Einnahme von Probiotika zugeführt werden. Kakao und die Geheimnisse guter Laune Kakao bietet nicht nur einen köstlichen Geschmack, sondern beherbergt auch eine beeindruckende Bandbreite von Substanzen, die sich positiv auf unsere Stimmung auswirken können. Einige dieser Verbindungen umfassen Phenylethylamin, Anandamid, Tryptophan und Theobromin. Phenylethylamin, oft als "Liebeschemikalie" bezeichnet, wird in unserem Körper freigesetzt, wenn wir uns verlieben. Obwohl Kakao nur geringe Mengen davon enthält, könnte die Freude, die wir beim Verzehr von Kakao empfinden, uns ein Gefühl der Verliebtheit vermitteln. Anandamid, auch als "Glücksbringer" bekannt, hat euphorisierende Eigenschaften. Es interagiert mit denselben Gehirnrezeptoren wie Cannabis und kann ein Gefühl der Leichtigkeit, Freude und Ausgeglichenheit erzeugen. Tryptophan ist ein entscheidender Baustein für Serotonin, das oft als "Wohlfühlhormon" bezeichnet wird. Ein ausgewogener Serotoninspiegel ist entscheidend für unser emotionales Wohlbefinden, da ein Mangel zu Depressionen führen kann. Interessanterweise ist Serotonin auch eine Vorstufe des Schlafhormons Melatonin. Theobromin, ein weiterer Bestandteil des Kakaos, stimuliert unser zentrales Nervensystem und fördert die Durchblutung. Es wird vermutet, dass es ebenfalls zur Verbesserung der Stimmung beiträgt. Darüber hinaus ist Kakao eine Schatzkammer für zahlreiche gesundheitsfördernde Inhaltsstoffe. Kakao enthält angeblich mehr als 60 verschiedene Verbindungen, die das Herz-Kreislauf-System schützen können. Die genauen Mechanismen, durch die Kakao unsere Stimmung beeinflusst, sind noch Gegenstand intensiver Forschung (4), aber die Interaktion mit einer gesunden Darmflora könnte hierbei eine zentrale Rolle spielen. Kakao für einen erholsamen Schlaf: Ein Genuss, der zur Nachtruhe beitragen kann? Weniger bekannt ist der Einfluss von Kakao auf unseren Schlaf. Obwohl weitere Forschung notwendig ist, gibt es Hinweise darauf, dass die Antioxidantien in Kakao, insbesondere die Flavonoide, eine Rolle bei der Regulierung des Schlaf-Wach-Rhythmus spielen könnten. Sie könnten über eine intakte Darmflora zur Produktion von Melatonin, dem "Schlafhormon", beitragen, was potenziell zu einem besseren und erholsameren Schlaf führt. Mit unseren Sleep Well Kapseln kannst Du die Darmflora noch weiter dabei unterstützen, ihr Gleichgewicht zu finden, zudem enthält es noch das Schlafhormon selbst, sowie Magnesium in einer guten Bioverfügbarkeit. Fazit Kakao ist weit mehr als nur die Grundlage für Schokolade. Er ist ein komplexes Lebensmittel mit einer Fülle von gesundheitlichen Vorteilen, die über den köstlichen Geschmack hinausgehen. Ob zur Förderung eines gesunden Darm-Mikrobioms, zur Verbesserung der Stimmung oder möglicherweise sogar zur Unterstützung eines guten Schlafs - Kakao verdient es, ein fester Bestandteil unserer Ernährung zu sein. Wichtig ist beim Kauf auf hochwertige Produkte zu achten!  Studien (1)  Cocoa Polyphenols and Gut Microbiota Interplay: Bioavailability, Prebiotic Effect, and Impact on Human Health (2) Consumption of 85% cocoa dark chocolate improves mood in association with gut microbial changes in healthy adults: a randomized controlled trial (3) Prebiotic evaluation of cocoa-derived flavanols in healthy humans by using a randomized, controlled, double-blind, crossover intervention study (4)  Mechanisms by which cocoa flavanols improve metabolic syndrome and related disorders Der Artikel dient lediglich der Informationsvermittlung in Bezug auf Probiotika und soll nicht als medizinische Empfehlung oder als Ersatz für professionelle medizinische Beratung oder Behandlung interpretiert werden.

    Frau putzt sich die Nase

    Darmgesundheit und Immunstärke – Die Kraft der probiotischen Bakterien

    Wie hängt die Darmgesundheit mit dem Immunsystem zusammen? Der Darm spielt eine zentrale Rolle bei der Stärkung unseres Immunsystems. Etwa 70-80% aller Immunzellen, die Infektionen bekämpfen, sind in der Schleimhaut des Darms ansässig. Dieser Teil des Verdauungssystems ist die Schaltzentrale für unsere Abwehrkräfte, und hier stehen die Darmbakterien in engem Kontakt mit den Immunzellen. Diese ständige Interaktion sorgt dafür, dass unser Immunsystem stets aufmerksam bleibt und Krankheitserreger effizient bekämpfen kann. Wie beeinflusst der Darm das Immunsystem? 1. Die Darm-Hirn-Achse Die Darm-Hirn-Achse zeigt, dass der Darm nicht isoliert arbeitet, sondern direkt mit dem Gehirn und anderen Körpersystemen verbunden ist. Emotionale und körperliche Stressfaktoren können das Mikrobiom stören und so die Immunabwehr schwächen. 2. Die Barrierefunktion des Darms Die Darmschleimhaut bildet eine physische Barriere gegen Krankheitserreger. Eine gesunde Darmflora unterstützt die Produktion von schützenden Schleimstoffen, die verhindern, dass schädliche Substanzen in den Blutkreislauf gelangen. Wenn diese Barriere geschwächt ist, können Entzündungen entstehen, die das Immunsystem belasten. [[blog_ad]] Tipps zur Stärkung der Darmgesundheit und des Immunsystems Eine ausgewogene Ernährung ist der Grundstein für eine gesunde Darmflora. Bestimmte Lebensmittel fördern das Wachstum nützlicher Bakterien und unterstützen die Immunabwehr: Ballaststoffe: Sie dienen als Nahrung für probiotische Bakterien. Haferflocken, Hülsenfrüchte und Gemüse wie Brokkoli sind reich an Ballaststoffen. Fermentierte Lebensmittel: Joghurt, Sauerkraut und Kimchi enthalten natürliche Probiotika, die das Mikrobiom unterstützen. Omega-3-Fettsäuren: In Fisch, Walnüssen und Leinsamen enthalten, wirken sie entzündungshemmend. 💡 Tipp: Reduziere Zucker und stark verarbeitete Lebensmittel, da sie das Wachstum schädlicher Bakterien fördern können. Probiotika – Die Verbündeten unseres Immunsystems Probiotische Bakterien können das Immunsystem erheblich unterstützen. Studien haben gezeigt, dass die Einnahme von Probiotika dazu beitragen kann, Erkältungen bei Kindern zu reduzieren, Virusinfekte milder zu gestalten und die Erholung zu beschleunigen. Sportler, Senioren, Schichtarbeiter und Menschen unter Stressbelastung können ebenfalls von den positiven Effekten profitieren. Die richtigen Bakterien für die Immunstärke Nicht alle probiotischen Bakterien sind gleich. Einige sind effektiver als andere bei der Stimulierung unserer Abwehrkräfte. Studien haben gezeigt, dass Bakterien wie L. plantarum, L. paracasei, L. acidophilus, L. casei, L. reuteri, B. bifidum und Streptococcus thermophilus nachweislich das Immunsystem unterstützen können. Sie können das Risiko von Erkältungen reduzieren und die Krankheitsdauer und mildern Symptome verringern. Fazit Die Verbindung zwischen Darmgesundheit, Immunsystem und probiotischen Bakterien ist unbestreitbar. Wenn Du Dein Immunsystem stärken möchtest, achte darauf, die richtigen Bakterien auszuwählen, die nachweislich die Abwehrkräfte unterstützen. Hpchwertige Probiotika wie die Dailys können dich unterstützen. Investiere in deine Gesundheit und Wohlbefinden – dein Darm und Immunsystem werden es dir danken. Der Artikel dient lediglich der Informationsvermittlung in Bezug auf Probiotika und soll nicht als medizinische Empfehlung oder als Ersatz für professionelle medizinische Beratung oder Behandlung interpretiert werden.

    Pomelo: Eine gesunde Frucht für Verdauung und Wohlbefinden

    Pomelo: Eine gesunde Frucht für Verdauung und Wohlbefinden

    Wie gesund ist die Pomelo? Die Pomelo ist nicht nur lecker, sondern auch reich an Nährstoffen, die Deine Gesundheit fördern: Kalorienarm: Mit etwa 25-40 Kalorien pro 100 Gramm ist sie ideal für eine kalorienbewusste Ernährung. Vitamin C: Eine halbe Pomelo deckt fast Deinen gesamten Tagesbedarf an Vitamin C und stärkt Dein Immunsystem. Ballaststoffe: Die Frucht enthält etwa 1-2 Gramm Ballaststoffe pro 100 Gramm, die Deine Verdauung fördern und für ein längeres Sättigungsgefühl sorgen. Kalium: Unterstützt die Herzgesundheit und hilft, den Blutdruck zu regulieren. Kalorien und Abnehmen: Wie passt die Pomelo in eine Diät? Die Pomelo ist ein perfekter Begleiter für jede Diät. Ihr hoher Wasser- und Ballaststoffgehalt sorgt für ein langanhaltendes Sättigungsgefühl, während der niedrige Kaloriengehalt den Energiehaushalt im Gleichgewicht hält. Im Vergleich zu kalorienreichen Snacks wie Schokolade oder Chips bietet die Pomelo eine erfrischende, gesunde Alternative, die nicht nur lecker, sondern auch nahrhaft ist. [[blog_ad]] Die Kunst der Auswahl und des Verzehrs von Pomelos In Deutschland findest Du Pomelos hauptsächlich von Oktober bis April, wobei die Haupterntezeit von November bis April sowie im Sommer von Juli bis August liegt. Die Pomelo wird ähnlich wie eine Orange geschält. Bevor Du dies tust, solltest Du die Frucht gründlich mit warmem Wasser abspülen, um äußere Verunreinigungen wie Pestizide zu entfernen. Das Pomelo-Fruchtfleisch ist saftig, leicht säuerlich und leicht bitter. Du kannst die Frucht in Obstsalaten verwenden, um Salate und Müsli zu verfeinern oder sie roh als Snack genießen. Die Vielseitigkeit dieser exotischen Frucht macht sie zu einer großartigen Ergänzung Deiner Küche. Tipp: Pomelo ist perfekt als Snack, für Salate oder als Zutat in Smoothies. Pomelos: Ein dynamischer Boost für die Darmflora Die Darmflora ist entscheidend für unsere allgemeine Gesundheit. Die Pomelo, mit ihren vitalisierenden Bitterstoffen und präbiotischem Pektin, kann einen kräftigen Schub für die Darmgesundheit und somit das gesamte Mikrobiom darstellen. Besonders interessant ist, dass die Bitterstoffe in Pomelo die Verdauung fördern können. Sie regen die Ausschüttung von Verdauungssekreten an und aktivieren damit die Insulinproduktion, was zu einer besseren Fettverbrennung beiträgt. Darüber hinaus wirken Bitterstoffe appetithemmend und signalisieren deinem Gehirn, dass du satt bist. Dies kann dazu beitragen, weniger zu essen und das Abnehmen zu erleichtern. Wie integrierst Du die Pomelo in Deine Ernährung? 1. Frisch genießen Schäle die Pomelo, entferne die weißen Häute und genieße sie pur – so behält sie ihren erfrischenden Geschmack und alle Nährstoffe. 2. In Rezepten verwenden Die Pomelo passt hervorragend in Salate, Smoothies oder als Topping für Joghurt. Ihr süß-säuerlicher Geschmack gibt vielen Gerichten das gewisse Extra. 3. In kleinen Mengen starten Wenn Du die Pomelo neu in Deine Ernährung aufnimmst, beginne mit kleinen Portionen, um mögliche Verdauungsprobleme zu vermeiden. Pomelo und Verdauung: Gut oder problematisch? Die Ballaststoffe in der Pomelo fördern eine gesunde Verdauung, indem sie die Darmbewegung anregen und Verstopfung vorbeugen. Ihr hoher Wassergehalt hilft zudem, den Stuhl weicher zu machen, was die Verdauung erleichtert. Pomelo bei Durchfall Obwohl die Pomelo bei den meisten Menschen die Verdauung unterstützt, kann ihr hoher Fruchtzuckergehalt bei empfindlichen Personen zu Verdauungsproblemen wie Durchfall führen. Wenn du zu Durchfall neigst, teste zunächst kleine Mengen, um zu sehen, wie Dein Körper reagiert. Pomelo und Blähungen Die enthaltenen Ballaststoffe können Blähungen verursachen, insbesondere wenn Du nicht an eine ballaststoffreiche Ernährung gewöhnt bist. Achte darauf, die Pomelo langsam in Deine Ernährung zu integrieren, um Deinem Verdauungssystem Zeit zur Anpassung zu geben. Ursprung der Pomelo Die Pomelo ist das Ergebnis einer Kreuzung zwischen der Pampelmuse und der Grapefruit und wurde in den 1970er-Jahren in Israel entwickelt. Sie wird hauptsächlich in Ländern wie Südafrika, Thailand, Malaysia, Indonesien und Südchina angebaut und gedeiht in einem niederschlagsreichen tropischen und subtropischen Tieflandklima mit Temperaturen zwischen 25 und 30 Grad Celsius. Die Pomelo ist eine große Frucht und kann bis zu 50 Zentimeter groß und ein Kilogramm schwer werden. Gesunde Kombination: Pomelo trifft Probiotika Für eine besonders wirksame Förderung der Darmflora kann die Pomelo in Kombination mit Probiotika eingenommen werden. Während die Frucht als Präbiotikum agiert, unterstützen Probiotika, wie die in unserem Probiotika-Shop, die bereits vorhandenen nützlichen Bakterien im Mikrobiom. Fazit Ein aktives und gesundes Leben beginnt im Darm. Durch die Integration von Pomelos und Probiotika in Deine Ernährung unterstützt Du nicht nur Deine Darmflora, sondern pflegst auch das Mikrobiom in seiner Gesamtheit. Achte jedoch darauf, mögliche Wechselwirkungen mit Medikamenten zu beachten und konsultiere bei Unsicherheiten Deinen Arzt. Der Artikel dient lediglich der Informationsvermittlung in Bezug auf Probiotika und soll nicht als medizinische Empfehlung oder als Ersatz für professionelle medizinische Beratung oder Behandlung interpretiert werden.

    Die Bedeutung der Darmgesundheit für Blutzuckerkontrolle und Stoffwechsel

    Die Bedeutung der Darmgesundheit für Blutzuckerkontrolle und Stoffwechsel

    Der Darm: Ein Schlüsselakteur in unserem Metabolismus Die Rolle des Darms in unserer Gesundheit wird oft unterschätzt, besonders wenn es um den Blutzuckerspiegel und den Stoffwechsel geht. Eine gesunde Darmflora kann wesentlich dazu beitragen, den Blutzuckerspiegel zu regulieren und einen effizienten Stoffwechsel zu fördern. In diesem Artikel werfen wir einen detaillierten Blick auf die Verbindung zwischen Darmgesundheit, Blutzuckerspiegel und Stoffwechsel und geben einige wertvolle Tipps zur Unterstützung Ihrer Darmgesundheit. Mikrobiom und Blutzucker Forschungen zeigen, dass eine vielfältige und ausgewogene Darmflora positiv mit einer verbesserten Blutzuckerkontrolle korreliert. Unser Darm ist Heimat von Billionen Mikroorganismen, die einen enormen Einfluss auf unsere Gesundheit haben. Eine Studie der Harvard Medical School hat gezeigt, dass bestimmte Darmbakterien mit niedrigeren Risiken für Typ-2-Diabetes und Herzkrankheiten verbunden sind. Stoffwechsel und Darmflora Der Darm ist ein komplexes Ökosystem, das unsere Verdauung und die Aufnahme von Nährstoffen steuert. Eine gesunde Darmflora unterstützt die Verdauung und hilft bei der effizienten Aufnahme von Nährstoffen. Dies fördert einen effizienten Stoffwechsel, der für die Energiegewinnung und das allgemeine Wohlbefinden entscheidend ist. Eine Studie der Weill Cornell Medicine fand heraus, dass Darmmikroben den Blutzuckerspiegel direkt durch die Leber beeinflussen können. Wie ein gesunder Darm das Blutzuckermanagement positiv beeinflussen kann Ein gesunder Darm ist entscheidend für die Aufrechterhaltung eines ausgeglichenen Blutzuckerspiegels. Hier sind einige Wege, wie der Glukosestoffwechsel vom Darm beeinflusst wird: Verbesserung der Insulinsensitivität Ein gesunder Darm kann zur Verbesserung der Insulinsensitivität beitragen. Ein ausgewogenes Mikrobiom unterstützt die effektive Nutzung von Insulin im Körper, was für die Regulierung des Blutzuckerspiegels entscheidend ist. Regulierung der Glukoseaufnahme Die Darmflora beeinflusst, wie schnell Glukose aus der Nahrung in den Blutkreislauf aufgenommen wird. Eine gesunde Darmflora kann eine langsamere und gleichmäßigere Glukoseaufnahme fördern, was zu stabileren Blutzuckerwerten führt. Entzündungshemmende Effekte Chronische Entzündungen sind mit Insulinresistenz verbunden. Ein gesunder Darm kann entzündungshemmende Substanzen produzieren, die Entzündungsreaktionen im Körper reduzieren und so zur Stabilisierung des Blutzuckerspiegels beitragen. Produktion von kurzkettigen Fettsäuren Bestimmte Darmbakterien produzieren kurzkettige Fettsäuren (SCFAs), die positive Auswirkungen auf den Blutzucker haben. SCFAs können die Freisetzung von Glukagon-ähnlichen Peptiden fördern, die die Insulinausschüttung stimulieren. Gewichtsmanagement und Darmgesundheit Ein ungesunder Darm kann zu Gewichtszunahme führen oder beim Abnehmen hindern. Eine unausgeglichene Darmflora kann zu Insulinresistenz, Heißhunger, chronischen Entzündungen und veränderter Nährstoffaufnahme führen, was den Blutzuckerspiegel und den Stoffwechsel negativ beeinflusst. Anzeichen und Symptome für einen gesunden bzw. ungesunden Darm Sowohl die Anzeichen eines gesunden als auch eines problematischen Darms können vielfältig und subtil sein. Es ist wichtig, auf bestimmte Symptome und Indikatoren zu achten, die Hinweise über den Zustand des Verdauungssystems geben. Indikatoren für eine gesunde Darmflora - Regelmäßige Verdauung: Ein regelmäßiger Stuhlgang ohne häufige Verstopfung oder Durchfall ist ein gutes Zeichen für einen gesunden Darm. - Kein übermäßiges Blähgefühl oder Gasbildung: Während ein gewisses Maß an Blähungen normal ist, deutet ein übermäßiges Aufblähen oft auf ein Ungleichgewicht in der Darmflora hin. - Gutes allgemeines Wohlbefinden: Ein gesunder Darm ist oft mit einem verbesserten allgemeinen Wohlbefinden, mehr Energie und einem stärkeren Immunsystem verbunden. Hinweise auf mögliche Darmprobleme - Verdauungsstörungen: Häufige Verdauungsprobleme wie Blähungen, Verstopfung, Durchfall oder Reizdarmsymptome können auf ein Ungleichgewicht im Darm hinweisen. - Unverträglichkeiten und Sensitivitäten: Eine Zunahme von Nahrungsmittelunverträglichkeiten kann ein Zeichen für Probleme im Darm sein. - Häufige Infektionen und schwaches Immunsystem: Eine erhöhte Anfälligkeit für Infektionen kann auf eine beeinträchtigte Darmgesundheit hindeuten. - Stimmungsschwankungen und Energiemangel: Probleme im Darm können sich auf Stimmung und Energie auswirken. Welche Rolle spielt die Ernährung bei der Darmgesundheit? Eine ausgewogene Ernährung, reich an Ballaststoffen, Gemüse, Obst und Vollkornprodukten, unterstützt eine vielfältige und gesunde Darmflora. Diese Art von Ernährung fördert das Wachstum nützlicher Bakterien und trägt dazu bei, das Risiko von Entzündungen und Darmproblemen zu verringern. Wie schädlich ist Zucker für unseren Darm? Eine hohe Aufnahme von Zucker und raffinierten Kohlenhydraten kann das Gleichgewicht der Darmflora erheblich beeinträchtigen. Zu viel Zucker fördert das Wachstum bestimmter Bakterien und Hefen, wie Candida, die bei Überwucherung zu Verdauungsstörungen und einem geschwächten Immunsystem führen können. Zudem kann eine zuckerreiche Ernährung Entzündungsreaktionen im Körper verstärken, was wiederum die Darmgesundheit negativ beeinflusst. Tipps für einen gesunden Darm Um die Gesundheit des Darms zu fördern und damit positiv auf den Blutzuckerspiegel und Stoffwechsel einzuwirken, sind hier einige praktische Tipps: Ballaststoffreiche Ernährung Eine ballaststoffreiche Ernährung ist grundlegend. Neben Gemüse, Obst und Vollkorn sollten auch Lebensmittel wie Nüsse und Samen in den Speiseplan integriert werden, da sie zusätzliche Ballaststoffe und wichtige Nährstoffe bieten. Fermentierte Lebensmittel Fermentierte Lebensmittel wie Sauerkraut, Kimchi, Miso und Kombucha sind reich an Probiotika, die die Darmgesundheit unterstützen. Diese Lebensmittel tragen zur Diversität der Darmflora bei und können die Verdauung verbessern. Allerdings mögen viele Personen keine fermentierten Lebensmittel oder schaffen es nicht, diese in den erforderlichen Mengen zu sich zu nehmen. Hochwertige Probiotika wie die von within können hier eine tolle Unterstützung sein. Probiotika und Präbiotika Probiotische Lebensmittel wie Joghurt, Kefir und fermentierte Lebensmittel enthalten lebende Mikroorganismen, die die Darmflora unterstützen. Präbiotika, die in Lebensmitteln wie Knoblauch, Zwiebeln und Bananen zu finden sind, dienen als Nahrung für diese guten Bakterien. Für eine gezielte Unterstützung der Darmflora empfiehlt sich das hochwertige Probiotika "Inner Strength" aus unserem Sortiment bei within. Ausreichend Wasser trinken Wasser ist für die Darmgesundheit unerlässlich, da es die Verdauung unterstützt und zur Aufrechterhaltung einer gesunden Darmbewegung beiträgt. Auch ungesüßte Kräutertees können die Verdauung unterstützen und die Darmgesundheit fördern. Regelmäßige körperliche Aktivität Regelmäßige, moderate Bewegung unterstützt nicht nur den Stoffwechsel, sondern auch die Darmbewegung und -funktion. Eine Kombination aus Ausdauer- und Krafttraining kann besonders vorteilhaft sein. Stressmanagement Chronischer Stress kann sich negativ auf die Darmgesundheit auswirken. Praktiken wie Meditation, Yoga oder regelmäßige Spaziergänge können dabei helfen, Stress zu reduzieren. Techniken wie progressive Muskelentspannung und Achtsamkeitsübungen können ebenfalls zur Stressreduktion beitragen. Nahrungsergänzungsmittel Neben einer ausgewogenen Ernährung können bestimmte Nahrungsergänzungsmittel, wie Probiotika und Präbiotika, zur Unterstützung der Darmgesundheit beitragen. Es ist jedoch wichtig, diese Mittel bewusst und nach Rücksprache mit einem Gesundheitsexperten einzusetzen. In unserem Shop findest Du hochwertige Probiotika, darunter "Inner Strength", das speziell zur Unterstützung einer gesunden Darmflora entwickelt wurde. Zusammenfassung Die Verbindung zwischen Darmgesundheit, Blutzuckerkontrolle und Stoffwechsel ist ein faszinierender Bereich, der weiter erforscht wird. Durch die Aufrechterhaltung einer gesunden Darmflora können wir nicht nur unseren Blutzuckerspiegel regulieren, sondern auch unseren gesamten Stoffwechsel verbessern. Eine ausgewogene Ernährung, regelmäßige Bewegung und ein gesunder Lebensstil sind Schlüsselkomponenten, um dieses Ziel zu erreichen. Ein gesunder Darm ist entscheidend für die Aufrechterhaltung eines ausgeglichenen Blutzuckerspiegels und eines effizienten Stoffwechsels. Durch die Kombination einer ausgewogenen Ernährung mit Lebensstiländerungen und möglicherweise der Ergänzung durch Nahrungsergänzungsmittel können wir unsere Darmgesundheit signifikant verbessern. Studien: Probiotika und deren Einfluss auf den Blutzuckerspiegel Effects of probiotic supplements on insulin resistance in gestational diabetes mellitus: A double-blind randomized controlled trial Der Artikel dient lediglich der Informationsvermittlung in Bezug auf Probiotika und soll nicht als medizinische Empfehlung oder als Ersatz für professionelle medizinische Beratung oder Behandlung interpretiert werden.

    Brokkoli und die Effekte von Sulforaphan auf die Darmgesundheit

    Brokkoli und die Effekte von Sulforaphan auf die Darmgesundheit

    Brokkoli und seine gesundheitlichen Vorteile Brokkoli ist ein wahres Superfood. Es enthält viele Ballaststoffe, Mineralien und Vitamine, die für deine Gesundheit wichtig sind. Doch was Brokkoli wirklich besonders macht, sind die sekundären Pflanzenstoffe, die er enthält. Einer dieser Stoffe ist Sulforaphan, das sich als wahrer Freund Deines Darms erweisen kann. Sulforaphan und seine Wirkung im Darm Sulforaphan, das in Brokkoli vorkommt, hat entzündungshemmende Eigenschaften. Entzündungen können eine der Hauptursachen für Darmprobleme sein, daher ist die Fähigkeit von Sulforaphan, Entzündungen zu reduzieren, von großer Bedeutung. Es kann dazu beitragen, die Achillesferse vieler Darmprobleme zu bekämpfen. Die Bedeutung von Sulforaphan für die Darmflora Deine Darmflora spielt eine entscheidende Rolle für deine Gesundheit. Sulforaphan kann dazu beitragen, die Zusammensetzung deiner Darmflora zu normalisieren. Eine gesunde Darmflora ist notwendig, um Entzündungen zu reduzieren und die Aufnahme von Nährstoffen zu verbessern. Warum Probiotika die Darmflora unterstützen Probiotika sind lebende Mikroorganismen, die Deine Darmgesundheit positiv beeinflussen können. Sie helfen dabei, das Gleichgewicht der Darmflora wiederherzustellen, stärken die Abwehrkräfte, fördern eine gesunde Verdauung, wirken entzündungshemmend und schützen vor Darmbeschwerden wie Reizdarmsyndrom und entzündlichen Darmerkrankungen.  Die Einnahme von Probiotika in Form von Nahrungsergänzungsmitteln oder probiotikahaltigen Lebensmitteln kann dazu beitragen, Deine Darmgesundheit zu unterstützen und Dein Wohlbefinden zu steigern. Die Zubereitung von Brokkoli für maximale Wirkung Brokkoli ist zweifellos ein ernährungsphysiologisches Highlight, jedoch nur, wenn er korrekt zubereitet wird, um den wertvollen Inhaltsstoff Sulforaphan und seine zahlreichen gesundheitlichen Vorteile zu erhalten. Sulforaphan – die gesunde Wunderwaffe des Brokkoli Die Vorstellung, Brokkoli einfach kurz in heißes Wasser zu werfen oder ihn kurz zu blanchieren, ist leider nicht richtig, wenn Du das wertvolle Sulforaphan in der Zubereitung erhalten möchten. Stattdessen solltest Du den Brokkoli nach dem Schneiden mindestens 15 bis 45 Minuten ruhen lassen. Erst nach 45 Minuten bildet sich die maximale Menge an Sulforaphan. Warum?Weil Sulforaphan im Brokkoli aus der Verbindung des Enzyms Myrosinase und des Stoffs Glucosinolat entsteht. Diese beiden Komponenten liegen in verschiedenen Zellkammern. Erst wenn die Zellwände aufgebrochen werden, verbinden sich Myrosinase und Glucosinolat, um Sulforaphan zu bilden.Es ist jedoch wichtig zu beachten, dass das Enzym Myrosinase nicht hitzebeständig ist. Wenn Du den Brokkoli nach dem Schneiden direkt in heißes Wasser oder in eine heiße Pfanne wirfst, wird das Enzym Myrosinase zerstört, und die Bildung von Sulforaphan ist nicht mehr möglich.Möchtest Du den maximalen Sulforaphan-Gehalt aus Ihrem Brokkoli erhalten möchten, um sich vor den oben genannten Krankheiten zu schützen, gibt es eine bessere Methode. So steigerst Du den Sulforaphan-Gehalt im Brokkoli Schneide den Brokkoli in kleinere Stücke oder hacke ihn im Idealfall richtig klein. Je mehr die Zellwände aufgebrochen werden, desto mehr Sulforaphan wird gebildet. Ein gutes Anzeichen dafür ist der etwas scharfe Geruch und Geschmack, den Du bei frischem Brokkoli wahrnehmen kannst. Nach 45 Minuten Ruhezeit kannst Du den Brokkoli in der Pfanne zubereiten. Das nun entstandene Sulforaphan ist hitzebeständig. Vermeide das Kochen des Brokkolis in Wasser, da Sulforaphan wasserlöslich ist und beim Kochen ausgewaschen wird. Die Kombination aus Hacken und Braten kann Ihnen einen dreimal höheren Sulforaphan-Gehalt ermöglichen. Roher Brokkoli aktiviert das Sulforaphan Roher Brokkoli mag nicht jedermanns Geschmack sein. Wenn Dir roher Brokkoli nicht zusagt, kannst Du etwas rohen Brokkoli zu Deinem gekochten Gericht hinzufügen. Du kannst ihn entweder klein hacken oder in Gemüsesuppen verwenden und am Ende mit im Mixer pürieren. Auf diese Weise wird das freigesetzte Enzym Myrosinase aktiviert und ein Teil der hitzebeständigen Glucosinolate wird aktiviert. Die richtige Menge Brokkoli in deiner Ernährung Die Forschung zeigt, dass eine regelmäßige Einnahme von Brokkoli und anderen Kreuzblütlern in deine Ernährung einen positiven Einfluss auf Deine Darmgesundheit haben kann. Du musst nicht jeden Tag Unmengen davon essen, um die Vorteile zu spüren. Eine ausgewogene Ernährung mit verschiedenen Gemüsesorten, darunter auch Brokkoli, zuzüglich zu ausreichender Bewegung und Schlaf, kann Deinem Darm auf lange Sicht helfen. Falls Du noch weitere Unterstützung benötigst, kann die Einnahme von Nahrungsergänzungsmitteln wie die von within hilfreich sein. Fazit Brokkoli ist nicht nur lecker, sondern auch ein echter Freund Deiner Darmgesundheit. Sein Inhaltsstoff Sulforaphan kann Entzündungen reduzieren und die Darmflora unterstützen.Fügst Du Brokkoli regelmäßig in Deine Ernährung ein und bereitest ihn richtig zu, kannst Du die Vorteile für Deinen Darm maximal nutzen. Dein Darm wird es dir danken, und Du wirst dich insgesamt gesünder und wohler fühlen. Also, gönn dir öfter mal eine Portion Brokkoli! Studien Darmgesundheit und Sulforaphan Sulforaphane-enriched extracts from glucoraphanin-rich broccoli exert antimicrobial activity against gut pathogens in vitro and innovative cooking methods increase in vivo intestinal delivery of sulforaphane Sulforaphane-driven reprogramming of gut microbiome and metabolome ameliorates the progression of hyperuricemia. Interplay between Cruciferous Vegetables and the Gut Microbiome: A Multi-Omic Approach  Der Artikel dient lediglich der Informationsvermittlung in Bezug auf Probiotika und soll nicht als medizinische Empfehlung oder als Ersatz für professionelle medizinische Beratung oder Behandlung interpretiert werden.

    5 Anzeichen für eine gute Darmgesundheit: Erkenntnisse und Indikatoren

    5 Anzeichen für eine gute Darmgesundheit: Erkenntnisse und Indikatoren

    Den eigenen Darm verstehen: Ein Überblick über fünf Gesundheitsindikatoren 1. Regelmäßige Stuhlganggewohnheiten Die Häufigkeit des Stuhlgangs variiert von Person zu Person. Ein gesundes Muster liegt jedoch im Bereich von etwa drei Mal pro Tag bis drei Mal pro Woche. Der Stuhlgang sollte tagsüber stattfinden. Nächtlicher Stuhlgang könnte auf mögliche Probleme hinweisen und sollte mit einem Arzt besprochen werden. Es gibt Studien, die darauf hinweisen, dass die Häufigkeit des Stuhlganges durch die Einnahme bestimmter Probiotika verbessert werden kann (1). 2. Ausgewogene Darmtransitzeit Die Zeit, die eine Mahlzeit benötigt, um den Darm zu passieren, ist ein weiterer Indikator für die Darmgesundheit. Eine durchschnittliche Darmtransitzeit von etwa 28 Stunden gilt als gesund. Weder zu schnelle noch zu langsame Transitzeiten sind wünschenswert. Mehr über die Darmtransitzeit erfährtst du hier. [[blog_ad]] 3. Beschaffenheit des Stuhlgangs Die Bristol-Stuhlformen-Skala bietet eine objektive Methode zur Beurteilung von Stuhl, indem sie sieben Konsistenzen von 1 (hart) bis 7 (flüssig) unterscheidet. Die Konsistenzen in der Mitte dieser Skala, insbesondere Typ 3 und 4, gelten als Anzeichen für eine gesunde Verdauung. Die Farbe, Form und Konsistenz des Stuhlgangs sind wichtige Anhaltspunkte für die Darmgesundheit. Der ideale Stuhlgang hat eine glatte Textur, bildet weiche bis feste Wurstformen und sinkt in der Toilette ab. Abweichungen, wie extreme Härte oder Flüssigkeit, könnten auf Probleme hinweisen. 4. Schmerzfreier Stuhlgang Ein schmerzfreier Stuhlgang ohne starkes Pressen oder Unbehagen ist ein positives Zeichen. Schmerzen oder Unwohlsein könnten auf Verstopfung, Nahrungsmittelunverträglichkeiten oder andere medizinische Probleme hinweisen, die ärztlicher Abklärung bedürfen. 5. Natürliche Blähungen und Gasentwicklung Gasbildung im Darm ist normal und tritt aufgrund der Verdauung auf. Zwischen 10-20 Blähungen pro Tag sind üblich und sollten nicht unterdrückt werden. Das Zurückhalten von Gas kann negative Auswirkungen haben und zu einem aufgeblähten Gefühl führen. Möchtest du mehr erfahren, dann hier entlang aufgeblähter Bauch. Fazit Die Gesundheit unseres Verdauungssystems spielt eine entscheidende Rolle für unser allgemeines Wohlbefinden. Indem wir auf regelmäßige Stuhlganggewohnheiten, eine ausgeglichene Darmtransitzeit und die Beschaffenheit unseres Stuhls achten, können wir einen erheblichen Beitrag zur Erhaltung der Darmgesundheit leisten. Diese Erkenntnisse dienen als klarer Indikator für den Zustand unseres Darms und bieten uns somit wertvolle Unterstützung auf unserem Weg zu einem gesünderen Leben. Die Fähigkeit, die Signale unseres Darms zu verstehen und angemessen darauf zu reagieren, eröffnet uns die Möglichkeit, potenzielle Probleme frühzeitig zu erkennen und somit unsere Lebensqualität deutlich zu steigern. Die Auswahl einer vielfältigen und ausgewogenen Ernährung bildet das Fundament für eine gesunde Darmflora. Hierbei können Probiotika zu wertvollen Begleitern werden. Diese "guten" Bakterien, sei es aus natürlichen Quellen oder in Form von Nahrungsergänzungsmitteln, unterstützen die Balance unserer Darmflora. Die Wirkung von Probiotika kann sich über eine harmonische Verdauung weit hinaus erstecken – sie können entzündungshemmend wirken, unser Immunsystem  stärken, unseren Schlaf verbessern und sogar Einfluß auf unsere Psyche, unsere Figur und unsere Hautgesundheit nehmen. Eine gute Darmgesundheit ermöglicht uns, ein höheres Maß an Wohlbefinden zu erreichen und langfristig ein gesünderes Leben zu führen. Studien (1) PWE-164 A Meta-analysis Of Randomised Controlled Trials On The Effect Of Probiotics On Functional Constipation In Adults Der Artikel dient lediglich der Informationsvermittlung in Bezug auf Probiotika und soll nicht als medizinische Empfehlung oder als Ersatz für professionelle medizinische Beratung oder Behandlung interpretiert werden.

    Die Bedeutung der Darmtransitzeit für deine gesunde Darmflora

    Die Bedeutung der Darmtransitzeit für deine gesunde Darmflora

    Was ist die Darmtransitzeit und wie beeinflusst sie deine Darmflora? Die Darmtransitzeit bezeichnet die Zeit, die deine Nahrung benötigt, um Deinen gesamten Verdauungstrakt zu passieren, von dem Moment, in dem Du etwas isst, bis zur Ausscheidung des Stuhls. Sie kann variieren und wird durch verschiedene Faktoren beeinflusst, wie zum Beispiel die Art deiner Nahrung, deine Ballaststoffzufuhr und Deine individuelle Darmgesundheit. Eine gesunde Darmtransitzeit ist entscheidend für ein ausgewogenes und vielfältiges Mikrobiom. Wenn deine Nahrung zu lange im Darm verweilt, können sich schädliche Bakterien vermehren und das Gleichgewicht Deiner Darmflora stören. Andererseits kann eine zu schnelle Darmpassage die Aufnahme von Nährstoffen beeinträchtigen und zu Verdauungsproblemen führen. Wie oft ist ein gesunder Stuhlgang? Eine häufig gestellte Frage ist, wie oft ein gesunder Stuhlgang stattfinden sollte. Im Allgemeinen gilt, dass ein gesunder Stuhlgang etwa einmal täglich bis zu dreimal pro Woche stattfinden sollte. Die Häufigkeit deines Stuhlgangs kann jedoch von Person zu Person variieren und hängt von vielen Faktoren ab, einschließlich Deiner individuellen Darmphysiologie und Ernährungsgewohnheiten. Allerdings zeigen neue Studien, dass ein bis zwei Stuhlgänge pro Tag optimal für die Gesundheit sind. Menschen mit dieser Frequenz haben ein besseres Gleichgewicht der Darmbakterien, oft durch eine ballaststoffreiche Ernährung und ausreichende Hydratation. Weniger als drei Stuhlgänge pro Woche sind mit chronischen Gesundheitsproblemen wie eingeschränkter Nierenfunktion verbunden, während mehr als drei Stuhlgänge pro Tag auf ein Ungleichgewicht der Darmbakterien und ein erhöhtes Risiko für Leberschäden hinweisen können. Ein regelmäßiger und normaler Stuhlgang zeigt an, dass deine Darmtransitzeit im optimalen Bereich liegt und Deine Nahrung effizient verdaut wird. Wenn Du feststellst, dass Dein Stuhlgang seltener oder häufiger als üblich ist, kann dies ein Hinweis auf eine gestörte Darmtransitzeit sein, die es zu untersuchen gilt. [[blog_ad]] Die Darmtransitzeit messen Während Ärzte die Transitzeit sehr genau mit Kapseln testen können, gibt es einen einfachen Selbsttest für zuhause. Hierfür kann entweder roter Beete, Sesamsamen oder auch Popcorn-Mais verwendet werden. Rote Bete – eine Tasse, gekocht und gestampft, oder roh und zerkleinert essen, vier Stunden nach und vor der nächsten Mahlzeit essen Sesamsamen – einen Esslöffel in einem kleinen Glas Wasser gemischt und ganz verschluckt. getrockneten Popcorn Mais - einen Esslöffel einnehmen Nachdem du die rote Beete oder den Sesam konsumiert hast, notiere dir die Zeit und das Datum, an dem Du sie gegessen habst. Von dort aus musst du nur noch deinen Stuhlgang jedes Mal überprüfen und feststellen, wann du das "Test-Essen" ausscheidest. Rote Beete gibt dem Stuhlgang eine violette, magentafarbene oder kastanienbraune Farbe. (Hinweis: Rote Beete kann auch dazu führen, dass sich der Urin kurzzeitig rosa-rot verfärbt, bitte in diesem Fall nicht beunruhigt sein). Sesamsamen und Popcorn Mais hingegen werden vollständig intakt ausgeschieden, sodass sie leicht zu erkennen sind. Idealerweise taucht die Testnahrung nach ca. 20 Stunden wieder auf. Wenn es 60 Stunden oder länger dauern sollte, kann dies ein Hinweis auf Verstopfung, Toxizität, SIBO, pathogene Infektionen oder ein Mikrobiom-Ungleichgewicht sein. Wenn es in weniger als 14 Stunden auftaucht, dann kann es ein Hinweis auf eine andere Art von Verdauungsungleichgewicht, einschließlich einer möglichen Nahrungsmittelintoleranz oder -empfindlichkeit, Nährstoffmangel oder Reizdarmsyndrom sein. Da zahlreiche Faktoren die Darmtransitzeit beeinflussen können (wie Ballaststoffe, Hydratation, Aktivitätsniveau, Koffein und Alkoholkonsum), führst du diesen Test am besten drei- bis fünfmal im Laufe von ein oder zwei Wochen zu verschiedenen Tageszeiten wiederholen. Starte einen Wiederholungstest erst, wenn du sicher bist, dass du alles aus dem vorherigen Test ausgeschieden haben und unbedingt daran denken, die Transitzeit zu notieren. Probiotika zur Beschleunigung der Darmtransitzeit Probiotika können laut verschiedener Studien eine entscheidende Rolle bei der Regulierung der Darmtransitzeit spielen, was besonders bei Verstopfungsproblemen von Bedeutung ist. Diese nützlichen Bakterien tragen dazu bei, die Zeit zu verkürzen, die Nahrung benötigt, um den Verdauungstrakt zu durchlaufen. Durch die Verbesserung der Darmbeweglichkeit und die Erhöhung der Stuhlfrequenz können Probiotika effektiv zur Linderung von Verstopfungssymptomen beitragen. Ihre regelmäßige und längerfristige Einnahme kann somit ein wichtiger Bestandteil der Darmgesundheitspflege sein, insbesondere für Personen, die zu langsamer Darmbewegung neigen. Darmtätigkeit optimieren Um deine Darmtransitzeit zu optimieren und eine gesunde Darmflora zu fördern, kannst du verschiedene Ansätze verfolgen: Ballaststoffreiche Ernährung: Eine ausgewogene Ernährung mit ausreichend Ballaststoffen fördert eine gesunde Darmtätigkeit und eine reguläre Stuhlfrequenz. Besonders gut verträgliche Ballaststoffe sind Akazienfasern Probiotika: Probiotika sind lebende Mikroorganismen, die deine Darmflora unterstützen können. Hochwertige Probiotika können helfen, das Gleichgewicht deiner Darmflora zu fördern. Ausreichende Flüssigkeitszufuhr: Ausreichend Wasser zu trinken, unterstützt deine Darmgesundheit und kann die Darmpassage erleichtern. Bewegung: Regelmäßige körperliche Aktivität fördert die Darmmotilität und kann deine Darmtransitzeit positiv beeinflussen. Fazit Eine gesunde Darmtransitzeit ist entscheidend für eine gut funktionierende Darmflora und deine allgemeine Verdauungsgesundheit. Indem du auf deine Ernährung, die Zufuhr von Ballaststoffen, die Flüssigkeitszufuhr und die Verwendung von hochwertigen Probiotika achtest, kannst du deine Darmtransitzeit optimieren und damit deine Darmgesundheit unterstützen. Es ist wichtig zu beachten, dass individuelle Unterschiede bestehen und wenn Du Bedenken bezüglich deiner Darmgesundheit hast oder Veränderungen in deinem Stuhlgang bemerkst, solltest du immer einen Arzt oder eine Ärztin konsultieren, um eine genaue Diagnose und Beratung zu erhalten. Studien Aberrant bowel movement frequencies coincide with increased microbe-derived blood metabolites associated with reduced organ function. Blue poo: impact of gut transit time on the gut microbiome using a novel marker Der Artikel dient lediglich der Informationsvermittlung in Bezug auf Probiotika und soll nicht als medizinische Empfehlung oder als Ersatz für professionelle medizinische Beratung oder Behandlung interpretiert werden.

    Haut und Darmflora: Der Zusammenhang zwischen gesunder Haut und Darmgesundheit

    Haut und Darmflora: Der Zusammenhang zwischen gesunder Haut und Darmgesundheit

    Zusammenhang Hautflora und bakterielle Besiedlung des Darms Das Hautmikrobiom und die bakterielle Besiedlung unseres Darms stehen in enger Verbindung zueinander. Ein gesunder Darm hat einen positiven Einfluss auf unsere Haut, vorausgesetzt die natürliche Bakterien-Balance der Darmflora bleibt im Gleichgewicht. Ein gesunder Lebensstil, wie eine ausgewogene, ballaststoffreiche Ernährung mit wenig Fleisch, kann dabei hilfreich sein. Ist unser Darm gesund, so werden weniger Schadstoffe über die Haut verstoffwechselt. Unsere Hautgesundheit ist zudem eng mit dem Immunsystem und dem Darmmikrobiom verbunden. Studien haben gezeigt, dass Kinder mit einer geringen Bakterienvielfalt im Darm ein höheres Risiko für die Entwicklung von Neurodermitis haben. Patienten mit entzündlichen Darmerkrankungen leiden häufig auch unter Hautproblemen, die oft auf eine ungünstige Zusammensetzung der Darmflora zurückzuführen sind. Eine ungesunde Ernährung oder die Einnahme von Antibiotika kann die Anzahl oder Vielfalt der Darmbakterien negativ beeinflussen, was zu einem geschwächten Immunsystem führen kann. Es ist interessant zu wissen, dass Ärzte heute genau bestimmen können, welche spezifischen Mikroorganismen bei verschiedenen Hauterkrankungen (von Rosazea bis Neurodermitis) Veränderungen aufweisen. Zum Beispiel wurden bei Neurodermitis häufig ein Überschuss an E.Coli-Bakterien (die allergieauslösendes Histamin produzieren) und ein erhöhter Anteil an Clostridien (die Entzündungen begünstigen) im Darm festgestellt. Wohingegen Milchsäurebakterien, Bifidobakterien und andere Keime spielen eine wichtige Rolle beim Schutz der Darmschleimhaut. Bei Rosazea können bestimmte Milchsäurebakterien wie Lactobacillus casei hilfreich sein. Die Verbindung zwischen dem Darmmikrobiom und der Hautgesundheit ist ein faszinierendes Forschungsfeld, das uns hilft, die Bedeutung einer ausgewogenen Darmflora für unsere Haut zu verstehen. Durch die Unterstützung eines gesunden Darmmikrobioms können wir das Gleichgewicht unserer Hautflora erhalten und Hauterkrankungen vorbeugen. [[blog_ad]] Die Bedeutung der Darmflora für das Hautbild Die Darmflora, bestehend aus einer Gemeinschaft von Mikroorganismen in unserem Verdauungstrakt, hat einen direkten Einfluss auf unsere Hautgesundheit. Eine ausgeglichene und vielfältige Darmflora kann dazu beitragen, Entzündungen in der Haut zu reduzieren und das Erscheinungsbild zu verbessern. Giftstoffe im Darm und ihr Einfluss auf die Haut Ein gestörtes Gleichgewicht in der Darmflora kann zu einem Anstieg von giftigen Substanzen im Darm führen. Diese Toxine können von dort aus in den Blutkreislauf gelangen und Entzündungen in der Haut auslösen. Eine gesunde Darmflora hingegen kann dazu beitragen, diese Toxine zu bekämpfen und so die Hautgesundheit zu unterstützen. Die Rolle von Bakterien im Körper Bakterien spielen eine wichtige Rolle auf und in unserem Körper, sowohl in der Darmflora als auch auf der Haut. Sie helfen dabei, einen gesunden Säureschutzmantel auf der Haut zu erhalten und fördern die Abwehr von schädlichen Mikroorganismen. Im Darm sind Bakterien für die Aufnahme von Nährstoffen und die Produktion von verschiedenen chemischen Stoffen, wie bestimmte Vitamine oder auch Neurotransmitter verantwortlich. Außerdem sorgen die guten Bakterien dafür, dass sich keine pathogenen Keime ausbreiten können und Krankheiten entstehen. Die Stoffwechselprodukte unserer Darmikroben, die für uns großen gesundheitlichen Nutzen haben, werden als Postbiotika bezeichnet. Darm und Haut: Wie man die beiden unterstützen kann Die Haut und die Darmflora sind eng miteinander verbunden und können durch Ernährung und Lebensstil positiv beeinflusst werden. Ein gesunder Darm trägt zu einer gesunden Haut bei, während ein gestörtes Gleichgewicht der Darmflora zu Hautproblemen führen kann. Auswirkungen von Ernährung und Lebensstil auf Haut und Darm Unsere Ernährungsgewohnheiten haben direkte Auswirkungen auf die Gesundheit unserer Haut und unserer Darmflora. Eine ausgewogene, ballaststoffreiche Ernährung mit viel Obst und Gemüse versorgt uns mit wichtigen Nährstoffen und Antioxidantien, wie auch Präbiotika und Probiotika. All das fördert das Wachstum gesunder Bakterien im Darm und versorgt unsere Haut von innen heraus. Zusätzlich können Omega-3-Fettsäuren, die hauptsächlich in Fisch, Nüssen und Samen vorkommen, entzündungshemmende Eigenschaften haben und somit Hautprobleme wie Akne und Rötungen reduzieren. Selbstverständlich ist auch ausreichend Wasser zu trinken wichtig, um die Haut mit Feuchtigkeit zu versorgen und den Darm bei der Entgiftung zu unterstützen. Vermeide, wenn möglich den übermäßigen Verzehr von zuckerhaltigen Lebensmitteln und stark verarbeiteten Lebensmitteln, da diese das Gleichgewicht der Darmflora stören können. Probiotika für eine gesunde Darmflora und Haut Die Einnahme von Probiotika kann die Darmgesundheit verbessern und dadurch auch einen positiven Einfluss auf die Haut haben.  Eine gesunde Darmflora spielt eine wichtige Rolle bei der Aufnahme von Nährstoffen und der Beseitigung von Toxinen aus dem Körper. Wenn der Darm gesund ist, kann dies zu einer Reduzierung von Entzündungen im Körper führen, die sich auch auf die Haut auswirken können. Wohingegen eine gestörte Darmflora also eine Dysbiose zu Entzündungen und schlechter Nährstoffversorgung im Körper führen kann. Das wiederum kann zu Hautprobleme wie Akne, Ekzeme oder Rosacea führen. Laut verschiedener Studien kann die Einnahme von Probiotika dabei helfen, das Gleichgewicht der Darmflora wiederherzustellen. Eine so genannte Eubiose kann Hauterkrankungen reduzieren und die Hautgesundheit verbessern. Das geschieht, in dem eine intakte Darmflora können dazu beitragen kann, Entzündungen zu reduzieren, das Immunsystem zu stärken und die Haut von innen heraus besser zu nähren. Es ist wichtig zu beachten, dass die Wirkung von Probiotika auf die Haut individuell sein kann und nicht bei jedem gleich ist. Die Auswahl der richtigen Probiotika und die regelmäßige, längerfristige  Einnahme können jedoch dazu beitragen, die Gesundheit der Darmflora und damit auch die Hautgesundheit zu unterstützen. Stressabbau und Immunsystemstärkung für gesunde Haut Stressabbau und Immunsystemstärkung sind wichtige Faktoren für eine gesunde Haut. Chronischer Stress kann zu Hautproblemen wie Akne, Ekzemen oder Hautausschlägen führen. Stressabbau-Techniken wie Meditation, Yoga, Atemübungen oder regelmäßige körperliche Aktivität können helfen, Stress abzubauen und das allgemeine Wohlbefinden zu verbessern. Darüber hinaus spielt das Immunsystem eine wichtige Rolle für die Gesundheit der Haut. Ein starkes Immunsystem kann Entzündungen reduzieren und die Haut vor Infektionen schützen. Eine ausgewogene, ballaststoffreiche und hauptsächlich pflanzenbasierte Ernährung, ausreichend Schlaf und regelmäßige Bewegung können das Immunsystem stärken und damit die Hautgesundheit unterstützen. Es ist wichtig, einen ganzheitlichen Ansatz für die Hautpflege zu verfolgen, der sowohl die äußere Pflege als auch die inneren Faktoren berücksichtigt. Neben der Verwendung von geeigneten Hautpflegeprodukten ist es hilfreich, auf eine gesunde Lebensweise zu achten, Stress abzubauen und das Immunsystem zu stärken. Zusammenhang zwischen Darmgesundheit und Hauterkrankungen Häufige Hauterkrankungen im Zusammenhang mit der Darmflora Die Gesundheit unserer Haut wird oft von der Darmflora beeinflusst. Verschiedene Hauterkrankungen können sich durch ein Ungleichgewicht der Darmflora verschlimmern oder sogar entstehen. Beispielsweise kann eine übermäßige Vermehrung bestimmter Bakterienstämme im Darm zu Hautproblemen wie Rosacea oder Ekzemen führen. Ebenso können entzündliche Darmerkrankungen wie Morbus Crohn oder Colitis ulcerosa mit Hautausschlägen oder anderen dermatologischen Symptomen einhergehen. Ursachen und Entstehung von Hauterkrankungen durch Darmprobleme Die genauen Ursachen und Mechanismen, wie Darmprobleme zu Hauterkrankungen führen, sind noch nicht vollständig verstanden. Wissenschaftler vermuten, dass eine gestörte Darmflora zu einer erhöhten Permeabilität der Darmwand führen kann, was zu einer erhöhten Belastung des Immunsystems führt. Dies kann wiederum zu einer Aktivierung von Entzündungsreaktionen in der Haut führen und das Risiko für Hauterkrankungen erhöhen. Aktuelle Forschung und Behandlungsmöglichkeiten Die Forschung zum Zusammenhang zwischen Darmgesundheit und Hauterkrankungen befindet sich in vollem Gange. Es werden zunehmend Studien veröffentlicht, in denen die komplexe Verbindung zwischen dem Darm und der Haut untersucht wurde. Mittelerweilen sind sich Wissenschaftler sicher, dass eine gezielte Verbesserung der Darmflora positive Auswirkungen auf die Haut haben kann. Die Einnahme von probiotischen Nahrungsergänzungsmitteln oder eine angepasste Ernährung sind potenzielle Ansätze, um das Gleichgewicht der Darmflora zu fördern und mögliche Hautprobleme zu reduzieren.   Darm-Hirn-Achse und ihre Auswirkungen auf Haut und Wohlbefinden Die Darm-Hirn-Achse spielt eine bedeutende Rolle für unsere geistige Gesundheit und hat auch Auswirkungen auf unsere Haut und unser allgemeines Wohlbefinden. Das Mikrobiom, bestehend aus einer Vielzahl von Bakterien im Darm, beeinflusst die Funktion des Gehirns und damit auch unsere Stimmung und psychische Gesundheit. Einfluss des Mikrobioms auf die geistige Gesundheit Das Mikrobiom produziert zahlreiche Neurotransmitter, die als Botenstoffe im Gehirn fungieren. Dazu gehören Serotonin und Dopamin, die für unsere Stimmung und Motivation wichtig sind. Forscher haben beim Vergleich der Mikrobiome von psychisch erkrankten Menschen mit Gesunden festgestellt, dass sie sich deutlich unterschieden. So stellt man fest, dass bestimmte Bakteriengruppe, die für uns wichtige Stoffe wie kurzkettige Fettsäuren produzieren, reduziert waren. Daher vermuten Wissenschaftler, dass ein Ungleichgewicht im Mikrobiom zu Depressionen, Ängsten oder anderen psychischen Störungen führen kann. Zusammenhänge zwischen Darmgesundheit und Stimmungsschwankungen Forschungen haben gezeigt, dass eine gestörte Darmflora auch mit Stimmungsschwankungen wie Reizbarkeit, Nervosität oder Schlafstörungen verbunden sein kann. Ein gesunder Darm unterstützt die Aufnahme von Nährstoffen und die Produktion von wichtigen Hormonen, die einen positiven Einfluss auf unsere Stimmung haben. Praktische Tipps zur Pflege der Darm-Hirn-Achse Sorgfältige Auswahl der Ernährung: Eine ballaststoffreiche Ernährung mit viel Obst, Gemüse und Vollkornprodukten fördert ein gesundes Mikrobiom und stärkt die Darm-Hirn-Achse. Vermeidung von Stress: Chronischer Stress kann die Darmgesundheit beeinträchtigen. Stressabbau-Techniken wie Entspannungsübungen, Meditation oder Sport können helfen, die Darm-Hirn-Achse zu unterstützen. Probiotika: Die Einnahme von probiotischen Nahrungsergänzungsmitteln oder der Konsum probiotischer Lebensmittel wie Joghurt oder Sauerkraut kann das Gleichgewicht des Mikrobioms verbessern. Bewegung: Regelmäßige körperliche Aktivität fördert die Darmgesundheit und trägt zur stabilen Verbindung zwischen Darm und Gehirn bei. Indem wir die Darm-Hirn-Achse pflegen, können wir nicht nur unsere geistige Gesundheit verbessern, sondern auch das Erscheinungsbild unserer Haut und unser allgemeines Wohlbefinden positiv beeinflussen. Darm und Haut in speziellen Lebenssituationen Schwangerschaft und die Auswirkungen auf Haut und Darmflora Die Schwangerschaft ist eine besondere Zeit im Leben einer Frau und hat auch Auswirkungen auf die Haut und die Darmflora. Hormonelle Veränderungen während der Schwangerschaft können zu Hautproblemen wie Akne, Pigmentierung und Trockenheit führen. Gleichzeitig unterliegt auch die Darmflora Veränderungen, da der Körper verschiedene Nährstoffe für das heranwachsende Baby benötigt. Um die Gesundheit von Haut und Darmflora während der Schwangerschaft zu unterstützen, ist es wichtig, eine ausgewogene Ernährung zu halten, viel Wasser zu trinken und auf eine gute Hautpflege zu achten. In der Schwangerschaft hat sich die Einnahme von probiotischen Lebensmitteln oder probiotischen Nahrungsergänzungen als nützlich erwiesen, sowohl für das ungeborene Kind, wie auch für die werdene Mutter. Hier erfährst Du mehr über die Probiotika-Einnahme während der Schwangerschaft. Hauterkrankungen bei chronisch entzündlichen Darmerkrankungen Chronisch entzündliche Erkrankungen wie Morbus Crohn oder Colitis ulcerosa können nicht nur den Darm, sondern auch die Haut beeinflussen. Entzündungsreaktionen im Darm können zu Hautausschlägen, Ekzemen oder Psoriasis führen. Eine individuelle Behandlung und Betreuung durch erfahrene Fachkräfte ist in solchen Fällen besonders wichtig, um eine Linderung der Symptome zu erreichen und die Lebensqualität zu verbessern. Diabetes und das metabolische Syndrom: Einfluss auf Haut und Darm Diabetes und das metabolische Syndrom können ebenfalls Auswirkungen auf Haut und Darm haben. Bei Diabetes besteht ein erhöhtes Risiko für Hautinfektionen, Juckreiz und Hauttrockenheit. Eine gestörte Darmflora kann die Insulinresistenz verschlimmern und den Stoffwechsel negativ beeinflussen. Eine gesunde Lebensweise mit ausgewogener Ernährung, regelmäßiger Bewegung und guter Hautpflege ist daher für Menschen mit Diabetes und metabolischem Syndrom von großer Bedeutung. Welche Bakterien helfen unserere Haut? Neuere Forschungsstudien haben interessante Erkenntnisse über den potenziell positiven Einfluss bestimmter Bakterienstämme auf die Gesundheit unserer Haut geliefert. Insbesondere wurden Bakterien wie Lactobacillus und Bifidobacterium als vielversprechende Probiotika identifiziert. Durch die langfristige Einnahme dieser probiotischen Stämme konnten Verbesserungen bei Symptomen wie Neurodermitis, Allergien und Schuppenflechte beobachtet werden. Fazit Eine Verbindung zwischen unserer Darmgesundheit und der Schönheit unserer Haut ist aus wissenschaftlicher Sicht unbestreitbar. Ein gesunder Darm wirkt sich positiv auf unsere Hautgesundheit aus, verlangsamt den Alterungsprozess, mindert Trockenheit und schützt vor Hautunreinheiten und Irritationen. Das Sprichwort “wahre Schönheit kommt von innen” bewahrheitet sich hier. Eine abwechslungsreiche und nährstoffreiche Ernährung mit vielen Pröbiotika und Probiotika kann das Gleichgewicht unserer Darmflora erhalten und positive Auswirkungen auf unsere Gesundheit und unsere Haut haben. Ein gesunder Darm ist der Schlüssel zu Gesundheit und Schönheit! Als unterstützende Maßnahme zu einer ausgewogenen Ernährung wurde in Studien gezeigt, dass die Einnahme von Probiotika die Darmgesundheit verbessern kann. Basierend auf den neuesten Erkenntnissen der Mikrobiomwissenschaft haben wir Skin Glow entwickelt - ein revolutionäres Synbiotikum, das speziell auf die Bedürfnisse von Akne, Rosazea und atopischer Dermatitis (Neurodermitis) abzielt. Der Artikel dient lediglich der Informationsvermittlung in Bezug auf Probiotika und soll nicht als medizinische Empfehlung oder als Ersatz für professionelle medizinische Beratung oder Behandlung interpretiert werden.

    Der Einfluss von Vitamin D auf die Darmflora: Eine starke Verbindung für die Gesundheit

    Der Einfluss von Vitamin D auf die Darmflora: Eine starke Verbindung für die Gesundheit

    Die Bedeutung von Vitamin D für die Darmflora Die Bedeutung einer gesunden Darmflora für unsere Gesundheit ist schon lange bekannt (1). Darmbakterien beeinflussen unseren Stoffwechsel, die Verdauung und sogar unsere Psyche. Was jedoch weniger bekannt ist, ist die enge Verbindung zwischen Darmbakterien und Vitamin D. Vitamin D-Mangel und seine Auswirkungen Ein Vitamin-D-Mangel tritt in der Regel auf, wenn die Haut zu wenig Sonnenlicht ausgesetzt ist. Tatsächlich wird mindestens 80 % unseres Vitamin-D-Bedarfs durch die Einwirkung von Sonnenlicht auf die Haut gedeckt. [[blog_ad]] Die Rolle von Vitamin D bei verschiedenen Krankheiten Ein Vitamin-D-Mangel kann jedoch auch durch Krankheiten verursacht oder verschlimmert werden, darunter Osteoporose, Autoimmunerkrankungen, Diabetes, Herz-Kreislauf-Erkrankungen wie Herzinfarkt und Schlaganfall sowie Krebs. Ein niedriger Vitamin-D-Spiegel wird sogar mit einem schwereren Verlauf von COVID-19 in Verbindung gebracht. Darmbakterien und aktives Vitamin D Interessanterweise haben Studien gezeigt, dass es eine Verbindung zwischen Darmbakterien und der aktiven Form von Vitamin D gibt. Darmbakterien scheinen eine entscheidende Rolle bei der Umwandlung von inaktivem Vitamin D in seine aktive Form zu spielen. Die Bedeutung einer gesunden Darmflora Die Darmbakterien sind unverzichtbare Helfer bei der Verdauung. Sie produzieren Enzyme, die dabei helfen, nicht verwertbare Bestandteile unserer Nahrung, wie Ballaststoffe, abzubauen. Eine gesunde Darmflora trägt dazu bei, schädliche Substanzen im Darm zu bekämpfen und die Ausbreitung von Krankheitserregern zu verhindern. Neue Erkenntnisse zur Bestimmung des Vitamin-D-Spiegels Bisher wurde bei der Bestimmung des Vitamin-D-Status oft der inaktive Vorläufer berücksichtigt, um festzustellen, wie viel Vitamin D im Körper gespeichert ist. Allerdings hat eine aktuelle Studie ergeben, dass der Gehalt an aktivem Vitamin D nur durch die Analyse des Darmmikrobioms, also aller Darmbakterien, zuverlässig bestimmt werden kann. Zukunftsperspektiven und Empfehlungen Die Forscher sind sich einig, dass weitere Studien notwendig sind, um die genaue Rolle der Darmbakterien im Vitamin-D-Stoffwechsel zu klären. Es liegt nahe, dass eine Veränderung der Darmmikrobiota die Behandlung zur Verbesserung der Knochendichte ergänzen könnte. Fazit Zusammenfassend zeigt die Forschung, dass Vitamin D und Darmbakterien eng miteinander verknüpft sind und sich gegenseitig beeinflussen (2). Ein besseres Verständnis dieser Zusammenhänge kann dazu beitragen, gesundheitliche Probleme zu verhindern und die allgemeine Gesundheit zu fördern (3). Ein angemessener Vitamin-D-Spiegel kann nicht nur die Knochengesundheit unterstützen, sondern auch die Zusammensetzung der Darmflora positiv beeinflussen, was wiederum eine bessere Nahrungsaufnahme und möglicherweise sogar beim Abnehmen helfen kann (4). kurze Zusammenfassung: Eine gesunde Darmflora beeinflusst Stoffwechsel, Verdauung und Psyche. Vitamin D-Mangel kann Krankheiten wie Osteoporose, Autoimmunerkrankungen und Krebs verschlimmern. Darmbakterien spielen eine Rolle bei der Umwandlung von inaktivem zu aktivem Vitamin D. Eine gesunde Darmflora kann vor Krankheitserregern schützen. Aktives Vitamin D kann zuverlässig durch die Analyse des Darmmikrobioms bestimmt werden. Ein ausreichender Vitamin-D-Spiegel und eine gesunde Darmflora können die Gesundheit fördern und sogar beim Abnehmen helfen. Studien über den Zusammenhang von Darmflora und Vitamin D (1) https://www.netdoktor.de/laborwerte/vitamin-d/mangel/(2) Vitamin D and Microbiota: Is There a Link with Allergies?(3) Vitamin D and The Gut Microbiota: a Narrative Literature Review(4) Vitamin D and probiotic co-supplementation affects mental health, hormonal, inflammatory and oxidative stress parameters in women with polycystic ovary syndrome Der Artikel dient lediglich der Informationsvermittlung in Bezug auf Probiotika und soll nicht als medizinische Empfehlung oder als Ersatz für professionelle medizinische Beratung oder Behandlung interpretiert werden.

    Die Rolle der Darmbakterien in der Herzgesundheit

    Die Rolle der Darmbakterien in der Herzgesundheit

    Das Zusammenspiel von Herz und Darm Die Zukunft der Herzgesundheit liegt im Verdauungstrakt. Lange Zeit wurden Darmmikroben nur für die Verdauung verantwortlich gemacht. Doch Wissenschaftler haben mittlerweile erkannt, dass ein Ungleichgewicht zwischen gesunden und schädlichen Darmbakterien der Auslöser für viele Krankheiten sein kann. Zu den möglichen Folgen einer gestörten Darmbesiedlung können Diabetes, Übergewicht, seelische Erkrankungen wie Depressionen und Angststörungen, wie auch Herzerkrankungen zählen. Obwohl die Forschungsergebnisse noch Einzelbefunde sind, fügen sie sich langsam zu einem Gesamtbild zusammen. Es ist belegt, dass sich die Darmflora von erkrankten Personen von der gesunder Personen unterscheidet. Im Blut kranker Menschen finden sich vermehrt bakterielle Abbauprodukte, die krankhafte Prozesse im Körper auslösen können. Auch Risikofaktoren wie Rauchen, Fettleibigkeit und Stress können ihre schädliche Wirkung auf das Herz entfalten, indem sie das Mikrobiom verändern. [[blog_ad]] Wie Darmbakterien schaden können Es gibt eine direkte Verbindung zwischen der Menge und Vielfalt der Darmbakterien und einer geschwächten Herzgesundheit. Wissenschaftler vermuten derzeit einen simplen Mechanismus: Die Darmmikroben produzieren Stoffwechselprodukte, sogenannte Metaboliten, die je nach Bakterienart positive oder negative Auswirkungen auf die Herzgesundheit haben können. Jeder Mensch hat eine individuelle Zusammensetzung der mikrobiellen Darmflora, die unterschiedliche Mengen an Metaboliten produziert. Diese gelangen in den Blutkreislauf, wirken auf das Herz und beeinflussen dessen Gesundheit. Ein Beispiel ist das Trimethylaminoxid (TMAO)TMAO (Trimethylaminoxid) entsteht durch den Stoffwechsel von bestimmten Darmbakterien aus Nahrungsbestandteilen wie Cholin und Carnitin, die in tierischen Lebensmitteln wie Eiern, Milch und Fleisch vorkommen. Die Darmbakterien wandeln diese Vorläufereiweiße in TMA (Trimethylamin) um. Die Leber wandelt TMA dann in das herzschädliche TMAO um. TMAO hat schädliche Auswirkungen auf die Herzgesundheit. Es beeinflusst den Cholesterinstoffwechsel und fördert die Entwicklung von Herzkrankheiten. Ein erhöhter TMAO-Spiegel im Blut deutet auf ein erhöhtes Risiko für Herzinfarkte, Atherosklerose (Arterienverkalkung) und andere Herz-Kreislauf-Erkrankungen hin. Untersuchungen zeigen, dass eine Ernährung mit viel rotem Fleisch den TMAO-Spiegel erhöhen und somit das Risiko für Herzkrankheiten und deren Folgen steigern kann. Vorteil für Veganer und Vegetarier Die Zusammensetzung des Mikrobioms unterscheidet sich zwischen Personen, die eine erhöhte TMAO-Produktion aufweisen und denen, bei denen die TMAO-Bildung eher gering ist. Bestimmte Bakterienarten sind effizienter darin, L-Carnitin in TMAO umzuwandeln als andere. Eine erhöhte Anzahl dieser Bakterien im Darm kann zu einer gesteigerten TMAO-Produktion führen. Vegetarier und Veganer haben in der Regel ein niedrigeres Risiko für eine erhöhte TMAO-Produktion, da diese spezifischen Bakterien auf tierisches Eiweiß angewiesen sind, das in pflanzlichen Ernährungsweisen weniger vorkommt. Dennoch ist es wichtig anzumerken, dass auch pflanzliche Lebensmittel geringe Mengen an L-Carnitin enthalten können. Vegetarier, die Milchprodukte und Eier konsumieren, nehmen im Vergleich zu Veganern höhere Mengen an L-Carnitin zu sich. L-Carnitin ist ein essenzieller Bestandteil unserer Ernährung und sollte in angemessenen Mengen regelmäßig zugeführt werden. Das Hauptaugenmerk liegt darauf, das Mikrobiom im Gleichgewicht zu halten, um eine übermäßige TMAO-Produktion zu vermeiden, die mit einem erhöhten Risiko für Herzerkrankungen in Verbindung gebracht wird. Fun Fact Fleisch-essende Veganer: Wenn Veganer dazu ermutigt werden, Fleisch zu essen, zeigen Studien, dass ihre Darmbakterien kein Trimethylamin (TMA) produzieren. Dieses Ergebnis ist nicht überraschend, da eine Ernährung ohne Fleisch die TMA-produzierenden Bakterien quasi "aushungert". Wenn jedoch Veganer regelmäßig Fleisch konsumieren, können sich diese Bakterien erneut ansiedeln und es wird wieder TMA produziert, wenn die ehemaligen Veganer Fleisch aßen. Diese Erkenntnisse unterstreichen die Flexibilität des Mikrobioms und seine Fähigkeit, sich entsprechend der Ernährungsgewohnheiten anzupassen. Sie verdeutlichen auch die komplexe Wechselwirkung zwischen Ernährung, Darmbakterien und deren Stoffwechselprodukten. Wie Darmbakterien schützen können Unsere nützlichen Darmbakterien spielen eine entscheidende Rolle bei der Produktion von Substanzen, die viele gesundheitsfördernde Eigenschaften besitzen. Diese sogenannten Postbiotika entstehen, wenn die guten Bakterien im Dickdarm unverdauliche Ballaststoffe aus unserer Nahrung abbauen. Insbesondere Postbiotika wie die kurzkettigen Fettsäuren Butyrat und Propionat haben sich als wertvoll erwiesen. Forscher sind sich einig, dass diese Abbauprodukte bestimmter Bakterien unseren Stoffwechsel und unser Immunsystem beeinflussen können. Sogar unsere Reaktion auf Stress kann durch das Vorhandensein von Postbiotika beeinflusst werden. Forscher vermuten sogar, dass diese Stoffwechselprodukte der fehlende Schlüssel sein können, der erklärt, warum Lebensmittel einen so tiefgreifenden Einfluss auf unsere Gesundheit haben. Ein weiteres anschauliches Beispiel im Zusammenhang mit dem Mikrobiom ist die Reduzierung des Salzkonsums. Es geht nicht nur darum, dass Salz den Blutdruck erhöhen kann, sondern auch darum, dass Salz ein Ungleichgewicht in der Darmflora verursachen kann, da es schützende Bakterien abtöten kann, die wiederum blutdrucksenkende Substanzen freisetzen. Für die Förderung eines gesunden Darmmikrobioms ist eine angemessene Zufuhr von Prä- und Probiotika von entscheidender Bedeutung und kann durch den Verzehr bestimmter Lebensmittel oder den Einsatz von Nahrungsergänzungsmitteln erreicht werden. Was sind Präbiotika? Präbiotika sind nicht verdauliche Nahrungsbestandteile, die selektiv das Wachstum und die Aktivität von bestimmten nützlichen Bakterien im Darm fördern. Sie dienen als Nahrung für diese gesunden Bakterien und tragen dazu bei, dass sie sich vermehren und ihre Funktionen im Darm erfüllen können. Präbiotika sind Bestandteile bestimmten Ballaststoffen und bestimmten Pflanzenfasern zu finden. Indem sie das Wachstum der guten Bakterien fördern, tragen Präbiotika zur Aufrechterhaltung einer gesunden Darmflora bei. Was sind Probiotika? Probiotika sind lebende Mikroorganismen, die die Darmgesundheit positiv beeinflussen. Sie können das Gleichgewicht der Darmflora verbessern, die Verdauung unterstützen, das Immunsystem stärken und Entzündungen reduzieren. Probiotika kommen in fermentierten Lebensmitteln wie Joghurt und Sauerkraut vor und sind auch höher dosiert und mit definierten Bakterienstämmen als Nahrungsergänzungsmittel erhältlich. Es ist wichtig zu beachten, dass nicht alle probiotischen Produkte gleich sind und ihre Wirkung von der spezifischen Zusammensetzung der enthaltenen Mikroorganismen abhängt. All diese Erkenntnisse deuten darauf hin, dass Herzinsuffizienz, Arterienverkalkung und andere Herzkrankheiten kein unausweichliches Schicksal sein müssen und wir mit einer gesunden Ernährung ihnen zum Teil vorbeugen können. Die Rolle der Darmbakterien: Gute und schlechte Produkte Hier sind einige der von den Darmbakterien produzierten Stoffe und ihre Auswirkungen auf das Herz: Gute Metaboliten / Postbiotika: Protocatechusäure: Wird durch die Verstoffwechselung von Früchten durch die Darmflora gebildet. Es soll vor Arterienverkalkung schützen. Kurzkettige Fettsäuren: Butyrat und Propionat entstehen, wenn Darmbakterien unverdauliche Pflanzenfasern abbauen. Diese Stoffe reduzieren das Risiko für Herzinfarkt, Schlaganfall und Herzinsuffizienz. Schlechte Metaboliten: Trimethylaminoxid (TMAO): Kann an der Entstehung von Herzinsuffizienz, Atherosklerose und chronischen Nierenerkrankungen beteiligt sein. TMAO verursacht eine erhöhte Verklebung von Blutplättchen und erhöht das Risiko für Blutgerinnsel. Mögliche neue und sanfte Therapiemöglichkeiten Zukünftige Studien werden zeigen, ob es möglich ist, die Zusammensetzung der Darmbakterien, sowie die von ihnen produzierten Stoffe gezielt zu beeinflussen. Tierexperimentelle Studien haben bereits vielversprechende Ergebnisse geliefert. Es wurde beispielsweise eine bestimmte Substanz entdeckt, die den TMAO-Spiegel im Blut senken kann. Diese Substanz blockiert ein Enzym im Darm, das normalerweise Cholin abbaut. Durch diese Hemmung wird die Produktion von TMA verhindert und somit auch die schädliche Bildung von TMAO unterbunden. Die behandelten Mäuse wiesen seltener verstopfte Blutgefäße auf und insgesamt eine bessere Gesundheit. Interessanterweise ähnelt die eingesetzte Substanz Cholin und kommt in kalt gepresstem Oliven- und Traubenkernöl sowie in Rotwein und Balsamicoessig vor. Neben der Entwicklung herkömmlicher Medikamente erforschen Wissenschaftler auch die Möglichkeiten einer „Mikroben Therapie“ zur Beeinflussung von Herzerkrankungen. Eine vielversprechende Methode besteht darin, die Darmflora mithilfe von Probiotika gezielt zu verändern. Diese "guten" Bakterien könnten dazu beitragen, die gesunde Zusammensetzung der Darmmikrobiota aufrechtzuerhalten oder wiederherzustellen, was sich positiv auf die Herzgesundheit auswirken könnte. Es besteht die berechtigte Hoffnung, dass in absehbarer Zukunft sanfte Therapieansätze für Herzpatienten entwickelt werden können, die auf die Beeinflussung der Darmflora abzielen. Indem wir ein besseres Verständnis für die komplexen Wechselwirkungen zwischen dem Darm und dem Herz-Kreislauf-System gewinnen, eröffnen sich neue Möglichkeiten, um die Gesundheit der Patienten zu verbessern und das Risiko von Herzerkrankungen zu verringern.

    Kinderwunsch und die Bedeutung einer gesunden Scheidenflora

    Kinderwunsch und die Bedeutung einer gesunden Scheidenflora

    Was ist das Scheidenmikrobiom? Das Mikrobiom umfasst sämtliche Mikroorganismen, die in und auf unserem Körper leben. Es besteht hauptsächlich aus verschiedenen Bakterienarten, aber auch Viren und Pilze gehören dazu. Diese Mikroorganismen bilden eine komplexe Gemeinschaft, die in verschiedenen Bereichen unseres Körpers existiert, wie zum Beispiel im Darm, auf der Haut, in der Mundhöhle, im Genitaltrakt und anderen Regionen. Das vaginale Mikrobiom, auch bekannt als Scheidenflora, bezieht sich speziell auf die natürliche mikrobielle Gemeinschaft, die in der Vagina einer Frau vorkommt. Diese Flora besteht vor allem aus Milchsäurebakterien, insbesondere der Lactobacillus-Art. Diese Bakterien produzieren Milchsäure und andere Substanzen, um den vaginalen pH-Wert sauer zu halten. Dadurch entsteht ein saures Milieu, das das Wachstum potenziell schädlicher Mikroorganismen hemmt. Eine ausreichende Anzahl dieser nützlichen Milchsäurebakterien in der Scheidenflora kann das Risiko von Geschlechtskrankheiten und Harnwegsinfekten verringern. Die Verwendung von Probiotika kann dabei helfen die vaginale Flora zu verbessern und damit die Immunabwehr zu unterstützen. [[blog_ad]] Ein gestörtes Scheidenmikrobiom Das vaginale Mikrobiom kann sich im Laufe des Lebens und unter dem Einfluss verschiedener Umweltfaktoren verändern. Ein ungesunder Lebensstil kann dazu beitragen, dass das Mikrobiom im Intimbereich aus dem Gleichgewicht gerät. Symptome wie Brennen, Juckreiz oder Ausfluss können darauf hinweisen, dass das schützende Mikrobiom Unterstützung benötigt. Hormonelle Einflüsse, wie sie während Schwangerschaft, Stillzeit, der Einnahme hormoneller Verhütungsmittel oder der Behandlung von Wechseljahresbeschwerden auftreten können, beeinflussen ebenfalls die Zusammensetzung der Scheidenflora. Die Anwendung von Antibiotika kann nicht nur unerwünschte Bakterien abtöten, sondern auch die nützlichen Laktobazillen reduzieren, wodurch der natürliche Schutz vor Infektionen verloren geht. Daher sollte die Darmflora am besten bereits während einer Antibiotikatherapie mit der Einnahme probiotischen Bakterien unterstützt werden, denn eine intakte Darmflora sorgt im Allgemeinen auch für eine intakte Scheidenflora. Vaginalduschen und übermäßige Reinigung des Intimbereichs können ebenfalls das natürliche Ökosystem der Scheide schädigen. Auswirkungen einer gestörten Scheidenflora auf die Fruchtbarkeit Milchsäurebakterien spielen eine entscheidende Rolle für ein gesundes Mikrobiom, nicht nur in der Scheide, sondern auch in der Gebärmutter. Forschungsergebnisse haben gezeigt, dass sie dort die vorherrschenden Mikroorganismen sind. Es wurde festgestellt, dass Laktobazillen von der Scheide in die Gebärmutter wandern. Wenn die Scheidenflora gesund ist, stärkt dies automatisch auch das Mikrobiom der Gebärmutter. Aktuelle Erkenntnisse haben gezeigt, dass das Mikrobiom der Gebärmutter einen entscheidenden Einfluss auf die Einnistung des Embryos und den Verlauf der Schwangerschaft hat. Hierbei spielen Laktobazillen eine bedeutende Rolle, um eine Schwangerschaft zu erreichen und sie erfolgreich bis zum Ende durchzuführen. Eine gestörte Scheidenflora kann die Fruchtbarkeit beeinträchtigen. Bei einer Kinderwunschbehandlung ist es daher wichtig, der vaginalen Mikrobiota und den Laktobazillen in der Gebärmutter ausreichend Aufmerksamkeit zu schenken. Eine gesunde Scheidenflora kann dazu beitragen, die optimalen Bedingungen für eine erfolgreiche Befruchtung und Einnistung des Embryos zu schaffen. Die Rolle von Lactobazillen bei der Unterstützung einer Kinderwunschbehandlung Verschiedene Studien haben gezeigt, dass die Erfolgsaussichten einer Kinderwunschbehandlung deutlich steigen, wenn das Mikrobiom der Scheide und der Gebärmutter gesund ist. Ist die Scheidenflora gestört und es liegt ein Mangel an Milchsäurebakterien vor, so erfolgt die Einnistung des Embryos seltener und es kann zu einem erhöhten Risiko von Fehlgeburten führen. Im Gegensatz dazu wurden bei Frauen, bei denen Milchsäurebakterien im Mikrobiom überwiegen, bei mehr als 60% bereits bei der ersten künstlichen Befruchtung eine erfolgreiche Einnistung des Embryos festgestellt. Bei Frauen mit einem Mangel an Lactobazillen gelang dies hingegen nur bei 23,1%. Die Auswirkungen auf die Geburten waren noch deutlicher. Bei Frauen mit einer hohen Anzahl von Milchsäurebakterien in der Gebärmutter brachten fast 60% ihr Kind sicher zur Welt. Demgegenüber lag diese Zahl bei Frauen mit einer milchsäurebakterienarmen Scheidenflora bei lediglich 6,7%. Diese Ergebnisse unterstreichen die Bedeutung eines gesunden Mikrobioms für den Erfolg einer Kinderwunschbehandlung. Die Bedeutung geeigneter Bakterien und deren Anwendung Probiotische Milchsäurebakterien können eine vielversprechende Option zur Behandlung von Scheideninfektionen sein und in einigen Fällen sogar die Notwendigkeit von Antibiotika reduzieren. Bei der Auswahl von Probiotika zur Unterstützung der Scheidenflora gibt es jedoch verschiedene Faktoren zu beachten, insbesondere die enthaltenen Bakterienstämme und die Art der Anwendung. Bestimmte Stämme können sich besonders gut in der Scheide angesiedelt und waren in Studien auch nach mehreren Wochen nachweisbar. Diese Bakterien können sich an die Schleimhautzellen in der Scheide und der Harnröhre anheften, den sauren pH-Wert aufrechterhalten und schädliche Mikroorganismen verdrängen. In Studien haben sich diese Bakterienstämme sowohl bei der lokalen Anwendung als auch bei der Einnahme von Probiotika-Kapseln als wirksam erwiesen. Andere Bakterien sind möglicherweise weniger geeignet, um das Scheidenmilieu zu verbessern. Lactobacillus acidophilus beispielsweise siedelt sich in der Scheide nicht ausreichend lange an und produziert kein Wasserstoffperoxid, das zur Abwehr von Infektionen beiträgt. Es gibt verschiedene Möglichkeiten, nützliche Lactobazillen zuzuführen. Probiotika Kapseln können sowohl eingenommen als auch lokal in der Scheide angewendet werden. Beide Methoden können das bakterielle Scheidenmilieu verbessern. Die lokale Anwendung ermöglicht es, Lactobazillen direkt vor Ort anzusiedeln. Bei der oralen Einnahme von probiotischen Kapseln besiedeln die probiotischen Bakterien den Darm und breiten sich von dort aus in die Vagina aus. Die regelmäßige Einnahme von Probiotika mit wertvollen, gesundheitsfördernden Bakterien hilft dabei, ein gesundes Mikrobiom sowohl in der Scheide als auch im Darm aufrechtzuerhalten. Milchsäurebakterien werden sowohl in der Komplementärmedizin als auch in der Schulmedizin zur Vorbeugung und Behandlung von Infektionen eingesetzt. Sie unterstützen das Ökosystem von Darm und Scheide, insbesondere während der Einnahme von Antibiotika. Eine langfristige Anwendung von Probiotika hat keinen nachteiligen Effekt, ganz im Gegenteil, erst eine regelmäßige und langfristige Einnahme kann die Gesundheit der Schleimhaut im Intimbereich fördern. Fazit Das Scheidenmikrobiom, auch bekannt als Scheidenflora, besteht aus verschiedenen Bakterien, insbesondere Lactobacillus, und spielt eine wichtige Rolle für die Gesundheit der Vagina. Eine gestörte Scheidenflora kann die Fruchtbarkeit beeinträchtigen. Studien zeigen, dass ein gesundes Mikrobiom der Scheide und der Gebärmutter die Erfolgsaussichten bei einer Kinderwunschbehandlung erhöht. Probiotika mit geeigneten Bakterienstämmen können dazu beitragen, das Scheidenmilieu zu verbessern und die Vaginal- und Darmflora zu unterstützen. Eine regelmäßige Einnahme von Probiotika fördert ein gesundes Mikrobiom und das nicht nur im Darm, sondern auch im Intimbereich und kann bei der Vorbeugung und Behandlung von Infektionen hilfreich sein. Studien im Zusammenhang Scheidenflora und Darmflora Oral Intake of the Commercial Probiotic Blend Synbio® for the Management of Vaginal Dysbiosis Vaginal microbiota and the potential of Lactobacillus derivatives in maintaining vaginal health. The Way Forward in Prevention of Preterm Birth. Lactobacillus acidophilus strain NAS (H2O2 positive) in reduction of recurrent Candidal vulvovaginitis The Use of Probiotics for Management and Improvement of Reproductive Eubiosis and Function. Evidence That the Endometrial Microbiota Has an Effect on Implantation Success or Failure. The Endometrial Microbiome and Its Impact on Human Conception. The Role of Genital Tract Microbiome in Fertility: A Systematic Review. Der Artikel dient lediglich der Informationsvermittlung in Bezug auf Probiotika und soll nicht als medizinische Empfehlung oder als Ersatz für professionelle medizinische Beratung oder Behandlung interpretiert werden.

    Der spannende Zusammenhang zwischen Mikrobiom und unserer emotionalen Stimmung

    Der spannende Zusammenhang zwischen Mikrobiom und unserer emotionalen Stimmung

    Unser Darm und unsere Psyche sind eng miteinander verbunden und beide beeinflussen sich gegenseitig. Oft wird der Darm auch als das "zweite Gehirn" oder "Bauchhirn" bezeichnet und er verfügt über ein eigenes Nervensystem. Die Kommunikation zwischen Gehirn und Darm ist ein äußerst komplexes Thema, das intensiv erforscht wird. Diese faszinierende Verbindung zwischen Darm und Psyche erweitert unser Verständnis von Gesundheit und Krankheit und weitere Erkenntnisse werden mit Spannung erwartet. Es ist mittlerweile unbestritten, dass eine gesunde Darmflora und eine ausgewogene Ernährung einen positiven Einfluss auf unsere Gesundheit und unser Wohlbefinden haben können. Eine gesunde Darmflora, bestehend aus einer vielfältigen Mischung von Mikroorganismen wie Darmbakterien, unterstützt ein gesundes Immunsystem und spielt eine wichtige Rolle bei der Verdauung von Nährstoffen. Andererseits kann eine unausgewogene Ernährung das Gleichgewicht der Darmflora stören und potenziell negative Auswirkungen auf unsere Gesundheit haben. [[blog_ad]] Das Bauchhirn und die Darm-Hirn-Achse Unser Magen-Darm-Trakt verfügt über ein eigenes Nervensystem, das als enterisches Nervensystem (ENS) oder "Bauchhirn" bezeichnet wird. Es handelt sich um ein Netzwerk von Nerven im Darm- und Bauchbereich, das aus etwa 100 Millionen Nervenzellen besteht. Das ENS erstreckt sich nahezu über den gesamten Verdauungstrakt, von der Speiseröhre bis zum Enddarm. Zusammen mit dem Immunsystem gilt es als das wichtigste Informationssystem des Körpers. Zu den Aufgaben des "Bauchhirns" gehören neben der Darmmotorik und Verdauung auch die Kommunikation mit unserem Gehirn. Wenn wir beispielsweise etwas Verdorbenes gegessen haben, sendet der Darm dem Gehirn ein Signal, dass sich schädliche Stoffe in unserem Körper befinden. Das "Kopfhirn" sendet als Reaktion darauf Signale an das ENS, um motorische Reflexe auszulösen, die Erbrechen verursachen. Diese Kommunikation wird auch als "Darm-Hirn-Achse" bezeichnet. Glückshormon im Bauch Der Darm enthält Millionen von Nervenzellen und ist in der Lage, Informationen über Nervenbahnen, Hormone, Botenstoffe des Immunsystems und sogar über die im Darm lebenden Mikroorganismen zu übermitteln. Ein wichtiger Faktor bei dieser Kommunikation ist das Hormon Serotonin, das zu einem großen Teil im Darm produziert wird. Serotonin wird oft als "Glückshormon" bezeichnet und spielt eine wichtige Rolle bei der Regulation von Stimmung und Emotionen. Ein gestörtes Gleichgewicht der Darmflora oder Entzündungen im Darm können die Produktion von Serotonin beeinträchtigen und sich negativ auf die Stimmung auswirken. Stress hat einen Einfluß auf den Dam Umgekehrt können auch psychische Zustände wie Stress, Angst oder Traurigkeit Entzündungen im Darm verursachen und die Darmgesundheit beeinträchtigen. Bei Entzündungen im Darm kann die Umwandlung der Aminosäure Tryptophan, die für die Produktion von Serotonin benötigt wird, gestört sein. Dadurch kann es zu einem Serotoninmangel kommen, der mit depressiven Verstimmungen, Konzentrationsschwierigkeiten und Angstzuständen in Verbindung gebracht wird. Wechselwirkung von Darmmikrobiom und emotionalem Wohlbefinden Die Darm-Hirn-Achse und das enterische Nervensystem spielen eine wichtige Rolle bei der Kommunikation zwischen dem Darm und dem Gehirn. Eine kürzlich veröffentlichte Studie hat gezeigt, dass es einen Zusammenhang zwischen dem Darmmikrobiom und dem emotionalen Wohlbefinden gibt. Forscher haben herausgefunden, dass das Darmmikrobiom eine Rolle in der Kommunikation zwischen Darm und Gehirn spielt und Auswirkungen auf die emotionale und körperliche Gesundheit haben kann. Die Studie untersuchte Frauen mittleren Alters und fand heraus, dass eine Unterdrückung von Gefühlen mit einem weniger vielfältigen Darmmikrobiom verbunden war, während positive Emotionen mit bestimmten Bakterienarten assoziiert waren. Negative Emotionen waren mit einer verringerten Aktivität in stoffwechselbezogenen Funktionen des Mikrobioms verbunden. Die Ergebnisse deuten darauf hin, dass das Darmmikrobiom eine Rolle bei der Emotionsregulation und dem allgemeinen Wohlbefinden spielen könnte. Mikrobiom und psychische Gesundheit: Die Rolle des Darmmikrobioms Die wissenschaftliche Forschung hat in den letzten Jahren immer mehr Erkenntnisse über die Verbindung zwischen dem menschlichen Darm und der psychischen Gesundheit gewonnen. So wird angenommen, dass psychische Erkrankungen wie Depressionen ihre Wurzeln auch im Darm haben können. Das komplexe Ökosystem von Mikroorganismen, das den Darm besiedelt und als Mikrobiom bezeichnet wird, spielt dabei eine wichtige Rolle. Studien haben gezeigt, dass Veränderungen im Mikrobiom direkte Auswirkungen auf die psychische Gesundheit haben können. Unterschiedliche Zusammensetzungen des Mikrobioms wurden bei Menschen mit verschiedenen psychischen Erkrankungen festgestellt, darunter Depressionen, Angststörungen, Schizophrenie und Autismus. Wo wurde zum Beispiel bei Menschen mit Depressionen eine geringere Anzahl bestimmter Bakterienarten im Darm beobachtet, die an der Produktion des Neurotransmitters Dopamin beteiligt sind, der für die Stimmung und Motivation wichtig ist. Kommunikation zwischen Darm und Gehirn: Einfluss des Mikrobioms Die Kommunikation zwischen Darm und Gehirn erfolgt über verschiedene Wege, darunter den Vagusnerv, der direkt mit beiden verbunden ist, und die Produktion von Botenstoffen durch die Darmbakterien. Veränderungen im Mikrobiom und damit der Darmmikroben-Zusammensetzung können diese Kommunikation beeinflussen und die Art und Anzahl der Neurotransmitter im Gehirn verändern. Studien am Tiermodell haben gezeigt, dass eine veränderte Zusammensetzung des Mikrobioms zu Verhaltensänderungen führen kann, die für psychische Erkrankungen charakteristisch sind. Unsere Ernährung spielt eine entscheidende Rolle bei der Aufrechterhaltung eines gesunden Mikrobioms. Eine ballaststoffreiche Ernährung, die reich an Obst, Gemüse, Vollkornprodukten und fermentierten Lebensmitteln ist, fördert die Vielfalt und das Gleichgewicht der Darmbakterien. Probiotika, die lebende Mikroorganismen enthalten, können ebenfalls dazu beitragen, ein gesundes Mikrobiom aufrechtzuerhalten. Es gibt erste Forschungsergebnisse, die belegen, dass Probiotika das psychische Wohlbefinden verbessern können. Solche Probiotika werden auch als Psychobiotika bezeichnet. Stuhltransplantationen als mögliche Therapieoption für psychische Erkrankungen Stuhltransplantationen, bei denen der Stuhl einer gesunden Person in den Darm einer Person mit psychischen Erkrankungen übertragen wird, werden als eine mögliche zukünftige Therapieoption untersucht. Diese Transplantationen können dazu beitragen, das Mikrobiom der betroffenen Person zu verändern und möglicherweise ihre psychische Gesundheit zu verbessern. Hier bedarf es allerdings noch weiterer Forschungen, um die Wirksamkeit und Sicherheit dieser Methode zu bestätigen. Fazit Das Mikrobiom spielt eine wichtige Rolle bei der psychischen Gesundheit. Die Forschung auf diesem Gebiet ist noch im Gange, aber es besteht Hoffnung, dass die Manipulation des Mikrobioms als therapeutischer Ansatz zur Behandlung psychischer Erkrankungen dienen könnte. Probiotika könnten dabei eine wichtige Rolle spielen, da sie das Gleichgewicht der Darmflora fördern und potenziell positive Auswirkungen auf unsere psychische Gesundheit haben können.

    Darmaufbau / Darmsanierung

    Darmaufbau /Darmsanierung

    Warum ist der Aufbau der Darmflora so wichtig? In den letzten Jahren hat die Erforschung des Darms gezeigt, dass er weit mehr ist als nur ein Verdauungsorgan. So spielt der Darm besispielsweise eine zentrale Rolle in unserem Immunsystem. Etwa 70 bis 80 Prozent der Zellen, die Antikörper produzieren, befinden sich in der Darmschleimhaut. Um effektiv zu arbeiten, benötigen sie eine intakte Darmflora, die aus einer Vielzahl nützlicher Bakterien besteht. Diese Bakterien verdrängen potenzielle Krankheitserreger wie Bakterien, Viren und Pilze und unterstützen die Verdauung, den Abbau von Ballaststoffen und die Produktion lebenswichtiger Vitamine. Daher bietet der Aufbau einer gesunden Darmflora zahlreiche gesundheitliche Vorteile. Symptome einer gestörten Darmflora Ungünstige Umweltfaktoren wie falsche Ernährung, Stress oder Schlafmangel können das sensible Gleichgewicht der bakteriellen Gemeinschaft im Darm stören. Unerwünschte Bakterien können sich vermehren und die nützlichen Keime verdrängen. Dies kann zu verschiedenen Beschwerden führen, darunter: Häufigere Infektionen der Atemwege wie Bronchitis oder Sinusitis Hautprobleme wie unreine Haut Nahrungsmittelunverträglichkeiten Chronisch-entzündliche Darmerkrankungen Gewichtsprobleme schlechter Schlaf Wenn Du unter diesen Beschwerden leidest, kann der Aufbau Ihrer Darmflora Linderung bringen. Ursachen einer gestörten Darmflora Die Ursachen für eine gestörte Darmflora können vielfältig sein, darunter der Einsatz von Medikamenten wie Antibiotika, Cortison, Antirheumatika und der Antibabypille, aber auch eine Chemotherapie, ungesunde Ernährung und anhaltender Stress. Selbst zu wenig Schlaf, wie auch zu wenig Bewegung kann sich negatov auf unsere Darmflora auswirkung und das sensible Gleichgewicht der Mikroorganismen stören. Was wird unter einer Darmaufbau bzw Darmsanierung verstanden? Darmaufbau und Darmsanierung sind Verfahren zur Wiederherstellung einer gestörten Darmflora. Unser Darm beherbergt Billionen von Mikroorganismen (Bakterien), die in einem bestimmten Verhältnis zueinander stehen sollten. Der Großteil der Darmbakterien befindet sich im Dickdarm und hat eine wichtige Aufgabe bei der Abwehr von Krankheitserregern. Wird das Gleichgewicht der Mikroorganismen im Darm gestört, was als Dysbiose bezeichnet wird, können viele Aspekte unserer Gesundheit beeinträchtigt werden. So kann eine Dysbiose unser Immunsystem, unsere Haut, unsere Psyche, unseren Schlaf und selbst unser Körpergewicht negativ beeinflussen. Wann sollte man einen Darmaufbau durchgeführt werden? Ein Darmaufbau ist ratsam, wenn zuvor Antibiotika, Cortison, Chemotherapie oder ähnliche Therapien eingesetzt wurden, da diese die gesunde Darmflora schädigen und zu einer Beeinträchtigung oder Unterdrückung des Immunsystems führen können. Dies wiederum kann zu Folgeerkrankungen wie Pilzinfektionen und anderen Infektionen führen. Daher ist es wichtig, den Darm und das Immunsystem nach solchen Behandlungen durch die Wiederbesiedlung mit darmfreundlichen Bakterien wieder aufzubauen. Zu den within® Produkten Der Aufbau der Darmflora nach einer Antibiotika-Therapie Auch Medikamente, insbesondere Antibiotika, können negative Auswirkungen auf die Darmflora haben. Bei einer antibiotischen Behandlung zur Bekämpfung bakterieller Infektionen können auch nützliche Bakterien in unserer Darmflora abgetötet werden. Dies kann zu antibiotika-assoziierter Durchfall, Blähungen oder Bauchschmerzen führen. Dennoch sind Antibiotika in schweren Fällen unerlässlich. Um jedoch negative Folgen auf die Darmflora zu minimieren, kannst Du vorbeugende Maßnahmen ergreifen oder nach der Einnahme von Antibiotika gezielt den Aufbau Deiner Darmflora fördern. Hier erfährst Du mehr, wie Du Probiotika bei einer Antibiotika-Therapie einnimmst. Probiotische Lebensmittel: Natürliche Unterstützung für das Darmimmunsystem Probiotische Lebensmittel können auf natürliche Weise zur Stärkung Ihrer Darmflora beitragen. Fermentierte Lebensmittel enthalten lebende Mikroorganismen wie Milchsäurebakterien und Hefen wie Saccharomyces boulardii. Sie gelangen mit der Nahrung in unseren Verdauungstrakt und unterstützen den Wiederaufbau des Immunsystems, indem sie unerwünschte Keime verdrängen. Der Aufbau der Darmflora kann durch den Verzehr probiotischer Getränke oder durch milchsauer vergorene Produkte wie Sauerkraut oder Brottrunk unterstützt werden. Probiotika in Nahrungsergänzungsmitteln bieten den Vorteil einer gezielten und konzentrierten Zufuhr von spezifischen probiotischen Bakterienstämmen. Nahrungsergänzungsmittel ermöglichen eine einfache und dosierbare Einnahme, insbesondere bei erhöhtem Bedarf.  Präbiotische Lebensmittel: Nahrung für einen gesunden Darm Präbiotika unterstützen bereits vorhandene erwünschte Bakterien in Deinem Darm. Beispiele für präbiotische Lebensmittel sind Flohsamen, Leinsamen, Weizenkleie, Chicorée, Schwarzwurzeln oder Topinambur. Um Deine Darmflora aufzubauen und Ihrem Darmimmunsystem Gutes zu tun, empfiehlt es sich, präbiotische und probiotische Lebensmittel und Getränke in Ihre ausgewogene Ernährung einzubeziehen. Ausreichend Flüssigkeit zu trinken ist ebenfalls von entscheidender Bedeutung.  Forschungsstand und zukünftige Entwicklungen Der Forschungsstand zur Darmsanierung ist fortlaufend, und es werden weiterhin Studien durchgeführt, um das Verständnis der Darmflora und ihre Auswirkungen auf die Gesundheit zu vertiefen. Zukünftige Entwicklungen könnten die Identifizierung spezifischer Bakterienstämme, personalisierte Therapien und innovative Ansätze wie die Verwendung von Präbiotika oder Fäkaltransplantationen umfassen. Es besteht auch Interesse an der Rolle der Darmgesundheit bei verschiedenen Krankheiten und deren Behandlung. Möchtest Du mehr über Darmgesundheit erfahren, melde Dich gern zu unserem Newsletter hier an. Der Artikel dient lediglich der Informationsvermittlung in Bezug auf Probiotika und soll nicht als medizinische Empfehlung oder als Ersatz für professionelle medizinische Beratung oder Behandlung interpretiert werden.

