Hautgesundheit

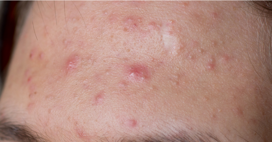
Pickeln auf der Stirn

Pickel auf der Stirn: Ursachen, Behandlung und ...

Ursachen von Pickeln auf der Stirn Pickel auf der Stirn können durch eine Vielzahl von Faktoren verursacht werden. Hier sind einige der häufigsten Gründe: Hormonelle Schwankungen: Veränderungen im Hormonspiegel, insbesondere...

Pickel auf der Stirn: Ursachen, Behandlung und ...

Ursachen von Pickeln auf der Stirn Pickel auf der Stirn können durch eine Vielzahl von Faktoren verursacht werden. Hier sind einige der häufigsten Gründe: Hormonelle Schwankungen: Veränderungen im Hormonspiegel, insbesondere...

Stirnfalten

Stirnfalten: Ursachen, Behandlung und Prävention

Ursachen von Stirnfalten Stirnfalten entstehen durch eine Kombination von inneren und äußeren Faktoren. Hier sind einige der häufigsten Ursachen: Alterung: Mit zunehmendem Alter verliert die Haut an Elastizität und Feuchtigkeit,...

Stirnfalten: Ursachen, Behandlung und Prävention

Ursachen von Stirnfalten Stirnfalten entstehen durch eine Kombination von inneren und äußeren Faktoren. Hier sind einige der häufigsten Ursachen: Alterung: Mit zunehmendem Alter verliert die Haut an Elastizität und Feuchtigkeit,...

Schuppige Haut

Schuppige Haut: Ursachen, Behandlung und Präven...

Ursachen von Schuppiger Haut Schuppige Haut kann durch eine Vielzahl von Faktoren verursacht werden. Hier sind einige der häufigsten Gründe: Trockene Luft: Besonders im Winter, wenn die Luftfeuchtigkeit niedrig ist,...

Schuppige Haut: Ursachen, Behandlung und Präven...

Ursachen von Schuppiger Haut Schuppige Haut kann durch eine Vielzahl von Faktoren verursacht werden. Hier sind einige der häufigsten Gründe: Trockene Luft: Besonders im Winter, wenn die Luftfeuchtigkeit niedrig ist,...

Mischhaut

Mischhaut: Ursachen, Pflege und Behandlungstipps

Ursachen von Mischhaut Mischhaut entsteht durch eine ungleichmäßige Verteilung der Talgproduktion im Gesicht. Hier sind einige der häufigsten Ursachen: Genetische Veranlagung: Mischhaut kann in Familien gehäuft auftreten. Hormone: Schwankungen im...

Mischhaut: Ursachen, Pflege und Behandlungstipps

Ursachen von Mischhaut Mischhaut entsteht durch eine ungleichmäßige Verteilung der Talgproduktion im Gesicht. Hier sind einige der häufigsten Ursachen: Genetische Veranlagung: Mischhaut kann in Familien gehäuft auftreten. Hormone: Schwankungen im...

fahle Haut

Fahle Haut: Ursachen, Pflege und Behandlungsstr...

Ursachen von fahler Haut Fahle Haut kann durch eine Vielzahl von Faktoren ausgelöst werden, darunter: Ungesunde Ernährung: Eine Ernährung, die arm an Vitaminen und Nährstoffen ist, kann die Hautgesundheit beeinträchtigen....

Fahle Haut: Ursachen, Pflege und Behandlungsstr...

Ursachen von fahler Haut Fahle Haut kann durch eine Vielzahl von Faktoren ausgelöst werden, darunter: Ungesunde Ernährung: Eine Ernährung, die arm an Vitaminen und Nährstoffen ist, kann die Hautgesundheit beeinträchtigen....

empfindliche Haut

Empfindliche Haut: Ursachen, Pflege und Behandl...

Ursachen von empfindlicher Haut Empfindliche Haut kann durch eine Vielzahl von Faktoren verursacht werden. Hier sind einige der häufigsten: Genetik: Oft ist empfindliche Haut erblich bedingt. Umweltfaktoren: Kälte, Hitze, Wind...

Empfindliche Haut: Ursachen, Pflege und Behandl...

Ursachen von empfindlicher Haut Empfindliche Haut kann durch eine Vielzahl von Faktoren verursacht werden. Hier sind einige der häufigsten: Genetik: Oft ist empfindliche Haut erblich bedingt. Umweltfaktoren: Kälte, Hitze, Wind...