    Psychobiotika

    Psychobiotika zur Behandlung von Depressionen?

    Was sind Psychobiotika? Psychobiotika sind Probiotika, die eine positive Wirkung auf die Psyche haben können und somit bei psychischen Erkrankungen wie Depressionen helfen können. Dieser Forschungsbereich ist noch recht jung. So wurde der Begriff erst 2012 geprägt. In Studien wurde gezeigt, dass Bakterienstämme aus den Gattungen Lactobacillus und Bifidobacterium ein besonders hohes psychobiotisches Potenzial haben können. Auch ein Mangel an Präbiotika kann mit depressiven Verstimmungen zusammenhängen. Präbiotika dienen probiotischen Bakterienstämmen als Futter und förden damit deren Wachstum. Somit halten Forscher die Kombination aus Pro- und Präbiotika für besonders effektiv. Eine solche Kombination wird als Synbiotika, bezeichnet. Die Forschung im Zusammenhang unseres Mikrobioms und unserer psychischen Gesundheit befindet sich noch am Anfang, wächst aber schnell und wird als äußerst vielversprechend angesehen. Wie eine gestörte Darmflora unsere Stimmung beeinflusst Es ist bekannt, dass Patienten mit Entzündungen im Magen-Darm-Trakt oder dem Reizdarmsyndrom häufig Anzeichen von depressiver Verstimmung zeigen. Umgekehrt können Angstgefühle oder Depressionen die Symptome einer entzündlichen Darmerkrankung verschlimmern. Auch Stress kann unsere Gesundheit beeinträchtigen und für Probleme im Darm sorgen, wiederum können Störungen des Darms wie eine Beeinträchtigung der Darmtätigkeit für Stress sorgen. Diese wechselseitige Beziehung legt nahe, dass die Psyche einen bedeutenden Einfluss auf unser vegetatives Nervensystem hat und umgekehrt. Über die sogenannte Hirn-Darm-Achse (im Englischen gut brain axis) erfolgt diese Regulation, bei der der Verdauungstrakt über Nerven, Hormone und das gastrointestinale Immunsystem Einfluss auf das Gehirn und unsere Emotionen nimmt. Viele wissenschaftliche Studien zeigen, dass eine gestörte Darmflora Ängste, Depressionen und Stress mitverursachen kann. Wissenschaftler haben beispielsweise zeigen können, dass das endokine System, welches die Produktion von Hormonen koordiniert, durch Mikroben im Darm beeinflusst werden konnte. Dies legt nahe, dass psychische Erkrankungen auch mit einer gestörten Darmflora (Dysbiose) in Verbindung stehen könnten. Eine Therapie von Depressionen oder einer anderen psychischen Erkrankung mit Probiotika wäre von großem Nutzen, da Arzneimittel meist viele Nebenwirkungen haben, probiotische Produkte hingegen kaum. Mikroorganismen als Alternative zu Antidepressiva? Im Tiermodell konnte bereits gezeigt werden, dass Probiotika antidepressive Eigenschaften hat und selbst im Vergleich mit herkömmlichen Antidepressiva als effektiv eingestuft werden konnte. Die Datenlage bei Menschen ist allerdings noch sehr begrenzt, daher stellen probiotische Produkte bisher noch keine Alternative zur alleinigen Behandlung von psychischen Erkrankungen dar. Eine neuere wissenschaftliche Studie aus dem Jahr 2021 untersuchte die Wirkung von Probiotika bei der Behandlung von klinischer Depression. Die Ergebnisse dieser Studie zeigten, dass Probiotika eine wirksame Methode sein können, um depressive Symptome zu reduzieren. Besonders deutlich war die Wirkung, wenn Probiotika in Kombination mit Antidepressiva eingenommen wurden. Es sind noch viele Fragen offen, wie zum Beispiel die genaue Dosierung und welche spezifischen Darmbakterien hilfreich sind. Ein großer Vorteil von Pro- und Präbiotika gegenüber klassischen Antidepressiva ist, dass sie kaum Nebenwirkungen haben. Die bisherigen Ergebnisse sind faszinierend und Wissenschaftler sind optimistisch, dass Psychobiotika eine Alternative oder zumindest ein nebenwirkungsarmer Begleit-Therapie für die Behandlung bestimmter psychischer Erkrankungen sein kann.  Linderung von Angststörungen Forschungsergebnisse zeigen, dass psychobiotische Produkte eine mögliche, wirksame Behandlung für Menschen mit Angststörungen sein können. Eine Angststörung ist eine psychische Erkrankung, die Nervosität, Angst, Panik und Unruhe verursachen kann. Körperliche Symptome können Zittern, Schwitzen, schnelles Atmen und ein schneller Herzschlag sein. Angst steht in Verbindung mit einem Hormon namens Corticotropin-Releasing-Hormon (CRH), das bei der Regulation von Angst eine Rolle spielt. Es gibt Hinweise darauf, dass die Einnahme von psychobiotischen Produkten helfen können, Angstzustände zu lindern, indem sie das CRH regulieren. In einer Studie nahmen 50 Erwachsene teil, darunter 30 mit Kehlkopfkrebs und 20 gesunde Freiwillige, die auf eine Operation warteten. In den zwei Wochen vor der Operation wurden ihre Herzfrequenz und CRH-Spiegel gemessen. Eine zufällig ausgewählte Gruppe von 20 Erwachsenen erhielt eine psychobiotische Behandlung. Die Teilnehmer, die Psychobiotika einnahmen, zeigten niedrigere Herzfrequenzen und CRH-Spiegel. Sie berichteten auch von einer Verringerung von Stress- und Angstgefühlen. In einer anderen Studie wurden Athleten mit Angstzuständen untersucht. Zu Beginn der Studie wurden sie zu ihrem Angst- und Stressniveau befragt und erhielten dann über einen Zeitraum von 8 Wochen Psychobiotika. Die Studie zeigte eine signifikante Abnahme der Angst- und Stresssymptome bei den Teilnehmern, die Psychobiotika einnahmen. Zudem wurde ein deutlicher Rückgang der körperlichen Angstsymptome wie Herzrasen und Zittern festgestellt. Eine weitere Studie konzentrierte sich auf Personen mit generalisierter Angststörung oder Essstörungen wie Anorexia nervosa oder Bulimie. Durch die Einnahme von Psychobiotika zeigte sich eine signifikante Veränderung des Darmmikrobioms. Diese Veränderungen führten zu einer größeren Vielfalt an gesunden Bakterien, was sich möglicherweise positiv auf die psychische Gesundheit auswirken könnte. Zusammenhang von Dysbiose und psychischen Erkrankungen Es ist mittlerweile wissenschaftlich erwiesen, dass unsere Darmflora nicht nur eine Rolle bei der Verdauung spielt, sondern auch einen Einfluss auf viele andere Systeme in unserem Körper hat, so auch auf unser Gehirn und unsere Psyche. Es besteht eine enge Wechselwirkung zwischen den Mikroorganismen in unserem Darm und den Prozessen in unserem Gehirn. So wurden interessante Zusammenhänge zwischen bestimmten psychischen und neurologischen Problemen und Darmbeschwerden festgestellt. Beispielsweise haben Menschen mit Reizdarmsyndrom häufig depressive Symptome, Patienten mit Parkinson leiden oft unter Verstopfung und Menschen mit Autismus-Spektrum-Störungen haben oftmals Verdauungsprobleme. Diese Beobachtungen haben zu intensiver Forschung über die sogenannte Darm-Hirn-Achse geführt. Die Untersuchung dieser Zusammenhänge könnte sowohl Patienten mit entzündlichen Darmerkrankungen als auch Personen mit psychischen Erkrankungen zugutekommen. Weitere Studien und Erkenntnisse in diesem Bereich gewartet werden mit großer Spannung erwartet, um die genauen Mechanismen und mögliche therapeutische Ansätze besser verstehen zu können. All das könnte dazu beitragen, neue Wege zur Behandlung von Krankheiten der Psyche zu entwickeln und das Wohlbefinden der Betroffenen zu verbessern. Wie wirken Psychobiotika? Probiotika haben komplexe Wirkmechanismen, die auf verschiedene Arten erfolgen können. Sie können die Synthese von Neurotransmittern wie Serotonin fördern, was sich auf unser Verhalten und unsere Stimmung auswirkt. Darüber hinaus können sie die Stressreaktion regulieren, indem sie die übermäßige Freisetzung des Stresshormons Cortisol verhindern. Sie können auch entzündliche Prozesse lindern und das antioxidative Eiweiß Glutathion erhöhen, was möglicherweise dazu beiträgt, Entzündungen vorzubeugen. Die erhöhte Durchlässigkeit der Darmschleimhaut, die mit entzündlicher Aktivität im Körper in Verbindung gebracht wird, kann durch die Einnahme von Psychobiotika beeinflusst werden. Aufgrund der Wechselwirkung zwischen dem Verdauungstrakt und dem Zentralnervensystem kann die Behandlung mit psychobiotischen Darmbakterien eine beruhigende und stimmungsaufhellende Wirkung haben, die die Psyche beeinflusst. Außerdem haben Studien gezeigt, dass bestimmte Bakterienkulturen wie Lactobacillus- und Bifidobacterium-Arten den Neurotransmitter GABA produzieren können, dessen Mangel zu erhöhter Angst führen kann. Probiotische Nahrungsergänzungsmittel, die diese Bakterien enthalten, haben Angstsymptome sowohl im Tiermodell als auch bei Menschen mit Reizdarmsyndrom reduzieren können. Schädliche Darmbakterien hingegen können das zentrale Nervensystem negativ beeinflussen. Zum Beispiel produziert Clostridium difficile Substanzen, die nachweislich Neuronen und möglicherweise auch das endokrine System beeinträchtigen. Interessanterweise wurde bei Patienten mit Autismus oder Schizophrenie eine erhöhte Konzentration dieses Bakteriums im Verdauungstrakt im Vergleich zu gesunden Menschen festgestellt.  Welche Bakterienkulturen sind besonders effektiv? Besonders vielversprechend sind Bakterienstämme der Gattungen Lactobacillus und Bifidobakterium, insbesondere die Spezies B. breve, B. longum, L. rhamnosus und L. plantarum. Diese Bakterienstämme sind in einigen Probiotika-Präparaten enthalten. Bifidobakterien scheinen Entzündungsreaktionen verhindern zu können und können den Tryptophanspiegel im Körper erhöhen. Tryptophan ist eine Vorstufe des Neurotransmitters Serotonin und ein Mangel daran wird mit depressiven Symptomen in Verbindung gebracht. Daher kann Tryptophan eine beruhigende Wirkung haben und die Stimmung verbessern. Wie alle nützlichen Darmbakterien für den Menschen profitieren auch Psychobiotika von Präbiotika, die als Futter für die Bakterien dienen. Präbiotika können die Durchlässigkeit der Darmschleimhaut verringern und Entzündungen verhindern, die bei Personen mit depressiven oder ängstlichen Symptomen beobachtet werden. Aus diesem Grund gelten symbiotische Produkte, eine Kombination aus Pro- und Präbiotika als besonders effektiv. Präbiotika im Zusammenhang mit Psychobiotika Präbiotika stehen in einem interessanten Zusammenhang mit Psychobiotika. Studien haben gezeigt, dass Präbiotika positive Effekte auf emotionale und kognitive Prozesse haben können. Synbiotika, also die Kombination aus Pro- und Präbiotika, könnten daher im Bereich Psychobiotika besonders interessant sein. So wurde beobachtet, dass Synbiotika den entzündungsfördernden Tumornekrosefaktor TNF-α erheblich reduzieren können, und dieser Effekt hält auch mehrere Monate nach der Behandlung an. Hier erfährst Du, was genau Präbiotika sind. Praktische Anwendung - Bereits heute von der Darm-Hirn-Achse profitieren: Forscher haben in vielen Studien nachweisen können, dass das Mikrobiom nicht nur den Darm, sondern unseren gesamten Körper, einschließlich des Gehirns, beeinflussen kann. Auch wenn noch nicht alle Wirkungsweisen bereits geklärt wurden, können wir diesen Ansatz bereits jetzt nutzen, um unsere Gesundheit zu verbessern. Eine gesunde Ernährung mit ausreichend Ballaststoffen und eine Reduzierung von Zucker und raffinierten Kohlenhydraten kann das Wachstum nützlicher Darmbakterien fördern. Auch regelmäßige Bewegung und Stressmanagement können sich positiv auf das Mikrobiom des Darms auswirken. Jeder Mensch ist individuell, und was für den einen gut ist, muss nicht zwangsläufig auch für den anderen gut sein. Allerdings gibt es einige allgemeine Empfehlungen, die eine großartige Unterstützung für unser Mikrobiom bieten können: Zufuhr von Ballaststoffen in Lebensmitteln wie Vollkornprodukte, Obst, Gemüse, Hülsenfrüchte und Nüsse Fermentierte Lebensmittel wie Joghurt, Sauerkraut, Kimchi oder Kefir konsumieren Einnahme synbiotischer Präparate Auf ausreichend Flüssigkeitszufuhr achten Stress reduzieren und Entspannungstechniken anwenden Regelmäßige Bewegung und körperliche Aktivität in den Alltag integrieren Diese Maßnahmen können helfen, das Gleichgewicht im Darmmikrobiom zu fördern und somit auch die Kommunikation zwischen Darm und Gehirn zu unterstützen und damit das Wohlbefinden zu steigern.Es ist jedoch wichtig zu beachten, dass eine gesunde Lebensweise allein nicht ausreicht, um psychische Erkrankungen zu behandeln.Ist unsere psychische Gesundheit beeinträchtigt, sollte immer professionelle Hilfe von einem Arzt oder Therapeuten in Anspruch genommen werden. Studien Psychobiotika Finding the needle in the haystack: systematic identification of psychobiotics From Probiotics to Psychobiotics: Live Beneficial Bacteria Which Act on the Brain-Gut Axis Psychobiotics and the Manipulation of Bacteria-Gut-Brain Signals Psychobiotics: Your microbiome has the potential to improve your mental health, not just your gut heal Updated Review and Meta-Analysis of Probiotics for the Treatment of Clinical Depression: Adjunctive vs. Stand-Alone Treatment The current state of psychobiotics The future of psychobiotics Meet the psychobiome Psychobiotics: Probiotics That May Impact Mood Der Artikel dient lediglich der Informationsvermittlung in Bezug auf Probiotika und soll nicht als medizinische Empfehlung oder als Ersatz für professionelle medizinische Beratung oder Behandlung interpretiert werden. Bei psychischen Beschwerden sollte immer ein Ärzt oder Therapeut zu Rat gezogen werden.

    Hitzepickel

    Hitzepickel: Ursachen, Symptome und effektive Behandlungsmöglichkeiten

     Was sind Hitzepickel? Hitzepickel entstehen durch eine Verstopfung der Schweißdrüsen. Dies führt dazu, dass der Schweiß in der Haut eingeschlossen wird, was zu kleinen Bläschen oder roten Papeln führt. Es gibt verschiedene Arten von Hitzepickeln, die sich in der Tiefe der Verstopfung und den damit verbundenen Symptomen unterscheiden: Miliaria crystallina: Dies ist die mildeste Form, bei der sich oberflächliche Bläschen bilden, die nicht entzündet sind und keinen Juckreiz verursachen. Miliaria rubra: Diese Form ist tiefer in der Haut und führt zu roten, juckenden Papeln. Miliaria profunda: Diese seltenere Form tritt in tieferen Hautschichten auf und kann größere, festere Knoten verursachen. Ursachen von Hitzepickeln Hitzepickel treten in der Regel bei heißem, feuchtem Wetter oder bei übermäßigem Schwitzen auf. Zu den häufigsten Ursachen gehören: Hohe Temperaturen: Warme und feuchte Umgebungen fördern die Schweißproduktion. Eng anliegende Kleidung: Diese kann die Belüftung der Haut behindern und die Schweißdrüsen blockieren. Intensive körperliche Aktivität: Erhöhtes Schwitzen durch Sport oder anstrengende Tätigkeiten. Übermäßige Nutzung von Hautpflegeprodukten: Einige Cremes und Lotionen können die Poren verstopfen. Fieber: Bei Erkrankungen mit hohem Fieber kann es ebenfalls zu vermehrtem Schwitzen und Hitzepickeln kommen  Symptome von Hitzepickeln Die Symptome variieren je nach Schweregrad der Hitzepickel: Bläschen oder Papeln: Kleine, klare oder rote Erhebungen auf der Haut. Juckreiz: Besonders bei Miliaria rubra kann intensiver Juckreiz auftreten. Brennen: Ein unangenehmes Brennen oder Stechen an den betroffenen Stellen. Rötung: Hautrötungen, die auf Entzündungen hinweisen  Behandlungsmöglichkeiten für Hitzepickel Die Behandlung von Hitzepickeln konzentriert sich darauf, die Haut kühl und trocken zu halten sowie die Symptome zu lindern: Behandlungsmethode Beschreibung Vorteile Kühlung Kühle Kompressen oder ein lauwarmes Bad können den Juckreiz und die Rötung lindern. Sofortige Linderung von Juckreiz und Rötung Luftige Kleidung Trage leichte, atmungsaktive Kleidung, die die Haut belüftet. Verhindert weitere Verstopfung der Schweißdrüsen Vermeidung von Hitze Vermeide heiße, feuchte Umgebungen und intensive körperliche Aktivitäten. Reduziert das Schwitzen und die Wahrscheinlichkeit neuer Hitzepickel Topische Mittel Beruhigende Lotionen wie Calamin oder Hydrocortison-Creme können helfen, den Juckreiz zu reduzieren. Lindert Entzündungen und Juckreiz Hautpflege Verwende milde, nicht komedogene Hautpflegeprodukte, die die Poren nicht verstopfen. Unterstützt die Heilung und verhindert weitere Hautirritationen     Probiotische Hautpflege Probiotische Hautpflegeprodukte wie die Skin Glow Produkte von Within Supplements können von innen heraus helfen, die Hautbarriere zu stärken und das Hautmikrobiom ins Gleichgewicht zu bringen. Diese Produkte enthalten nützliche Bakterien, die die Darmgesundheit und damit die Hautgesundheit fördern und Hautprobleme wie Hitzepickel lindern können. [[blog_ad]] Prävention von Hitzepickeln Um Hitzepickeln vorzubeugen, kannst Du folgende Maßnahmen ergreifen: Trage lockere, leichte Kleidung: Bevorzuge Materialien wie Baumwolle, die atmungsaktiv sind. Bleib kühl: Halte Dich in klimatisierten Räumen auf und vermeide direkte Sonneneinstrahlung. Pflege Deine Haut: Reinige Deine Haut regelmäßig und verwende milde, nicht komedogene Pflegeprodukte. Achte auf Deine Umgebung: Reduziere Deine Aktivität in heißen, feuchten Umgebungen und trinke ausreichend Wasser, um Überhitzung zu vermeiden  Hautpflege-Tipps bei Hitzepickeln Eine effektive Hautpflege kann das Auftreten von Hitzepickeln reduzieren und die Heilung unterstützen: Reinigung: Verwende ein mildes Reinigungsmittel, um Schmutz und Schweiß zu entfernen, ohne die Haut zu reizen. Feuchtigkeit: Wähle leichte, nicht fettende Feuchtigkeitscremes, die die Haut hydratisieren, ohne die Poren zu verstopfen. Exfoliation: Sanfte Exfoliation kann helfen, abgestorbene Hautzellen zu entfernen und die Poren frei zu halten. Probiotika: Integriere probiotische Nahrungsergänzungsmittel, um das Gleichgewicht des Hautmikrobioms zu unterstützen und die Hautbarriere zu stärken  Zusammenfassung Hitzepickel sind ein häufiges und unangenehmes Hautproblem, das vor allem in warmen und feuchten Umgebungen auftritt. Durch die richtigen Maßnahmen zur Vorbeugung und Behandlung kannst Du jedoch das Auftreten von Hitzepickeln minimieren und Deine Hautgesundheit verbessern. Probiotische Hautpflegeprodukte wie die Dailys von Within Supplements können eine innovative Möglichkeit bieten, die Hautbarriere von innen heraus zu stärken und Hautprobleme zu lindern. Investiere in Deine Hautgesundheit und entdecke die Vorteile probiotischer Pflegeprodukte!

    Milien

    Milien: Ursachen, Behandlung und Prävention

    Was sind Milien? Milien sind winzige, harte Zysten, die aus Keratin bestehen und sich an den Ausgängen von Talgdrüsen und Haarfollikeln bilden. Sie sind zwischen einem und drei Millimetern groß und fühlen sich hart an. Besonders häufig treten sie im Augenbereich und auf den Wangen auf, können aber auch an anderen Körperstellen wie dem Oberkörper, den Gliedmaßen und im Genitalbereich vorkommen. Ursachen von Milien Es gibt verschiedene Ursachen für die Entstehung von Milien: Primäre Milien: Diese entstehen oft durch hormonelle Veränderungen und können in jedem Alter auftreten, sowohl bei Männern als auch bei Frauen. Sie sind häufig im Gesicht zu finden, besonders im Augenbereich. Sekundäre Milien: Diese entstehen durch Hautverletzungen wie Verbrennungen, Entzündungen, Abschürfungen oder nach Hautkrankheiten wie Gürtelrose. Auch übermäßige Sonneneinstrahlung kann zur Bildung von sekundären Milien führen. Milien bei Neugeborenen: Diese Form, auch milia neonatorum genannt, tritt bei Babys auf und verschwindet in der Regel innerhalb weniger Wochen von selbst. [[blog_ad]] Symptome und Aussehen Milien sind als kleine, weiße oder gelbliche Knötchen auf der Hautoberfläche sichtbar. Im Gegensatz zu Mitessern sind sie nicht entzündlich und verursachen keine Schmerzen. Aufgrund ihrer harten Konsistenz können sie nicht einfach ausgedrückt werden wie gewöhnliche Pickel. Behandlung von Milien Wenn Milien nicht von selbst verschwinden oder kosmetisch stören, gibt es verschiedene Behandlungsmöglichkeiten: Mechanische Entfernung: Dermatologen oder Kosmetiker können Milien mit einer Lanzette oder Kanüle öffnen und das Keratin-Körnchen ausdrücken. Dieser Eingriff sollte professionell durchgeführt werden, um Entzündungen und Narben zu vermeiden. Laserbehandlung: Hierbei wird die oberste Hautschicht mit einem Laser abgetragen, wodurch die Milien entfernt werden. Diese Methode eignet sich besonders für empfindliche Hautbereiche. Vereisung: Mit flüssigem Stickstoff werden die Milien vereist und fallen nach einigen Tagen ab. Diese Methode ist jedoch für den Augenbereich weniger geeignet. Prävention von Milien Obwohl es keine sichere Methode gibt, um das Auftreten von Milien vollständig zu verhindern, können einige Maßnahmen helfen: Präventionsmaßnahme Beschreibung Sonnenschutz Vermeide übermäßige Sonneneinstrahlung, um Sonnenbrand zu verhindern. Gründliche Hautpflege Regelmäßiges Peeling und milde Reinigungsprodukte helfen, abgestorbene Hautzellen zu entfernen und die Poren frei zu halten. Vermeidung von reichhaltigen Cremes Verwende keine Produkte auf Ölbasis, um die Poren nicht zu verstopfen. Gesunde Ernährung Achte auf eine ausgewogene Ernährung und verzichte auf Nikotin und andere Umweltgifte. Retinolhaltige Produkte Diese können helfen, die Haut zu erneuern und Milien vorzubeugen, sollten jedoch nicht in den Augenbereich gelangen. Hausmittel gegen Milien Einige Hausmittel wie Apfelessig und Teebaumöl werden häufig empfohlen, jedoch können sie die Haut stark reizen und zu allergischen Reaktionen führen. Daher ist Vorsicht geboten, besonders im empfindlichen Augenbereich. Fazit Milien sind zwar harmlos, können aber kosmetisch störend sein. Mit den richtigen Behandlungs- und Präventionsmethoden kannst du sie effektiv entfernen und vorbeugen. Für weitere Informationen zu effektiven Hautpflegeprodukten empfehlen wir die probiotischen Hautpflegekapseln von Within Supplements, wie z.B. die Dailys, die dir helfen können, eine gesunde und klare Haut zu bewahren.

    Reibeisenhaut

    Reibeisenhaut: Ursachen, Behandlung und Prävention

    Was ist Reibeisenhaut? Reibeisenhaut entsteht durch eine Verhornungsstörung der Haarfollikel. Dabei kommt es zu einer Überproduktion von Keratin, einem Protein, das die Haut vor schädlichen Substanzen und Infektionen schützt. Das überschüssige Keratin verstopft die Haarfollikel, was zu kleinen, harten Beulen auf der Haut führt. Ursachen von Reibeisenhaut Die genauen Ursachen von Reibeisenhaut sind nicht vollständig geklärt, aber es gibt einige Faktoren, die zur Entstehung beitragen können: Genetische Veranlagung: Reibeisenhaut tritt häufig familiär gehäuft auf, was auf eine genetische Komponente hindeutet. Trockenheit der Haut: Menschen mit trockener Haut sind eher anfällig für Reibeisenhaut. Begleiterscheinungen von Hautkrankheiten: Ekzeme und andere Hauterkrankungen können das Risiko für Reibeisenhaut erhöhen. Symptome und Aussehen Reibeisenhaut zeigt sich als kleine, raue Beulen, die wie Sandpapier oder Gänsehaut aussehen. Die Beulen können weiß oder rot sein und verursachen in der Regel keine Schmerzen oder Juckreiz. Die Haut fühlt sich rau und uneben an und kann in den betroffenen Bereichen trocken oder schuppig sein.  [[blog_ad]] Behandlung von Reibeisenhaut Obwohl Reibeisenhaut nicht heilbar ist, gibt es verschiedene Methoden, um die Symptome zu lindern und das Hautbild zu verbessern: Feuchtigkeitscremes: Regelmäßige Anwendung von feuchtigkeitsspendenden Cremes hilft, die Haut weich und geschmeidig zu halten. Peelings: Mechanische oder chemische Peelings können helfen, abgestorbene Hautzellen zu entfernen und die Poren frei zu halten. Retinoid-Cremes: Produkte, die Retinoide enthalten, können helfen, die Zellregeneration zu fördern und das Hautbild zu verbessern. Urea- und Salicylsäure-Cremes: Diese Wirkstoffe helfen, die Verhornung zu reduzieren und die Haut zu glätten. Prävention von Reibeisenhaut Die Vorbeugung von Reibeisenhaut konzentriert sich auf die Pflege und Hydratation der Haut: Präventionsmaßnahme Beschreibung Regelmäßige Feuchtigkeitspflege Trage täglich feuchtigkeitsspendende Cremes oder Lotionen auf, um die Haut weich zu halten. Schonende Reinigung Verwende milde Reinigungsprodukte und vermeide heiße Duschen, die die Haut austrocknen können. Peelings Führe regelmäßig sanfte Peelings durch, um abgestorbene Hautzellen zu entfernen. Luftige Kleidung Trage locker sitzende Kleidung aus natürlichen Materialien, um Reibung und Hautirritationen zu vermeiden. Hausmittel gegen Reibeisenhaut Einige Hausmittel können helfen, die Symptome von Reibeisenhaut zu lindern: Kokosöl: Dieses natürliche Öl spendet Feuchtigkeit und kann helfen, die Haut zu beruhigen. Apfelessig: Verdünnter Apfelessig kann als Toner verwendet werden, um die Haut zu peelen und zu glätten. Haferflocken: Haferflockenbäder können helfen, die Haut zu beruhigen und Entzündungen zu reduzieren. Fazit Reibeisenhaut ist zwar eine harmlose, aber oft lästige Hauterkrankung. Durch die richtige Hautpflege und die Anwendung geeigneter Behandlungs- und Präventionsmethoden kannst du die Symptome deutlich verbessern und ein glatteres Hautbild erreichen. Probiotische Hautpflegeprodukte, wie die Dailys von Within Supplements, können dabei helfen, deine Hautbarriere zu unterstützen und für eine bessere Haut sorgen.  Wichtig hierbei ist eine regelmäßige und längerfristige Einnahme.

    Couperose

    Couperose: Ursachen, Behandlung und Prävention

    Was ist Couperose? Couperose entsteht durch eine Schwäche der Blutgefäße, die zu ihrer Erweiterung führt. Diese Erweiterung bleibt dauerhaft bestehen und ist durch die dünne Gesichtshaut besonders sichtbar. Couperose tritt häufig bei Menschen mit heller Haut auf und kann sich im Laufe der Zeit verschlimmern. Ursachen von Couperose Die genauen Ursachen für Couperose sind noch nicht vollständig geklärt, jedoch gibt es mehrere Faktoren, die zur Entwicklung beitragen können: Genetische Veranlagung: Eine familiäre Häufung deutet darauf hin, dass genetische Faktoren eine Rolle spielen. Umwelteinflüsse: Extreme Temperaturen, UV-Strahlung und Umweltverschmutzung können die Haut belasten und die Symptome verschlimmern. Lebensstil: Alkohol, scharfe Speisen und Stress können die Blutgefäße erweitern und die Symptome verstärken. Dysbiose im Darmmikrobiom: Ein Ungleichgewicht der Darmbakterien scheint eine bedeutende Rolle bei der Pathogenese von Couperose zu spielen. Symptome und Aussehen Couperose zeigt sich durch eine dauerhafte Rötung der Haut, besonders auf den Wangen, der Nase und dem Kinn. Zudem sind kleine, sichtbare Blutgefäße (Teleangiektasien) zu erkennen. Die Haut kann empfindlich und trocken sein und neigt zu Entzündungen. Behandlung von Couperose Es gibt verschiedene Methoden, um die Symptome von Couperose zu lindern und das Hautbild zu verbessern: Topische Behandlungen: Cremes und Gele mit Wirkstoffen wie Metronidazol oder Azelainsäure können helfen, Rötungen zu reduzieren. Lasertherapie: Laser können die erweiterten Blutgefäße gezielt zerstören und das Hautbild verbessern. IPL (Intense Pulsed Light): Diese Methode nutzt hochenergetische Lichtimpulse, um die Blutgefäße zu verengen und Rötungen zu reduzieren. [[blog_ad]] Prävention von Couperose Die Vorbeugung von Couperose umfasst vor allem den Schutz der Haut vor schädlichen Einflüssen: Präventionsmaßnahme Beschreibung Sonnenschutz Verwende täglich Sonnenschutzmittel mit hohem LSF, um UV-Schäden zu verhindern. Sanfte Hautpflege Vermeide aggressive Reinigungsprodukte und verwende milde, feuchtigkeitsspendende Pflege. Lebensstil Reduziere den Konsum von Alkohol und scharfen Speisen, und baue Stress ab. Hausmittel gegen Couperose Einige Hausmittel können helfen, die Symptome von Couperose zu lindern: Kamillenkompressen: Kamille hat entzündungshemmende Eigenschaften und kann die Haut beruhigen. Grüner Tee: Dieser kann als Toner verwendet werden und hat antioxidative Wirkungen. Fazit Couperose ist eine chronische Hauterkrankung, die durch eine sorgfältige Hautpflege und gezielte Behandlungen gut in den Griff zu bekommen ist. Mit probiotischen Hautpflegeprodukten, wie den Dailys und den Akazienfasern von Within Supplements, kannst du deine Hautbarriere von innen heraus unterstützen. Eine verbesserte Darmflora kann dafür sorgen, dass die Hautflora wieder ins Gleichgewicht kommt und weniger Entzündungen entstehen.

    Pickel am Po

    Pickel am Po: Ursachen, Behandlung und Prävention

    Was sind Pickel am Po? Pickel am Po entstehen, wenn Haarfollikel durch abgestorbene Hautzellen, Talg und Bakterien verstopft werden. Dies führt zu Entzündungen und der Bildung von Pickeln, die sich als rote, eitergefüllte Beulen äußern können. Manchmal sind diese Pickel mit Juckreiz und Schmerzen verbunden. Ursachen von Pickeln am Po Die Hauptursachen für Pickel am Po sind: Reibung und Druck: Enge Kleidung und langes Sitzen können die Haut reizen und die Bildung von Pickeln fördern. Schweiß und Feuchtigkeit: Schwitzen und unzureichende Belüftung des Gesäßbereichs können das Wachstum von Bakterien begünstigen. Hormonelle Veränderungen: Hormonelle Schwankungen, insbesondere während der Pubertät oder des Menstruationszyklus, können die Talgproduktion erhöhen und zu Pickeln führen. Haarfollikelentzündung (Follikulitis): Diese entsteht durch Infektionen der Haarfollikel mit Bakterien oder Pilzen. [[blog_ad]] Symptome und Aussehen Pickel am Po erscheinen als kleine, rote Beulen, die sich entzünden und mit Eiter gefüllt sein können. Manchmal sind sie schmerzhaft oder jucken, insbesondere wenn sie gereizt oder gedrückt werden.  Behandlung von Pickeln am Po Es gibt verschiedene Möglichkeiten, Pickel am Po zu behandeln und ihre Heilung zu fördern: Topische Antibiotika: Cremes oder Gele mit antibakteriellen Wirkstoffen können helfen, die Infektion zu bekämpfen. Antiseptische Waschlotionen: Regelmäßiges Waschen des Gesäßbereichs mit antiseptischen Seifen kann das Bakterienwachstum reduzieren. Feuchtigkeitsspendende Cremes: Verwende nicht komedogene Feuchtigkeitscremes, um die Haut weich und geschmeidig zu halten. Peelings: Sanfte Peelings können helfen, abgestorbene Hautzellen zu entfernen und die Poren frei zu halten. Prävention von Pickeln am Po Die Vorbeugung von Pickeln am Po umfasst vor allem eine gute Hygiene und das Vermeiden von Hautirritationen: Präventionsmaßnahme Beschreibung Locker sitzende Kleidung Trage atmungsaktive und lockere Kleidung, um Reibung und Schweißbildung zu minimieren. Regelmäßiges Duschen Duschen nach dem Sport oder starkem Schwitzen, um Bakterien zu entfernen. Peelings Führe regelmäßig sanfte Peelings durch, um abgestorbene Hautzellen zu entfernen. Vermeidung von hautreizenden Produkten Verwende milde Reinigungs- und Pflegeprodukte ohne irritierende Inhaltsstoffe. Hausmittel gegen Pickel am Po Einige Hausmittel können helfen, die Symptome von Pickeln am Po zu lindern: Teebaumöl: Teebaumöl hat antibakterielle Eigenschaften und kann auf die betroffenen Stellen aufgetragen werden. Aloe Vera: Aloe Vera beruhigt die Haut und reduziert Entzündungen. Salzbad: Ein warmes Bad mit Salz kann helfen, die Haut zu reinigen und Entzündungen zu lindern. Fazit Pickel am Po sind zwar unangenehm, aber mit den richtigen Behandlungs- und Präventionsmethoden gut in den Griff zu bekommen. Eine regelmäßige und sorgfältige Hautpflege ist dabei entscheidend. Probiotische Hautpflegeprodukte, wie die Dailys von Within Supplements, können deine Hautgesundheit unterstützen und dabei helfen, Pickel zu verhindern.

    Fungal Akne

    Fungal Akne: Ursachen, Behandlung und Prävention

    Ursachen von Fungal Akne Fungal Akne entsteht durch eine Überwucherung von Malassezia-Hefen auf der Haut. Diese Hefen gedeihen in warmen, feuchten Umgebungen und können durch Faktoren wie übermäßiges Schwitzen, fettige Haut und den Gebrauch von fettigen Hautpflegeprodukten begünstigt werden. Auch das Tragen enger Kleidung und unzureichende Hygiene können das Wachstum von Malassezia fördern. Häufige Auslöser: Hohe Luftfeuchtigkeit: Feuchtes Klima begünstigt das Wachstum von Hefepilzen. Schwitzen: Intensives Schwitzen, insbesondere bei sportlichen Aktivitäten, kann die Hautfeuchtigkeit erhöhen. Fettige Hautpflegeprodukte: Produkte, die die Poren verstopfen, können die Bedingungen für Pilzwachstum verbessern. Antibiotika: Längerfristige Antibiotikabehandlungen können das natürliche Gleichgewicht der Hautflora stören und Pilzwachstum fördern. Symptome von Fungal Akne Die Symptome von fungal Akne ähneln denen der herkömmlichen Akne, können jedoch unterschieden werden. Typische Anzeichen sind kleine, juckende Pusteln, die oft in Clustern auftreten. Diese Pusteln sind normalerweise gleich groß und treten häufig auf Brust, Rücken und Schultern auf. Anders als bei bakterieller Akne reagieren sie nicht auf herkömmliche Aknebehandlungen wie Benzoylperoxid oder Salicylsäure. [[blog_ad]] Behandlung von Fungal Akne Die Behandlung von fungal Akne erfordert spezielle antimykotische (pilzbekämpfende) Mittel. Hier sind einige effektive Behandlungsmethoden: Topische Behandlungen: Antimykotische Cremes: Produkte mit Wirkstoffen wie Ketoconazol oder Clotrimazol können direkt auf die betroffenen Stellen aufgetragen werden. Shampoos: Antimykotische Shampoos mit Inhaltsstoffen wie Ketoconazol können auch als Körperwaschmittel verwendet werden. Systemische Behandlungen: In schwereren Fällen kann ein Arzt orale antimykotische Medikamente verschreiben. Diese Medikamente helfen, den Pilzbefall systemisch zu bekämpfen und sollten nur unter ärztlicher Aufsicht eingenommen werden. Prävention von Fungal Akne Um fungal Akne vorzubeugen, ist es wichtig, die Bedingungen zu vermeiden, die das Wachstum von Malassezia fördern. Hier sind einige Tipps zur Prävention: Regelmäßige Hygiene: Halte deine Haut sauber und trocken, besonders nach dem Schwitzen. Luftige Kleidung: Trage lockere, atmungsaktive Kleidung, um übermäßiges Schwitzen zu vermeiden. Fettfreie Hautpflegeprodukte: Verwende Produkte, die nicht komedogen sind und die Poren nicht verstopfen. Antimykotische Produkte: Nutze regelmäßig antimykotische Shampoos oder Waschgels, besonders wenn du anfällig für fungal Akne bist. Produkte zur Unterstützung der Hautgesundheit Neben der Vermeidung und Behandlung von fungal Akne ist es wichtig, deine Haut allgemein gesund zu halten. Hier können probiotische Hautpflegekapseln, wie die Dailys von Within Supplements, eine wertvolle Unterstützung bieten. Diese Kapseln können von innen heraus dabei helfen, das natürliche Gleichgewicht der Hautflora zu fördern und Entzündungen zu reduzieren. Zusammenfassung Fungal Akne kann eine hartnäckige und unangenehme Hauterkrankung sein, die jedoch mit den richtigen Mitteln effektiv behandelt und verhindert werden kann. Durch die Kenntnis der Ursachen und Symptome sowie der Verwendung geeigneter Produkte und Präventionsstrategien kannst du deine Haut gesund und klar halten. Probiotische Hautpflegekapseln wie die Dailys von Within Supplements bieten eine zusätzliche Unterstützung, um das Gleichgewicht deiner Hautflora zu fördern und deine Haut von innen heraus zu stärken. Probiere sie aus und erfahre den Unterschied.

    Geschwollene Augen

    Geschwollene Augen: Ursachen, Behandlung und Prävention

    Ursachen von Geschwollenen Augen Geschwollene Augen können durch eine Vielzahl von Faktoren ausgelöst werden. Hier sind einige der häufigsten Ursachen: Allergien Allergien gegen Pollen, Tierhaare, Hausstaubmilben oder bestimmte Lebensmittel können zu Schwellungen der Augen führen. Allergische Reaktionen verursachen eine Entzündung, die zu Schwellungen führt. Schlafmangel Unzureichender Schlaf kann zu Flüssigkeitsansammlungen um die Augen führen, was zu Schwellungen führt. Dies ist oft begleitet von dunklen Augenringen und einer allgemeinen Müdigkeit des Gesichtsausdrucks. Dehydration Eine unzureichende Flüssigkeitszufuhr kann dazu führen, dass der Körper Wasser zurückhält, was zu geschwollenen Augen führen kann. Ernährung Eine salzreiche Ernährung kann Wassereinlagerungen im Körper verursachen, einschließlich der Augenpartie. Dies kann zu vorübergehenden Schwellungen führen. Weitere Ursachen Hormonelle Veränderungen: Insbesondere während der Menstruation, Schwangerschaft oder Menopause. Alterung: Mit zunehmendem Alter verliert die Haut an Elastizität und Fettgewebe um die Augen kann hervortreten. Gesundheitsprobleme: Nieren- oder Schilddrüsenerkrankungen können Schwellungen verursachen. [[blog_ad]] Behandlung von Geschwollenen Augen Die Behandlung von geschwollenen Augen hängt von der zugrunde liegenden Ursache ab. Hier sind einige allgemeine Methoden zur Linderung: Hausmittel Kalte Kompressen: Kühle einen Waschlappen und lege ihn für etwa 10-15 Minuten auf die Augen. Teebeutel: Grüner oder schwarzer Tee enthält Tannine, die Schwellungen reduzieren können. Kühle gebrauchte Teebeutel und lege sie auf die Augen. Gurken: Gurkenscheiben auf den Augen können beruhigend wirken und Schwellungen reduzieren. Medizinische Behandlungen Wenn Allergien die Ursache sind, können Antihistaminika helfen. Bei chronischen oder schwerwiegenden Problemen ist es ratsam, einen Arzt aufzusuchen, um die zugrunde liegende Ursache zu behandeln.  Hautpflegeprodukte Spezielle Augencremes mit Inhaltsstoffen wie Koffein, Hyaluronsäure und Peptiden können helfen, Schwellungen zu reduzieren. Diese Produkte fördern die Durchblutung und spenden der empfindlichen Haut um die Augen Feuchtigkeit. Prävention von Geschwollenen Augen Um geschwollene Augen zu verhindern, ist es wichtig, einen gesunden Lebensstil zu pflegen und bestimmte Gewohnheiten zu vermeiden. Hier sind einige Tipps zur Prävention: Ausreichend Schlaf: Achte darauf, jede Nacht 7-9 Stunden zu schlafen. Hydration: Trinke ausreichend Wasser, um deinen Körper hydriert zu halten. Ernährung: Reduziere die Salzaufnahme und achte auf eine ausgewogene Ernährung, die reich an Pro- und Präbiotika ist. Allergiemanagement: Vermeide bekannte Allergene und nutze gegebenenfalls antiallergische Medikamente. Hautpflege: Verwende regelmäßig feuchtigkeitsspendende und kühlende Augenpflegeprodukte. Produkte zur Unterstützung der Hautgesundheit Neben den genannten Maßnahmen können probiotische Hautpflegekapseln, wie die Dailys von Within Supplements, eine wertvolle Unterstützung bieten. Diese Kapseln können dabei helfen, das natürliche Gleichgewicht der Hautflora von zu fördern und Entzündungen zu reduzieren. Durch die Stärkung der Haut von innen heraus können sie dazu beitragen, Schwellungen und andere Hautprobleme zu minimieren. Zusammenfassung Geschwollene Augen können lästig sein, aber mit den richtigen Maßnahmen kannst du sie effektiv behandeln und verhindern. Indem du auf eine gesunde Lebensweise achtest und geeignete Hautpflegeprodukte verwendest, kannst du deine Augenpartie gesund und strahlend halten. Probiotische Hautpflegekapseln wie die Dailys von Within Supplements bieten eine zusätzliche Unterstützung, um das Gleichgewicht deiner Hautflora zu fördern und deine Haut von innen heraus zu stärken. Probiere sie aus und erfahre den Unterschied.

    Ectoin

    Ectoin: Der ultimative Schutz für deine Haut

    Die Vorteile von Ectoin Ectoin bietet eine Vielzahl von Vorteilen für die Hautpflege. Es wirkt als kraftvoller Zellschutz und unterstützt die Haut in verschiedenen Bereichen. Hauptvorteile: Schutz vor Umwelteinflüssen: Ectoin bildet einen Schutzfilm auf der Haut, der vor schädlichen Umwelteinflüssen wie UV-Strahlung, Schadstoffen und extremen Temperaturen schützt. Feuchtigkeitsspendend: Ectoin hilft, die Hautfeuchtigkeit zu bewahren und verhindert das Austrocknen der Haut. Entzündungshemmend: Es reduziert Hautirritationen und Entzündungen, wodurch die Haut beruhigt wird. Regenerierend: Ectoin fördert die Regeneration der Hautzellen und unterstützt die Wundheilung. Anwendung von Ectoin in Hautpflegeprodukten Ectoin kann in einer Vielzahl von Hautpflegeprodukten verwendet werden, um die Haut zu schützen und zu pflegen. Hier sind einige Beispiele: Produktkategorie Wirkungsweise Anwendungstipps Feuchtigkeitscremes Spendet intensiv Feuchtigkeit, schützt die Hautbarriere Morgens und abends auf gereinigte Haut auftragen Seren Stärkt die Hautstruktur, schützt vor Umwelteinflüssen Vor der Feuchtigkeitscreme anwenden Sonnenschutzmittel Erhöht den UV-Schutz, schützt vor schädlichen Strahlen 30 Minuten vor Sonnenexposition auftragen After-Sun-Produkte Beruhigt die Haut nach Sonneneinstrahlung, fördert Regeneration Nach dem Sonnenbaden großzügig auftragen [[blog_ad]] Warum Ectoin so effektiv ist Ectoin wirkt auf zellulärer Ebene und schützt die Hautzellen vor Schäden durch Umweltstress. Es stabilisiert die Zellmembranen und Proteine, was dazu beiträgt, die Haut in einem optimalen Zustand zu halten. Durch seine feuchtigkeitsspendenden Eigenschaften verhindert Ectoin, dass die Haut austrocknet, und sorgt für ein glattes, geschmeidiges Hautbild. Wie Ectoin wirkt: Zellschutz: Ectoin bildet einen natürlichen Schutzfilm auf der Haut, der sie vor schädlichen Einflüssen bewahrt. Feuchtigkeitsbewahrung: Es bindet Wasser in den Hautzellen und sorgt so für langanhaltende Hydratation. Entzündungshemmung: Ectoin reduziert die Produktion von entzündungsfördernden Molekülen und beruhigt die Haut. Regeneration: Es unterstützt die Erneuerung der Hautzellen und fördert die Heilung von Hautschäden. Probiotische Hautpflege von innen Diese probiotischen Hautpflegekapseln können helfen, das natürliche Gleichgewicht der Hautflora durch verbesserte Darmgesundheit zu fördern und Entzündungen zu reduzieren. Durch die regelmäßige und längerfristige Einnahme kann deine Haut von innen heraus gestärkt und geschützt werden.  Zusammenfassung Ectoin ist ein kraftvoller Wirkstoff, der deine Haut vor schädlichen Umwelteinflüssen schützt und ihre Regeneration unterstützt. Mit den richtigen Hautpflegeprodukten, die Ectoin enthalten, kannst du deine Haut optimal pflegen und schützen. Probiotische Hautpflegekapseln wie die Dailys von Within Supplements bieten eine zusätzliche Unterstützung, um das Gleichgewicht deiner Hautflora zu fördern und deine Haut von innen heraus zu stärken. Probiere sie aus und erfahre den Unterschied.

    Pickeln auf der Kopfhaut

    Pickel auf der Kopfhaut: Ursachen, Behandlung und Prävention

    Ursachen von Pickeln auf der Kopfhaut Pickel auf der Kopfhaut können durch verschiedene Faktoren ausgelöst werden. Hier sind einige der häufigsten Ursachen: Überproduktion von Talg: Eine übermäßige Talgproduktion kann die Haarfollikel verstopfen und zu Pickeln führen. Unsaubere Kopfhaut: Unregelmäßiges Waschen der Haare oder die Verwendung ungeeigneter Haarpflegeprodukte kann die Kopfhaut irritieren. Hormonschwankungen: Hormonelle Veränderungen, wie sie während der Pubertät, der Menstruation oder in der Schwangerschaft auftreten, können Pickel auf der Kopfhaut begünstigen. Ernährung: Eine unausgewogene Ernährung mit hohem Zucker- und Fettgehalt kann zu Hautproblemen führen, einschließlich Pickeln auf der Kopfhaut. Stress: Stress kann die Talgproduktion erhöhen und Entzündungen fördern, was die Bildung von Pickeln begünstigt. [[blog_ad]] Behandlung von Pickeln auf der Kopfhaut Die Behandlung von Pickeln auf der Kopfhaut erfordert eine konsequente Pflegeroutine und möglicherweise den Einsatz spezieller Produkte. Hier sind einige bewährte Methoden: Topische Behandlungen: Produktkategorie Wirkstoff Wirkung Anwendungstipps Shampoos Salicylsäure Exfoliert die Kopfhaut, reduziert Verstopfungen 2-3 Mal pro Woche anwenden Tonics Teebaumöl Antibakteriell, beruhigt die Kopfhaut Direkt auf die betroffenen Stellen auftragen Masken Zink Reduziert Entzündungen, reguliert Talgproduktion 1 Mal pro Woche anwenden Gels Benzoylperoxid Bekämpft Bakterien, reduziert Pickelbildung Vorsichtig auf die Pickel auftragen Allgemeine Tipps: Regelmäßiges Waschen: Wasche deine Haare regelmäßig mit einem milden Shampoo, um die Kopfhaut sauber zu halten und überschüssigen Talg zu entfernen. Vermeide fettige Produkte: Verwende keine Haarpflegeprodukte, die die Kopfhaut fettig machen oder die Poren verstopfen können. Ausgewogene Ernährung: Achte auf eine ausgewogene, ballaststoffreiche Ernährung mit vielen Pro- und Präbiotika und ausreichend Wasser. Stressmanagement: Reduziere Stress durch Entspannungstechniken wie Yoga, Meditation oder regelmäßige Bewegung. Prävention von Pickeln auf der Kopfhaut Die Prävention von Pickeln auf der Kopfhaut erfordert eine Kombination aus guter Hygiene, geeigneten Haarpflegeprodukten und einer gesunden Lebensweise. Hier sind einige Tipps zur Vorbeugung: Hygiene: Halte deine Kopfhaut sauber, indem du regelmäßig deine Haare wäschst und darauf achtest, dass keine Rückstände von Haarpflegeprodukten zurückbleiben. Geeignete Produkte: Verwende Haarpflegeprodukte, die für deinen Haartyp und deine Kopfhaut geeignet sind und keine komedogenen Inhaltsstoffe enthalten. Sonnenschutz: Schütze deine Kopfhaut vor übermäßiger Sonneneinstrahlung, indem du Hüte oder Kopftücher trägst. Haarbürsten: Reinige deine Haarbürsten regelmäßig, um die Ansammlung von Talg und Schmutz zu verhindern. Produkte zur Unterstützung der Kopfhautgesundheit Neben den genannten Maßnahmen können probiotische Hautpflegekapseln, wie die Dailys Produkte von Within Supplements, eine wertvolle Unterstützung bieten. Diese Kapseln können dabei helfen, das natürliche Gleichgewicht der Hautflora zu fördern und Entzündungen zu reduzieren. Durch die Stärkung der Haut von innen heraus können sie dazu beitragen, Hautprobleme wie Pickel auf der Kopfhaut zu minimieren.  Zusammenfassung Pickel auf der Kopfhaut können unangenehm sein, aber mit den richtigen Behandlungen und Präventionsmaßnahmen kannst du deine Kopfhaut gesund halten und zukünftige Probleme vermeiden. Eine konsequente Pflegeroutine, die Verwendung geeigneter Produkte und eine gesunde Lebensweise sind entscheidend. Probiotische Hautpflegekapseln wie die Dailys von Within Supplements bieten eine zusätzliche Unterstützung, um das Gleichgewicht deiner Hautflora zu fördern und deine Kopfhaut von innen heraus zu stärken. Probiere sie aus und erfahre den Unterschied.

     Sebaceous Filaments

    Sebaceous Filaments: Ursachen, Behandlung und Prävention

     Ursachen von Sebaceous Filaments Sebaceous filaments entstehen durch den natürlichen Prozess der Talgproduktion in der Haut. Hier sind einige der häufigsten Ursachen: Überproduktion von Talg: Eine erhöhte Talgproduktion kann dazu führen, dass sebaceous filaments deutlicher sichtbar werden. Vergrößerte Poren: Größere Poren neigen dazu, mehr Talg zu sammeln, was die Sichtbarkeit der filaments erhöht. Ungleiche Hautpflege: Eine unzureichende Reinigung und Pflege der Haut kann die Ansammlung von Talg und abgestorbenen Hautzellen begünstigen. Genetik: Genetische Faktoren spielen eine Rolle bei der Größe der Poren und der Talgproduktion. Behandlung von Sebaceous Filaments Die Behandlung von Sebaceous Filaments erfordert eine konsequente Pflegeroutine und den Einsatz wirksamer Produkte. Hier sind einige bewährte Methoden: Topische Behandlungen: Produktkategorie Wirkstoff Wirkung Anwendungstipps Reinigungsgels Salicylsäure Exfoliert die Haut, reduziert Verstopfungen Morgens und abends anwenden Seren Niacinamid Reguliert die Talgproduktion, verfeinert die Poren Vor der Feuchtigkeitscreme auftragen Masken Aktivkohle Absorbiert überschüssigen Talg, klärt die Haut 1-2 Mal pro Woche anwenden Peelings Glykolsäure Entfernt abgestorbene Hautzellen, verfeinert die Poren Einmal pro Woche anwenden Allgemeine Tipps: Regelmäßige Reinigung: Reinige dein Gesicht zweimal täglich mit einem milden Reinigungsgel, um Schmutz und überschüssigen Talg zu entfernen. Exfoliation: Verwende regelmäßig Peelings, um abgestorbene Hautzellen zu entfernen und die Poren frei zu halten. Nicht ausdrücken: Vermeide es, sebaceous filaments auszudrücken, da dies zu Entzündungen und Schäden an der Haut führen kann. Geeignete Produkte: Verwende nicht-komedogene Hautpflegeprodukte, die speziell für fettige und Mischhaut entwickelt wurden. Gesunde Ernährung: Eine ausgewogene Ernährung mit vielen Prä- und Probiotika sowie eine ausreichende Hydratation kann die Hautgesundheit positiv unterstützen und die Talgproduktion regulieren. Prävention von Sebaceous Filaments Die Prävention von Sebaceous Filaments erfordert eine Kombination aus guter Hygiene, geeigneten Hautpflegeprodukten und einer gesunden Lebensweise. Hier sind einige Tipps zur Vorbeugung: Hygiene: Halte deine Haut sauber und trocken, indem du sie regelmäßig wäschst und darauf achtest, dass keine Rückstände von Pflegeprodukten zurückbleiben. Gesicht nicht berühren: Vermeide es, dein Gesicht mit ungewaschenen Händen zu berühren, um die Übertragung von Bakterien zu verhindern. Sonnenschutz: Schütze deine Haut vor übermäßiger Sonneneinstrahlung, indem du Sonnencreme aufträgst oder schützende Kleidung trägst. Wechsel der Bettwäsche: Wechsel deine Bettwäsche regelmäßig, um die Ansammlung von Bakterien und Schmutz zu vermeiden. Feuchtigkeitspflege: Verwende feuchtigkeitsspendende, aber nicht-komedogene Produkte, um deine Haut geschmeidig zu halten und die Talgproduktion zu regulieren.[[blog_ad]] Produkte zur Unterstützung der Hautgesundheit Probiotische Hautpflegekapseln wie die Dailys von within Supplements können eine wertvolle Unterstützung bieten. Diese Kapseln können dabei helfen, das natürliche Gleichgewicht der Hautflora zu fördern und Entzündungen zu reduzieren. Durch die regelmäßige Einnahme dieser Kapseln kann die Haut von innen heraus gestärkt werden, was zur Minimierung von sebaceous filaments beitragen kann.   

    Falten unter den Augen

    Falten unter den Augen: Ursachen, Behandlung und Prävention

    Ursachen von Falten unter den Augen Falten unter den Augen können durch eine Vielzahl von Faktoren verursacht werden. Hier sind einige der häufigsten Gründe: Hautalterung: Mit zunehmendem Alter verliert die Haut an Elastizität und Feuchtigkeit, was zu Faltenbildung führt. UV-Strahlung: UV-Strahlen schädigen das Kollagen in der Haut, was zu vorzeitiger Hautalterung und Falten führt. Genetik: Genetische Veranlagung spielt eine große Rolle bei der Entwicklung von Falten. Mimik: Häufige Gesichtsausdrücke wie Lächeln oder Blinzeln können feine Linien um die Augen verstärken. Lebensstil: Faktoren wie Rauchen, Alkohol, unausgewogene Ernährung und Schlafmangel können die Hautalterung beschleunigen. [[blog_ad]] Behandlung von Falten unter den Augen Die Behandlung von Falten unter den Augen erfordert eine gezielte Pflegeroutine und den Einsatz wirksamer Produkte. Hier sind einige bewährte Methoden: Topische Behandlungen: Produktkategorie Wirkstoff Wirkung Anwendungstipps Augencremes Retinol Stimuliert die Kollagenproduktion, glättet die Haut Abends anwenden, da Retinol lichtempfindlich ist Seren Hyaluronsäure Spendet intensive Feuchtigkeit, polstert die Haut auf Morgens und abends vor der Feuchtigkeitscreme auftragen Masken Vitamin C Antioxidativ, hellt die Haut auf und reduziert Falten 1-2 Mal pro Woche anwenden Gels Peptide Stimuliert die Kollagenproduktion, festigt die Haut Morgens und abends auftragen Allgemeine Tipps: Sonnenschutz: Trage täglich eine Sonnencreme mit hohem Lichtschutzfaktor auf, um die empfindliche Haut unter den Augen vor UV-Strahlung zu schützen. Ausreichend Schlaf: Achte auf ausreichend Schlaf, um der Haut Zeit zur Regeneration zu geben. Hydratation: Trinke viel Wasser, um die Haut von innen heraus mit Feuchtigkeit zu versorgen. Gesunde Ernährung: Eine abwechslungsreiche Ernährung, die viel Pro- und Präbiotika enthält, kann die Hautgesundheit unterstützen. Rauchverzicht: Verzichte auf Rauchen, da es die Hautalterung beschleunigt und Falten verstärkt. Prävention von Falten unter den Augen Die Prävention von Falten unter den Augen erfordert eine Kombination aus guter Hautpflege, Schutz vor Umwelteinflüssen und einem gesunden Lebensstil. Hier sind einige Tipps zur Vorbeugung: Regelmäßige Pflege: Verwende täglich geeignete Hautpflegeprodukte, die speziell für die empfindliche Augenpartie entwickelt wurden. UV-Schutz: Schütze deine Augenpartie vor UV-Strahlung durch das Tragen von Sonnencreme und Sonnenbrillen. Feuchtigkeitspflege: Achte darauf, deine Haut gut mit Feuchtigkeit zu versorgen, um Trockenheitsfalten zu vermeiden. Augenmassagen: Sanfte Augenmassagen können die Durchblutung fördern und die Haut straffen. Schlafposition: Schlaf auf dem Rücken, um zu verhindern, dass das Gesicht in das Kissen gedrückt wird und Falten entstehen. Produkte zur Unterstützung der Hautgesundheit unter den Augen Probiotische Hautpflegekapseln wie die Skin Glow Produkte von Within Supplements können eine wertvolle Unterstützung bieten. Diese Kapseln können dabei helfen, das natürliche Gleichgewicht der Hautflora zu fördern und Entzündungen zu reduzieren. Durch die regelmäßige Einnahme dieser Kapseln kann die Haut von innen heraus gestärkt werden, was zur Minimierung von Falten unter den Augen beitragen kann.  Zusammenfassung Falten unter den Augen können das Gesicht älter und müde erscheinen lassen, aber mit den richtigen Behandlungen und Präventionsmaßnahmen kannst du deine Haut gesund und jugendlich halten. Eine konsequente Pflegeroutine, die Verwendung geeigneter Produkte und ein gesunder Lebensstil sind entscheidend. Probiotische Hautpflegekapseln wie die Dailys von Within Supplements bieten eine zusätzliche Unterstützung, um das Gleichgewicht deiner Hautflora zu fördern und deine Haut von innen heraus zu stärken. Probiere sie aus und erfahre den Unterschied.

    Pickeln am Hals

    Pickel am Hals: Ursachen, Behandlung und Prävention

    Ursachen von Pickeln am Hals Pickel am Hals können durch eine Vielzahl von Faktoren verursacht werden. Hier sind einige der häufigsten Gründe: Hormonelle Schwankungen: Veränderungen im Hormonspiegel, insbesondere während der Pubertät, der Menstruation oder der Schwangerschaft, können zu vermehrter Talgproduktion und somit zu Pickeln führen. Schweiß und Reibung: Enge Kleidung, Schweiß und Reibung können die Haut reizen und die Poren verstopfen, was zu Pickeln führt. Ungeeignete Hautpflege: Die Verwendung von komedogenen Hautpflegeprodukten kann die Poren verstopfen und Pickel verursachen. Ernährung: Eine unausgewogene Ernährung mit hohem Zucker- und Fettgehalt kann Hautprobleme verstärken. Stress: Stress kann die Haut negativ beeinflussen und die Entstehung von Pickeln begünstigen. [[blog_ad]] Behandlung von Pickeln am Hals Die Behandlung von Pickeln am Hals erfordert eine konsequente Pflegeroutine und möglicherweise den Einsatz spezieller Produkte. Hier sind einige bewährte Methoden: Topische Behandlungen: Produktkategorie Wirkstoff Wirkung Anwendungstipps Reinigungsgels Salicylsäure Exfoliert die Haut, reduziert Verstopfungen Morgens und abends auftragen Cremes Benzoylperoxid Bekämpft Bakterien, reduziert Pickelbildung Punktuell auf die betroffenen Stellen auftragen Seren Teebaumöl Antibakteriell, beruhigt die Haut Vor der Feuchtigkeitscreme anwenden Masken Tonerde Absorbiert überschüssigen Talg, klärt die Haut 1-2 Mal pro Woche anwenden Allgemeine Tipps: Regelmäßige Reinigung: Reinige deinen Hals zweimal täglich mit einem milden Reinigungsgel, um Schmutz und überschüssigen Talg zu entfernen. Nicht drücken: Vermeide es, an den Pickeln zu drücken, da dies zu Entzündungen und Narbenbildung führen kann. Geeignete Kleidung: Trage lockere Kleidung, die nicht reibt und die Haut atmen lässt. Gesunde Ernährung: Achte auf eine ausgewogene Ernährung, die reich an Pro- und Präbiotika ist. Vergiß nicht ausreichend zu trinken. Stressmanagement: Reduziere Stress durch regelmäßige Bewegung und Entspannungstechniken wie Yoga oder Meditation. Prävention von Pickeln am Hals Die Prävention von Pickeln am Hals erfordert eine Kombination aus guter Hygiene, geeigneten Hautpflegeprodukten und einer gesunden Lebensweise. Hier sind einige Tipps zur Vorbeugung: Hygiene: Halte deinen Hals sauber und trocken, indem du ihn regelmäßig wäschst und darauf achtest, dass keine Rückstände von Pflegeprodukten zurückbleiben. Geeignete Produkte: Verwende nicht-komedogene Hautpflegeprodukte, die speziell für deine Hautbedürfnisse entwickelt wurden. Sonnenschutz: Schütze deine Haut vor übermäßiger Sonneneinstrahlung, indem du Sonnencreme aufträgst oder schützende Kleidung trägst. Wechsel der Bettwäsche: Wechsel deine Bettwäsche regelmäßig, um die Ansammlung von Bakterien und Schmutz zu vermeiden. Hände weg vom Gesicht: Vermeide es, dein Gesicht und deinen Hals mit ungewaschenen Händen zu berühren. Produkte zur Unterstützung der Hautgesundheit am Hals Probiotische Hautpflegekapseln wie die Skin Glow Produkte von Within Supplements können eine wertvolle Unterstützung bieten. Diese Kapseln können das natürliche Gleichgewicht der Hautflora fördern und helfen, Entzündungen zu reduzieren. Durch die regelmäßige Einnahme dieser Kapseln kann die Haut von innen heraus gestärkt werden, was dazu beiträgt, Hautprobleme wie Pickel am Hals zu minimieren.  Zusammenfassung Pickel am Hals können lästig sein, aber mit den richtigen Behandlungen und Präventionsmaßnahmen kannst du deine Haut gesund halten und zukünftige Probleme vermeiden. Eine konsequente Pflegeroutine, die Verwendung geeigneter Produkte und eine gesunde Lebensweise sind entscheidend. Probiotische Hautpflegekapseln wie die Dailys von Within Supplements bieten eine zusätzliche Unterstützung, um das Gleichgewicht deiner Hautflora zu fördern und deine Haut von innen heraus zu stärken. Probiere sie aus und erfahre den Unterschied.

    Pickeln auf der Stirn

    Pickel auf der Stirn: Ursachen, Behandlung und Prävention

    Ursachen von Pickeln auf der Stirn Pickel auf der Stirn können durch eine Vielzahl von Faktoren verursacht werden. Hier sind einige der häufigsten Gründe: Hormonelle Schwankungen: Veränderungen im Hormonspiegel, insbesondere während der Pubertät, der Menstruation oder der Schwangerschaft, können zu vermehrter Talgproduktion und somit zu Pickeln führen. Stress: Stress kann die Haut negativ beeinflussen und die Entstehung von Pickeln begünstigen. Ernährung: Eine unausgewogene Ernährung mit hohem Zucker- und Fettgehalt kann Hautprobleme verstärken. Schweiß und Schmutz: Häufiges Schwitzen und Schmutzablagerungen auf der Haut können die Poren verstopfen und Pickel verursachen. Ungeeignete Hautpflege: Die Verwendung von komedogenen Hautpflegeprodukten kann die Poren verstopfen und Pickel verursachen. [[blog_ad]] Behandlung von Pickeln auf der Stirn Die Behandlung von Pickeln auf der Stirn erfordert eine konsequente Pflegeroutine und möglicherweise den Einsatz spezieller Produkte. Hier sind einige bewährte Methoden: Topische Behandlungen: Produktkategorie Wirkstoff Wirkung Anwendungstipps Reinigungsgels Salicylsäure Exfoliert die Haut, reduziert Verstopfungen Morgens und abends auftragen Cremes Benzoylperoxid Bekämpft Bakterien, reduziert Pickelbildung Punktuell auf die betroffenen Stellen auftragen Seren Teebaumöl Antibakteriell, beruhigt die Haut Vor der Feuchtigkeitscreme anwenden Masken Tonerde Absorbiert überschüssigen Talg, klärt die Haut 1-2 Mal pro Woche anwenden Allgemeine Tipps: Regelmäßige Reinigung: Reinige deine Stirn zweimal täglich mit einem milden Reinigungsgel, um Schmutz und überschüssigen Talg zu entfernen. Nicht drücken: Vermeide es, an den Pickeln zu drücken, da dies zu Entzündungen und Narbenbildung führen kann. Geeignete Produkte: Verwende nicht-komedogene Hautpflegeprodukte, die speziell für deine Hautbedürfnisse entwickelt wurden. Gesunde Ernährung: Achte auf eine ausgewogene Ernährung, die abwechslungsreich ist und viele Pro- und Präbiotika enthält. Vergiß nicht ausreichend zu trinken. Stressmanagement: Reduziere Stress durch regelmäßige Bewegung und Entspannungstechniken wie Yoga oder Meditation. Prävention von Pickeln auf der Stirn Die Prävention von Pickeln auf der Stirn erfordert eine Kombination aus guter Hygiene, geeigneten Hautpflegeprodukten und einer gesunden Lebensweise. Hier sind einige Tipps zur Vorbeugung: Hygiene: Halte deine Stirn sauber und trocken, indem du sie regelmäßig wäschst und darauf achtest, dass keine Rückstände von Pflegeprodukten zurückbleiben. Gesicht nicht berühren: Vermeide es, dein Gesicht mit ungewaschenen Händen zu berühren, um die Übertragung von Bakterien zu verhindern. Sonnenschutz: Schütze deine Haut vor übermäßiger Sonneneinstrahlung, indem du Sonnencreme aufträgst oder schützende Kleidung trägst. Wechsel der Bettwäsche: Wechsel deine Bettwäsche regelmäßig, um die Ansammlung von Bakterien und Schmutz zu vermeiden. Haare aus dem Gesicht: Halte deine Haare aus dem Gesicht, insbesondere wenn sie fettig sind, um Hautkontakt zu vermeiden. Produkte zur Unterstützung der Hautgesundheit auf der Stirn Probiotische Hautpflegekapseln wie die Skin Glow Produkte von Within Supplements können eine wertvolle Unterstützung bieten. Diese Kapseln können das natürliche Gleichgewicht der Hautflora unterstützen und helfen, Entzündungen zu reduzieren. Durch die regelmäßige Einnahme dieser Kapseln kann die Haut von innen heraus gestärkt werden, was dazu beiträgt, Hautprobleme wie Pickel auf der Stirn zu minimieren.  Zusammenfassung Pickel auf der Stirn können lästig sein, aber mit den richtigen Behandlungen und Präventionsmaßnahmen kannst du deine Haut gesund halten und zukünftige Probleme vermeiden. Eine konsequente Pflegeroutine, die Verwendung geeigneter Produkte und eine gesunde Lebensweise sind entscheidend. Probiotische Hautpflegekapseln wie die Dailys von Within Supplements bieten eine zusätzliche Unterstützung, um das Gleichgewicht deiner Hautflora zu fördern und deine Haut von innen heraus zu stärken. Probiere sie aus und erfahre den Unterschied.

    Stirnfalten

    Stirnfalten: Ursachen, Behandlung und Prävention

    Ursachen von Stirnfalten Stirnfalten entstehen durch eine Kombination von inneren und äußeren Faktoren. Hier sind einige der häufigsten Ursachen: Alterung: Mit zunehmendem Alter verliert die Haut an Elastizität und Feuchtigkeit, was zur Bildung von Falten führt. UV-Strahlung: Übermäßige Sonneneinstrahlung kann die Hautzellen schädigen und den Alterungsprozess beschleunigen. Mimik: Häufige Gesichtsbewegungen, wie Stirnrunzeln, tragen zur Entstehung von Falten bei. Lebensstil: Rauchen, Alkohol und eine unausgewogene Ernährung können die Hautalterung fördern. Genetik: Veranlagung spielt eine Rolle bei der Neigung zur Faltenbildung. [[blog_ad]] Behandlung von Stirnfalten Es gibt verschiedene Methoden, um Stirnfalten zu behandeln und das Hautbild zu verbessern. Hier sind einige bewährte Behandlungsmöglichkeiten: Topische Behandlungen: Produktkategorie Wirkstoff Wirkung Anwendungstipps Anti-Aging-Cremes Retinol Stimuliert die Kollagenproduktion, glättet Falten Abends auftragen, da Retinol lichtempfindlich ist Feuchtigkeitscremes Hyaluronsäure Spendet intensive Feuchtigkeit, polstert die Haut auf Morgens und abends auftragen Seren Vitamin C Antioxidativ, fördert die Kollagensynthese Morgens vor der Feuchtigkeitscreme auftragen Sonnenschutzmittel SPF 30+ Schützt vor UV-Schäden, beugt Falten vor Täglich als letzter Schritt der Morgenroutine Ästhetische Behandlungen: Botox: Injektionen, die die Muskeln entspannen und Mimikfalten reduzieren. Dermal Filler: Hyaluronsäure-Injektionen, die verlorenes Volumen auffüllen und die Haut glätten. Chemische Peelings: Entfernen die oberste Hautschicht und fördern die Erneuerung der Hautzellen. Lasertherapie: Stimuliert die Kollagenproduktion und verbessert die Hautstruktur. Prävention von Stirnfalten Die Prävention von Stirnfalten erfordert eine Kombination aus guter Hautpflege, gesunder Lebensweise und dem Schutz vor schädlichen Umweltfaktoren. Hier sind einige Tipps zur Vorbeugung: Sonnenschutz: Trage täglich einen Sonnenschutz mit mindestens SPF 30 auf, um UV-Schäden zu vermeiden. Feuchtigkeitsversorgung: Halte deine Haut gut hydriert, indem du regelmäßig Feuchtigkeitscremes verwendest und ausreichend Wasser trinkst. Gesunde Ernährung: Eine ausgewogene Ernährung, ausreichende Hydratation, reich an Antioxidantien, Präbiotika und Probiotika unterstützt die Hautgesundheit und beugt Falten vor. Stressreduktion: Vermeide Stress und praktiziere Entspannungstechniken wie Yoga oder Meditation, um Mimikfalten zu reduzieren. Schlaf: Achte auf ausreichend Schlaf, da sich die Haut während der Nachtruhe regeneriert. Produkte zur Unterstützung der Hautgesundheit Probiotische Hautpflegekapseln wie die Skin Glow Produkte von Within Supplements können eine wertvolle Unterstützung bieten. Diese Kapseln helfen dabei, das natürliche Gleichgewicht der Hautflora zu fördern und Entzündungen zu reduzieren. Durch die regelmäßige Einnahme dieser Kapseln kann die Haut von innen heraus gestärkt werden, was zur Minimierung von Stirnfalten beiträgt.  Zusammenfassung Stirnfalten sind ein natürlicher Teil des Alterungsprozesses, können aber durch eine geeignete Pflege und Behandlung reduziert werden. Mit den richtigen Produkten und einer gesunden Lebensweise kannst du deine Haut jugendlich und frisch halten. Probiotische Hautpflegekapseln wie die Skin Glow Produkte von Within Supplements bieten eine zusätzliche Unterstützung, um das Gleichgewicht deiner Hautflora zu fördern und deine Haut von innen heraus zu stärken. Probiere sie aus und erfahre den Unterschied.

    Schuppige Haut

    Schuppige Haut: Ursachen, Behandlung und Prävention

    Ursachen von Schuppiger Haut Schuppige Haut kann durch eine Vielzahl von Faktoren verursacht werden. Hier sind einige der häufigsten Gründe: Trockene Luft: Besonders im Winter, wenn die Luftfeuchtigkeit niedrig ist, kann die Haut austrocknen und schuppig werden. Häufiges Waschen: Übermäßiges Waschen oder die Verwendung von aggressiven Reinigungsmitteln können die Haut austrocknen. Hautkrankheiten: Erkrankungen wie Psoriasis, Ekzeme oder seborrhoische Dermatitis können schuppige Haut verursachen. Alterung: Mit zunehmendem Alter verliert die Haut ihre natürliche Feuchtigkeit und wird trockener und schuppiger. Ernährung: Eine unausgewogene Ernährung, die an essentiellen Nährstoffen wie Vitaminen und Fettsäuren arm ist, kann zur Austrocknung der Haut führen. Behandlung von Schuppiger Haut Die Behandlung von schuppiger Haut erfordert eine konsequente Pflegeroutine und den Einsatz wirksamer Produkte. Hier sind einige bewährte Methoden: Topische Behandlungen: Produktkategorie Wirkstoff Wirkung Anwendungstipps Feuchtigkeitscremes Hyaluronsäure Spendet intensive Feuchtigkeit, polstert die Haut auf Morgens und abends auftragen Öle Jojobaöl, Arganöl Pflegt die Haut, stellt die natürliche Ölschicht wieder her Nach dem Duschen auf die feuchte Haut auftragen Seren Glycerin Bindet Feuchtigkeit in der Haut Vor der Feuchtigkeitscreme auftragen Reinigungsmittel Milde Tenside Reinigt sanft, ohne die Haut auszutrocknen Morgens und abends verwenden Allgemeine Tipps: Regelmäßige Feuchtigkeitspflege: Trage regelmäßig feuchtigkeitsspendende Cremes oder Öle auf, um die Hautbarriere zu stärken. Lauwarmes Wasser: Verwende lauwarmes Wasser statt heißem Wasser beim Waschen, um die Haut nicht zusätzlich auszutrocknen. Sanfte Reinigung: Verwende milde Reinigungsprodukte, die die Haut nicht reizen oder austrocknen. Ausreichend Trinken: Achte darauf, genügend Wasser zu trinken, um die Haut von innen heraus zu hydratisieren. Gesunde Ernährung: Eine ausgewogene Ernährung, reich an Antioxidantien, Präbiotika und Probiotika und eine ausreichende Hydratation unterstützt die Hautgesundheit Prävention von Schuppiger Haut Die Prävention von schuppiger Haut erfordert eine Kombination aus guter Hautpflege, Schutz vor schädlichen Umweltfaktoren und einer gesunden Lebensweise. Hier sind einige Tipps zur Vorbeugung: Luftbefeuchter: Verwende einen Luftbefeuchter, um die Luftfeuchtigkeit in deinem Zuhause zu erhöhen, besonders im Winter. Schutzkleidung: Schütze deine Haut vor extremen Wetterbedingungen, indem du geeignete Kleidung trägst. Sonnenschutz: Schütze deine Haut vor übermäßiger Sonneneinstrahlung, indem du Sonnencreme mit hohem Lichtschutzfaktor aufträgst. Vermeidung von Reizstoffen: Vermeide Produkte mit Alkohol oder Duftstoffen, die die Haut austrocknen oder reizen können. Regelmäßige Peelings: Verwende regelmäßig sanfte Peelings, um abgestorbene Hautzellen zu entfernen und die Aufnahme von Feuchtigkeitscremes zu verbessern. Produkte zur Unterstützung der Hautgesundheit Probiotische Hautpflegekapseln wie die Skin Glow Produkte von Within Supplements können eine wertvolle Unterstützung bieten. Diese Kapseln helfen dabei, das natürliche Gleichgewicht der Hautflora zu fördern und Entzündungen zu reduzieren. Durch die regelmäßige Einnahme dieser Kapseln kann die Haut von innen heraus gestärkt werden, was zur Minimierung von Schuppenbildung beiträgt.  [[blog_ad]] Zusammenfassung Schuppige Haut kann unangenehm und störend sein, aber mit den richtigen Behandlungen und Präventionsmaßnahmen kannst du deine Haut gesund und glatt halten. Eine konsequente Pflegeroutine, die Verwendung geeigneter Produkte und eine gesunde Lebensweise sind entscheidend. Probiotische Hautpflegekapseln wie die Dailys von Within Supplements bieten eine zusätzliche Unterstützung, um das Gleichgewicht deiner Hautflora zu fördern und deine Haut von innen heraus zu stärken. Probiere sie aus und erfahre den Unterschied.

    Mischhaut

    Mischhaut: Ursachen, Pflege und Behandlungstipps

    Ursachen von Mischhaut Mischhaut entsteht durch eine ungleichmäßige Verteilung der Talgproduktion im Gesicht. Hier sind einige der häufigsten Ursachen: Genetische Veranlagung: Mischhaut kann in Familien gehäuft auftreten. Hormone: Schwankungen im Hormonhaushalt, z.B. während der Pubertät, Schwangerschaft oder Menopause, können zu Mischhaut führen. Umweltfaktoren: Klima und Luftfeuchtigkeit können die Haut beeinflussen und zu unterschiedlichen Hauttypen in verschiedenen Gesichtsbereichen führen. Hautpflege: Die Verwendung ungeeigneter Produkte kann die Haut aus dem Gleichgewicht bringen und Mischhaut fördern. Pflege von Mischhaut Die richtige Pflege von Mischhaut erfordert eine ausgewogene und gezielte Behandlung der unterschiedlichen Hautpartien. Hier sind einige Tipps und Produkte, die sich bewährt haben: Reinigungsroutine Schritt Produktart Wirkstoff Anwendungshinweise Reinigung Gel oder Schaum Salicylsäure, Teebaumöl Morgens und abends auf die T-Zone anwenden, sanft einmassieren und abspülen Toner Alkoholfrei Hamamelis, Rosenwasser Nach der Reinigung auftragen, um die Haut zu beruhigen und Poren zu verfeinern Feuchtigkeitspflege Gel-Creme Hyaluronsäure, Aloe Vera Leichte Textur für die T-Zone, reichhaltiger für die Wangen Zusätzliche Pflege Peelings: Ein bis zweimal pro Woche ein sanftes Peeling verwenden, um abgestorbene Hautzellen zu entfernen und die Poren zu reinigen. Masken: Multi-Masking ist ideal für Mischhaut. Verwende eine tonerdehaltige Maske für die T-Zone und eine feuchtigkeitsspendende Maske für die trockenen Bereiche. Seren: Ein Serum mit Niacinamid kann helfen, den Hautton auszugleichen und übermäßige Talgproduktion zu regulieren. Behandlung von Mischhaut Neben der täglichen Pflegeroutine gibt es spezielle Behandlungen, die Mischhaut verbessern können: Hydrafacial: Eine nicht-invasive Behandlung, die die Haut reinigt, peelt und mit Feuchtigkeit versorgt. Microdermabrasion: Entfernt sanft die oberste Hautschicht und fördert die Zellerneuerung. Chemische Peelings: Mit Salicyl- oder Glykolsäure können sie die Hautstruktur verbessern und Unreinheiten reduzieren. Prävention von Problemen bei Mischhaut Um Probleme wie Unreinheiten oder Trockenheit bei Mischhaut zu vermeiden, sollten folgende Präventionsmaßnahmen beachtet werden: Regelmäßige Reinigung: Morgens und abends das Gesicht reinigen, um überschüssigen Talg zu entfernen. Sonnenschutz: Täglicher Sonnenschutz schützt die Haut vor UV-Schäden und beugt vorzeitiger Hautalterung vor. Gesunde Ernährung: Eine ausgewogene Ernährung mit reichlich Pro- und Präbiotika, sowie ausreichend trinken unterstützt die Hautgesundheit. Stressabbau: Stressmanagement-Techniken wie Yoga oder Meditation können helfen, das hormonelle Gleichgewicht zu wahren und Hautprobleme zu reduzieren. [[blog_ad]] Produkte zur Unterstützung der Hautgesundheit Probiotische Hautpflegekapseln wie die Dailys von Within Supplements können eine wertvolle Unterstützung bieten. Diese Kapseln können dabei helfen, das natürliche Gleichgewicht der Hautflora zu fördern und Entzündungen zu reduzieren. Durch die regelmäßige Einnahme dieser Kapseln kann die Haut von innen heraus gestärkt werden, was besonders bei Mischhaut von Vorteil ist.  Zusammenfassung Mischhaut stellt besondere Herausforderungen an die Hautpflege, da sie sowohl fettige als auch trockene Bereiche umfasst. Mit der richtigen Pflege, geeigneten Produkten und gezielten Behandlungen kann das Hautbild jedoch deutlich verbessert werden. 

    fahle Haut

    Fahle Haut: Ursachen, Pflege und Behandlungsstrategien

    Ursachen von fahler Haut Fahle Haut kann durch eine Vielzahl von Faktoren ausgelöst werden, darunter: Ungesunde Ernährung: Eine Ernährung, die arm an Vitaminen und Nährstoffen ist, kann die Hautgesundheit beeinträchtigen. Schlafmangel: Zu wenig Schlaf stört die Regenerationsprozesse der Haut und führt zu einem fahlen Teint. Dehydration: Unzureichende Flüssigkeitszufuhr führt zu trockener und stumpfer Haut. Umweltverschmutzung: Schadstoffe in der Luft können die Hautbarriere schwächen und zu fahler Haut führen. Stress: Chronischer Stress beeinträchtigt die Durchblutung und den Zellstoffwechsel der Haut. Pflege von fahler Haut Die Pflege von fahler Haut erfordert spezielle Produkte und eine konsequente Routine, um die Haut wieder zum Strahlen zu bringen. Hier sind einige Tipps und empfohlene Produkte: Reinigungsroutine Schritt Produktart Wirkstoff Anwendungshinweise Reinigung Sanfte Reinigungslotion Aloe Vera, Kamille Morgens und abends auf die feuchte Haut auftragen und sanft einmassieren Peeling Mildes chemisches Peeling Alpha-Hydroxysäuren (AHA) Ein- bis zweimal pro Woche anwenden, um abgestorbene Hautzellen zu entfernen Toner Klärendes Gesichtswasser Rosenwasser, Niacinamid Nach der Reinigung auftragen, um den pH-Wert der Haut auszugleichen Feuchtigkeitspflege und Seren Feuchtigkeitscreme: Eine reichhaltige Feuchtigkeitscreme mit Hyaluronsäure hilft, die Haut intensiv mit Feuchtigkeit zu versorgen. Seren: Vitamin-C-Seren können helfen, den Teint aufzuhellen und freie Radikale zu bekämpfen. Öle: Gesichtsöle wie Hagebuttenöl können die Haut nähren und ihr einen gesunden Glanz verleihen. Behandlungsstrategien für fahle Haut Neben der täglichen Pflege gibt es spezielle Behandlungen, die helfen können, fahle Haut zu revitalisieren: Mikrodermabrasion: Diese Behandlung entfernt sanft die oberste Hautschicht und fördert die Zellerneuerung. Lasertherapie: Laserbehandlungen können die Hautstruktur verbessern und den Hautton ausgleichen. Microneedling: Durch kleine Nadeln wird die Kollagenproduktion angeregt, was zu einer strahlenderen Haut führt. [[blog_ad]] Lebensgewohnheiten zur Verbesserung der Haut Neben der Hautpflege spielen auch gesunde Lebensgewohnheiten eine entscheidende Rolle für einen strahlenden Teint: Ausreichend Schlaf: Achte auf mindestens 7-8 Stunden Schlaf pro Nacht, um der Haut genügend Zeit zur Regeneration zu geben. Gesunde Ernährung: Eine ausgewogene Ernährung mit viel Pro- und Präbiotika und gesunden Fetten unterstützt die Hautgesundheit. Flüssigkeitszufuhr: Trinke täglich ausreichend Wasser, um die Haut von innen heraus zu hydratisieren. Stressmanagement: Methoden wie Yoga, Meditation oder regelmäßige Bewegung können helfen, Stress zu reduzieren und die Haut zu entspannen. Produkte zur Unterstützung der Hautgesundheit Probiotische Hautpflegekapseln wie die Skin Glow Produkte von Within Supplements können eine wertvolle Unterstützung bieten. Diese Kapseln helfen dabei, das natürliche Gleichgewicht der Hautflora zu fördern und Entzündungen zu reduzieren. Durch die regelmäßige Einnahme dieser Kapseln kann die Haut von innen heraus gestärkt werden, was besonders bei fahler Haut von Vorteil ist.  Zusammenfassung Fahle Haut kann viele Ursachen haben, von ungesunden Lebensgewohnheiten bis hin zu Umweltfaktoren. Mit den richtigen Pflegeprodukten, speziellen Behandlungen und einer gesunden Lebensweise kannst du deine Haut wieder zum Strahlen bringen. Probiotische Hautpflegekapseln wie die Skin Glow Produkte von Within Supplements bieten eine zusätzliche Unterstützung, um das Gleichgewicht deiner Hautflora zu fördern und deine Haut von innen heraus zu stärken. Probiere sie aus und erfahre den Unterschied.

    empfindliche Haut

    Empfindliche Haut: Ursachen, Pflege und Behandlungstipps

    Ursachen von empfindlicher Haut Empfindliche Haut kann durch eine Vielzahl von Faktoren verursacht werden. Hier sind einige der häufigsten: Genetik: Oft ist empfindliche Haut erblich bedingt. Umweltfaktoren: Kälte, Hitze, Wind und UV-Strahlung können empfindliche Haut reizen. Hautpflegeprodukte: Bestimmte Inhaltsstoffe wie Parfüme, Alkohol oder aggressive Chemikalien können Irritationen auslösen. Erkrankungen: Hauterkrankungen wie Rosacea, Ekzeme oder Psoriasis gehen häufig mit empfindlicher Haut einher. Innere Faktoren: Stress, hormonelle Schwankungen und eine ungesunde Ernährung können die Hautempfindlichkeit erhöhen. Pflege von empfindlicher Haut Die Pflege empfindlicher Haut erfordert besondere Aufmerksamkeit und Sorgfalt. Hier sind einige Tipps und Produkte, die sich bewährt haben: Reinigungsroutine Schritt Produktart Wirkstoff Anwendungshinweise Reinigung Milde Reinigungsmilch Aloe Vera, Kamille Morgens und abends sanft in die Haut einmassieren und mit lauwarmem Wasser abspülen Toner Alkoholfrei Rosenwasser, Hamamelis Nach der Reinigung auftragen, um die Haut zu beruhigen Feuchtigkeitspflege Hypoallergene Creme Hyaluronsäure, Glycerin Morgens und abends auf das gereinigte Gesicht auftragen Zusätzliche Pflege Seren: Ein beruhigendes Serum mit Inhaltsstoffen wie Panthenol oder Allantoin kann helfen, die Haut zu beruhigen. Masken: Wöchentlich eine feuchtigkeitsspendende und beruhigende Maske verwenden, z.B. mit Aloe Vera oder Haferextrakt. Sonnenschutz: Ein täglicher Sonnenschutz mit hohem SPF, der speziell für empfindliche Haut entwickelt wurde, ist unerlässlich. Behandlung von empfindlicher Haut Neben der täglichen Pflege gibt es spezielle Behandlungen, die empfindliche Haut unterstützen können: LED-Lichttherapie: Rotes LED-Licht kann helfen, Entzündungen zu reduzieren und die Haut zu beruhigen. Hydrafacial: Eine sanfte, nicht-invasive Behandlung, die die Haut reinigt und gleichzeitig Feuchtigkeit spendet. Kühlende Behandlungen: Produkte oder Geräte, die kühlen, können helfen, Rötungen und Schwellungen zu reduzieren. Prävention und Tipps für den Alltag Um die Hautempfindlichkeit zu minimieren, solltest du folgende Maßnahmen beachten: Vermeidung von Reizstoffen: Vermeide Produkte mit Alkohol, Parfüm und aggressiven Chemikalien. Sonnenschutz: Trage täglich Sonnencreme, um die Haut vor UV-Strahlen zu schützen. Stressmanagement: Techniken wie Yoga oder Meditation können helfen, Stress abzubauen und die Hautgesundheit zu fördern. Ernährung: Eine ausgewogene, abwechslungsreiche Ernährung mit viel Pro- und Präbiotika unterstützt die Haut von innen heraus. Bitte achte auch auf ausreichende Hydratation. Produkte zur Unterstützung der Hautgesundheit Probiotische Hautpflegekapseln wie die Skin Glow Produkte von Within Supplements können eine wertvolle Unterstützung bieten. Diese Kapseln können dabei helfen, das natürliche Gleichgewicht der Hautflora über eine verbesserte Darmflora zu fördern und Entzündungen zu reduzieren. Durch die regelmäßige Einnahme dieser Kapseln kann die Haut von innen heraus gestärkt werden, was besonders bei empfindlicher Haut von Vorteil ist.  [[blog_ad]] Zusammenfassung Empfindliche Haut erfordert besondere Pflege und Aufmerksamkeit, um Irritationen zu vermeiden und die Haut zu beruhigen. Mit den richtigen Pflegeprodukten, speziellen Behandlungen und einer gesunden Lebensweise kannst du deine Haut gesund und strahlend halten. Probiotische Hautpflegekapseln wie die Skin Glow Produkte von Within Supplements bieten eine zusätzliche Unterstützung, um das Gleichgewicht deiner Hautflora zu fördern und deine Haut von innen heraus zu stärken. Probiere sie aus und erfahre den Unterschied.

    Pickel am Kinn

    Pickel am Kinn: Ursachen, Symptome und effektive Behandlungstipps

    Was sind Pickel am Kinn? Pickel am Kinn sind eine Form von Akne, die durch verstopfte Poren und eine Überproduktion von Talg verursacht wird. Sie können sich als kleine, rote Beulen oder als größere, entzündete Läsionen manifestieren. Diese Unreinheiten können nicht nur unangenehm sein, sondern auch das Selbstbewusstsein beeinträchtigen. Symptome bei Pickel am Kinn Pickel am Kinn kann verschiedene Symptome verursachen, die von Person zu Person variieren können. Typischerweise kann die Haut um den Pickel herum gerötet sein und geschwollen erscheinen, insbesondere wenn der Pickel entzündet ist. Dies kann oft zu Schmerzen führen, besonders wenn der Pickel tief in der Haut liegt oder sich entzündet hat. Manche Menschen empfinden auch Juckreiz im Bereich des Pickels. Bei entzündeten Pickeln kann sich Eiter bilden, der als weißer oder gelber Punkt sichtbar ist. Die Haut um den Pickel herum kann auch empfindlich sein und bei Berührung schmerzhaft sein. Ein Brennen oder Stechen in der Nähe des Pickels ist ebenfalls möglich. Ursachen für Pickel am Kinn Hormonelle Veränderungen spielen eine Hauptrolle bei der Entstehung von Pickeln am Kinn. Während der Pubertät, aber auch während des Menstruationszyklus oder der Schwangerschaft, können hormonelle Schwankungen auftreten, die zu einer erhöhten Talgproduktion führen. Dieser Überschuss an Talg verstopft die Poren und schafft ein ideales Umfeld für das Wachstum von Bakterien, was letztendlich zu Pickeln führt. Besonders bei Frauen können hormonelle Veränderungen im Zusammenhang mit dem Menstruationszyklus regelmäßig zu Pickeln am Kinn führen. Stress ist ein weiterer wichtiger Faktor, der die Entstehung von Pickeln begünstigen kann. Stress führt oft zu einer erhöhten Ausschüttung von Stresshormonen wie Cortisol, was wiederum die Talgproduktion anregt. Dies kann dazu führen, dass die Poren verstopfen und Pickel entstehen. Darüber hinaus kann Stress das Immunsystem schwächen, was die Haut empfindlicher für Entzündungen macht und die Heilung von Pickeln verzögern kann. Die Verwendung falscher Hautpflegeprodukte kann auch dazu beitragen, dass Pickel am Kinn entstehen. Produkte, die zu reichhaltig oder zu stark parfümiert sind, können die Poren verstopfen und die Talgproduktion erhöhen. Es ist wichtig, milde Reinigungsprodukte und Feuchtigkeitscremes zu verwenden, die speziell für unreine Haut geeignet sind, um die Entstehung von Pickeln zu reduzieren. Schlechte Ernährungsgewohnheiten spielen ebenfalls eine Rolle bei der Entstehung von Pickeln. Eine Ernährung, die reich an zuckerhaltigen und fettigen Lebensmitteln ist, kann den Blutzuckerspiegel erhöhen und Entzündungen im Körper fördern, was sich auch auf die Haut auswirken kann. Es wird empfohlen, sich ausgewogen zu ernähren und auf eine ausreichende Zufuhr von Obst, Gemüse und Vollkornprodukten zu achten, um die Hautgesundheit zu unterstützen. Darüber hinaus können bestimmte Medikamente, wie zum Beispiel Steroide oder hormonelle Verhütungsmittel, zu hormonellen Veränderungen führen, die die Talgproduktion beeinflussen und die Entstehung von Pickeln begünstigen können. Wenn Du Medikamente einnimmst und vermehrt Pickel am Kinn feststellst, ist es ratsam, dies mit deinem Arzt zu besprechen, um mögliche Alternativen zu erkunden. Frauen Für Frauen, die auch jenseits ihrer frühen Zwanziger Akne erfahren, sind Pickel im Bereich des Kinns, um den Mund und entlang des Kiefers, oft ein häufiges Anliegen. Diese Gesichtspartien werden zusammenfassend als „U-Zone“ bezeichnet. Ein vorherrschendes hormonelles Ungleichgewicht ist eine verbreitete Ursache für die Entstehung von Pickeln in diesen Bereichen. Insbesondere ein Überschuss an Androgenen kann die Talgproduktion der Hautdrüsen verstärken und somit Akne begünstigen. Zyklusbedingte Hormonschwankungen spielen ebenfalls eine Rolle. Im Verlauf des Menstruationszyklus verändert sich die Hormonproduktion, und gegen Zyklusende kann ein Anstieg von Testosteron für eine erhöhte Talgdrüsenaktivität sorgen. Obwohl Talg eine wichtige Funktion hat, indem er die Haut feucht hält und schützt, kann ein Überschuss die Poren verstopfen und somit zu Pickelbildung führen. Diese äußern sich häufig als große, rote, schmerzhafte Knoten oder als weiße Eiterpickel. Pickel, die unter der Haut bleiben, werden auch als Komedonen bezeichnet. Männer Auch Männer können hormonelle Veränderungen erleben, die sich auf ihre Hautgesundheit auswirken. Ein Hauptfaktor für Unreinheiten im Kinnbereich bei Männern sind jedoch eingewachsene Haare. Diese entstehen, wenn das Haar nach dem Schneiden wieder in die Haut einwächst, was zu Rötungen und Entzündungen führen kann. Eingewachsene Haare irritieren die Haut und können zu Irritationen führen, die Pickeln ähneln. [[blog_ad]] Behandlung von Pickeln am Kinn Die Bekämpfung von Pickeln am Kinn erfordert oft einen individuellen Ansatz, der sich nach dem Schweregrad richtet.Bei leichten bis mittelschwerenFällen können Produkte aus der Apotheke effektiv sein.Wirkstoffe wie Benzoylperoxid und Salicylsäure sind besonders hilfreich, da sie überschüssiges Öl minimieren, tote Hautschichten entfernen und die Poren reinigen.Benzoylperoxid besitzt antibakterielle Eigenschaften, die gezielt Akne verursachende Bakterien bekämpfen, während Salicylsäure verstopfte Poren öffnet und Entzündungen lindert. Verfügbar sind diese Inhaltsstoffe in Form von Cremes, Gelen, Lotionen und Waschlösungen, sodass für jede Vorliebe etwas dabei ist.In schwereren Fällen ist die Konsultation eines Dermatologen empfehlenswert, der eine auf den individuellen Hauttyp und die Akneintensität zugeschnittene Behandlungsmethode vorschlagen kann.Verschreibungspflichtige Optionen umfassen topische Retinoide und Antibiotika. Topische Retinoide, wie Tretinoin oder Adapalen, fördern die Hauterneuerung, beschleunigen die Zellregeneration und helfen, verstopfte Poren zu befreien. Topisch angewendete Antibiotika zielen darauf ab, Bakterien zu eliminieren und Entzündungen zu verringern, was zu einer deutlichen Akneverbesserung führen kann.Dei der Anwendung von Akneprodukten ist Vorsicht geboten, um das Mikrobiom der Haut nicht zu schädigen.Die Hautbarriere und ihr Mikrobiom spielen eine Schlüsselrolle bei der Erhaltung der Hautgesundheit und -schutzfunktion.Eine übermäßige Anwendung von Aknebehandlungen oder zu aggressive Reinigungsroutinen können dieses empfindliche Gleichgewicht stören und die Hautbarriere schwächen.Daher ist es wichtig, ein Gleichgewicht zu finden, das effektive Aknebehandlung mit der Pflege des Hautmikrobioms verbindet, um die Haut gesund und widerstandsfähig zu halten.   5 Tipps zur Vorbeugung von Pickeln am Kinn Regelmäßige Reinigung des Gesichts Reinige dein Gesicht zweimal täglich mit einem sanften Reinigungsmittel, um überschüssiges Öl, Schmutz und abgestorbene Hautzellen zu entfernen. Eine gründliche Reinigung hilft, verstopfte Poren zu vermeiden und die Bildung von Pickeln zu reduzieren. Vermeide übermäßige Berührung des Gesichts Vermeide es, Dein Gesicht häufig zu berühren oder an den Pickeln herumzudrücken oder zu kratzen. Dies kann Entzündungen verschlimmern und zu einer Verschlechterung der Akne führen. Halte Deine Hände von Deinem Gesicht fern, um eine Übertragung von Bakterien zu vermeiden. Gesunde Ernährungsgewohnheiten Achte auf eine ausgewogene Ernährung, die reich an Obst, Gemüse und magerem Eiweiß ist. Eine Ernährung, die reich an Antioxidantien, Vitaminen, Mineralstoffen und Probiotika ist, kann dazu beitragen, die Hautgesundheit zu unterstützen und Entzündungen zu reduzieren. Vermeide übermäßigen Konsum von zuckerhaltigen oder fettigen Lebensmitteln, da diese den Talgspiegel erhöhen können. Verwende nicht-komedogene Produkte Achte bei der Auswahl von Hautpflegeprodukten darauf, dass sie nicht-komedogen sind, was bedeutet, dass sie die Poren nicht verstopfen. Fettige Hautpflegeprodukte können dazu führen, dass sich die Poren verstopfen und Pickel entstehen. Wähle Produkte, die leicht und für deine Hauttyp geeignet sind. Halte Haare und Handflächen fern Vermeide es, Deine Haare über Dein Gesicht fallen zu lassen, da sie Öl und Schmutz auf Deine Haut übertragen können. Halte Deine Handflächen ebenfalls von Deinem Gesicht fern, um eine Übertragung von Bakterien zu verhindern. Halte Deine Haare sauber und gebunden, um das Risiko von Hautirritationen zu reduzieren. Probiotika bei Pickel am Kinn Ein zusätzlicher Tipp zur Vorbeugung von Pickeln am Kinn ist die Integration von Probiotika in Deine Ernährung oder Hautpflege.Probiotika können dazu beitragen, das Gleichgewicht der Bakterien auf der Haut wiederherzustellen und Entzündungen zu reduzieren.Du kannst probiotische Nahrungsmittel wie Joghurt, Sauerkraut oder Kefir in Deine Ernährung aufnehmen, noch effektiver kann die regelmäßige und längerfristige Einnahme von probiotischen Nahrun gsergänzungen sein, um die Hautgesundheit zu unterstützen. Denn Darmgesundheit und Hautgesundheit hängen eng miteinander zusammen. Hausmitteln gegen Pickel am Kinn Hausmittel sind oft eine beliebte Wahl für diejenigen, die nach natürlichen und schonenden Alternativen zu herkömmlichen Akneprodukten suchen.Teebaumöl und Kamillentee sind die am häufigsten verwendeten Hausmittel zur Bekämpfung von Pickeln am Kinn.Das Teebaumöl ist bekannt für seine entzündungshemmenden und antibakteriellen Eigenschaften, die bei der Behandlung von Pickeln am Kinn helfen können.Es kann helfen, die Bakterien zu bekämpfen, die Akne verursachen, und Entzündungen zu reduzieren.Um Teebaumöl anzuwenden, trage eine kleine Menge davon auf die betroffene Stelle auf und lasse es über Nacht einwirken.Der Kamillentee hat beruhigende Eigenschaften und kann dazu beitragen, Hautirritationen zu lindern.Du kannst Kamillentee auf die betroffenen Stellen auftragen, indem Du einen Wattebausch in den Tee tauchst und ihn sanft auf die Pickel tupfst.Alternativ kannst Du Kamillentee als Gesichtsdampf verwenden, um die Poren zu öffnen und Unreinheiten zu entfernen. Fazit Insgesamt sind Pickel am Kinn ein häufiges Problem, das verschiedene Ursachen haben kann, von hormonellen Veränderungen, eingewachsenen Haaren bis hin zu falscher Hautpflege und Stress. Die Symptome von Pickeln am Kinn reichen von kleinen roten Beulen bis hin zu größeren entzündeten Läsionen und können nicht nur körperlich unangenehm sein, sondern auch das Selbstbewusstsein beeinträchtigen. Um Pickel am Kinn effektiv zu behandeln, ist es wichtig, die zugrunde liegenden Ursachen zu verstehen und entsprechende Maßnahmen zu ergreifen. Dazu gehören eine gute Hautpflege-Routine, die Vermeidung reizender Substanzen und die gezielte Behandlung mit Hausmitteln oder verschreibungspflichtigen Medikamenten, je nach Schweregrad der Symptome. Darüber hinaus können eine gesunde Ernährung, Stressmanagement-Techniken und die Verwendung von probiotischen Nahrungsergänzungen zur Unterstützung der Hautgesundheit beitragen. Es ist jedoch wichtig zu beachten, dass jeder Fall individuell ist und bei anhaltenden oder schweren Symptomen ein Dermatologe konsultiert werden sollte. Letztendlich ist die Vorbeugung von Pickeln am Kinn die beste Behandlung. Durch eine konsequente Hautpflege-Routine, eine ausgewogene Ernährung und die Vermeidung von Reizstoffen können wir dazu beitragen, das Auftreten von Pickeln zu minimieren und eine gesunde, strahlende Haut zu fördern.   Der Artikel dient lediglich der Informationsvermittlung in Bezug auf Probiotika und soll nicht als medizinische Empfehlung oder als Ersatz für professionelle medizinische Beratung oder Behandlung interpretiert werden.

    Unterlagerungen: Ursachen, Symptome und effektive Behandlungen

    Unterlagerungen: Ursachen, Symptome und effektive Behandlungen

    Symptome von Unterlagerungen Unterlagerungen machen sich hauptsächlich in der T-Zone bemerkbar, das heißt an Kinn, Nase und Stirn, sowie an den Wangen.Medizinisch betrachtet, werden Unterlagerungen auch als Knoten bezeichnet.Im Gegensatz zu gewöhnlichen Pickeln oder Mitessern entstehen Unterlagerungen in den tieferen Hautschichten, was bedeutet, dass sie oft nur durch Rötungen oder kleine Erhebungen erkennbar sind.Sie ähneln Papeln, erheben sich jedoch nicht über die Hautoberfläche. Ursachen von Unterlagerungen Unterlagerungen entstehen durch ähnliche Prozesse wie herkömmliche Akne: Sie sind das Ergebnis von verstopften Poren, verursacht durch eine Überproduktion von Hauttalg. Wenn dieser Talg nicht abfließen kann, sammelt sich zusammen mit abgestorbenen Hautzellen, Schmutz und anderen Rückständen ein Gemisch unter der Haut, was die Poren blockiert. Diese Blockaden bieten eine perfekte Umgebung für Bakterien, die Entzündungen der Talgdrüsen hervorrufen können, woraus dann Unterlagerungen resultieren. Menschen mit bestimmten Hautzuständen wie Rosacea, Schäden durch Sonneneinstrahlung oder Psoriasis neigen eher zu Unterlagerungen. Zusätzliche Faktoren, die diese Hautprobleme verschlimmern können, umfassen die Verwendung von Make-up, hormonelle Veränderungen, unzureichende Hygiene, Stress, Schlafmangel oder eine unpassende Ernährung. Behandlung von Unterlagerungen Personen, die anhaltend unter schmerzhaften, knotigen Unterlagerungen leiden, sollten sich an eine Fachperson in der Dermatologie wenden. Der Hintergrund dafür ist, dass es sich um zystische Akne handeln könnte, die tiefer in der Haut liegt und Unterlagerungen verursacht. Diese Form der Akne kann zu Narbenbildung führen, was einen Besuch bei einer Fachperson rechtfertigt. Es ist ratsam, schmerzhafte Unterlagerungen und andere Hautunreinheiten professionell behandeln zu lassen. Ob man dafür einen Dermatologen oder eine dermatologische Fachkraft konsultiert, liegt im Ermessen des Einzelnen. Durch eine professionelle Reinigung kann der Talg wieder besser fließen, was dazu beiträgt, dass die Unterlagerungen schneller abheilen und neuen Entzündungen vorgebeugt wird. Eigenes Herumdrücken an den betroffenen Stellen sollte unbedingt vermieden werden, da dies die Situation durch Bakterieneintritt verschlechtern und im schlimmsten Fall zur Bildung schmerzhafter Zysten führen kann, die wochenlang unter der Haut verbleiben. In einer dermatologischen Praxis kann eine professionelle Lokaltherapie durchgeführt werden. Bei einer bestätigten zystischen Entzündung wird der Bereich desinfiziert und mittels spezieller Instrumente behandelt. Danach erfolgt die Anwendung eines entzündungshemmenden Mittels, zum Beispiel eines Antibiotikums, zur Behandlung. Nochmals es ist ganz wichtig: eigenständiges Herumdrücken kann die Entzündung verschlimmern und sogar zu Zysten führen. Also Finger weg!  Wirkung von Probiotika bei Unterlagerungen Unterlagerungen entstehen oft durch eine übermäßige Talgproduktion und eine daraus resultierende Entzündung der Hautporen.Probiotika enthalten lebende Mikroorganismen, die die natürliche Darmflora unterstützen und entzündungshemmende Eigenschaften haben können.Durch die regelmäßige und längerfristige Einnahme von Probiotika können diese positiven Mikroorganismen auch die Hautflora beeinflussen und so die Entstehung von Unterlagerungen reduzieren.Verschiedene wissenschaftliche Studien legen nahe, dass Probiotika potenziell entzündungshemmende Effekte haben und bei der Behandlung von Hautzuständen wie subkutanen Pickeln unterstützend wirken können, möglicherweise durch die Beeinflussung der Hautmikrobiota oder die Verbesserung der Hautbarrierefunktion. Hautpflege bei Unterlagerungen Eine sanfte Reinigungsroutine ist wichtig, um die Haut nicht weiter zu reizen.Mildes Reinigungsgel ist für ölige und unreine Haut empfehlenswert, da zu aggressive Produkte die Haut austrocknen und die Talgproduktion erhöhen können. Feuchtigkeitsspendende Seren sind auch bei fettiger Haut wichtig, um den Feuchtigkeitsverlust auszugleichen und die Hautgesundheit zu fördern.Chemische Peelings mit Fruchtsäuren können die Hauterneuerung anregen und Unreinheiten bekämpfen. Vorsicht bei Hausmitteln gegen Unterlagerungen Hausmittel wie Zitrone, Apfelessig und Teebaumöl werden oft als Mittel gegen Unterlagerungen empfohlen, können jedoch die Haut aggressiv reizen und austrocknen, was zu einer Verschlimmerung führen kann. Auch sollte man die Finger von Zahnpasta lassen, denn auch diese reizt mehr, als dass sie helfen kann.Es ist ratsam, auf professionelle Behandlungsmethoden zurückzugreifen und von der Verwendung dieser Hausmittel abzusehen. Fazit Unterirdische Pickel, auch bekannt als Unterlagerungen oder subkutane Pickel, stellen eine besondere Herausforderung in der Hautpflege dar. Während sie weniger sichtbar als oberflächliche Akne sein mögen, sind sie doch oft schmerzhafter und langwieriger. Die Entstehung dieser tiefen Hautunreinheiten ist auf verstopfte Poren zurückzuführen, die durch eine Überproduktion von Talg und die Ansammlung von Schmutz und abgestorbenen Hautzellen entstehen. Zusätzlich bieten sie ein ideales Umfeld für Bakterien, was die Entzündung weiter fördert. Für Betroffene, die unter hartnäckigen und schmerzhaften Unterlagerungen leiden, ist der Gang zu einem Dermatologen oder einer fachkundigen kosmetischen Behandlung unerlässlich, insbesondere bei Verdacht auf zystische Akne, die Narben hinterlassen kann. Eine professionelle Ausreinigung kann den Talgfluss verbessern und somit zur schnelleren Abheilung und zur Prävention neuer Entzündungen beitragen. Eigenes Herumdrücken sollte unter allen Umständen vermieden werden, um die Entzündung nicht zu verschlimmern oder sogar Zysten zu provozieren. Neben der professionellen Behandlung können auch Probiotika eine unterstützende Rolle spielen. Durch ihre potenziell entzündungshemmenden Eigenschaften können sie zur Verbesserung der Hautflora und somit zur Reduzierung von Unterlagerungen beitragen. Eine gesunde Darmflora spiegelt sich auch in einer gesunden Haut wider. Bei der täglichen Hautpflege ist eine sanfte Reinigung und Hydratation entscheidend. Zu aggressive Produkte sollten vermieden werden, da sie die Haut reizen und die Problematik verschärfen können. Chemische Peelings bieten eine Möglichkeit, die Hauterneuerung zu fördern und Unreinheiten gezielt zu bekämpfen. Abschließend ist es wichtig, sich von Hausmitteln, die die Haut reizen und austrocknen können, fernzuhalten und stattdessen auf bewährte und professionelle Behandlungsmethoden zu setzen. Durch eine Kombination aus fachkundiger Beratung, gezielter Hautpflege und unterstützenden Maßnahmen wie der Einnahme von Probiotika kann das Auftreten von Unterlagerungen effektiv reduziert und die Hautgesundheit gefördert werden.   Der Artikel dient lediglich der Informationsvermittlung in Bezug auf Probiotika und soll nicht als medizinische Empfehlung oder als Ersatz für professionelle medizinische Beratung oder Behandlung interpretiert werden.

    benötigen wir Creme

    Benötigen wir Creme? Mythos oder Realität?

    Was sind Probiotika eigentlich? Probiotika sind spezielle Zubereitungen, die lebendige Mikroorganismen enthalten, was aus dem Griechischen übersetzt „für das Leben“ bedeutet. Diese Mikroorganismen spielen eine wichtige Rolle für eine gesunde Darmflora. Natürlicherweise finden sich Probiotika in verschiedenen Nahrungsquellen wie Joghurt, ausgewählten Käsesorten und Sauerkraut. Probiotika können durch Nahrungsergänzungen oft effektiver aufgenommen werden als durch Lebensmittel, da sie in konzentrierter Form und genau definierten Mengen bereitgestellt werden, die für eine gezielte Unterstützung der Darmflora optimiert sind. Probiotika finden zunehmend auch in der Hautpflege Verwendung, um die Hautgesundheit zu fördern, allerdings dürfen da bislang nur Lysate und Stoffwechselprodukte von Probiotika verwendet werden. Wichtig zu wissen: Der Unterschied zwischen Probiotika und Präbiotika: Während Probiotika lebendige Mikroorganismen darstellen, handelt es sich bei Präbiotika um nicht verdauliche Ballaststoffe, die als Nahrung für Darmbakterien dienen und deren Wachstum anregen. Die Bedeutung des Hautmikrobioms Das Hautmikrobiom bezeichnet die Gesamtheit aller Mikroorganismen, wie Bakterien, Pilze und Viren, die auf unserer Haut leben. Jede Person hat eine einzigartige mikrobielle Gemeinschaft, die entscheidend für die Gesundheit der Haut ist. Diese Mikroorganismen spielen eine wichtige Rolle bei der Regulierung des pH-Werts, der Stärkung der Hautbarriere und dem Schutz vor schädlichen Eindringlingen. Ein gesundes und ausgewogenes Hautmikrobiom ist daher für die Aufrechterhaltung einer gesunden Haut unerlässlich. Faktoren wie schlechte Ernährung, aggressive Reinigungsmittel und unzureichende Hautpflege können das Gleichgewicht des Hautmikrobioms stören und zu Problemen wie Trockenheit, Reizungen und Entzündungen führen. Darm-Haut-Achse Die Darm-Haut-Achse beschreibt die enge Verbindung zwischen unserem Darm und der Haut. Störungen im Darm können sich negativ auf die Haut auswirken und zu Hauterkrankungen wie Ekzemen, Rosacea oder Schuppenflechte führen. Die gute Nachricht ist, dass die Verbesserung der Darmgesundheit durch probiotische Nahrungsergänzungen auch die Hautgesundheit positiv beeinflussen kann. Probiotika unterstützen das Gleichgewicht im Darm, reduzieren Entzündungen und führen zu einer klareren, gesünderen Haut. Indem wir auf die Gesundheit unseres Darms achten, fördern wir also auch das Wohlbefinden unserer Haut, was die Widerstandsfähigkeit gegen äußere Einflüsse steigert und das Risiko von Hautproblemen verringert. Wie gerät unsere Hautflora aus dem Gleichgewicht? Die Zusammensetzung der Hautflora, einzigartig und komplex, ist sensibel gegenüber Veränderungen. Verschiedene Faktoren, sowohl von innen als auch von außen, können das Gleichgewicht des Hautmikrobioms stören: UV-Strahlen der Sonne Luftverschmutzung durch Feinstaub Nikotinkonsum Emotionaler und physischer Stress Schlafdefizit Hormonelle Veränderungen einseitige, ungesunde Ernährung Stress Die Einnahme spezifischer Medikamente Auch ungeeignete Hautpflegeprodukte können die Balance der Hautflora beeinträchtigen. Eine gestörte Hautflora kann zu Rötungen, Trockenheit, Sensibilität, vorzeitiger Hautalterung, sowie einer Neigung zu Akne und anderen entzündlichen Hautproblemen führen. Wie beeinflussen Probiotika die Haut? Probiotika spielen eine entscheidende Rolle beim Wiederaufbau und der Erhaltung des natürlichen Gleichgewichts der Hautflora. Forschungen zeigen, dass diese Mikroorganismen sowohl direkte als auch indirekte positive Effekte auf die Haut ausüben können. Sie sind effektiv darin, eine Vielzahl von Hautproblemen zu lindern und deren typische Symptome zu reduzieren, einschließlich derer, die durch UV-Strahlung verursacht oder bei oberflächlichen Hautverletzungen auftreten. Probiotische Hautpflegeprodukte sind für alle Hauttypen geeignet und tragen zu einem gesunden, makellosen Hautbild bei. Milchsäurebakterien und die Haut Milchsäurebakterien, auch als Lactobacillales bekannt, sind besonders wertvoll für trockene und sensible Hauttypen. So zeigte beispielsweise eine Studie, dass die Anwendung von Lactobacillus brevis auf der Haut über vier Wochen hinweg Trockenheitssymptome effektiv mildern und entzündungshemmende Effekte aufweisen kann. Zudem wurde beobachtet, dass dieses Bakterium die Haut mit nützlichen Mikroorganismen anreichert, was die Hautgesundheit zusätzlich unterstützt. Hautschutzbarriere stärken Die Stärkung der Hautschutzbarriere ist essentiell für ein gesundes und strahlendes Hautbild. Die äußerste Schicht unserer Haut, das Stratum corneum, arbeitet zusammen mit dem Hydrolipidfilm und dem Haut-Mikrobiom, um uns vor externen Schadstoffen zu schützen und die Hautfeuchtigkeit zu bewahren. Faktoren sowohl von innen als auch von außen können diese wichtige Barriere schwächen. Hautschutzbarriere stärken Das Haut-Mikrobiom bildet zusammen mit dem Hydrolipidfilm eine essenzielle Schutzschicht auf der obersten Hautschicht, dem Stratum corneum. Diese natürliche Barriere, verstärkt durch körpereigene Fette, schützt effektiv vor Umwelteinflüssen und hilft, die Hautfeuchtigkeit zu bewahren, was für ein glattes und gesundes Hautbild unerlässlich ist. Allerdings können sowohl interne als auch externe Faktoren diese wichtige Schutzfunktion beeinträchtigen. Um die Hautbarriere zu stärken, sind Pflegeprodukte von innen und außen mit wirksamen Inhaltsstoffen gefragt. Hautidentische Lipide wie Ceramide, Feuchtigkeitsbooster wie Hyaluronsäure oder Urea und Antioxidantien sind dabei entscheidend, um die Hautbarriere zu unterstützen und gleichzeitig der Hautalterung entgegenzuwirken. Eine gesunde und nährstoffreiche Ernährung spielt eine zentrale Rolle für ein vitales Hautbild und einen leuchtenden Teint. Es ist entscheidend, dass Sie Ihrer Haut durch den Verzehr von frischem Obst und Gemüse ausreichend Vitamine zuführen. Ebenso tragen ungesättigte Fettsäuren, die in Nüssen, hochwertigen Pflanzenölen und Fisch enthalten sind, zu einer gesunden Haut bei. Zur Unterstützung des Haut-Mikrobioms können folgende probiotische Nahrungsmittel beitragen: Rohes Sauerkraut und Sauerkrautsaft, die nicht pasteurisiert sind Naturjoghurt, der frei von Zuckerzusätzen ist Kefir Vegane Alternativen wie Joghurt auf Basis von Soja oder Kokos Durch Milchsäuregärung konservierte saure Gurken Apfelessig Diese Lebensmittel fördern nicht nur eine gesunde Darmflora, sondern unterstützen auch indirekt das Gleichgewicht und die Schutzfunktion der Haut. Wie funktioniert probiotische Hautpflege? Die Einnahme von Probiotika, also guter Bakterien, kann unsere Hautgesundheit auf verschiedene Weise unterstützen: Beruhigung von Hautentzündungen: Bestimmte Probiotika, wie Lactobacillus casei, können Entzündungen der Haut lindern. Sie tun dies, indem sie bestimmte Immunzellen im Körper regulieren, ohne das Immunsystem zu schwächen. Das bedeutet, sie können helfen, allergische Reaktionen auf der Haut zu kontrollieren. Schutz vor Sonnenschäden: Ein anderes Probiotikum, Bifidobacterium breve, kann die Haut vor Schäden durch Sonneneinstrahlung, wie Rötungen und oxidative Schäden, schützen. Es verhindert, dass schädliche Sauerstoffmoleküle in der Haut gebildet werden. Verbesserung der Haut durch Darmgesundheit: Probiotika können auch die Zusammensetzung der Bakterien in unserem Darm verändern. Diese Veränderungen können sich positiv auf die Haut auswirken, indem sie beispielsweise die Hautbarriere stärken und Entzündungen reduzieren. Stärkung der Hautbarriere und Immunmodulation: Probiotika helfen, die Barrierefunktion der Haut zu stärken und das Immunsystem so zu modulieren, dass die Haut gesünder bleibt und weniger anfällig für Erkrankungen wie Ekzeme und Akne ist. Kurz gesagt, Probiotika sind nicht nur gut für unseren Darm, sondern auch für unsere Haut. Sie unterstützen die Hautgesundheit von innen heraus, indem sie Entzündungen reduzieren, Schutz vor Umweltschäden bieten und die Hautbarriere stärken können. Topisch aufgetragene probiotische Hautpflege Die probiotische Hautpflege basiert auf der Nutzung probiotischer Mikroorganismen, wie lebenden Bakterien oder Hefen, die das Gleichgewicht des Hautmikrobioms fördern und die natürliche Schutzfunktion der Haut stärken. Diese Mikroorganismen arbeiten mit den bereits vorhandenen Hautmikroben zusammen, um die Hautflora auszugleichen, die Hautregeneration zu unterstützen, wichtige Hautproteine und Lipide zu produzieren und für eine verbesserte Hautstruktur sowie einen strahlenden Teint zu sorgen. Darüber hinaus verbessern sie die Feuchtigkeitsversorgung der Haut, erhöhen deren Elastizität und verringern Trockenheit, was zu einer gesunden und geschmeidigen Haut führt. Probiotische Hautpflegeprodukte, darunter Cremes, Seren und Masken, gewinnen weltweit an Popularität. Sie können eine natürliche Lösung bieten, um die Hautgesundheit zu unterstützen. Allerdings enthalten viele dieser Produkte aufgrund von Herausforderungen bezüglich Stabilität, Haltbarkeit und regulatorischen Anforderungen keine lebenden Mikroorganismen, sondern setzen auf lysierte Produkte oder Metaboliten (Postbiotika). Kosmetische Produkte mit lebenden Probiotika unterliegen strengen regulatorischen Prozessen und werden oft als Arzneimittel klassifiziert. Die Vorteile von Probiotika für die Haut Probiotika bieten viele Vorteile für die Hautgesundheit und -pflege. Hier sind einige der wichtigsten Vorteile: Unterstützung der Hautbarriere: Probiotische Hautpflegeprodukte können dazu beitragen, die natürliche Schutzbarriere der Haut zu stärken. Sie können helfen, Feuchtigkeit einzuschließen und schädliche Umwelteinflüsse abzuwehren. Reduzierung von Entzündungen: Probiotika haben entzündungshemmende Eigenschaften. Sie können dazu beitragen, Rötungen, Reizungen und Entzündungen zu reduzieren, was insbesondere bei Hautproblemen wie Akne oder Rosacea von Vorteil ist. Verbesserung des Teints: Probiotische Hautpflege kann das Erscheinungsbild des Teints verbessern. Indem sie das Gleichgewicht der Haut wiederherstellen, können sie für einen ebenmäßigeren und strahlenderen Teint sorgen. Beruhigung der Haut: Probiotika können beruhigende Eigenschaften haben und helfen, gereizte oder gestresste Haut zu beruhigen. Sie können das Hautgefühl verbessern und dazu beitragen, Unwohlsein oder Juckreiz zu lindern. Vorbeugung von vorzeitigem Altern: Durch den Schutz der Hautbarriere und die Reduzierung von Entzündungen können probiotische Produkte helfen, vorzeitige Hautalterung zu verhindern. Sie können feine Linien, Falten und andere Anzeichen von Alterung minimieren. Es ist wichtig anzumerken, dass die genauen Vorteile von probiotischer Hautpflege je nach Produkt und individuellem Hautzustand variieren können.  Die Wirkung von Probiotika auf spezifische Hautprobleme Regelmäßige und längerfristige Einnahme von probiotische Hautpflegeprodukte haben sich als wirksam bei der Verbesserung verschiedener Hautprobleme erwiesen.  Hier sind einige spezifische Hautprobleme, bei denen die Anwendung von Probiotika Vorteile bieten kann: Akne: Probiotika können helfen, den pH-Wert der Haut auszugleichen und das Wachstum von Bakterien zu kontrollieren, die Akne verursachen können. Sie können auch Entzündungen reduzieren und die Heilung von Akne-Läsionen unterstützen. Ekzeme: Bei Ekzemen ist die Hautbarriere geschädigt, was zu Trockenheit, Rötungen und Juckreiz führen kann. Probiotika können helfen, die Hautbarriere zu stärken und Entzündungen zu reduzieren, was zu einer Linderung der Symptome beitragen kann. Rosacea: Probiotika können beruhigende Eigenschaften haben und Entzündungen in der Haut reduzieren, was bei einer Rosacea-Haut von Vorteil sein kann. Sie können auch die Hautschutzbarriere stärken und Hautrötungen verringern. Empfindliche Haut: Probiotika können helfen, die Haut zu beruhigen und die Reaktivität gegenüber externen Reizstoffen zu verringern. Sie können die Hautbarriere stärken und somit empfindliche Haut besser schützen. vorzeitige Hautalterung: Probiotika können vor vorzeitiger Hautalterung schützen, indem sie das Hautmikrobiom ausgleichen, Entzündungen verringern und die Hautbarriere stärken. Sie können helfen, die Haut gegen Umweltschäden zu schützen, die Feuchtigkeit zu verbessern und die Kollagenproduktion zu unterstützen, was feine Linien und Falten reduzieren kann und zu einem jugendlicheren Aussehen führt. Es ist wichtig zu beachten, dass die Wirkung von Probiotika auf spezifische Hautprobleme bei jedem Individuum unterschiedlich sein kann. Nicht alle Hautprobleme reagieren gleich auf Probiotika. Außerdem kann es einige Zeit dauern, bis Ergebnisse sichtbar werden. Wenn Du spezifische Hautprobleme hast, empfehlen wir Dir, einen Hautspezialisten oder Dermatologen zu konsultieren, um die richtige Behandlung für Deine Bedürfnisse zu erhalten. Wie man probiotische Hautpflege in die tägliche Routine integriert Um probiotische Hautpflege effektiv in Deine tägliche Routine zu integrieren und die Haut von innen zu pflegen, ist die Einnahme von Probiotika ein wesentlicher Schritt. Diese können dazu beitragen, das Gleichgewicht des Hautmikrobioms zu fördern, Entzündungen zu reduzieren und die allgemeine Hautgesundheit zu verbessern. Hier sind einige Tipps, wie Du Probiotika am besten nutzen kannst: Beste Zeit für die Einnahme: Ideal ist es, Probiotika morgens auf nüchternen Magen zu konsumieren. Während der Nacht pausiert die Nahrungsaufnahme, was bedeutet, dass dein Verdauungstrakt leer ist und die Magen- und Gallensäureproduktion niedriger ist. Dies erleichtert den Probiotika die Passage durch den Magen-Darm-Trakt. Diese Empfehlung basiert darauf, dass ein leerer Magen die Überlebenschancen der Probiotika durch den sauren Magen erhöht. Qualität der Probiotika: Wähle Probiotika von hoher Qualität, die gegen Magen- und Gallensäure resistent sind, um sicherzustellen, dass sie den Darm erreichen und dort ihre positiven Effekte entfalten. Marken wie within bieten Produkte mit solchen robusten Stämmen an, die flexibel zu verschiedenen Tageszeiten eingenommen werden können, ohne ihre Effektivität einzubüßen. Darüber hinaus schützen hier magenresistente Kapseln die wertvollen Bakterienkulturen auf ihrem Weg durch den Magen, maximieren deren Überlebenschancen und Wirksamkeit. Regelmäßigkeit: Für eine sichtbare Verbesserung der Hautgesundheit ist es wichtig, Probiotika regelmäßig einzunehmen. Die regelmäßige Zufuhr unterstützt nicht nur das Gleichgewicht des Mikrobioms, sondern fördert auch langfristig eine gesunde Haut. Längerfristige Anwendung: Die Vorteile von Probiotika auf die Haut zeigen sich oft erst nach einer gewissen Dauer der Einnahme. Gib deinem Körper also Zeit, sich anzupassen und die positiven Effekte zu entwickeln. Eine längerfristige Anwendung ist empfehlenswert, um dauerhafte Ergebnisse zu erzielen. Integration in die tägliche Routine: Mache die Einnahme von Probiotika zu einem festen Bestandteil Deiner Routine. Indem Du sie täglich zur gleichen Zeit nimmst, wird es einfacher, die Regelmäßigkeit beizubehalten. Durch die Berücksichtigung dieser Tipps kann die probiotische Hautpflege effektiv in die tägliche Routine integriert werden, um die Hautgesundheit von innen zu unterstützen und zu verbessern.   Der Artikel dient lediglich der Informationsvermittlung in Bezug auf Probiotika und soll nicht als medizinische Empfehlung oder als Ersatz für professionelle medizinische Beratung oder Behandlung interpretiert werden.

    Hautpflege von innen

    Hautpflege von innen

     Die Rolle der Ernährung für die Hautgesundheit Die Rolle der Ernährung für die Hautgesundheit ist von entscheidender Bedeutung, da sie direkte Auswirkungen auf die Gesundheit und das Erscheinungsbild der Haut hat. Die Nahrungsmittel, die wir täglich konsumieren, enthalten eine Vielzahl von Nährstoffen, die für die Funktion und den Zustand unserer Haut unerlässlich sind. Eine ausgewogene Ernährung, die reich an Obst, Gemüse, Vollkornprodukten, magerem Eiweiß und gesunden Fetten ist, liefert unserer Haut die Bausteine, die sie benötigt, um gesund und strahlend zu bleiben. Diese Nährstoffe unterstützen die Regeneration der Hautzellen, fördern die Kollagenproduktion und schützen vor Schäden durch freie Radikale und Umweltbelastungen. Zum Beispiel enthalten Obst und Gemüse eine Vielzahl von Antioxidantien, wie Vitamin C und Vitamin E, die dazu beitragen, die Haut vor Schäden durch UV-Strahlen und Umweltverschmutzung zu schützen. Darüber hinaus liefern Omega-3-Fettsäuren, die in Fisch, Leinsamen und Walnüssen vorkommen, wichtige Lipide, die die Hautfeuchtigkeit bewahren und Entzündungen reduzieren können. Umgekehrt können ungesunde Ernährungsgewohnheiten, die reich an zuckerhaltigen Lebensmitteln, verarbeiteten Lebensmitteln und gesättigten Fetten sind, die Hautgesundheit negativ beeinflussen. Ein übermäßiger Konsum von Zucker kann zu Entzündungen führen und die Kollagenproduktion beeinträchtigen, was zu vorzeitiger Hautalterung und Hautproblemen wie Akne führen kann. Probiotika und die Darm-Haut-Verbindung Probiotika sind lebende Mikroorganismen, die eine Vielzahl von gesundheitlichen Vorteilen bieten, insbesondere für die Haut. Hier sind einige Möglichkeiten, wie Probiotika und eine gesunde Darmflora die Hautgesundheit verbessern können: Reduzierung von Entzündungen: Eine unausgewogene Darmflora kann zu einem Anstieg von entzündlichen Substanzen im Körper führen, was sich negativ auf die Haut auswirken kann. Probiotika tragen dazu bei, das Gleichgewicht der Darmflora wiederherzustellen und Entzündungen im Körper zu reduzieren. Indem sie die Produktion von entzündungshemmenden Substanzen fördern, können Probiotika dazu beitragen, Hautprobleme wie Akne, Rosazea und Ekzeme zu lindern. Stärkung des Immunsystems: Ein gesunder Darm spielt eine entscheidende Rolle bei der Stärkung des Immunsystems, da etwa 70% der Immunzellen des Körpers im Darm lokalisiert sind. Eine ausgewogene Darmflora unterstützt die Immunfunktion, indem sie schädliche Bakterien bekämpft und das Wachstum von gesunden Bakterien fördert. Ein starkes Immunsystem ist entscheidend für die Bekämpfung von Infektionen und Entzündungen, die sich positiv auf die Hautgesundheit auswirken können. Verbesserung der Hautbarriere: Die Darm-Haut-Verbindung spielt eine wichtige Rolle bei der Erhaltung der Hautbarriere, die die Haut vor äußeren Einflüssen schützt und Feuchtigkeitsverlust verhindert. Eine gesunde Darmflora trägt dazu bei, die Integrität der Hautbarriere aufrechtzuerhalten, indem sie die Produktion von kurzkettigen Fettsäuren fördert, die für die Hautgesundheit entscheidend sind. Eine intakte Hautbarriere ist wichtig für die Verhinderung von Hautproblemen wie Trockenheit, Rötung und Reizung. Förderung der Hautregeneration: Studien haben gezeigt, dass Probiotika die Hautregeneration unterstützen können, indem sie die Produktion von Kollagen und Elastin fördern. Diese Proteine sind wichtig für die Hautfestigkeit und Elastizität und tragen dazu bei, das Auftreten von feinen Linien und Falten zu reduzieren. Eine verbesserte Hautregeneration kann zu einem jugendlichen und strahlenden Hautbild führen. Antioxidantien und Vitamine für strahlende Haut Antioxidantien und Vitamine spielen eine entscheidende Rolle für eine strahlende und gesunde Haut, da sie dazu beitragen, die Haut vor schädlichen freien Radikalen zu schützen und sie vor vorzeitiger Alterung zu bewahren. Hier sind einige der besten Nährstoffe, die Deine Haut von innen heraus unterstützen können: Vitamin C Dieses leistungsstarke Antioxidans ist bekannt für seine Fähigkeit, die Haut vor schädlichen UV-Strahlen zu schützen und die Kollagenproduktion zu fördern. Vitamin C hilft auch dabei, dunkle Flecken und Hyperpigmentierung zu reduzieren, wodurch die Haut gleichmäßiger und strahlender wirkt. Vitamin E Ein weiteres starkes Antioxidans, das die Haut vor oxidativem Stress schützt und sie vor Schäden durch freie Radikale bewahrt. Vitamin E unterstützt die Hautfeuchtigkeit, verbessert die Elastizität und hilft, feine Linien und Falten zu reduzieren, was zu einem jugendlichen und strahlenden Teint führt. Beta-Carotin Diese Vorstufe von Vitamin A ist besonders vorteilhaft für die Haut, da es die Hautzellen vor UV-Schäden schützt und die Produktion neuer Hautzellen fördert. Beta-Carotin kann auch dazu beitragen, die Haut vor Trockenheit und Schuppenbildung zu schützen, indem es die natürliche Feuchtigkeitsbarriere stärkt. Weitere Antioxidantien Neben Vitamin C, Vitamin E und Beta-Carotin gibt es eine Vielzahl weiterer Antioxidantien, die für die Hautgesundheit wichtig sind. Dazu gehören Flavonoide, Polyphenole und Phytochemikalien, die in Lebensmitteln wie Beeren, grünem Tee, dunkler Schokolade und Kurkuma vorkommen. Diese Antioxidantien tragen dazu bei, die Haut vor Entzündungen zu schützen, die Kollagenproduktion zu stimulieren und die Hautstruktur zu verbessern. Polyphenole gelten wissenschaftlich mittlerweile als präbiotisch, d.h. sie unterstützen die Darmflora.  Omega-3-Fettsäuren: Der Schlüssel zu einer gesunden Hautbarriere Omega-3-Fettsäuren spielen eine entscheidende Rolle bei der Erhaltung einer gesunden Hautbarriere und tragen maßgeblich dazu bei, dass deine Haut strahlend und geschmeidig bleibt. Diese essentiellen Nährstoffe, die hauptsächlich in fettem Fisch wie Lachs, Makrele und Sardinen sowie in pflanzlichen Quellen wie Leinsamen, Chiasamen und Walnüssen vorkommen, bieten eine Reihe von Vorteilen für deine Hautgesundheit. Hautfeuchtigkeit bewahren: Omega-3-Fettsäuren sind wichtig für die Erhaltung der Lipidschicht der Haut, die eine natürliche Barriere bildet, um Feuchtigkeit einzuschließen und Austrocknung zu verhindern. Indem sie die Hautfeuchtigkeit bewahren, helfen Omega-3-Fettsäuren, Trockenheit und Schuppigkeit zu reduzieren und sorgen für ein geschmeidiges und gepflegtes Hautgefühl. Reduzierung von Entzündungen: Entzündungen spielen eine Schlüsselrolle bei der Entstehung von Hautproblemen wie Akne, Ekzemen und Rosazea. Omega-3-Fettsäuren haben entzündungshemmende Eigenschaften, die dazu beitragen können, Entzündungen zu reduzieren und die Haut zu beruhigen. Dies kann dazu beitragen, das Auftreten von Hautrötungen, Schwellungen und Irritationen zu minimieren und ein ebenmäßiges Hautbild zu fördern. Förderung der Zellerneuerung: Omega-3-Fettsäuren unterstützen die natürliche Regeneration der Hautzellen, indem sie die Produktion von Kollagen und Elastin fördern. Diese Proteine sind wichtig für die Hautfestigkeit und Elastizität, und ihre Förderung trägt dazu bei, feine Linien und Falten zu reduzieren und ein jugendliches Erscheinungsbild zu bewahren. Schutz vor UV-Schäden: Einige Studien legen nahe, dass Omega-3-Fettsäuren dazu beitragen können, die Haut vor den schädlichen Auswirkungen der UV-Strahlen zu schützen, indem sie die Hautzellen vor oxidativem Stress und DNA-Schäden bewahren. Dies kann dazu beitragen, das Risiko von Sonnenbrand, Sonnenflecken und vorzeitiger Hautalterung zu reduzieren und die allgemeine Gesundheit der Haut zu verbessern. Wasser: Der ultimative Feuchtigkeitsspender für die Haut Wasser ist nicht nur lebenswichtig für unsere allgemeine Gesundheit, sondern spielt auch eine entscheidende Rolle bei der Hydratation unserer Haut. Eine ausreichende Flüssigkeitszufuhr ist unerlässlich, um die Haut mit Feuchtigkeit zu versorgen und sie gesund und strahlend zu halten. Hier sind einige Gründe, warum Wasser der ultimative Feuchtigkeitsspender für die Haut ist und warum eine ausreichende Hydratation so wichtig ist: Hautfeuchtigkeit bewahren: Wasser ist der Hauptbestandteil der Hautzellen und des natürlichen Feuchtigkeitshaushalts der Haut. Durch die Aufrechterhaltung einer ausreichenden Flüssigkeitszufuhr können wir die Hautfeuchtigkeit bewahren und das Auftreten von Trockenheit, Schuppenbildung und Rissen reduzieren. Gut hydrierte Haut fühlt sich geschmeidig, weich und elastisch an und sieht strahlend und gesund aus. Toxine ausspülen: Wasser spielt eine wichtige Rolle bei der Ausscheidung von Toxinen und Abfallstoffen aus dem Körper. Durch ausreichendes Trinken werden die Nieren angeregt, Abfallprodukte aus dem Blut zu filtern und über den Urin auszuscheiden. Eine effiziente Entgiftung des Körpers kann dazu beitragen, das Auftreten von Hautproblemen wie Akne und Hautunreinheiten zu reduzieren und die allgemeine Gesundheit der Haut zu verbessern. Erhaltung der Hautelastizität: Ausreichende Flüssigkeitszufuhr ist entscheidend für die Erhaltung der Elastizität der Haut. Wenn die Haut nicht ausreichend mit Feuchtigkeit versorgt wird, kann sie ihre Elastizität verlieren und schlaff und faltig aussehen. Durch regelmäßiges Trinken von Wasser können wir die Spannkraft und Straffheit der Haut erhalten, was zu einem jugendlichen Erscheinungsbild beiträgt. Vorbeugung von Hautproblemen: Dehydrierte Haut neigt dazu, empfindlich und anfällig für Irritationen und Entzündungen zu sein. Eine ausreichende Flüssigkeitszufuhr kann dazu beitragen, das Risiko von Hautproblemen wie Rötungen, Juckreiz, Ekzemen und Dermatitis zu reduzieren. Gut hydrierte Haut ist widerstandsfähiger gegen äußere Reizstoffe und Umweltbelastungen, was zu einem gesünderen und klareren Hautbild führt. Der Artikel dient lediglich der Informationsvermittlung in Bezug auf Probiotika und soll nicht als medizinische Empfehlung oder als Ersatz für professionelle medizinische Beratung oder Behandlung interpretiert werden.  

    Tipps für eine gesunde Haut

    15 Tipps für gesunde Haut

    1. Nährstoffreiche Ernährung Für eine gesunde und strahlende Haut ist eine Ernährung, die reich an Obst und Gemüse ist, unverzichtbar. Diese Lebensmittel versorgen den Körper mit unerlässlichen Spurenelementen, wichtigen Vitaminen und Antioxidantien, die nicht nur die Hautgesundheit fördern, sondern auch der Faltenbildung entgegenwirken. Besonders wichtige Vitamine für eine schöne Haut sind: Vitamin C ist das Haut-Vitamin! Es kann für eine straffere Haut sorgen, da es die Festigkeit des Bindegewebes fördern kann. Es ist besonders reichhaltig in Zitrusfrüchten und Hagebutten zu finden. Vitamin E, das häufig in Nüssen zu finden ist, spielt eine entscheidende Rolle bei der Verzögerung des Hautalterungsprozesses. Vitamin A hingegen wirkt trockener und schuppiger Haut entgegen. 2. Darmgesundheit ist wichtig Neben Vitaminen und Spurenelementen spielen Probiotika und Präbiotika eine wesentliche Rolle für eine gesunde Haut. Probiotika, lebendige Mikroorganismen, können bei regelmäßiger und längerfristiger Einnahme das Gleichgewicht der Darmflora fördern, was nicht nur die Nährstoffaufnahme und das Immunsystem verbessert, sondern auch positiv auf die Haut ausstrahlt. Eine ausgewogene Darmflora unterstützt die Hautgesundheit, indem sie Entzündungsprozesse im Körper mindert, was zu einem strahlenderem Hautbild beiträgt. Präbiotika, unverdauliche Fasern und Polyphenole, ernähren die nützlichen Bakterien im Darm und stärken somit die Darmgesundheit. Durch eine Ernährung, die reich an prä- und probiotischen Lebensmitteln ist – wie Joghurt, Kefir und Sauerkraut für Probiotika sowie Vollkornprodukte, Zwiebeln und Knoblauch für Präbiotika –, kann sich die Hautqualität verbessern lassen. Probiotische Nahrungsergänzungsmittel können sinnvoll sein, besonders wenn die tägliche Ernährung nicht ausreichend probiotische Lebensmittel enthält oder bei spezifischen Darmgesundheitsbedürfnissen. Sie bieten eine konzentrierte Quelle an nützlichen Bakterien, die direkt das Gleichgewicht der Darmflora unterstützen können. Dies ist besonders wertvoll, da eine gesunde Darmflora eng mit der Hautgesundheit verknüpft ist und zur Prävention sowie Reduzierung von Hautentzündungen beitragen kann. 3. Hautreinigung Für eine strahlende und gesunde Haut ist eine gründliche Reinigung und Pflege unerlässlich. Täglich sammeln sich Make-up, Schweiß und natürliche Hautöle an, die entfernt werden müssen, um verstopfte Poren und die Vermehrung von Bakterien zu verhindern. Eine oberflächliche Reinigung allein genügt nicht. Stattdessen empfiehlt sich die Anwendung einer milden Reinigungsmilch, die dank ihrer fettlösenden Inhaltsstoffe gründlich reinigt. Nach der Anwendung der Reinigungsmilch ist es wichtig, diese mit klarem Wasser vollständig abzuspülen. Im Anschluss an die Reinigung ist die Verwendung eines Gesichtswassers ratsam. Dieses unterstützt die Regeneration des natürlichen Säureschutzmantels der Haut und entfernt übrig gebliebene Reinigungsreste. Bitte verwende möglichst sanfte Produkte, die Dein Hautmikrobiom nicht negative beeinflussen. 4. Vergiß nicht zu trinken Um die Haut gesund und frisch zu erhalten, ist eine ausreichende Hydratation mit täglich 1,5 bis 2 Litern Wasser wichtig. Da die Haut zu etwa 80% aus Wasser besteht, spielt dieses eine zentrale Rolle bei der Förderung der Durchblutung und der Anregung des Stoffwechsels, was zu einem lebendigen und gesunden Hautbild beiträgt. Eine hohe Flüssigkeitszufuhr verhindert zudem, dass die Haut austrocknet oder rissig wird, und stärkt ihre Widerstandsfähigkeit, während gleichzeitig Schadstoffe effektiver ausgeschieden werden können. 5. Ausreichender Schlaf Der Begriff "Schönheitsschlaf" ist weit mehr als nur ein Mythos, denn ausreichend Schlaf, besonders eine Nacht mit 7 bis 8 Stunden, spielt eine entscheidende Rolle für die Gesundheit und Ausstrahlung der Haut. Während der Tiefschlafphase werden zahlreiche Wachstumshormone freigesetzt, die unverzichtbar für die Regeneration der Hautzellen sind. Dies trägt dazu bei, dass die Haut frisch, erholt und lebendig erscheint. Ein Mangel an Schlaf hingegen kann schnell zu einem blassen und müden Hautbild führen, weshalb ausreichender und qualitativ hochwertiger Schlaf als fundamentaler Bestandteil einer effektiven Hautpflegeroutine nicht unterschätzt werden sollte. 6. Alkohol reduzieren Der Konsum von Alkohol entzieht dem Körper und insbesondere der Haut Feuchtigkeit und zerstört zudem die Zellen, die für die Entgiftungsprozesse verantwortlich sind. Das Ergebnis ist eine blasse und ungesund wirkende Haut. Besonders schädlich für die Haut sind alkoholische Getränke mit einem hohen Zuckergehalt, wie beispielsweise Cocktails. 7. Zigaretten weglassen Nikotin verengt die Blutgefäße und stellt somit eine Belastung für Herz und Kreislauf dar. Darüber hinaus beeinträchtigt es die adäquate Durchblutung der Haut, was zu weiteren negativen Effekten auf das Hautbild führen kann. 8. Peeling Hornschuppen können der Haut ein fahles und mattes Aussehen verleihen. Durch die Anwendung eines auf den individuellen Hauttyp abgestimmten Peelings werden abgestorbene Hautzellen enrfernt und wird die Durchblutung gefördert, was zu einem rosigen und gleichmäßigen Hautbild beiträgt. Ein Fruchtsäurepeeling kann speziell für ein glatteres Hautbild sorgen. Für optimale Ergebnisse sollte dieses Peeling mindestens einmal pro Woche durchgeführt werden. 9. Sonnenschutz Wusstest Du, dass ungeschützte Sonneneinstrahlung die Hauptursache vorzeitiger Hautalterung ist? Sonnenschäden können sofortige und langfristige Auswirkungen haben, darunter Sonnenbrand mit Symptomen von Rötung bis hin zu Blasenbildung. Langfristige Effekte umfassen trockene, schuppige Haut und einen fahlen Teint durch Feuchtigkeits- und Fettsäureverlust. Sonneneinwirkung fördert auch Pigmentflecken durch übermäßige Melaninproduktion und schädigt die Hautstrukturen wie Kollagen und Elastin, was zu vorzeitigen Alterungszeichen wie Falten führt. Zudem kann langfristige Sonnenexposition das Risiko für Hautkrebs erhöhen, was die Bedeutung von Sonnenschutz unterstreicht. Vermeide lange Sonnenbäder und den Besuch von Solarien. 10. Achtung Überpflegung Das Prinzip „Weniger ist mehr“ gilt ebenfalls für eine gesunde Hautpflege. Eine Überbeanspruchung durch zu viele verschiedene Produkte kann zu Hautirritationen führen. Es besteht auch die Gefahr, dass nicht aufeinander abgestimmte Inhaltsstoffe ihre Wirksamkeit einbüßen oder Hautreizungen verursachen. Übermäßiges Auftragen von Cremes und ähnlichen Produkten kann zudem die Poren verstopfen, was die Hautgesundheit weiter beeinträchtigt. 11. Frische Luft Das Einatmen frischer Luft versorgt uns nicht nur über die Lunge mit Sauerstoff. Tatsächlich absorbieren wir 95 Prozent durch die Atmung und fünf Prozent über unsere Haut. Dieser Sauerstoff fördert die Zellteilung, was dazu beiträgt, dass wir ein frisches und strahlendes Aussehen erhalten. Daher lohnt es sich, regelmäßig lange Spaziergänge zu unternehmen! 12. Keine Crash-Diäten Vermeide radikale Diäten, die zu extremen Gewichtsschwankungen führen, da diese die Elastizität Deiner Haut beeinträchtigen können. Starke Gewichtsveränderungen strapazieren die elastischen Fasern der Haut, was zu einem Verlust der Straffheit und Elastizität führen kann. Anstelle extremer Diätmaßnahmen ist es ratsam, einen ausgewogeneren Ansatz zu wählen, der eine gesunde Ernährung mit regelmäßiger körperlicher Aktivität kombiniert. Das Einbinden von Massagen und Sport in Deinen Lebensstil kann nicht nur beim gesunden Abnehmen unterstützen, sondern fördert auch die Durchblutung und hilft dabei, die Haut straff und elastisch zu halten. Massagen stimulieren zudem das Lymphsystem, was zur Entschlackung des Körpers beitragen kann, während regelmäßige Bewegung die allgemeine Gesundheit und das Wohlbefinden steigert. 13. Sorge für ausreichend Entspannung Stress kann zu einer erhöhten Produktion von Stresshormonen führen, die die Haut sensibler und anfälliger für Hautprobleme wie Akne und Ekzeme machen können. Praktiziere regelmäßig Entspannungstechniken wie Meditation, Yoga oder Atemübungen, um Stress abzubauen und Deine Haut zu beruhigen. 14. Konsultiere einen Dermatologen Wenn Du langerfristig Hautprobleme hast oder Veränderungen bemerkst, die Dich beunruhigen, solltest Du einen Dermatologen aufsuchen. 15. Gute Laune Das Beste zum Schluß: Unsere Haut reflektiert oft unseren seelischen Zustand. Das bedeutet, dass unsere psychische Gesundheit sich direkt auf unser Hautbild auswirken kann. Daher ist es wichtig, Dinge zu tun, die uns glücklich machen, um nicht nur unser Wohlbefinden zu steigern, sondern auch um eine gesunde und strahlende Haut zu fördern.  Der Artikel dient lediglich der Informationsvermittlung in Bezug auf Probiotika und soll nicht als medizinische Empfehlung oder als Ersatz für professionelle medizinische Beratung oder Behandlung interpretiert werden.

    Hautunreinheiten

    Hautunreinheiten: Ursachen, Behandlung und Pflegetipps

    Wie entstehen Hautunreinheiten? Hautunreinheiten, wie Pickel, Mitesser oder Akne, entstehen hauptsächlich durch eine Kombination aus verstopften Poren, übermäßiger Talgproduktion und Bakterien. Hier ist eine einfache Erklärung der Prozesse, die zu Hautunreinheiten führen können: Übermäßige Talgproduktion: Die Haut enthält Talgdrüsen, die eine ölige Substanz namens Talg produzieren. Talg hilft, die Haut geschmeidig zu halten und vor Austrocknung zu schützen. Manchmal produzieren diese Drüsen jedoch zu viel Talg, was zu Problemen führen kann. Verstopfung der Poren: Die Poren sind kleine Öffnungen auf der Hautoberfläche, durch die Talg auf die Haut gelangt. Wenn sich tote Hautzellen, Schmutz und überschüssiger Talg ansammeln, können die Poren verstopfen. Dies führt oft zu Mitessern (offene verstopfte Poren) oder Whiteheads (geschlossene verstopfte Poren). Bakterienwachstum: Auf der Haut leben natürlich Bakterien, einschließlich einer Art namens Propionibacterium acnes (P. acnes), die in fettigen Hautregionen gedeihen. Wenn Poren verstopft sind, entsteht ein idealer Nährboden für diese Bakterien, die sich vermehren und Entzündungen verursachen können. Dies führt zur Bildung von Pickeln oder tiefer liegenden Entzündungen, bekannt als Akne. Entzündungsreaktion: Der Körper reagiert auf die Bakterienvermehrung und die Verstopfung der Poren mit einer Entzündung. Das Immunsystem sendet weiße Blutkörperchen, um die Bakterien zu bekämpfen, was zu Rötungen, Schwellungen und manchmal Schmerzen führt – die typischen Zeichen eines Pickels. Hormonelle Faktoren: Hormonschwankungen, besonders während der Pubertät, Schwangerschaft oder Menstruationszyklus, können die Talgproduktion beeinflussen und die Wahrscheinlichkeit von Hautunreinheiten erhöhen. Durch eine Kombination dieser Faktoren können Hautunreinheiten entstehen. Ursachen von Hautunreinheiten Die Ursachen von Hautunreinheiten können vielfältig sein und hängen oft von individuellen Faktoren ab. Hier sind einige der häufigsten Ursachen: Hormonelle Veränderungen: Schwankungen im Hormonspiegel können zu übermäßiger Talgproduktion führen, was die Poren verstopfen kann. Genetische Veranlagung: Eine Veranlagung zu Hautunreinheiten kann oft vererbt werden. Unzureichende Hautpflege: Eine unsachgemäße Reinigung der Haut kann dazu führen, dass Schmutz, Öl und abgestorbene Hautzellen die Poren verstopfen. Ernährung: Eine unausgewogene Ernährung, insbesondere der übermäßige Konsum von fettigen oder zuckerhaltigen Lebensmitteln, kann Hautunreinheiten begünstigen. Darmgesundheit: Eine ungesunde Darmflora kann die Ursache für Hautunreinheiten sein, da Darmprobleme oft Entzündungen und damit verbundene Hautprobleme verursachen. Probiotika und ballaststoffreiche Kost unterstützen eine klare Haut. Stress: Hoher Stresspegel kann zu hormonellen Veränderungen führen und die Talgproduktion erhöhen. Verwendung von ungeeigneten Kosmetikprodukten: Bestimmte Kosmetikprodukte können die Poren verstopfen und Hautunreinheiten fördern. Es ist wichtig, die individuellen Ursachen für Hautunreinheiten zu identifizieren, um geeignete Behandlungs- und Präventionsmaßnahmen ergreifen zu können. Eine Kombination aus einer angemessenen Hautpflege, einer gesunden Ernährung und einem stressfreien Lebensstil kann dazu beitragen, Hautunreinheiten zu reduzieren und das Hautbild zu verbessern. Hautunreinheiten und Darmgesundheit Hautunreinheiten und Darmgesundheit stehen in enger Verbindung, da der Zustand des Darms signifikanten Einfluss auf die Hautgesundheit haben kann. Eine unausgewogene Darmflora kann Entzündungen im Körper fördern, die sich auch auf die Haut auswirken und zu Akne, Ekzemen oder anderen Hautproblemen führen können. Die Förderung einer gesunden Darmflora durch eine ausgewogene Ernährung, reich an Ballaststoffen, fermentierten Lebensmitteln und probiotischen Nahrungsergänzungen, wie die von within, kann helfen, die Haut von innen heraus zu klären und das Auftreten von Hautunreinheiten zu reduzieren. Was hilft bei einer unreinen Haut? Bei unreiner Haut kann eine Kombination aus sorgfältiger Hautpflege, Lebensstiländerungen und gegebenenfalls medizinischen Behandlungen helfen, das Hautbild zu verbessern. Hier sind einige Tipps: Sanfte Hautreinigung: Reinige dein Gesicht zweimal täglich mit einem milden Reinigungsmittel, um überschüssigen Talg und Schmutz zu entfernen, ohne die Haut zu reizen. Verwenden von nicht-komedogenen Produkten: Achte darauf, dass alle Hautpflege- und Make-up-Produkte, die du verwendest, nicht-komedogen sind, um das Verstopfen der Poren zu vermeiden. Regelmäßiges Peeling: Ein sanftes Peeling kann helfen, tote Hautzellen zu entfernen und die Hauterneuerung zu fördern. Übertreibe es jedoch nicht, da zu häufiges Peeling die Haut reizen kann. Feuchtigkeit spenden: Auch ölige Haut benötigt Feuchtigkeit. Verwende eine leichte, ölfreie Feuchtigkeitscreme, um die Haut zu hydratisieren. Ausgewogene, Darmflora-fördernde Ernährung: Eine gesunde, ausgewogene Ernährung, die reich an Probiotika und Präbiotika aus Obst, Gemüse und Vollkornprodukten ist und zuckerreiche sowie fettige Speisen minimiert, kann das Hautbild positiv beeinflussen. Genügend Wasser trinken: Ausreichende Flüssigkeitszufuhr ist wichtig für eine gesunde Haut. Stressmanagement: Stress kann Hautprobleme verschlimmern. Finde Wege, um Stress zu reduzieren, wie z.B. regelmäßige Bewegung, Yoga oder Meditation. Vorsicht vor Sonnenexposition: Schütze deine Haut vor zu viel Sonne mit einem Breitband-Sonnenschutzmittel, um Schäden und vorzeitige Alterung zu vermeiden. Nicht an der Haut herumdrücken: Vermeide es, Pickel oder Mitesser auszudrücken, da dies zu Entzündungen, Infektionen und Narben führen kann. Finger aus dem Gesicht: Finger aus dem Gesicht: Da sich auf den Handflächen zahlreiche Bakterien ansammeln, ist es essenziell, die Hände regelmäßig zu waschen. Zudem sollten Sie separate Handtücher für Ihr Gesicht und Ihre Hände benutzen, um die Übertragung von Bakterien zu minimieren. Medizinische Behandlungen: Bei schwerer oder anhaltender unreiner Haut solltest du einen Dermatologen aufsuchen. Es gibt verschiedene medizinische Behandlungen und Medikamente, wie topische Retinoide, Antibiotika oder hormonelle Therapien, die effektiv sein können. Die Kombination aus richtiger Hautpflege und einem gesunden Lebensstil kann einen großen Unterschied machen. In schweren Fällen oder bei Zweifeln ist es jedoch immer ratsam, professionelle Hilfe in Anspruch zu nehmen. Unreine Haut - die richtige Pflege kann helfen Trotz der perfekten Bilder, die Fotofilter und Social-Media-Plattformen uns glauben machen wollen, ist es eine Realität, dass nur wenige von uns das Glück perfekt reiner Haut genießen. Pickel, Mitesser oder sogar Akne sind für die meisten Menschen keine Seltenheit. Doch keine Sorge, nicht bei jedem Pickel ist ein Arztbesuch notwendig.  Oftmals reicht es aus, Deine Ernährungs- und Lebensgewohnheiten zu überdenken oder die betroffene Haut mit den passenden Produkten aus Drogerie oder Apotheke eigenständig zu behandeln.  Die Auswahl der geeigneten Produkte richtet sich dabei nach Deinem individuellen Hauttyp: Für normale Haut: Diese Haut ist der Idealzustand, weder zu fettig noch zu trocken und somit recht pflegeleicht. Hautunreinheiten treten seltener auf, können jedoch durch Hormonschwankungen, ungeeignete Pflegeprodukte oder durch klimatisierte bzw. beheizte Räume begünstigt werden. Eine sanfte Reinigungsmilch gefolgt von einem Gesichtswasser kann in solchen Fällen Abhilfe schaffen. Für fettige Haut: Kennzeichnend für fettige Haut sind erweiterte Poren und ein glänzendes Erscheinungsbild, zudem neigt sie zu Unreinheiten und Akne. Diese Hautbeschaffenheit kann genetisch bedingt sein oder durch Hormonveränderungen bzw. Medikation entstehen. Aufgrund ihrer Robustheit verträgt fettige Haut in der Regel Waschgele, alkoholhaltige Gesichtswasser und austrocknende Pflegeprodukte gut. Für trockene Haut: Trockene Haut zeichnet sich durch eine verringerte Schutzbarriere aus und bedarf daher einer besonders sanften Pflege. Hier stehen weniger Unreinheiten im Vordergrund als vielmehr Irritationen, feine Linien und Entzündungen. Sanfte Reinigungsprodukte und reichhaltige Pflegeprodukte helfen, das Spannungsgefühl zu lindern und die Haut zu beruhigen. Für Mischhaut: Charakteristisch für Mischhaut ist eine fettige T-Zone (Stirn, Nase, Kinn), während die restliche Haut tendenziell trocken ist. Dies erfordert eine ausgeklügelte Pflegeroutine, die beiden Hauttypen gerecht wird. Indem Du Produkte wählst, die zu Deinem Hauttyp passen, kannst Du effektiv zur Verbesserung deines Hautbildes beitragen und Hautunreinheiten gezielt entgegenwirken. Verpasse nicht Deine Chance auf Gesundheit & Exklusivangebote! Erhalte Top-Tipps rund um Deine Darmgesundheit, sei bei Aktionen ganz vorne dabei und sichere Dir 10% Rabatt auf die erste Bestellung. Wir freuen uns auf Dich! Was gibt es für Hautunreinheiten? Hautunreinheiten können in verschiedenen Formen auftreten, abhängig von den zugrunde liegenden Ursachen und der individuellen Hautbeschaffenheit. Hier sind einige der häufigsten Arten von Hautunreinheiten: Mitesser (offene Komedonen): Kleine, dunkle Punkte auf der Haut, die entstehen, wenn Poren mit Talg und abgestorbenen Hautzellen verstopft sind. Die dunkle Farbe resultiert nicht aus Schmutz, sondern aus der Oxidation des Talgs an der Luft. Whiteheads (geschlossene Komedonen): Ähnlich wie Mitesser, aber die Pore ist vollständig verstopft, was zu einem kleinen, weißen oder hautfarbenen Knötchen führt. Pickel (Papeln): Kleine, rote und entzündete Erhebungen auf der Haut, die oft schmerzhaft sind. Sie entstehen, wenn die Wand der verstopften Pore bricht und eine Entzündung verursacht. Pusteln: Ähnlich wie Pickel, aber mit einem weißen oder gelben Eiter gefüllt, der durch bakterielle Aktivität entsteht. Zysten: Tiefe, schmerzhafte, mit Eiter gefüllte Knötchen unter der Haut, die aus schwereren Entzündungen resultieren. Zysten können Narben hinterlassen. Knoten: Große, feste, schmerzhafte Erhebungen unter der Haut, die durch eine tiefe Entzündung oder Infektion in den Haarfollikeln oder Talgdrüsen entstehen. Hormonelle Unreinheiten: Oft im Zusammenhang mit dem Menstruationszyklus, Schwangerschaft oder hormonellen Störungen. Diese Art von Unreinheiten tritt typischerweise im Kinn- und Kieferbereich auf. Akne: Eine Hauterkrankung, die durch eine Kombination von Faktoren, einschließlich übermäßiger Talgproduktion, Verstopfung der Haarfollikel, Bakterienwachstum und Entzündungen charakterisiert ist. Akne kann in leichten bis schweren Formen auftreten und verschiedene Arten von Hautunreinheiten umfassen. Texturunregelmäßigkeiten: Dazu gehören raue Bereiche, Schuppenbildung oder Unebenheiten, die durch eine Vielzahl von Faktoren, einschließlich trockener Haut oder Keratose Pilaris, verursacht werden können. Hyperpigmentierung und Aknenarben: Dunkle Flecken oder Narben, die nach dem Abklingen von Akne oder anderen Hautunreinheiten zurückbleiben. Die Behandlung und Pflege der Haut variiert je nach Art und Schwere der Hautunreinheiten. In vielen Fällen kann eine Kombination aus guter Hautpflege, gesunder Ernährung und medizinischen Behandlungen zu einer deutlichen Verbesserung des Hautbildes führen. Für eine klare und gesunde Haut spielt die Ernährung eine entscheidende Rolle. Indem man bestimmte Nahrungsmittel meidet und andere bevorzugt, kann man die Entstehung von Hautunreinheiten wirksam beeinflussen. Hier sind grundlegende Richtlinien für eine hautfreundliche Ernährung: Zu vermeiden: Zuckerreiche Lebensmittel: Der Verzehr von Süßigkeiten, Limonaden und anderen zuckerhaltigen Produkten sollte eingeschränkt werden, da sie das Risiko von Hautunreinheiten erhöhen können. Fettreiche Speisen: Lebensmittel wie Pizza, Fast Food und frittierte Gerichte können die Hautqualität negativ beeinflussen. Ein maßvoller Umgang wird empfohlen. Alkohol und Nikotin: Beide können die Hautgesundheit beeinträchtigen und sollten daher reduziert oder ganz vermieden werden. Zu bevorzugen: Probiotische Lebensmittel: Sie unterstützen ein gesundes Darmmikrobiom, was sich positiv auf die Haut auswirkt, noch effektiver können hochwertige Probiotika sein. Wasserreiches Obst und Gemüse: Lebensmittel wie Wassermelone, Gurken und Beeren versorgen die Haut mit Feuchtigkeit und wichtigen Nährstoffen. Omega-3-Fettsäuren: Fischsorten wie Lachs und Makrele sowie Leinsamen und Walnüsse wirken entzündungshemmend und können so Hautunreinheiten vorbeugen. Vollkornprodukte und Nüsse: Diese stabilisieren den Blutzuckerspiegel und liefern essentielle Mineralien und Vitamine, die die Hautgesundheit unterstützen. Antioxidantien-reiche Lebensmittel: Grüner Tee, dunkle Schokolade und Tomaten schützen die Haut vor freien Radikalen. Vitamin-C-reiche Lebensmittel: Sie fördern die Kollagenproduktion und unterstützen eine straffe Haut. Zinkhaltige Lebensmittel: Kürbiskerne und Linsen unterstützen die Wundheilung und bekämpfen Entzündungen. Vitamin-A-reiche Lebensmittel: Beta-Carotin, das in Süßkartoffeln und Karotten enthalten ist, fördert die Hauterneuerung. Ausreichende Flüssigkeitszufuhr: Wasser und ungesüßte Tees halten die Haut hydratisiert. Eine ausgewogene Ernährung, die diese Empfehlungen berücksichtigt, kann die Hautgesundheit signifikant verbessern und das Auftreten von Unreinheiten reduzieren. Achte dabei besoners auf die Darmgesundheit, denn hier ist sich die wissenschaft einig, für eine gesunde Haut benötigt es einen gesunden Darm! Was hilft bei Hautunreinheiten? Um Hautunreinheiten effektiv loszuwerden und ein klareres Hautbild zu erzielen, ist eine umfassende Pflege und gesunder Lebensstil unerlässlich. Beginnen solltest Du mit einer gründlichen, aber sanften Reinigung deines Gesichts sowohl morgens als auch abends, um überschüssigen Talg, Schmutz und abgestorbene Hautzellen zu entfernen. Ergänze Deine Routine durch die Verwendung von Hautpflegeprodukten, die speziell auf deinen Hauttyp abgestimmt sind, und achte darauf, dass Inhaltsstoffe wie Salicylsäure, Benzoylperoxid oder Teebaumöl enthalten sind, die bei der Bekämpfung von Akne hilfreich sein können. Ein sanftes Peeling ein- bis zweimal pro Woche kann dabei helfen, verstopfte Poren zu reinigen und die Hauterneuerung zu fördern. Vergiss nicht, Deine Haut täglich mit einer leichten, nicht-komedogenen Feuchtigkeitscreme zu hydratisieren, um sie geschmeidig zu halten, ohne die Poren zu verstopfen. Eine gesunde Ernährung, reich an Vitaminen und Mineralien, sowie genügend Wasser tragen zusätzlich zu einer gesunden Haut bei. Außerdem sollt die Ernährung Deine Darmflora optimal unterstützen, denn viele Hauterkrankungen haben ihre Ursache im Darm. Schädliche Gewohnheiten wie der Konsum von Alkohol und Nikotin sollten reduziert oder besser ganz vermieden werden, da sie die Hautqualität beeinträchtigen können. Auch Stress ist ein bekannter Auslöser für Hautunreinheiten, weswegen Stressmanagement-Techniken wie Meditation, Yoga oder regelmäßige körperliche Aktivität empfehlenswert sind. Darüber hinaus ist ein angemessener Sonnenschutz wichtig, um die Haut vor schädlichen UV-Strahlen zu schützen und Schäden sowie vorzeitige Alterung zu vermeiden. Ein weiterer wichtiger Punkt ist, nicht an Unreinheiten herumzudrücken, da dies zu Entzündungen, Infektionen und Narben führen kann. Bei schweren Hautproblemen kann der Besuch bei einem Dermatologen und die Inanspruchnahme professioneller Behandlungen wie chemisches Peeling, Mikrodermabrasion oder Lasertherapie sinnvoll sein. Doch unabhängig von der gewählten Methode ist Geduld gefragt; Verbesserungen zeigen sich oft erst nach einiger Zeit konsequenter Pflege. Zusammenfassend lässt sich sagen, dass eine Kombination aus sorgfältiger Hautpflege, gesunder Ernährung, bewusstem Umgang mit schädlichen Einflüssen und professioneller Beratung der Schlüssel zu einer reinen Haut ist. Indem Du diese Praktiken in Deinen Alltag integrierst, kannst Du effektiv zur Reduzierung von Hautunreinheiten beitragen und das Erscheinungsbild Deiner Haut langfristig verbessern. Hautunreinheiten im Gesicht Das Gesicht ist eine der am stärksten von Hautunreinheiten betroffenen Bereiche. Verschiedene Arten von Hautunreinheiten können im Gesicht auftreten und die Hautgesundheit sowie das äußere Erscheinungsbild beeinträchtigen. Eine häufige Form von Hautunreinheiten im Gesicht sind Mitesser, auch bekannt als Whiteheads und Blackheads. Mitesser entstehen durch die Verstopfung der Haarfollikel aufgrund von überschüssigem Talg und abgestorbenen Hautzellen. Whiteheads sind geschlossene Mitesser, während Blackheads offene Mitesser sind. Weitere Arten von Hautunreinheiten im Gesicht umfassen Pusteln, Papeln, Zysten, Knötchen und Milien. Jede dieser Formen hat ihre eigenen charakteristischen Merkmale und erfordert spezifische Ansätze zur Pflege und Behandlung. Die Ursachen von Hautunreinheiten im Gesicht können vielfältig sein. Hormonelle Veränderungen, falsche Hautpflege und äußere Einflüsse wie Umweltverschmutzung können zu Hautunreinheiten führen. Es ist wichtig zu beachten, dass die Behandlung von Hautunreinheiten Zeit und Geduld erfordern kann. Es ist auch ratsam, einen Dermatologen zu konsultieren, um eine individuelle Behandlungsstrategie zu entwickeln, die auf Ihre spezifischen Bedürfnisse zugeschnitten ist. Behandlung von Hautunreinheiten Die Behandlung von Hautunreinheiten erfordert eine individuelle Herangehensweise, da jeder Hautzustand unterschiedliche Eigenschaften aufweist. Hier sind einige effektive Methoden zur Behandlung von Hautunreinheiten: Reinigung: Eine gründliche Gesichtsreinigung ist der erste Schritt bei der Behandlung von Hautunreinheiten. Verwende milde Reinigungsprodukte, die die Haut nicht austrocknen, und reinige Dein Gesicht zweimal täglich. Exfoliation: Das regelmäßige Entfernen abgestorbener Hautzellen durch sanftes Peeling kann dabei helfen, verstopfte Poren zu öffnen und Hautunreinheiten zu reduzieren. Verwende jedoch keine aggressiven Peelings, da diese die Haut reizen können. Topische Behandlungen: Es gibt verschiedene topische Behandlungen, die bei der Bekämpfung von Hautunreinheiten helfen können. Dazu gehören Salben, Cremes und Gele, die Inhaltsstoffe wie Benzoylperoxid, Salicylsäure oder Retinol enthalten. Diese Behandlungen können dabei helfen, Entzündungen zu reduzieren und die Haut zu klären. Sorgfältige Auswahl von Produkten: Bei der Behandlung von Hautunreinheiten ist es wichtig, auf die Auswahl der richtigen Produkte zu achten. Verwende fettfreie oder nicht komedogene Produkte, die die Poren nicht verstopfen. Achte auch auf die Inhaltsstoffe und vermeide Produkte, die Ihre Haut reizen könnten. Dermatologische Behandlungen: Bei schwereren Fällen von Hautunreinheiten kann ein Dermatologe verschiedene Behandlungsoptionen anbieten, wie z.B. chemische Peelings, Lasertherapie oder Injektionen. Diese Behandlungen sollten jedoch nur unter ärztlicher Aufsicht durchgeführt werden. Darmflora ins Gleichgewicht bekommen: Da viele Hauterkrankungen und auch Hautunreinheiten ihre Ursache im Darm haben können, achte durch Ernährung und entsprechende Nahrungsergänzungen darauf, Deine Darmflora zu unterstützen, Hochwertige Nahrungsergänzun gen können eine tolle Unterstützung sein. Produktempfehlungen zur Hautreinigung Die richtige Hautreinigung ist entscheidend, um Hautunreinheiten zu bekämpfen und die Hautgesundheit zu verbessern. Hier sind einige Produktempfehlungen, die Ihnen dabei helfen können: Gesichtsreinigungsgel: Ein sanftes Gesichtsreinigungsgel ist ideal, um Schmutz, überschüssiges Öl und Unreinheiten von der Haut zu entfernen. Wähle ein Produkt, das auf Deine Hautbedürfnisse abgestimmt ist, wie z.B. für fettige Haut oder empfindliche Haut. Gesichtsbürste: Eine elektrische Gesichtsbürste kann bei der gründlichen Reinigung der Haut helfen, indem sie abgestorbene Hautzellen und Verunreinigungen effektiv entfernt. Achte jedoch darauf, die Bürste nicht zu hart zu verwenden, um Hautirritationen zu vermeiden. Toner: Ein hautklärender Toner kann dabei helfen, die Haut zu beruhigen, die Poren zu verkleinern und den pH-Wert der Haut auszugleichen. Wähle ein Produkt ohne Alkohol, um die Haut nicht auszutrocknen. Gesichtsmasken: Peel-Off-Masken oder Tonmasken können dabei helfen, überschüssiges Öl zu entfernen und die Poren zu reinigen. Achte darauf, eine Maske zu wählen, die für Deinen Hauttyp geeignet ist. Feuchtigkeitscreme: Eine leichte Feuchtigkeitscreme ist wichtig, um die Haut mit ausreichend Feuchtigkeit zu versorgen und sie geschmeidig zu halten. Wähle eine ölfreie Formel, um die Poren nicht zu verstopfen. Denke daran, dass jeder Hauttyp unterschiedliche Bedürfnisse hat. Teste verschiedene Produkte, um herauszufinden, welche am besten zu Deiner Haut passt. Hormonelle Verhütungsmittel und Hautunreinheiten Hormonelle Verhütungsmittel wie die Pille können einen Einfluss auf das Auftreten von Hautunreinheiten haben. Dies liegt daran, dass hormonelle Veränderungen, die durch diese Medikamente verursacht werden, die Talgproduktion beeinflussen können. Einige Frauen bemerken möglicherweise eine Verschlechterung ihrer Hautzustände, während andere möglicherweise eine Verbesserung feststellen. Es ist wichtig zu beachten, dass nicht jeder die gleiche Reaktion auf hormonelle Verhütungsmittel hat. Manche Frauen stellen fest, dass ihre Hautunreinheiten unter der Einnahme solcher Medikamente abnehmen, während andere eine Zunahme der Hautprobleme feststellen. Die Reaktion kann auch von der Art der verwendeten Pille abhängen. Wenn hormonelle Verhütungsmittel bei einer Frau Hautprobleme verursachen oder verschlimmern, kann es ratsam sein, mit einem Arzt über alternative Verhütungsmethoden zu sprechen. Es gibt verschiedene andere Optionen wie hormonfreie Verhütungsmittel oder nicht-hormonelle Intrauterinpessare (IUP), die möglicherweise weniger Auswirkungen auf die Haut haben. Es ist wichtig zu betonen, dass eine individuelle Beratung mit einem Arzt erforderlich ist, um die richtige Verhütungsmethode zu finden, die sowohl den individuellen Bedürfnissen als auch den Hautproblemen einer Frau gerecht wird. Die Wahl der Verhütungsmittel sollte nicht nur auf der Basis von Hautproblemen getroffen werden, sondern auch unter Berücksichtigung anderer Gesundheitsaspekte. Wann solltest Du zum Arzt mit Hautunreinheiten? Hautunreinheiten sind ein alltägliches Phänomen, doch nicht jeder Hautausschlag erfordert den Gang zum Dermatologen. Es gibt jedoch bestimmte Anzeichen, bei denen professionelle Hilfe ratsam ist. Solltest Du anhaltend unter unreiner Haut leiden, sich ausgedehnte Bereiche mit Mitessern und Pickeln über einen längeren Zeitraum nicht verbessern, oder treten gar großflächige Entzündungen, Knötchen oder Bläschen auf, ist es Zeit, medizinischen Rat einzuholen. Eigenständiges Ausdrücken kann die Situation verschlimmern, indem es zu weiteren Entzündungen und möglicherweise zu bleibenden Narben führt. Ein Facharzt kann eine gezielte Behandlung empfehlen, um die Haut langfristig zu verbessern und Schäden vorzubeugen. Der Artikel dient lediglich der Informationsvermittlung in Bezug auf Probiotika und soll nicht als medizinische Empfehlung oder als Ersatz für professionelle medizinische Beratung oder Behandlung interpretiert werden.

    Probiotische Hautpflege

    Probiotische Hautpflege

    Was sind Probiotika eigentlich? Probiotika sind spezielle Zubereitungen, die lebendige Mikroorganismen enthalten, was aus dem Griechischen übersetzt „für das Leben“ bedeutet. Diese Mikroorganismen spielen eine wichtige Rolle für eine gesunde Darmflora. Natürlicherweise finden sich Probiotika in verschiedenen Nahrungsquellen wie Joghurt, ausgewählten Käsesorten und Sauerkraut. Probiotika können durch Nahrungsergänzungen oft effektiver aufgenommen werden als durch Lebensmittel, da sie in konzentrierter Form und genau definierten Mengen bereitgestellt werden, die für eine gezielte Unterstützung der Darmflora optimiert sind. Probiotika finden zunehmend auch in der Hautpflege Verwendung, um die Hautgesundheit zu fördern, allerdings dürfen da bislang nur Lysate und Stoffwechselprodukte von Probiotika verwendet werden. Wichtig zu wissen: Der Unterschied zwischen Probiotika und Präbiotika: Während Probiotika lebendige Mikroorganismen darstellen, handelt es sich bei Präbiotika um nicht verdauliche Ballaststoffe, die als Nahrung für Darmbakterien dienen und deren Wachstum anregen. Die Bedeutung des Hautmikrobioms Das Hautmikrobiom bezeichnet die Gesamtheit aller Mikroorganismen, wie Bakterien, Pilze und Viren, die auf unserer Haut leben. Jede Person hat eine einzigartige mikrobielle Gemeinschaft, die entscheidend für die Gesundheit der Haut ist. Diese Mikroorganismen spielen eine wichtige Rolle bei der Regulierung des pH-Werts, der Stärkung der Hautbarriere und dem Schutz vor schädlichen Eindringlingen. Ein gesundes und ausgewogenes Hautmikrobiom ist daher für die Aufrechterhaltung einer gesunden Haut unerlässlich. Faktoren wie schlechte Ernährung, aggressive Reinigungsmittel und unzureichende Hautpflege können das Gleichgewicht des Hautmikrobioms stören und zu Problemen wie Trockenheit, Reizungen und Entzündungen führen. Darm-Haut-Achse Die Darm-Haut-Achse beschreibt die enge Verbindung zwischen unserem Darm und der Haut. Störungen im Darm können sich negativ auf die Haut auswirken und zu Hauterkrankungen wie Ekzemen, Rosacea oder Schuppenflechte führen. Die gute Nachricht ist, dass die Verbesserung der Darmgesundheit durch probiotische Nahrungsergänzungen auch die Hautgesundheit positiv beeinflussen kann. Probiotika unterstützen das Gleichgewicht im Darm, reduzieren Entzündungen und führen zu einer klareren, gesünderen Haut. Indem wir auf die Gesundheit unseres Darms achten, fördern wir also auch das Wohlbefinden unserer Haut, was die Widerstandsfähigkeit gegen äußere Einflüsse steigert und das Risiko von Hautproblemen verringert.  Wie gerät unsere Hautflora aus dem Gleichgewicht? Die Zusammensetzung der Hautflora, einzigartig und komplex, ist sensibel gegenüber Veränderungen. Verschiedene Faktoren, sowohl von innen als auch von außen, können das Gleichgewicht des Hautmikrobioms stören: UV-Strahlen der Sonne Luftverschmutzung durch Feinstaub Nikotinkonsum Emotionaler und physischer Stress Schlafdefizit Hormonelle Veränderungen einseitige, ungesunde Ernährung Stress Die Einnahme spezifischer Medikamente Auch ungeeignete Hautpflegeprodukte können die Balance der Hautflora beeinträchtigen. Eine gestörte Hautflora kann zu Rötungen, Trockenheit, Sensibilität, vorzeitiger Hautalterung, sowie einer Neigung zu Akne und anderen entzündlichen Hautproblemen führen. Wie beeinflussen Probiotika die Haut? Probiotika spielen eine entscheidende Rolle beim Wiederaufbau und der Erhaltung des natürlichen Gleichgewichts der Hautflora. Forschungen zeigen, dass diese Mikroorganismen sowohl direkte als auch indirekte positive Effekte auf die Haut ausüben können. Sie sind effektiv darin, eine Vielzahl von Hautproblemen zu lindern und deren typische Symptome zu reduzieren, einschließlich derer, die durch UV-Strahlung verursacht oder bei oberflächlichen Hautverletzungen auftreten. Probiotische Hautpflegeprodukte sind für alle Hauttypen geeignet und tragen zu einem gesunden, makellosen Hautbild bei. Milchsäurebakterien und die Haut Milchsäurebakterien, auch als Lactobacillales bekannt, sind besonders wertvoll für trockene und sensible Hauttypen. So zeigte beispielsweise eine Studie, dass die Anwendung von Lactobacillus brevis auf der Haut über vier Wochen hinweg Trockenheitssymptome effektiv mildern und entzündungshemmende Effekte aufweisen kann. Zudem wurde beobachtet, dass dieses Bakterium die Haut mit nützlichen Mikroorganismen anreichert, was die Hautgesundheit zusätzlich unterstützt. Hautschutzbarriere stärken Die Stärkung der Hautschutzbarriere ist essentiell für ein gesundes und strahlendes Hautbild. Die äußerste Schicht unserer Haut, das Stratum corneum, arbeitet zusammen mit dem Hydrolipidfilm und dem Haut-Mikrobiom, um uns vor externen Schadstoffen zu schützen und die Hautfeuchtigkeit zu bewahren. Faktoren sowohl von innen als auch von außen können diese wichtige Barriere schwächen. Hautschutzbarriere stärken Das Haut-Mikrobiom bildet zusammen mit dem Hydrolipidfilm eine essenzielle Schutzschicht auf der obersten Hautschicht, dem Stratum corneum. Diese natürliche Barriere, verstärkt durch körpereigene Fette, schützt effektiv vor Umwelteinflüssen und hilft, die Hautfeuchtigkeit zu bewahren, was für ein glattes und gesundes Hautbild unerlässlich ist. Allerdings können sowohl interne als auch externe Faktoren diese wichtige Schutzfunktion beeinträchtigen. Um die Hautbarriere zu stärken, sind Pflegeprodukte von innen und außen mit wirksamen Inhaltsstoffen gefragt. Hautidentische Lipide wie Ceramide, Feuchtigkeitsbooster wie Hyaluronsäure oder Urea und Antioxidantien sind dabei entscheidend, um die Hautbarriere zu unterstützen und gleichzeitig der Hautalterung entgegenzuwirken. Eine gesunde und nährstoffreiche Ernährung spielt eine zentrale Rolle für ein vitales Hautbild und einen leuchtenden Teint. Es ist entscheidend, dass Sie Ihrer Haut durch den Verzehr von frischem Obst und Gemüse ausreichend Vitamine zuführen. Ebenso tragen ungesättigte Fettsäuren, die in Nüssen, hochwertigen Pflanzenölen und Fisch enthalten sind, zu einer gesunden Haut bei. Zur Unterstützung des Haut-Mikrobioms können folgende probiotische Nahrungsmittel beitragen: Rohes Sauerkraut und Sauerkrautsaft, die nicht pasteurisiert sind Naturjoghurt, der frei von Zuckerzusätzen ist Kefir Vegane Alternativen wie Joghurt auf Basis von Soja oder Kokos Durch Milchsäuregärung konservierte saure Gurken Apfelessig Diese Lebensmittel fördern nicht nur eine gesunde Darmflora, sondern unterstützen auch indirekt das Gleichgewicht und die Schutzfunktion der Haut. Wie funktioniert probiotische Hautpflege? Die Einnahme von Probiotika, also guter Bakterien, kann unsere Hautgesundheit auf verschiedene Weise unterstützen: Beruhigung von Hautentzündungen: Bestimmte Probiotika, wie Lactobacillus casei, können Entzündungen der Haut lindern. Sie tun dies, indem sie bestimmte Immunzellen im Körper regulieren, ohne das Immunsystem zu schwächen. Das bedeutet, sie können helfen, allergische Reaktionen auf der Haut zu kontrollieren. Schutz vor Sonnenschäden: Ein anderes Probiotikum, Bifidobacterium breve, kann die Haut vor Schäden durch Sonneneinstrahlung, wie Rötungen und oxidative Schäden, schützen. Es verhindert, dass schädliche Sauerstoffmoleküle in der Haut gebildet werden. Verbesserung der Haut durch Darmgesundheit: Probiotika können auch die Zusammensetzung der Bakterien in unserem Darm verändern. Diese Veränderungen können sich positiv auf die Haut auswirken, indem sie beispielsweise die Hautbarriere stärken und Entzündungen reduzieren. Stärkung der Hautbarriere und Immunmodulation: Probiotika helfen, die Barrierefunktion der Haut zu stärken und das Immunsystem so zu modulieren, dass die Haut gesünder bleibt und weniger anfällig für Erkrankungen wie Ekzeme und Akne ist. Kurz gesagt, Probiotika sind nicht nur gut für unseren Darm, sondern auch für unsere Haut. Sie unterstützen die Hautgesundheit von innen heraus, indem sie Entzündungen reduzieren, Schutz vor Umweltschäden bieten und die Hautbarriere stärken können. Topisch aufgetragene probiotische Hautpflege Die probiotische Hautpflege basiert auf der Nutzung probiotischer Mikroorganismen, wie lebenden Bakterien oder Hefen, die das Gleichgewicht des Hautmikrobioms fördern und die natürliche Schutzfunktion der Haut stärken. Diese Mikroorganismen arbeiten mit den bereits vorhandenen Hautmikroben zusammen, um die Hautflora auszugleichen, die Hautregeneration zu unterstützen, wichtige Hautproteine und Lipide zu produzieren und für eine verbesserte Hautstruktur sowie einen strahlenden Teint zu sorgen. Darüber hinaus verbessern sie die Feuchtigkeitsversorgung der Haut, erhöhen deren Elastizität und verringern Trockenheit, was zu einer gesunden und geschmeidigen Haut führt. Probiotische Hautpflegeprodukte, darunter Cremes, Seren und Masken, gewinnen weltweit an Popularität. Sie können eine natürliche Lösung bieten, um die Hautgesundheit zu unterstützen. Allerdings enthalten viele dieser Produkte aufgrund von Herausforderungen bezüglich Stabilität, Haltbarkeit und regulatorischen Anforderungen keine lebenden Mikroorganismen, sondern setzen auf lysierte Produkte oder Metaboliten (Postbiotika). Kosmetische Produkte mit lebenden Probiotika unterliegen strengen regulatorischen Prozessen und werden oft als Arzneimittel klassifiziert. Die Vorteile von Probiotika für die Haut Probiotika bieten viele Vorteile für die Hautgesundheit und -pflege. Hier sind einige der wichtigsten Vorteile: Unterstützung der Hautbarriere: Probiotische Hautpflegeprodukte können dazu beitragen, die natürliche Schutzbarriere der Haut zu stärken. Sie können helfen, Feuchtigkeit einzuschließen und schädliche Umwelteinflüsse abzuwehren. Reduzierung von Entzündungen: Probiotika haben entzündungshemmende Eigenschaften. Sie können dazu beitragen, Rötungen, Reizungen und Entzündungen zu reduzieren, was insbesondere bei Hautproblemen wie Akne oder Rosacea von Vorteil ist. Verbesserung des Teints: Probiotische Hautpflege kann das Erscheinungsbild des Teints verbessern. Indem sie das Gleichgewicht der Haut wiederherstellen, können sie für einen ebenmäßigeren und strahlenderen Teint sorgen. Beruhigung der Haut: Probiotika können beruhigende Eigenschaften haben und helfen, gereizte oder gestresste Haut zu beruhigen. Sie können das Hautgefühl verbessern und dazu beitragen, Unwohlsein oder Juckreiz zu lindern. Vorbeugung von vorzeitigem Altern: Durch den Schutz der Hautbarriere und die Reduzierung von Entzündungen können probiotische Produkte helfen, vorzeitige Hautalterung zu verhindern. Sie können feine Linien, Falten und andere Anzeichen von Alterung minimieren. Es ist wichtig anzumerken, dass die genauen Vorteile von probiotischer Hautpflege je nach Produkt und individuellem Hautzustand variieren können.  Die Wirkung von Probiotika auf spezifische Hautprobleme Regelmäßige und längerfristige Einnahme von probiotische Hautpflegeprodukte haben sich als wirksam bei der Verbesserung verschiedener Hautprobleme erwiesen.  Hier sind einige spezifische Hautprobleme, bei denen die Anwendung von Probiotika Vorteile bieten kann: Akne: Probiotika können helfen, den pH-Wert der Haut auszugleichen und das Wachstum von Bakterien zu kontrollieren, die Akne verursachen können. Sie können auch Entzündungen reduzieren und die Heilung von Akne-Läsionen unterstützen. Ekzeme: Bei Ekzemen ist die Hautbarriere geschädigt, was zu Trockenheit, Rötungen und Juckreiz führen kann. Probiotika können helfen, die Hautbarriere zu stärken und Entzündungen zu reduzieren, was zu einer Linderung der Symptome beitragen kann. Rosacea: Probiotika können beruhigende Eigenschaften haben und Entzündungen in der Haut reduzieren, was bei einer Rosacea-Haut von Vorteil sein kann. Sie können auch die Hautschutzbarriere stärken und Hautrötungen verringern. Empfindliche Haut: Probiotika können helfen, die Haut zu beruhigen und die Reaktivität gegenüber externen Reizstoffen zu verringern. Sie können die Hautbarriere stärken und somit empfindliche Haut besser schützen. vorzeitige Hautalterung: Probiotika können vor vorzeitiger Hautalterung schützen, indem sie das Hautmikrobiom ausgleichen, Entzündungen verringern und die Hautbarriere stärken. Sie können helfen, die Haut gegen Umweltschäden zu schützen, die Feuchtigkeit zu verbessern und die Kollagenproduktion zu unterstützen, was feine Linien und Falten reduzieren kann und zu einem jugendlicheren Aussehen führt. Es ist wichtig zu beachten, dass die Wirkung von Probiotika auf spezifische Hautprobleme bei jedem Individuum unterschiedlich sein kann. Nicht alle Hautprobleme reagieren gleich auf Probiotika. Außerdem kann es einige Zeit dauern, bis Ergebnisse sichtbar werden. Wenn Du spezifische Hautprobleme hast, empfehlen wir Dir, einen Hautspezialisten oder Dermatologen zu konsultieren, um die richtige Behandlung für Deine Bedürfnisse zu erhalten. Wie man probiotische Hautpflege in die tägliche Routine integriert Um probiotische Hautpflege effektiv in Deine tägliche Routine zu integrieren und die Haut von innen zu pflegen, ist die Einnahme von Probiotika ein wesentlicher Schritt. Diese können dazu beitragen, das Gleichgewicht des Hautmikrobioms zu fördern, Entzündungen zu reduzieren und die allgemeine Hautgesundheit zu verbessern. Hier sind einige Tipps, wie Du Probiotika am besten nutzen kannst: Beste Zeit für die Einnahme: Ideal ist es, Probiotika morgens auf nüchternen Magen zu konsumieren. Während der Nacht pausiert die Nahrungsaufnahme, was bedeutet, dass dein Verdauungstrakt leer ist und die Magen- und Gallensäureproduktion niedriger ist. Dies erleichtert den Probiotika die Passage durch den Magen-Darm-Trakt. Diese Empfehlung basiert darauf, dass ein leerer Magen die Überlebenschancen der Probiotika durch den sauren Magen erhöht. Qualität der Probiotika: Wähle Probiotika von hoher Qualität, die gegen Magen- und Gallensäure resistent sind, um sicherzustellen, dass sie den Darm erreichen und dort ihre positiven Effekte entfalten. Marken wie within bieten Produkte mit solchen robusten Stämmen an, die flexibel zu verschiedenen Tageszeiten eingenommen werden können, ohne ihre Effektivität einzubüßen. Darüber hinaus schützen hier magenresistente Kapseln die wertvollen Bakterienkulturen auf ihrem Weg durch den Magen, maximieren deren Überlebenschancen und Wirksamkeit. Regelmäßigkeit: Für eine sichtbare Verbesserung der Hautgesundheit ist es wichtig, Probiotika regelmäßig einzunehmen. Die regelmäßige Zufuhr unterstützt nicht nur das Gleichgewicht des Mikrobioms, sondern fördert auch langfristig eine gesunde Haut. Längerfristige Anwendung: Die Vorteile von Probiotika auf die Haut zeigen sich oft erst nach einer gewissen Dauer der Einnahme. Gib deinem Körper also Zeit, sich anzupassen und die positiven Effekte zu entwickeln. Eine längerfristige Anwendung ist empfehlenswert, um dauerhafte Ergebnisse zu erzielen. Integration in die tägliche Routine: Mache die Einnahme von Probiotika zu einem festen Bestandteil Deiner Routine. Indem Du sie täglich zur gleichen Zeit nimmst, wird es einfacher, die Regelmäßigkeit beizubehalten. Durch die Berücksichtigung dieser Tipps kann die probiotische Hautpflege effektiv in die tägliche Routine integriert werden, um die Hautgesundheit von innen zu unterstützen und zu verbessern. Der Artikel dient lediglich der Informationsvermittlung in Bezug auf Probiotika und soll nicht als medizinische Empfehlung oder als Ersatz für professionelle medizinische Beratung oder Behandlung interpretiert werden.

    Was hilft wirklich gegen Falten? Hier erfährst Du es!

    Was hilft wirklich gegen Falten? Hier erfährst Du es!

    Was sind Falten? Falten sind natürliche Hautfurchen oder -grate, die vor allem im Alter sichtbar werden, ähnlich den Linien auf unseren Handflächen. Sie sind ein unvermeidliches Zeichen der Hautalterung und gehören zum natürlichen Alterungsprozess. Verschiedene Arten von Falten Es gibt verschiedene Arten von Falten, so erscheinen feine Linien und ausgeprägte Falten oft um die zarte Augenregion und als vertikale Linien zwischen den Augenbrauen. Diese Hautveränderungen treten vorrangig im Gesicht, am Hals und an den Armen auf, können jedoch auch andere Körperbereiche betreffen. 7 Arten von Falten Entdecken Sie die 7 gängigsten Faltenarten, die unser Gesicht prägen: Stirnfalten: Diese horizontalen Linien ziehen sich quer über den oberen Bereich der Stirn und treten besonders bei Gesichtsbewegungen wie dem Hochziehen der Augenbrauen hervor. Zornesfalten: Bekannt für ihre vertikale Platzierung zwischen den Augenbrauen, werden diese Falten durch häufiges Zusammenziehen der Stirn verstärkt. Bunny Lines: Die kleinen horizontalen Linien auf der Nase, auch bekannt als Nasenfalten, entstehen beim Lachen oder Lächeln und gehören zu den dynamischen Falten, die durch Gesichtsmimik verursacht werden. Krähenfüße: Die charakteristischen Linien, die von den äußeren Ecken der Augen ausstrahlen, ähneln in ihrer Form den Füßen einer Krähe. Diese Falten treten aufgrund der dünnen Haut um die Augen oft als erste im Gesicht auf. Lachfalten: Auch Nasolabialfalten genannt, zeichnen sich diese Linien von den Seiten der Nase bis zu den Mundwinkeln ab. Sie werden durch Lachen verstärkt und können durch Faktoren wie Rauchen oder unzureichenden Sonnenschutz im Laufe der Zeit tiefer werden. Lippenfalten: Kleine vertikale Linien, die sich auf und über der Oberlippe bilden und das Erscheinungsbild der Lippenkontur beeinflussen. Sie variieren in ihrer Erscheinung von Person zu Person. Marionettenfalten: Diese Falten, die von den Mundwinkeln senkrecht nach unten verlaufen, erinnern an die charakteristischen Linien von Marionetten. Sie entstehen, wenn die Haut an Elastizität verliert, was zu einem deutlich gezeichneten Gesichtsausdruck führt. Diese Übersicht hilft Ihnen, die verschiedenen Faltenarten zu verstehen und bewusst wahrzunehmen, wie vielfältig die Zeichen der Zeit unser Gesicht gestalten können. Die Hauptursache für Falten Hautalterung ist ein natürlicher Prozess, der durch eine Kombination aus internen (intrinsischen) und externen (extrinsischen) Faktoren beeinflusst wird. Hier sind die Hauptursachen für Hautalterung: Extrinsische Faktoren (hier kannst Du was tun) Ernährung und Hydration: Eine Ernährung mit niedrigem Antioxidantiengehalt und hohem Zucker- sowie gesättigtem Fettanteil kann entzündliche Prozesse im Körper verstärken und somit den Alterungsprozess der Haut beschleunigen. Zudem kann ein Mangel an probiotischen und präbiotischen Nährstoffen ebenfalls zur vorzeitigen Hautalterung beitragen. Darüber hinaus führt unzureichende Flüssigkeitszufuhr dazu, dass die Haut anfälliger für Faltenbildung ist, da ausreichende Feuchtigkeit entscheidend für die Bewahrung der Hautelastizität und -straffheit ist. Sonneneinstrahlung (Photoalterung): UV-Strahlung ist ein wichtiger Faktor für eine vorzeitige Hautalterung, indem sie DNA-Schäden verursacht und die Kollagenfasern abbaut. Dies führt zu Faltenbildung, ungleichmäßiger Pigmentierung und einer erhöhten Gefahr von Hautkrebs. Umweltverschmutzung: Schadstoffe und freie Radikale aus der Umwelt können oxidativen Stress in der Haut verursachen, der zu Entzündungen und Beschleunigung der Alterungsprozesse führt. Rauchen: Nikotin und andere Chemikalien im Zigarettenrauch beeinträchtigen die Blutzirkulation in der Haut und fördern die Bildung von Falten. Zudem erhöht Rauchen den oxidativen Stress in der Haut. Alkoholkonsum: Übermäßiger Alkoholkonsum kann zu Dehydration führen und die Hautalterung beschleunigen, außerdem handelt es sich bei Alkohol um ein Zellgift. Chronischer Stress: Langfristiger Stress kann sich negativ auf die Haut auswirken, indem er die Ausschüttung von Cortisol erhöht, was zu einer Verringerung der Hautelastizität und anderen negativen Effekten führen kann. Schlafmangel: Unzureichender Schlaf kann die Hautregeneration beeinträchtigen, zur Beschleunigung der Hautalterung beitragen und damit zur vermehrten Faltenbildung. Unbedingt within® Sleep Well testen. Intrinsische Faktoren (hier kannst Du weniger tun) Genetik: Die genetische Veranlagung spielt eine Rolle bei der Hautalterung. Sie bestimmt, wie schnell die natürlichen Alterungsprozesse beginnen. Hormonelle Veränderungen: Mit dem Alter verändern sich die Hormonspiegel, was Einfluss auf die Hautdichte, -elastizität und -feuchtigkeit hat. Zelluläre Alterung: Mit der Zeit verlangsamt sich die Zellteilung, und die Reparaturmechanismen der Haut werden weniger effektiv. Dies führt zu einer Abnahme der Kollagenproduktion und der Elastizität der Haut. Durch eine gesunde Lebensweise und angemessene Hautpflege kann sich die Hautalterung verlangsamen lassen.  Was hilft gegen Falten? Um Faltenbildung vorzubeugen, ist eine umfassende Hautpflegeroutine essentiell, die bereits bei der inneren Gesundheit beginnt. Eine wirksame Prävention gegen Falten setzt somit nicht nur bei äußerlicher Pflege wie Waschen und Cremen an, sondern auch bei der Förderung der inneren Gesundheit – unserer "inneren Medizin". Hier sind einige Tipps, die dabei helfen können unsere Haut von außen und innen zu unterstützen: Gesunde Ernährung: Eine vielfältige Ernährung, angereichert mit Probiotika und Präbiotika, trägt zur Förderung eines gesunden Darmmikrobioms bei, unterstützt die Körperentgiftung, mindert Entzündungen und versorgt die Haut mit antioxidativen Nährstoffen. Diese Elemente sind entscheidend, um die Hautzellen zu schützen und Anzeichen von vorzeitiger Hautalterung sowie Faltenbildung effektiv entgegenzuwirken. Falls es schwierig ist, diese Nährstoffe regelmäßig über die Ernährung zu erhalten, können Nahrungsergänzungsmittel wie die von within® eine wertvolle Unterstützung bieten. Ausreichend Wasser trinken: Eine ausreichende Flüssigkeitszufuhr ist wichtig, um die Haut hydratisiert zu halten. Mindestens 8 Gläser Wasser pro Tag trinken, um Deinen Körper und Deine Haut gut hydriert zu halten. Rauchen und übermäßigen Alkoholkonsum vermeiden: Alkohol trocknet die Haut aus und somit zu einer vorzeitigen Faltenbildung führen, außerdem kann es  Haut-Rötungen verursachen. Rauchen reduziert die Nährstoffversorgung der Haut, fördert Falten und beschleunigt die Hautalterung. Stress reduzieren: Stress erhöht Cortisolspiegel, fördert Entzündungen und oxidative Schäden, was Kollagenabbau beschleunigt und somit zu vorzeitiger Hautalterung und Faltenbildung führt. Entdecke Entspannungstechniken, die Dir dabei helfen können helfen, Stress abzubauen, wie z.B. Meditation, Yoga oder Atemübungen. Gesicht reinigen: Die Reinigung der Haut ist wichtig, um Schadstoffe zu entfernen. Damit kannst Du die Ansammlung von Schmutz verhindern, der oxidativen Stress fördert, Kollagen abbaut und somit kannst Du damit eine vorzeitige Hautalterung und Faltenbildung reduzieren. Finde die richtige Hautpflege: Die richtige Hautpflege versorgt die Haut mit Feuchtigkeit, Nährstoffen, fördert die Zellerneuerung, schützt vor Schadstoffen und UV-Strahlung, was den Kollagenabbau verlangsamt und vorzeitiger Hautalterung sowie Faltenbildung vorbeugt - dazu gleich mehr. Wählen eine Pflege, die zu Deinem Hauttyp passt. Sonnenschutz: Sonnenschutz wie Kleidung oder Sonnencreme mit hohem LSF reduziert schädliche UV-Strahlen, die Kollagenabbau, Hautschäden und somit vorzeitige Alterung und Faltenbildung verursachen. Mit diesen Tipps kannst Du die Bildung von Falten hinauszögern und Deine Haut gesund und jugendlich aussehen zu lassen. Anti-Aging Lebensmittel und ihre Wirkung auf die Haut Die richtige Ernährung spielt eine wichtige Rolle bei der Bekämpfung von Falten und dem Erhalt einer jugendlichen Haut. Bestimmte Lebensmittel enthalten Nährstoffe, die das Hautbild verbessern und den Alterungsprozess verlangsamen können. Hier sind einige Lebensmittel, die sich positiv auf die Haut auswirken können:   Probiotische Lebensmittel: Fermentierte Lebensmittel, darunter rohes Sauerkraut, Kefir und Joghurt, sind natürliche Quellen für probiotische Kulturen. Für eine gezielte Unterstützung der Hautgesundheit bieten hochwertige Nahrungsergänzungsmittel, wie die von within®, eine höhere Dosierung spezifischer, Haut-verjüngender Bakterienstämme. Beeren: Beeren wie Blaubeeren, Himbeeren und Erdbeeren sind reich an Antioxidantien, die die Haut vor schädlichen freien Radikalen schützen und damit Faltenbildung entgegenwirken. Avocado: Avocados enthalten gesunde Fette und Vitamin E, die die Haut mit Feuchtigkeit versorgen und das Auftreten von feinen Linien und Falten reduzieren können. Grünes Blattgemüse: Gemüsesorten wie Spinat, Grünkohl und Brokkoli sind reich an Vitaminen, Mineralstoffen und Antioxidantien, die die Hautgesundheit fördern und den Alterungsprozess verlangsamen können. Nüsse: Nüsse wie Mandeln und Walnüsse enthalten Omega-3-Fettsäuren und Vitamin E, die die Hautelastizität verbessern und das Auftreten von Falten verringern können. Fisch und Algen: Fischsorten wie Lachs, Makrele und Thunfisch enthalten Omega-3-Fettsäuren, die die Haut mit Feuchtigkeit versorgen und Entzündungen reduzieren können. Omega-3-Fettsäuren können aber auch über Algen aufgenommen werden. Zusätzlich zu einer gesunden Ernährung ist es wichtig, ausreichend Wasser zu trinken, um die Haut mit Feuchtigkeit zu versorgen und sie strahlend und jugendlich zu halten. Die Wirkung von Hyaluronsäure gegen Falten Hyaluronsäure ist eine Substanz, die natürlicherweise in der Haut vorkommt und für ihre feuchtigkeitsspendenden Eigenschaften bekannt ist. Bei der Anwendung gegen Falten kann Hyaluronsäure die Hautstruktur verbessern und feine Linien sowie tiefe Falten auffüllen. Die Wirkung von Hyaluronsäure beruht auf ihrer Fähigkeit, große Mengen Feuchtigkeit zu binden. Durch die Aufnahme von Hyaluronsäure wird die Haut praller und voller, was zu einer Reduzierung von Falten führen kann. Zudem wirkt Hyaluronsäure als natürlicher Feuchtigkeitsspender, der die Haut mit notwendigen Nährstoffen versorgt. Die Einnahme von Hyaluronsäure als Nahrungsergänzungsmittel kann helfen, die Haut von innen mit Feuchtigkeit zu versorgen, ihre Elastizität zu verbessern und Falten zu reduzieren. within® Skin Glow verwendet hochwertige kurzkettige Hyaluronsäure. Diese Art der Hyaluronsäure ist besonders vorteilhaft, da sie wegen ihrer kleineren Molekülgröße leichter vom Körper aufgenommen werden kann. Dies kann eine tiefere Hydratation der Haut unterstützen, ein strafferes und glatteres Aussehen fördern und somit effektiv bei der Minderung von Alterungszeichen helfen. Warum hilft Coenzym Q10 gegen Falten? Die Haut besteht zu etwa 80 % aus Kollagen, das für ein Drittel der gesamten Proteinmenge im menschlichen Körper steht. Coenzym Q10 spielt eine wichtige Rolle bei der Anregung der Kollagenproduktion. Da die Kollagenproduktion mit dem Alter natürlicherweise abnimmt, unterstützt Q10 aktiv die Zellerneuerung und trägt dazu bei, die Elastizität der Haut zu bewahren. Coenzym Q10, auch bekannt als Ubichinon, ist ein in jeder Zelle des menschlichen Körpers vorkommendes, vitaminähnliches Molekül, das eine wichtige Rolle im Energiestoffwechsel und als Antioxidans spielt. Mit zunehmendem Alter und durch externe Stressfaktoren wie UV-Strahlung und Umweltverschmutzung kann der natürliche Gehalt von Q10 in der Haut abnehmen, was die Zellen anfälliger für oxidativen Stress macht und den Alterungsprozess der Haut beschleunigt. Hier sind einige Gründe, warum die Einnahme von Q10 gegen vorzeitige Hautalterung sinnvoll sein kann: Antioxidative Wirkung Q10 ist ein starkes Antioxidans, das freie Radikale neutralisieren kann, die durch Umweltfaktoren wie Sonnenlicht und Verschmutzung entstehen. Freie Radikale schädigen die Hautzellen und tragen zur Zerstörung von Kollagen und Elastin bei, was zu Falten und anderen Zeichen der Hautalterung führt. Durch die Neutralisierung dieser freien Radikale kann Q10 helfen, die Haut vor oxidativem Stress zu schützen und ihr jugendliches Aussehen länger zu bewahren. Energiestoffwechsel Q10 spielt eine zentrale Rolle in der mitochondrialen Energieproduktion. Die Energie, die in den Zellen erzeugt wird, ist entscheidend für viele Prozesse der Hauterneuerung und Reparatur. Eine ausreichende Versorgung mit Q10 unterstützt die Energieversorgung der Hautzellen, fördert ihre Vitalität und kann so dazu beitragen, die Zeichen der Hautalterung zu mindern. Verbesserung der Hautelastizität Studien haben gezeigt, dass Nahrungsergänzung mit Q10 die Hautelastizität verbessern kann. Durch die Förderung der Kollagenproduktion und die Reduzierung der Kollagenaseaktivität, die Kollagen abbaut, hilft Q10 dabei, die Struktur der Haut zu stärken und ihre Elastizität zu verbessern. Schutz vor UV-Schäden Q10 kann auch einen gewissen Schutz vor den schädlichen Auswirkungen der UV-Strahlung bieten, indem es die Zellen vor oxidativen Schäden schützt. Obwohl es keinen Ersatz für Sonnenschutzmittel darstellt, kann eine Ergänzung mit Q10 als zusätzliche Verteidigungslinie gegen photoinduzierte Hautalterung dienen. Unterstützung der Hautregeneration Durch die antioxidative Wirkung und die Förderung der Energieproduktion unterstützt Q10 die natürlichen Regenerationsprozesse der Haut. Dies kann die Heilung von Hautschäden beschleunigen und zur Erhaltung einer gesunden Hautstruktur beitragen.Die zahlreichen positiven Eigenschaften machen die Einnahme von Q10 zu einer wertvollen Ergänzung jeder täglichen Hautpflegeroutine, um die Hautgesundheit zu fördern und der vorzeitigen Alterung entgegenzuwirken. Skin Glow von within® bietet eine umfassende Lösung, indem es neben hochdosierten probiotischen Kulturen und kurzkettiger Hyaluronsäure auch Coenzym Q10 beinhaltet. Diese Kombination unterstützt die Hautpflege von innen heraus, um ein gesundes und jugendliches Hautbild zu fördern.   Der Einfluss von freien Radikalen auf das Hautaltern Freie Radikale sind aggressive Moleküle, die in unserem Körper natürlicherweise während des Stoffwechsels entstehen, aber auch durch äußere Faktoren wie Rauchen, Sonnenstrahlung und Umweltverschmutzung gebildet werden. Diese freien Radikale können Schäden auf zellulärer Ebene verursachen und die Hautzellen direkt angreifen. Sie lösen eine sogenannte Oxidation aus, bei der die Hautzellen angegriffen und geschwächt werden. Dieser oxidative Stress spielt eine zentrale Rolle bei der Hautalterung und der Entstehung von Falten. Die freien Radikale schädigen das Kollagen und die Elastinfasern, die für die Festigkeit und Elastizität der Haut verantwortlich sind. Dadurch verliert die Haut an Spannkraft und es entstehen feine Linien und tiefe Falten. Um den Einfluss von freien Radikalen auf die Hautalterung zu minimieren, ist es wichtig, antioxidative Maßnahmen zu ergreifen.  Antioxidantien sind Stoffe, die freie Radikale neutralisieren und deren schädigende Wirkung auf die Haut reduzieren können. Antioxidative Maßnahmen: Antioxidative Ernährung: Eine ausgewogene Ernährung mit starken Antioxidantien wie Beeren, grünem Blattgemüse, Nüssen und Avocados kann dabei helfen, den negativen Einfluss von freien Radikalen auf die Haut zu verringern. Probiotika: Probiotika, wie Lactobacillus und Bifidobacterium, schützen die Zellen, indem sie schädliche freie Radikale neutralisieren und die natürlichen Abwehrmechanismen des Körpers gegen oxidative Schäden stärken. Diese Eigenschaften helfen, die Zellgesundheit zu erhalten und können zur Vorbeugung von krankheitsbedingtem oxidativem Stress beitragen. Nahrungsergänzungen: hochwertige Nahrungsergänzungen mit antioxidativen Inhaltsstoffen wie Coenzym Q10 können einen großartigen Beitrag leisten oxidativen Stress zu verringern. Sonnenschutz: Die Verwendung von Kleidung als Sonnenschutz oder Sonnenschutzmitteln mit einem hohen Lichtschutzfaktor ist entscheidend, um die Haut vor den schädlichen Auswirkungen der Sonnenstrahlung zu schützen und den oxidativen Stress zu reduzieren. Hautpflege: Die regelmäßige Anwendung von hautpflegenden Produkten mit antioxidativen Inhaltsstoffen wie Vitamin C, Vitamin E oder Grüntee-Extrakt kann helfen, die Haut vor freien Radikalen zu schützen und den Alterungsprozess zu verlangsamen. Indem Du den Einfluss von freien Radikalen reduzierst, kannst Du dazu beitragen, die Gesundheit Deiner Haut zu verbessern und vorzeitiger Hautalterung entgegenzuwirken. Effektive Wirkstoffe gegen Falten im Gesicht Falten im Gesicht sind ein häufiges Anzeichen des Alterungsprozesses. Es gibt verschiedene Wirkstoffe in Cremes oder Seren, die helfen können, das Erscheinungsbild von Falten zu reduzieren und die Haut straffer aussehen zu lassen. Hier sind einige effektive Wirkstoffe in Haut-Produkten, die gegen Falten im Gesicht wirksam sein können: HyaluronsäureHyaluronsäure ist eine Substanz, die natürlicherweise in unserer Haut vorkommt und für ihre feuchtigkeitsspendenden Eigenschaften bekannt ist. Hyaluronsäure kann helfen, die Haut mit Feuchtigkeit zu versorgen und das Erscheinungsbild von Falten zu verringern. RetinolRetinol, eine Form von Vitamin A, ist ein beliebter Inhaltsstoff in Anti-Aging-Produkten. Retinol kann das Erscheinungsbild von feinen Linien und Falten reduzieren, indem es die Kollagenproduktion stimulieren und die Hautstruktur verbessern. Vitamin-CVitamin C ist ein starkes Antioxidans, das vorzeitige Hautalterung bekämpfen kann. Vitamin-C kann helfen, das Erscheinungsbild von Falten zu minimieren und gleichzeitig die Haut vor Umweltschäden zu schützen. PeptidPeptide sind Moleküle, die die Bildung von Kollagen und Elastin in der Haut fördern können. Peptid können helfen, das Erscheinungsbild von Falten zu reduzieren und die Haut straffer und glatter aussehen zu lassen. Es ist wichtig zu beachten, dass die Ergebnisse von Produkten gegen Falten je nach Hauttyp und individuellen Bedürfnissen variieren können. Es kann hilfreich sein, sich von einer erfahrenen Kosmetikerin oder Dermatologin beraten zu lassen. Schönheitsbehandlungen zur Reduzierung von Falten Es gibt eine Vielzahl von minimal invasiven Schönheitsbehandlungen, die dazu beitragen können, Falten zu reduzieren und ein jugendliches Aussehen zu bewahren. Hier sind einige der effektivsten Behandlungen: Hyaluronsäure-Injektionen: Diese Behandlung hilft dabei, die Feuchtigkeit in der Haut aufrechtzuerhalten und das Auftreten von Falten zu verringern. Die Hyaluronsäure wird in die betroffenen Bereiche injiziert und füllt die Falten auf, um ein glatteres Erscheinungsbild zu erzielen. Botulinumtoxin (Botox): Botox-Injektionen sind eine beliebte Option, um Falten im Gesicht zu reduzieren. Der Wirkstoff entspannt die Muskeln, die für die Bildung von mimischen Falten verantwortlich sind, wie z.B. Stirn- und Zornesfalten. Laserbehandlungen: Laser können verwendet werden, um Falten zu glätten und die Kollagenproduktion anzuregen. Unterschiedliche Arten von Lasern werden je nach Art und Tiefe der Falten eingesetzt. Peeling-Behandlungen: Chemische Peelings können helfen, die äußerste Schicht der Haut abzutragen und so Falten und feine Linien zu reduzieren. Es gibt verschiedene Stärken von Peelings, je nach Bedarf und Hauttyp. Microneedling: Bei dieser Behandlung werden winzige Nadeln verwendet, um die Haut zu stimulieren und die Kollagenproduktion anzuregen. Dadurch können Falten geglättet und die Hautstruktur verbessert werden. Egal für welche Schönheitsbehandlung man sich entscheidet, es ist wichtig, realistische Erwartungen zu haben und Geduld mitzubringen. Die Ergebnisse können je nach Behandlung und individuellen Faktoren variieren. Kombiniert mit einer guten Hautpflege und einem gesunden Lebensstil können Schönheitsbehandlungen dazu beitragen, das Erscheinungsbild von Falten zu verbessern und ein jugendliches Aussehen zu bewahren. Müssen Falten bahandelt werden? Falten sind keine medizinische Besorgnis, sondern ein natürliches Zeichen des Alterns. Sie verursachen keine Beschwerden und repräsentieren die Reife der Haut. Aus ästhetischen Gründen kannst du jedoch wählen, sie zu mildern, wichtig ist dabei, dass du dich in deiner Haut wohlfühlst. Lach- und Augenfalten können als Zeichen eines gelebten Lebens angesehen werden. Als ein unvermeidlicher Teil des Alterungsprozesses verliert die Haut mit der Zeit an Dicke, Feuchtigkeit und Elastizität. Dies führt zu einer verringerten Produktion von Kollagen und Elastin, was schließlich zur Entstehung von Falten beiträgt. Verschiedene Faltenarten können sich an unterschiedlichen Stellen im Gesicht bilden, einschließlich Stirn- und Zornesfalten, Krähenfüßen, Nasolabialfalten, Lippenfalten und Marionettenlinien. Obwohl der Alterungsprozess unaufhaltsam ist, können Lebensstiländerungen helfen, das Auftreten von Falten zu minimieren und die Haut länger jugendlich erscheinen zu lassen. Dazu zählt u.a. die Anwendung von Hautpflegeprodukten mit Anti-Aging-Wirkstoffen, der Schutz der Haut vor der Sonne, das Aufgeben des Rauchens, eine gesunde Ernährung, ausreichende Flüssigkeitszufuhr und genügend Schlaf. Es gibt keine endgültige Lösung gegen Falten, aber eine Anti-Aging-Hautpflegeroutine mit Inhaltsstoffen wie Probiotika, Q10 und Hyaluronsäure kann das Aussehen von Falten mildern und der Haut ein frischeres Aussehen verleihen. Falten sind natürliche Zeichen eines erfüllten Lebens sind und müssen selbstverständlich nicht behandelt werden, falls Du entscheidest, sie als solche zu akzeptieren. Der Artikel dient lediglich der Informationsvermittlung in Bezug auf Probiotika und soll nicht als medizinische Empfehlung oder als Ersatz für professionelle medizinische Beratung oder Behandlung interpretiert werden.

    Heilung einer trockenen Fetthaut

    Dehydrierte Fetthaut: Wenn der fettigen Haut Fette fehlen!

     Das Wichtigste in Kürze: Dehydrierte Fetthaut: Ein Zustand, bei dem die Haut fettig, aber an wichtigen Hautlipiden arm ist, was zu Trockenheit führt. Typische Anzeichen: Glänzende, ölige Haut, die trocken ist und sichtbare Poren aufweist. Ursachen: Gestörte Hautbarrieren und Mangel an Hautfetten. Hautpflege: Einsatz von milden Gel-Reinigern, Peelings mit Glykol- und Milchsäure, Seren mit Niacinamiden und Cremes mit Ceramiden. Wichtig für die Reinigung: Ein pH-Wert von 5,5 zur Erhaltung des natürlichen Säuremantels der Haut. Darmgesundheit: Eine wichtige Rolle für das Hautbild. Merkmale einer dehydrierten Fetthaut Trockene und gleichzeitig glänzende Haut wird in der Dermatologie als trockene Fetthaut oder Seborrhoea sicca bezeichnet. Die Haut weist die Eigenschaften beider Extreme auf: Sie produziert viel Talg, hat aber gleichzeitig einen Mangel an Feuchtigkeit. Hier einige Merkmale, an denen Du eine dehydrierte Fetthaut erkennen kannst: Glänzende Haut: Trotz des Feuchtigkeitsmangels produziert die dehydrierte Fetthaut viel Talg, was zu einem öligen Glanz führen kann. Rauheit: Die Haut fühlt sich oft rau an, da die oberste Hautschicht durch den Feuchtigkeitsmangel ausgetrocknet ist. Spannungsgefühl: Trotz des öligen Glanzes kann die Haut gespannt und trocken wirken. Feine Linien und Fältchen: Durch den Feuchtigkeitsmangel können feine Linien und Fältchen sichtbarer werden. Unreinheiten: Die übermäßige Talgproduktion kann zu verstopften Poren und damit zu Unreinheiten führen. Ursachen einer glänzenden, aber trockenen Haut Es gibt verschiedene Gründe, warum die Haut dehydriert und fettig sein kann. Diese können sowohl von innen als auch von außen kommen. Hier sind einige der häufigsten Gründe: Genetische Faktoren und Talgdrüsenaktivität Die genetische Veranlagung spielt eine Rolle bei der Beschaffenheit unserer Haut. Die Aktivität der Talgdrüsen, die für die Talgüberproduktion verantwortlich ist, wird stark durch die Gene beeinflusst.Dies führt dazu, dass einige Menschen zu einem Hauttyp tendieren, der natürlicherweise mehr Talg produziert, während andere einen Mangel an essentiellen Lipiden und Ölen aufweisen. Genetische Prädisposition für eine erhöhte Talgproduktion Fehlfunktion in der Regulierung der Hautlipide, wodurch der Feuchtigkeitsverlust der Haut begünstigt wird, was zur Trockenheit beitragen kann Alterung: Mit zunehmendem Alter kann die Haut ihre Fähigkeit, Feuchtigkeit zu speichern verlieren. Dies kann zu einer Dehydrierung der Haut führen. Einfluss von Umweltfaktoren und Lebensstil Nicht nur die Gene, auch äußere Faktoren können einen Einfluss haben: Klimatische Bedingungen: Trockene Luft, Klimaanlagen, Heizungsluft und Wind können der Haut Feuchtigkeit entziehen und so zu einer Dehydrierung führen. Luftverschmutzung: Schadstoffe können die Hautbarriere schädigen. Lebensstil: Unzureichender Schlaf, Stress und Ernährungsgewohnheiten sind ebenso beteiligt. Verwendung falsche Hautpflegeprodukten: Viele Produkte enthalten Inhaltsstoffe, die die Haut austrocknen oder die Talgproduktion anregen können. Dies kann zu einer Dehydrierung der Haut führen. Ungleichgewicht im Feuchtigkeitshaushalt: Dies kann durch eine unausgewogene Ernährung, zu wenig Flüssigkeitsaufnahme oder den Gebrauch von ungeeigneten Hautpflegeprodukten verursacht werden. Gesundheitszustand: Bestimmte Gesundheitszustände oder Medikamente können die Haut austrocknen und so zu einer Dehydrierung führen. Verbreitung von trockener, fettiger Haut in unterschiedlichen Altersgruppen Diese Problematik ist keine Seltenheit und kann Personen in allen Altersklassen betreffen. Statistiken zeigen, dass die Häufigkeit in bestimmten Lebensphasen ansteigt. Hormonelle Schwankungen, wie in der Pubertät oder in den Wechseljahren, können zu einerm vermehrten Auftreten von einer trockenen Fetthaut führen. Altersgruppe Betroffenheit Merkmale Jugendliche Sehr Häufig Hormonelle Veränderungen, Pubertät Erwachsene Häufig Stress, Ernährung, Lebensstil Senioren Weniger Häufig Hautalterung, nachlassende Talgproduktion Trockene Fetthaut (Seborrhoea sicca) verstehen Eine trockene Fetthaut bedarf einer besonderen Pflege! Unterschiede zu anderen Hauttypen Trockene Fetthaut unterscheidet sich grundlegend von anderen Hauttypen: Normale Haut: Sie produziert gleichmäßig Talg und weist selten Anzeichen für Trockenheit auf. Ölige Haut: Obwohl beide Hauttypen zu Glanz neigen, fehlt es der trockenen Fetthaut an Feuchtigkeit. Mischhaut: Mischhaut zeigt eine Kombination von öligen und trockenen Bereichen. Eine trockene aber glänzende Haut benötigt ihre eigene, individuelle Pflege. Wird die Hautbarriere gestärkt, so verbesserstsich im allgemeinen auch das Hautbild. Hautpflege bedeutet allerdings nicht nur Pflege von außen! Mit Skin Glow kannst Du Deine Haut von innen heraus unterstützen. Skin Glow enthält wertvolle Probiotika, die sich positiv auf die Darmgesundheit auswirken und folglich zu einem gesunden Hautbild beitragen können. Verschiedene Studien haben gezeigt, dass die regelmäßige Einnahme von Probiotika dazu beitragen kann, Hautprobleme wie Akne zu verbessern und das allgemeine Aussehen der Haut zu verbessern (1). Skin Glow enthält neben hochwertigen und effektiven Probiotika noch Biotin, Coenzym Q10 und Hyaluronsäure. Richtige Hautpflege: Was funktioniert, was nicht Die Pflege Deiner Haut erfordert eine sorgfältige Auswahl und Anwendung der richtigen Produkte und Praktiken. Empfohlene Produkte und Inhaltsstoffe Idealerweise werden Produkte verwendet, die speziell für den entsprechenden Hauttyp entwickelt wurden. Bei einer Seborrhoea sicca sollte Feuchtigkeit gespendet werden, ohne die Poren zu verstopfen. Hydratisierende Inhaltsstoffe: Hyaluronsäure, Glycerin Nicht-komedogene Öle: Jojobaöl, Squalan Biotin und Vitamin C: Unterstützen die Hautgesundheit Seren mit Niacinamiden und Cremes mit Ceramiden. Vermeidung von schädlichen Substanzen und Praktiken Eine achtsame Hautpflegeroutine bedeutet auch, mögliche Schädigungen der Haut zu verhindern! Substanzen und Handlungen sollten gemieden werden, die zu Trockenheit und Reizungen führen können. Berücksichtige folgende Punkte, um Deine Hautbarriere zu bewahren und Deine Haut gesund zu halten: Alkoholhaltige Produkte: Vermeide Pflegeprodukte mit hohem Alkoholgehalt, da diese die Haut ausdünnen und ihr wichtige Feuchtigkeit entziehen, was zu Irritationen und Trockenheit führt. Wichtig für die Reinigung: Ein pH-Wert von 5,5 zur Erhaltung des natürlichen Säuremantels der Haut. Übertriebenes Peeling: Ein zu häufiges Peeling greift die schützenden oberen Hautschichten an und kann Entzündungen sowie einen beschleunigten Feuchtigkeitsverlust zur Folge haben. Milde Peelings mit Glykol- und Milchsäure. Zu heißes Wasser: Heißes Wasser beim Waschen kann die natürlichen, schützenden Öle der Haut lösen und austrocknen, weshalb lauwarmes Wasser eine bessere Wahl ist. Feuchtigkeitsbalance wiederherstellen Eine intakte Feuchtigkeitsbalance ist für die Gesundheit der Haut entscheidend und schützt sie vor Umwelteinflüssen. Bedeutung von Feuchtigkeit für die Hautbarriere Die Hautbarriere dient als Schutzschicht gegen äußere Schadstoffe und reguliert den Feuchtigkeitshaushalt. Ist sie durch Feuchtigkeitsmangel geschwächt, können Probleme wie Trockenheit und Empfindlichkeit entstehen. Daher ist es wichtig, auf folgende Punkte zu achten: Feuchtigkeit bindende Inhaltsstoffe verwenden, wie Hyaluronsäure, die Wasser in der Haut speichern. Lipide und Öle zuführen, um den Hydro-Lipid-Film zu stärken und Hautalterung vorzubeugen. Durch die richtige Balance aus Feuchtigkeit und Lipiden erreichst Du einen gesunden Zustand und kannst das Erscheinungsbild der Haut verbessern. Pflege einer dehydrierte Fetthaut Für die Pflege einer dehydrierten Fetthaut ist es wichtig, auf die Auswahl der richtigen Produkte zu achten und eine regelmäßige Pflegeroutine einzuhalten: Sanfte Reinigung: Eine sanfte Reinigung ist wirklich wichtig, um deine Haut gesund und strahlend zu halten. Es gibt Reinigungslotions, die speziell dafür entwickelt wurden, den pH-Wert deiner Haut nicht zu verändern und sie nicht auszutrocknen, sie sollten keine Alkohole enthalten. Diese können die Schutzbarriere der Haut stören und dazu führen, dass sie weitere Feuchtigkeit verliert. Feuchtigkeit spenden: Eine feuchtigkeitsspendende Pflege sollte Inhaltsstoffe enthalten, die die Hautbarriere stärken und den Feuchtigkeitshaushalt ausgleichen können, wie zum Beispiel Ceramide und Hyaluronsäure. Talgproduktion kontrollieren: Produkte, die Niacinamide enthalten, können dabei helfen, die Talgproduktion zu regulieren. Dadurch können Hautglanz und Unreinheiten reduziert werden. Peeling: Ein mildes Peeling kann helfen, abgestorbene Hautzellen und überschüssigen Talg zu entfernen und die Haut zum Strahlen zu bringen. Innere Unterstützung: Deine Darmgesundheit hat einen großen Einfluss auf die Hautgesundheit. Mit der richtigen Ernährung, einem gesunden Lebensstil und mit hochwertigen Nahrungsergänzungsmitteln kannst Du Deine Darmflora unterstützen. Ernährung und Hautgesundheit: Die Rolle des Darms Die Gesundheit der Haut wird durch die Ernährung und die Beschaffenheit der Darmflora beeinflusst. Die sogenannte „Darm-Haut-Achse“ ist ein Forschungsfeld, das aufzeigt, wie tiefgreifend die Wechselwirkungen zwischen diesen beiden Organen sind.  Die Verbindung zwischen Darmgesundheit und Haut Gleiche Funktionen: Sowohl der Darm als auch die Haut dienen als Barrieren und spielen eine Rolle in der Immunabwehr. gemeinsame Erkrankungen (Komorbiditäten): Oft treten Darm- und Hautkrankheiten gemeinsam auf. Einfluss der Darmflora (Metabolische Kapazität): Die Mikroorganismen im Darm produzieren Stoffwechselprodukte, die die Haut beeinflussen können. Wissenschaftliche Studien, wie Untersuchungen zum Dialog zwischen Darm und Haut und zur Rolle von Mikrobiotika, Probiotika und Präbiotika, unterstreichen, wie wichtig ein gesunden Darms für die Hautgesundheit ist. Ernährungsempfehlungen für eine strahlende Haut Omega-3-Fettsäuren: Reduzieren Entzündungen und unterstützen die Hautstruktur. Antioxidantien, Vitamine, Spurenelemente: Schützen die Haut vor oxidativem Stress. Genügend Wasser: Hydratisiert die Hautzellen von innen und unterstützt so ihre Funktionen. Ausgewogene Darmflora: Unterstützt durch probiotische Lebensmittel und / oder spezielle probiotische Nahrungsergänzungen. Durch die Stärkung der Darmgesundheit mit einer ausgewogenen Ernährung und der Einnahme von probiotischen Lebensmitteln und Supplements wie Skin Glow kannst Du Deine Hautgesundheit positiv unterstützen. Ein wesentlicher Bestandteil einer gesunden Haut ist das Hautmikrobiom – ein Mini-Universum voller Leben, das die Hautoberfläche bewohnt und eine Schlüsselrolle für das Gleichgewicht der Haut spielt. Fett ist nicht gleich Fett: Talg- vs. Barriere-Lipide Wenn wir über "fettige" Haut sprechen, meinen wir normalerweise die Menge an Talg, die unsere Haut produziert. Talg ist eine ölige Substanz, die von den Talgdrüsen in unserer Haut hergestellt wird. Er sorgt dafür, dass unsere Haut geschmeidig bleibt und schützt sie vor äußeren Einflüssen. Wenn zu viel Talg produziert wird, kann die Haut jedoch ölig und glänzend aussehen und es können Unreinheiten entstehen. Die Barriere-Lipide sind wichtig für unsere Haut! Sie helfen dabei, dass unsere Haut nicht austrocknet und schützen sie vor schädlichen Stoffen. Die Barriere-Lipide bestehen aus Ceramiden, Cholesterin und freien Fettsäuren. Man kann sich das so vorstellen, dass sie wie ein "Mörtel" sind, der die "Ziegelsteine" (also die Hautzellen) zusammenhält. Dadurch entsteht eine Schutzschicht, die verhindert, dass Feuchtigkeit aus der Haut entweicht und Schadstoffe eindringen können.  Bei einer dehydrierten Fetthaut ist das Gleichgewicht zwischen Talg und Barriere-Lipiden gestört. Das bedeutet, dass die Haut viel Talg produziert, aber nicht genug Barriere-Lipide hat. Dadurch verliert die Haut mehr Wasser und die Schutzschicht der Haut ist gestört. Das kann zu Problemen führen. Fazit Die dehydrierte Fetthaut ist ein ganz besonderer Hautzustand, bei dem es wichtig ist, eine individuell angepasste Pflege zu verwenden. Es ist entscheidend, den Unterschied zwischen Talg und Barrierelipiden zu verstehen, da die richtige Hautpflege helfen kann, das Gleichgewicht der Haut wiederherzustellen und das Hautbild zu verbessern. Ein Aspekt, der oft übersehen wird, ist die wichtige Rolle, die unser Darm für die Gesundheit unserer Haut spielt. Eine gesunde Darmflora kann dazu beitragen, unsere Haut von innen heraus zu unterstützen. Dabei können Probiotika eine wertvolle Unterstützung sein. Mit der richtigen Pflege, sowohl von außen als auch von innen, kann die dehydrierte Fetthaut wieder ins Gleichgewicht gebracht und ein gesundes, strahlendes Hautbild erreicht werden. Hautgesundheit ist mehr ist als nur äußere Pflege, sie kann die Reflexion der inneren Gesundheit, insbesondere der Gesundheit des Darms sein. FAQ - Häufig gestellte Fragen Was ist eine dehydrierte Fetthaut? Eine dehydrierte Fetthaut ist ein Hautzustand, der durch eine übermäßige Talgproduktion und gleichzeitig einen Mangel an Feuchtigkeit gekennzeichnet ist. Die Haut fühlt sich oft rau und gespannt an und kann einen öligen Glanz aufweisen. Wie erkenne ich eine dehydrierte Fetthaut? Eine dehydrierte Fetthaut erkennst man an einem öligen Glanz, einer rauen Hautoberfläche, einem Spannungsgefühl, feinen Linien und Fältchen sowie Unreinheiten. Was sind die Ursachen einer dehydrierten Fetthaut? Die Ursachen für eine dehydrierte Fetthaut können vielfältig sein und sowohl intern als auch extern sein. Dazu gehören ein Ungleichgewicht im Feuchtigkeitshaushalt, Umwelteinflüsse, eine übermäßige Talgproduktion, die Verwendung von ungeeigneten Hautpflegeprodukten, Alterung und bestimmte Gesundheitszustände oder Medikamente. Wie pflege ich eine dehydrierte Fetthaut? Die Pflege einer dehydrierten Fetthaut erfordert eine sanfte Reinigung, eine Feuchtigkeitscreme, die die Hautbarriere stärkt und den Feuchtigkeitshaushalt der Haut reguliert, Produkte, die die Talgproduktion regulieren, ein sanftes Peeling und innere Unterstützung durch eine gesunde Ernährung und Nahrungsergänzungsmittel wie unsere Skin Glow. Studien: Trockene Haut und -pflege in Bezug auf die Darmgesundheit (1) The role of microbiota, and probiotics and prebiotics in skin health(2) The gut-skin axis in health and disease: A paradigm with therapeutic implications Der Artikel dient lediglich der Informationsvermittlung in Bezug auf Probiotika und soll nicht als medizinische Empfehlung oder als Ersatz für professionelle medizinische Beratung oder Behandlung interpretiert werden.

    Das Hautmikrobiom: Grundstein für eine gesunde Haut

    Das Hautmikrobiom: Grundstein für eine gesunde Haut

    Das Wichtigste in Kürze Die Haut ist ein lebendiger Ort voller Mikroorganismen, die als Hautmikrobiom bezeichnet werden. Dieses Mikrobiom beeinflusst die Gesundheit und unterstützt das Immunsystem. Die Balance des Mikrobioms kann durch verschiedene Faktoren gestört werden, einschließlich Stress, Medikamenten und falscher Hautpflege. Ein saurer pH-Wert von etwa 5,5 ist ideal für ein gesundes Hautmikrobiom. Die Haut eines Neugeborenen wird unmittelbar nach der Geburt von Mikroorganismen besiedelt, was für die Entwicklung des Immunsystems wichtig ist. Gleichzeitig beginnt sich auch die Darmflora mit guten Bakterien zu füllen, die das Immunsystem stärken. Unsere Hautgesundheit steht im engen Verhältnis zu unserer Darmgesundheit.  Du bist in guter Gesellschaft Auf unserer Haut, die ungefähr eine Oberfläche von zwei Quadratmeter hat, leben Milliarden von Mikroben, bestehend aus Bakterien, Pilzen und noch einige anderen Mikroben. Sie siedeln direkt nach Deiner Geburt an und nennen Deine Haut ihr Zuhause. Forscher sind immer mehr davon überzeugt, dass unsere "Mitbewohner" für unsere Gesundheit entscheidend ist.  Die Gesamtheit aller Mikroben auf der Haut werden als Hautmikrobiom bezeichnet. Befindet sich das Hautmikrobiomim Gleichgewicht, trägt es zum Strahlen der Haut bei, denn es hält den pH-Wert stabil und bildet eine Schutzbarriere, um krankmachende Erreger fernzuhalten. Erstaunlicherweise stehen laut neusten Erkenntnissen die Mikroben unserer Haut mit denen unseres Darms in enger Verbindung! Hautmikrobiom und Hautgesundheit Das Hautmikrobiom spielt eine entscheidende Rolle für die Gesundheit unserer Haut. Ein gestörtes Hautmikrobiom kann zu verschiedenen Auswirkungen auf die Hautgesundheit führen. Die Auswirkungen eines gestörten Hautmikrobioms auf die Hautgesundheit Wenn das Gleichgewicht des Hautmikrobioms gestört ist, kann dies zu verschiedenen Problemen führen. Eine gestörte Hautflora kann dazu führen, dass schädliche Mikroorganismen wie pathogene Bakterien oder Pilze überhandnehmen und die schützende Funktion der Haut beeinträchtigen. Dadurch können Hautirritationen, Entzündungen, Rötungen und Juckreiz auftreten. Ein gestörtes Hautmikrobiom kann auch das Auftreten von Hauterkrankungen begünstigen und den Heilungsprozess verzögern. Zusammenhang zwischen Hautmikrobiom und Hauterkrankungen Die Forschung hat gezeigt, dass das Hautmikrobiom eine wichtige Rolle bei der Entstehung und dem Verlauf von Hauterkrankungen spielt. Bei bestimmten Hauterkrankungen wie Akne, Ekzemen oder Rosacea wurde ein Ungleichgewicht im Hautmikrobiom festgestellt. Dies deutet darauf hin, dass eine gezielte Pflege des Hautmikrobioms bei der Behandlung und Vorbeugung von Hauterkrankungen helfen kann. Durch die Stärkung der nützlichen Mikroorganismen und die Unterdrückung der schädlichen Bakterien oder Pilze kann das Hautmikrobiom wieder ins Gleichgewicht gebracht werden und die Hautgesundheit verbessern. Pflege des Hautmikrobioms Die Produkte, die zur Hautpflege verwendet werden, können die Balance dieser Mini-Bewohner beeinflussen. Seit langem ist bekannt, dass die Haut einen natürlichen Schutzschild hat, der einen leicht sauren pH-Wert hat. Produkte mit einem pH-Wert von 5,5 können diesen Schutzschild stärken. Das Haut-Ökosystem kann durch falsche Pflege, Umweltfaktoren, aber auch Stress und falsche Ernährung aus dem Gleichgewicht geraten und es kann dadurch zu einer vorzeitigen Hautalterung und Hauterkrankungen kommen. Für eine Pflege, die von innen über die Darmflora wirkt, gibt es unser Skin Glow als Nahrungsergänzungsmittel.  Ein schneller Überblick zum Thema Hautmikrobiom Die Gemeinschaft der Mikroorganismen auf Deiner Haut ist entscheidend für Deine allgemeine Hautgesundheit. Sie helfen dabei, Deine Haut stark und widerstandsfähig gegen äußere negative Einflüsse zu machen. Verbindung zum Darm Unser Darmmikrobioms mit seinen Darmbakterien ist für unsere allgemeine Gesundheit unsere mentale Verfassung wie auch unser Immunsystem wichtig. Ähnlich wie die gute Gemeinschaft auf unserer Haut, hilft auch die in unserem Darm, uns gesund zu halten. Nicht nur der Darm, sondern auch die Haut ist voller guter Bakterien und Pilze, die als Teil der ersten Verteidigungslinie gegen schädliche Eindringlinge dienen. Erstaunlicherweise gibt es mittlerweilen Studien, die zeigen, dass sich das Hautmikrobiom und das Darmmikrobiom in einem ständigen Austausch befinden und sich auch gegenseitig beeinflussen. Info: Wenige wissen, dass der menschliche Körper aus mehr mikrobiellen Zellen als menschlichen Zellen besteht. Diese Mikroben besiedeln die Haut und den Darm und erfüllen eine Vielzahl von lebenswichtigen Funktionen. Sie spielen eine entscheidende Rolle bei der Verdauung von Nahrung und bieten Schutz vor Krankheitserregern. Ein ausgewogenes Mikrobiom, die Gemeinschaft dieser Mikroorganismen, ist essentiell für die Aufrechterhaltung von Gesundheit und Wohlbefinden. Eine harmonische Mikrobengemeinschaft unterstützt nicht nur die körpereigenen Abwehrmechanismen, sondern trägt auch wesentlich zur allgemeinen Fitness und zum Wohlbefinden bei. Wie entsteht das Hautmikrobiom? Solange wir uns in dem schützenden Körper unserer Mütter befinden, ist unsere Haut noch fast unbesiedelt – kaum Bakterien weit und breit. Doch das ändert sich mit der Geburt! Kommen wir zur Welt, so nehmen wir bei der Reise durch den Geburtskanal bereits viele Bakterien auf, die dann direkt damit beginnen unsere Haut zu besiedeln. Diese ersten "Mitbewohner" sind wichtig, weil sie das Immunsystem trainieren und uns gegen negative Keime stärken. In verschiedenen Studien wurde gezeigt, dass Kinder, die per Kaiserschnitt zur Welt kamen und somit mit mit den wichtigen Keimer ihrer Mutter nicht in Berührung kamen ein erhöhtes Risiko von Krankheiten wie Asthma, Allergien und Übergewicht aufwiesen (5). Hier findest Du eine weitere interessante Studie über die frühe Kolonisation mit Mikroorganismen. Was macht das Hautmikrobiom eigentlich? Das Hautmikrobiom hat viele Aufgaben. Es kümmert sich um die Gesundheit der Haut, in dem es z.B für den richtigen pH-Wert sorgt und bildet so eine Art Schutzwall gegen pathogene, also krankmachende Keime. Hautprobleme wie Neurodermitis können auftreten, weil beispielsweise das Hautmikrobiom und der pH-Wert aus der Balance geraten sind.  Ein gut funktionierendes Hautmikrobiom sorgt effektiv dafür, dass schlechte Keime abzuwehren. Was bringt das Hautmikrobiom aus dem Gleichgewicht? Verschiedene Dinge, die Dein Haut-Ökosystem durcheinanderbringen können: Medikamente einnehmen Stress haben Zu viel Sonne abbekommen falsche Hautpflegeprodukte verwenden übertriebene Hygiene Auch einige Krankheiten, die in der Familie liegen, können das Mikrobiom beeinflussen.Außerdem können falsche Hautpflegeprodukte oder eine übermäßige Hygiene die guten Bakterien auf deiner Haut angreifen und das Ökosystem der Haut aus dem Gleichgewicht bringen. Dadurch wird Deine Haut empfindlicher und kann leichter von krankmachenden Keimen angegriffen werden. Mehr dazu in dieser Forschungsarbeit. Hier kannst Du mehr über Darmbakterien, Probiotika und deren Einfluss auf die Haut erfahren. Forschung und Zukunftsperspektiven im Bereich Hautmikrobiom Die Erforschung des Hautmikrobioms ist ein aufregendes und sich ständig weiterentwickelndes Gebiet. Aktuelle Forschungsergebnisse haben bereits wichtige Erkenntnisse über die Rolle des Hautmikrobioms bei der Hautgesundheit geliefert. Aktuelle Forschungsergebnisse zum Hautmikrobiom In den letzten Jahren haben Studien gezeigt, dass das Hautmikrobiom eine entscheidende Rolle bei der Aufrechterhaltung einer gesunden Haut spielt. Es wurde festgestellt, dass bestimmte Bakterienstämme auf der Haut eine Schutzbarriere bilden können, die das Eindringen von schädlichen Mikroben verhindert. Des Weiteren wurde entdeckt, dass das Hautmikrobiom eng mit dem Darmmikrobiom interagiert. Über das Darmmikrobiom hat es eine enge Verbindung mit dem Immunsystem. Es unterstützt die Immunabwehr, indem es als Kommunikationsschnittstelle zwischen den Mikroorganismen und den Immunzellen fungiert. Potenziale von Probiotika und Präbiotika für das Hautmikrobiom In der Forschung werden auch potenzielle therapeutische Anwendungen von Probiotika und Präbiotika für das Hautmikrobiom untersucht. Es gibt Hinweise darauf, dass die gezielte Anwendung von probiotischen und präbiotischen Substanzen auf der Haut das Gleichgewicht des Mikrobioms wiederherstellen und bestimmte Hautzustände verbessern kann.Probiotika sind lebende Mikroorganismen, die einen positiven Einfluss auf die Gesundheit haben. Sie können helfen, die schützende Hautbarriere zu stärken und Entzündungen zu reduzieren. Präbiotika sind Stoffe, die das Wachstum bestimmter nützlicher Bakterien auf der Haut fördern können.Die Entwicklung von Produkten, die probiotische und präbiotische Inhaltsstoffe enthalten, zeigen besonders vielversprechende Ergebnisse. Solche Kombinationen werden als Synbiotika bezeichnet. Diese Produkte können dazu beitragen, das Hautmikrobiom zu unterstützen und Hautprobleme zu verbessern. Fazit Das Hautmikrobiom, eine vielfältige Gemeinschaft von Mikroorganismen auf der Haut, spielt eine entscheidende Rolle für die Hautgesundheit und das Immunsystem. Ein ausgewogenes Hautmikrobiom, das durch Faktoren wie Stress, Medikamente und Hautpflegeprodukte beeinflusst wird, unterstützt einen idealen pH-Wert und bildet eine schützende Barriere gegen Krankheitserreger. Schon bei der Geburt beginnt die Besiedelung der Haut mit Mikroorganismen, die für die Entwicklung des Immunsystems wesentlich ist. Es besteht eine enge Verbindung zwischen der Haut- und Darmgesundheit, wobei die Darmflora ebenfalls die Haut beeinflusst. Ein Ungleichgewicht im Hautmikrobiom kann zu Hautproblemen wie Irritationen, Entzündungen und verschiedenen Hauterkrankungen führen. Die Pflege des Hautmikrobioms ist daher entscheidend für die allgemeine Hautgesundheit. Die Forschung deutet darauf hin, dass Probiotika und Präbiotika das Hautmikrobiom positiv beeinflussen können, indem sie die Hautbarriere stärken und Entzündungen reduzieren. Produkte wie Skin Glow, die probiotische und präbiotische Inhaltsstoffe enthalten, versprechen die Unterstützung des Hautmikrobioms und die Verbesserung der Hautgesundheit. Studien Mikrobiom als natürlicher Schutzfaktor Delivery mode and gut microbial changes correlate with an increased risk of childhood asthma Die Rolle des Darmmikrobioms bei chronischen Krankheiten: Eine narrative Übersichtsarbeit  Pro- und PräbiotikaThe Relation of pH and Skin Cleansing   Der Artikel dient lediglich der Informationsvermittlung in Bezug auf Probiotika und soll nicht als medizinische Empfehlung oder als Ersatz für professionelle medizinische Beratung oder Behandlung interpretiert werden.

    Der Zusammenhang zwischen Darm und Hauterkrankungen

    Der Zusammenhang zwischen Darm und Hauterkrankungen

    Das Wichtigste in Kürze   Akne und Hautprobleme können durch viele Dinge ausgelöst werden, wie Hormonveränderungen oder Stress. Deine Haut und Dein Darm haben jeweils ihr eigenes Mikrobiom, eine Art Mini-Ökosystem aus Bakterien. Wenn das Mikrobiom im Darm durcheinander ist, kann das auch Deine Haut beeinflussen. Probiotische Bakterien können Deiner Haut helfen, indem sie die "guten" Bakterien unterstützen und so gegen Hautprobleme ankämpfen. Unser Dailys, besonders in kombination mit den Akazienfasern als Nahrungsergänzungsmittel dabei helfen, das Mikrobiom der Haut zu unterstützen. Oftmals findet man keine plausiblen Gründe, warum Pickel oder andere Hautprobleme entsehen? Mittelerweise ist sich die Forschung einig, es kann etwas mit dem Darm zu tun haben. Dein Darm und Deine Haut kommunizieren miteinander und beeinflussen sich gegenseitig. Unsere Haut wird von Milliarden an Mikroben besiedelt, bestehend aus Bakterien, Viren und Pilze. Unglaublich wenn man sich vorstellt, dass es mehr Mikroben sind,  als Menschen auf der Erde leben! Sie wohnen vor allem auf der obersten Hautschicht und in den Haarfollikeln. Was hat die Entstehung von Pickeln mit unserem Darm zu tun? Bei Menschen mit Hauterkrankungen findet man oft, dass der Darm nicht so arbeitet, wie er sollte. Der Darm ist dafür zuständig, Essen zu verstoffwechseln und anschließend Nährstoffe wie Vitamine und Mineralstoffe duch die Darmwand in Deinen Blutkreislauf zu lassen. Ist unsere Darmwand nicht intakt, so kann es passieren, dass Nährstoffe nicht hindurchgelassen werden und stattdessen schädliche Stoffe in unseren Körper gelangen, statt ausgeschieden zu werden. All das kann Hautprobleme wie Pickel oder Akne verursachen. Manchmal gibt es im Darm sogar schädliche Bakterien, die Giftstoffe machen können. Unser Darmmikrobiom schützt diese Darmwand, befindet sich dieses allerdings nicht im Gleichgewicht und es kommt sogar zu dem Wachstum schädlicher Bakterien, so können diese noch zusätzliche Giftstoffe herstellen. Warum bekommen Menschen Hautprobleme? Hautprobleme können viele verschiedene Ursachen haben. Manchmal kommt es durch die Sonne oder falsche Hautpflegeprodukte. Aber nicht nur äußere Einflüsse können Hautprobleme hevorrufen, auch was in unserem Körper passiert, wie Darmprobleme oder innere leise Entzündungen, können einen großen Einfluß auf unsere Hautgesundheit haben! Einfluss von Stress auf die Haut Leidest Du unter ständigem Stress?  Wird unser Körper Stress ausgesetzt und produziert er bestimmte Hormone, die  Entzündungen im Körper führen können und äußerlich durch Rötungen oder Hauterkrankungen sichtbar werden können. Faktoren, die Hautprobleme hervorrufen Dauerhafter Stress Schlechte Ernährung Medikamente Rauchen Hormone, wie in den Wechseljahren oder durch Testosteron Zu viel Hautfett Das Wetter Allergien Hautprobleme in verschiedenen Lebensphasen Während unterschiedlicher Lebensphasen kann sich das Erscheinungsbild unserer Haut verändern und zu verschiedenen Hautproblemen führen. In der Jugend, einer Zeit hormoneller Umbrüche, sind Pickel und Akne häufige Begleiter. Diese Veränderungen in den Hormonen können zu einer erhöhten Ölproduktion der Haut führen, was wiederum zu verstopften Poren und Hautunreinheiten führt. Im weiteren Lebensverlauf, insbesondere während der Wechseljahre, erleben viele Frauen erneute Hautveränderungen. Die hormonellen Schwankungen in dieser Phase, zusammen mit einer allmählichen Verringerung der Hautdicke, können zu neuen Hautproblemen führen, die von Trockenheit bis hin zu Empfindlichkeiten reichen können. Diese natürlichen Veränderungen unterstreichen die Bedeutung einer angepassten Hautpflege in jedem Lebensabschnitt.  Wie entstehen Pickel und Akne? Pickel können entstehen, wenn verschiedene Faktoren zusammenkommen, wie zum Beispiel eine übermäßige Talgproduktion, verstopfte Poren und das Vorhandensein von Bakterien. Wenn diese Bedingungen erfüllt sind, kann es zu einer Entzündung kommen, die wir als Pickel wahrnehmen. Akne kann durch verschiedene Faktoren ausgelöst werden, einschließlich hormoneller Veränderungen, die sowohl bei Frauen als auch bei Männern auftreten können. Während der Pubertät kann die Produktion bestimmter Hormone wie Testosteron ansteigen, was zu einer erhöhten Talgproduktion führen kann. Wenn dieser Talg nicht richtig abfließen kann und sich mit Bakterien vermischt, kann Akne entstehen. Verschiedene Arten von Hautproblemen Flecken: Das sind kleine rote Stellen auf der Haut. Sie können zum Beispiel von einer Allergie kommen. Papel, Knötchen, Knoten: Das sind kleine Beulen, die Du fühlen kannst, wenn Du mit dem Finger darüber gehst. Bläschen: Das sind kleine Blasen, die mit einer Flüssigkeit gefüllt sind. Manchmal platzen sie auf, und das kann wehtun. Pustel: Das ist fast wie ein Bläschen, aber es ist mit Eiter gefüllt. Das ist die gelbe Flüssigkeit, die manchmal aus einem Pickel kommt. Quaddeln: Das sind kleine Hügel auf der Haut. Sie können unterschiedlich groß sein und oft jucken sie. Schuppen: Das sind kleine Hautstückchen, die sich lösen, meistens weil die Haut zu trocken ist. Narben: Das sind die Zeichen, die zurückbleiben, wenn eine Wunde verheilt ist. Sie sehen oft anders aus als der Rest der Haut. Rhagade: Das ist ein kleiner Riss in der Haut, oft an den Fingern oder den Füßen. Kruste: Wenn Du Dich verletzt und das Blut trocknet, bildet sich eine Kruste als natürlicher Schutz für die Wunde. Bei anhaltenden oder wiederkehrenden Hautproblemen sollte immer auch ein Arzt/Ärztin hinzugezogen werden. Verbindung zwischen Darm und Haut Es gibt ein Sprichwort: "Wenn es dem Darm schlecht geht, geht es auch der Haut schlecht." Und das ist wahr! Besonders, wenn wirgestresst sind oder Medikamente wie Antibiotika nehmen. Ein gutes Beispiel ist der Begriff "Dysbiose", der eine Störung der natürlichen Darmflora bezeichnet. Diese Störung hat eine Reihe von Konsequenzen, und eine davon ist die Entstehung von Hautproblemen. Wissenschaftler haben festgestellt, dass Menschen mit bestimmten Hautkrankheiten wie Rosacea und Neurodermitis oft weniger gute Bakterien in ihrem Darm haben. Diese guten Bakterien, wie Laktobazillen und Bifidobakterien, sind wichtig, um Entzündungen im Körper zu vermindern. Wenn sie fehlen, kann das zu Hautproblemen führen. Eine gesunde Darmfunktion ist entscheidend für die effektive Aufnahme lebenswichtiger Nährstoffe wie Vitamine und Mineralien. Störungen in der Darmtätigkeit können nicht nur die Nährstoffaufnahme beeinträchtigen, sondern auch die Durchlässigkeit für schädliche Substanzen erhöhen. Dies kann zu Entzündungen und allergischen Reaktionen führen, die sich auf der Haut als Pickel oder Ekzeme zeigen. Darüber hinaus kann eine beeinträchtigte Darmgesundheit auch zu vorzeitiger Hautalterung beitragen, indem sie die natürlichen Abwehrmechanismen und die Regenerationsfähigkeit der Haut schwächt. Studien zeigen, dass Menschen mit Hauterkrankungen oft eine weniger vielfältige Darmflora und eine geringere Anzahl an guten Bakterien aufweisen. Daher ist es wichtig, die Gesundheit der Darmflora zu fördern, um auch die Hautgesundheit zu unterstützen. Eine gesunde Darmflora stärkt das Immunsystem und verbessert die Fähigkeit des Körpers, schädliche Keime abzuwehren. Interessanterweise haben Menschen aus indigenen Völkern, die oft einen natürlicheren Lebensstil führen, in der Regel eine gesündere Darmflora. Unsere moderne Lebens- und Ernährungsweise hat die Diversität der nützlichen Darmbakterien reduziert, was sich negativ auf die Haut auswirken kann. Effektive Strategien gegen Hautprobleme Ein perfektes Hautbild ist eher die Ausnahme als die Regel. Für viele Menschen sind Pickel oder Mitesser Alltag. Doch manchmal kann bereits die Änderung der Ernährung oder Stressreduktion zu einer deutlcihen Verbesserungen führen. Wer jedoch kontinuierlich unter schmerzhaften, entzündeten Hautunreinheiten leidet, sollte professionelle Hilfe in Anspruch nehmen, anstatt auf eigene Faust zu experimentieren. Hochpreisige Hautprodukte sind oft nicht die Lösung, da die wahren Ursachen im Inneren des Körpers zu finden sind. Hier sind einige Tipps, um das Erscheinungsbild der Haut zu verbessern: Wenn ein Pickel auftaucht, ist es ratsam, ihn in Ruhe zu lassen. Das Ausdrücken kann weitere Entzündungen und sogar Narbenbildung verursachen. Für die Reinigung der Haut sind milde, pH-neutrale und duftstofffreie Waschlotionen am besten geeignet. Übermäßiges Waschen kann den natürlichen Säureschutzmantel der Haut zerstören und die Situation verschlimmern. Wähle Pflegeprodukte auf Wasserbasis, da fettige oder ölhaltige Cremes die Poren blockieren können. Probiotische Nahrungsergänzungsmittel, wie Skin Glow, können die Darmflora verbessern und damit auch das Hautbild positiv beeinflussen.  Spezial-Make-up für unreine Haut kann für ein gleichmäßigeres Erscheinungsbild sorgen und das Selbstwertgefühl stärken. Achte auf Labels wie "nicht komedogen" oder "fettfrei". Vermeide extreme Temperaturen und UV-Strahlung, da diese die Hautprobleme verschlimmern können. Eine abwechslunbgsreiche Ernährung mit viel Obst und Gemüse und damit reich an Präbiotika, kann sich positiv auf die Haut und das allgemeine Wohlbefinden auswirken. Vermeide es, das Gesicht ständig mit den Händen zu berühren, da sich darauf viele Bakterien befinden. Benutze unterschiedliche Handtücher für Gesicht und Hände und wechsle diese regelmäßig aus. Können Bakterien die Haut verändern? Wenn man an Akne denkt, kommen einem oft Bilder von störenden Pickeln und Rötungen in den Sinn. Dies wird auf Störungen in den Talgdrüsen und Haarfollikeln der Haut zurückgeführt. Am häufigsten tritt Akne im Gesicht, auf dem Rücken und der Brust auf. Es gibt viele Auslöser für Akne. In der Pubertät können hormonelle Veränderungen dazu führen, aber Akne beschränkt sich nicht nur auf Jugendliche. Stress, bestimmte Medikamente, oder sogar die verwendete Hautpflege können Akne begünstigen. Interessanterweise kann Akne Menschen in jedem Alter betreffen, sogar im fortgeschrittenen Erwachsenenalter.Ein spannender Aspekt ist das Hautmikrobiom, also die Vielfalt an Bakterien auf unserer Haut. Wenn das Gleichgewicht zwischen „guten“ und „schlechten“ Bakterien gestört ist, können Hautprobleme wie Akne entstehen.Wissenschaftler untersuchen die Rolle probiotischer Bakterien bei der Hautgesundheit. Diese „guten“ Bakterien, wie Lactobacillus acidophilus und Bifidobacterium bifidum, können das Gleichgewicht der Hautflora unterstützen und so zur Verbesserung der Haut beitragen.Diese Bakterien wirken wie kleine Beschützer, die die Haut vor schädlichen Keimen und Pilzen schützen. Wenn schädliche Bakterien eindringen, reagiert der Körper oft mit Entzündungen. Die „guten“ Bakterien können helfen, dies zu verhindern. Daher spielen Bakterien eine wesentliche Rolle für die Gesundheit unserer Haut. Fazit In Deinem Körper leben zahlreiche nützliche Mikroorganismen, die eine Schlüsselrolle in der Erhaltung der Hautgesundheit spielen. Sie bekämpfen pathogene also krankmachende Bakterien, die für Hautprobleme wie Akne verantwortlich sein können. Diese Mikroorganismen bilden somit eine Art schützende Barriere, die dann wiederum das Hautmikrobiom im Gleichgewicht hält. Unterstützung kannst Du den nützlichen Mikroorganismen durch einen gesunden Lebensstil, dem richtigen Essen und hochdosierten probiotischen Bakterien, wie zum Beispiel Skin Glow, geben. Studien The Gut Microbiome as a Major Regulator of the Gut-Skin Axis Gut microbiome of the Hadza hunter-gatherers Der Artikel dient lediglich der Informationsvermittlung in Bezug auf Probiotika und soll nicht als medizinische Empfehlung oder als Ersatz für professionelle medizinische Beratung oder Behandlung interpretiert werden.

    Haut und Darmflora: Warum die Gesundheit von beidem zusammenhängt

    Haut und Darmflora: Warum die Gesundheit von beidem zusammenhängt

    Das Wichtigste in Kürze Darm und Haut haben eine enge Verbindung durch die sogenannte Darm-Haut-Achse. Beide Organe sind Heimat einer reichen Mikroflora, also vielen verschiedenen Mikroorganismen. Über das Immunsystem sind Darm und Haut miteinander verbunden. Die Darmflora trägt dazu bei, die Haut gesund zu halten, indem sie das Immunsystem trainiert und Vitalstoffe bereitstellt. Externe Faktoren wie Sonne, Medikamente und schlechter Lebensstil können die Haut beeinflussen. Es gibt Studien, die zeigen, dass Darmgesundheit und Hautprobleme miteinander in Verbindung stehen. Ernährung spielt eine große Rolle: Manche Lebensmittel und Vitamine können sowohl dem Darm als auch der Haut helfen. Die Forschung bestätigt immer mehr die Bedeutung einer gesunden Darmflora für die Haut. Probiotika kann als Nahrungsergänzungsmittel dabei helfen, die Haut und Darmflora von innen zu verbessern. Unsere Haut und unsere Darmflora stehen in einer faszinierenden Wechselbeziehung. Der Darm, mit seiner vielfältigen Mikrobenwelt, beeinflusst unser Immunsystem, welches wiederum einen großen Einfluss auf die Hautgesundheit hat. Ein gesundes Darmmikrobiom kann Entzündungen im Körper reduzieren, was sich positiv auf Hautprobleme wie Akne oder Ekzeme auswirken kann. Kurz gesagt, eine gesunde Darmflora kann zu einer gesünderen Haut führen. Wie Haut und Darm beste Kumpels wurden Zwischen unserer Haut und unserer Darmflora besteht eine faszinierende Verbindung: zwei Schlüsselkomponenten unserer Gesundheit. Die embryonale Entwicklung enthüllt, dass Haut und Darm aus denselben Ursprungszellen, dem Ektoderm, entstehen. Dieses erstaunliche Faktum verdeutlicht die tiefe biologische Verbindung zwischen Hautgesundheit und Darmgesundheit. Ein gesundes Darmmikrobiom, reich an nützlichen Bakterien, ist entscheidend für die Aufrechterhaltung einer gesunden Haut. Dieser Zusammenhang bietet Einblicke in innovative Hautpflegestrategien und Darmgesundheitslösungen. Auf dieser Website erfährst Du mehr über die Wissenschaft hinter Hautpflege und Darmgesundheit und wie wir durch die Pflege unserer Darmflora auch unsere Hautgesundheit verbessern können. Für mehr Infos zu diesem Thema, schau Dir diese wissenschaftliche Studie an. Unser Darm Trainingscamp fürs Immunsystem Das Darmmikrobiom, unsere umfangreiche Darmflora, agiert als essentielles Trainingscamp für das Immunsystem. Es bietet eine unglaubliche Vielfalt an Mikroorganismen, die dem Immunsystem helfen, zwischen harmlosen und schädlichen Eindringlingen zu unterscheiden. Dieser ständige Kontakt fördert die Entwicklung einer Toleranz gegenüber nützlichen Mikroben, was wichtig ist, um übermäßige Immunreaktionen wie Allergien zu vermeiden. Gleichzeitig stimulieren bestimmte Mikroorganismen im Darm das Immunsystem, stärken es und unterstützen die Entwicklung wichtiger Immunzellen, wie T-Zellen. Die Darmflora unterstützt auch die Barrierefunktion des Darms, die verhindert, dass schädliche Substanzen in den Körper eindringen. Durch all diese Mechanismen spielt das Darmmikrobiom eine zentrale Rolle in der Ausbildung und Aufrechterhaltung eines effektiven Immunsystems. Ein gesundes Immunsystem sorgt wiederum für eine gesunde Haut! Problem mit der Haut Häufig wird die Haut als Indikator für unsere Emotionen und Lebensweise betrachtet. Hautprobleme wie Rötungen, Irritationen oder Akne stehen oft mit unserem inneren Wohlbefinden in Verbindung.Jede Haut altert im Laufe der Zeit, das ist ein normaler Prozess, aber es gibt Faktoren, die zusätzlichen Stress für die Haut bedeuten können und damit zu vorzeitiger Hautalterung führen kann.Übermäßige Sonneneinstrahlung, bestimmte Medikamente und ungeeignete Hautpflegeprodukte können die Haut belasten. Hinzu kommen Lebensstilfaktoren wie Schlafmangel, Rauchen, Stress und eine unzureichende Ernährung, die allesamt nachteilige Auswirkungen auf die Hautgesundheit haben können.  Gutes Essen für Haut und Darm: Was sie wirklich mögen Welche Darmbakterien sind gut für die Haut? Wenn Hautprobleme auftreten, könnte eine Ursache in einem unausgewogenen Darmmikrobiom liegen. Für einen gesunden Darm ist es entscheidend, ein Gleichgewicht zwischen verschiedenen Bakterienarten zu haben, einschließlich sowohl förderlicher als auch potenziell schädlicher Bakterien. Diese Diversität ist für die Erhaltung der Darmgesundheit unerlässlich.Besonders vorteilhaft für den Darm sind Milchsäurebakterien wie Lactobazillen und Bifidobakterien. Um jedoch effektiv zu funktionieren und uns zu unterstützen, benötigen diese nützlichen Mikroorganismen die richtige Nahrung, bekannt als Präbiotika. Diese versorgen die guten Bakterien mit dem, was sie brauchen, um zu gedeihen und positiv auf unsere Gesundheit einzuwirken. Ballaststoffe & Bitterstoffe: Warum sie wichtig sind Bitterstoffe sind wesentlich für die Darmflora, da sie die Verdauungsfunktionen anregen, die Produktion von Verdauungssäften fördern und damit die Nahrungszersetzung und -absorption verbessern. Diese Stoffe unterstützen zudem das Wachstum von nützlichen Bakterien im Darm, was ein ausgeglichenes Mikrobiom begünstigt. Zusätzlich zur Appetitregulierung wirken Bitterstoffe entzündungshemmend, was sowohl die Darmgesundheit als auch indirekt das Immunsystem stärkt.Ballaststoffe spielen ebenfalls eine entscheidende Rolle für die Darmflora. Sie sind in Obst, Gemüse und Vollkornprodukten enthalten und dienen als Präbiotika, also als Nahrung für die guten Darmbakterien. Unsere Probiotika enthalten auch präbiotische inhaltsstoffe wie Inulin und Oligosaccharide, die das Wachstum gesunder Bakterien fördern. Ein gesunder Darm wirkt sich wiederum positiv auf die Hautgesundheit aus. Ein glücklicher Darm ist also ein Schlüssel zu gesunder Haut. Was dem Darm und seinen Bakterien nicht schmeckt Zu wenig Ballaststoffe: Hungert gute Darmbakterien aus Viel Zucker: Fördert das Wachstum schlechter Mikroben Gesättigte Fette: Die tun weder dem Darm noch dem Herz gut. Zu viel Eiweiß: Das kann den Darm stören. Alkohol: Ein Zellgift, auch für die Zellen des Darms. Zusatzstoffe in Lebensmitteln: Können negativen Einfluß auf die Darmflora haben. Bestimmte Medikamente: Antibiotika und andere Medikamente können das Gleichgewicht des Mikrobioms stören Was dem Darm und seinen Bakterien schmeckt Ballaststoffe: Zu finden in Obst, Gemüse und Vollkorn, mehr unter Präbiotika. Bitterstoffe: Zum Beispiel in der Mariendistel und Artischocke. Die tun der Verdauung gut. Fermentierte Lebensmittel: Wie Sauerkraut, das ist super für die Darmflora. Gute Vitamine: A, B2, Niacin und Biotin für die Schleimhaut im Darm. Viel Flüssigkeit: Wasser und Kräutertees  Schonendes Kochen: Besser dämpfen oder garen statt braten oder frittieren. Richtig kauen und Zeit zum Essen: Das hilft dem Darm, alles besser zu verdauen. Wusstest Du das? Unser Darm liebt Bewegung! Wenn Du Sport machst, hilft das nicht nur Deinem Herzen, sondern auch Deiner Verdauung. Laut verschiedener Studien können bereits 30 Minuten leichten Ausdauersports wie Walken pro Tag schon einen großen Unterschied machen. Der Darm als Schönheits-Organ In unserem Darm leben viele Bakterien, die ein entscheidendes Wörtchen für unsere Gesundheit mitzusprechen haben. Sie helfen bei der Verdauung, trainieren unser Immunsystem und schützen uns. Außerdem produzieren sie Stoffe, die unsere Haut gesund erhalten und vor vorzeitiger Hautalterung schützen können. Also kann man von unserem Darm als Schönheitsorgan sprechen, denn er ist es, der uns auch von außen strahlen lässt! Gerät allerdings hier etwas aus dem gleichgewicht, so kann das die Haut schlecht aussehen lassen. Zum Beispiel können Stoffe wie Phenole und Paracresol die Darmbarriere stören und die Produktion von guten Stoffen für die Haut verändern. Phenole sind chemische Verbindungen, die oft in Desinfektionsmitteln und Konservierungsstoffen vorkommen. Paracresol ist eine Art von Phenol und wird manchmal in der Herstellung von Kunststoffen und Harzen verwendet. Beide können die schützende Schicht im Darm schwächen. Passiert das, so können weniger gute Stoffe produziert werden, die normalerweise der Haut helfen würden. Das kann dann zu Hautproblemen wie Trockenheit und Reizungen verbunden mit einer vorzeitigen Hautalterung führen. Fazit Die Haut ist weit mehr als nur eine Schutzschicht; sie reflektiert unsere innere Gesundheit und unser emotionales Wohlbefinden. Hautprobleme können sowohl physisch als auch psychisch belastend sein und oft liegt die Lösung in der Betrachtung unserer Darmgesundheit. Eine unausgewogene Darmflora kann häufig die Wurzel von Hautproblemen sein. Ein gesunder Darm trägt maßgeblich zu einer gesunden Haut bei. Daher ist es wichtig, das Gleichgewicht der Darmflora zu pflegen, um Hautprobleme von innen heraus zu bekämpfen. Entdecke, wie die Gesundheit des Darms und die Pflege Deiner Haut zusammenhängen, um ein umfassendes Bild Deiner körperlichen Gesundheit zu erhalten. Wenn Du noch nach dem richtigen Boost für Deine Haut suchst, kann Dir vielleicht unser Skin Glow helfen. Und wenn sich herausstellt, dass das Problem hartnäckiger ist, zögere nicht, professionelle Hilfe in Anspruch zu nehmen.  Studien The Gut Microbiome as a Major Regulator of the Gut-Skin Axis The role of microbiota, and probiotics and prebiotics in skin health Human Skin Is the Largest Epithelial Surface for Interaction with Microbes Der Artikel dient lediglich der Informationsvermittlung in Bezug auf Probiotika und soll nicht als medizinische Empfehlung oder als Ersatz für professionelle medizinische Beratung oder Behandlung interpretiert werden.

    Ein umfassender Überblick über Zöliakie: Symptome, Diagnose und Behandlung

    Ein umfassender Überblick über Zöliakie: Symptome, Diagnose und Behandlung

    Was ist Zöliakie? Zöliakie ist eine Erkrankung, bei der der Konsum von Gluten – einem Klebeeiweß, das in einigen Getreidesorten vorkommt – eine chronische Entzündung in der Dünndarmschleimhaut auslöst. Dies führt zu einer entzündlichen Reaktion, die die Darmzotten schädigt. Diese Zotten sind kleine Ausstülpungen, die essenziell für die Absorption von Nährstoffen, Vitaminen und Mineralien aus dem Verdauungstrakt ins Blut sind. Wenn diese Zotten beschädigt sind, wird die Nährstoffaufnahme reduziert, und unverdaute Nahrungsbestandteile können weiter in den Darm gelangen und Durchfall verursachen. Zöliakie tritt oft bei Personen mit einer genetischen Prädisposition auf und kann in Familien gehäuft vorkommen. Sie kann sowohl bei Kindern als auch bei Erwachsenen diagnostiziert werden. Das Risiko für Zöliakie ist zudem bei Personen mit anderen Autoimmunerkrankungen oder genetischen Syndromen erhöht, darunter: - Diabetes Typ 1 - Hashimoto-Thyreoiditis - Morbus Basedow - rheumatoide Arthritis - Down-Syndrom Es gibt Diskussionen, dass Zöliakie möglicherweise keine typische Autoimmunerkrankung ist, weil sie von einem externen Auslöser (Gluten) abhängig ist, die Schäden an den Darmschleimhaut reversibel sind, wenn Gluten vermieden wird und die Immunantwort spezifisch gegen Gluten gerichtet ist, nicht gegen eine breite Palette von Körperzellen oder Gewebearten. Trotz dieser Unterschiede wird Zöliakie in der medizinischen Forschung und Definition aufgrund der selbstschädigenden Immunreaktion und der Bildung von Antikörpern gegen körpereigene Enzyme (wie die Gewebstransglutaminase) als Autoimmunerkrankung eingestuft. Symptome von Zöliakie Die Symptome von Zöliakie können von Person zu Person variieren, aber zu den häufigsten gehören chronische Durchfälle, Bauchschmerzen, Blähungen, Müdigkeit und Gewichtsverlust. Darüber hinaus können auch Symptome außerhalb des Verdauungstrakts auftreten, wie z. B. Hautausschläge, Gelenkschmerzen, Kopfschmerzen und Depressionen. Es ist wichtig zu beachten, dass nicht alle Personen mit Zöliakie offensichtliche Symptome haben. Einige können nur geringfügige Beschwerden haben oder sogar asymptomatisch sein. Diagnose von Zöliakie Die Diagnose von Zöliakie ist ein komplexer Prozess, der eine sorgfältige Untersuchung der klinischen Symptome erfordert, ergänzt durch spezifische Labortests und invasivere Verfahren wie die Dünndarmbiopsie. Bluttests spielen eine entscheidende Rolle bei der Diagnose, da sie das Vorhandensein von Antikörpern gegen Glutenbestandteile wie Anti-Transglutaminase-Antikörper (Anti-tTG) und Anti-Endomysium-Antikörper (EMA) nachweisen können. Diese Antikörper sind charakteristisch für Zöliakie und können auf eine Immunreaktion im Darm hinweisen. Die Dünndarmbiopsie bleibt jedoch der Goldstandard für die Diagnose von Zöliakie. Dabei entnimmt der Arzt Gewebeproben aus dem Dünndarm, um die Schädigung der Darmzotten zu beurteilen. Bei Zöliakie sind diese Darmzotten typischerweise verkümmert oder abgeflacht, was auf eine fortschreitende Entzündung und Schädigung des Darms hinweist. Dieser histologische Befund unterstützt die klinische Diagnose und bestätigt das Vorhandensein der Erkrankung. Es ist entscheidend zu betonen, dass Personen, die den Verdacht haben, an Zöliakie zu leiden, nicht eigenständig auf eine glutenfreie Diät umsteigen sollten, bevor eine formelle Diagnose gestellt wurde. Eine glutenfreie Ernährung kann die Symptome lindern und die Darmschleimhaut regenerieren, was die Ergebnisse der Dünndarmbiopsie beeinträchtigen könnte und zu einer falsch negativen Diagnose führen kann. Daher ist es wichtig, die Diagnose unter ärztlicher Aufsicht zu stellen, um eine genaue Beurteilung der Krankheit zu gewährleisten und eine angemessene Behandlung einzuleiten. Behandlung von Zöliakie Die Hauptbehandlungsmethode für Zöliakie besteht in einer strikten glutenfreien Ernährung, die lebenslang eingehalten werden muss. Dies bedeutet, dass sämtliche glutenhaltigen Lebensmittel konsequent vermieden werden müssen, da bereits kleine Mengen Gluten eine Reaktion im Darm auslösen können. Gluten ist in einer Vielzahl von Lebensmitteln enthalten, einschließlich Weizen, Roggen, Gerste und bestimmten Haferprodukten. Selbst geringfügige Mengen von Gluten können die Darmschleimhaut von Menschen mit Zöliakie schädigen und zu Symptomen führen. Die meisten Menschen mit Zöliakie erleben eine deutliche Verbesserung ihrer Symptome innerhalb weniger Wochen oder Monate nach Beginn einer glutenfreien Ernährung. Die Entzündung im Darm klingt ab, und die Darmzotten können sich regenerieren, was zu einer normalen Verdauung und Aufnahme von Nährstoffen führt. Die strikte Einhaltung einer glutenfreien Diät ist jedoch unerlässlich, um eine Remission der Symptome aufrechtzuerhalten und langfristige Komplikationen zu verhindern. [[blog_ad]] Die Rolle von Probiotika bei Zöliakie Studien legen nahe, dass Probiotika eine vielversprechende Rolle bei der Behandlung von Zöliakie spielen könnten. Insbesondere haben bestimmte Probiotika-Stämme die Fähigkeit gezeigt, immuntoxische Gluten Peptide enzymatisch abzubauen, was eine zentrale Herausforderung in der Pathogenese der Zöliakie darstellt. Diese doppelte Rolle positioniert Probiotika als ganzheitliches Mittel zur Behandlung von Zöliakie, das den Patienten Immunmodulation und Symptomlinderung bietet und möglicherweise die Toxizität von Glutenpeptiden mildert. Probiotika haben sich als äußerst effizient in Bezug auf die Reduzierung von Durchfall bei Zöliakie erwiesen. Probiotika verbessern nicht nur die Lebensqualität, sondern spielen auch eine wesentliche Rolle bei der Bewältigung von Zöliakie. Weitere Forschung ist jedoch erforderlich, um die genauen Mechanismen zu verstehen, durch die Probiotika bei der Behandlung von Zöliakie wirken. Trotzdem deuten die bisherigen Erkenntnisse darauf hin, dass bestimmte, hochwertige Probiotika eine vielversprechende ergänzende Therapieoption für Zöliakie-Patienten sein könnten, die dazu beitragen könnte, die Darmgesundheit zu verbessern und die Symptome zu lindern. Fazit Zöliakie ist eine ernste Autoimmunerkrankung, die eine lebenslange glutenfreie Ernährung erfordert. Eine frühzeitige Diagnose und Behandlung sind entscheidend, um Komplikationen zu vermeiden und die Lebensqualität der Betroffenen zu verbessern. Durch eine sorgfältige Einhaltung einer glutenfreien Ernährung und regelmäßige Betreuung können Menschen mit Zöliakie ein gesundes und erfülltes Leben führen. Quellen: Moawad MHE, Alkhawaldeh IM, Naswhan AJ. Efficacy of probiotics supplementation in amelioration of celiac disease symptoms and enhancement of immune system. World J Clin Cases 2023; 11(32): 7741-7744 [PMID: 38073702 DOI: 10.12998/wjcc.v11.i32.7741] Klemenak M, Dolinšek J, Langerholc T, Di Gioia D, Mičetić-Turk D. Administration of Bifidobacterium breve decreases the production of TNF-α in children with celiac disease. Dig Dis Sci. 2015;60:3386–3392. Primec M, Klemenak M, Di Gioia D, et al. Clinical intervention using Bifidobacterium strains in celiac disease children reveals novel microbial modulators of TNF-α and short-chain fatty acids. Clin Nutr. 2019;38:1373–1381. Fallani M, Young D, Scott J, et al. Intestinal microbiota of 6-week-old infants across Europe: geographic influence beyond delivery mode, breast-feeding, and antibiotics. J Pediatr Gastroenterol Nutr. 2010;51:77–84. De Angelis M, Rizzello CG, Fasano A, et al. VSL#3 probiotic preparation has the capacity to hydrolyze gliadin polypeptides responsible for Celiac Sprue. Biochim Biophys Acta. 2006;1762:80–93. De Palma G, Nadal I, Collado MC, Sanz Y. Effects of a gluten-free diet on gut microbiota and immune function in healthy adult human subjects. Br J Nutr. 2009;102:1154–1160. Högberg L, Grodzinsky E, Stenhammar L. Better dietary compliance in patients with coeliac disease diagnosed in early childhood. Scand J Gastroenterol. 2003;38:751–754. Der Artikel dient lediglich der Informationsvermittlung in Bezug auf Probiotika und soll nicht als medizinische Empfehlung oder als Ersatz für professionelle medizinische Beratung oder Behandlung interpretiert werden.

    Bindegewebserkrankung: Eine umfassende Übersicht

    Bindegewebserkrankung: Eine umfassende Übersicht

    Ursachen von Bindegewebserkrankungen Die Ursachen von Bindegewebserkrankungen sind multifaktoriell und können durch eine Vielzahl von Faktoren beeinflusst werden. Studien zeigen, dass genetische Veranlagungen bei einigen Bindegewebserkrankungen eine Rolle spielen, wobei bestimmte Gene das Risiko für diese Erkrankungen erhöhen können.Darüber hinaus haben Umweltfaktoren wie Rauchen, UV-Strahlung und die Exposition gegenüber bestimmten Medikamenten gezeigt, das Risiko für Bindegewebserkrankungen zu erhöhen. Insbesondere das Immunsystem spielt eine entscheidende Rolle, da Autoimmunerkrankungen wie systemischer Lupus erythematodes (SLE) und rheumatoide Arthritis das Bindegewebe angreifen können, was zu Entzündungen und Gewebeschäden führen kann. Arten von Bindegewebserkrankungen Bindegewebserkrankungen umfassen eine breite Palette von Störungen, von denen einige zu den häufigsten und bekanntesten gehören. Systemischer Lupus erythematodes (SLE): Eine komplexe Autoimmunerkrankung, bei der das Immunsystem gesundes Gewebe angreift und multiple Organe beeinträchtigen kann. Rheumatoide Arthritis: Eine entzündliche Erkrankung, die hauptsächlich die Gelenke betrifft und zu Schmerzen, Schwellungen und Steifheit führen kann. Sklerodermie: Eine seltene Autoimmunerkrankung, die zu einer Verhärtung und Verdickung der Haut führt und auch innere Organe betreffen kann. Symptome von Bindegewebserkrankungen Die Symptome von Bindegewebserkrankungen können je nach Art und Schwere der Erkrankung variieren. Typische Symptome dieser Erkrankung umfassen unspezifische Gelenkbeschwerden sowie das "Weißwerden" der Finger bei Kälteeinfluss, gefolgt von einer lividen bis rötlichen Verfärbung (ein Zeichen für anhaltenden Druck und Stauung, bekannt als das Raynaud-Phänomen). Darüber hinaus können Einblutungen in die Haut und eine deutliche Verschlechterung der Lungen- und Nierenfunktion auftreten. [[blog_ad]] Diagnose von Bindegewebserkrankungen Die Diagnose von Bindegewebserkrankungen erfordert ein gründliches und multidisziplinäres diagnostisches Vorgehen, das verschiedene Aspekte des Patienten und seiner Krankheitsgeschichte berücksichtigt.In der Regel beginnt der Prozess mit einer ausführlichen Anamnese, in der der Arzt den Patienten nach seinen Symptomen, seiner Krankheitsgeschichte, familiären Vorerkrankungen und möglichen Expositionen gegenüber Umweltfaktoren befragt. Eine sorgfältige körperliche Untersuchung kann weitere Hinweise auf das Vorliegen einer Bindegewebserkrankung liefern, indem sie auf charakteristische Symptome wie Gelenkschwellungen, Hautveränderungen oder Anzeichen von Organbeteiligung hinweist. Bluttests spielen eine entscheidende Rolle bei der Diagnose von Bindegewebserkrankungen, da sie auf verschiedene biomarkerbasierte Marker wie Entzündungsmarker, Autoantikörper und andere spezifische Proteine im Blut untersuchen können. Diese Tests können helfen, eine Vielzahl von Bindegewebserkrankungen zu identifizieren und zu differenzieren, darunter systemischer Lupus erythematodes (SLE), rheumatoide Arthritis und Sklerodermie, unter anderen. Bildgebende Verfahren wie Röntgen, Ultraschall, MRT (Magnetresonanztomographie) und CT (Computertomographie) können ebenfalls eingesetzt werden, um strukturelle Veränderungen im Körper zu identifizieren, die mit bestimmten Bindegewebserkrankungen verbunden sein können. Diese Verfahren können helfen, Gelenkerosionen, Verkalkungen, Organvergrößerungen oder andere pathologische Befunde zu erkennen. In einigen Fällen kann eine Gewebebiopsie erforderlich sein, um eine definitive Diagnose zu stellen. Dies beinhaltet die Entnahme einer Gewebeprobe aus betroffenen Bereichen, die anschließend unter dem Mikroskop untersucht wird, um charakteristische Veränderungen zu identifizieren, die mit bestimmten Bindegewebserkrankungen assoziiert sind. Die Rolle von Probiotika bei Bindegewebserkrankungen Basierend auf den Schlussfolgerungen einiger Studien, können Probiotika eine vorteilhafte Rolle bei der Behandlung von Bindegewebserkrankungen und entzündlichen Arthritiden spielen, indem sie die menschliche Mikrobiota modulieren und somit das Immunsystem beeinflussen. Zahlreiche Studien haben gezeigt, dass Veränderungen in der Mikrobiota an der Pathogenese entzündlicher Arthritiden beteiligt sein könnten, aufgrund einer abnormen Aktivierung der angeborenen und adaptiven Immunantworten. Darüber hinaus wurde festgestellt, dass die Mikrobiota autoimmune Krankheiten auslösen und aufrechterhalten kann und mit der Schwere und dem Verlauf der idiopathischen Lungenfibrose assoziiert ist, die das Muster der interstitiellen Lungenerkrankungen darstellt. Interstitielle Lungenerkrankungen können eine wesentliche Ursache für Morbidität und Mortalität bei Patienten mit Bindegewebserkrankungen sein. Studien haben gezeigt, dass bei Patienten mit rheumatoider Arthritis (RA) die Mikrobiota des bronchoalveolären Lavage signifikant weniger vielfältig und reichhaltig ist im Vergleich zu gesunden Kontrollen, und diese Veränderungen sind mit der Krankheitsschwere verbunden. Darüber hinaus wurde festgestellt, dass eine gestörte Darmmikrobiota bei systemischer Sklerose mit interstitiellen Lungenerkrankungen assoziiert ist. Die Verabreichung von Buttersäure zur Wiederherstellung der Darmmikrobiota hat den Grad der Lungenfibrose in Tierversuchen reduziert.  Zusammenfassend lässt sich sagen, dass obwohl weitere Studien erforderlich sind, um die spezifische Rolle von Probiotika bei Bindegewebserkrankungen und entzündlichen Arthritiden besser zu verstehen, die derzeitige Forschung darauf hindeutet, dass sie ein vielversprechendes Werkzeug zur Modulation der Mikrobiota und möglicherweise zur Verbesserung der Immunantwort bei diesen Erkrankungen sein könnten. Behandlung der Addison-Krankheit Behandlungsmethoden bei Bindegewebserkrankungen Medikamente spielen eine zentrale Rolle bei der Behandlung von Bindegewebserkrankungen. Entzündungshemmende Medikamente wie nichtsteroidale Antirheumatika (NSAR) werden häufig eingesetzt, um Schmerzen und Entzündungen zu reduzieren. Diese Medikamente können dazu beitragen, Gelenkbeschwerden und Muskelschmerzen zu lindern, die häufig bei Bindegewebserkrankungen auftreten. Auch eine Ernährungsumstellung auf eine anti-entzündliche Ernährung reich an Probiotika  in probiotischen Lebensmitteln und Nahrungsergänzungen) kann unterstützend hilfreich sein. Für Patienten mit schwerwiegenden oder systemischen Formen von Bindegewebserkrankungen können Immunsuppressiva verschrieben werden, um das Immunsystem zu unterdrücken und die Entzündungsreaktionen im Körper zu reduzieren. Diese Medikamente können dazu beitragen, das Fortschreiten der Erkrankung zu verlangsamen und Organschäden zu verhindern. Neben der medikamentösen Therapie spielen auch nichtmedikamentöse Behandlungsansätze eine wichtige Rolle. Physiotherapie und ergotherapeutische Maßnahmen können dazu beitragen, die Beweglichkeit zu verbessern, die Muskelkraft zu erhalten und die Funktionalität des betroffenen Gewebes zu unterstützen. Ziel ist es, die Lebensqualität der Patienten zu verbessern und ihre Unabhängigkeit im täglichen Leben zu fördern. Quellen:  https://www.mdpi.com/2674-0621/1/1/3Jadhav, P., Jiang, Y., Jarr, K., Layton, C., Ashouri, J. F., & Sinha, S. R. (2020). Efficacy of Dietary Supplements in Inflammatory Bowel Disease and Related Autoimmune Diseases. Nutrients, 12(7), 2156. https://doi.org/10.3390/nu12072156 Shen, J., Zuo, Z. X., & Mao, A. P. (2014). Effect of probiotics on inducing remission and maintaining therapy in ulcerative colitis, Crohn’s disease, and pouchitis: meta-analysis of randomized controlled trials. Inflammatory bowel diseases, 20(1), 21–35. https://doi.org/10.1097/01.MIB.0000437495.30052.be Derwa, Y., Gracie, D. J., Hamlin, P. J., & Ford, A. C. (2017). Systematic review with meta-analysis: the efficacy of probiotics in inflammatory bowel disease. Alimentary pharmacology & therapeutics, 46(4), 389–400. https://doi.org/10.1111/apt.14203 Ganji-Arjenaki, M., & Rafieian-Kopaei, M. (2018). Probiotics are a good choice in remission of inflammatory bowel diseases: A meta analysis and systematic review. Journal of cellular physiology, 233(3), 2091–2103. https://doi.org/10.1002/jcp.25911 Casellas, F., Borruel, N., Torrejón, A., Varela, E., Antolin, M., Guarner, F. & Malagelada, J.R. (2007). Oral oligofructose-enriched inulin supplementation in acute ulcerative colitis is well tolerated and associated with lowered faecal calprotectin. Alimentary Pharmacology & Therapeutics, 25(9), 1061–1067. https://doi.org/10.1111/j.1365-2036.2007.03288.x Der Artikel dient lediglich der Informationsvermittlung in Bezug auf Probiotika und soll nicht als medizinische Empfehlung oder als Ersatz für professionelle medizinische Beratung oder Behandlung interpretiert werden. 

    Morbus Addison: Symptome, Diagnose, Behandlung und Ressourcen

    Morbus Addison: Symptome, Diagnose, Behandlung und Ressourcen

    Symptome von Morbus Addison Die Symptome von Morbus Addison können schleichend beginnen und sich im Laufe der Zeit verschlimmern. Chronische Müdigkeit und Schwäche: Ein häufiges Symptom ist anhaltende Müdigkeit, die auch nach ausreichendem Schlaf bestehen bleibt. Betroffene fühlen sich oft schwach und energielos, selbst bei geringer körperlicher Anstrengung. Appetitlosigkeit und Gewichtsverlust: Appetitlosigkeit und ungewollter Gewichtsverlust sind häufige Begleiterscheinungen von Morbus Addison. Die Betroffenen können aufgrund von Magen-Darm-Beschwerden und einer gestörten Nährstoffaufnahme an Gewicht verlieren. Bauchschmerzen, Übelkeit und Erbrechen: Viele Patienten mit Morbus Addison klagen über diffuse Bauchschmerzen, begleitet von Übelkeit und gelegentlichem Erbrechen. Diese Symptome können auf eine gestörte Magen-Darm-Funktion hinweisen. Niedriger Blutdruck: Ein charakteristisches Merkmal von Morbus Addison ist ein niedriger Blutdruck, der zu Schwindel, Benommenheit und Ohnmacht führen kann. Dies resultiert aus einem Mangel an Mineralocorticoiden, die normalerweise den Blutdruck regulieren. Veränderungen der Hautfarbe (Hyperpigmentierung): Ein auffälliges Zeichen von Morbus Addison ist eine bronzefarbene oder hyperpigmentierte Hautverfärbung, insbesondere an den exponierten Stellen wie Händen, Ellenbogen, Knien und Lippen. Dies wird durch eine Überproduktion des Hormons ACTH verursacht, das die Melaninproduktion stimuliert. Salzverlangen: Aufgrund des Mineralocorticoid-Mangels entwickeln viele Patienten mit Morbus Addison ein starkes Verlangen nach salzhaltigen Lebensmitteln, da der Körper versucht, den Elektrolythaushalt auszugleichen. Niedriger Blutzuckerspiegel: Hypoglykämie oder niedriger Blutzuckerspiegel kann auftreten, insbesondere bei längeren Fastenperioden oder intensiver körperlicher Aktivität. Dies resultiert aus einem Mangel an Glucocorticoiden, die normalerweise die Glukoseproduktion und -freisetzung aus der Leber regulieren. [[blog_ad]] Diagnose von Morbus Addison Die Diagnose von Morbus Addison erfordert eine sorgfältige Anamnese, körperliche Untersuchung und eine Reihe von Labortests. Bluttests werden durchgeführt, um die Konzentrationen bestimmter Hormone im Blut zu messen, wie zum Beispiel des adrenocorticotropen Hormons (ACTH), der Cortisolspiegel und manchmal auch Antikörper gegen Nebennierenenzyme. Zusätzlich kann eine Stimulationstestung durchgeführt werden, um die Reaktion der Nebennieren auf die Stimulation mit Hormonen zu bewerten. Die Rolle von Probiotika bei Morbus Addison Einige Studien legen nahe, dass Probiotika auch die Stressreaktion des Körpers beeinflussen können, indem sie die Funktion des Hypothalamus-Hypophysen-Nebennieren-(HPA)-Systems modulieren. Da Menschen mit Morbus Addison oft anfälliger für Stress sind und eine gestörte HPA-Achse aufweisen können, könnte die Verwendung von Probiotika dazu beitragen, die Stressreaktion zu regulieren und das Wohlbefinden der Patienten zu verbessern. Darüber hinaus könnten Probiotika dazu beitragen, die Symptome von Morbus Addison zu lindern, indem sie die Verdauung unterstützen und die Nährstoffaufnahme im Darm verbessern. Da viele Menschen mit Morbus Addison an Magen-Darm-Beschwerden leiden und möglicherweise Nährstoffmängel haben, könnten Probiotika dazu beitragen, diese Probleme anzugehen und das allgemeine Wohlbefinden zu steigern. Behandlung der Addison-Krankheit Die Behandlung von Morbus Addison besteht in der lebenslangen Substitutionstherapie mit Glucocorticoiden (z. B. Hydrocortison) und Mineralocorticoiden (z. B. Fludrocortison). Diese Medikamente ersetzen die Hormone, die die Nebennieren nicht mehr produzieren können, und helfen dabei, den Hormonspiegel im Körper auszugleichen. Die Dosierung der Medikamente wird individuell angepasst, basierend auf den Symptomen des Patienten und den Ergebnissen regelmäßiger Bluttests. Wichtig ist auch, dass Patienten mit Morbus Addison eine antientzündliche Ernährung zu sich nehmen, idealerweise mit vielen Probiotika in den Lebensmitteln und / oder unterstützend probiotische Nahrungsergänzungen. Zusätzlich zur Medikamenteneinnahme ist es für Menschen mit Morbus Addison wichtig, regelmäßige ärztliche Untersuchungen durchzuführen und bei Bedarf Medikamente anzupassen. In Stresssituationen wie Krankheit, Verletzung oder Operation kann eine erhöhte Dosis der Medikamente erforderlich sein, um den erhöhten Bedarf des Körpers zu decken. Morbus Addison ist eine lebenslange Erkrankung, die eine sorgfältige Überwachung und Behandlung erfordert. Mit einer adäquaten medizinischen Betreuung und Selbstmanagementstrategien können die meisten Menschen mit Morbus Addison ein normales, aktives Leben führen. Quellen: https://www.ncbi.nlm.nih.gov/books/NBK441994/ https://www.ncbi.nlm.nih.gov/pmc/articles/PMC4540394/ Der Artikel dient lediglich der Informationsvermittlung in Bezug auf Probiotika und soll nicht als medizinische Empfehlung oder als Ersatz für professionelle medizinische Beratung oder Behandlung interpretiert werden.

    Rheumatoide Arthritis: Eine umfassende Übersicht

    Rheumatoide Arthritis: Eine umfassende Übersicht

    Ursachen von Rheumatoide Arthritis Rheumatoide Arthritis wird als eine multifaktorielle Erkrankung angesehen, bei der genetische, Umwelt- und immunologische Faktoren eine Rolle spielen. Genetische Veranlagungen spielen eine wichtige Rolle, da Menschen mit bestimmten Genvarianten ein erhöhtes Risiko für die Entwicklung von RA haben. Umweltfaktoren wie Rauchen, bestimmte Infektionen, Dysbiose in der Darmflora und chronischer Stress können ebenfalls das Risiko erhöhen. Ein gestörtes Immunsystem spielt eine zentrale Rolle, da es fälschlicherweise körpereigene Gewebe angreift und zu einer chronischen Entzündungsreaktion führt, die die Gelenke schädigt. Symptome von Rheumatoide Arthritis Die Symptome von Rheumatoide Arthritis können von Patient zu Patient variieren, aber typischerweise umfassen sie Gelenkschmerzen, Schwellungen und Steifheit, insbesondere am Morgen oder nach längeren Ruhephasen. Zusätzlich zu Gelenkbeschwerden können auch allgemeine Symptome wie Müdigkeit, Fieber, Appetitlosigkeit und Gewichtsverlust auftreten. Fortgeschrittene RA kann zu deformierten Gelenken, eingeschränkter Beweglichkeit und Funktionsbeeinträchtigungen führen, die die Lebensqualität erheblich beeinträchtigen. Diagnose Die Diagnose von Rheumatoide Arthritis erfordert eine sorgfältige Anamnese, körperliche Untersuchung und eine Reihe von Labortests. Bluttests können Entzündungsmarker wie C-reaktives Protein (CRP) und Rheumafaktor (RF) sowie Antikörper gegen citrullinierte Proteine (anti-CCP-Antikörper) nachweisen. Bildgebende Verfahren wie Röntgenaufnahmen, Ultraschall und Magnetresonanztomographie (MRT) können Gelenkveränderungen und entzündliche Prozesse sichtbar machen und zur Diagnose beitragen. [[blog_ad]] Einfluss von Probiotika auf Rheumatoide Arthritis Eine wachsende Anzahl von Studien legt nahe, dass Probiotika eine vielversprechende Rolle bei der Behandlung von Rheumatoider Arthritis spielen könnten. z.B. diese Studie untersuchte die Wirkung einer probiotischen Ergänzung auf RA-Patienten. Die Ergebnisse zeigten, dass eine regelmäßige und längerfristige Probiotika-Supplementation zu einer signifikanten Reduktion von Entzündungsmarkern im Blut führte und die klinischen Symptome der RA verbesserte. Die entzündungshemmenden Eigenschaften von Probiotika können das Gleichgewicht der Darmflora wiederherstellen, was zur Linderung von Symptomen bei Rheumatoide Arthritis beitragen kann. Behandlung der Addison-Krankheit Behandlung Die Behandlung erfolgt in der Regel interdisziplinär und kann Medikamente wie nichtsteroidale entzündungshemmende Medikamente (NSAR), Kortikosteroide, Krankheitsmodifizierende Antirheumatika (DMARDs) und Biologika umfassen. Physiotherapie, Ergotherapie und Ergonomieberatung sind ebenfalls wichtige Bestandteile der Behandlung. In einigen Fällen kann eine Operation erforderlich sein, um Gelenkschäden zu korrigieren oder zu ersetzen. Fazit Rheumatoide Arthritis ist eine komplexe und chronische Autoimmunerkrankung, die erhebliche Auswirkungen auf die Lebensqualität der Betroffenen haben kann. Trotz intensiver Forschung bleiben die genauen Ursachen von RA noch nicht vollständig geklärt, und die Behandlung konzentriert sich darauf, Symptome zu lindern und Entzündungen zu kontrollieren. Neben herkömmlichen Behandlungsmethoden wie Medikamenten und Physiotherapie gewinnt eine entzündungshemmende Ernährung und das Potenzial von Probiotika als ergänzende Therapieoption zunehmend an Bedeutung. Probiotika könnten dazu beitragen, die Darmgesundheit zu verbessern und das Immunsystem zu modulieren, was möglicherweise zur Reduzierung von Entzündungen und Symptomen bei Rheumatoide Arthritis beiträgt. Quellen: Wang, W.; Zhou, H.; Liu, L. Side effects of methotrexate therapy for rheumatoid arthritis: A systematic review. Eur. J. Med. Chem. 2018, 158, 502–516. Tilstra, J.S.; Lienesch, D.W. Rheumatoid Nodules. Dermatol. Clin. 2015, 33, 361–371. Sepriano, A.; Kerschbaumer, A.; Smolen, J.S.; van der Heijde, D.; Dougados, M.; van Vollenhoven, R.; McInnes, I.B.; Bijlsma, J.W.; Burmester, G.R.; de Wit, M.; et al. Safety of synthetic and biological DMARDs: A systematic literature review informing the 2019 update of the EULAR recommendations for the management of rheumatoid arthritis. Ann. Rheum. Dis. 2020, 79, 760–770. Schrezenmeier, E.; Dörner, T. Mechanisms of action of hydroxychloroquine and chloroquine: Implications for rheumatology. Nat. Rev. Rheumatol. 2020, 16, 155–166. Dos Reis Neto, E.T.; Kakehasi, A.M.; de Medeiros Pinheiro, M.; Ferreira, G.A.; Marques, C.D.L.; da Mota, L.M.H.; Dos Santos Paiva, E.; Pileggi, G.C.S.; Sato, E.I.; Reis, A.; et al. Revisiting hydroxychloroquine and chloroquine for patients with chronic immunity-mediated inflammatory rheumatic diseases. Adv. Rheumatol. 2020, 60, 32. Jorge, A.; Ung, C.; Young, L.H.; Melles, R.B.; Choi, H.K. Hydroxychloroquine retinopathy—Implications of research advances for rheumatology care. Nat. Rev. Rheumatol. 2018, 14, 693–703. Der Artikel dient lediglich der Informationsvermittlung in Bezug auf Probiotika und soll nicht als medizinische Empfehlung oder als Ersatz für professionelle medizinische Beratung oder Behandlung interpretiert werden.

    Systemische Lupus erythematodes (SLE): Eine umfassende Übersicht

    Systemische Lupus erythematodes (SLE): Eine umfassende Übersicht

    Was ist Lupus erythematodes? Lupus erythematodes ist eine Autoimmunerkrankung, bei der das Immunsystem gesundes Gewebe und Organe fälschlicherweise angreift. Der systemische Lupus erythematodes (SLE) ist die häufigste und schwerwiegendste Form. Diese Erkrankung kann nahezu jedes Organ oder System im Körper beeinträchtigen, einschließlich der Haut, Gelenke, Nieren, Herz und des Gehirns. Lupus tritt häufiger bei Frauen im gebärfähigen Alter auf, wobei die meisten Fälle zwischen dem 15. und 44. Lebensjahr diagnostiziert werden. Systemischer Lupus erythematodes (SLE) Der systemische Lupus erythematodes (SLE) ist die häufigste und schwerwiegendste Form von Lupus. Diese Autoimmunerkrankung kann nahezu jedes Organ oder System im Körper beeinträchtigen. Typische Symptome reichen von milden Hautausschlägen über Gelenkschmerzen bis hin zu lebensbedrohlichen Organbeteiligungen wie Nieren- oder Herzproblemen. Es wird angenommen, dass genetische Veranlagung, Umwelteinflüsse und Hormonveränderungen zur Entstehung von SLE beitragen können. Frauen im gebärfähigen Alter sind häufiger betroffen. Die Diagnose von SLE basiert auf einer Kombination von Symptomen, körperlicher Untersuchung und spezifischen Laboruntersuchungen wie dem ANA-Test. Andere Arten von Lupus erythematodes Lupus erythematodes, eine komplexe Autoimmunerkrankung, zeigt sich auch in verschiedenen Varianten. Jede dieser Varianten hat ihre eigenen Besonderheiten und Symptome, die eine präzise Diagnose und individuelle Behandlung erfordern. Gemeinsam haben sie, dass bei fast allen Arten eine Dysbiose also ein Ungleichgewicht in der Darmflora vorliegt und es eine Besserung eintreten kann. Um eine Dysbiose zu bessern, kann eine Ernährungsumstellung in Richtung präbiotischer und probiotischen Lebensmitteln sowie Nahrungsergänzungsmitteln hilfreich sein. Diskoider Lupus erythematodes (DLE) Der diskoider Lupus erythematodes (DLE) betrifft hauptsächlich die Haut und zeigt sich durch schuppige, runde Hautläsionen, die oft im Gesicht und auf der Kopfhaut auftreten. Obwohl der DLE in der Regel weniger schwerwiegend ist als der SLE, kann er dennoch erhebliche Unannehmlichkeiten verursachen und eine angemessene Behandlung erfordern, um das Fortschreiten der Krankheit zu verhindern. Zu den Behandlungsoptionen gehören topische Steroide, Calcineurininhibitoren und Antimalariamittel. Regelmäßige Hautuntersuchungen sind wichtig, um Veränderungen im Hautbild frühzeitig zu erkennen und zu behandeln. Subakut kutaner Lupus erythematodes Der subakut kutane Lupus erythematodes liegt zwischen dem DLE und dem SLE und zeigt Hautläsionen, die zwischen akut und chronisch liegen. Diese Form von Lupus kann eine Herausforderung darstellen, da sie Symptome aufweist, die sowohl für den DLE als auch für den SLE charakteristisch sind. Eine genaue Diagnose und ein individuell angepasster Behandlungsplan sind entscheidend, um die Symptome zu kontrollieren und die Lebensqualität zu verbessern. Zu den Behandlungsoptionen gehören topische und systemische Medikamente sowie Sonnenschutzmaßnahmen, um Hautschäden durch UV-Strahlung zu minimieren. [[blog_ad]] Ursachen von Systemischem Lupus erythematodes (SLE) Die genaue Ursache von systemischem Lupus erythematodes (SLE) ist noch nicht vollständig verstanden, jedoch deutet eine wachsende Anzahl von Beweisen darauf hin, dass eine komplexe Interaktion zwischen genetischen Faktoren, Umweltfaktoren und dem Immunsystem zur Entstehung der Krankheit beiträgt. Genetische Faktoren Die Neigung zur systemischen Lupus erythematodes (SLE) wird durch genetische Faktoren beeinflusst, da spezifische Gene das Risiko für die Krankheit erhöhen können. Untersuchungen haben gezeigt, dass Personen, die eng mit SLE-Betroffenen verwandt sind, ein erhöhtes Risiko haben, ebenfalls an der Krankheit zu erkranken. Dies legt nahe, dass eine genetische Veranlagung vorliegt. Umweltfaktoren Umweltfaktoren können ebenfalls zur Entstehung von SLE beitragen. Dazu gehören Expositionen wie UV-Strahlung, Rauchen, bestimmte Medikamente, hormonelle Veränderungen und Infektionen, die das Immunsystem beeinflussen können und autoimmunologische Reaktionen auslösen oder verstärken können. Immunsystem Das Immunsystem spielt eine zentrale Rolle bei der Pathogenese von SLE. Bei Menschen mit SLE kommt es zu einer fehlgeleiteten Immunantwort, bei der das Immunsystem gesundes Gewebe angreift und Entzündungen verursacht. Dies kann zu den charakteristischen Symptomen und Organbeteiligungen führen, die bei SLE beobachtet werden. Darmmikrobiota 75% unser Immunzellen sitzen im Darm und daher hat dieser einen enormen einfluß auf Autoimmunerkrankungen. So zeigen Studien, dass SLE-Patienten im Vergleich zu gesunden Kontrollpersonen signifikante Veränderungen in der Darmmikrobiota aufweisen.  Diese Erkenntnis wird u.a. durch diese Studien unterstützt. Hier wird gezeigt, dass Probiotika wirksam gegen Entzündungen sein können und immunologische Reaktionen sowie Stoffwechselprofile bei SLE-Patienten verbessern können. Die meisten In-vivo-Studien wurden als mittlere bis hohe Qualität bewertet, während die randomisierte kontrollierte Studie als von hoher Qualität eingestuft wurde. Gemäß den Ergebnissen können Probiotika in Verbindung mit anderen Behandlungen zur Behandlung von SLE verwendet werden. Symptome von Systemischer Lupus erythematodes (SLE) Systemischer Lupus erythematodes (SLE) ist durch eine Vielzahl von Symptomen gekennzeichnet, die verschiedene Organsysteme betreffen können. Zu den häufigsten Symptomen gehören: Hautausschläge: Ein schmetterlingsförmiger Hautausschlag im Gesicht, der über die Nase und die Wangen verläuft, ist ein charakteristisches Merkmal von SLE. Diese Hautläsionen können durch Entzündungen der Haut aufgrund einer Autoimmunreaktion verursacht werden. Gelenkschmerzen und -schwellungen: SLE kann zu Gelenkschmerzen und -schwellungen führen, die oft mit Morgensteifigkeit verbunden sind. Diese Gelenkbeschwerden können sich auf verschiedene Gelenke im Körper auswirken und zu Funktionsbeeinträchtigungen führen. Photosensitivität: Personen mit SLE können eine überempfindliche Reaktion auf Sonnenlicht zeigen, die zu Hautausschlägen und Entzündungen führt. Diese Photosensitivität ist eine häufige Manifestation der Krankheit und erfordert oft eine sorgfältige Sonnenschutzmaßnahmen. Müdigkeit: Eine anhaltende Müdigkeit trotz ausreichender Ruhe ist ein häufiges Symptom bei Menschen mit SLE. Diese Erschöpfung kann das tägliche Leben beeinträchtigen und die Lebensqualität der Betroffenen stark beeinflussen. Entzündungen der inneren Organe: SLE kann nahezu jedes Organ im Körper betreffen, einschließlich der Nieren, des Herzens und des Gehirns. Entzündungen dieser Organe können schwerwiegende Komplikationen verursachen, die lebensbedrohlich sein können. Die Symptome von SLE können sich im Laufe der Zeit ändern und variieren in ihrer Schwere von Patient zu Patient. Eine frühzeitige Diagnose und angemessene Behandlung sind entscheidend, um das Fortschreiten der Krankheit zu verlangsamen und die Lebensqualität der Betroffenen zu verbessern. Diagnose von SLE Die Diagnose von systemischem Lupus erythematodes (SLE) kann eine Herausforderung darstellen, da keine spezifischen Tests für die Erkrankung existieren. Ärzte verwenden eine umfassende Herangehensweise, die verschiedene Methoden umfasst, um SLE zu diagnostizieren. Zunächst führen sie eine gründliche Anamnese durch, um nach Symptomen zu fragen, die auf SLE hinweisen könnten, und eine körperliche Untersuchung, um Anzeichen der Krankheit zu erkennen, wie z.B. Hautausschläge oder Gelenkschwellungen. Anschließend werden Bluttests durchgeführt, um verschiedene Marker anzuzeigen, die auf eine Entzündung oder eine Autoimmunreaktion hinweisen. Dazu gehören erhöhte Entzündungsmarker wie C-reaktives Protein (CRP) und erhöhte Antikörperspiegel wie antinukleäre Antikörper (ANA). Andere spezifische Autoantikörper wie Anti-DNA-Antikörper können ebenfalls untersucht werden. In einigen Fällen können bildgebende Verfahren wie Röntgenaufnahmen, Ultraschall oder MRT zur Beurteilung von Organbeteiligungen verwendet werden, insbesondere bei Verdacht auf Schäden an den Organen. Bei einigen Patienten kann auch eine Gewebebiopsie erforderlich sein, um eine definitive Diagnose zu stellen, insbesondere wenn Organschäden vermutet werden. Eine Biopsie kann helfen, die Art und Schwere der Organbeteiligung zu bestimmen. Die Diagnose von SLE erfordert in der Regel das Vorliegen einer Kombination von klinischen Merkmalen und Laborbefunden, die auf eine Autoimmunerkrankung hinweisen. Behandlung Die Behandlung von SLE umfasst in der Regel eine Kombination aus Medikamenten, Lebensstiländerungen und probiotische Nahrungsergänzungsmittel. Hierbei ist immer Rücksprache mit dem behandelnden Arzt zu halten. Medikamentöse Behandlung: Antimalariamittel wie Hydroxychloroquin werden häufig zur Behandlung von Hautausschlägen, Gelenkschmerzen und Müdigkeit eingesetzt und können auch die Entzündung verringern. Steroide wie Prednison werden zur schnellen Kontrolle von Entzündungen eingesetzt und können bei schweren Symptomen wie Nierenentzündungen lebensrettend sein. Immunsuppressiva wie Azathioprin oder Methotrexat können das Immunsystem unterdrücken und die Entzündung bei schweren Fällen von SLE reduzieren. Biologika (auch Biopharmazeutika genannt) wie Belimumab können die Aktivität des Immunsystems gezielt hemmen und werden zur Behandlung von schwerem SLE eingesetzt. Lebensstiländerungen: Vermeidung von Sonnenexposition und Verwendung von Sonnenschutzmitteln, um Hautausschläge zu reduzieren. Stressmanagement-Techniken wie Entspannungsübungen, Meditation und Psychotherapie können helfen, Müdigkeit und Stresssymptome zu reduzieren. Regelmäßige Bewegung und eine ausgewogene Ernährung können dazu beitragen, die allgemeine Gesundheit zu fördern und das Risiko von Komplikationen zu reduzieren. Längerfristige Einnahme von hochwertigen Probiotika zur positiven Beeinflussung der Darmflora Auswirkungen von Probiotika auf Systemischer Lupus erythematodes (SLE) Forschungsergebnisse deuten darauf hin, dass die längerfristige Einnahme von Probiotika die Zusammensetzung der Darmmikrobiota positiv verändert, was dazu beiträgt, das Fortschreiten von SLE zu verhindern. Die Anpassung der Darmmikrobiota durch Probiotika-Supplementation scheint SLE-Symptome und deren kardiovaskuläre Folgen zu lindern. Diese Erkenntnis wird durch diese Studie unterstützt. Einfluss von Lactobacillus auf Lupus Untersuchungen deuten darauf hin, dass Lactobacillus die Entwicklung und Behandlung von Lupus positiv beeinflussen könnte. Das Vorhandensein von Lactobacillus in der Darmmikrobiota wurde mit der Modulation des Immunsystems und entzündungshemmenden Effekten in Verbindung gebracht. Behandlung der Addison-Krankheit Lebenserwartung und Lebensqualität bei Lupus Die Lebenserwartung von Menschen mit Lupus hat sich in den letzten Jahrzehnten dank verbesserter Diagnose- und Behandlungsmöglichkeiten deutlich verbessert. Dennoch hängt die Prognose stark von der Schwere der Erkrankung und dem Ausmaß der Organbeteiligung ab. Patienten mit milden Formen von Lupus haben in der Regel eine normale Lebenserwartung, während bei schwerwiegenderen Verläufen, insbesondere wenn lebenswichtige Organe wie Nieren oder Herz betroffen sind, das Risiko von Komplikationen steigt. Fazit: Systemische Lupus erythematodes ist eine komplexe und oft herausfordernde Autoimmunerkrankung, die verschiedene Aspekte des Lebens beeinflussen kann. Mit einer frühzeitigen Diagnose, einer angemessenen Behandlung und einem gesunden Lebensstil können viele Menschen mit Lupus ein erfülltes Leben führen. Probiotika, die so gut wie keine Nebenwirkungen enthalten, können dabei eine tolle Unterstützung bieten. Es ist wichtig, sich über die Krankheit zu informieren, regelmäßige ärztliche Untersuchungen durchzuführen und ein unterstützendes Netzwerk zu haben. Quellen: Ameer MA, Chaudhry H, Mushtaq J, et al. An overview of systemic lupus erythematosus (SLE) pathogenesis, classification, and management. Cureus. 2022; 14(10):e30330. López P, Sánchez B, Margolles A, Suárez A. Intestinal dysbiosis in systemic lupus erythematosus: cause or consequence? Curr Opin Rheumatol. 2016; 28(5): 515-522. Neuman H, Koren O. The gut microbiota: a possible factor influencing systemic lupus erythematosus. Curr Opin Rheumatol. 2017; 29(4): 374-377. Lin L, Zhang J. Role of intestinal microbiota and metabolites on gut homeostasis and human diseases. BMC Immunol. 2017; 18(1): 2. Gonçalves P, Araújo JR, Di Santo JP. A cross-talk between microbiota-derived short-chain fatty acids and the host mucosal immune system regulates intestinal homeostasis and inflammatory bowel disease. Inflamm Bowel Dis. 2018; 24(3): 558-572. Claesson MJ, Cusack S, O'Sullivan O, et al. Composition, variability, and temporal stability of the intestinal microbiota of the elderly. Proc Natl Acad Sci USA. 2011; 108(suppl 1): 4586-4591. Morais LH, Schreiber HL, Mazmanian SK. The gut microbiota-brain axis in behaviour and brain disorders. Nat Rev Microbiol. 2021; 19(4): 241-255. Zawistowska-Rojek A, Tyski S. Are probiotic really safe for humans? Polish J Microbiol. 2018; 67(3): 251-258. Esmaeili SA, Mahmoudi M, Momtazi AA, Sahebkar A, Doulabi H, Rastin M. Tolerogenic probiotics: potential immunoregulators in systemic lupus erythematosus. J Cell Physiol. 2017; 232(8): 1994-2007. Moher D, Liberati A, Tetzlaff J, Altman DG. Preferred reporting items for systematic reviews and meta-analyses: the PRISMA statement. PLoS Med. 2009; 6(7):e1000097. Der Artikel dient lediglich der Informationsvermittlung in Bezug auf Probiotika und soll nicht als medizinische Empfehlung oder als Ersatz für professionelle medizinische Beratung oder Behandlung interpretiert werden.

    Die Rolle der Darmflora bei Hashimoto-Thyreoiditis

    Die Rolle der Darmflora bei Hashimoto-Thyreoiditis

    Darmflorastörungen als Auslöser für Hashimoto-Thyreoiditis Genetische Veranlagungen allein reichen oft nicht aus, um Autoimmunerkrankungen wie Hashimoto auszulösen. Geringe zusätzliche Belastungen können jedoch den Ausbruch der Krankheit begünstigen. Hierbei könnte eine gestörte Darmflora, auch Dysbiose genannt, eine entscheidende Rolle spielen. Mikrobiom-Unterschiede bei Hashimoto-Patienten Hashimoto-Thyreoiditis, eine Autoimmunerkrankung der Schilddrüse, steht in einem interessanten Zusammenhang mit dem Darmmikrobiom. Forschungen haben ergeben, dass Veränderungen in der Zusammensetzung der Darmbakterien, bekannt als Dysbiose, häufig bei Hashimoto-Patienten vorkommen. Diese Dysbiose könnte den Krankheitsverlauf beeinflussen. Studien zeigen ein häufigeres Vorkommen bestimmter Bakterien, wie E. coli und Phascolarctobacterium, bei Hashimoto-Patienten. Besonders auffällig ist dies bei Patienten mit Schilddrüsenunterfunktion (Hypothyreose). Zudem scheint ein Ungleichgewicht in bestimmten Immunzellen, den TH17- und Treg-Lymphozyten, mit der Entwicklung der Krankheit verbunden zu sein. Probiotika als potenzielle Behandlung von Hashimoto Der Einsatz von speziellen Probiotika, also lebenden Mikroorganismen, die die Darmgesundheit fördern, könnte eine effektive Behandlungsmethode sein. Studien deuten darauf hin, dass eine Ernährung, die arm an Lektinen ist und reich an probiotischen Bakterien, Präbiotika und Polyphenolen, positive Effekte auf Autoimmunerkrankungen wie Hashimoto haben könnte. Probiotika könnten zudem die Schilddrüsenhormone und die allgemeine Schilddrüsenfunktion verbessern.delt sich somit um ein synbiotisches Nahrungsergänzungsmittel. [[blog_ad]] Dysbiose, Autoantikörper und Entzündungen Die Zusammensetzung der Darmflora beeinflusst das Immunsystem und kann die Bildung von Autoantikörpern fördern, die das Schilddrüsengewebe angreifen und Entzündungen auslösen können. Studien haben gezeigt, dass eine gestörte Darmflora mit höheren Spiegeln von Autoantikörpern in Verbindung gebracht werden kann. Präbiotika als Schlüssel zur Wiederherstellung der Darmflora Um die fehlenden Bakterien im Darm wieder aufzubauen, spielen Präbiotika eine entscheidende Rolle. Diese als "Futter der Darmbakterien" bezeichneten Substanzen können das Wachstum nützlicher Bakterien fördern. Besonders die Präbiotika Inulin, Pektin und resistente Stärke sind von Bedeutung. Ein gutes Probiotikum sollte immer auch Präbiotika enthalten und es handelt sich somit um ein synbiotisches Nahrungsergänzungsmittel. Synbiotika zur Normalisierung des Mikrobioms Die Gabe von Synbiotika, eine Kombination aus Probiotika und Präbiotika, hat sich als vielversprechender Ansatz zur Normalisierung des Mikrobioms erwiesen. Diese Maßnahme kann nicht nur die Darmflora beeinflussen, sondern auch eine Rolle bei Gewichtsproblemen spielen. Bakterienüberwucherung im Dünndarm und Behandlungsansätze Eine interessante Entdeckung ist die häufige Bakterienüberwucherung im Dünndarm bei Hashimoto-Patienten im Vergleich zu schilddrüsengesunden Personen. Diese Überwucherung kann Darmbeschwerden und die Schilddrüsenunterfunktion noch zusätzlich verschlimmern. Ernährung als Schlüssel zur Darmgesundheit bei Hashimoto Die richtige Ernährung ist unerlässlich in der Behandlung von Hashimoto-Thyreoiditis. Eine gut abgestimmte Diät kann helfen, Symptome zu lindern und die allgemeine Gesundheit zu verbessern. Wichtige Nährstoffe für Hashimoto-Patienten Für Menschen mit Hashimoto ist es wichtig, eine Ernährung zu wählen, die reich an vollständigen Proteinen, Vollkornprodukten, Omega-3-Fettsäuren, Vitamin D, Jod und Selen ist. Diese Nährstoffe unterstützen die Schilddrüsenfunktion und können bei der Bewältigung der Krankheit helfen. Betrachtung verschiedener Diätansätze Es gibt Hinweise darauf, dass eine glutenfreie, paleo-, vegetarische oder vegane Ernährung für Hashimoto-Patienten von Vorteil sein könnte. Es wird empfohlen, Gluten, Goitrogene (schilddrüsenhemmende Stoffe), Alkohol und Lebensmittelzusatzstoffe zu meiden. Eine ausreichende Versorgung mit Jod, Selen und Vitamin D sowie eine glutenarme Ernährung können entscheidend sein. Die Rolle von Mikronährstoffen Eine Ernährung, die reich an Mikronährstoffen wie Vitamin D und Selen ist, kann nicht nur die Schilddrüsenfunktion verbessern, sondern auch dabei helfen, ein angemessenes Gewicht zu halten und Mängel sowie Stoffwechselstörungen zu vermeiden. Probiotika und Präbiotika Die Aufnahme von Probiotika und Präbiotika in die Ernährung kann ebenfalls vorteilhaft sein. Probiotika, die lebende Bakterien enthalten, und Präbiotika, die als Nahrung für diese guten Bakterien dienen, unterstützen eine gesunde Darmflora. Ein gesunder Darm ist entscheidend, da er eng mit der Immunfunktion und der Schilddrüsengesundheit verbunden ist. Entzündungshemmende Diät Eine entzündungshemmende Diät kann das Immunsystem regulieren und Symptome reduzieren. Zu viel Jod, ein Mangel an Selen oder Vitamin D können das Risiko für Hashimoto erhöhen. Selen kann dabei helfen, die Titer von Thyroidperoxidase-Antikörpern zu reduzieren. Eine ausgewogene Ernährung, die auf die Bedürfnisse von Hashimoto-Patienten zugeschnitten ist und potenziell schädliche Lebensmittel meidet, ist entscheidend für die effektive Bewältigung dieser Erkrankung. Die Integration von Probiotika und Präbiotika kann dabei einen zusätzlichen Vorteil bieten. Die Bedeutung von weiterer Forschung für die Behandlung von Hashimoto mit Probiotika Auch wenn die bisherigen Forschungsergebnisse zur Verbesserung von Hashimoto-Thyreoiditis durch spezifische Probiotika vielversprechend sind, ist es notwendig, weiter zu forschen, um die genauen Wirkungsweisen und die effektivsten Probiotikastämme zu bestimmen. Fazit Die Optimierung der Darmflora könnte ein wichtiger Bestandteil in der Behandlung von Hashimoto-Thyreoiditis sein. Die Wechselwirkungen zwischen Störungen der Darmflora, Autoantikörpern und Entzündungsprozessen sind zwar komplex, doch zeigen aktuelle Forschungsergebnisse, dass eine Verbesserung der Darmgesundheit einen positiven Einfluss auf die Krankheit haben kann. Insbesondere Probiotika rücken in den Fokus: Sie könnten eine entscheidende Rolle spielen, indem sie das Darmmikrobiom positiv beeinflussen und dadurch sowohl die Schilddrüsenfunktion als auch den allgemeinen Gesundheitszustand verbessern. Dieser Ansatz bestärkt die Bedeutung eines ganzheitlichen Gesundheitskonzepts, bei dem die Darmgesundheit und der Einsatz von Probiotika eine zentrale Rolle spielen. Studien Hashimoto und Darmflora Thyroid-Gut-Axis: How Does the Microbiota Influence Thyroid Function? Gut microbiome and autoimmune disorders Managing Hashimoto's Thyroiditis Through Personalized Care: A Case Report Der Artikel dient lediglich der Informationsvermittlung in Bezug auf Probiotika und soll nicht als medizinische Empfehlung oder als Ersatz für professionelle medizinische Beratung oder Behandlung interpretiert werden.

    Warum solltest du 30 Pflanzen pro Woche essen?

    Warum solltest du 30 Pflanzen pro Woche essen?

    Warum 30 Pflanzen pro Woche? Darüber hinaus könnte diese Vielfalt an pflanzlichen Lebensmitteln das Risiko für bestimmte Krebsarten senken und dazu beitragen, im Alter gesund zu bleiben. Besonders wichtig ist jedoch die Auswirkung auf die Gesundheit des Darmmikrobioms – die Gemeinschaft von Bakterien und anderen Mikroorganismen im Darm. Pflanzen enthalten Präbiotika, also Nährstoffe wie verschiedene Ballaststoffe und Polyphenole, die die „guten“ Darmbakterien nähren. Je größer die Vielfalt der gegessenen Pflanzen, desto vielfältiger und gesünder ist das Mikrobiom. Ein gesundes, vielfältiges Mikrobiom wird mit einem widerstandsfähigen Darm und möglicherweise sogar mit einem längeren, gesünderen Leben in Verbindung gebracht. Was steckt hinter der Zahl 30? Der Ansatz, 30 verschiedene Pflanzenarten pro Woche zu essen, basiert auf den Ergebnissen des American Gut Project – einer großangelegten Studie, die 2018 veröffentlicht wurde. Forscher, darunter Prof. Tim Spector vom British Gut Project, analysierten die Ernährungsgewohnheiten und Stuhlproben von mehr als 10.000 Freiwilligen aus den USA, Großbritannien und Australien. Die Ergebnisse waren eindeutig: Menschen, die 30 oder mehr verschiedene Pflanzenarten pro Woche aßen, hatten ein vielfältigeres Mikrobiom und mehr „gute“ Darmbakterien als jene, die nur 10 oder weniger Arten konsumierten. Außerdem produzierten ihre Darmbakterien mehr gesundheitsfördernde Stoffe. Warum ist das wichtig? Eine größere Vielfalt an „guten“ Bakterien wird mit einer besseren Verdauung, einem stärkeren Immunsystem und sogar einer längeren Lebenserwartung in Verbindung gebracht. Was zählt? Die gute Nachricht: Alles, was aus Pflanzen stammt, zählt! Neben Obst und Gemüse gehören dazu auch Getreide, Nüsse, Samen, Hülsenfrüchte, Kräuter und Gewürze. Selbst Kaffee und dunkle Schokolade (mit mindestens 70 % Kakaoanteil) können zum Ziel beitragen. Beispiele für Pflanzenarten: Gemüse - Spargel, Brokkoli, Möhren, Spinat, Zucchini, Süßkartoffeln  - Zwiebelgewächse wie Knoblauch, rote Zwiebeln  - Blattsalate und Kreuzblütler wie Kohl oder Rucola   Obst - Äpfel, Orangen, Bananen, Avocados, Tomaten, Beeren, Kiwi   Hülsenfrüchte - Kichererbsen, Linsen, schwarze Bohnen, Erbsen, Edamame   Getreide - Vollkornprodukte wie Hafer, Quinoa, brauner Reis, Vollkornmehl   Nüsse und Samen - Mandeln, Walnüsse, Chiasamen, Kürbiskerne, Leinsamen   Kräuter und Gewürze - Frische und getrocknete Kräuter wie Basilikum, Petersilie, Koriander  - Gewürze wie Kurkuma, Paprika, Zimt, schwarzer Pfeffer  Ein wichtiger Hinweis: Auch wenn verschiedene Farben derselben Obst- oder Gemüsesorte (z. B. rote und grüne Paprika) nicht als unterschiedliche Pflanzenarten zählen, liefern sie dennoch wichtige Nährstoffe wie Polyphenole, die die Vielfalt der Ernährung bereichern. Tipps für mehr Vielfalt 1. Vorrat anlegen: Neben frischen Lebensmitteln sollten auch Konserven (am besten im Glas) wie Hülsenfrüchte und Tiefkühlgemüse immer zur Hand sein.  2. Salate aufpeppen: Nüsse, Samen, frisches Obst oder Kräuter machen Salate interessanter.  3. Joghurt aufwerten: Naturjoghurt mit Nüssen, Samen und Beeren kombinieren.  4. Mehr Hülsenfrüchte nutzen: Statt Fleisch können Linsen oder Bohnen verwendet werden, z. B. in Bolognese oder Eintöpfen.  5. Snack clever: Statt Chips oder Süßigkeiten auf Nüsse, Beeren oder Gemüsesticks umsteigen.  6. Fleischlose Tage einplanen: Mit „Meatless Mondays“ lässt sich pflanzliche Ernährung priorisieren.  7. Kreativ würzen: Kräuter und Gewürze mehrmals pro Woche einsetzen, um die Vielfalt zu erhöhen. Mahlzeit-Ideen Frühstück: - Haferbrei mit Apfelscheiben, Walnüssen und Kürbiskernen  - Joghurt mit gemischten Nüssen und Beeren  - Avocado auf Vollkornbrot mit Radieschen und Kürbiskernen  Mittagessen:  - Salat mit Räuchertofu, Avocado, Cherrytomaten, gemischten Samen, Kräutern und Olivenöl  - Gemüseomelett mit Zwiebeln, Pilzen und Spinat, dazu Beilagensalat  - Linsensuppe mit Knoblauch und Kreuzkümmel  Abendessen:  - Halloumi-Bake mit Paprika, Zucchini und Tomaten  - Linsen-Bolognese auf Vollkornnudeln mit frischem Basilikum  - Bohnen-Pilz-Eintopf mit Karotten, Zwiebeln und Paprika  Snacks oder Desserts: - Dunkle Schokolade (mind. 70 % Kakao) mit Haselnüssen  - Hummus mit Gemüsesticks  - Frischer Obstsalat oder Beeren   Zusammenfassung Die Integration von mehr Pflanzen in die Ernährung kann viele Aspekte der Gesundheit verbessern, einschließlich der Reduzierung des Risikos für chronische Krankheiten. Besonders vorteilhaft ist es, jede Woche 30 verschiedene Pflanzenarten zu essen, da dies die Vielfalt und Gesundheit des Darmmikrobioms unterstützt. Mit Nüssen, Samen, Kräutern, Gewürzen und anderen pflanzlichen Lebensmitteln ist dieses Ziel leichter zu erreichen, als es zunächst klingt.

    Abnehm-Tabletten

    Funktionieren Tabletten zum Abnehmen?

    Was ist Adipositas/Übergewicht? Als übergewichtig gelten Personen ab einem Body-Mass-Index von 25. Hierbei handelt es sich um weit mehr als nur ein Gewichtsproblem, denn Risiko für verschiedene gesundheitliche Komplikationen ist deutlich angestiegen. Adipositas ist eine chronische Krankheit, so wird Übergewicht bezeichnet, wo der BMI höher als 30 ist – hier ist das Risiko für zahlreiche Folgeerkrankungen noch weiter angestiegen und die Lebensqualität deutlich beeinträchtigt. [[blog_ad]] Medikamentöse Behandlung von Adipositas und Übergewicht In Deutschland sind verschiedene, verschreibungspflichtige Medikamente zur Gewichtsreduktion auf dem Markt. Dazu zählen Orlistat, Liraglutid und die Kombination von Naltrexon/Bupropion. Diese sind zugelassen im Kampf gegen Adipositas und Übergewicht. Andere Medikamente, wie beispielsweise Ozempic, das den Wirkstoff Semaglutid enthält, wird momentan Off-Label zum Abnehmen verschreiben. Wer nur leichtes Übergewicht hat und lediglich einige Kilos abnehmen möchte, um sich wohler zu fühlen, sollte von der Einnahme von Abnehmmedikamenten Abstand nehmen. Oft ist die Einnahme diese Tabletten mit zahlreichen Nebenwirkungen verbunden, die bei geringfügigem Gewichtsverlust nicht gerechtfertigt sind. Was sind Abnehmtabletten? Abnehmtabletten sind Tabletten, die speziell dafür entwickelt wurden, den Gewichtsverlust zu fördern oder zu unterstützen. Diese Tabletten können verschiedene Wirkstoffe enthalten, darunter Appetitzügler, Fettverbrenner, Nährstoffe oder andere Substanzen, die darauf abzielen, den Stoffwechsel zu beeinflussen oder das Gefühl der Sättigung zu erhöhen. Die Wirksamkeit und Sicherheit von Abnehmtabletten kann je nach den enthaltenen Inhaltsstoffen variieren. Arten von Abnehmtabletten Es gibt eine Vielzahl von Diät-Tabletten auf dem Markt, die jeweils unterschiedliche Wirkstoffe und Ansätze zur Gewichtsreduktion bieten. Manche sind verschreibungspflichtig andere sind frei verkäuflich in Drogeriemärken, online und Apotheken erhältlich. Verschiedene Arten von Abnehmprodukten unterscheiden sich auch in ihrer Effektivität und der Stärke der Nebenwirkungen. Eine Diät-Zauberpille zur Gewichtsreduktion gibt es leider nicht, daher sollte die Einnahme solcher Produkten immer mit einer Ernährungsumstellung und anderen Lebensstiländerungen verbunden werden. Appetitzügler Appetitzügler, auch bekannt als Anorektika, sind darauf ausgelegt, das Sättigungsgefühl zu verstärken und so den Hunger zu reduzieren, was oft zu einer geringeren Kalorienaufnahme führt. Bei Appetitzüglern wird zwischen zwei verschiedenen Typen unterschieden: Medizinische Präparate (z.B. Ozempic): Diese rezeptpflichtigen Medikamente enthalten starke Wirkstoffe, die intensiv auf den Körper einwirken können. Dabei ist es wichtig, mögliche Gegenanzeigen oder Wechselwirkungen mit anderen Medikamenten zu beachten. Natürliche Appetitzügler: Diese basieren auf der Wirkung pflanzlicher Stoffe, die ein Sättigungsgefühl fördern sollen. Oft werden Quellstoffe eingesetzt, die Wasser binden und so das Sättigungsgefühl im Magen-Darm-Trakt erhöhen. Allerdings ist die Wirksamkeit vieler dieser pflanzlichen Produkte wissenschaftlich nicht belegt. Auch die regelmäßige und längerfristige Einnahme bestimmter Probiotika wie die Dailys von within® kann eine erfolgreiche Gewichtsabnahme unterstützen. Fettblocker Fettblocker wie der Wirkstoff Orlistat, enthalten in Medikamenten wie „Xenical“ und „Alli“ sollen die Aufnahme von Fett aus der Nahrung blockieren und verhindern, dass es im Körper gespeichert wird. Es blockiert die Enzyme, die für die Fettspaltung im Darm verantwortlich sind. Dadurch wird rund ein Viertel des täglich aufgenommenen Fetts unverdaut ausgeschieden. Allerdings ist die Einnahme mit vielen unagenehmen Nebenwirkungen verbunden, so dass viele Patienten die Einnahme wieder abbrechen. Wurde der Lebensstil während der Einnahmezeit nicht verändert kann es passieren, dass alles gewicht wieder zugenommen wird. Stoffwechsel-Booster Diese Art von Tabletten zielt darauf ab, den Stoffwechsel anzukurbeln und den Kalorienverbrauch zu erhöhen. Die Wirksamkeit und Sicherheit von Abnehmtabletten hängen von mehreren Faktoren ab. Dazu gehören die individuelle körperliche Reaktion auf die Inhaltsstoffe der Tabletten und mögliche Wechselwirkungen mit anderen Medikamenten, falls solche eingenommen werden. Zudem spielt eine ausgewogene und gesunde Ernährung eine wesentliche Rolle, ebenso wie regelmäßige körperliche Bewegung. Rezeptfreie Abnehmtabletten: Hilfe bei der Gewichtsabnahme Rezeptfreie Diät-Tabletten sind freiverkäuflich im Netz und auch in Apotheken erhältlich. Oftmals bieten sie eine geringere Wirksamkeit, als die verschreibungspflichen Abnehm-Produkte. So gibt es den Wirkstoff Orlistat hoch dosiert in verschreibungspflichtigen Präparaten und niedrig dosiert rezeptfrei. Leider können auch rezeptfreie Medikamente aus der Apotheke zahlreiche Nebenwirkungen haben! Außerdem solltest Du unbedingt aufpassen beim Online-Kauf von Diät-Pillen. Diese können, wenn sie nicht aus Deutschland oder der EU stammen, nicht zugelassenen Inhaltsstoffen mit unklarer Wirksamkeit und Nebenwirkungen enthalten! Solche Produkte können gesundheitlich riskant sein, da ihre Sicherheit und Effektivität oft nicht ausreichend geprüft wurde. Probiotika: Eine natürliche Alternative Aktuelle Studien deuten darauf hin, dass bestimmte Probiotika das Abnehmen unterstützen können. Probiotika, lebende Mikroorganismen, die in einigen Joghurts und Nahrungsergänzungsmitteln zu finden sind, können die Darmgesundheit verbessern und den Stoffwechsel positiv beeinflussen. Wie Probiotika das Abnehmen unterstützen Probiotika können auf verschiedene Weise beim der Gewichtsreduktion helfen: Veränderung der Darmbakterien: Probiotika wie Lactobacillus plantarum und Akkermansia muciniphila können die Zusammensetzung der Darmbakterien ändern, was zur Reduzierung von Fettmasse und Gewichtsverlust beitragen kann. Steigerung der Insulinsensitivität: Bestimmte Probiotika, etwa Bifidobacterium breve, verbessern die Insulinsensitivität, was die Gewichtsabnahme unterstützen kann. Reduzierung von Entzündungen und Erhöhung des Sättigungsgefühls: Manche Probiotika verringern Entzündungen und steigern das Sättigungsgefühl, was ebenfalls beim Abnehmen helfen kann. Verbesserung des Stoffwechsels: Probiotika wirken positiv auf den Stoffwechsel, indem sie die Darmgesundheit verbessern und Stoffwechselstörungen reduzieren, was zu Gewichtsverlust führen kann. Verringerung von Fettmasse: Einige Probiotika reduzieren Fettmasse und entzündliche Faktoren, was den Gewichtsverlust fördern kann. Zusammengefasst können Probiotika den Gewichtsverlust unterstützen. Das geschieht durch eine Kombination von Maßnahmen, die auf Darmgesundheit, Insulinsensitivität, Entzündungsreduktion und Stoffwechselverbesserung abzielen. Mögliche Nebenwirkungen von Tabletten zum Abnehmen Einige Tabletten zur Gewichtsreduktion können potenzielle Nebenwirkungen haben. Diese können unterschiedliche Auswirkungen auf den Körper haben und sollten ernst genommen werden. Zu den möglichen Nebenwirkungen gehören: Übelkeit und Erbrechen Durchfall Verstopfung Schlafstörungen Erhöhte Herzfrequenz und Blutdruck Nervosität und Unruhe Es ist wichtig zu beachten, dass nicht alle Personen die gleichen Nebenwirkungen erfahren. Manche Menschen können empfindlicher auf bestimmte Inhaltsstoffe reagieren als andere. Bei der Einnahme von Probiotika sind sowohl Wechselwirkungen mit anderen Medikamenten als auch Nebenwirkungen üblicherweise nicht zu erwarten. Wechselwirkungen mit anderen Medikamenten Bei der Einnahme von Tabletten zum Abnehmen ist Vorsicht geboten, da sie mit anderen Medikamenten interagieren können. Bei der Einnahme von Probiotika besteht keine Gefahr von Wechselwirkung mit anderen einzunehmenden Medikamenten. Vor der Verwendung von Tabletten zur Gewichtsreduktion, besonders, wenn diese verschreibungspflichtig sind, sollte mit einem Arzt oder Apotheker gesprochen werden. Dies gilt insbesondere, wenn bereits andere Medikamente eingenommen werden. Einige Inhaltsstoffe in Tabletten zum Abnehmen können die Wirkung anderer Medikamente beeinflussen oder unerwünschte Effekte verursachen. Darüber hinaus können Wechselwirkungen mit bestehenden Gesundheitszuständen auftreten. Ein Arzt kann die individuellen Risiken bewerten und Empfehlungen aussprechen, um mögliche Komplikationen zu vermeiden. Empfehlungen und Tipps für die Anwendung Verschreibungspflichtige Appetitzügler sollten speziell für Personen gedacht, bei denen aus medizinischen Gründen eine Gewichtsreduktion notwendig ist, typischerweise bei einem Body-Mass-Index (BMI) von 30 oder höher. Und nicht für Personen, die das eine oder andere Kilo verlieren möchten, sum sich wohler zu fühlen. Dies liegt daran, dass ab diesem BMI das Risiko für verschiedene Erkrankungen wie Herz-Kreislauf- oder Krebsleiden ansteigt. Auch Personen mit einem BMI von 27 könnten bereits eine Behandlung mit verschreibungspflichtigen Appetitzüglern benötigen, falls zusätzliche Begleiterkrankungen wie Diabetes, hohe LDL-Cholesterinwerte oder Krebserkrankungen vorliegen. Ernährungsmediziner und auch andere Mediziner warnen ausdrücklich vor dem missbräuchlichen Einsatz dieser Medikamente. Kombination mit gesunder Ernährung und Bewegung Abnehmtabletten können auf dem Weg zum Wunschgewicht unterstützend helfen, allerdings solltest Du immer die Nebenwirkungen und Wechselwirkungen mit anderen Medikamenten im Blick haben. Besonders hervorzuheben sind natürliche Hilfsmittel wie Probiotika, die effektiv wirken und dabei kaum Nebenwirkungen aufweisen. Tabletten allein werden allerdings keine Wunder bewirken. Eine ausgewogene Lebensweise ist immer der Schlüssel zum Erfolg. Dazu gehört eine gesunde Ernährung, die reich an Obst, Gemüse, Vollkornprodukten, sowie magerem Protein ist. Gleichzeitig sollte der Konsum von Junk-Food, zuckerhaltigen Getränken und fettreichen Speisen reduziert werden. Ergänzend dazu ist regelmäßige körperliche Aktivität unerlässlich. Finde eine Sportart, die dir Freude bereitet, und integriere Bewegung in Deinen Alltag, um deine Abnehmziele zu erreichen und zu erhalten. Auch ein ausreichender Schlaf und Stressbewältigung gehört mit zu einem langfristig erfolreichen Abnehm-Konzept. Fazit: Ein ganzheitlicher Ansatz für effektives Gewichtmanagement Abnehmtabletten können auf dem Weg zur Gewichtsreduktion eine hilfreiche Unterstützung sein, jedoch sollten die potenziellen Nebenwirkungen und Wechselwirkungen mit anderen Medikamenten stets bedacht werden. Natürliche Alternativen wie Probiotika können effektive Unterstützung mit minimalen Nebenwirkungen bieten. Dennoch ist es wichtig zu erkennen, dass Tabletten alleine keine Wunder bewirken. Eine nachhaltige Gewichtsabnahme erfordert einen ganzheitlichen Ansatz, der eine ausgewogene Ernährung, regelmäßige körperliche Aktivität, ausreichenden Schlaf und effektive Stressbewältigung umfasst. Nur durch die Kombination dieser Elemente können langfristig erfolgreiche Ergebnisse erzielt werden. Der Artikel dient lediglich der Informationsvermittlung in Bezug auf Probiotika und soll nicht als medizinische Empfehlung oder als Ersatz für professionelle medizinische Beratung oder Behandlung interpretiert werden.

    Manage your Menopause

    Abnehmen in den Wechseljahren: Herausforderungen und Lösungen

    Warum ist Abnehmen in den Wechseljahren schwieriger? Während der Wechseljahre verändert sich der Körper einer Frau auf eine Weise, die das Abnehmen schwieriger machen kann. Diese Veränderungen betreffen den Stoffwechsel und andere Körperfunktionen, was dazu führt, dass Gewicht zu verlieren nicht so einfach ist wie früher: Veränderte Proteinverwertung und Muskelaufbau: Der Körper beginnt, Proteine weniger effizient zu nutzen, was zu einem verstärkten Muskelabbau führt. Dieser Effekt wird durch den sinkenden Östrogenspiegel verstärkt, der normalerweise den Muskelaufbau fördert. Weniger Muskelmasse bedeutet einen niedrigeren Grundumsatz, was das Abnehmen erschwert. Sinkende Insulinsensitivität: Mit den Wechseljahren verändert sich auch die Reaktion des Körpers auf Insulin. Dies kann zu einem erhöhten Blutzuckerspiegel führen, was wiederum die Fettspeicherung anregt und den Gewichtsverlust behindert. Hormonelle Veränderungen: Besonders die Abnahme des Östrogens beeinflusst die Fettverteilung und fördert die Ansammlung von Bauchfett. Entzündungsprozesse im Körper: Diese können das Sättigungsgefühl beeinträchtigen und die Fettspeicherung fördern. Veränderungen in der Darmflora: Eine unausgewogene Darmflora kann das Abnehmen erschweren, da bestimmte Bakterienstämme besonders gut darin sind, Kalorien aus der Nahrung zu ziehen, was zu einer Gewichtszunahme führen kann. [[blog_ad]] Auswirkungen der Hormone auf das Abnehmen während der Wechseljahre Die Wechseljahre bringen für Frauen oft tiefgreifende hormonelle Veränderungen mit sich, die auch das Gewicht beeinflussen können. Diese Veränderungen sind häufig der Grund dafür, dass es schwerer fällt, Gewicht zu verlieren. Die Anpassung des Körpers an die neuen Hormonspiegel kann eine Herausforderung darstellen, insbesondere wenn es um das Thema Abnehmen geht. Viele Frauen erleben, dass trotz gleichbleibender Ernährung und Lebensweise das Gewicht zunimmt oder die gewohnten Diätmethoden nicht mehr den gewünschten Erfolg bringen. Die Frage ist, was genau hinter dieser Schwierigkeit steht, Gewicht während der Wechseljahre zu verlieren.  Hormone und Gewichtszunahme Hormonelle Veränderungen während der Menopause können zu einer Gewichtszunahme führen. Während der Menopause sinkt der Östrogenspiegel, was den Stoffwechsel beeinflussen und die Fettverteilung im Körper verändern kann. Viele Frauen bemerken eine Zunahme des Bauchfetts. Dieser hormonelle Wandel kann auch das Hungergefühl und die Sättigung beeinflussen, wodurch das Essverhalten verändert wird. Zusätzlich können Faktoren wie Alterungsprozesse, reduzierte Muskelmasse und veränderter Lebensstil zur Gewichtszunahme beitragen. Hormone und Stoffwechsel Während der Menopause durchleben Frauen signifikante hormonelle Veränderungen, die sich auch auf den Stoffwechsel auswirken. Der Abfall des Östrogenspiegels kann zu einer Verlangsamung des Stoffwechsels führen, was das Abnehmen erschwert und leichter zu einer Gewichtszunahme führt. Diese Veränderung im Hormonhaushalt beeinflusst auch, wie der Körper Energie speichert und verbraucht. So wird oft beobachtet, dass sich Fett vermehrt im Bauchbereich anlagert. Hormone und Körperzusammensetzung Während der Menopause erleben Frauen oft deutliche Veränderungen in ihrer Körperzusammensetzung, die hauptsächlich auf hormonelle Veränderungen zurückzuführen sind. Der Rückgang des Östrogenspiegels kann zu einer Zunahme des Körperfettanteils führen, insbesondere im Bauchbereich und gleichzeitig zu einem Verlust von Muskelmasse. Diese Veränderungen in der Körperzusammensetzung können das Risiko für verschiedene Gesundheitsprobleme erhöhen, einschließlich Herz-Kreislauf-Erkrankungen und Osteoporose. Das Abnehmen in den Wechseljahren kann dazu beitragen, den Bauchumfang zu verringern und das Risiko für bestimmte Gesundheitsprobleme zu verringern. Hormone und Darmflora Während der Menopause treten Veränderungen im Darmmikrobiom auf, die zu Gewichtszunahme, verringerter Stoffwechselrate und Insulinresistenz führen können. Diese Veränderungen sind hauptsächlich durch den Abfall des Östrogenspiegels bedingt. Östrogen beeinflusst nicht nur den systemischen Stoffwechsel, sondern auch die Darmflora. Mittlerweilen geht die Forschung davon aus, dass die Darmmikrobiota bei menopausalen Frauen eine wichtige Rolle spielt und Probiotika unterstützend helfen können menopausebedingte metabolische Risikenzu reduzieren. Praktische Tipps für effektives Abnehmen in den Wechseljahren Um diesen Herausforderungen zu begegnen, können folgende Maßnahmen hilfreich sein: Erhöhte Proteinzufuhr: Um den Muskelaufbau zu unterstützen, ist eine ausreichende Proteinaufnahme entscheidend. Anpassung der Kohlenhydratzufuhr: Wähle komplexe Kohlenhydrate und reduzieren einfache Kohlenhydrate, um den Blutzuckerspiegel zu stabilisieren. Probiotika für eine gesunde Darmflora: Produkte von within können dazu beitragen, die Darmflora auszugleichen und die Verdauung zu unterstützen. Dies kann wiederum den Gewichtsverlust positiv beeinflussen. Entzündungshemmende Ernährung: Eine Ernährung, die reich an entzündungshemmenden Lebensmitteln ist, kann helfen, entzündliche Prozesse im Körper zu reduzieren. Ausreichend Bewegung und Erholung: Regelmäßige körperliche Aktivität und ausreichende Erholungsphasen sind für einen gesunden Stoffwechsel und zur Erhaltung der Muskelmasse unerlässlich. Positive Einstellung: Verständnis und Geduld mit dem eigenen Körper sind wichtig. Abnehmen ist in den Wechseljahren möglicherweise langsamer, aber mit der richtigen Herangehensweise durchaus erreichbar. Mit diesen Anpassungen kannst Du die besonderen Herausforderungen, die die Wechseljahre mit sich bringen, bewältigen und effektiv abnehmen. Tipps und Strategien zum Abnehmen während der Wechseljahre Ernährungstipps für eine gesunde Gewichtsabnahme Um während der Wechseljahre erfolgreich abzunehmen, ist es wichtig, auf eine gesunde Ernährung zu achten. Hier sind einige Tipps, die Dir dabei helfen können: Vermeide raffinierten Zucker und fettreiche Lebensmittel. Setz auf eine ausgewogene Ernährung mit viel Obst, Gemüse und Vollkornprodukten. Achte auf portionierte Mahlzeiten, um Überessen zu vermeiden. Füge hochwertige Proteine wie mageres Fleisch, Fisch, Hülsenfrüchte oder Tofu in Deine Mahlzeiten. Trink ausreichend Wasser, um den Stoffwechsel anzukurbeln und den Körper zu entgiften. Bedeutung von ausreichender Bewegung bei der Gewichtsabnahme Für das Abnehmen während der Wechseljahre ist neben einer gesunden Ernährung auch regelmäßige Bewegung wichtig. Empfohlen werden täglich mindestens 30 Minuten moderater Sport wie Spazierengehen, Radfahren oder Schwimmen. Zusätzlich hilft Krafttraining beim Aufbau von Muskelmasse, was den Stoffwechsel ankurbelt. Wichtig ist auch, Bewegungsformen zu finden, die Spaß machen – wie Tanzen, Yoga oder Gartenarbeit. Das hilft, motiviert zu bleiben. Zudem sollte man längeres Sitzen vermeiden und öfter mal aufstehen und sich bewegen. Stressbewältigung und Gewichtsverlust in den Wechseljahren Stressbewältigung ist ein wichtiger Aspekt beim Abnehmen in den Wechseljahren, da Stress hormonelle Ungleichgewichte und emotionales Essen fördern kann. Zur Stressreduktion können Entspannungstechniken wie Meditation, Atemübungen oder Yoga beitragen. Ausreichend Schlaf ist ebenfalls wichtig, um Stress abzubauen und den Stoffwechsel zu regulieren. Hobbys und Aktivitäten, die Freude bereiten, können ebenfalls helfen, Stress zu mindern. Zudem kann der Austausch mit Freunden, Familie oder einem Therapeuten über Gefühle und Sorgen unterstützend wirken. Fazit In den Wechseljahren stehen Frauen vor besonderen Herausforderungen beim Abnehmen aufgrund hormoneller Veränderungen, die den Stoffwechsel, den Muskelaufbau, die Insulinsensitivität, die Fettverteilung und die Darmflora beeinflussen. Effektive Strategien umfassen eine erhöhte Proteinaufnahme, die Wahl komplexer Kohlenhydrate, die Nutzung von Probiotika, entzündungshemmende Ernährung, regelmäßige Bewegung und Stressbewältigung durch Entspannungstechniken. Diese Maßnahmen helfen, die körperlichen Veränderungen während der Wechseljahre zu managen und gesund abzunehmen. Häufig gestellte Fragen Welche Symptome können das Abnehmen in den Wechseljahren beeinflussen? Während der Wechseljahre können verschiedene Symptome das Abnehmen beeinflussen. Dazu gehören zum Beispiel Hitzewallungen, Gewichtszunahme, Schlafstörungen und Stimmungsschwankungen. Diese Symptome können sich negativ auf die Motivation und den Erfolg beim Gewichtsverlust auswirken. Welche Lebensmittel sind während der Wechseljahre förderlich für die Gewichtsabnahme? Es gibt bestimmte Lebensmittel, die während der Wechseljahre förderlich für die Gewichtsabnahme sein können. Dazu gehören ballaststoffreiche Lebensmittel wie Vollkornprodukte, Obst und Gemüse. Diese liefern wichtige Nährstoffe und halten länger satt, außerdem sind sie reich an Präbiotika. Auch proteinreiche Lebensmittel wie mageres Fleisch, Fisch, Hülsenfrüchte und Milchprodukte können helfen, den Muskelabbau während des Abnehmens zu verhindern. Welche Rolle spielen Hormone beim Abnehmen in den Wechseljahren? Hormone spielen eine wichtige Rolle beim Abnehmen in den Wechseljahren. Der Hormonhaushalt verändert sich während dieser Zeit, was zu einer Verlangsamung des Stoffwechsels führen kann. Insbesondere der sinkende Östrogenspiegel kann Auswirkungen auf den Gewichtsverlust haben. Durch gezielte Ernährung und Bewegung lassen sich jedoch gute Ergebnisse erzielen.  Gibt es besondere Herausforderungen beim Abnehmen nach der Menopause? Ja, nach der Menopause können besondere Herausforderungen beim Abnehmen auftreten. Der Stoffwechsel verlangsamt sich weiter und es kann schwieriger sein, das Gewicht zu halten oder weiter abzunehmen. Es ist wichtig, geduldig zu bleiben, auf eine ausgewogene Ernährung zu achten und regelmäßig körperlich aktiv zu sein. Eine Unterstützung durch die Einnahme von Probiotika kann hilfreich sein, um die individuellen Ziele zu erreichen. Studien Abnehmen in den Wechseljahren Does caloric restriction prime the microbiome for pathogenic bacteria?Weight Regulation in MenopausePost-menopausal Osteoporosis and ProbioticsShort- and Long-Term Eating Habit Modification Predicts Weight Change in Overweight, Postmenopausal Women: Results from the WOMAN Study Der Artikel dient lediglich der Informationsvermittlung in Bezug auf Probiotika und soll nicht als medizinische Empfehlung oder als Ersatz für professionelle medizinische Beratung oder Behandlung interpretiert werden.

    Abnehmen mit einem Kaloriendefizit

    Effektiv abnehmen mit Kaloriendefizit: Tipps und Tricks für nachhaltigen Gewichtsverlust

    Abnehmen mit Kaloriendefizit: Was ist das? Das Kaloriendefizit bezieht sich auf die Situation, in der mehr Kalorien verbrannt werden, als durch die Nahrungsaufnahme aufgenommen werden. Dabei wird der Körper gezwungen, auf vorhandene Energiereserven, wie Fettgewebe, zurückzugreifen, um den Energiebedarf zu decken. Dieses Defizit kann durch eine Kombination aus einer kalorienarmen Ernährung und regelmäßiger körperlicher Aktivität erreicht werden. Wie funktioniert Abnehmen durch Kaloriendefizit? Um Gewicht durch Kaloriendefizit zu verlieren, muss der Körper mehr Energie verbrauchen, als er durch die Nahrungsaufnahme erhält. Dieses Ungleichgewicht zwingt den Körper dazu, auf gespeicherte Fettreserven zurückzugreifen, um den Energiebedarf zu decken. Durch eine kontrollierte Kalorienreduktion und regelmäßige Bewegung kann dieses Defizit erreicht werden. Es ist wichtig zu beachten, dass ein moderates Kaloriendefizit empfohlen wird, um eine gesunde und nachhaltige Gewichtsabnahme zu erreichen. Wichtig ist keine Crash Diät zu machen, um den JoJo-Effekt zu vermeinden, denn durch einen zu starken Kaloriendefizit kann der Grundumsatz zu schnell reduzuert werden. Probiotika als Unterstützung beim Abnehmen Neben der etablierten Methode des Kaloriendefizits könnte auch die Einnahme von Probiotika eine Rolle beim Abnehmen spielen. Probiotika, besonders bestimmte Milchsäurebakterien, sind bekannt für ihre positiven Auswirkungen auf die Darmflora. Eine gesunde Darmflora wird mit verschiedenen gesundheitlichen Vorteilen in Verbindung gebracht, einschließlich potenzieller Einflüsse auf das Körpergewicht. Studien haben gezeigt, dass die Zusammensetzung der Darmflora, insbesondere das Verhältnis von Firmicutes zu Bacteroidacetes, einen Einfluss auf das Gewicht haben kann. Probiotika wie Lactobacillus gasseri könnten dabei helfen, Gewicht zu reduzieren und speziell Bauchfett zu bekämpfen. Diese Bakterienstämme können unter anderem die Fettabsorption hemmen und das Sättigungsgefühl fördern. Es ist jedoch wichtig zu beachten, dass Probiotika allein nicht ausreichen, um effektiv abzunehmen. Sie sollten als Teil eines umfassenden Ansatzes gesehen werden, der eine ausgewogene Ernährung und regelmäßige körperliche Aktivität umfasst und sind dann eine wundervolle Unterstützung. Ein moderates Kaloriendefizit bleibt der Schlüssel zu nachhaltigem Gewichtsverlust, wobei Probiotika eine unterstützende Rolle spielen können. Wie viel Kaloriendefizit zum Abnehmen? Berechnung des Kalorienbedarfs Um herauszufinden, wie viel Kaloriendefizit erforderlich ist, um Gewicht zu verlieren, ist es wichtig, den eigenen Kalorienbedarf zu berechnen. Dafür gibt es verschiedene Formeln, die Alter, Geschlecht, Gewicht, Größe und Aktivitätsniveau berücksichtigen. Eine solide Methode zur Berechnung des Kalorienbedarfs ist die Harris-Benedict-Formel. Diese berücksichtigt den Grundumsatz und den Aktivitätsumsatz und liefert eine Schätzung des täglichen Kalorienbedarfs. Richtwerte für das optimale Kaloriendefizit Das optimale Kaloriendefizit zum Abnehmen kann variieren, je nach individuellen Zielen und Gesundheitszustand. Ein moderates Defizit von etwa 500 bis 1000 Kalorien pro Tag wird in der Regel empfohlen, um eine gesunde und nachhaltige Gewichtsabnahme zu fördern. Es ist wichtig, das Defizit nicht zu extrem zu gestalten, um Mangelerscheinungen und negative Auswirkungen auf den Stoffwechsel zu vermeiden.  Risiken und Nebenwirkungen von zu großem Kaloriendefizit Ein zu großes Kaloriendefizit kann zu verschiedenen Risiken und Nebenwirkungen führen. Wenn der Körper nicht genügend Energie aus der Nahrung erhält, kann dies zu Müdigkeit, Mangelernährung, Hormonungleichgewichten und einem verlangsamten Stoffwechsel führen. Ein extremes Kaloriendefizit kann zudem den Jojo-Effekt begünstigen, bei dem das Gewicht nach Beendigung der Diät schnell wieder zugenommen wird. Es ist daher wichtig, das Defizit in einem gesunden und vernünftigen Rahmen zu halten. Tipps und Tricks zum Abnehmen mit Kaloriendefizit Um nachhaltig Gewicht zu verlieren, sind bestimmte Methoden besonders effektiv. Hier findest du einige Tipps und Tricks, die Dir dabei helfen können: Ausgewogene Ernährung: Achte auf eine ausgewogene Mischung aus nährstoffreichen Lebensmitteln, wie Gemüse, Obst, Vollkornprodukten und magerem Protein. Kontrollierte Portionsgrößen: Achte darauf, die Portionsgrößen zu überwachen und dich an empfohlene Richtwerte zu halten. Mehr Bewegung: Steigere deine körperliche Aktivität und integriere regelmäßiges Training in deinen Alltag. Das hilft dir nicht nur beim Kalorienverbrauch, sondern auch beim Aufbau von Muskelmasse. Gesunde Snacks finden: Versuche, gesunde Snack-Alternativen zu wählen, die proteinreich und sättigend sind. Ein gutes Beispiel ist Beef Jerky – es liefert viel Eiweiß, ist praktisch für unterwegs und kann Heißhungerattacken vorbeugen. Achte jedoch auf die Zutatenliste und bevorzuge Varianten mit wenig Zucker und Natrium. Weitere gesunde Snack-Ideen sind:- Nüsse & Mandeln –Obst mit Nussbutter – z. B. Apfel mit Mandelbutter für eine gute Mischung aus Ballaststoffen und gesunden Fetten.- Gekochte Eier – eine perfekte Proteinquelle, ideal für unterwegs.- Hüttenkäse mit Gemüse – sättigend, eiweißreich und voller Nährstoffe Langsames Esses: Nimm Dir Zeit beim Essen, kaue sorgfältig und achte bewusst auf dein Sättigungsgefühl. Das hilft dabei, Überessen zu vermeiden. Kalorienzähler-Apps: Nutze Apps, die Dir dabei helfen, Deine tägliche Kalorienaufnahme zu verfolgen und dein Kaloriendefizit zu erreichen. Fitness-Tracker: Verwende Fitness-Tracker, um Deine körperliche Aktivität zu überwachen und Deinen Kalorienverbrauch zu verfolgen. Ernährungstagebuch: Führe ein Tagebuch über Deine Ernährung, um ein besseres Bewusstsein für deine Essgewohnheiten zu entwickeln. Vermeidung des Jojo-Effekts und langfristige Gewichtsstabilität Langfristige Veränderungen: Fokussiere Dich auf langfristige Veränderungen in Deinem Lebensstil, statt auf kurzfristige Diäten. Stetiger Gewichtsverlust: Setze Dir realistische Ziele und strebe einen langsamen, aber stetigen Gewichtsverlust an. Das hilft dabei, den Jojo-Effekt zu vermeiden. Nachhaltige Ernährungsgewohnheiten: Entwickle gesunde Ernährungsgewohnheiten, die Du langfristig beibehalten kannst, um das erreichte Gewicht zu halten. Mögliche Gründe für fehlenden Gewichtsverlust trotz Kaloriendefizit Bei einigen Personen kann es passieren, dass sie trotz eines Kaloriendefizits keinen Gewichtsverlust erzielen! Es gibt verschiedene Faktoren, die diesen Effekt erklären können. Stoffwechsel und individuelle Reaktionen auf Kaloriendefizit Der Stoffwechsel ist bei jedem Menschen individuell und kann den Gewichtsverlust beeinflussen. Manche Menschen haben von Natur aus einen langsamen Stoffwechsel, der es schwerer macht, Gewicht zu verlieren. Zudem kann der Körper auf ein Kaloriendefizit mit einer Anpassung des Stoffwechsels reagieren und den Energieverbrauch reduzieren. Dies kann dazu führen, dass trotz eines Defizits keine Gewichtsabnahme erfolgt. Auswirkungen von Stress und Schlafmangel Stress und Schlafmangel können sich negativ auf den Gewichtsverlust auswirken. In stressigen Phasen produziert der Körper vermehrt das Hormon Cortisol, welches den Stoffwechsel verlangsamen kann. Zudem kann Schlafmangel zu einer gestörten Hormonregulation führen, die den Gewichtsverlust erschwert. Es ist wichtig, Stress abzubauen und ausreichend Schlaf zu bekommen, um optimale Ergebnisse beim Abnehmen zu erzielen. Hormonelle Faktoren und deren Einfluss auf das Abnehmen Einige hormonelle Faktoren können ebenfalls den Gewichtsverlust beeinflussen. Beispielsweise kann eine Störung der Schilddrüsenfunktion zu einem langsamen Stoffwechsel führen und den Gewichtsverlust erschweren. Hormonelle Veränderungen während des Menstruationszyklus oder in den Wechseljahren können ebenfalls Auswirkungen auf das Abnehmen haben. In solchen Fällen kann es hilfreich sein, einen Arzt zu konsultieren, um mögliche hormonelle Ursachen für ausbleibenden Gewichtsverlust zu untersuchen. Darmflora und Gewichtsverlust Die Rolle der Darmflora, auch bekannt als Mikrobiom, ist entscheidend beim Abnehmen. Dieses komplexe System aus Milliarden von Mikroorganismen, darunter Bakterien, Viren und Pilze, beeinflusst nicht nur unsere allgemeine Gesundheit, sondern auch unseren Stoffwechsel und Appetit. Verschiedene Bakterienstämme im Darm können entweder zur Gewichtszunahme beitragen oder das Abnehmen unterstützen. Studien legen nahe, dass eine gesunde Darmflora wesentlich zur Vorbeugung von Übergewicht und dem metabolischen Syndrom beitragen kann und genau deshalb haben wir In shape entwickelt. FAQ: Häufig gestellte Fragen Wie funktioniert das Abnehmen durch Kaloriendefizit? Das Abnehmen durch Kaloriendefizit beruht darauf, dass weniger Kalorien aufgenommen werden als verbrannt. Dadurch zwingt man den Körper, auf seine Fettreserven zurückzugreifen und Gewicht zu verlieren. Wie berechnet man den Kalorienbedarf? Der Kalorienbedarf kann anhand verschiedener Faktoren wie Alter, Geschlecht, Gewicht und Aktivitätsniveau berechnet werden. Es gibt Online-Rechner oder Apps, die dabei helfen können. Wie hoch sollte das Kaloriendefizit idealerweise sein? Ein moderates Kaloriendefizit von ungefähr 500 kcal pro Tag ist oft empfehlenswert, um etwa ein halbes Kilogramm pro Woche zu verlieren. Ein zu großes Defizit kann jedoch Risiken mit sich bringen und den Stoffwechsel negativ beeinflussen. Warum nehme ich trotz eines Defizit an Kalorien kein Gewicht ab? Es gibt verschiedene Gründe, warum trotz Kaloriendefizit kein Gewichtsverlust erfolgen kann. Dazu gehören mögliche Stoffwechselanpassungen, hormonelle Faktoren, Stress oder Schlafmangel. Welche Methoden helfen beim Abnehmen mit Kaloriendefizit? Es gibt verschiedene Methoden, um den Gewichtsverlust mit Kaloriendefizit zu unterstützen. Dazu gehören eine ausgewogene Ernährung, regelmäßige Bewegung, Aufzeichnung der Kalorienzufuhr und -verbrennung, sowie die Verwendung von Apps und Tools für eine bessere Kontrolle. Der Artikel dient lediglich der Informationsvermittlung in Bezug auf Probiotika und soll nicht als medizinische Empfehlung oder als Ersatz für professionelle medizinische Beratung oder Behandlung interpretiert werden.  

    Probiotika Abnehmen: So unterstützen Bakterien das Abnehmen

    Probiotika Abnehmen: So unterstützen Bakterien das Abnehmen

    Das Wichtigste in Kürze zu mit Probiotika abnehmen Eine kontinuierliche und längerfristige Einnahme von Probiotika kann zu einer signifikanten Gewichtsabnahme und Verringerung des Hüft- und Taillenumfangs führen. Probiotika können einen positiven Einfluss auf den Cholesterinspiegel im Blut haben. Probiotika können das Herz-Kreislaufsystem schützen  Probiotika können den Fettstoffwechsel beeinflussen und somit einen gesunden Lebensstil fördern. Sie können die Verdauung verbessern, beim Abbau von Fett und Regulation des Stoffwechsels helfen. Probiotika können den Appetit reduzieren, das Sättigungsgefühl steigern. Probiotika können eine Energieversorgung durch körpereigene Fettreserven ermöglichen und die allgemeine Stoffwechselleistung steigern. Stress und bestimmte Medikamente können die Darmflora negativ beeinflussen und Probiotika können das Mikrobiom wieder ausgleichen. Intervallfasten kann die Mikroorganismen im Darm diversifizieren, was sich positiv auf die Darmgesundheit auswirkt. Bakterien wie Milchsäurebakterien können das Gewicht positiv beeinflussen. [[blog_ad]] Der Einfluß unserer Darmflora auf die Figur Unser Mikrobiom im Darm hat einen enormen Einfluß auf unsere Figur! Wissenschaftliche Forschung hat gezeigt, dass die Zusammensetzung des Mikrobioms eine entscheidende Rolle bei der Effizienz der Nahrungsaufnahme und -verwertung spielt (1)(2). Laut dem heutigem Stand der Dinge kann eine gestörte Balance unserer Darmflora Probleme mit Übergewicht nach sich ziehen. "Pummel-Bakterien" können selbst aus eigentlich unverdaulichen Nahrungsbestandteilen Energie gewinnen. Steigt ihre Anzahl, werden mehr Kalorien aufgenommen und dann als Fett im Körper abgelagert. Selbst eine geringe Zunahme dieser "Pummelbakterien" kann im Laufe eines Jahres zu erheblichem Gewichtszuwachs führen. Verschiedene Studien haben zeigen können, dass die Einnahme spezieller Probiotika einen Einfluß auf unsere Darmflora haben kann und man mit diesen Probiotika abnehmen kann. Hierbei wurde nicht nicht nur das Gewicht und der Taillienumfang reduziert, sondern hatte auch einen positiven Einfluß auf unseren Cholesterinspiegel und damit auf unsere Herzgesundheit (3) (4) (5). Verschiedene Bakterienstämme und das Abnehmen Milchsäurebakterien und der Fettstoffwechsel Bestimmte Milchsäurebakterien können den Fettstoffwechsel aktivieren, indem sie dazu beitragen, dass aufgenommene Nahrungsfette vermehrt ausgeschieden werden. Dies führt dazu, dass die Aufnahme von Fett gehemmt wird und somit die tägliche Energiebilanz nicht negativ beeinflusst wird.  Zunehmen mit Lactobacillus acidophilus? Eine frühere Studie von 2012 deutete darauf hin, dass ein Überschuss an  Lactobacillus acidophilus im Darm zu Gewichtszunahme führen könnte. Diese Studien wurden jedoch widerlegt. Tatsächlich kann Lactobacillus acidophilus, insbesondere in Kombination mit anderen Bakterienstämmen, zu signifikant weniger Gewicht führen. Lactobacillus acidophilus ist ein bekanntes probiotisches Bakterium, das unser Darmflora positiv beeinflussen kann. Studien zeigen, dass Lactobacillus acidophilus den Blähbauch reduzieren kann, da es bei der Verdauung von Laktose hilft. Außerdem konnte wissenschaftlich belegt werden, dass Lactobacillus acidophilus dazu beitragen kann, das Gleichgewicht der Darmflora zu verbessern und Entzündungen im Darm zu reduzieren. Dies kann dazu führen, dass Nährstoffe besser aufgenommen und unerwünschte Bakterien bekämpft werden können (6). Lactobacillus gasseri und sein positiver Effekt auf das Gewicht  Lactobacillus gasseri ist ein Bakterium, das bei der Gewichtsreduktion helfen kann (7). Einige Studien haben gezeigt, dass die Einnahme von Lactobacillus gasseri-Präparaten in Verbindung mit einer gesunden Ernährung und Bewegung dazu führen kann, dass Fett schneller abgebaut wird. Außerdem kann dieses Bakterium dabei helfen, den Bauchumfang zu reduzieren. Wie Lactobacillus plantarum das Abnehmen unterstützt Es konnte gezeigt werden, dass bei einer regelmäßigen und längerfristigen Einnahme von Lactobacillus plantarum sich die Darmflora positiv beeinflussen ließ. Aber nicht nur das, Lactobacillus plantarum ist ein Bakterium mit antientzündlichen Eigenschaften und es unterstützt nachweislich die Gewichtabnahme (8) (15). Bifidobacterium breve und seine Wirkung auf das Abnehmen Bifidobacterium breve ist ein probiotisches Bakterium, das bei der Gewichtsreduktion helfen kann. Es kann dazu beitragen, den Appetit zu reduzieren und die Nahrungsverwertung zu verbessern. Studien deuten auch darauf hin, dass Bifidobacterium breve die Insulinsensitivität verbessern kann, was auch dazu beitragen kann, weitere Gewichtszunahme zu stoppen (9) (10). Lactobacillus paracasei und die Gewichtsabnahme Lactobacillus paracasei ist eine Bakterienart, die natürlicherweise im menschlichen Verdauungssystem vorkommt. Es wurde viel über die potenziellen gesundheitlichen Vorteile von probiotischen Bakterien wie Lactobacillus paracasei diskutiert. Einige Studien deuten darauf hin, dass die Einnahme von Lactobacillus paracasei in Form von Nahrungsergänzungsmitteln möglicherweise bei der Gewichtsabnahme unterstützend wirken kann. Es wird angenommen, dass bestimmte Stämme von Lactobacillus paracasei den Stoffwechsel beeinflussen und die Fettverbrennung erhöhen können. (11) Bifidobacterium longum und seine Wirkung auf das Abnehmen Einige Studien haben gezeigt, dass die Einnahme von Bifidobacterium longum als Nahrungsergänzungsmittel den Metabolismus beeinflussen und den Fettstoffwechsel verbessern kann (13). Es wird angenommen, dass bestimmte Stämme von Bifidobacterium longum den Darmtrakt positiv beeinflussen, die Nährstoffaufnahme verbessern und Entzündungen reduzieren können, was wiederum eine Wirkung auf die Gewichtsabnahme gezeigt hat. Leider gibt es bisher keine magische Lösung für Gewichtsverlust! Möchtest Du mit Probiotika abnehmen und die Macht der Mikroben nutzen, so sollten wir für ausgewogene Ernährung, regelmäßige körperliche Aktivität und insgesamt einen gesunden Lebensstil sorgen. Einflussfaktoren auf die Darmflora, die dick machen können Die Darmflora wird von vielen Faktoren beeinflusst, einschließlich unserer Ernährung, Medikamenten, Umweltgiften, Bewegungsmangel, schlechte Schlafqualität und Stress. Eine schlechte Ernährung, insbesondere eine, die arm an Ballaststoffen ist (zu wenig Präbiotika), kann zu einem Ungleichgewicht in der Darmflora (einer s.g. Dysbioase) führen und das Wachstum von "schlechten" Bakterien fördern. Medikamente wie Antibiotika können auch die Darmflora aus dem Gleichgewicht bringen, indem sie sowohl "gute" als auch "schlechte" Bakterien abtöten. Umweltgifte und Stress können auch die Darmflora beeinflussen und das Wachstum von "schlechten" Bakterien fördern. Eine Dysbalance in unserem Darmmikrobiom kann laut der Forschung dafür verantwortlich sein, dass das Übergewicht über die letzten Jahrzehnte immer mehr zugenommen hat. Stress macht dick und Probiotika können helfen Stress kann auch den Cortisolspiegel im Körper erhöhen, was wiederum das Mikrobiom im Darm beeinflussen kann. Eine erhöhte Cortisolproduktion kann dazu führen, dass sich die Darmflora ändert und "schlechte" Bakterien überhand nehmen. Forschungsergebnisse deuten darauf hin, dass eine Störung des Gleichgewichts in unserem Darmmikrobiom dazu beitragen kann, dass wir zunehmen. Neben verschiedenen Maßnahmen das Stresslevel zu senken, kann auch die Einnahme von Probiotika unterstützend helfen und dafür sorgen das Mikrobiom im Darm wieder ins Gleichgewicht zu bekommen (14) (15). Wirkungsweise von Probiotika beim Abnehmen Probiotika können auf verschiedene Weisen Einfluß auf unser Körpergewicht nehmen. Diese Effekte beruhen vermutlicherweise auf einem Zusammenspiel von drei Mechanismen: Hemmung der Fettabsorption: Bestimmte Arten von Milchsäurebakterien fördern die vermehrte Ausscheidung von aufgenommenem Nahrungsfett. Dadurch wird das Fett nicht in die tägliche Energiebilanz einbezogen und belastet den Körper weniger. Förderung der Sättigung: Probiotische Bakterien unterstützen die Produktion des Hormons GLP-1, das im Körper appetitregulierend wirkt. Dieses Hormon kann auch die Fettverbrennung beeinflussen und den Prozess der Gewichtsabnahme unterstützen. Erhöhung des ANGPTL4-Spiegels: ANGPTL4 ist ein Protein, das dazu beitragen soll, die Bildung von Fettablagerungen im Bauchbereich zu reduzieren. Durch die Einnahme von probiotischen Milchsäurebakterien kann der Spiegel dieses Proteins erhöht werden, was eine vorbeugende Wirkung gegen Bauchfett haben kann. Diese drei Mechanismen zusammen können erklären, wie Probiotika bei der Gewichtsabnahme unterstützen können. Probiotika als Unterstützung für Diäten und Gewichtsmanagement Spezielle Probiotika wie verschiedene Milchsäurebakterien können eine nützliche Ergänzung für Menschen sein, die versuchen, Gewicht zu verlieren oder eine Diät einzuhalten. Studien haben gezeigt, dass man mit Probiotika abnehmen kann, da sie dazu beitragen können, Heißhunger zu reduzieren und das Sättigungsgefühl zu erhöhen. Dennoch sind auch Probiotika keine Zauberpillen zum Abnehmen, aber sie sind eine wundervolle Unterstützung. Um den Gewichtsverlust zu fördern und das Körpergewicht anschließednd langfristig halten zu können, sollte selbstverständlich auch die Ernährung und der Lebensstil angepasst werden. Unterschiede zwischen Probiotika und anderen Diät-Supplementen Probiotika unterscheiden sich von anderen Diät-Supplementen wie Fatburnern oder Carb-Blockern, da sie auf natürliche Weise den Stoffwechsel regulieren und das Immunsystem stärken. Im Gegensatz zu vielen anderen Diät-Supplementen gibt es bei der Einnahme von Probiotika wenige Nebenwirkungen und sie sind in der Regel gut verträglich. Vorteile von Probiotika gegenüber anderen Produkten beim Abnehmen: Reduzierung von Heißhunger Erhöhung des Sättigungsgefühls Unterstützung des Stoffwechsels Regulierung von Entzündungen im Körper Natürliche Ergänzung zur Gewichtsreduktion kaum Nebenwirkungen Erfahre hier, wie Du Probiotika richtig einnimmst. Einfluß unserer Nahrung auf das Mikrobiom Wie wir uns ernähren, ist ein großer Faktor unserer Gesundheit. Erfahrungen haben gezeigt, dass was wir essen, unsere Mikrobiota durch die Veränderung der Zusammensetzung der Mikroorganismen beeinflusst. So haben Menschen, die mehr Firmicutes Bakterien und weniger Bacteroidetes in ihrer Mikrobiota hatten, mit Gewichtszunahme zu kämpfen. Sie können bis zu 10% mehr an Energie aus der Nahrung gewinnen. Wohingegen Menschen, die weniger dieser Bakterienstämme in ihrer Mikrobiotika haben, weniger mit den Kilos zu kämpfen haben und ein deutlich niedrigeres Körpergewicht aufweisen. Jetzt kommt die gute Nachricht! Die Zusammensetzung im Mikrobiom lässt sich beeinflussen, zum Beispiel damit, welche Lebensmittel wir zu uns nehmen. Durch eine abwechlungsreiche und ballaststoffreiche Kost werden Bakterienstämme gefördert, die weniger Kalorien aus Lebensmitteln ziehen und somit nicht für mehr Körpergewicht sorgen. Wohingegen ein häufiger Antibiotika-Einsatz, chemische Zusatzstoffe, Stress, wenig Schlaf, wie auch eine Kost, die reich an tierischen Fetten und Zucker ist, für ein Ungleichgewicht in unserer Mikrobiota sorgen und eine Rolle beim Entstehen von vermehrten Übergewicht beim Menschen spielen kann. Probiotische Präparate können einen positiven Einfluss auf unsere Darmflora haben und haben dabei kaum Nebenwirkungen. Fazit und Ausblick auf weitere Forschung über Probiotika und Abnehmen In diesem Artikel wird der Zusammenhang von unserem Mikrobiom mit seinen Milliarden an Mikroorganismen auf unsere Gewichtszunahme diskutiert.Es wurde gezeigt, dass die Einnahme von Probiotika einen positiven Einfluss auf die Gesundheit des Darms haben können und Menschen dabei helfen können, Gewicht zu verlieren.Untersuchungen haben gezeigt, dass bestimmte Bakterienstämme wie Lactobacillus gasseri und Bifidobacterium longum besonders vorteilhaft sein können. Diese Bakterien können dazu beitragen, die Nährstoffaufnahme zu regulieren und die Fettverbrennung zu fördern.Die Integration von probiotischen Nahrungsergänzungsmitteln in eine ausgewogene Ernährung kann eine großartige Unterstützung beim erreichen des Wohlfühlgewichtes sein.Dennoch sollten auch andere Faktoren zu berücksichtigen, die sich auf das Körpergewicht auswirken können, wie zum Beispiel Stress und mögliche Funktionsstörungen des Verdauungssystems.Eine gesunde Darmflora, die durch die Einnahme von Probiotika gefördert wird, kann dazu beitragen, den Appetit zu kontrollieren, den Blutzuckerspiegel zu regulieren und die Verdauung zu verbessern und somit eine Rolle für mehr Gesundheit spielen. Studien Probiotika und Abnehmen (1) Microbial ecology: human gut microbes associated with obesity. Nature. (2) An obesity- associated gut microbiome with increased capacity for energy harvest. Nature. (3)Probiotic supplementation attenuates increases in bodymass and fat mass during high-fat diet in healthy young adults (4) Effects of Synbiotic Supplement on Human Gut Microbiota, Body Composition and Weight Loss in Obesity (5) Effects of Probiotics and Synbiotics on Weight Loss in Subjects with Overweight or Obesity: A Systematic Review (6) Beneficial effects of a combination of Clostridium cochlearium and Lactobacillus acidophilus on body weight gain, insulin sensitivity, and gut microbiota in high-fat diet-induced obese mice (7) Effect of Lactobacillus gasseri SBT2055 in fermented milk on abdominal adiposity in adults in a randomised controlled trial (8) Supplementation of Lactobacillus curvatus HY7601 and Lactobacillus plantarum KY1032 in diet-induced obese mice is associated with gut microbial changes and reduction in obesity (9) Effects of Bifidobacteriumbreve B-3 on body fat reductions in pre-obese adults: a randomized, double-blind, placebo- controlled trial. (10) Effect of functional yogurt NY-YP901 in improving the trait of metabolic syndrome  (11) Decreased fat storage by Lactobacillus paracasei is associated with increased levels of angiopoietin-like 4 protein (12) Characterization of the Gut Microbiota in Individuals with Overweight or Obesity during a Real-World Weight Loss Dietary Program: A Focus on the Bacteroides 2 Enterotype (13) Bifidobacterium longum counters the effects of obesity: Partial successful translation from rodent to human (14) Probiotic Supplementation Improves Cognitive Function and Mood with Changes in Gut Microbiota in Community-Dwelling Older Adults (15) Probiotic Lactobacillus plantarum P8 alleviated stress and anxiety while enhancing memory and cognition in stressed adults Der Artikel dient lediglich der Informationsvermittlung in Bezug auf Probiotika und soll nicht als medizinische Empfehlung oder als Ersatz für professionelle medizinische Beratung oder Behandlung interpretiert werden.

    Hitzepickel

    Hitzepickel: Ursachen, Symptome und effektive Behandlungsmöglichkeiten

     Was sind Hitzepickel? Hitzepickel entstehen durch eine Verstopfung der Schweißdrüsen. Dies führt dazu, dass der Schweiß in der Haut eingeschlossen wird, was zu kleinen Bläschen oder roten Papeln führt. Es gibt verschiedene Arten von Hitzepickeln, die sich in der Tiefe der Verstopfung und den damit verbundenen Symptomen unterscheiden: Miliaria crystallina: Dies ist die mildeste Form, bei der sich oberflächliche Bläschen bilden, die nicht entzündet sind und keinen Juckreiz verursachen. Miliaria rubra: Diese Form ist tiefer in der Haut und führt zu roten, juckenden Papeln. Miliaria profunda: Diese seltenere Form tritt in tieferen Hautschichten auf und kann größere, festere Knoten verursachen. Ursachen von Hitzepickeln Hitzepickel treten in der Regel bei heißem, feuchtem Wetter oder bei übermäßigem Schwitzen auf. Zu den häufigsten Ursachen gehören: Hohe Temperaturen: Warme und feuchte Umgebungen fördern die Schweißproduktion. Eng anliegende Kleidung: Diese kann die Belüftung der Haut behindern und die Schweißdrüsen blockieren. Intensive körperliche Aktivität: Erhöhtes Schwitzen durch Sport oder anstrengende Tätigkeiten. Übermäßige Nutzung von Hautpflegeprodukten: Einige Cremes und Lotionen können die Poren verstopfen. Fieber: Bei Erkrankungen mit hohem Fieber kann es ebenfalls zu vermehrtem Schwitzen und Hitzepickeln kommen  Symptome von Hitzepickeln Die Symptome variieren je nach Schweregrad der Hitzepickel: Bläschen oder Papeln: Kleine, klare oder rote Erhebungen auf der Haut. Juckreiz: Besonders bei Miliaria rubra kann intensiver Juckreiz auftreten. Brennen: Ein unangenehmes Brennen oder Stechen an den betroffenen Stellen. Rötung: Hautrötungen, die auf Entzündungen hinweisen  Behandlungsmöglichkeiten für Hitzepickel Die Behandlung von Hitzepickeln konzentriert sich darauf, die Haut kühl und trocken zu halten sowie die Symptome zu lindern: Behandlungsmethode Beschreibung Vorteile Kühlung Kühle Kompressen oder ein lauwarmes Bad können den Juckreiz und die Rötung lindern. Sofortige Linderung von Juckreiz und Rötung Luftige Kleidung Trage leichte, atmungsaktive Kleidung, die die Haut belüftet. Verhindert weitere Verstopfung der Schweißdrüsen Vermeidung von Hitze Vermeide heiße, feuchte Umgebungen und intensive körperliche Aktivitäten. Reduziert das Schwitzen und die Wahrscheinlichkeit neuer Hitzepickel Topische Mittel Beruhigende Lotionen wie Calamin oder Hydrocortison-Creme können helfen, den Juckreiz zu reduzieren. Lindert Entzündungen und Juckreiz Hautpflege Verwende milde, nicht komedogene Hautpflegeprodukte, die die Poren nicht verstopfen. Unterstützt die Heilung und verhindert weitere Hautirritationen     Probiotische Hautpflege Probiotische Hautpflegeprodukte wie die Skin Glow Produkte von Within Supplements können von innen heraus helfen, die Hautbarriere zu stärken und das Hautmikrobiom ins Gleichgewicht zu bringen. Diese Produkte enthalten nützliche Bakterien, die die Darmgesundheit und damit die Hautgesundheit fördern und Hautprobleme wie Hitzepickel lindern können. [[blog_ad]] Prävention von Hitzepickeln Um Hitzepickeln vorzubeugen, kannst Du folgende Maßnahmen ergreifen: Trage lockere, leichte Kleidung: Bevorzuge Materialien wie Baumwolle, die atmungsaktiv sind. Bleib kühl: Halte Dich in klimatisierten Räumen auf und vermeide direkte Sonneneinstrahlung. Pflege Deine Haut: Reinige Deine Haut regelmäßig und verwende milde, nicht komedogene Pflegeprodukte. Achte auf Deine Umgebung: Reduziere Deine Aktivität in heißen, feuchten Umgebungen und trinke ausreichend Wasser, um Überhitzung zu vermeiden  Hautpflege-Tipps bei Hitzepickeln Eine effektive Hautpflege kann das Auftreten von Hitzepickeln reduzieren und die Heilung unterstützen: Reinigung: Verwende ein mildes Reinigungsmittel, um Schmutz und Schweiß zu entfernen, ohne die Haut zu reizen. Feuchtigkeit: Wähle leichte, nicht fettende Feuchtigkeitscremes, die die Haut hydratisieren, ohne die Poren zu verstopfen. Exfoliation: Sanfte Exfoliation kann helfen, abgestorbene Hautzellen zu entfernen und die Poren frei zu halten. Probiotika: Integriere probiotische Nahrungsergänzungsmittel, um das Gleichgewicht des Hautmikrobioms zu unterstützen und die Hautbarriere zu stärken  Zusammenfassung Hitzepickel sind ein häufiges und unangenehmes Hautproblem, das vor allem in warmen und feuchten Umgebungen auftritt. Durch die richtigen Maßnahmen zur Vorbeugung und Behandlung kannst Du jedoch das Auftreten von Hitzepickeln minimieren und Deine Hautgesundheit verbessern. Probiotische Hautpflegeprodukte wie die Dailys von Within Supplements können eine innovative Möglichkeit bieten, die Hautbarriere von innen heraus zu stärken und Hautprobleme zu lindern. Investiere in Deine Hautgesundheit und entdecke die Vorteile probiotischer Pflegeprodukte!

    Milien

    Milien: Ursachen, Behandlung und Prävention

    Was sind Milien? Milien sind winzige, harte Zysten, die aus Keratin bestehen und sich an den Ausgängen von Talgdrüsen und Haarfollikeln bilden. Sie sind zwischen einem und drei Millimetern groß und fühlen sich hart an. Besonders häufig treten sie im Augenbereich und auf den Wangen auf, können aber auch an anderen Körperstellen wie dem Oberkörper, den Gliedmaßen und im Genitalbereich vorkommen. Ursachen von Milien Es gibt verschiedene Ursachen für die Entstehung von Milien: Primäre Milien: Diese entstehen oft durch hormonelle Veränderungen und können in jedem Alter auftreten, sowohl bei Männern als auch bei Frauen. Sie sind häufig im Gesicht zu finden, besonders im Augenbereich. Sekundäre Milien: Diese entstehen durch Hautverletzungen wie Verbrennungen, Entzündungen, Abschürfungen oder nach Hautkrankheiten wie Gürtelrose. Auch übermäßige Sonneneinstrahlung kann zur Bildung von sekundären Milien führen. Milien bei Neugeborenen: Diese Form, auch milia neonatorum genannt, tritt bei Babys auf und verschwindet in der Regel innerhalb weniger Wochen von selbst. [[blog_ad]] Symptome und Aussehen Milien sind als kleine, weiße oder gelbliche Knötchen auf der Hautoberfläche sichtbar. Im Gegensatz zu Mitessern sind sie nicht entzündlich und verursachen keine Schmerzen. Aufgrund ihrer harten Konsistenz können sie nicht einfach ausgedrückt werden wie gewöhnliche Pickel. Behandlung von Milien Wenn Milien nicht von selbst verschwinden oder kosmetisch stören, gibt es verschiedene Behandlungsmöglichkeiten: Mechanische Entfernung: Dermatologen oder Kosmetiker können Milien mit einer Lanzette oder Kanüle öffnen und das Keratin-Körnchen ausdrücken. Dieser Eingriff sollte professionell durchgeführt werden, um Entzündungen und Narben zu vermeiden. Laserbehandlung: Hierbei wird die oberste Hautschicht mit einem Laser abgetragen, wodurch die Milien entfernt werden. Diese Methode eignet sich besonders für empfindliche Hautbereiche. Vereisung: Mit flüssigem Stickstoff werden die Milien vereist und fallen nach einigen Tagen ab. Diese Methode ist jedoch für den Augenbereich weniger geeignet. Prävention von Milien Obwohl es keine sichere Methode gibt, um das Auftreten von Milien vollständig zu verhindern, können einige Maßnahmen helfen: Präventionsmaßnahme Beschreibung Sonnenschutz Vermeide übermäßige Sonneneinstrahlung, um Sonnenbrand zu verhindern. Gründliche Hautpflege Regelmäßiges Peeling und milde Reinigungsprodukte helfen, abgestorbene Hautzellen zu entfernen und die Poren frei zu halten. Vermeidung von reichhaltigen Cremes Verwende keine Produkte auf Ölbasis, um die Poren nicht zu verstopfen. Gesunde Ernährung Achte auf eine ausgewogene Ernährung und verzichte auf Nikotin und andere Umweltgifte. Retinolhaltige Produkte Diese können helfen, die Haut zu erneuern und Milien vorzubeugen, sollten jedoch nicht in den Augenbereich gelangen. Hausmittel gegen Milien Einige Hausmittel wie Apfelessig und Teebaumöl werden häufig empfohlen, jedoch können sie die Haut stark reizen und zu allergischen Reaktionen führen. Daher ist Vorsicht geboten, besonders im empfindlichen Augenbereich. Fazit Milien sind zwar harmlos, können aber kosmetisch störend sein. Mit den richtigen Behandlungs- und Präventionsmethoden kannst du sie effektiv entfernen und vorbeugen. Für weitere Informationen zu effektiven Hautpflegeprodukten empfehlen wir die probiotischen Hautpflegekapseln von Within Supplements, wie z.B. die Dailys, die dir helfen können, eine gesunde und klare Haut zu bewahren.

    Reibeisenhaut

    Reibeisenhaut: Ursachen, Behandlung und Prävention

    Was ist Reibeisenhaut? Reibeisenhaut entsteht durch eine Verhornungsstörung der Haarfollikel. Dabei kommt es zu einer Überproduktion von Keratin, einem Protein, das die Haut vor schädlichen Substanzen und Infektionen schützt. Das überschüssige Keratin verstopft die Haarfollikel, was zu kleinen, harten Beulen auf der Haut führt. Ursachen von Reibeisenhaut Die genauen Ursachen von Reibeisenhaut sind nicht vollständig geklärt, aber es gibt einige Faktoren, die zur Entstehung beitragen können: Genetische Veranlagung: Reibeisenhaut tritt häufig familiär gehäuft auf, was auf eine genetische Komponente hindeutet. Trockenheit der Haut: Menschen mit trockener Haut sind eher anfällig für Reibeisenhaut. Begleiterscheinungen von Hautkrankheiten: Ekzeme und andere Hauterkrankungen können das Risiko für Reibeisenhaut erhöhen. Symptome und Aussehen Reibeisenhaut zeigt sich als kleine, raue Beulen, die wie Sandpapier oder Gänsehaut aussehen. Die Beulen können weiß oder rot sein und verursachen in der Regel keine Schmerzen oder Juckreiz. Die Haut fühlt sich rau und uneben an und kann in den betroffenen Bereichen trocken oder schuppig sein.  [[blog_ad]] Behandlung von Reibeisenhaut Obwohl Reibeisenhaut nicht heilbar ist, gibt es verschiedene Methoden, um die Symptome zu lindern und das Hautbild zu verbessern: Feuchtigkeitscremes: Regelmäßige Anwendung von feuchtigkeitsspendenden Cremes hilft, die Haut weich und geschmeidig zu halten. Peelings: Mechanische oder chemische Peelings können helfen, abgestorbene Hautzellen zu entfernen und die Poren frei zu halten. Retinoid-Cremes: Produkte, die Retinoide enthalten, können helfen, die Zellregeneration zu fördern und das Hautbild zu verbessern. Urea- und Salicylsäure-Cremes: Diese Wirkstoffe helfen, die Verhornung zu reduzieren und die Haut zu glätten. Prävention von Reibeisenhaut Die Vorbeugung von Reibeisenhaut konzentriert sich auf die Pflege und Hydratation der Haut: Präventionsmaßnahme Beschreibung Regelmäßige Feuchtigkeitspflege Trage täglich feuchtigkeitsspendende Cremes oder Lotionen auf, um die Haut weich zu halten. Schonende Reinigung Verwende milde Reinigungsprodukte und vermeide heiße Duschen, die die Haut austrocknen können. Peelings Führe regelmäßig sanfte Peelings durch, um abgestorbene Hautzellen zu entfernen. Luftige Kleidung Trage locker sitzende Kleidung aus natürlichen Materialien, um Reibung und Hautirritationen zu vermeiden. Hausmittel gegen Reibeisenhaut Einige Hausmittel können helfen, die Symptome von Reibeisenhaut zu lindern: Kokosöl: Dieses natürliche Öl spendet Feuchtigkeit und kann helfen, die Haut zu beruhigen. Apfelessig: Verdünnter Apfelessig kann als Toner verwendet werden, um die Haut zu peelen und zu glätten. Haferflocken: Haferflockenbäder können helfen, die Haut zu beruhigen und Entzündungen zu reduzieren. Fazit Reibeisenhaut ist zwar eine harmlose, aber oft lästige Hauterkrankung. Durch die richtige Hautpflege und die Anwendung geeigneter Behandlungs- und Präventionsmethoden kannst du die Symptome deutlich verbessern und ein glatteres Hautbild erreichen. Probiotische Hautpflegeprodukte, wie die Dailys von Within Supplements, können dabei helfen, deine Hautbarriere zu unterstützen und für eine bessere Haut sorgen.  Wichtig hierbei ist eine regelmäßige und längerfristige Einnahme.

    Couperose

    Couperose: Ursachen, Behandlung und Prävention

    Was ist Couperose? Couperose entsteht durch eine Schwäche der Blutgefäße, die zu ihrer Erweiterung führt. Diese Erweiterung bleibt dauerhaft bestehen und ist durch die dünne Gesichtshaut besonders sichtbar. Couperose tritt häufig bei Menschen mit heller Haut auf und kann sich im Laufe der Zeit verschlimmern. Ursachen von Couperose Die genauen Ursachen für Couperose sind noch nicht vollständig geklärt, jedoch gibt es mehrere Faktoren, die zur Entwicklung beitragen können: Genetische Veranlagung: Eine familiäre Häufung deutet darauf hin, dass genetische Faktoren eine Rolle spielen. Umwelteinflüsse: Extreme Temperaturen, UV-Strahlung und Umweltverschmutzung können die Haut belasten und die Symptome verschlimmern. Lebensstil: Alkohol, scharfe Speisen und Stress können die Blutgefäße erweitern und die Symptome verstärken. Dysbiose im Darmmikrobiom: Ein Ungleichgewicht der Darmbakterien scheint eine bedeutende Rolle bei der Pathogenese von Couperose zu spielen. Symptome und Aussehen Couperose zeigt sich durch eine dauerhafte Rötung der Haut, besonders auf den Wangen, der Nase und dem Kinn. Zudem sind kleine, sichtbare Blutgefäße (Teleangiektasien) zu erkennen. Die Haut kann empfindlich und trocken sein und neigt zu Entzündungen. Behandlung von Couperose Es gibt verschiedene Methoden, um die Symptome von Couperose zu lindern und das Hautbild zu verbessern: Topische Behandlungen: Cremes und Gele mit Wirkstoffen wie Metronidazol oder Azelainsäure können helfen, Rötungen zu reduzieren. Lasertherapie: Laser können die erweiterten Blutgefäße gezielt zerstören und das Hautbild verbessern. IPL (Intense Pulsed Light): Diese Methode nutzt hochenergetische Lichtimpulse, um die Blutgefäße zu verengen und Rötungen zu reduzieren. [[blog_ad]] Prävention von Couperose Die Vorbeugung von Couperose umfasst vor allem den Schutz der Haut vor schädlichen Einflüssen: Präventionsmaßnahme Beschreibung Sonnenschutz Verwende täglich Sonnenschutzmittel mit hohem LSF, um UV-Schäden zu verhindern. Sanfte Hautpflege Vermeide aggressive Reinigungsprodukte und verwende milde, feuchtigkeitsspendende Pflege. Lebensstil Reduziere den Konsum von Alkohol und scharfen Speisen, und baue Stress ab. Hausmittel gegen Couperose Einige Hausmittel können helfen, die Symptome von Couperose zu lindern: Kamillenkompressen: Kamille hat entzündungshemmende Eigenschaften und kann die Haut beruhigen. Grüner Tee: Dieser kann als Toner verwendet werden und hat antioxidative Wirkungen. Fazit Couperose ist eine chronische Hauterkrankung, die durch eine sorgfältige Hautpflege und gezielte Behandlungen gut in den Griff zu bekommen ist. Mit probiotischen Hautpflegeprodukten, wie den Dailys und den Akazienfasern von Within Supplements, kannst du deine Hautbarriere von innen heraus unterstützen. Eine verbesserte Darmflora kann dafür sorgen, dass die Hautflora wieder ins Gleichgewicht kommt und weniger Entzündungen entstehen.

    Pickel am Po

    Pickel am Po: Ursachen, Behandlung und Prävention

    Was sind Pickel am Po? Pickel am Po entstehen, wenn Haarfollikel durch abgestorbene Hautzellen, Talg und Bakterien verstopft werden. Dies führt zu Entzündungen und der Bildung von Pickeln, die sich als rote, eitergefüllte Beulen äußern können. Manchmal sind diese Pickel mit Juckreiz und Schmerzen verbunden. Ursachen von Pickeln am Po Die Hauptursachen für Pickel am Po sind: Reibung und Druck: Enge Kleidung und langes Sitzen können die Haut reizen und die Bildung von Pickeln fördern. Schweiß und Feuchtigkeit: Schwitzen und unzureichende Belüftung des Gesäßbereichs können das Wachstum von Bakterien begünstigen. Hormonelle Veränderungen: Hormonelle Schwankungen, insbesondere während der Pubertät oder des Menstruationszyklus, können die Talgproduktion erhöhen und zu Pickeln führen. Haarfollikelentzündung (Follikulitis): Diese entsteht durch Infektionen der Haarfollikel mit Bakterien oder Pilzen. [[blog_ad]] Symptome und Aussehen Pickel am Po erscheinen als kleine, rote Beulen, die sich entzünden und mit Eiter gefüllt sein können. Manchmal sind sie schmerzhaft oder jucken, insbesondere wenn sie gereizt oder gedrückt werden.  Behandlung von Pickeln am Po Es gibt verschiedene Möglichkeiten, Pickel am Po zu behandeln und ihre Heilung zu fördern: Topische Antibiotika: Cremes oder Gele mit antibakteriellen Wirkstoffen können helfen, die Infektion zu bekämpfen. Antiseptische Waschlotionen: Regelmäßiges Waschen des Gesäßbereichs mit antiseptischen Seifen kann das Bakterienwachstum reduzieren. Feuchtigkeitsspendende Cremes: Verwende nicht komedogene Feuchtigkeitscremes, um die Haut weich und geschmeidig zu halten. Peelings: Sanfte Peelings können helfen, abgestorbene Hautzellen zu entfernen und die Poren frei zu halten. Prävention von Pickeln am Po Die Vorbeugung von Pickeln am Po umfasst vor allem eine gute Hygiene und das Vermeiden von Hautirritationen: Präventionsmaßnahme Beschreibung Locker sitzende Kleidung Trage atmungsaktive und lockere Kleidung, um Reibung und Schweißbildung zu minimieren. Regelmäßiges Duschen Duschen nach dem Sport oder starkem Schwitzen, um Bakterien zu entfernen. Peelings Führe regelmäßig sanfte Peelings durch, um abgestorbene Hautzellen zu entfernen. Vermeidung von hautreizenden Produkten Verwende milde Reinigungs- und Pflegeprodukte ohne irritierende Inhaltsstoffe. Hausmittel gegen Pickel am Po Einige Hausmittel können helfen, die Symptome von Pickeln am Po zu lindern: Teebaumöl: Teebaumöl hat antibakterielle Eigenschaften und kann auf die betroffenen Stellen aufgetragen werden. Aloe Vera: Aloe Vera beruhigt die Haut und reduziert Entzündungen. Salzbad: Ein warmes Bad mit Salz kann helfen, die Haut zu reinigen und Entzündungen zu lindern. Fazit Pickel am Po sind zwar unangenehm, aber mit den richtigen Behandlungs- und Präventionsmethoden gut in den Griff zu bekommen. Eine regelmäßige und sorgfältige Hautpflege ist dabei entscheidend. Probiotische Hautpflegeprodukte, wie die Dailys von Within Supplements, können deine Hautgesundheit unterstützen und dabei helfen, Pickel zu verhindern.

    Fungal Akne

    Fungal Akne: Ursachen, Behandlung und Prävention

    Ursachen von Fungal Akne Fungal Akne entsteht durch eine Überwucherung von Malassezia-Hefen auf der Haut. Diese Hefen gedeihen in warmen, feuchten Umgebungen und können durch Faktoren wie übermäßiges Schwitzen, fettige Haut und den Gebrauch von fettigen Hautpflegeprodukten begünstigt werden. Auch das Tragen enger Kleidung und unzureichende Hygiene können das Wachstum von Malassezia fördern. Häufige Auslöser: Hohe Luftfeuchtigkeit: Feuchtes Klima begünstigt das Wachstum von Hefepilzen. Schwitzen: Intensives Schwitzen, insbesondere bei sportlichen Aktivitäten, kann die Hautfeuchtigkeit erhöhen. Fettige Hautpflegeprodukte: Produkte, die die Poren verstopfen, können die Bedingungen für Pilzwachstum verbessern. Antibiotika: Längerfristige Antibiotikabehandlungen können das natürliche Gleichgewicht der Hautflora stören und Pilzwachstum fördern. Symptome von Fungal Akne Die Symptome von fungal Akne ähneln denen der herkömmlichen Akne, können jedoch unterschieden werden. Typische Anzeichen sind kleine, juckende Pusteln, die oft in Clustern auftreten. Diese Pusteln sind normalerweise gleich groß und treten häufig auf Brust, Rücken und Schultern auf. Anders als bei bakterieller Akne reagieren sie nicht auf herkömmliche Aknebehandlungen wie Benzoylperoxid oder Salicylsäure. [[blog_ad]] Behandlung von Fungal Akne Die Behandlung von fungal Akne erfordert spezielle antimykotische (pilzbekämpfende) Mittel. Hier sind einige effektive Behandlungsmethoden: Topische Behandlungen: Antimykotische Cremes: Produkte mit Wirkstoffen wie Ketoconazol oder Clotrimazol können direkt auf die betroffenen Stellen aufgetragen werden. Shampoos: Antimykotische Shampoos mit Inhaltsstoffen wie Ketoconazol können auch als Körperwaschmittel verwendet werden. Systemische Behandlungen: In schwereren Fällen kann ein Arzt orale antimykotische Medikamente verschreiben. Diese Medikamente helfen, den Pilzbefall systemisch zu bekämpfen und sollten nur unter ärztlicher Aufsicht eingenommen werden. Prävention von Fungal Akne Um fungal Akne vorzubeugen, ist es wichtig, die Bedingungen zu vermeiden, die das Wachstum von Malassezia fördern. Hier sind einige Tipps zur Prävention: Regelmäßige Hygiene: Halte deine Haut sauber und trocken, besonders nach dem Schwitzen. Luftige Kleidung: Trage lockere, atmungsaktive Kleidung, um übermäßiges Schwitzen zu vermeiden. Fettfreie Hautpflegeprodukte: Verwende Produkte, die nicht komedogen sind und die Poren nicht verstopfen. Antimykotische Produkte: Nutze regelmäßig antimykotische Shampoos oder Waschgels, besonders wenn du anfällig für fungal Akne bist. Produkte zur Unterstützung der Hautgesundheit Neben der Vermeidung und Behandlung von fungal Akne ist es wichtig, deine Haut allgemein gesund zu halten. Hier können probiotische Hautpflegekapseln, wie die Dailys von Within Supplements, eine wertvolle Unterstützung bieten. Diese Kapseln können von innen heraus dabei helfen, das natürliche Gleichgewicht der Hautflora zu fördern und Entzündungen zu reduzieren. Zusammenfassung Fungal Akne kann eine hartnäckige und unangenehme Hauterkrankung sein, die jedoch mit den richtigen Mitteln effektiv behandelt und verhindert werden kann. Durch die Kenntnis der Ursachen und Symptome sowie der Verwendung geeigneter Produkte und Präventionsstrategien kannst du deine Haut gesund und klar halten. Probiotische Hautpflegekapseln wie die Dailys von Within Supplements bieten eine zusätzliche Unterstützung, um das Gleichgewicht deiner Hautflora zu fördern und deine Haut von innen heraus zu stärken. Probiere sie aus und erfahre den Unterschied.

    Geschwollene Augen

    Geschwollene Augen: Ursachen, Behandlung und Prävention

    Ursachen von Geschwollenen Augen Geschwollene Augen können durch eine Vielzahl von Faktoren ausgelöst werden. Hier sind einige der häufigsten Ursachen: Allergien Allergien gegen Pollen, Tierhaare, Hausstaubmilben oder bestimmte Lebensmittel können zu Schwellungen der Augen führen. Allergische Reaktionen verursachen eine Entzündung, die zu Schwellungen führt. Schlafmangel Unzureichender Schlaf kann zu Flüssigkeitsansammlungen um die Augen führen, was zu Schwellungen führt. Dies ist oft begleitet von dunklen Augenringen und einer allgemeinen Müdigkeit des Gesichtsausdrucks. Dehydration Eine unzureichende Flüssigkeitszufuhr kann dazu führen, dass der Körper Wasser zurückhält, was zu geschwollenen Augen führen kann. Ernährung Eine salzreiche Ernährung kann Wassereinlagerungen im Körper verursachen, einschließlich der Augenpartie. Dies kann zu vorübergehenden Schwellungen führen. Weitere Ursachen Hormonelle Veränderungen: Insbesondere während der Menstruation, Schwangerschaft oder Menopause. Alterung: Mit zunehmendem Alter verliert die Haut an Elastizität und Fettgewebe um die Augen kann hervortreten. Gesundheitsprobleme: Nieren- oder Schilddrüsenerkrankungen können Schwellungen verursachen. [[blog_ad]] Behandlung von Geschwollenen Augen Die Behandlung von geschwollenen Augen hängt von der zugrunde liegenden Ursache ab. Hier sind einige allgemeine Methoden zur Linderung: Hausmittel Kalte Kompressen: Kühle einen Waschlappen und lege ihn für etwa 10-15 Minuten auf die Augen. Teebeutel: Grüner oder schwarzer Tee enthält Tannine, die Schwellungen reduzieren können. Kühle gebrauchte Teebeutel und lege sie auf die Augen. Gurken: Gurkenscheiben auf den Augen können beruhigend wirken und Schwellungen reduzieren. Medizinische Behandlungen Wenn Allergien die Ursache sind, können Antihistaminika helfen. Bei chronischen oder schwerwiegenden Problemen ist es ratsam, einen Arzt aufzusuchen, um die zugrunde liegende Ursache zu behandeln.  Hautpflegeprodukte Spezielle Augencremes mit Inhaltsstoffen wie Koffein, Hyaluronsäure und Peptiden können helfen, Schwellungen zu reduzieren. Diese Produkte fördern die Durchblutung und spenden der empfindlichen Haut um die Augen Feuchtigkeit. Prävention von Geschwollenen Augen Um geschwollene Augen zu verhindern, ist es wichtig, einen gesunden Lebensstil zu pflegen und bestimmte Gewohnheiten zu vermeiden. Hier sind einige Tipps zur Prävention: Ausreichend Schlaf: Achte darauf, jede Nacht 7-9 Stunden zu schlafen. Hydration: Trinke ausreichend Wasser, um deinen Körper hydriert zu halten. Ernährung: Reduziere die Salzaufnahme und achte auf eine ausgewogene Ernährung, die reich an Pro- und Präbiotika ist. Allergiemanagement: Vermeide bekannte Allergene und nutze gegebenenfalls antiallergische Medikamente. Hautpflege: Verwende regelmäßig feuchtigkeitsspendende und kühlende Augenpflegeprodukte. Produkte zur Unterstützung der Hautgesundheit Neben den genannten Maßnahmen können probiotische Hautpflegekapseln, wie die Dailys von Within Supplements, eine wertvolle Unterstützung bieten. Diese Kapseln können dabei helfen, das natürliche Gleichgewicht der Hautflora von zu fördern und Entzündungen zu reduzieren. Durch die Stärkung der Haut von innen heraus können sie dazu beitragen, Schwellungen und andere Hautprobleme zu minimieren. Zusammenfassung Geschwollene Augen können lästig sein, aber mit den richtigen Maßnahmen kannst du sie effektiv behandeln und verhindern. Indem du auf eine gesunde Lebensweise achtest und geeignete Hautpflegeprodukte verwendest, kannst du deine Augenpartie gesund und strahlend halten. Probiotische Hautpflegekapseln wie die Dailys von Within Supplements bieten eine zusätzliche Unterstützung, um das Gleichgewicht deiner Hautflora zu fördern und deine Haut von innen heraus zu stärken. Probiere sie aus und erfahre den Unterschied.

    Ectoin

    Ectoin: Der ultimative Schutz für deine Haut

    Die Vorteile von Ectoin Ectoin bietet eine Vielzahl von Vorteilen für die Hautpflege. Es wirkt als kraftvoller Zellschutz und unterstützt die Haut in verschiedenen Bereichen. Hauptvorteile: Schutz vor Umwelteinflüssen: Ectoin bildet einen Schutzfilm auf der Haut, der vor schädlichen Umwelteinflüssen wie UV-Strahlung, Schadstoffen und extremen Temperaturen schützt. Feuchtigkeitsspendend: Ectoin hilft, die Hautfeuchtigkeit zu bewahren und verhindert das Austrocknen der Haut. Entzündungshemmend: Es reduziert Hautirritationen und Entzündungen, wodurch die Haut beruhigt wird. Regenerierend: Ectoin fördert die Regeneration der Hautzellen und unterstützt die Wundheilung. Anwendung von Ectoin in Hautpflegeprodukten Ectoin kann in einer Vielzahl von Hautpflegeprodukten verwendet werden, um die Haut zu schützen und zu pflegen. Hier sind einige Beispiele: Produktkategorie Wirkungsweise Anwendungstipps Feuchtigkeitscremes Spendet intensiv Feuchtigkeit, schützt die Hautbarriere Morgens und abends auf gereinigte Haut auftragen Seren Stärkt die Hautstruktur, schützt vor Umwelteinflüssen Vor der Feuchtigkeitscreme anwenden Sonnenschutzmittel Erhöht den UV-Schutz, schützt vor schädlichen Strahlen 30 Minuten vor Sonnenexposition auftragen After-Sun-Produkte Beruhigt die Haut nach Sonneneinstrahlung, fördert Regeneration Nach dem Sonnenbaden großzügig auftragen [[blog_ad]] Warum Ectoin so effektiv ist Ectoin wirkt auf zellulärer Ebene und schützt die Hautzellen vor Schäden durch Umweltstress. Es stabilisiert die Zellmembranen und Proteine, was dazu beiträgt, die Haut in einem optimalen Zustand zu halten. Durch seine feuchtigkeitsspendenden Eigenschaften verhindert Ectoin, dass die Haut austrocknet, und sorgt für ein glattes, geschmeidiges Hautbild. Wie Ectoin wirkt: Zellschutz: Ectoin bildet einen natürlichen Schutzfilm auf der Haut, der sie vor schädlichen Einflüssen bewahrt. Feuchtigkeitsbewahrung: Es bindet Wasser in den Hautzellen und sorgt so für langanhaltende Hydratation. Entzündungshemmung: Ectoin reduziert die Produktion von entzündungsfördernden Molekülen und beruhigt die Haut. Regeneration: Es unterstützt die Erneuerung der Hautzellen und fördert die Heilung von Hautschäden. Probiotische Hautpflege von innen Diese probiotischen Hautpflegekapseln können helfen, das natürliche Gleichgewicht der Hautflora durch verbesserte Darmgesundheit zu fördern und Entzündungen zu reduzieren. Durch die regelmäßige und längerfristige Einnahme kann deine Haut von innen heraus gestärkt und geschützt werden.  Zusammenfassung Ectoin ist ein kraftvoller Wirkstoff, der deine Haut vor schädlichen Umwelteinflüssen schützt und ihre Regeneration unterstützt. Mit den richtigen Hautpflegeprodukten, die Ectoin enthalten, kannst du deine Haut optimal pflegen und schützen. Probiotische Hautpflegekapseln wie die Dailys von Within Supplements bieten eine zusätzliche Unterstützung, um das Gleichgewicht deiner Hautflora zu fördern und deine Haut von innen heraus zu stärken. Probiere sie aus und erfahre den Unterschied.

    Pickeln auf der Kopfhaut

    Pickel auf der Kopfhaut: Ursachen, Behandlung und Prävention

    Ursachen von Pickeln auf der Kopfhaut Pickel auf der Kopfhaut können durch verschiedene Faktoren ausgelöst werden. Hier sind einige der häufigsten Ursachen: Überproduktion von Talg: Eine übermäßige Talgproduktion kann die Haarfollikel verstopfen und zu Pickeln führen. Unsaubere Kopfhaut: Unregelmäßiges Waschen der Haare oder die Verwendung ungeeigneter Haarpflegeprodukte kann die Kopfhaut irritieren. Hormonschwankungen: Hormonelle Veränderungen, wie sie während der Pubertät, der Menstruation oder in der Schwangerschaft auftreten, können Pickel auf der Kopfhaut begünstigen. Ernährung: Eine unausgewogene Ernährung mit hohem Zucker- und Fettgehalt kann zu Hautproblemen führen, einschließlich Pickeln auf der Kopfhaut. Stress: Stress kann die Talgproduktion erhöhen und Entzündungen fördern, was die Bildung von Pickeln begünstigt. [[blog_ad]] Behandlung von Pickeln auf der Kopfhaut Die Behandlung von Pickeln auf der Kopfhaut erfordert eine konsequente Pflegeroutine und möglicherweise den Einsatz spezieller Produkte. Hier sind einige bewährte Methoden: Topische Behandlungen: Produktkategorie Wirkstoff Wirkung Anwendungstipps Shampoos Salicylsäure Exfoliert die Kopfhaut, reduziert Verstopfungen 2-3 Mal pro Woche anwenden Tonics Teebaumöl Antibakteriell, beruhigt die Kopfhaut Direkt auf die betroffenen Stellen auftragen Masken Zink Reduziert Entzündungen, reguliert Talgproduktion 1 Mal pro Woche anwenden Gels Benzoylperoxid Bekämpft Bakterien, reduziert Pickelbildung Vorsichtig auf die Pickel auftragen Allgemeine Tipps: Regelmäßiges Waschen: Wasche deine Haare regelmäßig mit einem milden Shampoo, um die Kopfhaut sauber zu halten und überschüssigen Talg zu entfernen. Vermeide fettige Produkte: Verwende keine Haarpflegeprodukte, die die Kopfhaut fettig machen oder die Poren verstopfen können. Ausgewogene Ernährung: Achte auf eine ausgewogene, ballaststoffreiche Ernährung mit vielen Pro- und Präbiotika und ausreichend Wasser. Stressmanagement: Reduziere Stress durch Entspannungstechniken wie Yoga, Meditation oder regelmäßige Bewegung. Prävention von Pickeln auf der Kopfhaut Die Prävention von Pickeln auf der Kopfhaut erfordert eine Kombination aus guter Hygiene, geeigneten Haarpflegeprodukten und einer gesunden Lebensweise. Hier sind einige Tipps zur Vorbeugung: Hygiene: Halte deine Kopfhaut sauber, indem du regelmäßig deine Haare wäschst und darauf achtest, dass keine Rückstände von Haarpflegeprodukten zurückbleiben. Geeignete Produkte: Verwende Haarpflegeprodukte, die für deinen Haartyp und deine Kopfhaut geeignet sind und keine komedogenen Inhaltsstoffe enthalten. Sonnenschutz: Schütze deine Kopfhaut vor übermäßiger Sonneneinstrahlung, indem du Hüte oder Kopftücher trägst. Haarbürsten: Reinige deine Haarbürsten regelmäßig, um die Ansammlung von Talg und Schmutz zu verhindern. Produkte zur Unterstützung der Kopfhautgesundheit Neben den genannten Maßnahmen können probiotische Hautpflegekapseln, wie die Dailys Produkte von Within Supplements, eine wertvolle Unterstützung bieten. Diese Kapseln können dabei helfen, das natürliche Gleichgewicht der Hautflora zu fördern und Entzündungen zu reduzieren. Durch die Stärkung der Haut von innen heraus können sie dazu beitragen, Hautprobleme wie Pickel auf der Kopfhaut zu minimieren.  Zusammenfassung Pickel auf der Kopfhaut können unangenehm sein, aber mit den richtigen Behandlungen und Präventionsmaßnahmen kannst du deine Kopfhaut gesund halten und zukünftige Probleme vermeiden. Eine konsequente Pflegeroutine, die Verwendung geeigneter Produkte und eine gesunde Lebensweise sind entscheidend. Probiotische Hautpflegekapseln wie die Dailys von Within Supplements bieten eine zusätzliche Unterstützung, um das Gleichgewicht deiner Hautflora zu fördern und deine Kopfhaut von innen heraus zu stärken. Probiere sie aus und erfahre den Unterschied.

     Sebaceous Filaments

    Sebaceous Filaments: Ursachen, Behandlung und Prävention

     Ursachen von Sebaceous Filaments Sebaceous filaments entstehen durch den natürlichen Prozess der Talgproduktion in der Haut. Hier sind einige der häufigsten Ursachen: Überproduktion von Talg: Eine erhöhte Talgproduktion kann dazu führen, dass sebaceous filaments deutlicher sichtbar werden. Vergrößerte Poren: Größere Poren neigen dazu, mehr Talg zu sammeln, was die Sichtbarkeit der filaments erhöht. Ungleiche Hautpflege: Eine unzureichende Reinigung und Pflege der Haut kann die Ansammlung von Talg und abgestorbenen Hautzellen begünstigen. Genetik: Genetische Faktoren spielen eine Rolle bei der Größe der Poren und der Talgproduktion. Behandlung von Sebaceous Filaments Die Behandlung von Sebaceous Filaments erfordert eine konsequente Pflegeroutine und den Einsatz wirksamer Produkte. Hier sind einige bewährte Methoden: Topische Behandlungen: Produktkategorie Wirkstoff Wirkung Anwendungstipps Reinigungsgels Salicylsäure Exfoliert die Haut, reduziert Verstopfungen Morgens und abends anwenden Seren Niacinamid Reguliert die Talgproduktion, verfeinert die Poren Vor der Feuchtigkeitscreme auftragen Masken Aktivkohle Absorbiert überschüssigen Talg, klärt die Haut 1-2 Mal pro Woche anwenden Peelings Glykolsäure Entfernt abgestorbene Hautzellen, verfeinert die Poren Einmal pro Woche anwenden Allgemeine Tipps: Regelmäßige Reinigung: Reinige dein Gesicht zweimal täglich mit einem milden Reinigungsgel, um Schmutz und überschüssigen Talg zu entfernen. Exfoliation: Verwende regelmäßig Peelings, um abgestorbene Hautzellen zu entfernen und die Poren frei zu halten. Nicht ausdrücken: Vermeide es, sebaceous filaments auszudrücken, da dies zu Entzündungen und Schäden an der Haut führen kann. Geeignete Produkte: Verwende nicht-komedogene Hautpflegeprodukte, die speziell für fettige und Mischhaut entwickelt wurden. Gesunde Ernährung: Eine ausgewogene Ernährung mit vielen Prä- und Probiotika sowie eine ausreichende Hydratation kann die Hautgesundheit positiv unterstützen und die Talgproduktion regulieren. Prävention von Sebaceous Filaments Die Prävention von Sebaceous Filaments erfordert eine Kombination aus guter Hygiene, geeigneten Hautpflegeprodukten und einer gesunden Lebensweise. Hier sind einige Tipps zur Vorbeugung: Hygiene: Halte deine Haut sauber und trocken, indem du sie regelmäßig wäschst und darauf achtest, dass keine Rückstände von Pflegeprodukten zurückbleiben. Gesicht nicht berühren: Vermeide es, dein Gesicht mit ungewaschenen Händen zu berühren, um die Übertragung von Bakterien zu verhindern. Sonnenschutz: Schütze deine Haut vor übermäßiger Sonneneinstrahlung, indem du Sonnencreme aufträgst oder schützende Kleidung trägst. Wechsel der Bettwäsche: Wechsel deine Bettwäsche regelmäßig, um die Ansammlung von Bakterien und Schmutz zu vermeiden. Feuchtigkeitspflege: Verwende feuchtigkeitsspendende, aber nicht-komedogene Produkte, um deine Haut geschmeidig zu halten und die Talgproduktion zu regulieren.[[blog_ad]] Produkte zur Unterstützung der Hautgesundheit Probiotische Hautpflegekapseln wie die Dailys von within Supplements können eine wertvolle Unterstützung bieten. Diese Kapseln können dabei helfen, das natürliche Gleichgewicht der Hautflora zu fördern und Entzündungen zu reduzieren. Durch die regelmäßige Einnahme dieser Kapseln kann die Haut von innen heraus gestärkt werden, was zur Minimierung von sebaceous filaments beitragen kann.   

    Falten unter den Augen

    Falten unter den Augen: Ursachen, Behandlung und Prävention

    Ursachen von Falten unter den Augen Falten unter den Augen können durch eine Vielzahl von Faktoren verursacht werden. Hier sind einige der häufigsten Gründe: Hautalterung: Mit zunehmendem Alter verliert die Haut an Elastizität und Feuchtigkeit, was zu Faltenbildung führt. UV-Strahlung: UV-Strahlen schädigen das Kollagen in der Haut, was zu vorzeitiger Hautalterung und Falten führt. Genetik: Genetische Veranlagung spielt eine große Rolle bei der Entwicklung von Falten. Mimik: Häufige Gesichtsausdrücke wie Lächeln oder Blinzeln können feine Linien um die Augen verstärken. Lebensstil: Faktoren wie Rauchen, Alkohol, unausgewogene Ernährung und Schlafmangel können die Hautalterung beschleunigen. [[blog_ad]] Behandlung von Falten unter den Augen Die Behandlung von Falten unter den Augen erfordert eine gezielte Pflegeroutine und den Einsatz wirksamer Produkte. Hier sind einige bewährte Methoden: Topische Behandlungen: Produktkategorie Wirkstoff Wirkung Anwendungstipps Augencremes Retinol Stimuliert die Kollagenproduktion, glättet die Haut Abends anwenden, da Retinol lichtempfindlich ist Seren Hyaluronsäure Spendet intensive Feuchtigkeit, polstert die Haut auf Morgens und abends vor der Feuchtigkeitscreme auftragen Masken Vitamin C Antioxidativ, hellt die Haut auf und reduziert Falten 1-2 Mal pro Woche anwenden Gels Peptide Stimuliert die Kollagenproduktion, festigt die Haut Morgens und abends auftragen Allgemeine Tipps: Sonnenschutz: Trage täglich eine Sonnencreme mit hohem Lichtschutzfaktor auf, um die empfindliche Haut unter den Augen vor UV-Strahlung zu schützen. Ausreichend Schlaf: Achte auf ausreichend Schlaf, um der Haut Zeit zur Regeneration zu geben. Hydratation: Trinke viel Wasser, um die Haut von innen heraus mit Feuchtigkeit zu versorgen. Gesunde Ernährung: Eine abwechslungsreiche Ernährung, die viel Pro- und Präbiotika enthält, kann die Hautgesundheit unterstützen. Rauchverzicht: Verzichte auf Rauchen, da es die Hautalterung beschleunigt und Falten verstärkt. Prävention von Falten unter den Augen Die Prävention von Falten unter den Augen erfordert eine Kombination aus guter Hautpflege, Schutz vor Umwelteinflüssen und einem gesunden Lebensstil. Hier sind einige Tipps zur Vorbeugung: Regelmäßige Pflege: Verwende täglich geeignete Hautpflegeprodukte, die speziell für die empfindliche Augenpartie entwickelt wurden. UV-Schutz: Schütze deine Augenpartie vor UV-Strahlung durch das Tragen von Sonnencreme und Sonnenbrillen. Feuchtigkeitspflege: Achte darauf, deine Haut gut mit Feuchtigkeit zu versorgen, um Trockenheitsfalten zu vermeiden. Augenmassagen: Sanfte Augenmassagen können die Durchblutung fördern und die Haut straffen. Schlafposition: Schlaf auf dem Rücken, um zu verhindern, dass das Gesicht in das Kissen gedrückt wird und Falten entstehen. Produkte zur Unterstützung der Hautgesundheit unter den Augen Probiotische Hautpflegekapseln wie die Skin Glow Produkte von Within Supplements können eine wertvolle Unterstützung bieten. Diese Kapseln können dabei helfen, das natürliche Gleichgewicht der Hautflora zu fördern und Entzündungen zu reduzieren. Durch die regelmäßige Einnahme dieser Kapseln kann die Haut von innen heraus gestärkt werden, was zur Minimierung von Falten unter den Augen beitragen kann.  Zusammenfassung Falten unter den Augen können das Gesicht älter und müde erscheinen lassen, aber mit den richtigen Behandlungen und Präventionsmaßnahmen kannst du deine Haut gesund und jugendlich halten. Eine konsequente Pflegeroutine, die Verwendung geeigneter Produkte und ein gesunder Lebensstil sind entscheidend. Probiotische Hautpflegekapseln wie die Dailys von Within Supplements bieten eine zusätzliche Unterstützung, um das Gleichgewicht deiner Hautflora zu fördern und deine Haut von innen heraus zu stärken. Probiere sie aus und erfahre den Unterschied.

    Pickeln am Hals

    Pickel am Hals: Ursachen, Behandlung und Prävention

    Ursachen von Pickeln am Hals Pickel am Hals können durch eine Vielzahl von Faktoren verursacht werden. Hier sind einige der häufigsten Gründe: Hormonelle Schwankungen: Veränderungen im Hormonspiegel, insbesondere während der Pubertät, der Menstruation oder der Schwangerschaft, können zu vermehrter Talgproduktion und somit zu Pickeln führen. Schweiß und Reibung: Enge Kleidung, Schweiß und Reibung können die Haut reizen und die Poren verstopfen, was zu Pickeln führt. Ungeeignete Hautpflege: Die Verwendung von komedogenen Hautpflegeprodukten kann die Poren verstopfen und Pickel verursachen. Ernährung: Eine unausgewogene Ernährung mit hohem Zucker- und Fettgehalt kann Hautprobleme verstärken. Stress: Stress kann die Haut negativ beeinflussen und die Entstehung von Pickeln begünstigen. [[blog_ad]] Behandlung von Pickeln am Hals Die Behandlung von Pickeln am Hals erfordert eine konsequente Pflegeroutine und möglicherweise den Einsatz spezieller Produkte. Hier sind einige bewährte Methoden: Topische Behandlungen: Produktkategorie Wirkstoff Wirkung Anwendungstipps Reinigungsgels Salicylsäure Exfoliert die Haut, reduziert Verstopfungen Morgens und abends auftragen Cremes Benzoylperoxid Bekämpft Bakterien, reduziert Pickelbildung Punktuell auf die betroffenen Stellen auftragen Seren Teebaumöl Antibakteriell, beruhigt die Haut Vor der Feuchtigkeitscreme anwenden Masken Tonerde Absorbiert überschüssigen Talg, klärt die Haut 1-2 Mal pro Woche anwenden Allgemeine Tipps: Regelmäßige Reinigung: Reinige deinen Hals zweimal täglich mit einem milden Reinigungsgel, um Schmutz und überschüssigen Talg zu entfernen. Nicht drücken: Vermeide es, an den Pickeln zu drücken, da dies zu Entzündungen und Narbenbildung führen kann. Geeignete Kleidung: Trage lockere Kleidung, die nicht reibt und die Haut atmen lässt. Gesunde Ernährung: Achte auf eine ausgewogene Ernährung, die reich an Pro- und Präbiotika ist. Vergiß nicht ausreichend zu trinken. Stressmanagement: Reduziere Stress durch regelmäßige Bewegung und Entspannungstechniken wie Yoga oder Meditation. Prävention von Pickeln am Hals Die Prävention von Pickeln am Hals erfordert eine Kombination aus guter Hygiene, geeigneten Hautpflegeprodukten und einer gesunden Lebensweise. Hier sind einige Tipps zur Vorbeugung: Hygiene: Halte deinen Hals sauber und trocken, indem du ihn regelmäßig wäschst und darauf achtest, dass keine Rückstände von Pflegeprodukten zurückbleiben. Geeignete Produkte: Verwende nicht-komedogene Hautpflegeprodukte, die speziell für deine Hautbedürfnisse entwickelt wurden. Sonnenschutz: Schütze deine Haut vor übermäßiger Sonneneinstrahlung, indem du Sonnencreme aufträgst oder schützende Kleidung trägst. Wechsel der Bettwäsche: Wechsel deine Bettwäsche regelmäßig, um die Ansammlung von Bakterien und Schmutz zu vermeiden. Hände weg vom Gesicht: Vermeide es, dein Gesicht und deinen Hals mit ungewaschenen Händen zu berühren. Produkte zur Unterstützung der Hautgesundheit am Hals Probiotische Hautpflegekapseln wie die Skin Glow Produkte von Within Supplements können eine wertvolle Unterstützung bieten. Diese Kapseln können das natürliche Gleichgewicht der Hautflora fördern und helfen, Entzündungen zu reduzieren. Durch die regelmäßige Einnahme dieser Kapseln kann die Haut von innen heraus gestärkt werden, was dazu beiträgt, Hautprobleme wie Pickel am Hals zu minimieren.  Zusammenfassung Pickel am Hals können lästig sein, aber mit den richtigen Behandlungen und Präventionsmaßnahmen kannst du deine Haut gesund halten und zukünftige Probleme vermeiden. Eine konsequente Pflegeroutine, die Verwendung geeigneter Produkte und eine gesunde Lebensweise sind entscheidend. Probiotische Hautpflegekapseln wie die Dailys von Within Supplements bieten eine zusätzliche Unterstützung, um das Gleichgewicht deiner Hautflora zu fördern und deine Haut von innen heraus zu stärken. Probiere sie aus und erfahre den Unterschied.

    Pickeln auf der Stirn

    Pickel auf der Stirn: Ursachen, Behandlung und Prävention

    Ursachen von Pickeln auf der Stirn Pickel auf der Stirn können durch eine Vielzahl von Faktoren verursacht werden. Hier sind einige der häufigsten Gründe: Hormonelle Schwankungen: Veränderungen im Hormonspiegel, insbesondere während der Pubertät, der Menstruation oder der Schwangerschaft, können zu vermehrter Talgproduktion und somit zu Pickeln führen. Stress: Stress kann die Haut negativ beeinflussen und die Entstehung von Pickeln begünstigen. Ernährung: Eine unausgewogene Ernährung mit hohem Zucker- und Fettgehalt kann Hautprobleme verstärken. Schweiß und Schmutz: Häufiges Schwitzen und Schmutzablagerungen auf der Haut können die Poren verstopfen und Pickel verursachen. Ungeeignete Hautpflege: Die Verwendung von komedogenen Hautpflegeprodukten kann die Poren verstopfen und Pickel verursachen. [[blog_ad]] Behandlung von Pickeln auf der Stirn Die Behandlung von Pickeln auf der Stirn erfordert eine konsequente Pflegeroutine und möglicherweise den Einsatz spezieller Produkte. Hier sind einige bewährte Methoden: Topische Behandlungen: Produktkategorie Wirkstoff Wirkung Anwendungstipps Reinigungsgels Salicylsäure Exfoliert die Haut, reduziert Verstopfungen Morgens und abends auftragen Cremes Benzoylperoxid Bekämpft Bakterien, reduziert Pickelbildung Punktuell auf die betroffenen Stellen auftragen Seren Teebaumöl Antibakteriell, beruhigt die Haut Vor der Feuchtigkeitscreme anwenden Masken Tonerde Absorbiert überschüssigen Talg, klärt die Haut 1-2 Mal pro Woche anwenden Allgemeine Tipps: Regelmäßige Reinigung: Reinige deine Stirn zweimal täglich mit einem milden Reinigungsgel, um Schmutz und überschüssigen Talg zu entfernen. Nicht drücken: Vermeide es, an den Pickeln zu drücken, da dies zu Entzündungen und Narbenbildung führen kann. Geeignete Produkte: Verwende nicht-komedogene Hautpflegeprodukte, die speziell für deine Hautbedürfnisse entwickelt wurden. Gesunde Ernährung: Achte auf eine ausgewogene Ernährung, die abwechslungsreich ist und viele Pro- und Präbiotika enthält. Vergiß nicht ausreichend zu trinken. Stressmanagement: Reduziere Stress durch regelmäßige Bewegung und Entspannungstechniken wie Yoga oder Meditation. Prävention von Pickeln auf der Stirn Die Prävention von Pickeln auf der Stirn erfordert eine Kombination aus guter Hygiene, geeigneten Hautpflegeprodukten und einer gesunden Lebensweise. Hier sind einige Tipps zur Vorbeugung: Hygiene: Halte deine Stirn sauber und trocken, indem du sie regelmäßig wäschst und darauf achtest, dass keine Rückstände von Pflegeprodukten zurückbleiben. Gesicht nicht berühren: Vermeide es, dein Gesicht mit ungewaschenen Händen zu berühren, um die Übertragung von Bakterien zu verhindern. Sonnenschutz: Schütze deine Haut vor übermäßiger Sonneneinstrahlung, indem du Sonnencreme aufträgst oder schützende Kleidung trägst. Wechsel der Bettwäsche: Wechsel deine Bettwäsche regelmäßig, um die Ansammlung von Bakterien und Schmutz zu vermeiden. Haare aus dem Gesicht: Halte deine Haare aus dem Gesicht, insbesondere wenn sie fettig sind, um Hautkontakt zu vermeiden. Produkte zur Unterstützung der Hautgesundheit auf der Stirn Probiotische Hautpflegekapseln wie die Skin Glow Produkte von Within Supplements können eine wertvolle Unterstützung bieten. Diese Kapseln können das natürliche Gleichgewicht der Hautflora unterstützen und helfen, Entzündungen zu reduzieren. Durch die regelmäßige Einnahme dieser Kapseln kann die Haut von innen heraus gestärkt werden, was dazu beiträgt, Hautprobleme wie Pickel auf der Stirn zu minimieren.  Zusammenfassung Pickel auf der Stirn können lästig sein, aber mit den richtigen Behandlungen und Präventionsmaßnahmen kannst du deine Haut gesund halten und zukünftige Probleme vermeiden. Eine konsequente Pflegeroutine, die Verwendung geeigneter Produkte und eine gesunde Lebensweise sind entscheidend. Probiotische Hautpflegekapseln wie die Dailys von Within Supplements bieten eine zusätzliche Unterstützung, um das Gleichgewicht deiner Hautflora zu fördern und deine Haut von innen heraus zu stärken. Probiere sie aus und erfahre den Unterschied.

    Stirnfalten

    Stirnfalten: Ursachen, Behandlung und Prävention

    Ursachen von Stirnfalten Stirnfalten entstehen durch eine Kombination von inneren und äußeren Faktoren. Hier sind einige der häufigsten Ursachen: Alterung: Mit zunehmendem Alter verliert die Haut an Elastizität und Feuchtigkeit, was zur Bildung von Falten führt. UV-Strahlung: Übermäßige Sonneneinstrahlung kann die Hautzellen schädigen und den Alterungsprozess beschleunigen. Mimik: Häufige Gesichtsbewegungen, wie Stirnrunzeln, tragen zur Entstehung von Falten bei. Lebensstil: Rauchen, Alkohol und eine unausgewogene Ernährung können die Hautalterung fördern. Genetik: Veranlagung spielt eine Rolle bei der Neigung zur Faltenbildung. [[blog_ad]] Behandlung von Stirnfalten Es gibt verschiedene Methoden, um Stirnfalten zu behandeln und das Hautbild zu verbessern. Hier sind einige bewährte Behandlungsmöglichkeiten: Topische Behandlungen: Produktkategorie Wirkstoff Wirkung Anwendungstipps Anti-Aging-Cremes Retinol Stimuliert die Kollagenproduktion, glättet Falten Abends auftragen, da Retinol lichtempfindlich ist Feuchtigkeitscremes Hyaluronsäure Spendet intensive Feuchtigkeit, polstert die Haut auf Morgens und abends auftragen Seren Vitamin C Antioxidativ, fördert die Kollagensynthese Morgens vor der Feuchtigkeitscreme auftragen Sonnenschutzmittel SPF 30+ Schützt vor UV-Schäden, beugt Falten vor Täglich als letzter Schritt der Morgenroutine Ästhetische Behandlungen: Botox: Injektionen, die die Muskeln entspannen und Mimikfalten reduzieren. Dermal Filler: Hyaluronsäure-Injektionen, die verlorenes Volumen auffüllen und die Haut glätten. Chemische Peelings: Entfernen die oberste Hautschicht und fördern die Erneuerung der Hautzellen. Lasertherapie: Stimuliert die Kollagenproduktion und verbessert die Hautstruktur. Prävention von Stirnfalten Die Prävention von Stirnfalten erfordert eine Kombination aus guter Hautpflege, gesunder Lebensweise und dem Schutz vor schädlichen Umweltfaktoren. Hier sind einige Tipps zur Vorbeugung: Sonnenschutz: Trage täglich einen Sonnenschutz mit mindestens SPF 30 auf, um UV-Schäden zu vermeiden. Feuchtigkeitsversorgung: Halte deine Haut gut hydriert, indem du regelmäßig Feuchtigkeitscremes verwendest und ausreichend Wasser trinkst. Gesunde Ernährung: Eine ausgewogene Ernährung, ausreichende Hydratation, reich an Antioxidantien, Präbiotika und Probiotika unterstützt die Hautgesundheit und beugt Falten vor. Stressreduktion: Vermeide Stress und praktiziere Entspannungstechniken wie Yoga oder Meditation, um Mimikfalten zu reduzieren. Schlaf: Achte auf ausreichend Schlaf, da sich die Haut während der Nachtruhe regeneriert. Produkte zur Unterstützung der Hautgesundheit Probiotische Hautpflegekapseln wie die Skin Glow Produkte von Within Supplements können eine wertvolle Unterstützung bieten. Diese Kapseln helfen dabei, das natürliche Gleichgewicht der Hautflora zu fördern und Entzündungen zu reduzieren. Durch die regelmäßige Einnahme dieser Kapseln kann die Haut von innen heraus gestärkt werden, was zur Minimierung von Stirnfalten beiträgt.  Zusammenfassung Stirnfalten sind ein natürlicher Teil des Alterungsprozesses, können aber durch eine geeignete Pflege und Behandlung reduziert werden. Mit den richtigen Produkten und einer gesunden Lebensweise kannst du deine Haut jugendlich und frisch halten. Probiotische Hautpflegekapseln wie die Skin Glow Produkte von Within Supplements bieten eine zusätzliche Unterstützung, um das Gleichgewicht deiner Hautflora zu fördern und deine Haut von innen heraus zu stärken. Probiere sie aus und erfahre den Unterschied.

    Schuppige Haut

    Schuppige Haut: Ursachen, Behandlung und Prävention

    Ursachen von Schuppiger Haut Schuppige Haut kann durch eine Vielzahl von Faktoren verursacht werden. Hier sind einige der häufigsten Gründe: Trockene Luft: Besonders im Winter, wenn die Luftfeuchtigkeit niedrig ist, kann die Haut austrocknen und schuppig werden. Häufiges Waschen: Übermäßiges Waschen oder die Verwendung von aggressiven Reinigungsmitteln können die Haut austrocknen. Hautkrankheiten: Erkrankungen wie Psoriasis, Ekzeme oder seborrhoische Dermatitis können schuppige Haut verursachen. Alterung: Mit zunehmendem Alter verliert die Haut ihre natürliche Feuchtigkeit und wird trockener und schuppiger. Ernährung: Eine unausgewogene Ernährung, die an essentiellen Nährstoffen wie Vitaminen und Fettsäuren arm ist, kann zur Austrocknung der Haut führen. Behandlung von Schuppiger Haut Die Behandlung von schuppiger Haut erfordert eine konsequente Pflegeroutine und den Einsatz wirksamer Produkte. Hier sind einige bewährte Methoden: Topische Behandlungen: Produktkategorie Wirkstoff Wirkung Anwendungstipps Feuchtigkeitscremes Hyaluronsäure Spendet intensive Feuchtigkeit, polstert die Haut auf Morgens und abends auftragen Öle Jojobaöl, Arganöl Pflegt die Haut, stellt die natürliche Ölschicht wieder her Nach dem Duschen auf die feuchte Haut auftragen Seren Glycerin Bindet Feuchtigkeit in der Haut Vor der Feuchtigkeitscreme auftragen Reinigungsmittel Milde Tenside Reinigt sanft, ohne die Haut auszutrocknen Morgens und abends verwenden Allgemeine Tipps: Regelmäßige Feuchtigkeitspflege: Trage regelmäßig feuchtigkeitsspendende Cremes oder Öle auf, um die Hautbarriere zu stärken. Lauwarmes Wasser: Verwende lauwarmes Wasser statt heißem Wasser beim Waschen, um die Haut nicht zusätzlich auszutrocknen. Sanfte Reinigung: Verwende milde Reinigungsprodukte, die die Haut nicht reizen oder austrocknen. Ausreichend Trinken: Achte darauf, genügend Wasser zu trinken, um die Haut von innen heraus zu hydratisieren. Gesunde Ernährung: Eine ausgewogene Ernährung, reich an Antioxidantien, Präbiotika und Probiotika und eine ausreichende Hydratation unterstützt die Hautgesundheit Prävention von Schuppiger Haut Die Prävention von schuppiger Haut erfordert eine Kombination aus guter Hautpflege, Schutz vor schädlichen Umweltfaktoren und einer gesunden Lebensweise. Hier sind einige Tipps zur Vorbeugung: Luftbefeuchter: Verwende einen Luftbefeuchter, um die Luftfeuchtigkeit in deinem Zuhause zu erhöhen, besonders im Winter. Schutzkleidung: Schütze deine Haut vor extremen Wetterbedingungen, indem du geeignete Kleidung trägst. Sonnenschutz: Schütze deine Haut vor übermäßiger Sonneneinstrahlung, indem du Sonnencreme mit hohem Lichtschutzfaktor aufträgst. Vermeidung von Reizstoffen: Vermeide Produkte mit Alkohol oder Duftstoffen, die die Haut austrocknen oder reizen können. Regelmäßige Peelings: Verwende regelmäßig sanfte Peelings, um abgestorbene Hautzellen zu entfernen und die Aufnahme von Feuchtigkeitscremes zu verbessern. Produkte zur Unterstützung der Hautgesundheit Probiotische Hautpflegekapseln wie die Skin Glow Produkte von Within Supplements können eine wertvolle Unterstützung bieten. Diese Kapseln helfen dabei, das natürliche Gleichgewicht der Hautflora zu fördern und Entzündungen zu reduzieren. Durch die regelmäßige Einnahme dieser Kapseln kann die Haut von innen heraus gestärkt werden, was zur Minimierung von Schuppenbildung beiträgt.  [[blog_ad]] Zusammenfassung Schuppige Haut kann unangenehm und störend sein, aber mit den richtigen Behandlungen und Präventionsmaßnahmen kannst du deine Haut gesund und glatt halten. Eine konsequente Pflegeroutine, die Verwendung geeigneter Produkte und eine gesunde Lebensweise sind entscheidend. Probiotische Hautpflegekapseln wie die Dailys von Within Supplements bieten eine zusätzliche Unterstützung, um das Gleichgewicht deiner Hautflora zu fördern und deine Haut von innen heraus zu stärken. Probiere sie aus und erfahre den Unterschied.

    Mischhaut

    Mischhaut: Ursachen, Pflege und Behandlungstipps

    Ursachen von Mischhaut Mischhaut entsteht durch eine ungleichmäßige Verteilung der Talgproduktion im Gesicht. Hier sind einige der häufigsten Ursachen: Genetische Veranlagung: Mischhaut kann in Familien gehäuft auftreten. Hormone: Schwankungen im Hormonhaushalt, z.B. während der Pubertät, Schwangerschaft oder Menopause, können zu Mischhaut führen. Umweltfaktoren: Klima und Luftfeuchtigkeit können die Haut beeinflussen und zu unterschiedlichen Hauttypen in verschiedenen Gesichtsbereichen führen. Hautpflege: Die Verwendung ungeeigneter Produkte kann die Haut aus dem Gleichgewicht bringen und Mischhaut fördern. Pflege von Mischhaut Die richtige Pflege von Mischhaut erfordert eine ausgewogene und gezielte Behandlung der unterschiedlichen Hautpartien. Hier sind einige Tipps und Produkte, die sich bewährt haben: Reinigungsroutine Schritt Produktart Wirkstoff Anwendungshinweise Reinigung Gel oder Schaum Salicylsäure, Teebaumöl Morgens und abends auf die T-Zone anwenden, sanft einmassieren und abspülen Toner Alkoholfrei Hamamelis, Rosenwasser Nach der Reinigung auftragen, um die Haut zu beruhigen und Poren zu verfeinern Feuchtigkeitspflege Gel-Creme Hyaluronsäure, Aloe Vera Leichte Textur für die T-Zone, reichhaltiger für die Wangen Zusätzliche Pflege Peelings: Ein bis zweimal pro Woche ein sanftes Peeling verwenden, um abgestorbene Hautzellen zu entfernen und die Poren zu reinigen. Masken: Multi-Masking ist ideal für Mischhaut. Verwende eine tonerdehaltige Maske für die T-Zone und eine feuchtigkeitsspendende Maske für die trockenen Bereiche. Seren: Ein Serum mit Niacinamid kann helfen, den Hautton auszugleichen und übermäßige Talgproduktion zu regulieren. Behandlung von Mischhaut Neben der täglichen Pflegeroutine gibt es spezielle Behandlungen, die Mischhaut verbessern können: Hydrafacial: Eine nicht-invasive Behandlung, die die Haut reinigt, peelt und mit Feuchtigkeit versorgt. Microdermabrasion: Entfernt sanft die oberste Hautschicht und fördert die Zellerneuerung. Chemische Peelings: Mit Salicyl- oder Glykolsäure können sie die Hautstruktur verbessern und Unreinheiten reduzieren. Prävention von Problemen bei Mischhaut Um Probleme wie Unreinheiten oder Trockenheit bei Mischhaut zu vermeiden, sollten folgende Präventionsmaßnahmen beachtet werden: Regelmäßige Reinigung: Morgens und abends das Gesicht reinigen, um überschüssigen Talg zu entfernen. Sonnenschutz: Täglicher Sonnenschutz schützt die Haut vor UV-Schäden und beugt vorzeitiger Hautalterung vor. Gesunde Ernährung: Eine ausgewogene Ernährung mit reichlich Pro- und Präbiotika, sowie ausreichend trinken unterstützt die Hautgesundheit. Stressabbau: Stressmanagement-Techniken wie Yoga oder Meditation können helfen, das hormonelle Gleichgewicht zu wahren und Hautprobleme zu reduzieren. [[blog_ad]] Produkte zur Unterstützung der Hautgesundheit Probiotische Hautpflegekapseln wie die Dailys von Within Supplements können eine wertvolle Unterstützung bieten. Diese Kapseln können dabei helfen, das natürliche Gleichgewicht der Hautflora zu fördern und Entzündungen zu reduzieren. Durch die regelmäßige Einnahme dieser Kapseln kann die Haut von innen heraus gestärkt werden, was besonders bei Mischhaut von Vorteil ist.  Zusammenfassung Mischhaut stellt besondere Herausforderungen an die Hautpflege, da sie sowohl fettige als auch trockene Bereiche umfasst. Mit der richtigen Pflege, geeigneten Produkten und gezielten Behandlungen kann das Hautbild jedoch deutlich verbessert werden. 

    fahle Haut

    Fahle Haut: Ursachen, Pflege und Behandlungsstrategien

    Ursachen von fahler Haut Fahle Haut kann durch eine Vielzahl von Faktoren ausgelöst werden, darunter: Ungesunde Ernährung: Eine Ernährung, die arm an Vitaminen und Nährstoffen ist, kann die Hautgesundheit beeinträchtigen. Schlafmangel: Zu wenig Schlaf stört die Regenerationsprozesse der Haut und führt zu einem fahlen Teint. Dehydration: Unzureichende Flüssigkeitszufuhr führt zu trockener und stumpfer Haut. Umweltverschmutzung: Schadstoffe in der Luft können die Hautbarriere schwächen und zu fahler Haut führen. Stress: Chronischer Stress beeinträchtigt die Durchblutung und den Zellstoffwechsel der Haut. Pflege von fahler Haut Die Pflege von fahler Haut erfordert spezielle Produkte und eine konsequente Routine, um die Haut wieder zum Strahlen zu bringen. Hier sind einige Tipps und empfohlene Produkte: Reinigungsroutine Schritt Produktart Wirkstoff Anwendungshinweise Reinigung Sanfte Reinigungslotion Aloe Vera, Kamille Morgens und abends auf die feuchte Haut auftragen und sanft einmassieren Peeling Mildes chemisches Peeling Alpha-Hydroxysäuren (AHA) Ein- bis zweimal pro Woche anwenden, um abgestorbene Hautzellen zu entfernen Toner Klärendes Gesichtswasser Rosenwasser, Niacinamid Nach der Reinigung auftragen, um den pH-Wert der Haut auszugleichen Feuchtigkeitspflege und Seren Feuchtigkeitscreme: Eine reichhaltige Feuchtigkeitscreme mit Hyaluronsäure hilft, die Haut intensiv mit Feuchtigkeit zu versorgen. Seren: Vitamin-C-Seren können helfen, den Teint aufzuhellen und freie Radikale zu bekämpfen. Öle: Gesichtsöle wie Hagebuttenöl können die Haut nähren und ihr einen gesunden Glanz verleihen. Behandlungsstrategien für fahle Haut Neben der täglichen Pflege gibt es spezielle Behandlungen, die helfen können, fahle Haut zu revitalisieren: Mikrodermabrasion: Diese Behandlung entfernt sanft die oberste Hautschicht und fördert die Zellerneuerung. Lasertherapie: Laserbehandlungen können die Hautstruktur verbessern und den Hautton ausgleichen. Microneedling: Durch kleine Nadeln wird die Kollagenproduktion angeregt, was zu einer strahlenderen Haut führt. [[blog_ad]] Lebensgewohnheiten zur Verbesserung der Haut Neben der Hautpflege spielen auch gesunde Lebensgewohnheiten eine entscheidende Rolle für einen strahlenden Teint: Ausreichend Schlaf: Achte auf mindestens 7-8 Stunden Schlaf pro Nacht, um der Haut genügend Zeit zur Regeneration zu geben. Gesunde Ernährung: Eine ausgewogene Ernährung mit viel Pro- und Präbiotika und gesunden Fetten unterstützt die Hautgesundheit. Flüssigkeitszufuhr: Trinke täglich ausreichend Wasser, um die Haut von innen heraus zu hydratisieren. Stressmanagement: Methoden wie Yoga, Meditation oder regelmäßige Bewegung können helfen, Stress zu reduzieren und die Haut zu entspannen. Produkte zur Unterstützung der Hautgesundheit Probiotische Hautpflegekapseln wie die Skin Glow Produkte von Within Supplements können eine wertvolle Unterstützung bieten. Diese Kapseln helfen dabei, das natürliche Gleichgewicht der Hautflora zu fördern und Entzündungen zu reduzieren. Durch die regelmäßige Einnahme dieser Kapseln kann die Haut von innen heraus gestärkt werden, was besonders bei fahler Haut von Vorteil ist.  Zusammenfassung Fahle Haut kann viele Ursachen haben, von ungesunden Lebensgewohnheiten bis hin zu Umweltfaktoren. Mit den richtigen Pflegeprodukten, speziellen Behandlungen und einer gesunden Lebensweise kannst du deine Haut wieder zum Strahlen bringen. Probiotische Hautpflegekapseln wie die Skin Glow Produkte von Within Supplements bieten eine zusätzliche Unterstützung, um das Gleichgewicht deiner Hautflora zu fördern und deine Haut von innen heraus zu stärken. Probiere sie aus und erfahre den Unterschied.

    empfindliche Haut

    Empfindliche Haut: Ursachen, Pflege und Behandlungstipps

    Ursachen von empfindlicher Haut Empfindliche Haut kann durch eine Vielzahl von Faktoren verursacht werden. Hier sind einige der häufigsten: Genetik: Oft ist empfindliche Haut erblich bedingt. Umweltfaktoren: Kälte, Hitze, Wind und UV-Strahlung können empfindliche Haut reizen. Hautpflegeprodukte: Bestimmte Inhaltsstoffe wie Parfüme, Alkohol oder aggressive Chemikalien können Irritationen auslösen. Erkrankungen: Hauterkrankungen wie Rosacea, Ekzeme oder Psoriasis gehen häufig mit empfindlicher Haut einher. Innere Faktoren: Stress, hormonelle Schwankungen und eine ungesunde Ernährung können die Hautempfindlichkeit erhöhen. Pflege von empfindlicher Haut Die Pflege empfindlicher Haut erfordert besondere Aufmerksamkeit und Sorgfalt. Hier sind einige Tipps und Produkte, die sich bewährt haben: Reinigungsroutine Schritt Produktart Wirkstoff Anwendungshinweise Reinigung Milde Reinigungsmilch Aloe Vera, Kamille Morgens und abends sanft in die Haut einmassieren und mit lauwarmem Wasser abspülen Toner Alkoholfrei Rosenwasser, Hamamelis Nach der Reinigung auftragen, um die Haut zu beruhigen Feuchtigkeitspflege Hypoallergene Creme Hyaluronsäure, Glycerin Morgens und abends auf das gereinigte Gesicht auftragen Zusätzliche Pflege Seren: Ein beruhigendes Serum mit Inhaltsstoffen wie Panthenol oder Allantoin kann helfen, die Haut zu beruhigen. Masken: Wöchentlich eine feuchtigkeitsspendende und beruhigende Maske verwenden, z.B. mit Aloe Vera oder Haferextrakt. Sonnenschutz: Ein täglicher Sonnenschutz mit hohem SPF, der speziell für empfindliche Haut entwickelt wurde, ist unerlässlich. Behandlung von empfindlicher Haut Neben der täglichen Pflege gibt es spezielle Behandlungen, die empfindliche Haut unterstützen können: LED-Lichttherapie: Rotes LED-Licht kann helfen, Entzündungen zu reduzieren und die Haut zu beruhigen. Hydrafacial: Eine sanfte, nicht-invasive Behandlung, die die Haut reinigt und gleichzeitig Feuchtigkeit spendet. Kühlende Behandlungen: Produkte oder Geräte, die kühlen, können helfen, Rötungen und Schwellungen zu reduzieren. Prävention und Tipps für den Alltag Um die Hautempfindlichkeit zu minimieren, solltest du folgende Maßnahmen beachten: Vermeidung von Reizstoffen: Vermeide Produkte mit Alkohol, Parfüm und aggressiven Chemikalien. Sonnenschutz: Trage täglich Sonnencreme, um die Haut vor UV-Strahlen zu schützen. Stressmanagement: Techniken wie Yoga oder Meditation können helfen, Stress abzubauen und die Hautgesundheit zu fördern. Ernährung: Eine ausgewogene, abwechslungsreiche Ernährung mit viel Pro- und Präbiotika unterstützt die Haut von innen heraus. Bitte achte auch auf ausreichende Hydratation. Produkte zur Unterstützung der Hautgesundheit Probiotische Hautpflegekapseln wie die Skin Glow Produkte von Within Supplements können eine wertvolle Unterstützung bieten. Diese Kapseln können dabei helfen, das natürliche Gleichgewicht der Hautflora über eine verbesserte Darmflora zu fördern und Entzündungen zu reduzieren. Durch die regelmäßige Einnahme dieser Kapseln kann die Haut von innen heraus gestärkt werden, was besonders bei empfindlicher Haut von Vorteil ist.  [[blog_ad]] Zusammenfassung Empfindliche Haut erfordert besondere Pflege und Aufmerksamkeit, um Irritationen zu vermeiden und die Haut zu beruhigen. Mit den richtigen Pflegeprodukten, speziellen Behandlungen und einer gesunden Lebensweise kannst du deine Haut gesund und strahlend halten. Probiotische Hautpflegekapseln wie die Skin Glow Produkte von Within Supplements bieten eine zusätzliche Unterstützung, um das Gleichgewicht deiner Hautflora zu fördern und deine Haut von innen heraus zu stärken. Probiere sie aus und erfahre den Unterschied.

    Pickel am Kinn

    Pickel am Kinn: Ursachen, Symptome und effektive Behandlungstipps

    Was sind Pickel am Kinn? Pickel am Kinn sind eine Form von Akne, die durch verstopfte Poren und eine Überproduktion von Talg verursacht wird. Sie können sich als kleine, rote Beulen oder als größere, entzündete Läsionen manifestieren. Diese Unreinheiten können nicht nur unangenehm sein, sondern auch das Selbstbewusstsein beeinträchtigen. Symptome bei Pickel am Kinn Pickel am Kinn kann verschiedene Symptome verursachen, die von Person zu Person variieren können. Typischerweise kann die Haut um den Pickel herum gerötet sein und geschwollen erscheinen, insbesondere wenn der Pickel entzündet ist. Dies kann oft zu Schmerzen führen, besonders wenn der Pickel tief in der Haut liegt oder sich entzündet hat. Manche Menschen empfinden auch Juckreiz im Bereich des Pickels. Bei entzündeten Pickeln kann sich Eiter bilden, der als weißer oder gelber Punkt sichtbar ist. Die Haut um den Pickel herum kann auch empfindlich sein und bei Berührung schmerzhaft sein. Ein Brennen oder Stechen in der Nähe des Pickels ist ebenfalls möglich. Ursachen für Pickel am Kinn Hormonelle Veränderungen spielen eine Hauptrolle bei der Entstehung von Pickeln am Kinn. Während der Pubertät, aber auch während des Menstruationszyklus oder der Schwangerschaft, können hormonelle Schwankungen auftreten, die zu einer erhöhten Talgproduktion führen. Dieser Überschuss an Talg verstopft die Poren und schafft ein ideales Umfeld für das Wachstum von Bakterien, was letztendlich zu Pickeln führt. Besonders bei Frauen können hormonelle Veränderungen im Zusammenhang mit dem Menstruationszyklus regelmäßig zu Pickeln am Kinn führen. Stress ist ein weiterer wichtiger Faktor, der die Entstehung von Pickeln begünstigen kann. Stress führt oft zu einer erhöhten Ausschüttung von Stresshormonen wie Cortisol, was wiederum die Talgproduktion anregt. Dies kann dazu führen, dass die Poren verstopfen und Pickel entstehen. Darüber hinaus kann Stress das Immunsystem schwächen, was die Haut empfindlicher für Entzündungen macht und die Heilung von Pickeln verzögern kann. Die Verwendung falscher Hautpflegeprodukte kann auch dazu beitragen, dass Pickel am Kinn entstehen. Produkte, die zu reichhaltig oder zu stark parfümiert sind, können die Poren verstopfen und die Talgproduktion erhöhen. Es ist wichtig, milde Reinigungsprodukte und Feuchtigkeitscremes zu verwenden, die speziell für unreine Haut geeignet sind, um die Entstehung von Pickeln zu reduzieren. Schlechte Ernährungsgewohnheiten spielen ebenfalls eine Rolle bei der Entstehung von Pickeln. Eine Ernährung, die reich an zuckerhaltigen und fettigen Lebensmitteln ist, kann den Blutzuckerspiegel erhöhen und Entzündungen im Körper fördern, was sich auch auf die Haut auswirken kann. Es wird empfohlen, sich ausgewogen zu ernähren und auf eine ausreichende Zufuhr von Obst, Gemüse und Vollkornprodukten zu achten, um die Hautgesundheit zu unterstützen. Darüber hinaus können bestimmte Medikamente, wie zum Beispiel Steroide oder hormonelle Verhütungsmittel, zu hormonellen Veränderungen führen, die die Talgproduktion beeinflussen und die Entstehung von Pickeln begünstigen können. Wenn Du Medikamente einnimmst und vermehrt Pickel am Kinn feststellst, ist es ratsam, dies mit deinem Arzt zu besprechen, um mögliche Alternativen zu erkunden. Frauen Für Frauen, die auch jenseits ihrer frühen Zwanziger Akne erfahren, sind Pickel im Bereich des Kinns, um den Mund und entlang des Kiefers, oft ein häufiges Anliegen. Diese Gesichtspartien werden zusammenfassend als „U-Zone“ bezeichnet. Ein vorherrschendes hormonelles Ungleichgewicht ist eine verbreitete Ursache für die Entstehung von Pickeln in diesen Bereichen. Insbesondere ein Überschuss an Androgenen kann die Talgproduktion der Hautdrüsen verstärken und somit Akne begünstigen. Zyklusbedingte Hormonschwankungen spielen ebenfalls eine Rolle. Im Verlauf des Menstruationszyklus verändert sich die Hormonproduktion, und gegen Zyklusende kann ein Anstieg von Testosteron für eine erhöhte Talgdrüsenaktivität sorgen. Obwohl Talg eine wichtige Funktion hat, indem er die Haut feucht hält und schützt, kann ein Überschuss die Poren verstopfen und somit zu Pickelbildung führen. Diese äußern sich häufig als große, rote, schmerzhafte Knoten oder als weiße Eiterpickel. Pickel, die unter der Haut bleiben, werden auch als Komedonen bezeichnet. Männer Auch Männer können hormonelle Veränderungen erleben, die sich auf ihre Hautgesundheit auswirken. Ein Hauptfaktor für Unreinheiten im Kinnbereich bei Männern sind jedoch eingewachsene Haare. Diese entstehen, wenn das Haar nach dem Schneiden wieder in die Haut einwächst, was zu Rötungen und Entzündungen führen kann. Eingewachsene Haare irritieren die Haut und können zu Irritationen führen, die Pickeln ähneln. [[blog_ad]] Behandlung von Pickeln am Kinn Die Bekämpfung von Pickeln am Kinn erfordert oft einen individuellen Ansatz, der sich nach dem Schweregrad richtet.Bei leichten bis mittelschwerenFällen können Produkte aus der Apotheke effektiv sein.Wirkstoffe wie Benzoylperoxid und Salicylsäure sind besonders hilfreich, da sie überschüssiges Öl minimieren, tote Hautschichten entfernen und die Poren reinigen.Benzoylperoxid besitzt antibakterielle Eigenschaften, die gezielt Akne verursachende Bakterien bekämpfen, während Salicylsäure verstopfte Poren öffnet und Entzündungen lindert. Verfügbar sind diese Inhaltsstoffe in Form von Cremes, Gelen, Lotionen und Waschlösungen, sodass für jede Vorliebe etwas dabei ist.In schwereren Fällen ist die Konsultation eines Dermatologen empfehlenswert, der eine auf den individuellen Hauttyp und die Akneintensität zugeschnittene Behandlungsmethode vorschlagen kann.Verschreibungspflichtige Optionen umfassen topische Retinoide und Antibiotika. Topische Retinoide, wie Tretinoin oder Adapalen, fördern die Hauterneuerung, beschleunigen die Zellregeneration und helfen, verstopfte Poren zu befreien. Topisch angewendete Antibiotika zielen darauf ab, Bakterien zu eliminieren und Entzündungen zu verringern, was zu einer deutlichen Akneverbesserung führen kann.Dei der Anwendung von Akneprodukten ist Vorsicht geboten, um das Mikrobiom der Haut nicht zu schädigen.Die Hautbarriere und ihr Mikrobiom spielen eine Schlüsselrolle bei der Erhaltung der Hautgesundheit und -schutzfunktion.Eine übermäßige Anwendung von Aknebehandlungen oder zu aggressive Reinigungsroutinen können dieses empfindliche Gleichgewicht stören und die Hautbarriere schwächen.Daher ist es wichtig, ein Gleichgewicht zu finden, das effektive Aknebehandlung mit der Pflege des Hautmikrobioms verbindet, um die Haut gesund und widerstandsfähig zu halten.   5 Tipps zur Vorbeugung von Pickeln am Kinn Regelmäßige Reinigung des Gesichts Reinige dein Gesicht zweimal täglich mit einem sanften Reinigungsmittel, um überschüssiges Öl, Schmutz und abgestorbene Hautzellen zu entfernen. Eine gründliche Reinigung hilft, verstopfte Poren zu vermeiden und die Bildung von Pickeln zu reduzieren. Vermeide übermäßige Berührung des Gesichts Vermeide es, Dein Gesicht häufig zu berühren oder an den Pickeln herumzudrücken oder zu kratzen. Dies kann Entzündungen verschlimmern und zu einer Verschlechterung der Akne führen. Halte Deine Hände von Deinem Gesicht fern, um eine Übertragung von Bakterien zu vermeiden. Gesunde Ernährungsgewohnheiten Achte auf eine ausgewogene Ernährung, die reich an Obst, Gemüse und magerem Eiweiß ist. Eine Ernährung, die reich an Antioxidantien, Vitaminen, Mineralstoffen und Probiotika ist, kann dazu beitragen, die Hautgesundheit zu unterstützen und Entzündungen zu reduzieren. Vermeide übermäßigen Konsum von zuckerhaltigen oder fettigen Lebensmitteln, da diese den Talgspiegel erhöhen können. Verwende nicht-komedogene Produkte Achte bei der Auswahl von Hautpflegeprodukten darauf, dass sie nicht-komedogen sind, was bedeutet, dass sie die Poren nicht verstopfen. Fettige Hautpflegeprodukte können dazu führen, dass sich die Poren verstopfen und Pickel entstehen. Wähle Produkte, die leicht und für deine Hauttyp geeignet sind. Halte Haare und Handflächen fern Vermeide es, Deine Haare über Dein Gesicht fallen zu lassen, da sie Öl und Schmutz auf Deine Haut übertragen können. Halte Deine Handflächen ebenfalls von Deinem Gesicht fern, um eine Übertragung von Bakterien zu verhindern. Halte Deine Haare sauber und gebunden, um das Risiko von Hautirritationen zu reduzieren. Probiotika bei Pickel am Kinn Ein zusätzlicher Tipp zur Vorbeugung von Pickeln am Kinn ist die Integration von Probiotika in Deine Ernährung oder Hautpflege.Probiotika können dazu beitragen, das Gleichgewicht der Bakterien auf der Haut wiederherzustellen und Entzündungen zu reduzieren.Du kannst probiotische Nahrungsmittel wie Joghurt, Sauerkraut oder Kefir in Deine Ernährung aufnehmen, noch effektiver kann die regelmäßige und längerfristige Einnahme von probiotischen Nahrun gsergänzungen sein, um die Hautgesundheit zu unterstützen. Denn Darmgesundheit und Hautgesundheit hängen eng miteinander zusammen. Hausmitteln gegen Pickel am Kinn Hausmittel sind oft eine beliebte Wahl für diejenigen, die nach natürlichen und schonenden Alternativen zu herkömmlichen Akneprodukten suchen.Teebaumöl und Kamillentee sind die am häufigsten verwendeten Hausmittel zur Bekämpfung von Pickeln am Kinn.Das Teebaumöl ist bekannt für seine entzündungshemmenden und antibakteriellen Eigenschaften, die bei der Behandlung von Pickeln am Kinn helfen können.Es kann helfen, die Bakterien zu bekämpfen, die Akne verursachen, und Entzündungen zu reduzieren.Um Teebaumöl anzuwenden, trage eine kleine Menge davon auf die betroffene Stelle auf und lasse es über Nacht einwirken.Der Kamillentee hat beruhigende Eigenschaften und kann dazu beitragen, Hautirritationen zu lindern.Du kannst Kamillentee auf die betroffenen Stellen auftragen, indem Du einen Wattebausch in den Tee tauchst und ihn sanft auf die Pickel tupfst.Alternativ kannst Du Kamillentee als Gesichtsdampf verwenden, um die Poren zu öffnen und Unreinheiten zu entfernen. Fazit Insgesamt sind Pickel am Kinn ein häufiges Problem, das verschiedene Ursachen haben kann, von hormonellen Veränderungen, eingewachsenen Haaren bis hin zu falscher Hautpflege und Stress. Die Symptome von Pickeln am Kinn reichen von kleinen roten Beulen bis hin zu größeren entzündeten Läsionen und können nicht nur körperlich unangenehm sein, sondern auch das Selbstbewusstsein beeinträchtigen. Um Pickel am Kinn effektiv zu behandeln, ist es wichtig, die zugrunde liegenden Ursachen zu verstehen und entsprechende Maßnahmen zu ergreifen. Dazu gehören eine gute Hautpflege-Routine, die Vermeidung reizender Substanzen und die gezielte Behandlung mit Hausmitteln oder verschreibungspflichtigen Medikamenten, je nach Schweregrad der Symptome. Darüber hinaus können eine gesunde Ernährung, Stressmanagement-Techniken und die Verwendung von probiotischen Nahrungsergänzungen zur Unterstützung der Hautgesundheit beitragen. Es ist jedoch wichtig zu beachten, dass jeder Fall individuell ist und bei anhaltenden oder schweren Symptomen ein Dermatologe konsultiert werden sollte. Letztendlich ist die Vorbeugung von Pickeln am Kinn die beste Behandlung. Durch eine konsequente Hautpflege-Routine, eine ausgewogene Ernährung und die Vermeidung von Reizstoffen können wir dazu beitragen, das Auftreten von Pickeln zu minimieren und eine gesunde, strahlende Haut zu fördern.   Der Artikel dient lediglich der Informationsvermittlung in Bezug auf Probiotika und soll nicht als medizinische Empfehlung oder als Ersatz für professionelle medizinische Beratung oder Behandlung interpretiert werden.

    Unterlagerungen: Ursachen, Symptome und effektive Behandlungen

    Unterlagerungen: Ursachen, Symptome und effektive Behandlungen

    Symptome von Unterlagerungen Unterlagerungen machen sich hauptsächlich in der T-Zone bemerkbar, das heißt an Kinn, Nase und Stirn, sowie an den Wangen.Medizinisch betrachtet, werden Unterlagerungen auch als Knoten bezeichnet.Im Gegensatz zu gewöhnlichen Pickeln oder Mitessern entstehen Unterlagerungen in den tieferen Hautschichten, was bedeutet, dass sie oft nur durch Rötungen oder kleine Erhebungen erkennbar sind.Sie ähneln Papeln, erheben sich jedoch nicht über die Hautoberfläche. Ursachen von Unterlagerungen Unterlagerungen entstehen durch ähnliche Prozesse wie herkömmliche Akne: Sie sind das Ergebnis von verstopften Poren, verursacht durch eine Überproduktion von Hauttalg. Wenn dieser Talg nicht abfließen kann, sammelt sich zusammen mit abgestorbenen Hautzellen, Schmutz und anderen Rückständen ein Gemisch unter der Haut, was die Poren blockiert. Diese Blockaden bieten eine perfekte Umgebung für Bakterien, die Entzündungen der Talgdrüsen hervorrufen können, woraus dann Unterlagerungen resultieren. Menschen mit bestimmten Hautzuständen wie Rosacea, Schäden durch Sonneneinstrahlung oder Psoriasis neigen eher zu Unterlagerungen. Zusätzliche Faktoren, die diese Hautprobleme verschlimmern können, umfassen die Verwendung von Make-up, hormonelle Veränderungen, unzureichende Hygiene, Stress, Schlafmangel oder eine unpassende Ernährung. Behandlung von Unterlagerungen Personen, die anhaltend unter schmerzhaften, knotigen Unterlagerungen leiden, sollten sich an eine Fachperson in der Dermatologie wenden. Der Hintergrund dafür ist, dass es sich um zystische Akne handeln könnte, die tiefer in der Haut liegt und Unterlagerungen verursacht. Diese Form der Akne kann zu Narbenbildung führen, was einen Besuch bei einer Fachperson rechtfertigt. Es ist ratsam, schmerzhafte Unterlagerungen und andere Hautunreinheiten professionell behandeln zu lassen. Ob man dafür einen Dermatologen oder eine dermatologische Fachkraft konsultiert, liegt im Ermessen des Einzelnen. Durch eine professionelle Reinigung kann der Talg wieder besser fließen, was dazu beiträgt, dass die Unterlagerungen schneller abheilen und neuen Entzündungen vorgebeugt wird. Eigenes Herumdrücken an den betroffenen Stellen sollte unbedingt vermieden werden, da dies die Situation durch Bakterieneintritt verschlechtern und im schlimmsten Fall zur Bildung schmerzhafter Zysten führen kann, die wochenlang unter der Haut verbleiben. In einer dermatologischen Praxis kann eine professionelle Lokaltherapie durchgeführt werden. Bei einer bestätigten zystischen Entzündung wird der Bereich desinfiziert und mittels spezieller Instrumente behandelt. Danach erfolgt die Anwendung eines entzündungshemmenden Mittels, zum Beispiel eines Antibiotikums, zur Behandlung. Nochmals es ist ganz wichtig: eigenständiges Herumdrücken kann die Entzündung verschlimmern und sogar zu Zysten führen. Also Finger weg!  Wirkung von Probiotika bei Unterlagerungen Unterlagerungen entstehen oft durch eine übermäßige Talgproduktion und eine daraus resultierende Entzündung der Hautporen.Probiotika enthalten lebende Mikroorganismen, die die natürliche Darmflora unterstützen und entzündungshemmende Eigenschaften haben können.Durch die regelmäßige und längerfristige Einnahme von Probiotika können diese positiven Mikroorganismen auch die Hautflora beeinflussen und so die Entstehung von Unterlagerungen reduzieren.Verschiedene wissenschaftliche Studien legen nahe, dass Probiotika potenziell entzündungshemmende Effekte haben und bei der Behandlung von Hautzuständen wie subkutanen Pickeln unterstützend wirken können, möglicherweise durch die Beeinflussung der Hautmikrobiota oder die Verbesserung der Hautbarrierefunktion. Hautpflege bei Unterlagerungen Eine sanfte Reinigungsroutine ist wichtig, um die Haut nicht weiter zu reizen.Mildes Reinigungsgel ist für ölige und unreine Haut empfehlenswert, da zu aggressive Produkte die Haut austrocknen und die Talgproduktion erhöhen können. Feuchtigkeitsspendende Seren sind auch bei fettiger Haut wichtig, um den Feuchtigkeitsverlust auszugleichen und die Hautgesundheit zu fördern.Chemische Peelings mit Fruchtsäuren können die Hauterneuerung anregen und Unreinheiten bekämpfen. Vorsicht bei Hausmitteln gegen Unterlagerungen Hausmittel wie Zitrone, Apfelessig und Teebaumöl werden oft als Mittel gegen Unterlagerungen empfohlen, können jedoch die Haut aggressiv reizen und austrocknen, was zu einer Verschlimmerung führen kann. Auch sollte man die Finger von Zahnpasta lassen, denn auch diese reizt mehr, als dass sie helfen kann.Es ist ratsam, auf professionelle Behandlungsmethoden zurückzugreifen und von der Verwendung dieser Hausmittel abzusehen. Fazit Unterirdische Pickel, auch bekannt als Unterlagerungen oder subkutane Pickel, stellen eine besondere Herausforderung in der Hautpflege dar. Während sie weniger sichtbar als oberflächliche Akne sein mögen, sind sie doch oft schmerzhafter und langwieriger. Die Entstehung dieser tiefen Hautunreinheiten ist auf verstopfte Poren zurückzuführen, die durch eine Überproduktion von Talg und die Ansammlung von Schmutz und abgestorbenen Hautzellen entstehen. Zusätzlich bieten sie ein ideales Umfeld für Bakterien, was die Entzündung weiter fördert. Für Betroffene, die unter hartnäckigen und schmerzhaften Unterlagerungen leiden, ist der Gang zu einem Dermatologen oder einer fachkundigen kosmetischen Behandlung unerlässlich, insbesondere bei Verdacht auf zystische Akne, die Narben hinterlassen kann. Eine professionelle Ausreinigung kann den Talgfluss verbessern und somit zur schnelleren Abheilung und zur Prävention neuer Entzündungen beitragen. Eigenes Herumdrücken sollte unter allen Umständen vermieden werden, um die Entzündung nicht zu verschlimmern oder sogar Zysten zu provozieren. Neben der professionellen Behandlung können auch Probiotika eine unterstützende Rolle spielen. Durch ihre potenziell entzündungshemmenden Eigenschaften können sie zur Verbesserung der Hautflora und somit zur Reduzierung von Unterlagerungen beitragen. Eine gesunde Darmflora spiegelt sich auch in einer gesunden Haut wider. Bei der täglichen Hautpflege ist eine sanfte Reinigung und Hydratation entscheidend. Zu aggressive Produkte sollten vermieden werden, da sie die Haut reizen und die Problematik verschärfen können. Chemische Peelings bieten eine Möglichkeit, die Hauterneuerung zu fördern und Unreinheiten gezielt zu bekämpfen. Abschließend ist es wichtig, sich von Hausmitteln, die die Haut reizen und austrocknen können, fernzuhalten und stattdessen auf bewährte und professionelle Behandlungsmethoden zu setzen. Durch eine Kombination aus fachkundiger Beratung, gezielter Hautpflege und unterstützenden Maßnahmen wie der Einnahme von Probiotika kann das Auftreten von Unterlagerungen effektiv reduziert und die Hautgesundheit gefördert werden.   Der Artikel dient lediglich der Informationsvermittlung in Bezug auf Probiotika und soll nicht als medizinische Empfehlung oder als Ersatz für professionelle medizinische Beratung oder Behandlung interpretiert werden.

    benötigen wir Creme

    Benötigen wir Creme? Mythos oder Realität?

    Was sind Probiotika eigentlich? Probiotika sind spezielle Zubereitungen, die lebendige Mikroorganismen enthalten, was aus dem Griechischen übersetzt „für das Leben“ bedeutet. Diese Mikroorganismen spielen eine wichtige Rolle für eine gesunde Darmflora. Natürlicherweise finden sich Probiotika in verschiedenen Nahrungsquellen wie Joghurt, ausgewählten Käsesorten und Sauerkraut. Probiotika können durch Nahrungsergänzungen oft effektiver aufgenommen werden als durch Lebensmittel, da sie in konzentrierter Form und genau definierten Mengen bereitgestellt werden, die für eine gezielte Unterstützung der Darmflora optimiert sind. Probiotika finden zunehmend auch in der Hautpflege Verwendung, um die Hautgesundheit zu fördern, allerdings dürfen da bislang nur Lysate und Stoffwechselprodukte von Probiotika verwendet werden. Wichtig zu wissen: Der Unterschied zwischen Probiotika und Präbiotika: Während Probiotika lebendige Mikroorganismen darstellen, handelt es sich bei Präbiotika um nicht verdauliche Ballaststoffe, die als Nahrung für Darmbakterien dienen und deren Wachstum anregen. Die Bedeutung des Hautmikrobioms Das Hautmikrobiom bezeichnet die Gesamtheit aller Mikroorganismen, wie Bakterien, Pilze und Viren, die auf unserer Haut leben. Jede Person hat eine einzigartige mikrobielle Gemeinschaft, die entscheidend für die Gesundheit der Haut ist. Diese Mikroorganismen spielen eine wichtige Rolle bei der Regulierung des pH-Werts, der Stärkung der Hautbarriere und dem Schutz vor schädlichen Eindringlingen. Ein gesundes und ausgewogenes Hautmikrobiom ist daher für die Aufrechterhaltung einer gesunden Haut unerlässlich. Faktoren wie schlechte Ernährung, aggressive Reinigungsmittel und unzureichende Hautpflege können das Gleichgewicht des Hautmikrobioms stören und zu Problemen wie Trockenheit, Reizungen und Entzündungen führen. Darm-Haut-Achse Die Darm-Haut-Achse beschreibt die enge Verbindung zwischen unserem Darm und der Haut. Störungen im Darm können sich negativ auf die Haut auswirken und zu Hauterkrankungen wie Ekzemen, Rosacea oder Schuppenflechte führen. Die gute Nachricht ist, dass die Verbesserung der Darmgesundheit durch probiotische Nahrungsergänzungen auch die Hautgesundheit positiv beeinflussen kann. Probiotika unterstützen das Gleichgewicht im Darm, reduzieren Entzündungen und führen zu einer klareren, gesünderen Haut. Indem wir auf die Gesundheit unseres Darms achten, fördern wir also auch das Wohlbefinden unserer Haut, was die Widerstandsfähigkeit gegen äußere Einflüsse steigert und das Risiko von Hautproblemen verringert. Wie gerät unsere Hautflora aus dem Gleichgewicht? Die Zusammensetzung der Hautflora, einzigartig und komplex, ist sensibel gegenüber Veränderungen. Verschiedene Faktoren, sowohl von innen als auch von außen, können das Gleichgewicht des Hautmikrobioms stören: UV-Strahlen der Sonne Luftverschmutzung durch Feinstaub Nikotinkonsum Emotionaler und physischer Stress Schlafdefizit Hormonelle Veränderungen einseitige, ungesunde Ernährung Stress Die Einnahme spezifischer Medikamente Auch ungeeignete Hautpflegeprodukte können die Balance der Hautflora beeinträchtigen. Eine gestörte Hautflora kann zu Rötungen, Trockenheit, Sensibilität, vorzeitiger Hautalterung, sowie einer Neigung zu Akne und anderen entzündlichen Hautproblemen führen. Wie beeinflussen Probiotika die Haut? Probiotika spielen eine entscheidende Rolle beim Wiederaufbau und der Erhaltung des natürlichen Gleichgewichts der Hautflora. Forschungen zeigen, dass diese Mikroorganismen sowohl direkte als auch indirekte positive Effekte auf die Haut ausüben können. Sie sind effektiv darin, eine Vielzahl von Hautproblemen zu lindern und deren typische Symptome zu reduzieren, einschließlich derer, die durch UV-Strahlung verursacht oder bei oberflächlichen Hautverletzungen auftreten. Probiotische Hautpflegeprodukte sind für alle Hauttypen geeignet und tragen zu einem gesunden, makellosen Hautbild bei. Milchsäurebakterien und die Haut Milchsäurebakterien, auch als Lactobacillales bekannt, sind besonders wertvoll für trockene und sensible Hauttypen. So zeigte beispielsweise eine Studie, dass die Anwendung von Lactobacillus brevis auf der Haut über vier Wochen hinweg Trockenheitssymptome effektiv mildern und entzündungshemmende Effekte aufweisen kann. Zudem wurde beobachtet, dass dieses Bakterium die Haut mit nützlichen Mikroorganismen anreichert, was die Hautgesundheit zusätzlich unterstützt. Hautschutzbarriere stärken Die Stärkung der Hautschutzbarriere ist essentiell für ein gesundes und strahlendes Hautbild. Die äußerste Schicht unserer Haut, das Stratum corneum, arbeitet zusammen mit dem Hydrolipidfilm und dem Haut-Mikrobiom, um uns vor externen Schadstoffen zu schützen und die Hautfeuchtigkeit zu bewahren. Faktoren sowohl von innen als auch von außen können diese wichtige Barriere schwächen. Hautschutzbarriere stärken Das Haut-Mikrobiom bildet zusammen mit dem Hydrolipidfilm eine essenzielle Schutzschicht auf der obersten Hautschicht, dem Stratum corneum. Diese natürliche Barriere, verstärkt durch körpereigene Fette, schützt effektiv vor Umwelteinflüssen und hilft, die Hautfeuchtigkeit zu bewahren, was für ein glattes und gesundes Hautbild unerlässlich ist. Allerdings können sowohl interne als auch externe Faktoren diese wichtige Schutzfunktion beeinträchtigen. Um die Hautbarriere zu stärken, sind Pflegeprodukte von innen und außen mit wirksamen Inhaltsstoffen gefragt. Hautidentische Lipide wie Ceramide, Feuchtigkeitsbooster wie Hyaluronsäure oder Urea und Antioxidantien sind dabei entscheidend, um die Hautbarriere zu unterstützen und gleichzeitig der Hautalterung entgegenzuwirken. Eine gesunde und nährstoffreiche Ernährung spielt eine zentrale Rolle für ein vitales Hautbild und einen leuchtenden Teint. Es ist entscheidend, dass Sie Ihrer Haut durch den Verzehr von frischem Obst und Gemüse ausreichend Vitamine zuführen. Ebenso tragen ungesättigte Fettsäuren, die in Nüssen, hochwertigen Pflanzenölen und Fisch enthalten sind, zu einer gesunden Haut bei. Zur Unterstützung des Haut-Mikrobioms können folgende probiotische Nahrungsmittel beitragen: Rohes Sauerkraut und Sauerkrautsaft, die nicht pasteurisiert sind Naturjoghurt, der frei von Zuckerzusätzen ist Kefir Vegane Alternativen wie Joghurt auf Basis von Soja oder Kokos Durch Milchsäuregärung konservierte saure Gurken Apfelessig Diese Lebensmittel fördern nicht nur eine gesunde Darmflora, sondern unterstützen auch indirekt das Gleichgewicht und die Schutzfunktion der Haut. Wie funktioniert probiotische Hautpflege? Die Einnahme von Probiotika, also guter Bakterien, kann unsere Hautgesundheit auf verschiedene Weise unterstützen: Beruhigung von Hautentzündungen: Bestimmte Probiotika, wie Lactobacillus casei, können Entzündungen der Haut lindern. Sie tun dies, indem sie bestimmte Immunzellen im Körper regulieren, ohne das Immunsystem zu schwächen. Das bedeutet, sie können helfen, allergische Reaktionen auf der Haut zu kontrollieren. Schutz vor Sonnenschäden: Ein anderes Probiotikum, Bifidobacterium breve, kann die Haut vor Schäden durch Sonneneinstrahlung, wie Rötungen und oxidative Schäden, schützen. Es verhindert, dass schädliche Sauerstoffmoleküle in der Haut gebildet werden. Verbesserung der Haut durch Darmgesundheit: Probiotika können auch die Zusammensetzung der Bakterien in unserem Darm verändern. Diese Veränderungen können sich positiv auf die Haut auswirken, indem sie beispielsweise die Hautbarriere stärken und Entzündungen reduzieren. Stärkung der Hautbarriere und Immunmodulation: Probiotika helfen, die Barrierefunktion der Haut zu stärken und das Immunsystem so zu modulieren, dass die Haut gesünder bleibt und weniger anfällig für Erkrankungen wie Ekzeme und Akne ist. Kurz gesagt, Probiotika sind nicht nur gut für unseren Darm, sondern auch für unsere Haut. Sie unterstützen die Hautgesundheit von innen heraus, indem sie Entzündungen reduzieren, Schutz vor Umweltschäden bieten und die Hautbarriere stärken können. Topisch aufgetragene probiotische Hautpflege Die probiotische Hautpflege basiert auf der Nutzung probiotischer Mikroorganismen, wie lebenden Bakterien oder Hefen, die das Gleichgewicht des Hautmikrobioms fördern und die natürliche Schutzfunktion der Haut stärken. Diese Mikroorganismen arbeiten mit den bereits vorhandenen Hautmikroben zusammen, um die Hautflora auszugleichen, die Hautregeneration zu unterstützen, wichtige Hautproteine und Lipide zu produzieren und für eine verbesserte Hautstruktur sowie einen strahlenden Teint zu sorgen. Darüber hinaus verbessern sie die Feuchtigkeitsversorgung der Haut, erhöhen deren Elastizität und verringern Trockenheit, was zu einer gesunden und geschmeidigen Haut führt. Probiotische Hautpflegeprodukte, darunter Cremes, Seren und Masken, gewinnen weltweit an Popularität. Sie können eine natürliche Lösung bieten, um die Hautgesundheit zu unterstützen. Allerdings enthalten viele dieser Produkte aufgrund von Herausforderungen bezüglich Stabilität, Haltbarkeit und regulatorischen Anforderungen keine lebenden Mikroorganismen, sondern setzen auf lysierte Produkte oder Metaboliten (Postbiotika). Kosmetische Produkte mit lebenden Probiotika unterliegen strengen regulatorischen Prozessen und werden oft als Arzneimittel klassifiziert. Die Vorteile von Probiotika für die Haut Probiotika bieten viele Vorteile für die Hautgesundheit und -pflege. Hier sind einige der wichtigsten Vorteile: Unterstützung der Hautbarriere: Probiotische Hautpflegeprodukte können dazu beitragen, die natürliche Schutzbarriere der Haut zu stärken. Sie können helfen, Feuchtigkeit einzuschließen und schädliche Umwelteinflüsse abzuwehren. Reduzierung von Entzündungen: Probiotika haben entzündungshemmende Eigenschaften. Sie können dazu beitragen, Rötungen, Reizungen und Entzündungen zu reduzieren, was insbesondere bei Hautproblemen wie Akne oder Rosacea von Vorteil ist. Verbesserung des Teints: Probiotische Hautpflege kann das Erscheinungsbild des Teints verbessern. Indem sie das Gleichgewicht der Haut wiederherstellen, können sie für einen ebenmäßigeren und strahlenderen Teint sorgen. Beruhigung der Haut: Probiotika können beruhigende Eigenschaften haben und helfen, gereizte oder gestresste Haut zu beruhigen. Sie können das Hautgefühl verbessern und dazu beitragen, Unwohlsein oder Juckreiz zu lindern. Vorbeugung von vorzeitigem Altern: Durch den Schutz der Hautbarriere und die Reduzierung von Entzündungen können probiotische Produkte helfen, vorzeitige Hautalterung zu verhindern. Sie können feine Linien, Falten und andere Anzeichen von Alterung minimieren. Es ist wichtig anzumerken, dass die genauen Vorteile von probiotischer Hautpflege je nach Produkt und individuellem Hautzustand variieren können.  Die Wirkung von Probiotika auf spezifische Hautprobleme Regelmäßige und längerfristige Einnahme von probiotische Hautpflegeprodukte haben sich als wirksam bei der Verbesserung verschiedener Hautprobleme erwiesen.  Hier sind einige spezifische Hautprobleme, bei denen die Anwendung von Probiotika Vorteile bieten kann: Akne: Probiotika können helfen, den pH-Wert der Haut auszugleichen und das Wachstum von Bakterien zu kontrollieren, die Akne verursachen können. Sie können auch Entzündungen reduzieren und die Heilung von Akne-Läsionen unterstützen. Ekzeme: Bei Ekzemen ist die Hautbarriere geschädigt, was zu Trockenheit, Rötungen und Juckreiz führen kann. Probiotika können helfen, die Hautbarriere zu stärken und Entzündungen zu reduzieren, was zu einer Linderung der Symptome beitragen kann. Rosacea: Probiotika können beruhigende Eigenschaften haben und Entzündungen in der Haut reduzieren, was bei einer Rosacea-Haut von Vorteil sein kann. Sie können auch die Hautschutzbarriere stärken und Hautrötungen verringern. Empfindliche Haut: Probiotika können helfen, die Haut zu beruhigen und die Reaktivität gegenüber externen Reizstoffen zu verringern. Sie können die Hautbarriere stärken und somit empfindliche Haut besser schützen. vorzeitige Hautalterung: Probiotika können vor vorzeitiger Hautalterung schützen, indem sie das Hautmikrobiom ausgleichen, Entzündungen verringern und die Hautbarriere stärken. Sie können helfen, die Haut gegen Umweltschäden zu schützen, die Feuchtigkeit zu verbessern und die Kollagenproduktion zu unterstützen, was feine Linien und Falten reduzieren kann und zu einem jugendlicheren Aussehen führt. Es ist wichtig zu beachten, dass die Wirkung von Probiotika auf spezifische Hautprobleme bei jedem Individuum unterschiedlich sein kann. Nicht alle Hautprobleme reagieren gleich auf Probiotika. Außerdem kann es einige Zeit dauern, bis Ergebnisse sichtbar werden. Wenn Du spezifische Hautprobleme hast, empfehlen wir Dir, einen Hautspezialisten oder Dermatologen zu konsultieren, um die richtige Behandlung für Deine Bedürfnisse zu erhalten. Wie man probiotische Hautpflege in die tägliche Routine integriert Um probiotische Hautpflege effektiv in Deine tägliche Routine zu integrieren und die Haut von innen zu pflegen, ist die Einnahme von Probiotika ein wesentlicher Schritt. Diese können dazu beitragen, das Gleichgewicht des Hautmikrobioms zu fördern, Entzündungen zu reduzieren und die allgemeine Hautgesundheit zu verbessern. Hier sind einige Tipps, wie Du Probiotika am besten nutzen kannst: Beste Zeit für die Einnahme: Ideal ist es, Probiotika morgens auf nüchternen Magen zu konsumieren. Während der Nacht pausiert die Nahrungsaufnahme, was bedeutet, dass dein Verdauungstrakt leer ist und die Magen- und Gallensäureproduktion niedriger ist. Dies erleichtert den Probiotika die Passage durch den Magen-Darm-Trakt. Diese Empfehlung basiert darauf, dass ein leerer Magen die Überlebenschancen der Probiotika durch den sauren Magen erhöht. Qualität der Probiotika: Wähle Probiotika von hoher Qualität, die gegen Magen- und Gallensäure resistent sind, um sicherzustellen, dass sie den Darm erreichen und dort ihre positiven Effekte entfalten. Marken wie within bieten Produkte mit solchen robusten Stämmen an, die flexibel zu verschiedenen Tageszeiten eingenommen werden können, ohne ihre Effektivität einzubüßen. Darüber hinaus schützen hier magenresistente Kapseln die wertvollen Bakterienkulturen auf ihrem Weg durch den Magen, maximieren deren Überlebenschancen und Wirksamkeit. Regelmäßigkeit: Für eine sichtbare Verbesserung der Hautgesundheit ist es wichtig, Probiotika regelmäßig einzunehmen. Die regelmäßige Zufuhr unterstützt nicht nur das Gleichgewicht des Mikrobioms, sondern fördert auch langfristig eine gesunde Haut. Längerfristige Anwendung: Die Vorteile von Probiotika auf die Haut zeigen sich oft erst nach einer gewissen Dauer der Einnahme. Gib deinem Körper also Zeit, sich anzupassen und die positiven Effekte zu entwickeln. Eine längerfristige Anwendung ist empfehlenswert, um dauerhafte Ergebnisse zu erzielen. Integration in die tägliche Routine: Mache die Einnahme von Probiotika zu einem festen Bestandteil Deiner Routine. Indem Du sie täglich zur gleichen Zeit nimmst, wird es einfacher, die Regelmäßigkeit beizubehalten. Durch die Berücksichtigung dieser Tipps kann die probiotische Hautpflege effektiv in die tägliche Routine integriert werden, um die Hautgesundheit von innen zu unterstützen und zu verbessern.   Der Artikel dient lediglich der Informationsvermittlung in Bezug auf Probiotika und soll nicht als medizinische Empfehlung oder als Ersatz für professionelle medizinische Beratung oder Behandlung interpretiert werden.

    Hautpflege von innen

    Hautpflege von innen

     Die Rolle der Ernährung für die Hautgesundheit Die Rolle der Ernährung für die Hautgesundheit ist von entscheidender Bedeutung, da sie direkte Auswirkungen auf die Gesundheit und das Erscheinungsbild der Haut hat. Die Nahrungsmittel, die wir täglich konsumieren, enthalten eine Vielzahl von Nährstoffen, die für die Funktion und den Zustand unserer Haut unerlässlich sind. Eine ausgewogene Ernährung, die reich an Obst, Gemüse, Vollkornprodukten, magerem Eiweiß und gesunden Fetten ist, liefert unserer Haut die Bausteine, die sie benötigt, um gesund und strahlend zu bleiben. Diese Nährstoffe unterstützen die Regeneration der Hautzellen, fördern die Kollagenproduktion und schützen vor Schäden durch freie Radikale und Umweltbelastungen. Zum Beispiel enthalten Obst und Gemüse eine Vielzahl von Antioxidantien, wie Vitamin C und Vitamin E, die dazu beitragen, die Haut vor Schäden durch UV-Strahlen und Umweltverschmutzung zu schützen. Darüber hinaus liefern Omega-3-Fettsäuren, die in Fisch, Leinsamen und Walnüssen vorkommen, wichtige Lipide, die die Hautfeuchtigkeit bewahren und Entzündungen reduzieren können. Umgekehrt können ungesunde Ernährungsgewohnheiten, die reich an zuckerhaltigen Lebensmitteln, verarbeiteten Lebensmitteln und gesättigten Fetten sind, die Hautgesundheit negativ beeinflussen. Ein übermäßiger Konsum von Zucker kann zu Entzündungen führen und die Kollagenproduktion beeinträchtigen, was zu vorzeitiger Hautalterung und Hautproblemen wie Akne führen kann. Probiotika und die Darm-Haut-Verbindung Probiotika sind lebende Mikroorganismen, die eine Vielzahl von gesundheitlichen Vorteilen bieten, insbesondere für die Haut. Hier sind einige Möglichkeiten, wie Probiotika und eine gesunde Darmflora die Hautgesundheit verbessern können: Reduzierung von Entzündungen: Eine unausgewogene Darmflora kann zu einem Anstieg von entzündlichen Substanzen im Körper führen, was sich negativ auf die Haut auswirken kann. Probiotika tragen dazu bei, das Gleichgewicht der Darmflora wiederherzustellen und Entzündungen im Körper zu reduzieren. Indem sie die Produktion von entzündungshemmenden Substanzen fördern, können Probiotika dazu beitragen, Hautprobleme wie Akne, Rosazea und Ekzeme zu lindern. Stärkung des Immunsystems: Ein gesunder Darm spielt eine entscheidende Rolle bei der Stärkung des Immunsystems, da etwa 70% der Immunzellen des Körpers im Darm lokalisiert sind. Eine ausgewogene Darmflora unterstützt die Immunfunktion, indem sie schädliche Bakterien bekämpft und das Wachstum von gesunden Bakterien fördert. Ein starkes Immunsystem ist entscheidend für die Bekämpfung von Infektionen und Entzündungen, die sich positiv auf die Hautgesundheit auswirken können. Verbesserung der Hautbarriere: Die Darm-Haut-Verbindung spielt eine wichtige Rolle bei der Erhaltung der Hautbarriere, die die Haut vor äußeren Einflüssen schützt und Feuchtigkeitsverlust verhindert. Eine gesunde Darmflora trägt dazu bei, die Integrität der Hautbarriere aufrechtzuerhalten, indem sie die Produktion von kurzkettigen Fettsäuren fördert, die für die Hautgesundheit entscheidend sind. Eine intakte Hautbarriere ist wichtig für die Verhinderung von Hautproblemen wie Trockenheit, Rötung und Reizung. Förderung der Hautregeneration: Studien haben gezeigt, dass Probiotika die Hautregeneration unterstützen können, indem sie die Produktion von Kollagen und Elastin fördern. Diese Proteine sind wichtig für die Hautfestigkeit und Elastizität und tragen dazu bei, das Auftreten von feinen Linien und Falten zu reduzieren. Eine verbesserte Hautregeneration kann zu einem jugendlichen und strahlenden Hautbild führen. Antioxidantien und Vitamine für strahlende Haut Antioxidantien und Vitamine spielen eine entscheidende Rolle für eine strahlende und gesunde Haut, da sie dazu beitragen, die Haut vor schädlichen freien Radikalen zu schützen und sie vor vorzeitiger Alterung zu bewahren. Hier sind einige der besten Nährstoffe, die Deine Haut von innen heraus unterstützen können: Vitamin C Dieses leistungsstarke Antioxidans ist bekannt für seine Fähigkeit, die Haut vor schädlichen UV-Strahlen zu schützen und die Kollagenproduktion zu fördern. Vitamin C hilft auch dabei, dunkle Flecken und Hyperpigmentierung zu reduzieren, wodurch die Haut gleichmäßiger und strahlender wirkt. Vitamin E Ein weiteres starkes Antioxidans, das die Haut vor oxidativem Stress schützt und sie vor Schäden durch freie Radikale bewahrt. Vitamin E unterstützt die Hautfeuchtigkeit, verbessert die Elastizität und hilft, feine Linien und Falten zu reduzieren, was zu einem jugendlichen und strahlenden Teint führt. Beta-Carotin Diese Vorstufe von Vitamin A ist besonders vorteilhaft für die Haut, da es die Hautzellen vor UV-Schäden schützt und die Produktion neuer Hautzellen fördert. Beta-Carotin kann auch dazu beitragen, die Haut vor Trockenheit und Schuppenbildung zu schützen, indem es die natürliche Feuchtigkeitsbarriere stärkt. Weitere Antioxidantien Neben Vitamin C, Vitamin E und Beta-Carotin gibt es eine Vielzahl weiterer Antioxidantien, die für die Hautgesundheit wichtig sind. Dazu gehören Flavonoide, Polyphenole und Phytochemikalien, die in Lebensmitteln wie Beeren, grünem Tee, dunkler Schokolade und Kurkuma vorkommen. Diese Antioxidantien tragen dazu bei, die Haut vor Entzündungen zu schützen, die Kollagenproduktion zu stimulieren und die Hautstruktur zu verbessern. Polyphenole gelten wissenschaftlich mittlerweile als präbiotisch, d.h. sie unterstützen die Darmflora.  Omega-3-Fettsäuren: Der Schlüssel zu einer gesunden Hautbarriere Omega-3-Fettsäuren spielen eine entscheidende Rolle bei der Erhaltung einer gesunden Hautbarriere und tragen maßgeblich dazu bei, dass deine Haut strahlend und geschmeidig bleibt. Diese essentiellen Nährstoffe, die hauptsächlich in fettem Fisch wie Lachs, Makrele und Sardinen sowie in pflanzlichen Quellen wie Leinsamen, Chiasamen und Walnüssen vorkommen, bieten eine Reihe von Vorteilen für deine Hautgesundheit. Hautfeuchtigkeit bewahren: Omega-3-Fettsäuren sind wichtig für die Erhaltung der Lipidschicht der Haut, die eine natürliche Barriere bildet, um Feuchtigkeit einzuschließen und Austrocknung zu verhindern. Indem sie die Hautfeuchtigkeit bewahren, helfen Omega-3-Fettsäuren, Trockenheit und Schuppigkeit zu reduzieren und sorgen für ein geschmeidiges und gepflegtes Hautgefühl. Reduzierung von Entzündungen: Entzündungen spielen eine Schlüsselrolle bei der Entstehung von Hautproblemen wie Akne, Ekzemen und Rosazea. Omega-3-Fettsäuren haben entzündungshemmende Eigenschaften, die dazu beitragen können, Entzündungen zu reduzieren und die Haut zu beruhigen. Dies kann dazu beitragen, das Auftreten von Hautrötungen, Schwellungen und Irritationen zu minimieren und ein ebenmäßiges Hautbild zu fördern. Förderung der Zellerneuerung: Omega-3-Fettsäuren unterstützen die natürliche Regeneration der Hautzellen, indem sie die Produktion von Kollagen und Elastin fördern. Diese Proteine sind wichtig für die Hautfestigkeit und Elastizität, und ihre Förderung trägt dazu bei, feine Linien und Falten zu reduzieren und ein jugendliches Erscheinungsbild zu bewahren. Schutz vor UV-Schäden: Einige Studien legen nahe, dass Omega-3-Fettsäuren dazu beitragen können, die Haut vor den schädlichen Auswirkungen der UV-Strahlen zu schützen, indem sie die Hautzellen vor oxidativem Stress und DNA-Schäden bewahren. Dies kann dazu beitragen, das Risiko von Sonnenbrand, Sonnenflecken und vorzeitiger Hautalterung zu reduzieren und die allgemeine Gesundheit der Haut zu verbessern. Wasser: Der ultimative Feuchtigkeitsspender für die Haut Wasser ist nicht nur lebenswichtig für unsere allgemeine Gesundheit, sondern spielt auch eine entscheidende Rolle bei der Hydratation unserer Haut. Eine ausreichende Flüssigkeitszufuhr ist unerlässlich, um die Haut mit Feuchtigkeit zu versorgen und sie gesund und strahlend zu halten. Hier sind einige Gründe, warum Wasser der ultimative Feuchtigkeitsspender für die Haut ist und warum eine ausreichende Hydratation so wichtig ist: Hautfeuchtigkeit bewahren: Wasser ist der Hauptbestandteil der Hautzellen und des natürlichen Feuchtigkeitshaushalts der Haut. Durch die Aufrechterhaltung einer ausreichenden Flüssigkeitszufuhr können wir die Hautfeuchtigkeit bewahren und das Auftreten von Trockenheit, Schuppenbildung und Rissen reduzieren. Gut hydrierte Haut fühlt sich geschmeidig, weich und elastisch an und sieht strahlend und gesund aus. Toxine ausspülen: Wasser spielt eine wichtige Rolle bei der Ausscheidung von Toxinen und Abfallstoffen aus dem Körper. Durch ausreichendes Trinken werden die Nieren angeregt, Abfallprodukte aus dem Blut zu filtern und über den Urin auszuscheiden. Eine effiziente Entgiftung des Körpers kann dazu beitragen, das Auftreten von Hautproblemen wie Akne und Hautunreinheiten zu reduzieren und die allgemeine Gesundheit der Haut zu verbessern. Erhaltung der Hautelastizität: Ausreichende Flüssigkeitszufuhr ist entscheidend für die Erhaltung der Elastizität der Haut. Wenn die Haut nicht ausreichend mit Feuchtigkeit versorgt wird, kann sie ihre Elastizität verlieren und schlaff und faltig aussehen. Durch regelmäßiges Trinken von Wasser können wir die Spannkraft und Straffheit der Haut erhalten, was zu einem jugendlichen Erscheinungsbild beiträgt. Vorbeugung von Hautproblemen: Dehydrierte Haut neigt dazu, empfindlich und anfällig für Irritationen und Entzündungen zu sein. Eine ausreichende Flüssigkeitszufuhr kann dazu beitragen, das Risiko von Hautproblemen wie Rötungen, Juckreiz, Ekzemen und Dermatitis zu reduzieren. Gut hydrierte Haut ist widerstandsfähiger gegen äußere Reizstoffe und Umweltbelastungen, was zu einem gesünderen und klareren Hautbild führt. Der Artikel dient lediglich der Informationsvermittlung in Bezug auf Probiotika und soll nicht als medizinische Empfehlung oder als Ersatz für professionelle medizinische Beratung oder Behandlung interpretiert werden.  

    Tipps für eine gesunde Haut

    15 Tipps für gesunde Haut

    1. Nährstoffreiche Ernährung Für eine gesunde und strahlende Haut ist eine Ernährung, die reich an Obst und Gemüse ist, unverzichtbar. Diese Lebensmittel versorgen den Körper mit unerlässlichen Spurenelementen, wichtigen Vitaminen und Antioxidantien, die nicht nur die Hautgesundheit fördern, sondern auch der Faltenbildung entgegenwirken. Besonders wichtige Vitamine für eine schöne Haut sind: Vitamin C ist das Haut-Vitamin! Es kann für eine straffere Haut sorgen, da es die Festigkeit des Bindegewebes fördern kann. Es ist besonders reichhaltig in Zitrusfrüchten und Hagebutten zu finden. Vitamin E, das häufig in Nüssen zu finden ist, spielt eine entscheidende Rolle bei der Verzögerung des Hautalterungsprozesses. Vitamin A hingegen wirkt trockener und schuppiger Haut entgegen. 2. Darmgesundheit ist wichtig Neben Vitaminen und Spurenelementen spielen Probiotika und Präbiotika eine wesentliche Rolle für eine gesunde Haut. Probiotika, lebendige Mikroorganismen, können bei regelmäßiger und längerfristiger Einnahme das Gleichgewicht der Darmflora fördern, was nicht nur die Nährstoffaufnahme und das Immunsystem verbessert, sondern auch positiv auf die Haut ausstrahlt. Eine ausgewogene Darmflora unterstützt die Hautgesundheit, indem sie Entzündungsprozesse im Körper mindert, was zu einem strahlenderem Hautbild beiträgt. Präbiotika, unverdauliche Fasern und Polyphenole, ernähren die nützlichen Bakterien im Darm und stärken somit die Darmgesundheit. Durch eine Ernährung, die reich an prä- und probiotischen Lebensmitteln ist – wie Joghurt, Kefir und Sauerkraut für Probiotika sowie Vollkornprodukte, Zwiebeln und Knoblauch für Präbiotika –, kann sich die Hautqualität verbessern lassen. Probiotische Nahrungsergänzungsmittel können sinnvoll sein, besonders wenn die tägliche Ernährung nicht ausreichend probiotische Lebensmittel enthält oder bei spezifischen Darmgesundheitsbedürfnissen. Sie bieten eine konzentrierte Quelle an nützlichen Bakterien, die direkt das Gleichgewicht der Darmflora unterstützen können. Dies ist besonders wertvoll, da eine gesunde Darmflora eng mit der Hautgesundheit verknüpft ist und zur Prävention sowie Reduzierung von Hautentzündungen beitragen kann. 3. Hautreinigung Für eine strahlende und gesunde Haut ist eine gründliche Reinigung und Pflege unerlässlich. Täglich sammeln sich Make-up, Schweiß und natürliche Hautöle an, die entfernt werden müssen, um verstopfte Poren und die Vermehrung von Bakterien zu verhindern. Eine oberflächliche Reinigung allein genügt nicht. Stattdessen empfiehlt sich die Anwendung einer milden Reinigungsmilch, die dank ihrer fettlösenden Inhaltsstoffe gründlich reinigt. Nach der Anwendung der Reinigungsmilch ist es wichtig, diese mit klarem Wasser vollständig abzuspülen. Im Anschluss an die Reinigung ist die Verwendung eines Gesichtswassers ratsam. Dieses unterstützt die Regeneration des natürlichen Säureschutzmantels der Haut und entfernt übrig gebliebene Reinigungsreste. Bitte verwende möglichst sanfte Produkte, die Dein Hautmikrobiom nicht negative beeinflussen. 4. Vergiß nicht zu trinken Um die Haut gesund und frisch zu erhalten, ist eine ausreichende Hydratation mit täglich 1,5 bis 2 Litern Wasser wichtig. Da die Haut zu etwa 80% aus Wasser besteht, spielt dieses eine zentrale Rolle bei der Förderung der Durchblutung und der Anregung des Stoffwechsels, was zu einem lebendigen und gesunden Hautbild beiträgt. Eine hohe Flüssigkeitszufuhr verhindert zudem, dass die Haut austrocknet oder rissig wird, und stärkt ihre Widerstandsfähigkeit, während gleichzeitig Schadstoffe effektiver ausgeschieden werden können. 5. Ausreichender Schlaf Der Begriff "Schönheitsschlaf" ist weit mehr als nur ein Mythos, denn ausreichend Schlaf, besonders eine Nacht mit 7 bis 8 Stunden, spielt eine entscheidende Rolle für die Gesundheit und Ausstrahlung der Haut. Während der Tiefschlafphase werden zahlreiche Wachstumshormone freigesetzt, die unverzichtbar für die Regeneration der Hautzellen sind. Dies trägt dazu bei, dass die Haut frisch, erholt und lebendig erscheint. Ein Mangel an Schlaf hingegen kann schnell zu einem blassen und müden Hautbild führen, weshalb ausreichender und qualitativ hochwertiger Schlaf als fundamentaler Bestandteil einer effektiven Hautpflegeroutine nicht unterschätzt werden sollte. 6. Alkohol reduzieren Der Konsum von Alkohol entzieht dem Körper und insbesondere der Haut Feuchtigkeit und zerstört zudem die Zellen, die für die Entgiftungsprozesse verantwortlich sind. Das Ergebnis ist eine blasse und ungesund wirkende Haut. Besonders schädlich für die Haut sind alkoholische Getränke mit einem hohen Zuckergehalt, wie beispielsweise Cocktails. 7. Zigaretten weglassen Nikotin verengt die Blutgefäße und stellt somit eine Belastung für Herz und Kreislauf dar. Darüber hinaus beeinträchtigt es die adäquate Durchblutung der Haut, was zu weiteren negativen Effekten auf das Hautbild führen kann. 8. Peeling Hornschuppen können der Haut ein fahles und mattes Aussehen verleihen. Durch die Anwendung eines auf den individuellen Hauttyp abgestimmten Peelings werden abgestorbene Hautzellen enrfernt und wird die Durchblutung gefördert, was zu einem rosigen und gleichmäßigen Hautbild beiträgt. Ein Fruchtsäurepeeling kann speziell für ein glatteres Hautbild sorgen. Für optimale Ergebnisse sollte dieses Peeling mindestens einmal pro Woche durchgeführt werden. 9. Sonnenschutz Wusstest Du, dass ungeschützte Sonneneinstrahlung die Hauptursache vorzeitiger Hautalterung ist? Sonnenschäden können sofortige und langfristige Auswirkungen haben, darunter Sonnenbrand mit Symptomen von Rötung bis hin zu Blasenbildung. Langfristige Effekte umfassen trockene, schuppige Haut und einen fahlen Teint durch Feuchtigkeits- und Fettsäureverlust. Sonneneinwirkung fördert auch Pigmentflecken durch übermäßige Melaninproduktion und schädigt die Hautstrukturen wie Kollagen und Elastin, was zu vorzeitigen Alterungszeichen wie Falten führt. Zudem kann langfristige Sonnenexposition das Risiko für Hautkrebs erhöhen, was die Bedeutung von Sonnenschutz unterstreicht. Vermeide lange Sonnenbäder und den Besuch von Solarien. 10. Achtung Überpflegung Das Prinzip „Weniger ist mehr“ gilt ebenfalls für eine gesunde Hautpflege. Eine Überbeanspruchung durch zu viele verschiedene Produkte kann zu Hautirritationen führen. Es besteht auch die Gefahr, dass nicht aufeinander abgestimmte Inhaltsstoffe ihre Wirksamkeit einbüßen oder Hautreizungen verursachen. Übermäßiges Auftragen von Cremes und ähnlichen Produkten kann zudem die Poren verstopfen, was die Hautgesundheit weiter beeinträchtigt. 11. Frische Luft Das Einatmen frischer Luft versorgt uns nicht nur über die Lunge mit Sauerstoff. Tatsächlich absorbieren wir 95 Prozent durch die Atmung und fünf Prozent über unsere Haut. Dieser Sauerstoff fördert die Zellteilung, was dazu beiträgt, dass wir ein frisches und strahlendes Aussehen erhalten. Daher lohnt es sich, regelmäßig lange Spaziergänge zu unternehmen! 12. Keine Crash-Diäten Vermeide radikale Diäten, die zu extremen Gewichtsschwankungen führen, da diese die Elastizität Deiner Haut beeinträchtigen können. Starke Gewichtsveränderungen strapazieren die elastischen Fasern der Haut, was zu einem Verlust der Straffheit und Elastizität führen kann. Anstelle extremer Diätmaßnahmen ist es ratsam, einen ausgewogeneren Ansatz zu wählen, der eine gesunde Ernährung mit regelmäßiger körperlicher Aktivität kombiniert. Das Einbinden von Massagen und Sport in Deinen Lebensstil kann nicht nur beim gesunden Abnehmen unterstützen, sondern fördert auch die Durchblutung und hilft dabei, die Haut straff und elastisch zu halten. Massagen stimulieren zudem das Lymphsystem, was zur Entschlackung des Körpers beitragen kann, während regelmäßige Bewegung die allgemeine Gesundheit und das Wohlbefinden steigert. 13. Sorge für ausreichend Entspannung Stress kann zu einer erhöhten Produktion von Stresshormonen führen, die die Haut sensibler und anfälliger für Hautprobleme wie Akne und Ekzeme machen können. Praktiziere regelmäßig Entspannungstechniken wie Meditation, Yoga oder Atemübungen, um Stress abzubauen und Deine Haut zu beruhigen. 14. Konsultiere einen Dermatologen Wenn Du langerfristig Hautprobleme hast oder Veränderungen bemerkst, die Dich beunruhigen, solltest Du einen Dermatologen aufsuchen. 15. Gute Laune Das Beste zum Schluß: Unsere Haut reflektiert oft unseren seelischen Zustand. Das bedeutet, dass unsere psychische Gesundheit sich direkt auf unser Hautbild auswirken kann. Daher ist es wichtig, Dinge zu tun, die uns glücklich machen, um nicht nur unser Wohlbefinden zu steigern, sondern auch um eine gesunde und strahlende Haut zu fördern.  Der Artikel dient lediglich der Informationsvermittlung in Bezug auf Probiotika und soll nicht als medizinische Empfehlung oder als Ersatz für professionelle medizinische Beratung oder Behandlung interpretiert werden.

    Hautunreinheiten

    Hautunreinheiten: Ursachen, Behandlung und Pflegetipps

    Wie entstehen Hautunreinheiten? Hautunreinheiten, wie Pickel, Mitesser oder Akne, entstehen hauptsächlich durch eine Kombination aus verstopften Poren, übermäßiger Talgproduktion und Bakterien. Hier ist eine einfache Erklärung der Prozesse, die zu Hautunreinheiten führen können: Übermäßige Talgproduktion: Die Haut enthält Talgdrüsen, die eine ölige Substanz namens Talg produzieren. Talg hilft, die Haut geschmeidig zu halten und vor Austrocknung zu schützen. Manchmal produzieren diese Drüsen jedoch zu viel Talg, was zu Problemen führen kann. Verstopfung der Poren: Die Poren sind kleine Öffnungen auf der Hautoberfläche, durch die Talg auf die Haut gelangt. Wenn sich tote Hautzellen, Schmutz und überschüssiger Talg ansammeln, können die Poren verstopfen. Dies führt oft zu Mitessern (offene verstopfte Poren) oder Whiteheads (geschlossene verstopfte Poren). Bakterienwachstum: Auf der Haut leben natürlich Bakterien, einschließlich einer Art namens Propionibacterium acnes (P. acnes), die in fettigen Hautregionen gedeihen. Wenn Poren verstopft sind, entsteht ein idealer Nährboden für diese Bakterien, die sich vermehren und Entzündungen verursachen können. Dies führt zur Bildung von Pickeln oder tiefer liegenden Entzündungen, bekannt als Akne. Entzündungsreaktion: Der Körper reagiert auf die Bakterienvermehrung und die Verstopfung der Poren mit einer Entzündung. Das Immunsystem sendet weiße Blutkörperchen, um die Bakterien zu bekämpfen, was zu Rötungen, Schwellungen und manchmal Schmerzen führt – die typischen Zeichen eines Pickels. Hormonelle Faktoren: Hormonschwankungen, besonders während der Pubertät, Schwangerschaft oder Menstruationszyklus, können die Talgproduktion beeinflussen und die Wahrscheinlichkeit von Hautunreinheiten erhöhen. Durch eine Kombination dieser Faktoren können Hautunreinheiten entstehen. Ursachen von Hautunreinheiten Die Ursachen von Hautunreinheiten können vielfältig sein und hängen oft von individuellen Faktoren ab. Hier sind einige der häufigsten Ursachen: Hormonelle Veränderungen: Schwankungen im Hormonspiegel können zu übermäßiger Talgproduktion führen, was die Poren verstopfen kann. Genetische Veranlagung: Eine Veranlagung zu Hautunreinheiten kann oft vererbt werden. Unzureichende Hautpflege: Eine unsachgemäße Reinigung der Haut kann dazu führen, dass Schmutz, Öl und abgestorbene Hautzellen die Poren verstopfen. Ernährung: Eine unausgewogene Ernährung, insbesondere der übermäßige Konsum von fettigen oder zuckerhaltigen Lebensmitteln, kann Hautunreinheiten begünstigen. Darmgesundheit: Eine ungesunde Darmflora kann die Ursache für Hautunreinheiten sein, da Darmprobleme oft Entzündungen und damit verbundene Hautprobleme verursachen. Probiotika und ballaststoffreiche Kost unterstützen eine klare Haut. Stress: Hoher Stresspegel kann zu hormonellen Veränderungen führen und die Talgproduktion erhöhen. Verwendung von ungeeigneten Kosmetikprodukten: Bestimmte Kosmetikprodukte können die Poren verstopfen und Hautunreinheiten fördern. Es ist wichtig, die individuellen Ursachen für Hautunreinheiten zu identifizieren, um geeignete Behandlungs- und Präventionsmaßnahmen ergreifen zu können. Eine Kombination aus einer angemessenen Hautpflege, einer gesunden Ernährung und einem stressfreien Lebensstil kann dazu beitragen, Hautunreinheiten zu reduzieren und das Hautbild zu verbessern. Hautunreinheiten und Darmgesundheit Hautunreinheiten und Darmgesundheit stehen in enger Verbindung, da der Zustand des Darms signifikanten Einfluss auf die Hautgesundheit haben kann. Eine unausgewogene Darmflora kann Entzündungen im Körper fördern, die sich auch auf die Haut auswirken und zu Akne, Ekzemen oder anderen Hautproblemen führen können. Die Förderung einer gesunden Darmflora durch eine ausgewogene Ernährung, reich an Ballaststoffen, fermentierten Lebensmitteln und probiotischen Nahrungsergänzungen, wie die von within, kann helfen, die Haut von innen heraus zu klären und das Auftreten von Hautunreinheiten zu reduzieren. Was hilft bei einer unreinen Haut? Bei unreiner Haut kann eine Kombination aus sorgfältiger Hautpflege, Lebensstiländerungen und gegebenenfalls medizinischen Behandlungen helfen, das Hautbild zu verbessern. Hier sind einige Tipps: Sanfte Hautreinigung: Reinige dein Gesicht zweimal täglich mit einem milden Reinigungsmittel, um überschüssigen Talg und Schmutz zu entfernen, ohne die Haut zu reizen. Verwenden von nicht-komedogenen Produkten: Achte darauf, dass alle Hautpflege- und Make-up-Produkte, die du verwendest, nicht-komedogen sind, um das Verstopfen der Poren zu vermeiden. Regelmäßiges Peeling: Ein sanftes Peeling kann helfen, tote Hautzellen zu entfernen und die Hauterneuerung zu fördern. Übertreibe es jedoch nicht, da zu häufiges Peeling die Haut reizen kann. Feuchtigkeit spenden: Auch ölige Haut benötigt Feuchtigkeit. Verwende eine leichte, ölfreie Feuchtigkeitscreme, um die Haut zu hydratisieren. Ausgewogene, Darmflora-fördernde Ernährung: Eine gesunde, ausgewogene Ernährung, die reich an Probiotika und Präbiotika aus Obst, Gemüse und Vollkornprodukten ist und zuckerreiche sowie fettige Speisen minimiert, kann das Hautbild positiv beeinflussen. Genügend Wasser trinken: Ausreichende Flüssigkeitszufuhr ist wichtig für eine gesunde Haut. Stressmanagement: Stress kann Hautprobleme verschlimmern. Finde Wege, um Stress zu reduzieren, wie z.B. regelmäßige Bewegung, Yoga oder Meditation. Vorsicht vor Sonnenexposition: Schütze deine Haut vor zu viel Sonne mit einem Breitband-Sonnenschutzmittel, um Schäden und vorzeitige Alterung zu vermeiden. Nicht an der Haut herumdrücken: Vermeide es, Pickel oder Mitesser auszudrücken, da dies zu Entzündungen, Infektionen und Narben führen kann. Finger aus dem Gesicht: Finger aus dem Gesicht: Da sich auf den Handflächen zahlreiche Bakterien ansammeln, ist es essenziell, die Hände regelmäßig zu waschen. Zudem sollten Sie separate Handtücher für Ihr Gesicht und Ihre Hände benutzen, um die Übertragung von Bakterien zu minimieren. Medizinische Behandlungen: Bei schwerer oder anhaltender unreiner Haut solltest du einen Dermatologen aufsuchen. Es gibt verschiedene medizinische Behandlungen und Medikamente, wie topische Retinoide, Antibiotika oder hormonelle Therapien, die effektiv sein können. Die Kombination aus richtiger Hautpflege und einem gesunden Lebensstil kann einen großen Unterschied machen. In schweren Fällen oder bei Zweifeln ist es jedoch immer ratsam, professionelle Hilfe in Anspruch zu nehmen. Unreine Haut - die richtige Pflege kann helfen Trotz der perfekten Bilder, die Fotofilter und Social-Media-Plattformen uns glauben machen wollen, ist es eine Realität, dass nur wenige von uns das Glück perfekt reiner Haut genießen. Pickel, Mitesser oder sogar Akne sind für die meisten Menschen keine Seltenheit. Doch keine Sorge, nicht bei jedem Pickel ist ein Arztbesuch notwendig.  Oftmals reicht es aus, Deine Ernährungs- und Lebensgewohnheiten zu überdenken oder die betroffene Haut mit den passenden Produkten aus Drogerie oder Apotheke eigenständig zu behandeln.  Die Auswahl der geeigneten Produkte richtet sich dabei nach Deinem individuellen Hauttyp: Für normale Haut: Diese Haut ist der Idealzustand, weder zu fettig noch zu trocken und somit recht pflegeleicht. Hautunreinheiten treten seltener auf, können jedoch durch Hormonschwankungen, ungeeignete Pflegeprodukte oder durch klimatisierte bzw. beheizte Räume begünstigt werden. Eine sanfte Reinigungsmilch gefolgt von einem Gesichtswasser kann in solchen Fällen Abhilfe schaffen. Für fettige Haut: Kennzeichnend für fettige Haut sind erweiterte Poren und ein glänzendes Erscheinungsbild, zudem neigt sie zu Unreinheiten und Akne. Diese Hautbeschaffenheit kann genetisch bedingt sein oder durch Hormonveränderungen bzw. Medikation entstehen. Aufgrund ihrer Robustheit verträgt fettige Haut in der Regel Waschgele, alkoholhaltige Gesichtswasser und austrocknende Pflegeprodukte gut. Für trockene Haut: Trockene Haut zeichnet sich durch eine verringerte Schutzbarriere aus und bedarf daher einer besonders sanften Pflege. Hier stehen weniger Unreinheiten im Vordergrund als vielmehr Irritationen, feine Linien und Entzündungen. Sanfte Reinigungsprodukte und reichhaltige Pflegeprodukte helfen, das Spannungsgefühl zu lindern und die Haut zu beruhigen. Für Mischhaut: Charakteristisch für Mischhaut ist eine fettige T-Zone (Stirn, Nase, Kinn), während die restliche Haut tendenziell trocken ist. Dies erfordert eine ausgeklügelte Pflegeroutine, die beiden Hauttypen gerecht wird. Indem Du Produkte wählst, die zu Deinem Hauttyp passen, kannst Du effektiv zur Verbesserung deines Hautbildes beitragen und Hautunreinheiten gezielt entgegenwirken. Verpasse nicht Deine Chance auf Gesundheit & Exklusivangebote! Erhalte Top-Tipps rund um Deine Darmgesundheit, sei bei Aktionen ganz vorne dabei und sichere Dir 10% Rabatt auf die erste Bestellung. Wir freuen uns auf Dich! Was gibt es für Hautunreinheiten? Hautunreinheiten können in verschiedenen Formen auftreten, abhängig von den zugrunde liegenden Ursachen und der individuellen Hautbeschaffenheit. Hier sind einige der häufigsten Arten von Hautunreinheiten: Mitesser (offene Komedonen): Kleine, dunkle Punkte auf der Haut, die entstehen, wenn Poren mit Talg und abgestorbenen Hautzellen verstopft sind. Die dunkle Farbe resultiert nicht aus Schmutz, sondern aus der Oxidation des Talgs an der Luft. Whiteheads (geschlossene Komedonen): Ähnlich wie Mitesser, aber die Pore ist vollständig verstopft, was zu einem kleinen, weißen oder hautfarbenen Knötchen führt. Pickel (Papeln): Kleine, rote und entzündete Erhebungen auf der Haut, die oft schmerzhaft sind. Sie entstehen, wenn die Wand der verstopften Pore bricht und eine Entzündung verursacht. Pusteln: Ähnlich wie Pickel, aber mit einem weißen oder gelben Eiter gefüllt, der durch bakterielle Aktivität entsteht. Zysten: Tiefe, schmerzhafte, mit Eiter gefüllte Knötchen unter der Haut, die aus schwereren Entzündungen resultieren. Zysten können Narben hinterlassen. Knoten: Große, feste, schmerzhafte Erhebungen unter der Haut, die durch eine tiefe Entzündung oder Infektion in den Haarfollikeln oder Talgdrüsen entstehen. Hormonelle Unreinheiten: Oft im Zusammenhang mit dem Menstruationszyklus, Schwangerschaft oder hormonellen Störungen. Diese Art von Unreinheiten tritt typischerweise im Kinn- und Kieferbereich auf. Akne: Eine Hauterkrankung, die durch eine Kombination von Faktoren, einschließlich übermäßiger Talgproduktion, Verstopfung der Haarfollikel, Bakterienwachstum und Entzündungen charakterisiert ist. Akne kann in leichten bis schweren Formen auftreten und verschiedene Arten von Hautunreinheiten umfassen. Texturunregelmäßigkeiten: Dazu gehören raue Bereiche, Schuppenbildung oder Unebenheiten, die durch eine Vielzahl von Faktoren, einschließlich trockener Haut oder Keratose Pilaris, verursacht werden können. Hyperpigmentierung und Aknenarben: Dunkle Flecken oder Narben, die nach dem Abklingen von Akne oder anderen Hautunreinheiten zurückbleiben. Die Behandlung und Pflege der Haut variiert je nach Art und Schwere der Hautunreinheiten. In vielen Fällen kann eine Kombination aus guter Hautpflege, gesunder Ernährung und medizinischen Behandlungen zu einer deutlichen Verbesserung des Hautbildes führen. Für eine klare und gesunde Haut spielt die Ernährung eine entscheidende Rolle. Indem man bestimmte Nahrungsmittel meidet und andere bevorzugt, kann man die Entstehung von Hautunreinheiten wirksam beeinflussen. Hier sind grundlegende Richtlinien für eine hautfreundliche Ernährung: Zu vermeiden: Zuckerreiche Lebensmittel: Der Verzehr von Süßigkeiten, Limonaden und anderen zuckerhaltigen Produkten sollte eingeschränkt werden, da sie das Risiko von Hautunreinheiten erhöhen können. Fettreiche Speisen: Lebensmittel wie Pizza, Fast Food und frittierte Gerichte können die Hautqualität negativ beeinflussen. Ein maßvoller Umgang wird empfohlen. Alkohol und Nikotin: Beide können die Hautgesundheit beeinträchtigen und sollten daher reduziert oder ganz vermieden werden. Zu bevorzugen: Probiotische Lebensmittel: Sie unterstützen ein gesundes Darmmikrobiom, was sich positiv auf die Haut auswirkt, noch effektiver können hochwertige Probiotika sein. Wasserreiches Obst und Gemüse: Lebensmittel wie Wassermelone, Gurken und Beeren versorgen die Haut mit Feuchtigkeit und wichtigen Nährstoffen. Omega-3-Fettsäuren: Fischsorten wie Lachs und Makrele sowie Leinsamen und Walnüsse wirken entzündungshemmend und können so Hautunreinheiten vorbeugen. Vollkornprodukte und Nüsse: Diese stabilisieren den Blutzuckerspiegel und liefern essentielle Mineralien und Vitamine, die die Hautgesundheit unterstützen. Antioxidantien-reiche Lebensmittel: Grüner Tee, dunkle Schokolade und Tomaten schützen die Haut vor freien Radikalen. Vitamin-C-reiche Lebensmittel: Sie fördern die Kollagenproduktion und unterstützen eine straffe Haut. Zinkhaltige Lebensmittel: Kürbiskerne und Linsen unterstützen die Wundheilung und bekämpfen Entzündungen. Vitamin-A-reiche Lebensmittel: Beta-Carotin, das in Süßkartoffeln und Karotten enthalten ist, fördert die Hauterneuerung. Ausreichende Flüssigkeitszufuhr: Wasser und ungesüßte Tees halten die Haut hydratisiert. Eine ausgewogene Ernährung, die diese Empfehlungen berücksichtigt, kann die Hautgesundheit signifikant verbessern und das Auftreten von Unreinheiten reduzieren. Achte dabei besoners auf die Darmgesundheit, denn hier ist sich die wissenschaft einig, für eine gesunde Haut benötigt es einen gesunden Darm! Was hilft bei Hautunreinheiten? Um Hautunreinheiten effektiv loszuwerden und ein klareres Hautbild zu erzielen, ist eine umfassende Pflege und gesunder Lebensstil unerlässlich. Beginnen solltest Du mit einer gründlichen, aber sanften Reinigung deines Gesichts sowohl morgens als auch abends, um überschüssigen Talg, Schmutz und abgestorbene Hautzellen zu entfernen. Ergänze Deine Routine durch die Verwendung von Hautpflegeprodukten, die speziell auf deinen Hauttyp abgestimmt sind, und achte darauf, dass Inhaltsstoffe wie Salicylsäure, Benzoylperoxid oder Teebaumöl enthalten sind, die bei der Bekämpfung von Akne hilfreich sein können. Ein sanftes Peeling ein- bis zweimal pro Woche kann dabei helfen, verstopfte Poren zu reinigen und die Hauterneuerung zu fördern. Vergiss nicht, Deine Haut täglich mit einer leichten, nicht-komedogenen Feuchtigkeitscreme zu hydratisieren, um sie geschmeidig zu halten, ohne die Poren zu verstopfen. Eine gesunde Ernährung, reich an Vitaminen und Mineralien, sowie genügend Wasser tragen zusätzlich zu einer gesunden Haut bei. Außerdem sollt die Ernährung Deine Darmflora optimal unterstützen, denn viele Hauterkrankungen haben ihre Ursache im Darm. Schädliche Gewohnheiten wie der Konsum von Alkohol und Nikotin sollten reduziert oder besser ganz vermieden werden, da sie die Hautqualität beeinträchtigen können. Auch Stress ist ein bekannter Auslöser für Hautunreinheiten, weswegen Stressmanagement-Techniken wie Meditation, Yoga oder regelmäßige körperliche Aktivität empfehlenswert sind. Darüber hinaus ist ein angemessener Sonnenschutz wichtig, um die Haut vor schädlichen UV-Strahlen zu schützen und Schäden sowie vorzeitige Alterung zu vermeiden. Ein weiterer wichtiger Punkt ist, nicht an Unreinheiten herumzudrücken, da dies zu Entzündungen, Infektionen und Narben führen kann. Bei schweren Hautproblemen kann der Besuch bei einem Dermatologen und die Inanspruchnahme professioneller Behandlungen wie chemisches Peeling, Mikrodermabrasion oder Lasertherapie sinnvoll sein. Doch unabhängig von der gewählten Methode ist Geduld gefragt; Verbesserungen zeigen sich oft erst nach einiger Zeit konsequenter Pflege. Zusammenfassend lässt sich sagen, dass eine Kombination aus sorgfältiger Hautpflege, gesunder Ernährung, bewusstem Umgang mit schädlichen Einflüssen und professioneller Beratung der Schlüssel zu einer reinen Haut ist. Indem Du diese Praktiken in Deinen Alltag integrierst, kannst Du effektiv zur Reduzierung von Hautunreinheiten beitragen und das Erscheinungsbild Deiner Haut langfristig verbessern. Hautunreinheiten im Gesicht Das Gesicht ist eine der am stärksten von Hautunreinheiten betroffenen Bereiche. Verschiedene Arten von Hautunreinheiten können im Gesicht auftreten und die Hautgesundheit sowie das äußere Erscheinungsbild beeinträchtigen. Eine häufige Form von Hautunreinheiten im Gesicht sind Mitesser, auch bekannt als Whiteheads und Blackheads. Mitesser entstehen durch die Verstopfung der Haarfollikel aufgrund von überschüssigem Talg und abgestorbenen Hautzellen. Whiteheads sind geschlossene Mitesser, während Blackheads offene Mitesser sind. Weitere Arten von Hautunreinheiten im Gesicht umfassen Pusteln, Papeln, Zysten, Knötchen und Milien. Jede dieser Formen hat ihre eigenen charakteristischen Merkmale und erfordert spezifische Ansätze zur Pflege und Behandlung. Die Ursachen von Hautunreinheiten im Gesicht können vielfältig sein. Hormonelle Veränderungen, falsche Hautpflege und äußere Einflüsse wie Umweltverschmutzung können zu Hautunreinheiten führen. Es ist wichtig zu beachten, dass die Behandlung von Hautunreinheiten Zeit und Geduld erfordern kann. Es ist auch ratsam, einen Dermatologen zu konsultieren, um eine individuelle Behandlungsstrategie zu entwickeln, die auf Ihre spezifischen Bedürfnisse zugeschnitten ist. Behandlung von Hautunreinheiten Die Behandlung von Hautunreinheiten erfordert eine individuelle Herangehensweise, da jeder Hautzustand unterschiedliche Eigenschaften aufweist. Hier sind einige effektive Methoden zur Behandlung von Hautunreinheiten: Reinigung: Eine gründliche Gesichtsreinigung ist der erste Schritt bei der Behandlung von Hautunreinheiten. Verwende milde Reinigungsprodukte, die die Haut nicht austrocknen, und reinige Dein Gesicht zweimal täglich. Exfoliation: Das regelmäßige Entfernen abgestorbener Hautzellen durch sanftes Peeling kann dabei helfen, verstopfte Poren zu öffnen und Hautunreinheiten zu reduzieren. Verwende jedoch keine aggressiven Peelings, da diese die Haut reizen können. Topische Behandlungen: Es gibt verschiedene topische Behandlungen, die bei der Bekämpfung von Hautunreinheiten helfen können. Dazu gehören Salben, Cremes und Gele, die Inhaltsstoffe wie Benzoylperoxid, Salicylsäure oder Retinol enthalten. Diese Behandlungen können dabei helfen, Entzündungen zu reduzieren und die Haut zu klären. Sorgfältige Auswahl von Produkten: Bei der Behandlung von Hautunreinheiten ist es wichtig, auf die Auswahl der richtigen Produkte zu achten. Verwende fettfreie oder nicht komedogene Produkte, die die Poren nicht verstopfen. Achte auch auf die Inhaltsstoffe und vermeide Produkte, die Ihre Haut reizen könnten. Dermatologische Behandlungen: Bei schwereren Fällen von Hautunreinheiten kann ein Dermatologe verschiedene Behandlungsoptionen anbieten, wie z.B. chemische Peelings, Lasertherapie oder Injektionen. Diese Behandlungen sollten jedoch nur unter ärztlicher Aufsicht durchgeführt werden. Darmflora ins Gleichgewicht bekommen: Da viele Hauterkrankungen und auch Hautunreinheiten ihre Ursache im Darm haben können, achte durch Ernährung und entsprechende Nahrungsergänzungen darauf, Deine Darmflora zu unterstützen, Hochwertige Nahrungsergänzun gen können eine tolle Unterstützung sein. Produktempfehlungen zur Hautreinigung Die richtige Hautreinigung ist entscheidend, um Hautunreinheiten zu bekämpfen und die Hautgesundheit zu verbessern. Hier sind einige Produktempfehlungen, die Ihnen dabei helfen können: Gesichtsreinigungsgel: Ein sanftes Gesichtsreinigungsgel ist ideal, um Schmutz, überschüssiges Öl und Unreinheiten von der Haut zu entfernen. Wähle ein Produkt, das auf Deine Hautbedürfnisse abgestimmt ist, wie z.B. für fettige Haut oder empfindliche Haut. Gesichtsbürste: Eine elektrische Gesichtsbürste kann bei der gründlichen Reinigung der Haut helfen, indem sie abgestorbene Hautzellen und Verunreinigungen effektiv entfernt. Achte jedoch darauf, die Bürste nicht zu hart zu verwenden, um Hautirritationen zu vermeiden. Toner: Ein hautklärender Toner kann dabei helfen, die Haut zu beruhigen, die Poren zu verkleinern und den pH-Wert der Haut auszugleichen. Wähle ein Produkt ohne Alkohol, um die Haut nicht auszutrocknen. Gesichtsmasken: Peel-Off-Masken oder Tonmasken können dabei helfen, überschüssiges Öl zu entfernen und die Poren zu reinigen. Achte darauf, eine Maske zu wählen, die für Deinen Hauttyp geeignet ist. Feuchtigkeitscreme: Eine leichte Feuchtigkeitscreme ist wichtig, um die Haut mit ausreichend Feuchtigkeit zu versorgen und sie geschmeidig zu halten. Wähle eine ölfreie Formel, um die Poren nicht zu verstopfen. Denke daran, dass jeder Hauttyp unterschiedliche Bedürfnisse hat. Teste verschiedene Produkte, um herauszufinden, welche am besten zu Deiner Haut passt. Hormonelle Verhütungsmittel und Hautunreinheiten Hormonelle Verhütungsmittel wie die Pille können einen Einfluss auf das Auftreten von Hautunreinheiten haben. Dies liegt daran, dass hormonelle Veränderungen, die durch diese Medikamente verursacht werden, die Talgproduktion beeinflussen können. Einige Frauen bemerken möglicherweise eine Verschlechterung ihrer Hautzustände, während andere möglicherweise eine Verbesserung feststellen. Es ist wichtig zu beachten, dass nicht jeder die gleiche Reaktion auf hormonelle Verhütungsmittel hat. Manche Frauen stellen fest, dass ihre Hautunreinheiten unter der Einnahme solcher Medikamente abnehmen, während andere eine Zunahme der Hautprobleme feststellen. Die Reaktion kann auch von der Art der verwendeten Pille abhängen. Wenn hormonelle Verhütungsmittel bei einer Frau Hautprobleme verursachen oder verschlimmern, kann es ratsam sein, mit einem Arzt über alternative Verhütungsmethoden zu sprechen. Es gibt verschiedene andere Optionen wie hormonfreie Verhütungsmittel oder nicht-hormonelle Intrauterinpessare (IUP), die möglicherweise weniger Auswirkungen auf die Haut haben. Es ist wichtig zu betonen, dass eine individuelle Beratung mit einem Arzt erforderlich ist, um die richtige Verhütungsmethode zu finden, die sowohl den individuellen Bedürfnissen als auch den Hautproblemen einer Frau gerecht wird. Die Wahl der Verhütungsmittel sollte nicht nur auf der Basis von Hautproblemen getroffen werden, sondern auch unter Berücksichtigung anderer Gesundheitsaspekte. Wann solltest Du zum Arzt mit Hautunreinheiten? Hautunreinheiten sind ein alltägliches Phänomen, doch nicht jeder Hautausschlag erfordert den Gang zum Dermatologen. Es gibt jedoch bestimmte Anzeichen, bei denen professionelle Hilfe ratsam ist. Solltest Du anhaltend unter unreiner Haut leiden, sich ausgedehnte Bereiche mit Mitessern und Pickeln über einen längeren Zeitraum nicht verbessern, oder treten gar großflächige Entzündungen, Knötchen oder Bläschen auf, ist es Zeit, medizinischen Rat einzuholen. Eigenständiges Ausdrücken kann die Situation verschlimmern, indem es zu weiteren Entzündungen und möglicherweise zu bleibenden Narben führt. Ein Facharzt kann eine gezielte Behandlung empfehlen, um die Haut langfristig zu verbessern und Schäden vorzubeugen. Der Artikel dient lediglich der Informationsvermittlung in Bezug auf Probiotika und soll nicht als medizinische Empfehlung oder als Ersatz für professionelle medizinische Beratung oder Behandlung interpretiert werden.

    Probiotische Hautpflege

    Probiotische Hautpflege

    Was sind Probiotika eigentlich? Probiotika sind spezielle Zubereitungen, die lebendige Mikroorganismen enthalten, was aus dem Griechischen übersetzt „für das Leben“ bedeutet. Diese Mikroorganismen spielen eine wichtige Rolle für eine gesunde Darmflora. Natürlicherweise finden sich Probiotika in verschiedenen Nahrungsquellen wie Joghurt, ausgewählten Käsesorten und Sauerkraut. Probiotika können durch Nahrungsergänzungen oft effektiver aufgenommen werden als durch Lebensmittel, da sie in konzentrierter Form und genau definierten Mengen bereitgestellt werden, die für eine gezielte Unterstützung der Darmflora optimiert sind. Probiotika finden zunehmend auch in der Hautpflege Verwendung, um die Hautgesundheit zu fördern, allerdings dürfen da bislang nur Lysate und Stoffwechselprodukte von Probiotika verwendet werden. Wichtig zu wissen: Der Unterschied zwischen Probiotika und Präbiotika: Während Probiotika lebendige Mikroorganismen darstellen, handelt es sich bei Präbiotika um nicht verdauliche Ballaststoffe, die als Nahrung für Darmbakterien dienen und deren Wachstum anregen. Die Bedeutung des Hautmikrobioms Das Hautmikrobiom bezeichnet die Gesamtheit aller Mikroorganismen, wie Bakterien, Pilze und Viren, die auf unserer Haut leben. Jede Person hat eine einzigartige mikrobielle Gemeinschaft, die entscheidend für die Gesundheit der Haut ist. Diese Mikroorganismen spielen eine wichtige Rolle bei der Regulierung des pH-Werts, der Stärkung der Hautbarriere und dem Schutz vor schädlichen Eindringlingen. Ein gesundes und ausgewogenes Hautmikrobiom ist daher für die Aufrechterhaltung einer gesunden Haut unerlässlich. Faktoren wie schlechte Ernährung, aggressive Reinigungsmittel und unzureichende Hautpflege können das Gleichgewicht des Hautmikrobioms stören und zu Problemen wie Trockenheit, Reizungen und Entzündungen führen. Darm-Haut-Achse Die Darm-Haut-Achse beschreibt die enge Verbindung zwischen unserem Darm und der Haut. Störungen im Darm können sich negativ auf die Haut auswirken und zu Hauterkrankungen wie Ekzemen, Rosacea oder Schuppenflechte führen. Die gute Nachricht ist, dass die Verbesserung der Darmgesundheit durch probiotische Nahrungsergänzungen auch die Hautgesundheit positiv beeinflussen kann. Probiotika unterstützen das Gleichgewicht im Darm, reduzieren Entzündungen und führen zu einer klareren, gesünderen Haut. Indem wir auf die Gesundheit unseres Darms achten, fördern wir also auch das Wohlbefinden unserer Haut, was die Widerstandsfähigkeit gegen äußere Einflüsse steigert und das Risiko von Hautproblemen verringert.  Wie gerät unsere Hautflora aus dem Gleichgewicht? Die Zusammensetzung der Hautflora, einzigartig und komplex, ist sensibel gegenüber Veränderungen. Verschiedene Faktoren, sowohl von innen als auch von außen, können das Gleichgewicht des Hautmikrobioms stören: UV-Strahlen der Sonne Luftverschmutzung durch Feinstaub Nikotinkonsum Emotionaler und physischer Stress Schlafdefizit Hormonelle Veränderungen einseitige, ungesunde Ernährung Stress Die Einnahme spezifischer Medikamente Auch ungeeignete Hautpflegeprodukte können die Balance der Hautflora beeinträchtigen. Eine gestörte Hautflora kann zu Rötungen, Trockenheit, Sensibilität, vorzeitiger Hautalterung, sowie einer Neigung zu Akne und anderen entzündlichen Hautproblemen führen. Wie beeinflussen Probiotika die Haut? Probiotika spielen eine entscheidende Rolle beim Wiederaufbau und der Erhaltung des natürlichen Gleichgewichts der Hautflora. Forschungen zeigen, dass diese Mikroorganismen sowohl direkte als auch indirekte positive Effekte auf die Haut ausüben können. Sie sind effektiv darin, eine Vielzahl von Hautproblemen zu lindern und deren typische Symptome zu reduzieren, einschließlich derer, die durch UV-Strahlung verursacht oder bei oberflächlichen Hautverletzungen auftreten. Probiotische Hautpflegeprodukte sind für alle Hauttypen geeignet und tragen zu einem gesunden, makellosen Hautbild bei. Milchsäurebakterien und die Haut Milchsäurebakterien, auch als Lactobacillales bekannt, sind besonders wertvoll für trockene und sensible Hauttypen. So zeigte beispielsweise eine Studie, dass die Anwendung von Lactobacillus brevis auf der Haut über vier Wochen hinweg Trockenheitssymptome effektiv mildern und entzündungshemmende Effekte aufweisen kann. Zudem wurde beobachtet, dass dieses Bakterium die Haut mit nützlichen Mikroorganismen anreichert, was die Hautgesundheit zusätzlich unterstützt. Hautschutzbarriere stärken Die Stärkung der Hautschutzbarriere ist essentiell für ein gesundes und strahlendes Hautbild. Die äußerste Schicht unserer Haut, das Stratum corneum, arbeitet zusammen mit dem Hydrolipidfilm und dem Haut-Mikrobiom, um uns vor externen Schadstoffen zu schützen und die Hautfeuchtigkeit zu bewahren. Faktoren sowohl von innen als auch von außen können diese wichtige Barriere schwächen. Hautschutzbarriere stärken Das Haut-Mikrobiom bildet zusammen mit dem Hydrolipidfilm eine essenzielle Schutzschicht auf der obersten Hautschicht, dem Stratum corneum. Diese natürliche Barriere, verstärkt durch körpereigene Fette, schützt effektiv vor Umwelteinflüssen und hilft, die Hautfeuchtigkeit zu bewahren, was für ein glattes und gesundes Hautbild unerlässlich ist. Allerdings können sowohl interne als auch externe Faktoren diese wichtige Schutzfunktion beeinträchtigen. Um die Hautbarriere zu stärken, sind Pflegeprodukte von innen und außen mit wirksamen Inhaltsstoffen gefragt. Hautidentische Lipide wie Ceramide, Feuchtigkeitsbooster wie Hyaluronsäure oder Urea und Antioxidantien sind dabei entscheidend, um die Hautbarriere zu unterstützen und gleichzeitig der Hautalterung entgegenzuwirken. Eine gesunde und nährstoffreiche Ernährung spielt eine zentrale Rolle für ein vitales Hautbild und einen leuchtenden Teint. Es ist entscheidend, dass Sie Ihrer Haut durch den Verzehr von frischem Obst und Gemüse ausreichend Vitamine zuführen. Ebenso tragen ungesättigte Fettsäuren, die in Nüssen, hochwertigen Pflanzenölen und Fisch enthalten sind, zu einer gesunden Haut bei. Zur Unterstützung des Haut-Mikrobioms können folgende probiotische Nahrungsmittel beitragen: Rohes Sauerkraut und Sauerkrautsaft, die nicht pasteurisiert sind Naturjoghurt, der frei von Zuckerzusätzen ist Kefir Vegane Alternativen wie Joghurt auf Basis von Soja oder Kokos Durch Milchsäuregärung konservierte saure Gurken Apfelessig Diese Lebensmittel fördern nicht nur eine gesunde Darmflora, sondern unterstützen auch indirekt das Gleichgewicht und die Schutzfunktion der Haut. Wie funktioniert probiotische Hautpflege? Die Einnahme von Probiotika, also guter Bakterien, kann unsere Hautgesundheit auf verschiedene Weise unterstützen: Beruhigung von Hautentzündungen: Bestimmte Probiotika, wie Lactobacillus casei, können Entzündungen der Haut lindern. Sie tun dies, indem sie bestimmte Immunzellen im Körper regulieren, ohne das Immunsystem zu schwächen. Das bedeutet, sie können helfen, allergische Reaktionen auf der Haut zu kontrollieren. Schutz vor Sonnenschäden: Ein anderes Probiotikum, Bifidobacterium breve, kann die Haut vor Schäden durch Sonneneinstrahlung, wie Rötungen und oxidative Schäden, schützen. Es verhindert, dass schädliche Sauerstoffmoleküle in der Haut gebildet werden. Verbesserung der Haut durch Darmgesundheit: Probiotika können auch die Zusammensetzung der Bakterien in unserem Darm verändern. Diese Veränderungen können sich positiv auf die Haut auswirken, indem sie beispielsweise die Hautbarriere stärken und Entzündungen reduzieren. Stärkung der Hautbarriere und Immunmodulation: Probiotika helfen, die Barrierefunktion der Haut zu stärken und das Immunsystem so zu modulieren, dass die Haut gesünder bleibt und weniger anfällig für Erkrankungen wie Ekzeme und Akne ist. Kurz gesagt, Probiotika sind nicht nur gut für unseren Darm, sondern auch für unsere Haut. Sie unterstützen die Hautgesundheit von innen heraus, indem sie Entzündungen reduzieren, Schutz vor Umweltschäden bieten und die Hautbarriere stärken können. Topisch aufgetragene probiotische Hautpflege Die probiotische Hautpflege basiert auf der Nutzung probiotischer Mikroorganismen, wie lebenden Bakterien oder Hefen, die das Gleichgewicht des Hautmikrobioms fördern und die natürliche Schutzfunktion der Haut stärken. Diese Mikroorganismen arbeiten mit den bereits vorhandenen Hautmikroben zusammen, um die Hautflora auszugleichen, die Hautregeneration zu unterstützen, wichtige Hautproteine und Lipide zu produzieren und für eine verbesserte Hautstruktur sowie einen strahlenden Teint zu sorgen. Darüber hinaus verbessern sie die Feuchtigkeitsversorgung der Haut, erhöhen deren Elastizität und verringern Trockenheit, was zu einer gesunden und geschmeidigen Haut führt. Probiotische Hautpflegeprodukte, darunter Cremes, Seren und Masken, gewinnen weltweit an Popularität. Sie können eine natürliche Lösung bieten, um die Hautgesundheit zu unterstützen. Allerdings enthalten viele dieser Produkte aufgrund von Herausforderungen bezüglich Stabilität, Haltbarkeit und regulatorischen Anforderungen keine lebenden Mikroorganismen, sondern setzen auf lysierte Produkte oder Metaboliten (Postbiotika). Kosmetische Produkte mit lebenden Probiotika unterliegen strengen regulatorischen Prozessen und werden oft als Arzneimittel klassifiziert. Die Vorteile von Probiotika für die Haut Probiotika bieten viele Vorteile für die Hautgesundheit und -pflege. Hier sind einige der wichtigsten Vorteile: Unterstützung der Hautbarriere: Probiotische Hautpflegeprodukte können dazu beitragen, die natürliche Schutzbarriere der Haut zu stärken. Sie können helfen, Feuchtigkeit einzuschließen und schädliche Umwelteinflüsse abzuwehren. Reduzierung von Entzündungen: Probiotika haben entzündungshemmende Eigenschaften. Sie können dazu beitragen, Rötungen, Reizungen und Entzündungen zu reduzieren, was insbesondere bei Hautproblemen wie Akne oder Rosacea von Vorteil ist. Verbesserung des Teints: Probiotische Hautpflege kann das Erscheinungsbild des Teints verbessern. Indem sie das Gleichgewicht der Haut wiederherstellen, können sie für einen ebenmäßigeren und strahlenderen Teint sorgen. Beruhigung der Haut: Probiotika können beruhigende Eigenschaften haben und helfen, gereizte oder gestresste Haut zu beruhigen. Sie können das Hautgefühl verbessern und dazu beitragen, Unwohlsein oder Juckreiz zu lindern. Vorbeugung von vorzeitigem Altern: Durch den Schutz der Hautbarriere und die Reduzierung von Entzündungen können probiotische Produkte helfen, vorzeitige Hautalterung zu verhindern. Sie können feine Linien, Falten und andere Anzeichen von Alterung minimieren. Es ist wichtig anzumerken, dass die genauen Vorteile von probiotischer Hautpflege je nach Produkt und individuellem Hautzustand variieren können.  Die Wirkung von Probiotika auf spezifische Hautprobleme Regelmäßige und längerfristige Einnahme von probiotische Hautpflegeprodukte haben sich als wirksam bei der Verbesserung verschiedener Hautprobleme erwiesen.  Hier sind einige spezifische Hautprobleme, bei denen die Anwendung von Probiotika Vorteile bieten kann: Akne: Probiotika können helfen, den pH-Wert der Haut auszugleichen und das Wachstum von Bakterien zu kontrollieren, die Akne verursachen können. Sie können auch Entzündungen reduzieren und die Heilung von Akne-Läsionen unterstützen. Ekzeme: Bei Ekzemen ist die Hautbarriere geschädigt, was zu Trockenheit, Rötungen und Juckreiz führen kann. Probiotika können helfen, die Hautbarriere zu stärken und Entzündungen zu reduzieren, was zu einer Linderung der Symptome beitragen kann. Rosacea: Probiotika können beruhigende Eigenschaften haben und Entzündungen in der Haut reduzieren, was bei einer Rosacea-Haut von Vorteil sein kann. Sie können auch die Hautschutzbarriere stärken und Hautrötungen verringern. Empfindliche Haut: Probiotika können helfen, die Haut zu beruhigen und die Reaktivität gegenüber externen Reizstoffen zu verringern. Sie können die Hautbarriere stärken und somit empfindliche Haut besser schützen. vorzeitige Hautalterung: Probiotika können vor vorzeitiger Hautalterung schützen, indem sie das Hautmikrobiom ausgleichen, Entzündungen verringern und die Hautbarriere stärken. Sie können helfen, die Haut gegen Umweltschäden zu schützen, die Feuchtigkeit zu verbessern und die Kollagenproduktion zu unterstützen, was feine Linien und Falten reduzieren kann und zu einem jugendlicheren Aussehen führt. Es ist wichtig zu beachten, dass die Wirkung von Probiotika auf spezifische Hautprobleme bei jedem Individuum unterschiedlich sein kann. Nicht alle Hautprobleme reagieren gleich auf Probiotika. Außerdem kann es einige Zeit dauern, bis Ergebnisse sichtbar werden. Wenn Du spezifische Hautprobleme hast, empfehlen wir Dir, einen Hautspezialisten oder Dermatologen zu konsultieren, um die richtige Behandlung für Deine Bedürfnisse zu erhalten. Wie man probiotische Hautpflege in die tägliche Routine integriert Um probiotische Hautpflege effektiv in Deine tägliche Routine zu integrieren und die Haut von innen zu pflegen, ist die Einnahme von Probiotika ein wesentlicher Schritt. Diese können dazu beitragen, das Gleichgewicht des Hautmikrobioms zu fördern, Entzündungen zu reduzieren und die allgemeine Hautgesundheit zu verbessern. Hier sind einige Tipps, wie Du Probiotika am besten nutzen kannst: Beste Zeit für die Einnahme: Ideal ist es, Probiotika morgens auf nüchternen Magen zu konsumieren. Während der Nacht pausiert die Nahrungsaufnahme, was bedeutet, dass dein Verdauungstrakt leer ist und die Magen- und Gallensäureproduktion niedriger ist. Dies erleichtert den Probiotika die Passage durch den Magen-Darm-Trakt. Diese Empfehlung basiert darauf, dass ein leerer Magen die Überlebenschancen der Probiotika durch den sauren Magen erhöht. Qualität der Probiotika: Wähle Probiotika von hoher Qualität, die gegen Magen- und Gallensäure resistent sind, um sicherzustellen, dass sie den Darm erreichen und dort ihre positiven Effekte entfalten. Marken wie within bieten Produkte mit solchen robusten Stämmen an, die flexibel zu verschiedenen Tageszeiten eingenommen werden können, ohne ihre Effektivität einzubüßen. Darüber hinaus schützen hier magenresistente Kapseln die wertvollen Bakterienkulturen auf ihrem Weg durch den Magen, maximieren deren Überlebenschancen und Wirksamkeit. Regelmäßigkeit: Für eine sichtbare Verbesserung der Hautgesundheit ist es wichtig, Probiotika regelmäßig einzunehmen. Die regelmäßige Zufuhr unterstützt nicht nur das Gleichgewicht des Mikrobioms, sondern fördert auch langfristig eine gesunde Haut. Längerfristige Anwendung: Die Vorteile von Probiotika auf die Haut zeigen sich oft erst nach einer gewissen Dauer der Einnahme. Gib deinem Körper also Zeit, sich anzupassen und die positiven Effekte zu entwickeln. Eine längerfristige Anwendung ist empfehlenswert, um dauerhafte Ergebnisse zu erzielen. Integration in die tägliche Routine: Mache die Einnahme von Probiotika zu einem festen Bestandteil Deiner Routine. Indem Du sie täglich zur gleichen Zeit nimmst, wird es einfacher, die Regelmäßigkeit beizubehalten. Durch die Berücksichtigung dieser Tipps kann die probiotische Hautpflege effektiv in die tägliche Routine integriert werden, um die Hautgesundheit von innen zu unterstützen und zu verbessern. Der Artikel dient lediglich der Informationsvermittlung in Bezug auf Probiotika und soll nicht als medizinische Empfehlung oder als Ersatz für professionelle medizinische Beratung oder Behandlung interpretiert werden.

    Was hilft wirklich gegen Falten? Hier erfährst Du es!

    Was hilft wirklich gegen Falten? Hier erfährst Du es!

    Was sind Falten? Falten sind natürliche Hautfurchen oder -grate, die vor allem im Alter sichtbar werden, ähnlich den Linien auf unseren Handflächen. Sie sind ein unvermeidliches Zeichen der Hautalterung und gehören zum natürlichen Alterungsprozess. Verschiedene Arten von Falten Es gibt verschiedene Arten von Falten, so erscheinen feine Linien und ausgeprägte Falten oft um die zarte Augenregion und als vertikale Linien zwischen den Augenbrauen. Diese Hautveränderungen treten vorrangig im Gesicht, am Hals und an den Armen auf, können jedoch auch andere Körperbereiche betreffen. 7 Arten von Falten Entdecken Sie die 7 gängigsten Faltenarten, die unser Gesicht prägen: Stirnfalten: Diese horizontalen Linien ziehen sich quer über den oberen Bereich der Stirn und treten besonders bei Gesichtsbewegungen wie dem Hochziehen der Augenbrauen hervor. Zornesfalten: Bekannt für ihre vertikale Platzierung zwischen den Augenbrauen, werden diese Falten durch häufiges Zusammenziehen der Stirn verstärkt. Bunny Lines: Die kleinen horizontalen Linien auf der Nase, auch bekannt als Nasenfalten, entstehen beim Lachen oder Lächeln und gehören zu den dynamischen Falten, die durch Gesichtsmimik verursacht werden. Krähenfüße: Die charakteristischen Linien, die von den äußeren Ecken der Augen ausstrahlen, ähneln in ihrer Form den Füßen einer Krähe. Diese Falten treten aufgrund der dünnen Haut um die Augen oft als erste im Gesicht auf. Lachfalten: Auch Nasolabialfalten genannt, zeichnen sich diese Linien von den Seiten der Nase bis zu den Mundwinkeln ab. Sie werden durch Lachen verstärkt und können durch Faktoren wie Rauchen oder unzureichenden Sonnenschutz im Laufe der Zeit tiefer werden. Lippenfalten: Kleine vertikale Linien, die sich auf und über der Oberlippe bilden und das Erscheinungsbild der Lippenkontur beeinflussen. Sie variieren in ihrer Erscheinung von Person zu Person. Marionettenfalten: Diese Falten, die von den Mundwinkeln senkrecht nach unten verlaufen, erinnern an die charakteristischen Linien von Marionetten. Sie entstehen, wenn die Haut an Elastizität verliert, was zu einem deutlich gezeichneten Gesichtsausdruck führt. Diese Übersicht hilft Ihnen, die verschiedenen Faltenarten zu verstehen und bewusst wahrzunehmen, wie vielfältig die Zeichen der Zeit unser Gesicht gestalten können. Die Hauptursache für Falten Hautalterung ist ein natürlicher Prozess, der durch eine Kombination aus internen (intrinsischen) und externen (extrinsischen) Faktoren beeinflusst wird. Hier sind die Hauptursachen für Hautalterung: Extrinsische Faktoren (hier kannst Du was tun) Ernährung und Hydration: Eine Ernährung mit niedrigem Antioxidantiengehalt und hohem Zucker- sowie gesättigtem Fettanteil kann entzündliche Prozesse im Körper verstärken und somit den Alterungsprozess der Haut beschleunigen. Zudem kann ein Mangel an probiotischen und präbiotischen Nährstoffen ebenfalls zur vorzeitigen Hautalterung beitragen. Darüber hinaus führt unzureichende Flüssigkeitszufuhr dazu, dass die Haut anfälliger für Faltenbildung ist, da ausreichende Feuchtigkeit entscheidend für die Bewahrung der Hautelastizität und -straffheit ist. Sonneneinstrahlung (Photoalterung): UV-Strahlung ist ein wichtiger Faktor für eine vorzeitige Hautalterung, indem sie DNA-Schäden verursacht und die Kollagenfasern abbaut. Dies führt zu Faltenbildung, ungleichmäßiger Pigmentierung und einer erhöhten Gefahr von Hautkrebs. Umweltverschmutzung: Schadstoffe und freie Radikale aus der Umwelt können oxidativen Stress in der Haut verursachen, der zu Entzündungen und Beschleunigung der Alterungsprozesse führt. Rauchen: Nikotin und andere Chemikalien im Zigarettenrauch beeinträchtigen die Blutzirkulation in der Haut und fördern die Bildung von Falten. Zudem erhöht Rauchen den oxidativen Stress in der Haut. Alkoholkonsum: Übermäßiger Alkoholkonsum kann zu Dehydration führen und die Hautalterung beschleunigen, außerdem handelt es sich bei Alkohol um ein Zellgift. Chronischer Stress: Langfristiger Stress kann sich negativ auf die Haut auswirken, indem er die Ausschüttung von Cortisol erhöht, was zu einer Verringerung der Hautelastizität und anderen negativen Effekten führen kann. Schlafmangel: Unzureichender Schlaf kann die Hautregeneration beeinträchtigen, zur Beschleunigung der Hautalterung beitragen und damit zur vermehrten Faltenbildung. Unbedingt within® Sleep Well testen. Intrinsische Faktoren (hier kannst Du weniger tun) Genetik: Die genetische Veranlagung spielt eine Rolle bei der Hautalterung. Sie bestimmt, wie schnell die natürlichen Alterungsprozesse beginnen. Hormonelle Veränderungen: Mit dem Alter verändern sich die Hormonspiegel, was Einfluss auf die Hautdichte, -elastizität und -feuchtigkeit hat. Zelluläre Alterung: Mit der Zeit verlangsamt sich die Zellteilung, und die Reparaturmechanismen der Haut werden weniger effektiv. Dies führt zu einer Abnahme der Kollagenproduktion und der Elastizität der Haut. Durch eine gesunde Lebensweise und angemessene Hautpflege kann sich die Hautalterung verlangsamen lassen.  Was hilft gegen Falten? Um Faltenbildung vorzubeugen, ist eine umfassende Hautpflegeroutine essentiell, die bereits bei der inneren Gesundheit beginnt. Eine wirksame Prävention gegen Falten setzt somit nicht nur bei äußerlicher Pflege wie Waschen und Cremen an, sondern auch bei der Förderung der inneren Gesundheit – unserer "inneren Medizin". Hier sind einige Tipps, die dabei helfen können unsere Haut von außen und innen zu unterstützen: Gesunde Ernährung: Eine vielfältige Ernährung, angereichert mit Probiotika und Präbiotika, trägt zur Förderung eines gesunden Darmmikrobioms bei, unterstützt die Körperentgiftung, mindert Entzündungen und versorgt die Haut mit antioxidativen Nährstoffen. Diese Elemente sind entscheidend, um die Hautzellen zu schützen und Anzeichen von vorzeitiger Hautalterung sowie Faltenbildung effektiv entgegenzuwirken. Falls es schwierig ist, diese Nährstoffe regelmäßig über die Ernährung zu erhalten, können Nahrungsergänzungsmittel wie die von within® eine wertvolle Unterstützung bieten. Ausreichend Wasser trinken: Eine ausreichende Flüssigkeitszufuhr ist wichtig, um die Haut hydratisiert zu halten. Mindestens 8 Gläser Wasser pro Tag trinken, um Deinen Körper und Deine Haut gut hydriert zu halten. Rauchen und übermäßigen Alkoholkonsum vermeiden: Alkohol trocknet die Haut aus und somit zu einer vorzeitigen Faltenbildung führen, außerdem kann es  Haut-Rötungen verursachen. Rauchen reduziert die Nährstoffversorgung der Haut, fördert Falten und beschleunigt die Hautalterung. Stress reduzieren: Stress erhöht Cortisolspiegel, fördert Entzündungen und oxidative Schäden, was Kollagenabbau beschleunigt und somit zu vorzeitiger Hautalterung und Faltenbildung führt. Entdecke Entspannungstechniken, die Dir dabei helfen können helfen, Stress abzubauen, wie z.B. Meditation, Yoga oder Atemübungen. Gesicht reinigen: Die Reinigung der Haut ist wichtig, um Schadstoffe zu entfernen. Damit kannst Du die Ansammlung von Schmutz verhindern, der oxidativen Stress fördert, Kollagen abbaut und somit kannst Du damit eine vorzeitige Hautalterung und Faltenbildung reduzieren. Finde die richtige Hautpflege: Die richtige Hautpflege versorgt die Haut mit Feuchtigkeit, Nährstoffen, fördert die Zellerneuerung, schützt vor Schadstoffen und UV-Strahlung, was den Kollagenabbau verlangsamt und vorzeitiger Hautalterung sowie Faltenbildung vorbeugt - dazu gleich mehr. Wählen eine Pflege, die zu Deinem Hauttyp passt. Sonnenschutz: Sonnenschutz wie Kleidung oder Sonnencreme mit hohem LSF reduziert schädliche UV-Strahlen, die Kollagenabbau, Hautschäden und somit vorzeitige Alterung und Faltenbildung verursachen. Mit diesen Tipps kannst Du die Bildung von Falten hinauszögern und Deine Haut gesund und jugendlich aussehen zu lassen. Anti-Aging Lebensmittel und ihre Wirkung auf die Haut Die richtige Ernährung spielt eine wichtige Rolle bei der Bekämpfung von Falten und dem Erhalt einer jugendlichen Haut. Bestimmte Lebensmittel enthalten Nährstoffe, die das Hautbild verbessern und den Alterungsprozess verlangsamen können. Hier sind einige Lebensmittel, die sich positiv auf die Haut auswirken können:   Probiotische Lebensmittel: Fermentierte Lebensmittel, darunter rohes Sauerkraut, Kefir und Joghurt, sind natürliche Quellen für probiotische Kulturen. Für eine gezielte Unterstützung der Hautgesundheit bieten hochwertige Nahrungsergänzungsmittel, wie die von within®, eine höhere Dosierung spezifischer, Haut-verjüngender Bakterienstämme. Beeren: Beeren wie Blaubeeren, Himbeeren und Erdbeeren sind reich an Antioxidantien, die die Haut vor schädlichen freien Radikalen schützen und damit Faltenbildung entgegenwirken. Avocado: Avocados enthalten gesunde Fette und Vitamin E, die die Haut mit Feuchtigkeit versorgen und das Auftreten von feinen Linien und Falten reduzieren können. Grünes Blattgemüse: Gemüsesorten wie Spinat, Grünkohl und Brokkoli sind reich an Vitaminen, Mineralstoffen und Antioxidantien, die die Hautgesundheit fördern und den Alterungsprozess verlangsamen können. Nüsse: Nüsse wie Mandeln und Walnüsse enthalten Omega-3-Fettsäuren und Vitamin E, die die Hautelastizität verbessern und das Auftreten von Falten verringern können. Fisch und Algen: Fischsorten wie Lachs, Makrele und Thunfisch enthalten Omega-3-Fettsäuren, die die Haut mit Feuchtigkeit versorgen und Entzündungen reduzieren können. Omega-3-Fettsäuren können aber auch über Algen aufgenommen werden. Zusätzlich zu einer gesunden Ernährung ist es wichtig, ausreichend Wasser zu trinken, um die Haut mit Feuchtigkeit zu versorgen und sie strahlend und jugendlich zu halten. Die Wirkung von Hyaluronsäure gegen Falten Hyaluronsäure ist eine Substanz, die natürlicherweise in der Haut vorkommt und für ihre feuchtigkeitsspendenden Eigenschaften bekannt ist. Bei der Anwendung gegen Falten kann Hyaluronsäure die Hautstruktur verbessern und feine Linien sowie tiefe Falten auffüllen. Die Wirkung von Hyaluronsäure beruht auf ihrer Fähigkeit, große Mengen Feuchtigkeit zu binden. Durch die Aufnahme von Hyaluronsäure wird die Haut praller und voller, was zu einer Reduzierung von Falten führen kann. Zudem wirkt Hyaluronsäure als natürlicher Feuchtigkeitsspender, der die Haut mit notwendigen Nährstoffen versorgt. Die Einnahme von Hyaluronsäure als Nahrungsergänzungsmittel kann helfen, die Haut von innen mit Feuchtigkeit zu versorgen, ihre Elastizität zu verbessern und Falten zu reduzieren. within® Skin Glow verwendet hochwertige kurzkettige Hyaluronsäure. Diese Art der Hyaluronsäure ist besonders vorteilhaft, da sie wegen ihrer kleineren Molekülgröße leichter vom Körper aufgenommen werden kann. Dies kann eine tiefere Hydratation der Haut unterstützen, ein strafferes und glatteres Aussehen fördern und somit effektiv bei der Minderung von Alterungszeichen helfen. Warum hilft Coenzym Q10 gegen Falten? Die Haut besteht zu etwa 80 % aus Kollagen, das für ein Drittel der gesamten Proteinmenge im menschlichen Körper steht. Coenzym Q10 spielt eine wichtige Rolle bei der Anregung der Kollagenproduktion. Da die Kollagenproduktion mit dem Alter natürlicherweise abnimmt, unterstützt Q10 aktiv die Zellerneuerung und trägt dazu bei, die Elastizität der Haut zu bewahren. Coenzym Q10, auch bekannt als Ubichinon, ist ein in jeder Zelle des menschlichen Körpers vorkommendes, vitaminähnliches Molekül, das eine wichtige Rolle im Energiestoffwechsel und als Antioxidans spielt. Mit zunehmendem Alter und durch externe Stressfaktoren wie UV-Strahlung und Umweltverschmutzung kann der natürliche Gehalt von Q10 in der Haut abnehmen, was die Zellen anfälliger für oxidativen Stress macht und den Alterungsprozess der Haut beschleunigt. Hier sind einige Gründe, warum die Einnahme von Q10 gegen vorzeitige Hautalterung sinnvoll sein kann: Antioxidative Wirkung Q10 ist ein starkes Antioxidans, das freie Radikale neutralisieren kann, die durch Umweltfaktoren wie Sonnenlicht und Verschmutzung entstehen. Freie Radikale schädigen die Hautzellen und tragen zur Zerstörung von Kollagen und Elastin bei, was zu Falten und anderen Zeichen der Hautalterung führt. Durch die Neutralisierung dieser freien Radikale kann Q10 helfen, die Haut vor oxidativem Stress zu schützen und ihr jugendliches Aussehen länger zu bewahren. Energiestoffwechsel Q10 spielt eine zentrale Rolle in der mitochondrialen Energieproduktion. Die Energie, die in den Zellen erzeugt wird, ist entscheidend für viele Prozesse der Hauterneuerung und Reparatur. Eine ausreichende Versorgung mit Q10 unterstützt die Energieversorgung der Hautzellen, fördert ihre Vitalität und kann so dazu beitragen, die Zeichen der Hautalterung zu mindern. Verbesserung der Hautelastizität Studien haben gezeigt, dass Nahrungsergänzung mit Q10 die Hautelastizität verbessern kann. Durch die Förderung der Kollagenproduktion und die Reduzierung der Kollagenaseaktivität, die Kollagen abbaut, hilft Q10 dabei, die Struktur der Haut zu stärken und ihre Elastizität zu verbessern. Schutz vor UV-Schäden Q10 kann auch einen gewissen Schutz vor den schädlichen Auswirkungen der UV-Strahlung bieten, indem es die Zellen vor oxidativen Schäden schützt. Obwohl es keinen Ersatz für Sonnenschutzmittel darstellt, kann eine Ergänzung mit Q10 als zusätzliche Verteidigungslinie gegen photoinduzierte Hautalterung dienen. Unterstützung der Hautregeneration Durch die antioxidative Wirkung und die Förderung der Energieproduktion unterstützt Q10 die natürlichen Regenerationsprozesse der Haut. Dies kann die Heilung von Hautschäden beschleunigen und zur Erhaltung einer gesunden Hautstruktur beitragen.Die zahlreichen positiven Eigenschaften machen die Einnahme von Q10 zu einer wertvollen Ergänzung jeder täglichen Hautpflegeroutine, um die Hautgesundheit zu fördern und der vorzeitigen Alterung entgegenzuwirken. Skin Glow von within® bietet eine umfassende Lösung, indem es neben hochdosierten probiotischen Kulturen und kurzkettiger Hyaluronsäure auch Coenzym Q10 beinhaltet. Diese Kombination unterstützt die Hautpflege von innen heraus, um ein gesundes und jugendliches Hautbild zu fördern.   Der Einfluss von freien Radikalen auf das Hautaltern Freie Radikale sind aggressive Moleküle, die in unserem Körper natürlicherweise während des Stoffwechsels entstehen, aber auch durch äußere Faktoren wie Rauchen, Sonnenstrahlung und Umweltverschmutzung gebildet werden. Diese freien Radikale können Schäden auf zellulärer Ebene verursachen und die Hautzellen direkt angreifen. Sie lösen eine sogenannte Oxidation aus, bei der die Hautzellen angegriffen und geschwächt werden. Dieser oxidative Stress spielt eine zentrale Rolle bei der Hautalterung und der Entstehung von Falten. Die freien Radikale schädigen das Kollagen und die Elastinfasern, die für die Festigkeit und Elastizität der Haut verantwortlich sind. Dadurch verliert die Haut an Spannkraft und es entstehen feine Linien und tiefe Falten. Um den Einfluss von freien Radikalen auf die Hautalterung zu minimieren, ist es wichtig, antioxidative Maßnahmen zu ergreifen.  Antioxidantien sind Stoffe, die freie Radikale neutralisieren und deren schädigende Wirkung auf die Haut reduzieren können. Antioxidative Maßnahmen: Antioxidative Ernährung: Eine ausgewogene Ernährung mit starken Antioxidantien wie Beeren, grünem Blattgemüse, Nüssen und Avocados kann dabei helfen, den negativen Einfluss von freien Radikalen auf die Haut zu verringern. Probiotika: Probiotika, wie Lactobacillus und Bifidobacterium, schützen die Zellen, indem sie schädliche freie Radikale neutralisieren und die natürlichen Abwehrmechanismen des Körpers gegen oxidative Schäden stärken. Diese Eigenschaften helfen, die Zellgesundheit zu erhalten und können zur Vorbeugung von krankheitsbedingtem oxidativem Stress beitragen. Nahrungsergänzungen: hochwertige Nahrungsergänzungen mit antioxidativen Inhaltsstoffen wie Coenzym Q10 können einen großartigen Beitrag leisten oxidativen Stress zu verringern. Sonnenschutz: Die Verwendung von Kleidung als Sonnenschutz oder Sonnenschutzmitteln mit einem hohen Lichtschutzfaktor ist entscheidend, um die Haut vor den schädlichen Auswirkungen der Sonnenstrahlung zu schützen und den oxidativen Stress zu reduzieren. Hautpflege: Die regelmäßige Anwendung von hautpflegenden Produkten mit antioxidativen Inhaltsstoffen wie Vitamin C, Vitamin E oder Grüntee-Extrakt kann helfen, die Haut vor freien Radikalen zu schützen und den Alterungsprozess zu verlangsamen. Indem Du den Einfluss von freien Radikalen reduzierst, kannst Du dazu beitragen, die Gesundheit Deiner Haut zu verbessern und vorzeitiger Hautalterung entgegenzuwirken. Effektive Wirkstoffe gegen Falten im Gesicht Falten im Gesicht sind ein häufiges Anzeichen des Alterungsprozesses. Es gibt verschiedene Wirkstoffe in Cremes oder Seren, die helfen können, das Erscheinungsbild von Falten zu reduzieren und die Haut straffer aussehen zu lassen. Hier sind einige effektive Wirkstoffe in Haut-Produkten, die gegen Falten im Gesicht wirksam sein können: HyaluronsäureHyaluronsäure ist eine Substanz, die natürlicherweise in unserer Haut vorkommt und für ihre feuchtigkeitsspendenden Eigenschaften bekannt ist. Hyaluronsäure kann helfen, die Haut mit Feuchtigkeit zu versorgen und das Erscheinungsbild von Falten zu verringern. RetinolRetinol, eine Form von Vitamin A, ist ein beliebter Inhaltsstoff in Anti-Aging-Produkten. Retinol kann das Erscheinungsbild von feinen Linien und Falten reduzieren, indem es die Kollagenproduktion stimulieren und die Hautstruktur verbessern. Vitamin-CVitamin C ist ein starkes Antioxidans, das vorzeitige Hautalterung bekämpfen kann. Vitamin-C kann helfen, das Erscheinungsbild von Falten zu minimieren und gleichzeitig die Haut vor Umweltschäden zu schützen. PeptidPeptide sind Moleküle, die die Bildung von Kollagen und Elastin in der Haut fördern können. Peptid können helfen, das Erscheinungsbild von Falten zu reduzieren und die Haut straffer und glatter aussehen zu lassen. Es ist wichtig zu beachten, dass die Ergebnisse von Produkten gegen Falten je nach Hauttyp und individuellen Bedürfnissen variieren können. Es kann hilfreich sein, sich von einer erfahrenen Kosmetikerin oder Dermatologin beraten zu lassen. Schönheitsbehandlungen zur Reduzierung von Falten Es gibt eine Vielzahl von minimal invasiven Schönheitsbehandlungen, die dazu beitragen können, Falten zu reduzieren und ein jugendliches Aussehen zu bewahren. Hier sind einige der effektivsten Behandlungen: Hyaluronsäure-Injektionen: Diese Behandlung hilft dabei, die Feuchtigkeit in der Haut aufrechtzuerhalten und das Auftreten von Falten zu verringern. Die Hyaluronsäure wird in die betroffenen Bereiche injiziert und füllt die Falten auf, um ein glatteres Erscheinungsbild zu erzielen. Botulinumtoxin (Botox): Botox-Injektionen sind eine beliebte Option, um Falten im Gesicht zu reduzieren. Der Wirkstoff entspannt die Muskeln, die für die Bildung von mimischen Falten verantwortlich sind, wie z.B. Stirn- und Zornesfalten. Laserbehandlungen: Laser können verwendet werden, um Falten zu glätten und die Kollagenproduktion anzuregen. Unterschiedliche Arten von Lasern werden je nach Art und Tiefe der Falten eingesetzt. Peeling-Behandlungen: Chemische Peelings können helfen, die äußerste Schicht der Haut abzutragen und so Falten und feine Linien zu reduzieren. Es gibt verschiedene Stärken von Peelings, je nach Bedarf und Hauttyp. Microneedling: Bei dieser Behandlung werden winzige Nadeln verwendet, um die Haut zu stimulieren und die Kollagenproduktion anzuregen. Dadurch können Falten geglättet und die Hautstruktur verbessert werden. Egal für welche Schönheitsbehandlung man sich entscheidet, es ist wichtig, realistische Erwartungen zu haben und Geduld mitzubringen. Die Ergebnisse können je nach Behandlung und individuellen Faktoren variieren. Kombiniert mit einer guten Hautpflege und einem gesunden Lebensstil können Schönheitsbehandlungen dazu beitragen, das Erscheinungsbild von Falten zu verbessern und ein jugendliches Aussehen zu bewahren. Müssen Falten bahandelt werden? Falten sind keine medizinische Besorgnis, sondern ein natürliches Zeichen des Alterns. Sie verursachen keine Beschwerden und repräsentieren die Reife der Haut. Aus ästhetischen Gründen kannst du jedoch wählen, sie zu mildern, wichtig ist dabei, dass du dich in deiner Haut wohlfühlst. Lach- und Augenfalten können als Zeichen eines gelebten Lebens angesehen werden. Als ein unvermeidlicher Teil des Alterungsprozesses verliert die Haut mit der Zeit an Dicke, Feuchtigkeit und Elastizität. Dies führt zu einer verringerten Produktion von Kollagen und Elastin, was schließlich zur Entstehung von Falten beiträgt. Verschiedene Faltenarten können sich an unterschiedlichen Stellen im Gesicht bilden, einschließlich Stirn- und Zornesfalten, Krähenfüßen, Nasolabialfalten, Lippenfalten und Marionettenlinien. Obwohl der Alterungsprozess unaufhaltsam ist, können Lebensstiländerungen helfen, das Auftreten von Falten zu minimieren und die Haut länger jugendlich erscheinen zu lassen. Dazu zählt u.a. die Anwendung von Hautpflegeprodukten mit Anti-Aging-Wirkstoffen, der Schutz der Haut vor der Sonne, das Aufgeben des Rauchens, eine gesunde Ernährung, ausreichende Flüssigkeitszufuhr und genügend Schlaf. Es gibt keine endgültige Lösung gegen Falten, aber eine Anti-Aging-Hautpflegeroutine mit Inhaltsstoffen wie Probiotika, Q10 und Hyaluronsäure kann das Aussehen von Falten mildern und der Haut ein frischeres Aussehen verleihen. Falten sind natürliche Zeichen eines erfüllten Lebens sind und müssen selbstverständlich nicht behandelt werden, falls Du entscheidest, sie als solche zu akzeptieren. Der Artikel dient lediglich der Informationsvermittlung in Bezug auf Probiotika und soll nicht als medizinische Empfehlung oder als Ersatz für professionelle medizinische Beratung oder Behandlung interpretiert werden.

    Heilung einer trockenen Fetthaut

    Dehydrierte Fetthaut: Wenn der fettigen Haut Fette fehlen!

     Das Wichtigste in Kürze: Dehydrierte Fetthaut: Ein Zustand, bei dem die Haut fettig, aber an wichtigen Hautlipiden arm ist, was zu Trockenheit führt. Typische Anzeichen: Glänzende, ölige Haut, die trocken ist und sichtbare Poren aufweist. Ursachen: Gestörte Hautbarrieren und Mangel an Hautfetten. Hautpflege: Einsatz von milden Gel-Reinigern, Peelings mit Glykol- und Milchsäure, Seren mit Niacinamiden und Cremes mit Ceramiden. Wichtig für die Reinigung: Ein pH-Wert von 5,5 zur Erhaltung des natürlichen Säuremantels der Haut. Darmgesundheit: Eine wichtige Rolle für das Hautbild. Merkmale einer dehydrierten Fetthaut Trockene und gleichzeitig glänzende Haut wird in der Dermatologie als trockene Fetthaut oder Seborrhoea sicca bezeichnet. Die Haut weist die Eigenschaften beider Extreme auf: Sie produziert viel Talg, hat aber gleichzeitig einen Mangel an Feuchtigkeit. Hier einige Merkmale, an denen Du eine dehydrierte Fetthaut erkennen kannst: Glänzende Haut: Trotz des Feuchtigkeitsmangels produziert die dehydrierte Fetthaut viel Talg, was zu einem öligen Glanz führen kann. Rauheit: Die Haut fühlt sich oft rau an, da die oberste Hautschicht durch den Feuchtigkeitsmangel ausgetrocknet ist. Spannungsgefühl: Trotz des öligen Glanzes kann die Haut gespannt und trocken wirken. Feine Linien und Fältchen: Durch den Feuchtigkeitsmangel können feine Linien und Fältchen sichtbarer werden. Unreinheiten: Die übermäßige Talgproduktion kann zu verstopften Poren und damit zu Unreinheiten führen. Ursachen einer glänzenden, aber trockenen Haut Es gibt verschiedene Gründe, warum die Haut dehydriert und fettig sein kann. Diese können sowohl von innen als auch von außen kommen. Hier sind einige der häufigsten Gründe: Genetische Faktoren und Talgdrüsenaktivität Die genetische Veranlagung spielt eine Rolle bei der Beschaffenheit unserer Haut. Die Aktivität der Talgdrüsen, die für die Talgüberproduktion verantwortlich ist, wird stark durch die Gene beeinflusst.Dies führt dazu, dass einige Menschen zu einem Hauttyp tendieren, der natürlicherweise mehr Talg produziert, während andere einen Mangel an essentiellen Lipiden und Ölen aufweisen. Genetische Prädisposition für eine erhöhte Talgproduktion Fehlfunktion in der Regulierung der Hautlipide, wodurch der Feuchtigkeitsverlust der Haut begünstigt wird, was zur Trockenheit beitragen kann Alterung: Mit zunehmendem Alter kann die Haut ihre Fähigkeit, Feuchtigkeit zu speichern verlieren. Dies kann zu einer Dehydrierung der Haut führen. Einfluss von Umweltfaktoren und Lebensstil Nicht nur die Gene, auch äußere Faktoren können einen Einfluss haben: Klimatische Bedingungen: Trockene Luft, Klimaanlagen, Heizungsluft und Wind können der Haut Feuchtigkeit entziehen und so zu einer Dehydrierung führen. Luftverschmutzung: Schadstoffe können die Hautbarriere schädigen. Lebensstil: Unzureichender Schlaf, Stress und Ernährungsgewohnheiten sind ebenso beteiligt. Verwendung falsche Hautpflegeprodukten: Viele Produkte enthalten Inhaltsstoffe, die die Haut austrocknen oder die Talgproduktion anregen können. Dies kann zu einer Dehydrierung der Haut führen. Ungleichgewicht im Feuchtigkeitshaushalt: Dies kann durch eine unausgewogene Ernährung, zu wenig Flüssigkeitsaufnahme oder den Gebrauch von ungeeigneten Hautpflegeprodukten verursacht werden. Gesundheitszustand: Bestimmte Gesundheitszustände oder Medikamente können die Haut austrocknen und so zu einer Dehydrierung führen. Verbreitung von trockener, fettiger Haut in unterschiedlichen Altersgruppen Diese Problematik ist keine Seltenheit und kann Personen in allen Altersklassen betreffen. Statistiken zeigen, dass die Häufigkeit in bestimmten Lebensphasen ansteigt. Hormonelle Schwankungen, wie in der Pubertät oder in den Wechseljahren, können zu einerm vermehrten Auftreten von einer trockenen Fetthaut führen. Altersgruppe Betroffenheit Merkmale Jugendliche Sehr Häufig Hormonelle Veränderungen, Pubertät Erwachsene Häufig Stress, Ernährung, Lebensstil Senioren Weniger Häufig Hautalterung, nachlassende Talgproduktion Trockene Fetthaut (Seborrhoea sicca) verstehen Eine trockene Fetthaut bedarf einer besonderen Pflege! Unterschiede zu anderen Hauttypen Trockene Fetthaut unterscheidet sich grundlegend von anderen Hauttypen: Normale Haut: Sie produziert gleichmäßig Talg und weist selten Anzeichen für Trockenheit auf. Ölige Haut: Obwohl beide Hauttypen zu Glanz neigen, fehlt es der trockenen Fetthaut an Feuchtigkeit. Mischhaut: Mischhaut zeigt eine Kombination von öligen und trockenen Bereichen. Eine trockene aber glänzende Haut benötigt ihre eigene, individuelle Pflege. Wird die Hautbarriere gestärkt, so verbesserstsich im allgemeinen auch das Hautbild. Hautpflege bedeutet allerdings nicht nur Pflege von außen! Mit Skin Glow kannst Du Deine Haut von innen heraus unterstützen. Skin Glow enthält wertvolle Probiotika, die sich positiv auf die Darmgesundheit auswirken und folglich zu einem gesunden Hautbild beitragen können. Verschiedene Studien haben gezeigt, dass die regelmäßige Einnahme von Probiotika dazu beitragen kann, Hautprobleme wie Akne zu verbessern und das allgemeine Aussehen der Haut zu verbessern (1). Skin Glow enthält neben hochwertigen und effektiven Probiotika noch Biotin, Coenzym Q10 und Hyaluronsäure. Richtige Hautpflege: Was funktioniert, was nicht Die Pflege Deiner Haut erfordert eine sorgfältige Auswahl und Anwendung der richtigen Produkte und Praktiken. Empfohlene Produkte und Inhaltsstoffe Idealerweise werden Produkte verwendet, die speziell für den entsprechenden Hauttyp entwickelt wurden. Bei einer Seborrhoea sicca sollte Feuchtigkeit gespendet werden, ohne die Poren zu verstopfen. Hydratisierende Inhaltsstoffe: Hyaluronsäure, Glycerin Nicht-komedogene Öle: Jojobaöl, Squalan Biotin und Vitamin C: Unterstützen die Hautgesundheit Seren mit Niacinamiden und Cremes mit Ceramiden. Vermeidung von schädlichen Substanzen und Praktiken Eine achtsame Hautpflegeroutine bedeutet auch, mögliche Schädigungen der Haut zu verhindern! Substanzen und Handlungen sollten gemieden werden, die zu Trockenheit und Reizungen führen können. Berücksichtige folgende Punkte, um Deine Hautbarriere zu bewahren und Deine Haut gesund zu halten: Alkoholhaltige Produkte: Vermeide Pflegeprodukte mit hohem Alkoholgehalt, da diese die Haut ausdünnen und ihr wichtige Feuchtigkeit entziehen, was zu Irritationen und Trockenheit führt. Wichtig für die Reinigung: Ein pH-Wert von 5,5 zur Erhaltung des natürlichen Säuremantels der Haut. Übertriebenes Peeling: Ein zu häufiges Peeling greift die schützenden oberen Hautschichten an und kann Entzündungen sowie einen beschleunigten Feuchtigkeitsverlust zur Folge haben. Milde Peelings mit Glykol- und Milchsäure. Zu heißes Wasser: Heißes Wasser beim Waschen kann die natürlichen, schützenden Öle der Haut lösen und austrocknen, weshalb lauwarmes Wasser eine bessere Wahl ist. Feuchtigkeitsbalance wiederherstellen Eine intakte Feuchtigkeitsbalance ist für die Gesundheit der Haut entscheidend und schützt sie vor Umwelteinflüssen. Bedeutung von Feuchtigkeit für die Hautbarriere Die Hautbarriere dient als Schutzschicht gegen äußere Schadstoffe und reguliert den Feuchtigkeitshaushalt. Ist sie durch Feuchtigkeitsmangel geschwächt, können Probleme wie Trockenheit und Empfindlichkeit entstehen. Daher ist es wichtig, auf folgende Punkte zu achten: Feuchtigkeit bindende Inhaltsstoffe verwenden, wie Hyaluronsäure, die Wasser in der Haut speichern. Lipide und Öle zuführen, um den Hydro-Lipid-Film zu stärken und Hautalterung vorzubeugen. Durch die richtige Balance aus Feuchtigkeit und Lipiden erreichst Du einen gesunden Zustand und kannst das Erscheinungsbild der Haut verbessern. Pflege einer dehydrierte Fetthaut Für die Pflege einer dehydrierten Fetthaut ist es wichtig, auf die Auswahl der richtigen Produkte zu achten und eine regelmäßige Pflegeroutine einzuhalten: Sanfte Reinigung: Eine sanfte Reinigung ist wirklich wichtig, um deine Haut gesund und strahlend zu halten. Es gibt Reinigungslotions, die speziell dafür entwickelt wurden, den pH-Wert deiner Haut nicht zu verändern und sie nicht auszutrocknen, sie sollten keine Alkohole enthalten. Diese können die Schutzbarriere der Haut stören und dazu führen, dass sie weitere Feuchtigkeit verliert. Feuchtigkeit spenden: Eine feuchtigkeitsspendende Pflege sollte Inhaltsstoffe enthalten, die die Hautbarriere stärken und den Feuchtigkeitshaushalt ausgleichen können, wie zum Beispiel Ceramide und Hyaluronsäure. Talgproduktion kontrollieren: Produkte, die Niacinamide enthalten, können dabei helfen, die Talgproduktion zu regulieren. Dadurch können Hautglanz und Unreinheiten reduziert werden. Peeling: Ein mildes Peeling kann helfen, abgestorbene Hautzellen und überschüssigen Talg zu entfernen und die Haut zum Strahlen zu bringen. Innere Unterstützung: Deine Darmgesundheit hat einen großen Einfluss auf die Hautgesundheit. Mit der richtigen Ernährung, einem gesunden Lebensstil und mit hochwertigen Nahrungsergänzungsmitteln kannst Du Deine Darmflora unterstützen. Ernährung und Hautgesundheit: Die Rolle des Darms Die Gesundheit der Haut wird durch die Ernährung und die Beschaffenheit der Darmflora beeinflusst. Die sogenannte „Darm-Haut-Achse“ ist ein Forschungsfeld, das aufzeigt, wie tiefgreifend die Wechselwirkungen zwischen diesen beiden Organen sind.  Die Verbindung zwischen Darmgesundheit und Haut Gleiche Funktionen: Sowohl der Darm als auch die Haut dienen als Barrieren und spielen eine Rolle in der Immunabwehr. gemeinsame Erkrankungen (Komorbiditäten): Oft treten Darm- und Hautkrankheiten gemeinsam auf. Einfluss der Darmflora (Metabolische Kapazität): Die Mikroorganismen im Darm produzieren Stoffwechselprodukte, die die Haut beeinflussen können. Wissenschaftliche Studien, wie Untersuchungen zum Dialog zwischen Darm und Haut und zur Rolle von Mikrobiotika, Probiotika und Präbiotika, unterstreichen, wie wichtig ein gesunden Darms für die Hautgesundheit ist. Ernährungsempfehlungen für eine strahlende Haut Omega-3-Fettsäuren: Reduzieren Entzündungen und unterstützen die Hautstruktur. Antioxidantien, Vitamine, Spurenelemente: Schützen die Haut vor oxidativem Stress. Genügend Wasser: Hydratisiert die Hautzellen von innen und unterstützt so ihre Funktionen. Ausgewogene Darmflora: Unterstützt durch probiotische Lebensmittel und / oder spezielle probiotische Nahrungsergänzungen. Durch die Stärkung der Darmgesundheit mit einer ausgewogenen Ernährung und der Einnahme von probiotischen Lebensmitteln und Supplements wie Skin Glow kannst Du Deine Hautgesundheit positiv unterstützen. Ein wesentlicher Bestandteil einer gesunden Haut ist das Hautmikrobiom – ein Mini-Universum voller Leben, das die Hautoberfläche bewohnt und eine Schlüsselrolle für das Gleichgewicht der Haut spielt. Fett ist nicht gleich Fett: Talg- vs. Barriere-Lipide Wenn wir über "fettige" Haut sprechen, meinen wir normalerweise die Menge an Talg, die unsere Haut produziert. Talg ist eine ölige Substanz, die von den Talgdrüsen in unserer Haut hergestellt wird. Er sorgt dafür, dass unsere Haut geschmeidig bleibt und schützt sie vor äußeren Einflüssen. Wenn zu viel Talg produziert wird, kann die Haut jedoch ölig und glänzend aussehen und es können Unreinheiten entstehen. Die Barriere-Lipide sind wichtig für unsere Haut! Sie helfen dabei, dass unsere Haut nicht austrocknet und schützen sie vor schädlichen Stoffen. Die Barriere-Lipide bestehen aus Ceramiden, Cholesterin und freien Fettsäuren. Man kann sich das so vorstellen, dass sie wie ein "Mörtel" sind, der die "Ziegelsteine" (also die Hautzellen) zusammenhält. Dadurch entsteht eine Schutzschicht, die verhindert, dass Feuchtigkeit aus der Haut entweicht und Schadstoffe eindringen können.  Bei einer dehydrierten Fetthaut ist das Gleichgewicht zwischen Talg und Barriere-Lipiden gestört. Das bedeutet, dass die Haut viel Talg produziert, aber nicht genug Barriere-Lipide hat. Dadurch verliert die Haut mehr Wasser und die Schutzschicht der Haut ist gestört. Das kann zu Problemen führen. Fazit Die dehydrierte Fetthaut ist ein ganz besonderer Hautzustand, bei dem es wichtig ist, eine individuell angepasste Pflege zu verwenden. Es ist entscheidend, den Unterschied zwischen Talg und Barrierelipiden zu verstehen, da die richtige Hautpflege helfen kann, das Gleichgewicht der Haut wiederherzustellen und das Hautbild zu verbessern. Ein Aspekt, der oft übersehen wird, ist die wichtige Rolle, die unser Darm für die Gesundheit unserer Haut spielt. Eine gesunde Darmflora kann dazu beitragen, unsere Haut von innen heraus zu unterstützen. Dabei können Probiotika eine wertvolle Unterstützung sein. Mit der richtigen Pflege, sowohl von außen als auch von innen, kann die dehydrierte Fetthaut wieder ins Gleichgewicht gebracht und ein gesundes, strahlendes Hautbild erreicht werden. Hautgesundheit ist mehr ist als nur äußere Pflege, sie kann die Reflexion der inneren Gesundheit, insbesondere der Gesundheit des Darms sein. FAQ - Häufig gestellte Fragen Was ist eine dehydrierte Fetthaut? Eine dehydrierte Fetthaut ist ein Hautzustand, der durch eine übermäßige Talgproduktion und gleichzeitig einen Mangel an Feuchtigkeit gekennzeichnet ist. Die Haut fühlt sich oft rau und gespannt an und kann einen öligen Glanz aufweisen. Wie erkenne ich eine dehydrierte Fetthaut? Eine dehydrierte Fetthaut erkennst man an einem öligen Glanz, einer rauen Hautoberfläche, einem Spannungsgefühl, feinen Linien und Fältchen sowie Unreinheiten. Was sind die Ursachen einer dehydrierten Fetthaut? Die Ursachen für eine dehydrierte Fetthaut können vielfältig sein und sowohl intern als auch extern sein. Dazu gehören ein Ungleichgewicht im Feuchtigkeitshaushalt, Umwelteinflüsse, eine übermäßige Talgproduktion, die Verwendung von ungeeigneten Hautpflegeprodukten, Alterung und bestimmte Gesundheitszustände oder Medikamente. Wie pflege ich eine dehydrierte Fetthaut? Die Pflege einer dehydrierten Fetthaut erfordert eine sanfte Reinigung, eine Feuchtigkeitscreme, die die Hautbarriere stärkt und den Feuchtigkeitshaushalt der Haut reguliert, Produkte, die die Talgproduktion regulieren, ein sanftes Peeling und innere Unterstützung durch eine gesunde Ernährung und Nahrungsergänzungsmittel wie unsere Skin Glow. Studien: Trockene Haut und -pflege in Bezug auf die Darmgesundheit (1) The role of microbiota, and probiotics and prebiotics in skin health(2) The gut-skin axis in health and disease: A paradigm with therapeutic implications Der Artikel dient lediglich der Informationsvermittlung in Bezug auf Probiotika und soll nicht als medizinische Empfehlung oder als Ersatz für professionelle medizinische Beratung oder Behandlung interpretiert werden.

    Das Hautmikrobiom: Grundstein für eine gesunde Haut

    Das Hautmikrobiom: Grundstein für eine gesunde Haut

    Das Wichtigste in Kürze Die Haut ist ein lebendiger Ort voller Mikroorganismen, die als Hautmikrobiom bezeichnet werden. Dieses Mikrobiom beeinflusst die Gesundheit und unterstützt das Immunsystem. Die Balance des Mikrobioms kann durch verschiedene Faktoren gestört werden, einschließlich Stress, Medikamenten und falscher Hautpflege. Ein saurer pH-Wert von etwa 5,5 ist ideal für ein gesundes Hautmikrobiom. Die Haut eines Neugeborenen wird unmittelbar nach der Geburt von Mikroorganismen besiedelt, was für die Entwicklung des Immunsystems wichtig ist. Gleichzeitig beginnt sich auch die Darmflora mit guten Bakterien zu füllen, die das Immunsystem stärken. Unsere Hautgesundheit steht im engen Verhältnis zu unserer Darmgesundheit.  Du bist in guter Gesellschaft Auf unserer Haut, die ungefähr eine Oberfläche von zwei Quadratmeter hat, leben Milliarden von Mikroben, bestehend aus Bakterien, Pilzen und noch einige anderen Mikroben. Sie siedeln direkt nach Deiner Geburt an und nennen Deine Haut ihr Zuhause. Forscher sind immer mehr davon überzeugt, dass unsere "Mitbewohner" für unsere Gesundheit entscheidend ist.  Die Gesamtheit aller Mikroben auf der Haut werden als Hautmikrobiom bezeichnet. Befindet sich das Hautmikrobiomim Gleichgewicht, trägt es zum Strahlen der Haut bei, denn es hält den pH-Wert stabil und bildet eine Schutzbarriere, um krankmachende Erreger fernzuhalten. Erstaunlicherweise stehen laut neusten Erkenntnissen die Mikroben unserer Haut mit denen unseres Darms in enger Verbindung! Hautmikrobiom und Hautgesundheit Das Hautmikrobiom spielt eine entscheidende Rolle für die Gesundheit unserer Haut. Ein gestörtes Hautmikrobiom kann zu verschiedenen Auswirkungen auf die Hautgesundheit führen. Die Auswirkungen eines gestörten Hautmikrobioms auf die Hautgesundheit Wenn das Gleichgewicht des Hautmikrobioms gestört ist, kann dies zu verschiedenen Problemen führen. Eine gestörte Hautflora kann dazu führen, dass schädliche Mikroorganismen wie pathogene Bakterien oder Pilze überhandnehmen und die schützende Funktion der Haut beeinträchtigen. Dadurch können Hautirritationen, Entzündungen, Rötungen und Juckreiz auftreten. Ein gestörtes Hautmikrobiom kann auch das Auftreten von Hauterkrankungen begünstigen und den Heilungsprozess verzögern. Zusammenhang zwischen Hautmikrobiom und Hauterkrankungen Die Forschung hat gezeigt, dass das Hautmikrobiom eine wichtige Rolle bei der Entstehung und dem Verlauf von Hauterkrankungen spielt. Bei bestimmten Hauterkrankungen wie Akne, Ekzemen oder Rosacea wurde ein Ungleichgewicht im Hautmikrobiom festgestellt. Dies deutet darauf hin, dass eine gezielte Pflege des Hautmikrobioms bei der Behandlung und Vorbeugung von Hauterkrankungen helfen kann. Durch die Stärkung der nützlichen Mikroorganismen und die Unterdrückung der schädlichen Bakterien oder Pilze kann das Hautmikrobiom wieder ins Gleichgewicht gebracht werden und die Hautgesundheit verbessern. Pflege des Hautmikrobioms Die Produkte, die zur Hautpflege verwendet werden, können die Balance dieser Mini-Bewohner beeinflussen. Seit langem ist bekannt, dass die Haut einen natürlichen Schutzschild hat, der einen leicht sauren pH-Wert hat. Produkte mit einem pH-Wert von 5,5 können diesen Schutzschild stärken. Das Haut-Ökosystem kann durch falsche Pflege, Umweltfaktoren, aber auch Stress und falsche Ernährung aus dem Gleichgewicht geraten und es kann dadurch zu einer vorzeitigen Hautalterung und Hauterkrankungen kommen. Für eine Pflege, die von innen über die Darmflora wirkt, gibt es unser Skin Glow als Nahrungsergänzungsmittel.  Ein schneller Überblick zum Thema Hautmikrobiom Die Gemeinschaft der Mikroorganismen auf Deiner Haut ist entscheidend für Deine allgemeine Hautgesundheit. Sie helfen dabei, Deine Haut stark und widerstandsfähig gegen äußere negative Einflüsse zu machen. Verbindung zum Darm Unser Darmmikrobioms mit seinen Darmbakterien ist für unsere allgemeine Gesundheit unsere mentale Verfassung wie auch unser Immunsystem wichtig. Ähnlich wie die gute Gemeinschaft auf unserer Haut, hilft auch die in unserem Darm, uns gesund zu halten. Nicht nur der Darm, sondern auch die Haut ist voller guter Bakterien und Pilze, die als Teil der ersten Verteidigungslinie gegen schädliche Eindringlinge dienen. Erstaunlicherweise gibt es mittlerweilen Studien, die zeigen, dass sich das Hautmikrobiom und das Darmmikrobiom in einem ständigen Austausch befinden und sich auch gegenseitig beeinflussen. Info: Wenige wissen, dass der menschliche Körper aus mehr mikrobiellen Zellen als menschlichen Zellen besteht. Diese Mikroben besiedeln die Haut und den Darm und erfüllen eine Vielzahl von lebenswichtigen Funktionen. Sie spielen eine entscheidende Rolle bei der Verdauung von Nahrung und bieten Schutz vor Krankheitserregern. Ein ausgewogenes Mikrobiom, die Gemeinschaft dieser Mikroorganismen, ist essentiell für die Aufrechterhaltung von Gesundheit und Wohlbefinden. Eine harmonische Mikrobengemeinschaft unterstützt nicht nur die körpereigenen Abwehrmechanismen, sondern trägt auch wesentlich zur allgemeinen Fitness und zum Wohlbefinden bei. Wie entsteht das Hautmikrobiom? Solange wir uns in dem schützenden Körper unserer Mütter befinden, ist unsere Haut noch fast unbesiedelt – kaum Bakterien weit und breit. Doch das ändert sich mit der Geburt! Kommen wir zur Welt, so nehmen wir bei der Reise durch den Geburtskanal bereits viele Bakterien auf, die dann direkt damit beginnen unsere Haut zu besiedeln. Diese ersten "Mitbewohner" sind wichtig, weil sie das Immunsystem trainieren und uns gegen negative Keime stärken. In verschiedenen Studien wurde gezeigt, dass Kinder, die per Kaiserschnitt zur Welt kamen und somit mit mit den wichtigen Keimer ihrer Mutter nicht in Berührung kamen ein erhöhtes Risiko von Krankheiten wie Asthma, Allergien und Übergewicht aufwiesen (5). Hier findest Du eine weitere interessante Studie über die frühe Kolonisation mit Mikroorganismen. Was macht das Hautmikrobiom eigentlich? Das Hautmikrobiom hat viele Aufgaben. Es kümmert sich um die Gesundheit der Haut, in dem es z.B für den richtigen pH-Wert sorgt und bildet so eine Art Schutzwall gegen pathogene, also krankmachende Keime. Hautprobleme wie Neurodermitis können auftreten, weil beispielsweise das Hautmikrobiom und der pH-Wert aus der Balance geraten sind.  Ein gut funktionierendes Hautmikrobiom sorgt effektiv dafür, dass schlechte Keime abzuwehren. Was bringt das Hautmikrobiom aus dem Gleichgewicht? Verschiedene Dinge, die Dein Haut-Ökosystem durcheinanderbringen können: Medikamente einnehmen Stress haben Zu viel Sonne abbekommen falsche Hautpflegeprodukte verwenden übertriebene Hygiene Auch einige Krankheiten, die in der Familie liegen, können das Mikrobiom beeinflussen.Außerdem können falsche Hautpflegeprodukte oder eine übermäßige Hygiene die guten Bakterien auf deiner Haut angreifen und das Ökosystem der Haut aus dem Gleichgewicht bringen. Dadurch wird Deine Haut empfindlicher und kann leichter von krankmachenden Keimen angegriffen werden. Mehr dazu in dieser Forschungsarbeit. Hier kannst Du mehr über Darmbakterien, Probiotika und deren Einfluss auf die Haut erfahren. Forschung und Zukunftsperspektiven im Bereich Hautmikrobiom Die Erforschung des Hautmikrobioms ist ein aufregendes und sich ständig weiterentwickelndes Gebiet. Aktuelle Forschungsergebnisse haben bereits wichtige Erkenntnisse über die Rolle des Hautmikrobioms bei der Hautgesundheit geliefert. Aktuelle Forschungsergebnisse zum Hautmikrobiom In den letzten Jahren haben Studien gezeigt, dass das Hautmikrobiom eine entscheidende Rolle bei der Aufrechterhaltung einer gesunden Haut spielt. Es wurde festgestellt, dass bestimmte Bakterienstämme auf der Haut eine Schutzbarriere bilden können, die das Eindringen von schädlichen Mikroben verhindert. Des Weiteren wurde entdeckt, dass das Hautmikrobiom eng mit dem Darmmikrobiom interagiert. Über das Darmmikrobiom hat es eine enge Verbindung mit dem Immunsystem. Es unterstützt die Immunabwehr, indem es als Kommunikationsschnittstelle zwischen den Mikroorganismen und den Immunzellen fungiert. Potenziale von Probiotika und Präbiotika für das Hautmikrobiom In der Forschung werden auch potenzielle therapeutische Anwendungen von Probiotika und Präbiotika für das Hautmikrobiom untersucht. Es gibt Hinweise darauf, dass die gezielte Anwendung von probiotischen und präbiotischen Substanzen auf der Haut das Gleichgewicht des Mikrobioms wiederherstellen und bestimmte Hautzustände verbessern kann.Probiotika sind lebende Mikroorganismen, die einen positiven Einfluss auf die Gesundheit haben. Sie können helfen, die schützende Hautbarriere zu stärken und Entzündungen zu reduzieren. Präbiotika sind Stoffe, die das Wachstum bestimmter nützlicher Bakterien auf der Haut fördern können.Die Entwicklung von Produkten, die probiotische und präbiotische Inhaltsstoffe enthalten, zeigen besonders vielversprechende Ergebnisse. Solche Kombinationen werden als Synbiotika bezeichnet. Diese Produkte können dazu beitragen, das Hautmikrobiom zu unterstützen und Hautprobleme zu verbessern. Fazit Das Hautmikrobiom, eine vielfältige Gemeinschaft von Mikroorganismen auf der Haut, spielt eine entscheidende Rolle für die Hautgesundheit und das Immunsystem. Ein ausgewogenes Hautmikrobiom, das durch Faktoren wie Stress, Medikamente und Hautpflegeprodukte beeinflusst wird, unterstützt einen idealen pH-Wert und bildet eine schützende Barriere gegen Krankheitserreger. Schon bei der Geburt beginnt die Besiedelung der Haut mit Mikroorganismen, die für die Entwicklung des Immunsystems wesentlich ist. Es besteht eine enge Verbindung zwischen der Haut- und Darmgesundheit, wobei die Darmflora ebenfalls die Haut beeinflusst. Ein Ungleichgewicht im Hautmikrobiom kann zu Hautproblemen wie Irritationen, Entzündungen und verschiedenen Hauterkrankungen führen. Die Pflege des Hautmikrobioms ist daher entscheidend für die allgemeine Hautgesundheit. Die Forschung deutet darauf hin, dass Probiotika und Präbiotika das Hautmikrobiom positiv beeinflussen können, indem sie die Hautbarriere stärken und Entzündungen reduzieren. Produkte wie Skin Glow, die probiotische und präbiotische Inhaltsstoffe enthalten, versprechen die Unterstützung des Hautmikrobioms und die Verbesserung der Hautgesundheit. Studien Mikrobiom als natürlicher Schutzfaktor Delivery mode and gut microbial changes correlate with an increased risk of childhood asthma Die Rolle des Darmmikrobioms bei chronischen Krankheiten: Eine narrative Übersichtsarbeit  Pro- und PräbiotikaThe Relation of pH and Skin Cleansing   Der Artikel dient lediglich der Informationsvermittlung in Bezug auf Probiotika und soll nicht als medizinische Empfehlung oder als Ersatz für professionelle medizinische Beratung oder Behandlung interpretiert werden.

    Der Zusammenhang zwischen Darm und Hauterkrankungen

    Der Zusammenhang zwischen Darm und Hauterkrankungen

    Das Wichtigste in Kürze   Akne und Hautprobleme können durch viele Dinge ausgelöst werden, wie Hormonveränderungen oder Stress. Deine Haut und Dein Darm haben jeweils ihr eigenes Mikrobiom, eine Art Mini-Ökosystem aus Bakterien. Wenn das Mikrobiom im Darm durcheinander ist, kann das auch Deine Haut beeinflussen. Probiotische Bakterien können Deiner Haut helfen, indem sie die "guten" Bakterien unterstützen und so gegen Hautprobleme ankämpfen. Unser Dailys, besonders in kombination mit den Akazienfasern als Nahrungsergänzungsmittel dabei helfen, das Mikrobiom der Haut zu unterstützen. Oftmals findet man keine plausiblen Gründe, warum Pickel oder andere Hautprobleme entsehen? Mittelerweise ist sich die Forschung einig, es kann etwas mit dem Darm zu tun haben. Dein Darm und Deine Haut kommunizieren miteinander und beeinflussen sich gegenseitig. Unsere Haut wird von Milliarden an Mikroben besiedelt, bestehend aus Bakterien, Viren und Pilze. Unglaublich wenn man sich vorstellt, dass es mehr Mikroben sind,  als Menschen auf der Erde leben! Sie wohnen vor allem auf der obersten Hautschicht und in den Haarfollikeln. Was hat die Entstehung von Pickeln mit unserem Darm zu tun? Bei Menschen mit Hauterkrankungen findet man oft, dass der Darm nicht so arbeitet, wie er sollte. Der Darm ist dafür zuständig, Essen zu verstoffwechseln und anschließend Nährstoffe wie Vitamine und Mineralstoffe duch die Darmwand in Deinen Blutkreislauf zu lassen. Ist unsere Darmwand nicht intakt, so kann es passieren, dass Nährstoffe nicht hindurchgelassen werden und stattdessen schädliche Stoffe in unseren Körper gelangen, statt ausgeschieden zu werden. All das kann Hautprobleme wie Pickel oder Akne verursachen. Manchmal gibt es im Darm sogar schädliche Bakterien, die Giftstoffe machen können. Unser Darmmikrobiom schützt diese Darmwand, befindet sich dieses allerdings nicht im Gleichgewicht und es kommt sogar zu dem Wachstum schädlicher Bakterien, so können diese noch zusätzliche Giftstoffe herstellen. Warum bekommen Menschen Hautprobleme? Hautprobleme können viele verschiedene Ursachen haben. Manchmal kommt es durch die Sonne oder falsche Hautpflegeprodukte. Aber nicht nur äußere Einflüsse können Hautprobleme hevorrufen, auch was in unserem Körper passiert, wie Darmprobleme oder innere leise Entzündungen, können einen großen Einfluß auf unsere Hautgesundheit haben! Einfluss von Stress auf die Haut Leidest Du unter ständigem Stress?  Wird unser Körper Stress ausgesetzt und produziert er bestimmte Hormone, die  Entzündungen im Körper führen können und äußerlich durch Rötungen oder Hauterkrankungen sichtbar werden können. Faktoren, die Hautprobleme hervorrufen Dauerhafter Stress Schlechte Ernährung Medikamente Rauchen Hormone, wie in den Wechseljahren oder durch Testosteron Zu viel Hautfett Das Wetter Allergien Hautprobleme in verschiedenen Lebensphasen Während unterschiedlicher Lebensphasen kann sich das Erscheinungsbild unserer Haut verändern und zu verschiedenen Hautproblemen führen. In der Jugend, einer Zeit hormoneller Umbrüche, sind Pickel und Akne häufige Begleiter. Diese Veränderungen in den Hormonen können zu einer erhöhten Ölproduktion der Haut führen, was wiederum zu verstopften Poren und Hautunreinheiten führt. Im weiteren Lebensverlauf, insbesondere während der Wechseljahre, erleben viele Frauen erneute Hautveränderungen. Die hormonellen Schwankungen in dieser Phase, zusammen mit einer allmählichen Verringerung der Hautdicke, können zu neuen Hautproblemen führen, die von Trockenheit bis hin zu Empfindlichkeiten reichen können. Diese natürlichen Veränderungen unterstreichen die Bedeutung einer angepassten Hautpflege in jedem Lebensabschnitt.  Wie entstehen Pickel und Akne? Pickel können entstehen, wenn verschiedene Faktoren zusammenkommen, wie zum Beispiel eine übermäßige Talgproduktion, verstopfte Poren und das Vorhandensein von Bakterien. Wenn diese Bedingungen erfüllt sind, kann es zu einer Entzündung kommen, die wir als Pickel wahrnehmen. Akne kann durch verschiedene Faktoren ausgelöst werden, einschließlich hormoneller Veränderungen, die sowohl bei Frauen als auch bei Männern auftreten können. Während der Pubertät kann die Produktion bestimmter Hormone wie Testosteron ansteigen, was zu einer erhöhten Talgproduktion führen kann. Wenn dieser Talg nicht richtig abfließen kann und sich mit Bakterien vermischt, kann Akne entstehen. Verschiedene Arten von Hautproblemen Flecken: Das sind kleine rote Stellen auf der Haut. Sie können zum Beispiel von einer Allergie kommen. Papel, Knötchen, Knoten: Das sind kleine Beulen, die Du fühlen kannst, wenn Du mit dem Finger darüber gehst. Bläschen: Das sind kleine Blasen, die mit einer Flüssigkeit gefüllt sind. Manchmal platzen sie auf, und das kann wehtun. Pustel: Das ist fast wie ein Bläschen, aber es ist mit Eiter gefüllt. Das ist die gelbe Flüssigkeit, die manchmal aus einem Pickel kommt. Quaddeln: Das sind kleine Hügel auf der Haut. Sie können unterschiedlich groß sein und oft jucken sie. Schuppen: Das sind kleine Hautstückchen, die sich lösen, meistens weil die Haut zu trocken ist. Narben: Das sind die Zeichen, die zurückbleiben, wenn eine Wunde verheilt ist. Sie sehen oft anders aus als der Rest der Haut. Rhagade: Das ist ein kleiner Riss in der Haut, oft an den Fingern oder den Füßen. Kruste: Wenn Du Dich verletzt und das Blut trocknet, bildet sich eine Kruste als natürlicher Schutz für die Wunde. Bei anhaltenden oder wiederkehrenden Hautproblemen sollte immer auch ein Arzt/Ärztin hinzugezogen werden. Verbindung zwischen Darm und Haut Es gibt ein Sprichwort: "Wenn es dem Darm schlecht geht, geht es auch der Haut schlecht." Und das ist wahr! Besonders, wenn wirgestresst sind oder Medikamente wie Antibiotika nehmen. Ein gutes Beispiel ist der Begriff "Dysbiose", der eine Störung der natürlichen Darmflora bezeichnet. Diese Störung hat eine Reihe von Konsequenzen, und eine davon ist die Entstehung von Hautproblemen. Wissenschaftler haben festgestellt, dass Menschen mit bestimmten Hautkrankheiten wie Rosacea und Neurodermitis oft weniger gute Bakterien in ihrem Darm haben. Diese guten Bakterien, wie Laktobazillen und Bifidobakterien, sind wichtig, um Entzündungen im Körper zu vermindern. Wenn sie fehlen, kann das zu Hautproblemen führen. Eine gesunde Darmfunktion ist entscheidend für die effektive Aufnahme lebenswichtiger Nährstoffe wie Vitamine und Mineralien. Störungen in der Darmtätigkeit können nicht nur die Nährstoffaufnahme beeinträchtigen, sondern auch die Durchlässigkeit für schädliche Substanzen erhöhen. Dies kann zu Entzündungen und allergischen Reaktionen führen, die sich auf der Haut als Pickel oder Ekzeme zeigen. Darüber hinaus kann eine beeinträchtigte Darmgesundheit auch zu vorzeitiger Hautalterung beitragen, indem sie die natürlichen Abwehrmechanismen und die Regenerationsfähigkeit der Haut schwächt. Studien zeigen, dass Menschen mit Hauterkrankungen oft eine weniger vielfältige Darmflora und eine geringere Anzahl an guten Bakterien aufweisen. Daher ist es wichtig, die Gesundheit der Darmflora zu fördern, um auch die Hautgesundheit zu unterstützen. Eine gesunde Darmflora stärkt das Immunsystem und verbessert die Fähigkeit des Körpers, schädliche Keime abzuwehren. Interessanterweise haben Menschen aus indigenen Völkern, die oft einen natürlicheren Lebensstil führen, in der Regel eine gesündere Darmflora. Unsere moderne Lebens- und Ernährungsweise hat die Diversität der nützlichen Darmbakterien reduziert, was sich negativ auf die Haut auswirken kann. Effektive Strategien gegen Hautprobleme Ein perfektes Hautbild ist eher die Ausnahme als die Regel. Für viele Menschen sind Pickel oder Mitesser Alltag. Doch manchmal kann bereits die Änderung der Ernährung oder Stressreduktion zu einer deutlcihen Verbesserungen führen. Wer jedoch kontinuierlich unter schmerzhaften, entzündeten Hautunreinheiten leidet, sollte professionelle Hilfe in Anspruch nehmen, anstatt auf eigene Faust zu experimentieren. Hochpreisige Hautprodukte sind oft nicht die Lösung, da die wahren Ursachen im Inneren des Körpers zu finden sind. Hier sind einige Tipps, um das Erscheinungsbild der Haut zu verbessern: Wenn ein Pickel auftaucht, ist es ratsam, ihn in Ruhe zu lassen. Das Ausdrücken kann weitere Entzündungen und sogar Narbenbildung verursachen. Für die Reinigung der Haut sind milde, pH-neutrale und duftstofffreie Waschlotionen am besten geeignet. Übermäßiges Waschen kann den natürlichen Säureschutzmantel der Haut zerstören und die Situation verschlimmern. Wähle Pflegeprodukte auf Wasserbasis, da fettige oder ölhaltige Cremes die Poren blockieren können. Probiotische Nahrungsergänzungsmittel, wie Skin Glow, können die Darmflora verbessern und damit auch das Hautbild positiv beeinflussen.  Spezial-Make-up für unreine Haut kann für ein gleichmäßigeres Erscheinungsbild sorgen und das Selbstwertgefühl stärken. Achte auf Labels wie "nicht komedogen" oder "fettfrei". Vermeide extreme Temperaturen und UV-Strahlung, da diese die Hautprobleme verschlimmern können. Eine abwechslunbgsreiche Ernährung mit viel Obst und Gemüse und damit reich an Präbiotika, kann sich positiv auf die Haut und das allgemeine Wohlbefinden auswirken. Vermeide es, das Gesicht ständig mit den Händen zu berühren, da sich darauf viele Bakterien befinden. Benutze unterschiedliche Handtücher für Gesicht und Hände und wechsle diese regelmäßig aus. Können Bakterien die Haut verändern? Wenn man an Akne denkt, kommen einem oft Bilder von störenden Pickeln und Rötungen in den Sinn. Dies wird auf Störungen in den Talgdrüsen und Haarfollikeln der Haut zurückgeführt. Am häufigsten tritt Akne im Gesicht, auf dem Rücken und der Brust auf. Es gibt viele Auslöser für Akne. In der Pubertät können hormonelle Veränderungen dazu führen, aber Akne beschränkt sich nicht nur auf Jugendliche. Stress, bestimmte Medikamente, oder sogar die verwendete Hautpflege können Akne begünstigen. Interessanterweise kann Akne Menschen in jedem Alter betreffen, sogar im fortgeschrittenen Erwachsenenalter.Ein spannender Aspekt ist das Hautmikrobiom, also die Vielfalt an Bakterien auf unserer Haut. Wenn das Gleichgewicht zwischen „guten“ und „schlechten“ Bakterien gestört ist, können Hautprobleme wie Akne entstehen.Wissenschaftler untersuchen die Rolle probiotischer Bakterien bei der Hautgesundheit. Diese „guten“ Bakterien, wie Lactobacillus acidophilus und Bifidobacterium bifidum, können das Gleichgewicht der Hautflora unterstützen und so zur Verbesserung der Haut beitragen.Diese Bakterien wirken wie kleine Beschützer, die die Haut vor schädlichen Keimen und Pilzen schützen. Wenn schädliche Bakterien eindringen, reagiert der Körper oft mit Entzündungen. Die „guten“ Bakterien können helfen, dies zu verhindern. Daher spielen Bakterien eine wesentliche Rolle für die Gesundheit unserer Haut. Fazit In Deinem Körper leben zahlreiche nützliche Mikroorganismen, die eine Schlüsselrolle in der Erhaltung der Hautgesundheit spielen. Sie bekämpfen pathogene also krankmachende Bakterien, die für Hautprobleme wie Akne verantwortlich sein können. Diese Mikroorganismen bilden somit eine Art schützende Barriere, die dann wiederum das Hautmikrobiom im Gleichgewicht hält. Unterstützung kannst Du den nützlichen Mikroorganismen durch einen gesunden Lebensstil, dem richtigen Essen und hochdosierten probiotischen Bakterien, wie zum Beispiel Skin Glow, geben. Studien The Gut Microbiome as a Major Regulator of the Gut-Skin Axis Gut microbiome of the Hadza hunter-gatherers Der Artikel dient lediglich der Informationsvermittlung in Bezug auf Probiotika und soll nicht als medizinische Empfehlung oder als Ersatz für professionelle medizinische Beratung oder Behandlung interpretiert werden.

    Haut und Darmflora: Warum die Gesundheit von beidem zusammenhängt

    Haut und Darmflora: Warum die Gesundheit von beidem zusammenhängt

    Das Wichtigste in Kürze Darm und Haut haben eine enge Verbindung durch die sogenannte Darm-Haut-Achse. Beide Organe sind Heimat einer reichen Mikroflora, also vielen verschiedenen Mikroorganismen. Über das Immunsystem sind Darm und Haut miteinander verbunden. Die Darmflora trägt dazu bei, die Haut gesund zu halten, indem sie das Immunsystem trainiert und Vitalstoffe bereitstellt. Externe Faktoren wie Sonne, Medikamente und schlechter Lebensstil können die Haut beeinflussen. Es gibt Studien, die zeigen, dass Darmgesundheit und Hautprobleme miteinander in Verbindung stehen. Ernährung spielt eine große Rolle: Manche Lebensmittel und Vitamine können sowohl dem Darm als auch der Haut helfen. Die Forschung bestätigt immer mehr die Bedeutung einer gesunden Darmflora für die Haut. Probiotika kann als Nahrungsergänzungsmittel dabei helfen, die Haut und Darmflora von innen zu verbessern. Unsere Haut und unsere Darmflora stehen in einer faszinierenden Wechselbeziehung. Der Darm, mit seiner vielfältigen Mikrobenwelt, beeinflusst unser Immunsystem, welches wiederum einen großen Einfluss auf die Hautgesundheit hat. Ein gesundes Darmmikrobiom kann Entzündungen im Körper reduzieren, was sich positiv auf Hautprobleme wie Akne oder Ekzeme auswirken kann. Kurz gesagt, eine gesunde Darmflora kann zu einer gesünderen Haut führen. Wie Haut und Darm beste Kumpels wurden Zwischen unserer Haut und unserer Darmflora besteht eine faszinierende Verbindung: zwei Schlüsselkomponenten unserer Gesundheit. Die embryonale Entwicklung enthüllt, dass Haut und Darm aus denselben Ursprungszellen, dem Ektoderm, entstehen. Dieses erstaunliche Faktum verdeutlicht die tiefe biologische Verbindung zwischen Hautgesundheit und Darmgesundheit. Ein gesundes Darmmikrobiom, reich an nützlichen Bakterien, ist entscheidend für die Aufrechterhaltung einer gesunden Haut. Dieser Zusammenhang bietet Einblicke in innovative Hautpflegestrategien und Darmgesundheitslösungen. Auf dieser Website erfährst Du mehr über die Wissenschaft hinter Hautpflege und Darmgesundheit und wie wir durch die Pflege unserer Darmflora auch unsere Hautgesundheit verbessern können. Für mehr Infos zu diesem Thema, schau Dir diese wissenschaftliche Studie an. Unser Darm Trainingscamp fürs Immunsystem Das Darmmikrobiom, unsere umfangreiche Darmflora, agiert als essentielles Trainingscamp für das Immunsystem. Es bietet eine unglaubliche Vielfalt an Mikroorganismen, die dem Immunsystem helfen, zwischen harmlosen und schädlichen Eindringlingen zu unterscheiden. Dieser ständige Kontakt fördert die Entwicklung einer Toleranz gegenüber nützlichen Mikroben, was wichtig ist, um übermäßige Immunreaktionen wie Allergien zu vermeiden. Gleichzeitig stimulieren bestimmte Mikroorganismen im Darm das Immunsystem, stärken es und unterstützen die Entwicklung wichtiger Immunzellen, wie T-Zellen. Die Darmflora unterstützt auch die Barrierefunktion des Darms, die verhindert, dass schädliche Substanzen in den Körper eindringen. Durch all diese Mechanismen spielt das Darmmikrobiom eine zentrale Rolle in der Ausbildung und Aufrechterhaltung eines effektiven Immunsystems. Ein gesundes Immunsystem sorgt wiederum für eine gesunde Haut! Problem mit der Haut Häufig wird die Haut als Indikator für unsere Emotionen und Lebensweise betrachtet. Hautprobleme wie Rötungen, Irritationen oder Akne stehen oft mit unserem inneren Wohlbefinden in Verbindung.Jede Haut altert im Laufe der Zeit, das ist ein normaler Prozess, aber es gibt Faktoren, die zusätzlichen Stress für die Haut bedeuten können und damit zu vorzeitiger Hautalterung führen kann.Übermäßige Sonneneinstrahlung, bestimmte Medikamente und ungeeignete Hautpflegeprodukte können die Haut belasten. Hinzu kommen Lebensstilfaktoren wie Schlafmangel, Rauchen, Stress und eine unzureichende Ernährung, die allesamt nachteilige Auswirkungen auf die Hautgesundheit haben können.  Gutes Essen für Haut und Darm: Was sie wirklich mögen Welche Darmbakterien sind gut für die Haut? Wenn Hautprobleme auftreten, könnte eine Ursache in einem unausgewogenen Darmmikrobiom liegen. Für einen gesunden Darm ist es entscheidend, ein Gleichgewicht zwischen verschiedenen Bakterienarten zu haben, einschließlich sowohl förderlicher als auch potenziell schädlicher Bakterien. Diese Diversität ist für die Erhaltung der Darmgesundheit unerlässlich.Besonders vorteilhaft für den Darm sind Milchsäurebakterien wie Lactobazillen und Bifidobakterien. Um jedoch effektiv zu funktionieren und uns zu unterstützen, benötigen diese nützlichen Mikroorganismen die richtige Nahrung, bekannt als Präbiotika. Diese versorgen die guten Bakterien mit dem, was sie brauchen, um zu gedeihen und positiv auf unsere Gesundheit einzuwirken. Ballaststoffe & Bitterstoffe: Warum sie wichtig sind Bitterstoffe sind wesentlich für die Darmflora, da sie die Verdauungsfunktionen anregen, die Produktion von Verdauungssäften fördern und damit die Nahrungszersetzung und -absorption verbessern. Diese Stoffe unterstützen zudem das Wachstum von nützlichen Bakterien im Darm, was ein ausgeglichenes Mikrobiom begünstigt. Zusätzlich zur Appetitregulierung wirken Bitterstoffe entzündungshemmend, was sowohl die Darmgesundheit als auch indirekt das Immunsystem stärkt.Ballaststoffe spielen ebenfalls eine entscheidende Rolle für die Darmflora. Sie sind in Obst, Gemüse und Vollkornprodukten enthalten und dienen als Präbiotika, also als Nahrung für die guten Darmbakterien. Unsere Probiotika enthalten auch präbiotische inhaltsstoffe wie Inulin und Oligosaccharide, die das Wachstum gesunder Bakterien fördern. Ein gesunder Darm wirkt sich wiederum positiv auf die Hautgesundheit aus. Ein glücklicher Darm ist also ein Schlüssel zu gesunder Haut. Was dem Darm und seinen Bakterien nicht schmeckt Zu wenig Ballaststoffe: Hungert gute Darmbakterien aus Viel Zucker: Fördert das Wachstum schlechter Mikroben Gesättigte Fette: Die tun weder dem Darm noch dem Herz gut. Zu viel Eiweiß: Das kann den Darm stören. Alkohol: Ein Zellgift, auch für die Zellen des Darms. Zusatzstoffe in Lebensmitteln: Können negativen Einfluß auf die Darmflora haben. Bestimmte Medikamente: Antibiotika und andere Medikamente können das Gleichgewicht des Mikrobioms stören Was dem Darm und seinen Bakterien schmeckt Ballaststoffe: Zu finden in Obst, Gemüse und Vollkorn, mehr unter Präbiotika. Bitterstoffe: Zum Beispiel in der Mariendistel und Artischocke. Die tun der Verdauung gut. Fermentierte Lebensmittel: Wie Sauerkraut, das ist super für die Darmflora. Gute Vitamine: A, B2, Niacin und Biotin für die Schleimhaut im Darm. Viel Flüssigkeit: Wasser und Kräutertees  Schonendes Kochen: Besser dämpfen oder garen statt braten oder frittieren. Richtig kauen und Zeit zum Essen: Das hilft dem Darm, alles besser zu verdauen. Wusstest Du das? Unser Darm liebt Bewegung! Wenn Du Sport machst, hilft das nicht nur Deinem Herzen, sondern auch Deiner Verdauung. Laut verschiedener Studien können bereits 30 Minuten leichten Ausdauersports wie Walken pro Tag schon einen großen Unterschied machen. Der Darm als Schönheits-Organ In unserem Darm leben viele Bakterien, die ein entscheidendes Wörtchen für unsere Gesundheit mitzusprechen haben. Sie helfen bei der Verdauung, trainieren unser Immunsystem und schützen uns. Außerdem produzieren sie Stoffe, die unsere Haut gesund erhalten und vor vorzeitiger Hautalterung schützen können. Also kann man von unserem Darm als Schönheitsorgan sprechen, denn er ist es, der uns auch von außen strahlen lässt! Gerät allerdings hier etwas aus dem gleichgewicht, so kann das die Haut schlecht aussehen lassen. Zum Beispiel können Stoffe wie Phenole und Paracresol die Darmbarriere stören und die Produktion von guten Stoffen für die Haut verändern. Phenole sind chemische Verbindungen, die oft in Desinfektionsmitteln und Konservierungsstoffen vorkommen. Paracresol ist eine Art von Phenol und wird manchmal in der Herstellung von Kunststoffen und Harzen verwendet. Beide können die schützende Schicht im Darm schwächen. Passiert das, so können weniger gute Stoffe produziert werden, die normalerweise der Haut helfen würden. Das kann dann zu Hautproblemen wie Trockenheit und Reizungen verbunden mit einer vorzeitigen Hautalterung führen. Fazit Die Haut ist weit mehr als nur eine Schutzschicht; sie reflektiert unsere innere Gesundheit und unser emotionales Wohlbefinden. Hautprobleme können sowohl physisch als auch psychisch belastend sein und oft liegt die Lösung in der Betrachtung unserer Darmgesundheit. Eine unausgewogene Darmflora kann häufig die Wurzel von Hautproblemen sein. Ein gesunder Darm trägt maßgeblich zu einer gesunden Haut bei. Daher ist es wichtig, das Gleichgewicht der Darmflora zu pflegen, um Hautprobleme von innen heraus zu bekämpfen. Entdecke, wie die Gesundheit des Darms und die Pflege Deiner Haut zusammenhängen, um ein umfassendes Bild Deiner körperlichen Gesundheit zu erhalten. Wenn Du noch nach dem richtigen Boost für Deine Haut suchst, kann Dir vielleicht unser Skin Glow helfen. Und wenn sich herausstellt, dass das Problem hartnäckiger ist, zögere nicht, professionelle Hilfe in Anspruch zu nehmen.  Studien The Gut Microbiome as a Major Regulator of the Gut-Skin Axis The role of microbiota, and probiotics and prebiotics in skin health Human Skin Is the Largest Epithelial Surface for Interaction with Microbes Der Artikel dient lediglich der Informationsvermittlung in Bezug auf Probiotika und soll nicht als medizinische Empfehlung oder als Ersatz für professionelle medizinische Beratung oder Behandlung interpretiert werden.

    Faecalibacterium prausnitzii

    Faecalibacterium prausnitzii

    Die Wichtigkeit von Faecalibacterium prausnitzii für einen gesunden Darm Bei erwachsenen Menschen, die gesund sind, zählt Faecalibacterium prausnitzii zu den vorherrschenden Darmbakterien, wobei es mehr als 5 Prozent der gesamten Bakterienflora ausmacht. Dieses Bakterium lebt ausschließlich unter strikt anaeroben Bedingungen, also in Umgebungen ohne Sauerstoff, weshalb es im sauerstoffarmen Milieu des Dickdarms zu finden ist. Dort spielt F. prausnitzii eine wichtige Rolle im Verdauungsprozess, indem es Ballaststoffe abbaut und dabei Butyrat, eine kurzkettige Fettsäure, produziert. Butyrat dient nicht nur als essentieller Nährstoff für die Zellen der Darmschleimhaut, sondern hat auch entzündungshemmende Eigenschaften, was es zu einem wichtigen Bestandteil für die Gesundheit und Funktion des Darmtrakts macht. [[blog_ad]] Faecalibacterium prausnitzii wirkt entzündungshemmend Faecalibacterium prausnitzii geht weit über die Produktion von Butyrat hinaus, indem es auch Salicylsäure und ein spezielles mikrobielles entzündungshemmendes Molekül (MAM) erzeugt.Diese Komponenten spielen eine wichtige Rolle bei der Reduzierung von Entzündungsprozessen im Darm.Forschungen zeigen, dass die Stoffwechselprodukte dieses Bakteriums die Aktivierung von entzündungsrelevanten Transkriptionsfaktoren und die Freisetzung pro-entzündlicher Zytokine wirksam hemmen können.Gleichzeitig fördern sie die Produktion entzündungshemmender Botenstoffe. Die Präsenz von F. prausnitzii ist entscheidend für die Darmgesundheit. Seine Abnahme im Darm steht in Verbindung mit einem erhöhten Risiko für entzündliche Darmerkrankungen und Darmkrebs.Speziell zeigt sich, dass geringere Mengen dieses Bakteriums mit einem höheren Wiederauftreten von Morbus Crohn nach Operationen verknüpft sind.Auch bei Personen mit Reizdarmsyndrom wurden verminderte Mengen festgestellt, was die Wichtigkeit eines ausgewogenen Mikrobioms für die Darmgesundheit unterstreicht. Faecalibacterium prausnitzii: Seine Rolle bei Typ-2-Diabetes Die Darmflora, eine komplexe Gemeinschaft von Mikroorganismen im Verdauungstrakt, beeinflusst weit mehr als nur die Verdauung. Ihre Stoffwechselprodukte, Zellwandbestandteile und die von ihr produzierten Signalmoleküle wie Hormone und Neurotransmitter haben Auswirkungen über den Darm hinaus. Veränderungen in dieser Mikrobiota stehen in Verbindung mit metabolischen Erkrankungen, darunter Adipositas und Typ-2-Diabetes.  Eine wichtige Funktion in diesem Kontext übernimmt die Darmbarriere. Untersuchungen, insbesondere an Tiermodellen, haben gezeigt, dass eine Beeinträchtigung dieser Barriere das Eindringen von Bakterien und deren Bestandteilen, wie zum Beispiel Lipopolysacchariden (LPS) aus der Zellwand Gram-negativer Bakterien, ins Innere des Körpers und in den Blutkreislauf ermöglicht. Diese fremden Substanzen können eine unterschwellige Entzündungsreaktion, eine sogenannte Silent Inflammation, auslösen, wenn sie mit dem Immunsystem unterhalb der Darmschleimhaut in Kontakt kommen. Solche Entzündungen können die Kommunikation in Stoffwechselgeweben beeinträchtigen und zu einer Insulinresistenz führen, bei der die Zellen weniger empfindlich auf Insulin reagieren, was das Risiko für die Entwicklung von Typ-2-Diabetes erhöht. Querschnittsstudien liefern Hinweise auf die wichtige Rolle bestimmter Darmbakterien in diesem Prozess. So wurde festgestellt, dass Mikrobiota wie Akkermansia muciniphila und insbesondere Faecalibacterium prausnitzii bei gesunden, schlanken Personen in höherer Anzahl vorhanden sind als bei Individuen mit Übergewicht oder metabolischen Störungen. Dies unterstreicht die Bedeutung einer gesunden Darmflora und insbesondere von F. prausnitzii bei der Prävention und möglicherweise der Behandlung von Typ-2-Diabetes. Wichtigkeit von Butyrat bei Typ 2 Diabetes Butyrat, eine im Dickdarm durch die Fermentation unverdauter Kohlenhydrate produzierte kurzkettige Fettsäure, ist entscheidend für die Ernährung der Darmschleimhautzellen und trägt zur Aufrechterhaltung eines gesunden pH-Wertes im Darm bei. Diese Säure wirkt effektiv gegen das Wachstum schädlicher Mikroorganismen und spielt eine wichtige Rolle im Schutz vor Darmkrebs und Entzündungen, indem sie die Vermehrung von gesunden Zellen fördert, das Wachstum von Krebszellen einschränkt und Entzündungsprozesse dämpft. Besonders für Personen mit Typ-2-Diabetes bietet Butyrat zahlreiche Vorteile: Verbesserung der Glukoseaufnahme: Butyrat unterstützt die Zellen bei der Aufnahme von Glukose in Reaktion auf Insulin, was der Entwicklung einer Insulinresistenz entgegenwirkt. Anregung der Insulinsekretion: Im Darm fördert Butyrat die Produktion von GLP-1, einem Hormon, das nach der Nahrungsaufnahme die Insulinproduktion anregt. Unterstützung der β-Zellen: In der Bauchspeicheldrüse beeinflusst Butyrat die Aktivität bestimmter Enzyme, was zu einer verbesserten Funktion und Langlebigkeit der Insulin-produzierenden Zellen führt. Durch diese mehrfachen positiven Effekte ist Butyrat einwichtiges Element in der Ernährung, das nicht nur die Darmgesundheit unterstützt, sondern auch eine wichtige Rolle bei der Kontrolle von Typ-2-Diabetes spielt. Die Erhöhung der Butyratproduktion im Darm durch eine ballaststoffreiche Ernährung könnte daher ein wirksamer Ansatz zur Verbesserung der Glukosetoleranz und zur Unterstützung der allgemeinen Gesundheit bei Diabetes-Patienten sein. Was fördert das Wachstum von Faecalibacterium prausnitzii? Faecalibacterium prausnitzii liebt bestimmte Ballaststoffe. Trotz des bekannten Sprichworts "Du bist, was du isst", bleibt der Verzehr von Ballaststoffen in der westlichen Ernährung meist weit hinter den Empfehlungen zurück. Ballaststoffe, insbesondere Inulin, Oligofruktose und resistente Stärke, die hauptsächlich in Obst, Gemüse und Vollkornprodukten vorkommen, sind essenziell für die Nahrung gesunder Darmbakterien und werden als präbiotisch bezeichnet. Ein Fokus auf pflanzliche Lebensmittel kann somit die Darmflora nachhaltig verbessern. Besonders die resistente Stärke zeichnet sich durch ihre Fähigkeit aus, Butyrat-produzierende Bakterien wie F. prausnitzii zu fördern. Diese Stärkeform widersteht menschlichen Verdauungsenzymen und erreicht den Dickdarm unverdaut, wo sie von Mikrobiota verarbeitet wird und zur Bildung kurzkettiger Fettsäuren beiträgt. Resistente Stärke gliedert sich in verschiedene Typen, darunter: Typ 2: vorwiegend in grünen Bananen zu finden, verwandelt sich bei der Reifung in verdauungsfähige Stärke. Der Verzehr leicht unreifer Bananen ist daher empfehlenswert. Typ 3: auch bekannt als retrogradierte Stärke, findet sich in abgekühlten, stärkehaltigen Lebensmitteln wie Kartoffeln, Nudeln und Reis. Ein abgekühlter Kartoffelsalat enthält somit mehr Ballaststoffe als warme Kartoffelgerichte. Erhitzte und wieder abgekühlte Hülsenfrüchte, einschließlich tiefgekühlter Erbsen, sind ebenfalls gute Quellen für resistente Stärke. Um die Vorteile der resistente Stärke voll auszuschöpfen, wird empfohlen, pro Mahlzeit etwa 6 Gramm zu sich zu nehmen, was rund 18 Gramm täglich entspricht.Studien zeigen jedoch, dass die durchschnittliche Aufnahme in einer typischen westlichen Diät bei etwa 5 Gramm pro Tag liegt, was deutlich unter dem empfohlenen Wert liegt.Durch die bewusste Integration resistenter Stärke in die Ernährung kann die Gesundheit des Darms und insbesondere die Population von F. prausnitzii effektiv gefördert werden, was wiederum positive Auswirkungen auf die gesamte Körpergesundheit hat. Faecalibacterium prausnitzii in probiotischen Nahrungsergänzungen Obwohl Faecalibacterium prausnitzii eine zentrale Rolle für die Darmgesundheit spielt, insbesondere durch die Produktion von entzündungshemmenden Fettsäuren, ist es derzeit nicht möglich, dieses Bakterium lebend in probiotischen Nahrungsergänzungsmitteln zu erwerben. Die Gründe hierfür liegen in der hohen Sauerstoffempfindlichkeit von F. prausnitzii und seinen spezifischen Wachstumsanforderungen, die außerhalb eines spezialisierten Labors schwer zu erfüllen sind. Zusätzlich erschweren strenge regulatorische Hürden die Zulassung als sicherer und wirksamer Bestandteil für den menschlichen Konsum, was die Herstellung von F. prausnitzii als Nahrungsergänzungsmittel derzeit unpraktikabel macht. Als Alternative wird der Fokus darauf gelegt, die natürlichen Wachstumsbedingungen von F. prausnitzii im menschlichen Darm zu fördern. Dies erfolgt unter anderem durch den Einsatz präbiotischer Substanzen, die als Nahrungsquelle für dieses Bakterium dienen, sowie durch die Kombination mit anderen, leichter zu handhabenden probiotischen Bakterienstämmen. Laktobazillen und Bifidobakterien können indirekt zur Unterstützung der Butyratproduktion beitragen, indem sie entweder das Wachstum von Butyrat-produzierenden Bakterien fördern oder präbiotische Substrate zur Verfügung stellen, die von diesen Bakterien fermentiert werden können. Darüber hinaus tragen diese probiotischen Stämme direkt zur Förderung der Darmgesundheit bei, indem sie das mikrobielle Gleichgewicht unterstützen, die Verdauung verbessern und das Immunsystem stärken. Die Förderung von F. prausnitzii im Darm durch indirekte Methoden stellt somit eine praktikable und vielversprechende Strategie dar, um die gesundheitlichen Vorteile dieses Bakteriums zu nutzen, während die Forschung weiterhin Möglichkeiten zur direkten Anwendung in probiotischen Formulierungen sucht. Fazit Faecalibacterium prausnitzii spielt eine zentrale Rolle in der menschlichen Darmgesundheit, vor allem durch die Produktion der entzündungshemmenden Fettsäure Butyrat sowie weiterer bioaktiver Moleküle. Seine Anwesenheit im Darm ist entscheidend für die Aufrechterhaltung der Darmbarriere, die Verminderung von Entzündungen und die Prävention von Krankheiten wie entzündlichen Darmerkrankungen und Typ-2-Diabetes. Eine Ernährung, die reich an spezifischen Ballaststoffen wiedie aus der Akazienfaser, Inulin, Oligofruktose und resistenter Stärke ist, kann das Wachstum von F. prausnitzii fördern und somit einen positiven Einfluss auf die Darmflora und die allgemeine Gesundheit haben. Obwohl F. prausnitzii derzeit aufgrund seiner Sauerstoffempfindlichkeit und spezifischen Wachstumsanforderungen nicht direkt in probiotischen Präparaten verfügbar ist, können präbiotische Substanzen und andere probiotische Stämme indirekt seine Funktionen unterstützen und das mikrobielle Gleichgewicht im Darm fördern.

    Enterococcus faecium

    Enterococcus faecium (E. faecium)

    Was ist Enterococcus faecium? Enterococcus faecium, auch kurz als E. faecum bezeichnet, ist ein Bakterium, das natürlicherweise im Darm von Menschen und Tieren vorkommt und in vielen fermentierten Lebensmitteln gefunden werden kann. Laut vieler wissenschaftlicher Studien zählt E. faecum zu den besonders wirksamen Probiotika. Hier sind einige Gründe, warum E. faecium als Probiotikum eingesetzt wird: Verbesserung der Darmgesundheit: E. faecium kann dazu beitragen, das Gleichgewicht der Darmflora zu erhalten oder wiederherzustellen, indem es die Zahl nützlicher Bakterien erhöht. Dies kann besonders nach Antibiotikabehandlungen wichtig sein, die die natürliche Darmflora schädigen können. Stärkung des Immunsystems: Einige Studien deuten darauf hin, dass E. faecium das Immunsystem stärken kann, indem es die Produktion von Antikörpern und anderen wichtigen Immunreaktionen fördert. Prävention und Behandlung von Durchfall: Probiotische Stämme von E. faecium wurden zur Vorbeugung und Behandlung von Durchfall verschiedener Ursachen eingesetzt, einschließlich antibiotikaassoziierter Diarrhö. Prävention von Infektionen: Es gibt Hinweise darauf, dass E. faecium helfen kann, bestimmte pathogene Bakterien zu bekämpfen und das Risiko von Infektionen im Verdauungstrakt zu reduzieren. [[blog_ad]] Natürliches Vorkommen Es gehört zu den Enterokokken, einer Gruppe von Bakterien, die in verschiedenen Umgebungen zu finden sind, einschließlich Boden, Wasser und Nahrungsmitteln. In der menschlichen Darmflora spielt E. faecium eine Rolle bei der Aufrechterhaltung des mikrobiellen Gleichgewichts und trägt zur gesunden Darmfunktion bei. Enterococcus faecium findet man häufig in fermentierten Lebensmitteln. Hier sind einige Beispiele: Käse: Bestimmte Käsesorten, besonders solche, die während ihrer Reifung fermentiert werden, können E. faecium enthalten. Es trägt zur Aromabildung und Textur des Käses bei. Joghurt und andere fermentierte Milchprodukte: Auch in Joghurt und anderen fermentierten Milchprodukten wie Kefir kann E. faecium vorhanden sein, wo es zur Säuerung und Verdickung beiträgt. Sauerkraut: Bei der Fermentation von Sauerkraut können ebenfalls Enterokokken, einschließlich E. faecium, beteiligt sein. Gemüsefermente: Ähnlich wie bei Sauerkraut kann E. faecium auch bei der Fermentation anderer Gemüsesorten, wie z.B. Kimchi, eine Rolle spielen. Diese Mikroorganismen sind für den Fermentationsprozess von entscheidender Bedeutung, da sie zur Entwicklung des Geschmacks, der Textur und der Haltbarkeit der Lebensmittel beitragen. Achte bitte beim Kauf darauf, dass die Probiotika enthaltenen Lebensmittel nicht pasteurisiert wurden, denn dadurch wurden die nützlichen Mikrooragnismen abgetötet und verlieren ihre probiotische Wirkung. Enterococcus faecium ein Krankenhauskeim? Enterococcus faecium gehört zu den nützlichen Mikroorganismen, da es eine wesentliche Rolle für eine gesunde Darmflora spielt und zur Förderung der Verdauung beiträgt. Zudem ist E. faecium in fermentierten Nahrungsmitteln anzutreffen. Während es normalerweise vorteilhaft ist, können einige seiner Stämme, insbesondere in Krankenhäusern bei Personen mit geschwächtem Immunsystem, Infektionen verursachen. Diese speziellen, antibiotikaresistenten Stämme werden oft als "Krankenhauskeime" bezeichnet. Das unterstreicht nachdrücklich die Bedeutung von Hygienepraktiken in medizinischen Einrichtungen, die gefährdete Personen schützen müssen. Der Artikel dient lediglich der Informationsvermittlung in Bezug auf Probiotika und soll nicht als medizinische Empfehlung oder als Ersatz für professionelle medizinische Beratung oder Behandlung interpretiert werden.

    Lactobacillus rhamnosus

    Lactobacillus rhamnosus

    Welche Eigenschaften hat Lactobacillus rhamnosus? Es ist ein natürlicher Bestandteil der Darmflora, der den Verdauungstrakt besiedeln und dort aktiv bleiben kann. Lactobacillus rhamnosus kann die Gesundheit auf vielfältige Weise unterstützen: Verbesserung der Darmgesundheit: Lactobacillus rhamnosus kann die Stärkung der Darmwand fördernund zur Verminderung von Entzündungen beitragen. Diese Eigenschaften sind besonders wichtig für die Prävention und Behandlung von entzündlichen Darmerkrankungen. Schutz vor schädlichen Bakterien: Durch das Anhaften an die Darmschleimhaut kann Lactobacillus rhamnosus das Wachstum pathogener Bakterien hemmen, was den Schutz der Darmschleimhaut verstärken kann. Förderung der Nährstoffaufnahme: Lactobacillus rhamnosus kann die Verdauung verbessern und bei der effektiven Aufnahme von Nährstoffen aus der Nahrung helfen. Unterstützung eines gesunden Mikrobioms: Mit seiner Fähigkeit, schnell und dauerhaft den Darm zu besiedeln, unterstützt Lactobacillus rhamnosus das Gleichgewicht der Darmflora und fördert eine gesunde Darmumgebung. Stärkung des Immunsystems: Lactobacillus rhamnosus kann zur Modulation der Immunantwort beitragen und kann sowohl bei der Prävention als auch bei der Behandlung von chronischen Entzündungen und allergischen Erkrankungen hilfreich sein. [[blog_ad]] Natürliches Vorkommen von Lactobacillus rhamnosus Lactobacillus rhamnosus ist ein probiotischer Bakterienstamm, der in verschiedenen fermentierten Lebensmitteln vorkommt. Zu den Lebensmitteln, in denen Lactobacillus rhamnosus natürlich auftreten kann oder denen es während des Fermentationsprozesses zugesetzt wird, gehören: Joghurt, Kefir, Sauerkraut und in manchen Käsesorte. within® verwendet Multispezies-Probiotika Bei der Entwicklung unseres Probiotikums haben wir uns bewusst für einen vielseitigen Mix aus Bakterienstämmen (Multispezies) entschieden, anstatt uns allein auf Lactobacillus rhamnosus zu verlassen. Diese Entscheidung fußt auf dem Verständnis, dass Deine Darmflora einzigartig ist und eine breite Auswahl an Bakterienstämmen Dir eine umfassendere Unterstützung für Deine Darmgesundheit bietet. Die Vielfalt der Mikroorganismen in probiotischen Produkten kann unterschiedliche gesundheitliche Vorteile bieten. Neben Lactobacillus rhamnosus gibt es mehrere andere probiotische Stämme, die unterschiedliche positive Auswirkungen auf die Gesundheit haben können und sogar synergetische Effekte besitzen.  Die Wirkung von Probiotika hängt von vielen Faktoren ab, einschließlich des spezifischen Stammes, der Dosierung und des individuellen Darmmikrobioms. Ein Multistrain-Mix von Probiotika kann dazu beitragen, das Mikrobiom des Körpers umfassender zu unterstützen. Unser speziell zusammengestellter Bakterienmix soll die Vielfalt und Stärke Deiner Darmflora fördern, was zu einer verbesserten Verdauung, einer kräftigeren Immunabwehr und einem insgesamt besseren Wohlbefinden beitragen kann. Durch die Kombination unterschiedlicher probiotischer Stämme möchten wir Synergieeffekte nutzen, die dir potenziell mehr gesundheitliche Vorteile bieten, als es ein einzelner Stamm könnte. Unser Ziel bei within ist es, dir die bestmögliche Unterstützung für Hautgesundheit, Gewichtskontrolle, Immunabwehr und Schlafzu bieten, in dem wir die Komplexität und Vielfalt deines Mikrobioms berücksichtigen. Der Artikel dient lediglich der Informationsvermittlung in Bezug auf Probiotika und soll nicht als medizinische Empfehlung oder als Ersatz für professionelle medizinische Beratung oder Behandlung interpretiert werden. 

    Milchsäurebakterien

    Milchsäurebakterien

        Laktobazillen Laktobazillen sind eine Untergruppe von Milchsäurebakterien, die ausschließlich Milchzucker (Laktose) in Milchsäure umwandeln. Es gibt eine Vielzahl von Laktobazillen-Arten wie Lactobacillus acidophilus, Lactobacillus salivarius, Lactobacillus gasseri, Lactobacillus casei und Lactobacillus plantarum, die sich in ihren Wachstumsbedingungen und biologischen Eigenschaften unterscheiden. Doch sie alle haben eines gemeinsam: Sie können dazu beitragen, unsere Darmgesundheit zu unterstützen und das Gleichgewicht der Darmflora zu fördern.   Daher zählen Laktobazillen zu den Probiotika, die uns auf vielen Ebenen gesundheitlich unterstützen können. Wenn du deine Darmgesundheit fördern möchten, kannst du durch den Verzehr von fermentierten Milchprodukten oder durch die gezielte Einnahme von probiotischen Ergänzungen deinen Körper mit wertvollen Milchsäurebakterien versorgen.[[blog_ad]] Welche Milchsäurebakterien findet man im Darm? Im Darm leben hunderte verschiedener Arten von Mikroorganismen, die zusammen ein eigenes komplexes Ökosystem bilden.Unter ihnen sind auch Milchsäurebakterien wie Lactobacillus und Bifidobacterium, die etwa 10-20% der Gesamtmikrobiota ausmachen. Neben Bifidobacterium longum gehören auch Streptococcus thermophilus und Lactococcus lactis  zu den Milchsäurebakterien, die zu den Darmbakterien zählen. Milchsäurebakterien sind nicht nur im Darm, sondern auch in verschiedenen Lebensmitteln und Probiotika in Kapseln zu finden.  Milchsäurebakterien können uns auf vielen verschiedenen Ebenen gesundheitlich unterstützen. Zum Beispiel können sie helfen, die Darmgesundheit zu fördern, indem sie die Zusammensetzung der Darmflora verbessern. Außerdem können sie dazu beitragen, das Immunsystem zu stärken und die Verdauung zu regulieren. Es gibt viele wissenschaftlich belegte Gründe, warum Milchsäurebakterien für unsere Gesundheit wichtig sind. Sie können uns helfen, Krankheiten vorzubeugen und das Wohlbefinden zu steigern. Daher sollten wir uns bemühen, unsere Darmflora mit einer gesunden Ernährung und gegebenenfalls durch die Einnahme von probiotischen Ergänzungen zu unterstützen.    Unterstützen Milchsäurebakterien das Abnehmen? Es gibt einige Hinweise darauf, dass Probiotika, insbesondere Milchsäurebakterien, das Abnehmen unterstützen können. Eine wachsende Anzahl von Studien hat gezeigt, dass das Bakterienspektrum im Darm eine wichtige Rolle bei der Regulierung des Stoffwechsels und der Aufrechterhaltung eines gesunden Gewichts spielt (5) (6). Welche gesundheitlichen Vorteile hat die Einnahme von Milchsäurebakterien Tabletten? Milchsäurebakterien können viele gesundheitliche Vorteile haben, die abhängig von der Bakteriengattung und Bakterienart sind. So können Milchsäurebakterien u.a. unsere Darmgesundheit und unsere Darmflora verbessern (1). Milchsäurebakterien können bei der Linderung von chronischen Verdauungsbeschwerden und auch bei chronischen Darmerkrankungen unterstützend helfen (2) (3). Außerdem zeigen Studien, dass die Einnahme von Milchsäurebakterien die Nährstoffaufnahme verbessern kann und auch einem Leaky Gut vorbeugen kann (4).  Milchsäurebakterien können ebenfalls das Abnehmen unterstützen, bei der Regulierung des Lipidstoffwechsels und des Blutzuckerspiegels helfen (5) (6).  Auch in der Scheide sorgen Milchsäurebakterien für das dort erforderliche saure Milieu und verhindern damit Infektionen der Scheide.  Bei Säuglingen können sie zur Linderung von Koliken beitragen und von Schwangeren eingenommen, können sie für ein geringeres Allergierisiko des ungeborenen Kindes und bei Mutter und Kind für ein niedrigeres Infektionsrisiko sorgen. Selbst auf unsere mentale Gesundheit können Milchsäurebakterien Einfluss nehmen (7). Zusammenfassend zeigt, dass Milchsäurebakterien auf verschiedenen Ebenen viele gesundheitlichen Effekte haben kann. Diese gesundheitsfördernde Wirkungen können auch von der Gattung und Art der Milchsäurebakterien abhängig sein. Wie lange sollten Milchsäurebakterien eingenommen werden? Es gibt zwei Arten von Probiotika: residente und transiente.  Residente Bakterienstämme können sich langfristig im Darm ansiedeln, während transiente Bakterienstämme nach ihrer Passage durch den Magen-Darm-Trakt wieder ausgeschieden werden. Beide Arten können unsere Darmflora unterstützen.  Um eine nachhaltige Wirkung zu erzielen, empfiehlt es sich, transiente Bakterienstämme längerfristig einzunehmen.  Positive Effekte auf die Verdauung und den Stuhlgang können bereits wenige Tage nach Einnahme der Probiotika beobachtet werden.  Hier erfährst Du mehr, über den idealen Zeitpunkt Deiner Probiotika Einnahme. Nach Wochen bis Monaten kann es zu positiven Auswirkungen auf das Immunsystem, die Haut und andere Körpersysteme kommen.  Wir empfehlen Milchsäurebakterien mindestens über einen Zeitraum von 6 - 8 Wochen einzunehmen, idealerweise langfristig. So können alle gesundheitlichen Effekte auch ausgeschöpft werden. Was enthält die meisten Milchsäurebakterien? Milchsäurebakterien sind für unsere Gesundheit von großer Bedeutung und spielen eine wichtige Rolle für unsere Darmflora. Diese Bakterien sind in fermentierten Lebensmitteln wie Joghurt, Kefir, Kimchi oder Sauerkraut zu finden, aber auch als Nahrungsergänzungsmittel in Form von Tabletten erhältlich. Im Gegensatz zu fermentierten Lebensmitteln können Nahrungsergänzungsmittel wie unsere within® Tabletten mit Milchsäurebakterien höher dosiert sein und eine höhere Anzahl an Bakterien enthalten. Unsere within® Tabletten enthalten 10 Milliarden Bakterien pro Tablette und sind damit optimal auf eine hochwertige und effektive Dosierung abgestimmt. Für Menschen, die Schwierigkeiten haben, ausreichende Mengen an Milchsäurebakterien durch fermentierte Lebensmittel aufzunehmen oder einfach eine praktische Alternative suchen, können Nahrungsergänzungsmittel eine gute Wahl sein. Wann nimmt man Milchsäurebakterien ein? Auch wenn es ein paar Vorteile gibt, die Milchsäurebakterien kurz vor der ersten Mahlzeit einzunehmen, ist das Wichtigste bei der Einnahme von Milchsäurebakterien die Regelmäßigkeit. Es ist am besten, die Einnahme von Milchsäurebakterien in deinen eigenen Rhythmus und deine Bedürfnisse anzupassen, denn nur, wenn du sie regelmäßig einnimmst, können sie ihre Wirkung erzielen. Dürfen Milchsäurebakterien während der Schwangerschaft eingenommen werden? Milchsäurebakterien sind als sicher eingestuft und können während der Schwangerschaft eingenommen werden.  Es kann sogar vorteilhaft sein, während der Schwangerschaft Milchsäurebakterien zu sich zu nehmen, da sie dazu beitragen können, das Immunsystem zu stärken und das Wohlbefinden zu verbessern.  Es wurde gezeigt, dass eine ausreichende Versorgung mit Milchsäurebakterien während der Schwangerschaft das Risiko von Infektionen und Allergien beim Neugeborenen reduzieren kann. Erfahre hier mehr über Probiotika Einnahme während der Schwangerschaft. Milchsäurebakterien vaginal Milchsäurebakterien sind auch ein wichtiger Bestandteil der vaginalen Mikroflora und tragen zur Gesundheit der Vagina bei. Sie helfen dabei, den pH-Wert im Bereich von 3,8 bis 4,5 zu halten, was eine ungünstige Umgebung für pathogene Bakterien und Pilze schafft.  Ein Mangel an Milchsäurebakterien kann dazu führen, dass der pH-Wert steigt und die Vagina anfälliger für Infektionen wird.  Eine Erhöhung der Milchsäurebakterien kann zum Beispiel durch die Einnahme von Milchsäurebakterien in Tabletten erfolgen.  Sind Milchsäurebakterien vegan? Mikroorganismen wie Milchsäurebakterien besitzen kein zentrales Nervensystem und kein Bewusstsein und unterscheiden sich anatomisch grundlegend von Eukaryoten (höhere Lebewesen wie Pflanzen und Tiere). Ob die durch fermentation gewonnenen Lebensmittel vegan sind, hängt also vielmehr davon ab, welcher Ausgangsstoff milchsauer fermentiert worden ist. Vegan lebende Personen können Nahrungsergänzungsmittel, die Milchsäurebakterien enthalten, ohne schlechtes Gewissen verzehren und von ihrem gesundheitlichen Nutzen profitieren. Bitte achte auf die weiteren Inhaltsstoffe, um sicherzustellen, dass auch diese vegan sind. Alle unsere within® Produkte sind selbstverständlich vegan und demzufolge auch laktosefrei. Erfahre hier, ob alle Probiotika vegan sind! Haben Milchsäurebakterien Nebenwirkungen? Milchsäurebakterien sind sicher und haben kaum Nebenwirkungen.  In ganz seltenen Fällen kann es zu leichten Magen-Darm-Beschwerden wie Blähungen oder Verstopfung kommen. Dies kann jedoch auch eine sogenannte "Erstverschlimmerung" sein, was bedeutet, dass die Bakterienstämme im Darm ankommen und Veränderungen bewirken. Diese Erstverschlimmerung sollte normalerweise nicht länger als zwei Wochen dauern. Bitte halte dich an die empfohlene Dosierung.  Wir sind da für dich! Wenn du Fragen hast, kontaktiere uns hier! Milchsäurebakterien gegen Helicobacter pylori Wenn Antibiotika gegen eine Helicobacter pylori-Infektion eingenommen werden, kann dies das natürliche Darm Mikrobiom beeinträchtigen.  Ein Gleichgewicht der Bakteriengemeinschaft im Mikrobiom ist unerlässlich für unsere Gesundheit.  Studien zeigen, dass die Einnahme von Probiotika während der Behandlung mit Antibiotika die Nebenwirkungen reduzieren und die Wirksamkeit der Behandlung erhöhen kann.  Wir empfehlen parallel zur Antibiotika-Therapie die Einnahme eines hochwertigen Probiotikums, um das Darm Mikrobiom zu unterstützen. Achte bitte darauf die Antibiotika und Probiotika zeitversetzt einzunehmen, da die Antibiotika ansonsten die Wirksamkeit der Probiotika beeinträchtigen können. Erfahre hier mehr über die gleichzeitige Einnahme von Probiotika und Antibiotika. Wo sind die meisten Milchsäurebakterien drin? Wie viele Milchsäurebakterien in fermentierten Lebensmitteln enthalten sind, kann sehr variieren. Es hängt von der Herstellung und auch von der Lagerung ab. Die Konzentration von Milchsäurebakterien in Nahrungsergänzungen ist meist bedeutend höher sein als in fermentierten Lebensmitteln. Achte beim Kauf von Milchsäurebakterien auf einen seriösen Hersteller und vor allem auf quantitativ hochwertige Inhaltsstoffe. Außerdem können gefriergetrocknete Milchsäurebakterien von Vorteil sein, da sie nicht so temperaturempfindlich sind und somit nicht im Kühlschrank aufgehoben werden müssen. Analyse Zertifikat Zusammenfassung Milchsäurebakterien Milchsäurebakterien sind lebende Mikroorganismen, die natürlicherweise in unserem Magen-Darm-Trakt vorkommen und eine wichtige Rolle für unsere Gesundheit spielen. Sie können durch den Verzehr von fermentierten Lebensmitteln wie Joghurt oder durch die Einnahme von Tabletten in höherer Dosierung zugeführt werden.Milchsäurebakterien unterstützen laut verschieder Studien eine gesunde Darmflora.Eine regelmäßige und längerfristige Einnahme von Milchsäurebakterien kann viele positive Effekte auf die Darmgesundheit und das allgemeines Wohlbefinden haben. FAQs Milchsäurebakterien Für was sind Milchsäurebakterien gut? Milchsäurebakterien können dazu beitragen, die Darmflora im Gleichgewicht zu halten. Damit verbunden gibt es viele gesundheitliche Vorteile für uns, so können sie beispielsweise die Verdauung verbessern, das Immunsystem stärken und das Risiko von Infektionen reduzieren. In welchem Essen sind Milchsäurebakterien? Milchsäurebakterien sind in vielen fermentierten Lebensmitteln zu finden, einige Beispiele sind: Joghurt: Joghurt wird durch die Zugabe von Milchsäurebakterien hergestellt, die Milchzucker in Milchsäure umwandeln und ihm seinen säuerlichen Geschmack verleihen. Käse: Einige Arten von Käse, wie z.B. Cheddar, Roquefort und Boursault, werden durch Milchsäurebakterien hergestellt. Sauerkraut: Sauerkraut wird durch die natürliche Fermentation von Kohl hergestellt. Kimchi: Kimchi ist ein koreanisches fermentiertes Gemüse, das durch die Zugabe von Milchsäurebakterien hergestellt wird. Pickles: Gewürzgurken werden durch die natürliche Fermentation von Gurken produziert. Kombucha: Kombucha ist ein fermentiertes Teegetränk, das durch die Zugabe von Milchsäurebakterien gewonnen wird. Es ist wichtig zu beachten, dass nicht alle fermentierten Lebensmittel Milchsäurebakterien enthalten und es auch Fertigprodukte gibt, die mit Milchsäurebakterien angereichert wurden. Daher gilt für Lebensmittel wie auch für probiotische Nahrungsergänzungsmittel, achte bitte auf seriöse Hersteller und qualitativ hochwertige Inhaltsstoffe, um die gesundheitlichen Benefits der Milchsäurebakterien zu erhalten. Sollte man Milchsäurebakterien als Kur einnehmen? Milchsäurebakterien sollten längerfristig eingenommen werden, somit kannst Du sie auch als Kur einnehmen. Nur langfristig eingenommen können sie ihre gesundheitlichen Effekte für Dich entfalten. Gibt es Milchsäurebakterien als Zäpfchen? Ja, gibt es. Milchsäurebakterien spielen eine wichtige Rolle beim Erhalt des natürlichen Gleichgewichts der Scheidenflora. Wenn Scheidenpilz häufig auftritt, können Milchsäurebakterien helfen, indem sie in die Scheide eingeführt werden.  Direkt nach einer Pilzbehandlung können Milchsäurebakterien als Zäpfchen die Scheidenflora wiederherstellen. Bitte suche bei Problemen im Intim-Bereich immer zuerst Deinen Gynäkologen auf. Wir sind auch für Dich da, wenn Du bei Fragen hast, kontaktiere uns hier. Studien Milchsäurebakterien (1) Bifidobacteria and Their Health-Promoting Effect (2) Probiotics for the prevention and treatment of antibiotic-associated diarrhea  (3) Bifidobacterium Longum: Protection against Inflammatory Bowel Disease (4) A human-origin probiotic cocktail ameliorates aging-related leaky gut and inflammation via modulating the microbiota/taurine/tight junction axis  (5) Effects of Synbiotic Supplement on Human Gut Microbiota, Body Composition and Weight Loss in Obesity  (6) Daily supplementation with the Lab4P probiotic consortium induces significant weight loss in overweight adults  (7) Probiotic Supplementation Improves Cognitive Function and Mood with Changes in Gut Microbiota in Community-Dwelling Older Adults   Der Artikel dient lediglich der Informationsvermittlung in Bezug auf Probiotika und soll nicht als medizinische Empfehlung oder als Ersatz für professionelle medizinische Beratung oder Behandlung interpretiert werden.  

    Lactobacillus paracasei: Ein Probiotikum mit vielseitigen gesundheitlichen Vorteilen

    Lactobacillus paracasei: Ein Probiotikum mit vielseitigen gesundheitlichen Vorteilen

    Beschreibung und Eigenschaften von Lactobacillus paracasei Lactobacillus paracasei ist ein unbewegliches, stäbchenförmiges probiotisches Bakterium, das natürlicherweise in fermentierten Lebensmitteln wie Milch oder Fleisch vorkommt und auch ein wichtiger Bestandteil der menschlichen Darmflora ist. Es ist ein fakultativ heterofermentatives Bakterium, das L-(+)-Milchsäure produziert und in einem breiten Temperaturbereich wächst. Das bedeutet Lactobacillus paracasei ist eine Bakterienart, die sich an unterschiedliche Umgebungen anpassen kann. Es kann verschiedene Arten von Zucker nicht nur zu einer, sondern zu mehreren Substanzen, darunter L-(+)-Milchsäure, abbauen. Außerdem kann es bei einer Vielzahl von Temperaturen wachsen, was es sehr flexibel macht. [[blog_ad]] Medizinische Bedeutung und Anwendungsbereiche Wirkung gegen Durchfall und Karies Lactobacillus paracasei hat sich in der Medizin als wirksam gegen Durchfallerkrankungen, insbesondere solche, die durch das Bakterium Escherichia coli verursacht werden, erwiesen. Zudem wurde es erfolgreich gegen Karies eingesetzt, da es die Fähigkeit besitzt, sich an kariesauslösende Bakterien wie Streptococcus mutans anzudocken und deren Anhaftung an den Zähnen zu verhindern. Einfluss auf Stress und Darmprobleme Studien zeigen, dass Lactobacillus paracasei einen signifikanten Zusammenhang mit der Reduzierung von Stress und stress-induzierten Darmproblemen aufweist. Dies verdeutlicht die Rolle von L. paracasei in der Interaktion zwischen Darm und Gehirn. Die Rolle von Lactobacillus paracasei im Darmmikrobiom Modulation des Darmmikrobioms Lactobacillus paracasei unterstützt die Gesundheit des Darmmikrobioms, indem es sich an das Darmepithel anlagert und die Kommunikation zwischen den Darmbakterien verbessert. Dies trägt zur Modulation des Immunsystems und zur Stärkung des Darmepithels bei. Regulierung entzündlicher Prozesse Lactobacillus paracasei ist in der Lage, proinflammatorische Zytokine zu regulieren und entzündungshemmende Prozesse zu fördern. Dies macht es zu einem wichtigen Bestandteil bei der Behandlung und Prävention entzündlicher Darmerkrankungen und Reizdarmsyndroms. Fazit Lactobacillus paracasei ist ein vielseitiges probiotisches Bakterium mit zahlreichen gesundheitlichen Vorteilen. Von der Unterstützung bei Verdauungsproblemen und Stressbewältigung bis hin zum Schutz vor Karies bietet L. paracasei eine natürliche Lösung für eine Vielzahl von Gesundheitsbedenken.Es ist ein wichtiger Bestandteil der Darmflora und trägt wesentlich zur Aufrechterhaltung des Gleichgewichts im Darmmikrobiom bei.   Der Artikel dient lediglich der Informationsvermittlung in Bezug auf Probiotika und soll nicht als medizinische Empfehlung oder als Ersatz für professionelle medizinische Beratung oder Behandlung interpretiert werden.

    Lactobacillus acidophilus

    Lactobacillus acidophilus: Ein Probiotikum für´s Wohlbefinden

    Was ist Lactobacillus acidophilus? Lactobacillus acidophilus gehört zu den probiotischen Bakterien, die in fermentierten Lebensmitteln wie Joghurt und Sauerkraut vorkommen. Lactobacillus acidophilus ist ein fakultativ anaerobes, Gram-positives Bakterium, das bedeutet, es kann sowohl in sauerstoffreichen als auch in sauerstoffarmen Umgebungen überleben.Diese Flexibilität macht es zu einem robusten und anpassungsfähigen Bewohner des menschlichen Verdauungstrakts.Als Gram-positives Bakterium besitzt es eine charakteristische dicke Zellwand, die es in der mikrobiologischen Gram-Färbung erkennbar macht.Diese Eigenschaften tragen dazu bei, dass Lactobacillus acidophilus effektiv im Darm funktionieren kann, wo es zur Erhaltung eines gesunden Darmmikrobioms beiträgt, die Verdauung unterstützt und das Immunsystem stärkt. [[blog_ad]] Die Vorteile von Lactobacillus acidophilus Ein natürlicher Helfer für Ihren Darm Lactobacillus acidophilus verbessert die Darmgesundheit, indem es sich an das Darmepithel anlagert und die Kommunikation der Darmbakterien unterstützt. Dies kann helfen, Verdauungsprobleme zu lindern und das Immunsystem zu stärken. Unterstützung bei Verdauungsbeschwerden Klinische Studien haben gezeigt, dass Lactobacillus acidophilus effektiv bei der Behandlung von Symptomen wie Durchfall und Reizdarmsyndrom helfen kann. Seine Fähigkeit, in der rauen Umgebung des Magen-Darm-Trakts zu überleben, macht es besonders wirksam. Lactobacillus acidophilus und seine Wirkungsweise Entzündungshemmende Wirkung Lactobacillus acidophilus ist bekannt für seine entzündungshemmenden Eigenschaften. Es kann insbesondere bei Beschwerden, die durch Laktoseintoleranz verursacht werden, Linderung bieten. Verschiedene Stämme für verschiedene Bedürfnisse Es gibt verschiedene Stämme von Lactobacillus acidophilus, die jeweils ihre eigenen spezifischen Vorteile haben. Wählen Sie den passenden Stamm für Ihre individuellen Gesundheitsbedürfnisse. Gewichtszunahme oder -abnahme durch L. acidophilus Es gab eine Studie von 2012 , die besagte, dass die Einnahme von Lactobacillus gasseri zu einer Gewichtszunahme führen wurde. Das wurde in verschiedenen neuen neuen Studien aber gänzlich widerlegt, sogar zum Gegenteil gewendet. In den neueren Studien konnte gezeigt werden, dass die regelmäßige und längerfristige Einnahme von L. acidophilus sogar zur Gewichtsabnahme geführt hat und das besonders in Kombination mit anderen dafür bekannten Bakterienarten. Fazit: Lactobacillus acidophilus - Ein Schlüssel zu besserer Gesundheit Zusammenfassend ist Lactobacillus acidophilus ein vielseitiges und wirkungsvolles Probiotikum, das entscheidend zur Förderung der Darmgesundheit beiträgt.Mit seiner Fähigkeit, sich an das Darmepithel anzulagern und die Darmbakterien-Kommunikation zu verbessern, kann es Verdauungsprobleme lindern und das Immunsystem stärken.Obwohl frühere Studien gemischte Ergebnisse bezüglich des Einflusses von Lactobacillus acidophilus auf das Körpergewicht zeigten, deuten neuere Forschungen darauf hin, dass es in Kombination mit anderen probiotischen Stämmen zur Gewichtsabnahme beitragen kann.Unsere Dailys Probiotika nutzen die Kraft von Lactobacillus acidophilus, um dein allgemeines Wohlbefinden zu unterstützen und dir zu einem gesunden Darmmikrobiom zu verhelfen.Mit within Produkten machst du einen einfachen, aber wirkungsvollen Schritt hin zu einem gesünderen Leben. Studien Beneficial effects of a combination of Clostridium cochlearium and Lactobacillus acidophilus on body weight gain, insulin sensitivity, and gut microbiota in high-fat diet-induced obese miceComparative meta-analysis of the effect of Lactobacillus species on weight gain in humans and animalsEffect of Lactobacillus on body weight and body fat in overweight subjects: a systematic review of randomized controlled clinical trials   Der Artikel dient lediglich der Informationsvermittlung in Bezug auf Probiotika und soll nicht als medizinische Empfehlung oder als Ersatz für professionelle medizinische Beratung oder Behandlung interpretiert werden.

    Laktobacillus plantarum

    Lactobacillus plantarum

    Was ist Lactobactilius plantarum? Lactobacillus plantarum ist ein wertvolles probiotisches Bakterium, aus der Familie der Laktobazillen. Diese Milchsäurebakterien spielen eine wichtige Rolle sowohl bei der Verstoffwechselung unserer Lebensmittel im Darm als auch in der Förderung der menschlichen Darmgesundheit. Lactobacillus plantarum zeichnet sich durch seine herausragenden probiotischen Eigenschaften aus. Dieses Milchsäurebakterium leistet einen wesentlichen Beitrag sowohl zur Lebensmittelfermentation als auch zur Förderung der Darmgesundheit beim Menschen. Dank seiner Widerstandsfähigkeit gegen Magensäure und Gallensalze entfaltet Lactobacillus plantarum seine volle Wirkung effektiv im Darm. Es besitzt sowohl antibakterielle als auch antioxidative Eigenschaften, die einen schützenden Effekt auf die Darmflora haben. Indem es das Immunsystem stärkt und für eine ausgewogene Darmflora sorgt, verbessert Lactobacillus plantarum zugleich die Darmbarriere. Dies ermöglicht eine optimierte Nährstoffaufnahme und bietet Schutz vor pathogenen Bakterien. Darüber hinaus trägt Lactobacillus plantarum durch seine entzündungshemmenden Eigenschaften zur Linderung von Hautbeschwerden bei und fördert ein gesundes Hautbild. Es ist besonders vorteilhaft für Menschen mit Laktoseintoleranz, da es die Laktoseverdauung durch die Produktion von Laktase erleichtert. Die antioxidativen Eigenschaften von Lactobacillus plantarum bieten zudem Schutz auf zellulärer Ebene, verbessern die Absorption von Nährstoffen und unterstützen die Synthese essentieller Vitamine im Darm. Als unverzichtbarer Bestandteil der Darm- und Mundflora spielt Lactobacillus plantarum eine zentrale Rolle bei der Erhaltung unserer Gesundheit, indem es umfassend zur Förderung des mikrobiellen Gleichgewichts und des allgemeinen Wohlbefindens beiträgt. [[blog_ad]] Wirkungen von Lactobacillus plantarum auf die Haut  Die Einnahme von Lactobacillus plantarum kann sich positiv auf die Hautgesundheit auswirken, denn diese probiotische Bakterienart kann dabei helfen, die Schutzbarriere der Haut zu stärken und die Immunfunktion zu verbessern. Zu den Vorteilen gehören entzündungshemmende Effekte und eine bessere Hautbeschaffenheit.  Schutz gegen Hautalterung und Sonnenschäden  Lactobacillus plantarum zeigt in verschiedenen wissenschaftlichen Studien positive Effekte im Schutz der Haut vor Alterung und Schäden durch Sonneneinstrahlung.  Die Einnahme kann dabei helfen, Falten zu reduzieren, indem es bestimmte Hautenzyme beeinflusst, die für den Abbau von Kollagen verantwortlich sind.  Außerdem verbessert es die Feuchtigkeit der Haut und stärkt deren Schutzbarriere, was insbesondere gegen UV-Schäden schützt.  Studien belegen, dass die Einnahme von Lactobacillus plantarum die Haut gesünder machen kann, indem sie feuchter wird und weniger anfällig für Falten und Trockenheit ist. Kurz gesagt, Lactobacillus plantarum könnte ein nützliches Mittel sein, um die Haut jung und gesund zu halten. Entzündungen reduzieren Lactobacillus plantarum hat sich in verschiedenen Studien als wirksam bei der Reduzierung von Hautentzündungen erwiesen. Es verbessert die Immunantwort der Haut und unterstützt die Hautgesundheit, indem es entzündungshemmend wirkt, Hautrötungen reduziert und die Hautbarriere stärkt. Besonders bei der Behandlung von Akne und atopischer Dermatitis zeigt Lactobacillus plantarum positive Effekte, indem es Entzündungen mildert und zur Heilung der Haut beiträgen kann. Diese Eigenschaften machen es zu einem vielversprechenden Mittel für die natürliche Pflege und Gesundheit der Haut.. Akne verbessern Lactobacillus plantarum könnte eine wirksame Hilfe bei Akne sein, dank seiner probiotischen Eigenschaften, die sowohl den Darm als auch indirekt die Hautgesundheit positiv beeinflussen können.  Studien zeigen, dass die Einnahme dieses Probiotikums zu einer sichtbaren Verbesserung von Akneläsionen führen kann, indem es Entzündungen reduziert und die Hautfeuchtigkeit erhöht. Lactobacillus plantarum hat sich besonders in der Verringerung von Akne und in der Verbesserung der Sebum-Zusammensetzung als effektiv erwiesen. Dies deutet darauf hin, dass Lactobacillus plantarum nicht nur die Hautgesundheit direkt unterstützt, sondern auch Entzündungen bekämpft, die bei Akne eine Rolle spielen, und somit ein vielversprechender Ansatz zur Aknebehandlung sein könnte. Verbesserung der Hautzustände Lactobacillus plantarum kann die Hautgesundheit auf vielfältige Weise verbessern, indem es das Mikrobiomgleichgewicht unterstützt, Entzündungen mindert und die Hautbarriere stärkt. Forschungen zeigen, dass dieses Probiotikum die Hautfeuchtigkeit erhöht und Schäden durch UV-Strahlung reduziert, was zu einer gesünderen Haut führt. Es kann auch Akne deutlich verbessern, indem es die Anzahl der Akneläsionen verringert und die Hautbeschaffenheit positiv beeinflusst. Darüber hinaus wirkt Lactobacillus plantarum entzündungshemmend, was besonders bei Hautproblemen wie Ekzemen und Psoriasis hilfreich sein kann. Diese Ergebnisse machen Lactobacillus plantarum zu einem vielversprechenden Helfer für eine bessere Hautgesundheit. Feuchtigkeitsspendende Wirkung Lactobacillus plantarum kann dabei helfen, die Hautfeuchtigkeit zu verbessern. Studien zeigen, dass dieses Probiotikum nach längerfristiger, regelmäßiger Einnahme die Feuchtigkeit der Haut erhöht und die Hautbarriere stärkt, was zu gesünderer Haut führt. Zum Beispiel konnte Lactobacillus plantarum in einer Studie die Feuchtigkeit im Gesicht und an den Händen verbessern und sogar Falten reduzieren. Eine andere Studie mit Lactobacillus plantarum bestätigte ähnliche positive Effekte auf die Hautfeuchtigkeit und -barriere. Diese Forschungsergebnisse machen Lactobacillus plantarum zu einer attraktiven natürlichen Option für die Hautpflege. Lactobacillus plantarum gegen Stress und Depressionen? Neue Studien zeigen die positiven Effekte von Lactobacillus plantarum auf Stress und Depressionen: In einer 4-wöchigen Untersuchung mit Lactobacillus plantarum wurden Teilnehmende einem Stress-Test unterzogen. Ergebnisse zeigten, dass die Gruppe, die L. plantarum erhielt, signifikant niedrigere Entzündungsmarker im Vergleich zur Placebo-Gruppe aufwies. Besonders bemerkenswert war, dass bei Teilnehmenden ohne chronischen Stress, die L. plantarum konsumierten, der Cortisol-Spiegel nach der Stressphase deutlich niedriger war als bei der Placebo-Gruppe. Da Cortisol, das Stresshormon, das Immunsystem schwächen kann, deutet dies darauf hin, dass L. plantarum das Risiko für stressbedingte Erkältungskrankheiten reduzieren könnte. Eine weitere 6-wöchige Studie untersuchte den Effekt der Kombination eines Antidepressivums (SAM) mit L. plantarum oder einem Placebo auf Personen mit leichten bis mittelschweren Depressionen. Die Ergebnisse zeigten, dass die Kombination von SAM und L. plantarum bereits nach 2 Wochen zu schnellen und klinisch bedeutsamen Verbesserungen bei Depressionen, Angstzuständen sowie kognitiven und körperlichen Beschwerden führte. Diese Kombination erwies sich als sicher und effektiv, unabhängig von der Schwere der Symptome – ein signifikanter Vorteil gegenüber herkömmlichen Antidepressiva, die bei leichten bis mittelschweren Symptomen nur minimale Wirkungen zeigen. Diese Erkenntnisse unterstreichen das Potenzial von Lactobacillus plantarum als Teil einer innovativen Behandlungsmethode für Stress und Depressionen, die sowohl sicher als auch effektiv ist. Lactobacillus plantarum und Erkältung Der Stamm Lactobacillus plantarum zeichnet sich durch seine ausgezeichnete Fähigkeit aus, sich an menschliche Schleimhautzellen zu binden, wie aus Laboruntersuchungen hervorgeht. Diese Eigenschaft bietet optimale Bedingungen für eine temporäre Besiedelung im menschlichen Darm durch die Aufnahme von Produkten, die Lactobacillus plantarum enthalten. Forschungsergebnisse aus mehreren klinischen Studien haben gezeigt, dass die kombinierte Aufnahme von Lactobacillus plantarum und Lactobacillus paracasei das Immunsystem unterstützt und das Risiko von Erkältungen senkt. Die Ergebnisse umfassen eine Reduzierung von Erkältungsfällen bei Kindern und Erwachsenen, was ebenfalls zu weniger krankheitsbedingten Ausfallzeiten führte. Sollten Erkältungen dennoch auftreten, waren diese von kürzerer Dauer und mit milderen Symptomen verbunden, wobei auch der Bedarf an zusätzlichen Medikamenten sank. Die regelmäßige Einnahme dieser Bakterienstämme über einen Zeitraum von 12 Wochen wurde sehr gut vertragen. Wirkung von Lactobactilius plantarum auf die Darmflora Lactobactilius plantarum hat eine positive Wirkung auf die Darmflora. Diese probiotische Bakterienkultur hilft dabei, ein gesundes Gleichgewicht von guten Bakterien im Darm aufrechtzuerhalten. Durch die Besiedlung des Darms trägt Lactobactilius plantarum dazu bei, schädliche Bakterien zu reduzieren und die Produktion von gesunden Stoffwechselprodukten zu fördern. Dies verbessert die Verdauung und unterstützt die Aufnahme von Nährstoffen. Anwendung von Lactobactilius plantarum bei verschiedenen Darmproblemen Lactobactilius plantarum kann bei verschiedenen Darmproblemen eingesetzt werden. Studien haben gezeigt, dass diese probiotische Bakterienkultur dazu beitragen kann, die Symptome von Reizdarmsyndrom, entzündlicher Darmerkrankung und anderen Verdauungsstörungen zu lindern. Durch die Besiedlung des Darms mit gesunden Bakterien kann Lactobactilius plantarum helfen, Entzündungen zu reduzieren und die Darmgesundheit zu verbessern. Lactobactilius plantarum in der Prävention von Darmkrankheiten Lactobacillus plantarum spielt eine entscheidende Rolle in der Prävention von Darmerkrankungen. Seine Fähigkeit, schädliche Bakterien zu unterdrücken und das Wachstum gesunder Bakterien zu fördern, mindert das Risiko von Infektionen und entzündlichen Zuständen im Darm. Forschungsstudien unterstreichen, dass die regelmäßige Einnahme von Lactobacillus plantarum das Auftreten von Erkrankungen wie Morbus Crohn und Colitis ulcerosa reduzieren kann. Lactobacillus plantarum trägt wesentlich zur Förderung eines gesunden Darmmikrobioms bei, indem es die Ansiedlung nützlicher Bakterien begünstigt und gleichzeitig pathogene Mikroorganismen hemmt. Diese probiotische Bakterienkultur verbessert nicht nur die Verdauung, sondern wirkt auch entzündungshemmend und verringert das Risiko von Darmkrankheiten. Damit erweist sich Lactobacillus plantarum als ein wertvoller Verbündeter für die Erhaltung einer robusten Darmgesundheit. Lactobactilius plantarum in Lebensmitteln und Nahrungsergänzungsmitteln Lactobacillus plantarum kommt in fermentierten Lebensmitteln wie Sauerkraut, Kimchi, eingelegten Gurken, ausgewählten Joghurtsorten, speziellen fermentierten Käsen, Sauerteig und in Salzlake fermentierten Oliven. Diese Nahrungsmittel können somit eine wichtige Rolle bei der Förderung der Darmgesundheit und der Stärkung unseres Immunsystems spielen. In der modernen Ernährung ist es jedoch oft eine Herausforderung, ausreichend probiotische Lebensmittel zu sich zu nehmen, um die volle Bandbreite ihrer gesundheitlichen Vorteile zu nutzen. Hier bieten hochwertige Nahrungsergänzungsmittel mit Lactobacillus plantarum wie die von within eine ideale Lösung. Sie sind speziell darauf abgestimmt, die tägliche Zufuhr dieses essenziellen Probiotikums zu vereinfachen, und bilden somit eine praktische Ergänzung zu Ihrer Ernährung. Unsere sorgfältig formulierten Dailys Probiotika mit Lactobacillus plantarum sind eine ausgezeichnete Bereicherung für Deine tägliche Ernährung. Sie ermöglichen nicht nur eine gezielte Stärkung Deiber Darmflora, sondern fördern auch zahlreiche andere Gesundheitsaspekte. Für optimale Ergebnisse ist es entscheidend, die Probiotika regelmäßig und über einen längeren Zeitraum hinweg einzunehmen, um die vielfältigen gesundheitlichen Vorteile voll ausschöpfen zu können. Lactobacillus plantarum und die Mundflora Lactobacillus plantarum ist nicht nur im Darmtrakt zu finden, sondern auch ein fester Bestandteil der natürlichen Mundflora. In der Mundhöhle trägt es zur Aufrechterhaltung eines gesunden mikrobiellen Gleichgewichts bei. Durch seine Präsenz im Mund kann Lactobacillus plantarum dabei helfen, das Wachstum schädlicher Bakterien zu unterdrücken und so zur Gesundheit von Zähnen und Zahnfleisch beitragen. Es unterstützt die Mundgesundheit, indem es zum Schutz vor Karies, Parodontitis und anderen oralen Erkrankungen beiträgt. Die Fähigkeit von Lactobacillus plantarum, sich in der Mundflora zu etablieren und positive Effekte auszuüben, unterstreicht die Bedeutung probiotischer Bakterien für die allgemeine Gesundheit, einschließlich der oralen Gesundheit.  Zusammenfassung Lactobacillus plantarum ist ein probiotisches Bakterium, das vielfältige gesundheitliche Vorteile bietet, darunter die Stärkung des Immunsystems, Förderung einer ausgewogenen Darmflora, Verbesserung der Darmbarriere und Unterstützung der Hautgesundheit. Es verbessert die Verdauung, fördert die Nährstoffaufnahme, wirkt entzündungshemmend und kann besonders für Menschen mit Laktoseintoleranz hilfreich sein durch die Produktion des Enzyms Laktase. Lactobacillus plantarum findet sich in fermentierten Lebensmitteln und wird auch in hochwertigen Nahrungsergänzungsmitteln verwendet, um eine regelmäßige und gezielte Aufnahme zu erleichtern. Es spielt eine entscheidende Rolle bei der Prävention von Darmerkrankungen, indem es das Wachstum gesunder Bakterien fördert und schädliche Mikroorganismen hemmt. Darüber hinaus trägt Lactobacillus plantarum zur Hautgesundheit bei, indem es die Hautbarriere stärkt und entzündliche Hautzustände lindert. Es ist zudem ein wichtiger Bestandteil der natürlichen Mundflora und unterstützt die orale Gesundheit. Lactobacillus plantarum ist somit ein wichtiges Probiotikum für ein gesundes Mikrobiom und die allgemeine Gesundheit. Der Artikel dient lediglich der Informationsvermittlung in Bezug auf Probiotika und soll nicht als medizinische Empfehlung oder als Ersatz für professionelle medizinische Beratung oder Behandlung interpretiert werden.